Submitted:
12 September 2024
Posted:
12 September 2024
You are already at the latest version
Abstract

Keywords:
1. Introduction
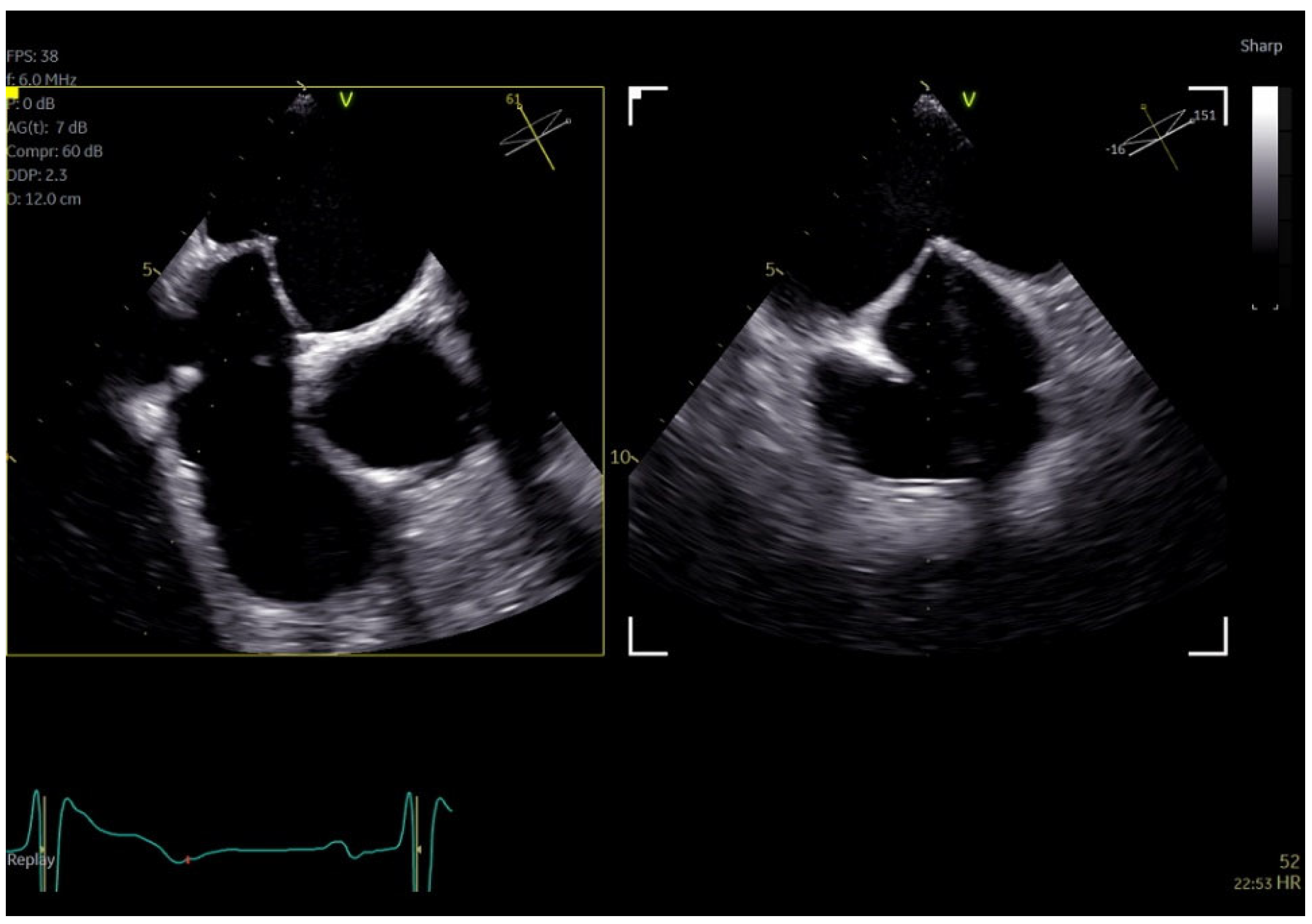
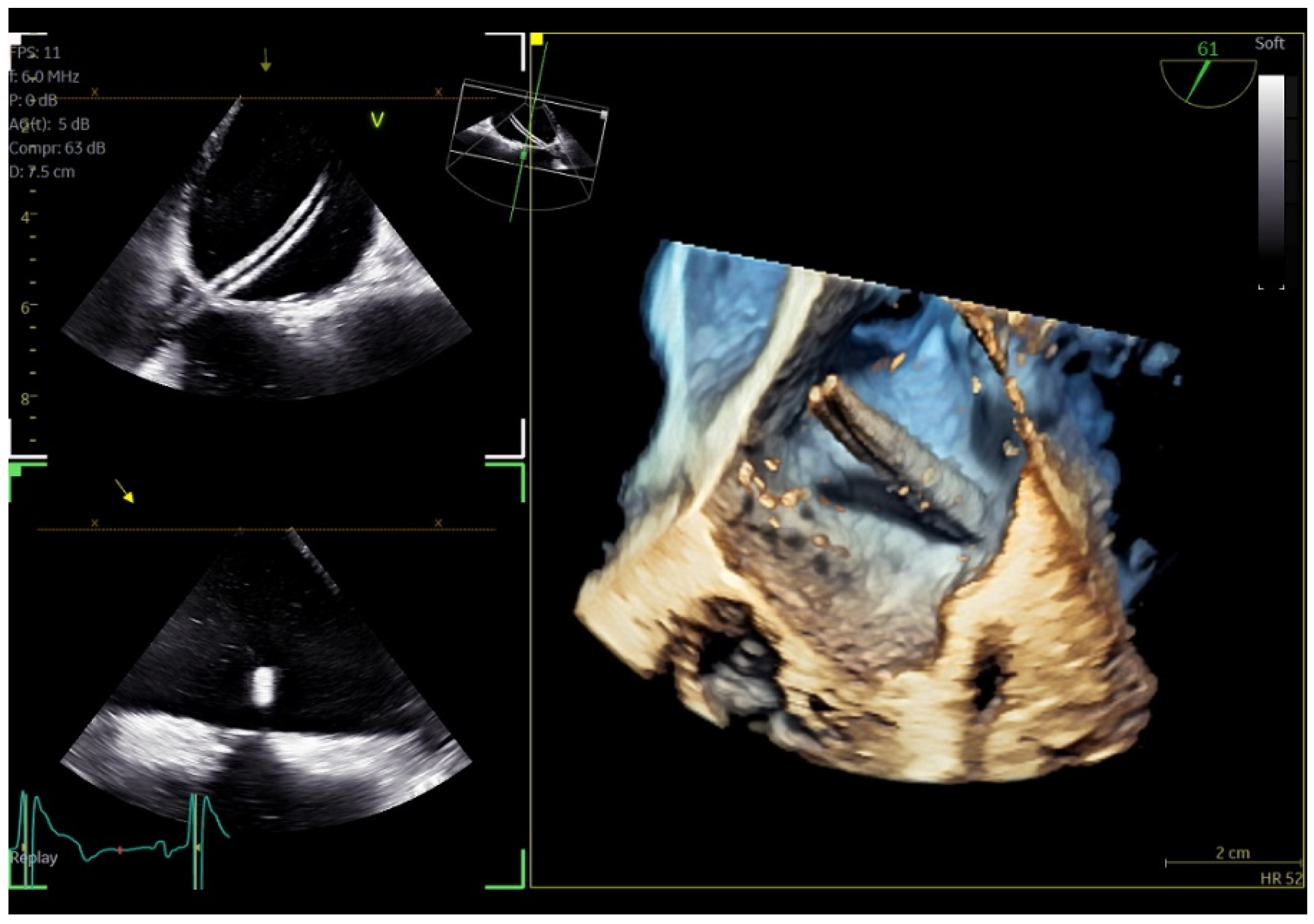
2. Materials and Methods
Comparison between mini-TEE and standard adult TEE probe
Echocardiography department transesophageal echocardiography
Intra-procedural transesophageal echocardiography
3. Results
Comparison between mini-TEE and standard adult TEE probe


Echocardiography department transesophageal echocardiography


Intra-procedural transesophageal echocardiography
4. Discussion
Limitations
5. Conclusions
Supplementary Materials
Author Contributions
Funding
Institutional Review Board Statement
Informed Consent Statement
Data Availability Statement
Conflicts of Interest
References
- Hahn RT, Abraham T, Adams MS, et al. Guidelines for performing a comprehensive transesophageal echocardiographic examination: recommendations from the American Society of Echocardiography and the Society of Cardiovascular Anesthesiologists. J Am Soc Echocardiogr. 2013;26(9):921-964. [CrossRef]
- Nicoara A, Skubas N, Ad N, et al. Guidelines for the Use of Transesophageal Echocardiography to Assist with Surgical Decision-Making in the Operating Room: A Surgery-Based Approach: From the American Society of Echocardiography in Collaboration with the Society of Cardiovascular Anesthesiologists and the Society of Thoracic Surgeons [published correction appears in J Am Soc Echocardiogr. 2020 Nov;33(11):1426]. J Am Soc Echocardiogr. 2020;33(6):692-734. [CrossRef]
- Papadopoulos CH, Kadoglou NPE, Theodosis-Georgilas A, et al. Practical guidance and clinical applications of transoesophageal echocardiography. A position paper of the working group of echocardiography of the Hellenic Society of Cardiology. Curr Probl Cardiol. 2024;49(8):102634. [CrossRef]
- Faletra FF, Saric M, Saw J, Lempereur M, Hanke T, Vannan MA. Imaging for Patient’s Selection and Guidance of LAA and ASD Percutaneous and Surgical Closure. JACC Cardiovasc Imaging. 2021;14(1):3-21. [CrossRef]
