Submitted:
24 September 2024
Posted:
25 September 2024
You are already at the latest version
Abstract
Keywords:
1. Introduction
2. Materials and Methods
2.1. Animals
2.2. Diabetes Type I Induction
2.3. Noradrenaline (NA) Measurement
2.4. MCC950 Treatment
2.5. Stellate Ganglia, Thoracic Aorta and Left Ventricle Dissection
2.6. Haematoxylin and Eosin Staining
2.7. Masson Trichrome Staining
2.8. Statistical Analysis
3. Results
3.1. The Effects of STZ on Fasting Blood Glucose
3.2. The Effects of DM on Serum NA
3.3. The Effects of MCC950 on Stellate Ganglia
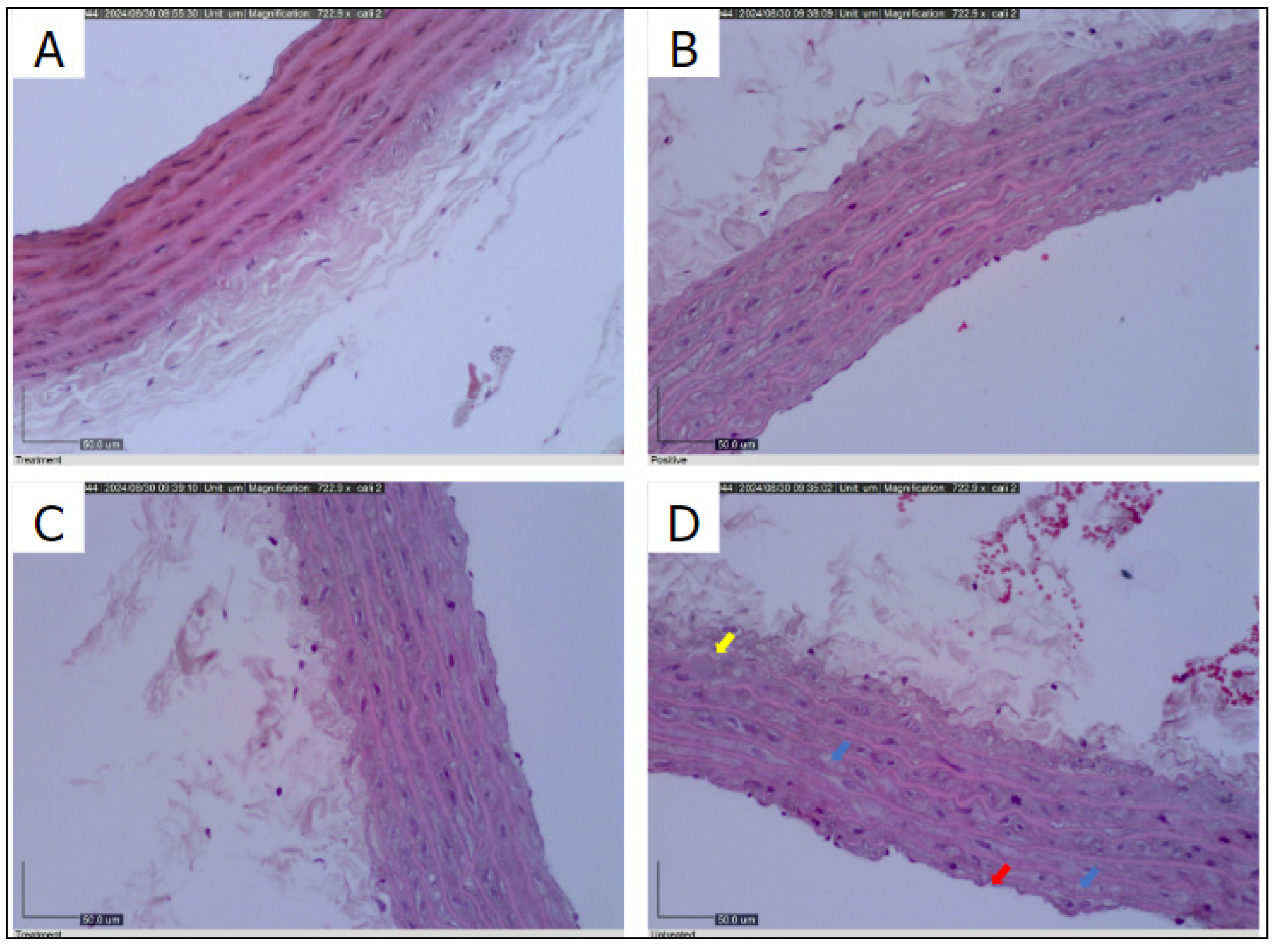
3.4. The Effects of MCC950 on Thoracic Aorta
3.5. The Effects of MCC950 on Left Ventricle
4. Discussion
5. Conclusion
Data Availability Statement
Acknowledgments
Conflicts of Interest
References
- El Tantawy, A. , et al., Cardiac autonomic neuropathy linked to left ventricular dysfunction in type 1 diabetic patients. Cardiovascular Endocrinology & Metabolism, 2022. 11(4): p. e0272.
