Submitted:
31 August 2024
Posted:
03 September 2024
You are already at the latest version
Abstract
Keywords:
1. Introduction
2. Materials and Methods
2.1. Viruses and Cells
2.2. Construction of Ab4pΔORF76 (US9 Deletion) and Revertant BACs
2.3. Recovery of Infectious Ab4p attB, Ab4pΔORF76 and Ab4pΔORF76R Viruses from BAC DNA
2.4. Time Course of Viral Growth
2.5. Virus Growth Kinetics in Mouse Neurons
2.6. Analysis of Transcription Kinetics by Real-Time RT-PCR
2.7. Animal Experiments
2.8. Preparation of Tissues for PCR and Virus Titration
2.9. Histopathology and Immunohistochemistry
2.10. Immunofluorescence
2.11. Production of Anti-EHV-1 US9-Specific Polyclonal Antibody
2.12. Western Blotting
2.13. Statistical Analysis
3. Results
3.1. Construction of ORF76 (US9) Deletion Mutant and Its Revertant Virus
3.2. Growth of ORF76 (US9) Deletion Mutant in Cultured Cells and Mouse Neurons
3.3. Effect of ORF76 Deletion on Transcription Activities of Other Genes
3.4. Identification and Initial Characterization of EHV-1 US9 Protein
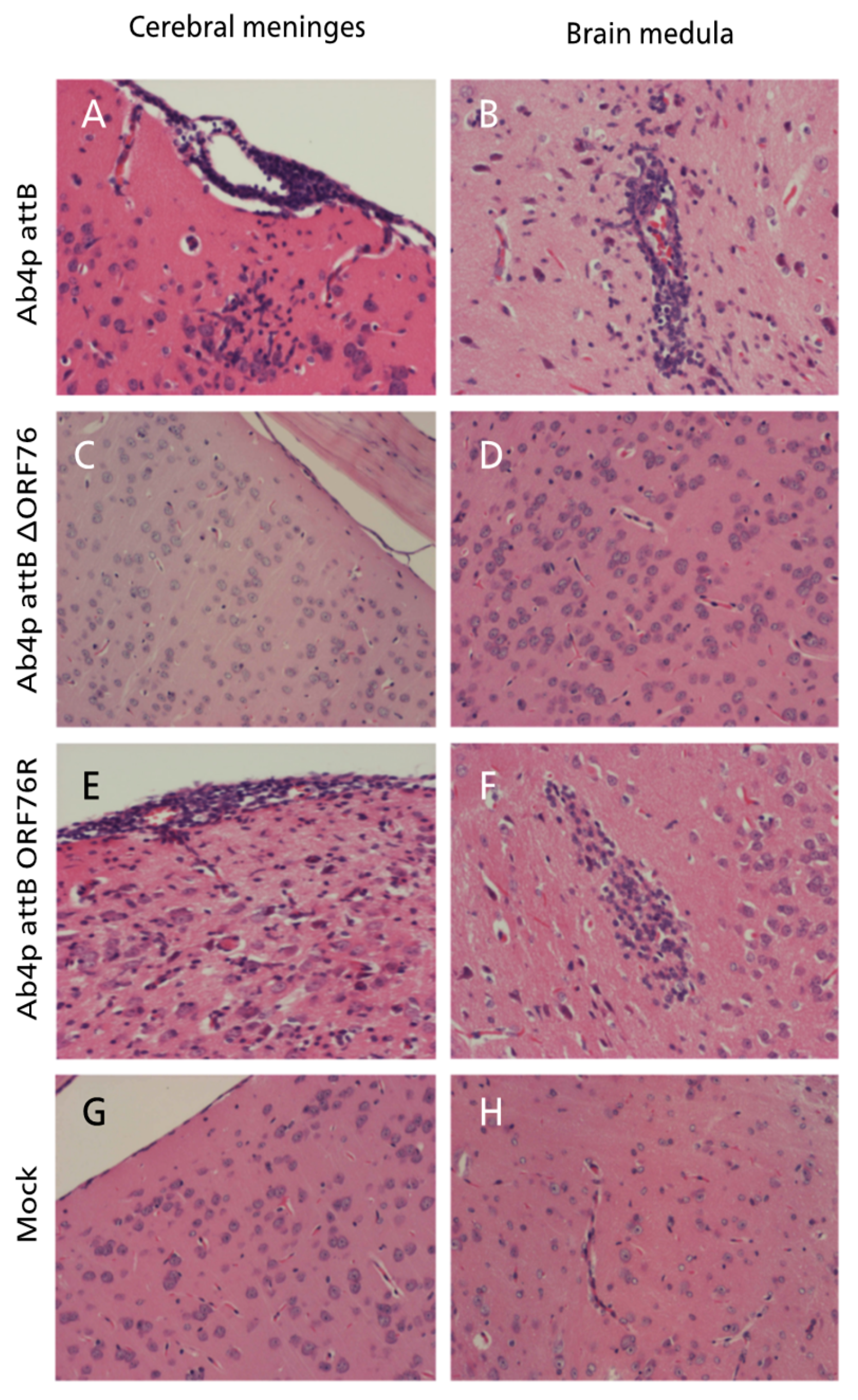
3.4. Pathogenicity of ORF76 Deletion Mutant Virus in Mice
4. Discussion
5. Conclusions
Author Contributions
Funding
Institutional Review Board Statement
Informed Consent Statement
Data Availability Statement
Acknowledgments
Conflicts of Interest
References
- Allen, G.P. Development of a Real-Time Polymerase Chain Reaction Assay for Rapid Diagnosis of Neuropathogenic Strains of Equine Herpesvirus-1. Journal of Veterinary Diagnostic Investigation 2007, 19, 69–72. [Google Scholar] [CrossRef] [PubMed]
- Ata, E.B.; Zaghawa, A.; Ghazy, A.A.; Elsify, A.; Abdelrahman, K.; Kasem, S.; Nayel, M. Development and characterization of ORF68 negative equine herpes virus type–1, Ab4p strain. Journal of Virological Methods 2018, 261, 121–131. [Google Scholar] [CrossRef] [PubMed]
- Awan, A.R.; Chong, Y.-C.; Field, H.J. The pathogenesis of equine herpesvirus type 1 in the mouse: a new model for studying host responses to the infection. Journal of General Virology 1990, 71, 1131–1140. [Google Scholar] [CrossRef]
- Badr, Y.; Okada, A.; Abo-Sakaya, R.; Beshir, E.; Ohya, K.; Fukushi, H. Equine herpesvirus type 1 ORF51 encoding UL11 as an essential gene for replication in cultured cells. Archives of Virology 2018, 163, 599–607. [Google Scholar] [CrossRef]
- Brandimarti, R.; Roizman, B. Us9, a stable lysine-less herpes simplex virus 1 protein, is ubiquitinated before packaging into virions and associates with proteasomes. Proceedings of the National Academy of Sciences 1997, 94, 13973–13978. [Google Scholar] [CrossRef] [PubMed]