- Silvestry FE, Rodriguez LL, Herrmann HC, et al. Echocardiographic guidance and assessment of percutaneous repair for mitral regurgitation with the Evalve MitraClip: lessons learned from EVEREST I. J Am Soc Echocardiogr. 2007;20(10):1131-1140. [CrossRef]
- Khalique OK, Hahn RT. Role of Echocardiography in Transcatheter Valvular Heart Disease Interventions. Curr Cardiol Rep. 2017;19(12):128. Published 2017 Oct 27. [CrossRef]
- Papadopoulos CH, Kadoglou NPE, Theodosis-Georgilas A, et al. Transoesophageal echocardiography beyond the echo-laboratory. An expert consensus paper of the working group of echocardiography of the hellenic society of cardiology. Hellenic J Cardiol. Published online June 18, 2024. [CrossRef]
- Bushari LI, Reeder GS, Eleid MF, et al. Percutaneous Transcatheter Edge-to-Edge MitraClip Technique: A Practical “Step-by-Step” 3-Dimensional Transesophageal Echocardiography Guide. Mayo Clin Proc. 2019;94(1):89-102. [CrossRef]
- Lang RM, Tsang W, Weinert L, Mor-Avi V, Chandra S. Valvular heart disease. The value of 3-dimensional echocardiography. J Am Coll Cardiol. 2011;58(19):1933-1944. [CrossRef]
- Coisne A, Pontana F, Aghezzaf S, et al. Utility of Three-Dimensional Transesophageal Echocardiography for Mitral Annular Sizing in Transcatheter Mitral Valve Replacement Procedures: A Cardiac Computed Tomographic Comparative Study. J Am Soc Echocardiogr. 2020;33(10):1245-1252.e2. [CrossRef]
- O’Shea JP, Southern JF, D’Ambra MN, et al. Effects of prolonged transesophageal echocardiographic imaging and probe manipulation on the esophagus--an echocardiographic-pathologic study. J Am Coll Cardiol. 1991;17(6):1426-1429. [CrossRef]
- Freitas-Ferraz AB, Bernier M, Vaillancourt R, et al. Safety of Transesophageal Echocardiography to Guide Structural Cardiac Interventions. J Am Coll Cardiol. 2020;75(25):3164-3173. [CrossRef]
- Ruf TF, Heidrich FM, Sveric KM, et al. ELMSTREET (Esophageal Lesions during MitraClip uSing TRansEsophageal Echocardiography Trial). EuroIntervention. 2017;13(12):e1444-e1451. Published 2017 Dec 8. [CrossRef]
- Alkhouli M, Hijazi ZM, Holmes DR Jr, Rihal CS, Wiegers SE. Intracardiac Echocardiography in Structural Heart Disease Interventions. JACC Cardiovasc Interv. 2018;11(21):2133-2147. [CrossRef]