- Sudo, S.Z. , et al., Diabetes-induced cardiac autonomic neuropathy: impact on heart function and prognosis. Biomedicines, 2022. 10(12): p. 3258.
- Svane, J., U. Pedersen-Bjergaard, and J. Tfelt-Hansen, Diabetes and the risk of sudden cardiac death. Current cardiology reports, 2020. 22: p. 1-10.
- Bakkar, N.-M.Z. , et al., Cardiac autonomic neuropathy: a progressive consequence of chronic low-grade inflammation in type 2 diabetes and related metabolic disorders. International journal of molecular sciences, 2020. 21(23): p. 9005.
- Williams, S. , et al., Cardiac autonomic neuropathy in type 1 and 2 diabetes: epidemiology, pathophysiology, and management. Clinical therapeutics, 2022. 44(10): p. 1394-1416.
- Serhiyenko, V. and A. Serhiyenko, Diabetic cardiac autonomic neuropathy, in The Diabetes Textbook: Clinical Principles, Patient Management and Public Health Issues. 2023, Springer. p. 939-966.
- Razif, A. , et al., The Evolving Role of Nucleotide-binding Oligomerisation Domain-like Receptor Pyrin Domain 3 Inflammasome Activation in Vascular Endothelial Cells: A Review. The Malaysian Journal of Medical Sciences: MJMS, 2022. 29(2): p. 8.
- Subramaniam, S.D. , et al., Diabetic Cardiac Autonomic Neuropathy: A Review of NLRP3 Inflammasome Complicity. Mal J Med Health Sci, 2024. 20(1): p. 365-368.
- Wang, M. , et al., MCC950, a selective NLRP3 inhibitor, attenuates adverse cardiac remodeling following heart failure through improving the cardiometabolic dysfunction in obese mice. Frontiers in Cardiovascular Medicine, 2022. 9: p. 727474.
- Filipović, N. , et al., Cardiac innervations in diabetes mellitus—Anatomical evidence of neuropathy. The Anatomical Record, 2023. 306(9): p. 2345-2365.
- Ghasemi, A. and S. Jeddi, Streptozotocin as a tool for induction of rat models of diabetes: A practical guide. EXCLI journal, 2023. 22: p. 274.
- Dimitropoulos, G., A. A. Tahrani, and M.J. Stevens, Cardiac autonomic neuropathy in patients with diabetes mellitus. World journal of diabetes, 2014. 5(1): p. 17.
- Akinlade, O.M., B. V. Owoyele, and O.A. Soladoye, Heart rate variability indices, biomarkers, and cardiac nerve density: Independent surrogate markers for diagnosis of diabetic cardiac autonomic neuropathy in type 2 diabetes mellitus animal model. International Journal of Health Sciences, 2020. 14(6): p. 24.
- Al-Assi, O. , et al., Cardiac autonomic neuropathy as a result of mild hypercaloric challenge in absence of signs of diabetes: modulation by antidiabetic drugs. Oxidative Medicine and Cellular Longevity, 2018. 2018.
- Akinlade, O.M., B. V. Owoyele, and A.O. Soladoye, Streptozotocin-induced type 1 and 2 diabetes in rodents: A model for studying diabetic cardiac autonomic neuropathy. African Health Sciences, 2021. 21(2): p. 719-727.
- Shi, L. , et al., Beneficial Effects of lncRNA-UC. 360+ shRNA on Diabetic Cardiac Sympathetic Damage via NLRP3 Inflammasome-Induced Pyroptosis in Stellate Ganglion. ACS omega, 2022. 7(31): p. 27714-27721.
- Li, Z. , et al., Elevated glucose metabolism driving pro-inflammatory response in B cells contributes to the progression of type 1 diabetes. Clinical Immunology, 2023. 255: p. 109729.