- Brideau, A.; Banfield, B.W.; Enquist, L. The Us9 gene product of pseudorabies virus, an alphaherpesvirus, is a phosphorylated, tail-anchored type II membrane protein. Journal of Virology 1998, 72, 4560–4570. [Google Scholar] [CrossRef]
- Brideau, A.; Card, J.; Enquist, L. Role of pseudorabies virus Us9, a type II membrane protein, in infection of tissue culture cells and the rat nervous system. Journal of Virology 2000, 74, 834–845. [Google Scholar] [CrossRef]
- Chowdhury, S.; Lee, B.; Mosier, D.; Sur, J.; Osorio, F.; Kennedy, G.; Weiss, M. Neuropathology of bovine herpesvirus type 5 (BHV-5) meningo-encephalitis in a rabbit seizure model. Journal of Comparative Pathology 1997, 117, 295–310. [Google Scholar] [CrossRef] [PubMed]
- Chowdhury, S.; Mahmood, S.; Simon, J.; Al-Mubarak, A.; Zhou, Y. The Us9 gene of bovine herpesvirus 1 (BHV-1) effectively complements a Us9-null strain of BHV-5 for anterograde transport, neurovirulence, and neuroinvasiveness in a rabbit model. Journal of Virology 2006, 80, 4396–4405. [Google Scholar] [CrossRef]
- Chowdhury, S.; Onderci, M.; Bhattacharjee, P.; Al-Mubarak, A.; Weiss, M.; Zhou, Y. Bovine herpesvirus 5 (BHV-5) Us9 is essential for BHV-5 neuropathogenesis. Journal of Virology 2002, 76, 3839–3851. [Google Scholar] [CrossRef]
- Davison, A.J.; Scott, J.E. The complete DNA sequence of varicella-zoster virus. Journal of General Virology 1986, 67, 1759–1816. [Google Scholar] [CrossRef] [PubMed]
- Dolan, A.; Jamieson, F.E.; Cunningham, C.; Barnett, B.C.; McGeoch, D.J. The genome sequence of herpes simplex virus type 2. Journal of Virology 1998, 72, 2010–2021. [Google Scholar] [CrossRef]
- Enquist, L.; Tomishima, M.; Gross, S.; Smith, G. Directional spread of an α-herpesvirus in the nervous system. Veterinary Microbiology 2002, 86, 5–16. [Google Scholar] [CrossRef]
- Frame, M.C.; McGeoch, D.J.; Rixon, F.J.; Orr, A.C.; Marsden, H.S. The 10K virion phosphoprotein encoded by gene US9 from herpes simplex virus type 1. Virology 1986, 150, 321–332. [Google Scholar] [CrossRef]
- Fukushi, H.; Taniguchi, A.; Yasuda, K.; Yanai, T.; Masegi, T.; Yamaguchi, T.; Hirai, K. A hamster model of equine herpesvirus 9 induced encephalitis. Journal of Neurovirology 2000, 6, 314–319. [Google Scholar] [CrossRef] [PubMed]
- Gibson, J.; Slater, J.; Field, H. The pathogenicity of Ab4p, the sequenced strain of equine herpesvirus-1, in specific pathogen-free foals. Virology 1992, 189, 317–319. [Google Scholar] [CrossRef] [PubMed]
- Goehring, L.S.; van Maanen, C.; Sloet van Oldruitenborgh-Oosterbaan, M.M. Neurological syndromes among horses in The Netherlands. A 5 year retrospective survey (1999-2004). Veterinary Quarterly 2005, 27, 11–20. [Google Scholar] [CrossRef]
- Gosztonyi, G.; Borchers, K.; Ludwig, H. Pathogenesis of equine herpesvirus-1 infection in the mouse model. APMIS 2009, 117, 10–21. [Google Scholar] [CrossRef]