- Stec S, Zaborska B, Sikora-Frac M, Kryński T, Kułakowski P. First experience with microprobe transoesophageal echocardiography in non-sedated adults undergoing atrial fibrillation ablation: feasibility study and comparison with intracardiac echocardiography. Europace. 2011;13(1):51-56. [CrossRef]
- Jiménez Brítez G, Sanchis L, Regueiro A, Sabate M, Sitges M, Freixa X. Minimally-invasive Transesophageal Echocardiography for Left Atrial Appendage Occlusion With a Latest-generation Microprobe. Initial Experience. Rev Esp Cardiol (Engl Ed). 2019;72(6):511-512. [CrossRef]
- Nijenhuis VJ, Alipour A, Wunderlich NC, et al. Feasibility of multiplane microtransoesophageal echocardiographic guidance in structural heart disease transcatheter interventions in adults. Neth Heart J. 2017;25(12):669-674. [CrossRef]
- Sanchis L, Regueiro A, Cepas-Guillén P, Sitges M, Freixa X. First experience of left atrial appendage occlusion using a 3D mini transoesophageal echocardiographic probe with conscious sedation. EuroIntervention. 2023;18(17):1460-1461. [CrossRef]
- Maarse M, Wintgens LIS, Klaver MN, Rensing BJWM, Swaans MJ, Boersma LVA. Transoesophageal echocardiography guidance with paediatric probes in adults undergoing left atrial appendage occlusion. EuroIntervention. 2021;17(1):93-96. [CrossRef]
- Aminian A, Leduc N, Freixa X, et al. Left Atrial Appendage Occlusion Under Miniaturized Transesophageal Echocardiographic Guidance and Conscious Sedation: Multicenter European Experience. JACC Cardiovasc Interv. 2023;16(15):1889-1898. [CrossRef]





Disclaimer/Publisher’s Note: The statements, opinions and data contained in all publications are solely those of the individual author(s) and contributor(s) and not of MDPI and/or the editor(s). MDPI and/or the editor(s) disclaim responsibility for any injury to people or property resulting from any ideas, methods, instructions or products referred to in the content. |
© 2024 by the authors. Licensee MDPI, Basel, Switzerland. This article is an open access article distributed under the terms and conditions of the Creative Commons Attribution (CC BY) license (http://creativecommons.org/licenses/by/4.0/).