- Oh, S.S. and H.L. Narver, Mouse and Rat Anesthesia and Analgesia. Current Protocols, 2024. 4(2): p. e995.
- Ni, B. , et al., MCC950, the NLRP3 inhibitor, protects against cartilage degradation in a mouse model of osteoarthritis. Oxidative Medicine and Cellular Longevity, 2021. 2021(1): p. 4139048.
- Ward, R. , et al., NLRP3 inflammasome inhibition with MCC950 improves diabetes-mediated cognitive impairment and vasoneuronal remodeling after ischemia. Pharmacological research, 2019. 142: p. 237-250.
- Yu, X.-D. , et al., Additions to Occultibambusaceae (Pleosporales, Dothideomycetes): Unrevealing Palmicolous Fungi in China. Diversity, 2021. 13(11): p. 516.
- Scherschel, K. , et al., Location, dissection, and analysis of the murine stellate ganglion. JoVE (Journal of Visualized Experiments), 2020(166): p. e62026.
- Abas, R., F. Othman, and Z.C. Thent, Protective effect of Momordica charantia fruit extract on hyperglycaemia-induced cardiac fibrosis. Oxidative Medicine and Cellular Longevity, 2014. 2014.
- Ajileye, A. and E. Esan, Fixation and fixatives in histopathology: a review. Bayero Journal of Pure and Applied Sciences, 2022. 15(1): p. 231-243.
- Ahmed, Y.M. , et al., Partial Synthetic PPARƳ Derivative Ameliorates Aorta Injury in Experimental Diabetic Rats Mediated by Activation of miR-126-5p Pi3k/AKT/PDK 1/mTOR Expression. Pharmaceuticals, 2022. 15(10): p. 1175.
- Li, H. , et al., A new model of heart failure post-myocardial infarction in the rat. JoVE (Journal of Visualized Experiments), 2021(172): p. e62540.
- Vega-Martín, E. , et al., Upregulation in Inflammation and Collagen Expression in Perirenal but Not in Mesenteric Adipose Tissue from Diabetic Munich Wistar Frömter Rats. International Journal of Molecular Sciences, 2023. 24(23): p. 17008.
- Zhang, L.-Z. , et al., Perioperative changes of serum orphanin in diabetic patients and its relationship with sympathetic nervous system. Neuropeptides, 2024. 104: p. 102414.
- Carmichael, J. , et al., Advances in screening, early diagnosis and accurate staging of diabetic neuropathy. Frontiers in endocrinology, 2021. 12: p. 671257.
- Voulgari, C. , et al., Exercise improves cardiac autonomic function in obesity and diabetes. Metabolism, 2013. 62(5): p. 609-621.
- Sima, A.A. and W. Zhang, Mechanisms of diabetic neuropathy: axon dysfunction. Handbook of clinical neurology, 2014. 126: p. 429-442.
- Amo-Aparicio, J. , et al., Inhibition of the NLRP3 inflammasome by OLT1177 induces functional protection and myelin preservation after spinal cord injury. Experimental Neurology, 2022. 347: p. 113889.
- Subburathinam, G. , A Study of Endothelial Dysfunction, by Flow Medaiated Vasodialation in Diabetic Patients. 2020, Madras Medical College, Chennai.
- Romero, A. , et al., Pharmacological blockade of NLRP3 inflammasome/IL-1β-positive loop mitigates endothelial cell senescence and dysfunction. Aging and disease, 2022. 13(1): p. 284.
- Kaur, N. , et al., Mechanisms and therapeutic prospects of diabetic cardiomyopathy through the inflammatory response. Frontiers in Physiology, 2021. 12: p. 694864.
- Bakhshi, S. and S. Shamsi, MCC950 in the treatment of NLRP3-mediated inflammatory diseases: Latest evidence and therapeutic outcomes. International Immunopharmacology, 2022. 106: p. 108595.








Disclaimer/Publisher’s Note: The statements, opinions and data contained in all publications are solely those of the individual author(s) and contributor(s) and not of MDPI and/or the editor(s). MDPI and/or the editor(s) disclaim responsibility for any injury to people or property resulting from any ideas, methods, instructions or products referred to in the content. |
© 2024 by the authors. Licensee MDPI, Basel, Switzerland. This article is an open access article distributed under the terms and conditions of the Creative Commons Attribution (CC BY) license (http://creativecommons.org/licenses/by/4.0/).