- Haanes, E.J.; Tomlinson, C.C. Genomic organization of the canine herpesvirus US region. Virus Research 1998, 53, 151–162. [Google Scholar] [CrossRef]
- Henninger, R.W.; Reed, S.M.; Saville, W.J.; Allen, G.P.; Hass, G.F.; Kohn, C.W.; Sofaly, C. Outbreak of neurologic disease caused by equine herpesvirus-1 at a university equestrian center. Journal of Veterinary Internal Medicine 2007, 21, 157–165. [Google Scholar] [PubMed]
- Howard, P.W.; Howard, T.L.; Johnson, D.C. Herpes simplex virus membrane proteins gE/gI and US9 act cooperatively to promote transport of capsids and glycoproteins from neuron cell bodies into proximal axons. Journal of Virology 2013, 87, 403–414. [Google Scholar] [CrossRef] [PubMed]
- Jackson, T.A.; Osburn, B.; Cordy, D.; Kendrick, J. Equine herpesvirus 1 infection of horses: studies on the experimentally induced neurologic disease. American Journal of Veterinary Research 1977, 38, 709–719. [Google Scholar] [PubMed]
- Kasem, S.; Yu, M.H.H.; Yamada, S.; Kodaira, A.; Matsumura, T.; Tsujimura, K.; Madbouly, H.; Yamaguchi, T.; Ohya, K.; Fukushi, H. The ORF37 (UL24) is a neuropathogenicity determinant of equine herpesvirus 1 (EHV-1) in the mouse encephalitis model. Virology 2010, 400, 259–270. [Google Scholar] [CrossRef]
- Killeen, A.M.; Harrington, L.; Wall, L.V.; Kelly, D.C. Nucleotide sequence analysis of a homologue of herpes simplex virus type 1 gene US9 found in the genome of simian herpes B virus. Journal of General Virology 1992, 73, 195–199. [Google Scholar] [CrossRef] [PubMed]
- Kohn, C.W.; Reed, S.M.; Sofaly, C.D.; Henninger, R.W.; Saville, W.J.; Allen, G.P.; Premanadan, C. Transmission of EHV-1 by horses with EHV-1 myeloencephalopathy: Implications for biosecurity and review. Clinical Techniques in Equine Practice 2006, 5, 60–66. [Google Scholar] [CrossRef]
- Lee, B.J.; Weiss, M.L.; Mosier, D.; Chowdhury, S.I. Spread of bovine herpesvirus type 5 (BHV-5) in the rabbit brain after intranasal inoculation. Journal of Neurovirology 1999, 5, 474–484. [Google Scholar] [CrossRef]
- Leung-Tack, P.; Audonnet, J.C.; Riviere, M. The complete DNA sequence and the genetic organization of the short unique region (US) of the bovine herpesvirus type 1 (ST strain). Virology 1994, 199, 409–421. [Google Scholar] [CrossRef]
- Leutenegger, C.; Madigan, J.; Mapes, S.; Thao, M.; Estrada, M.; Pusterla, N. Detection of EHV-1 neuropathogenic strains using real-time PCR in the neural tissue of horses with myeloencephalopathy. Veterinary Record 2008, 162, 688–690. [Google Scholar] [CrossRef]
- Livak, K.J.; Schmittgen, T.D. Analysis of relative gene expression data using real-time quantitative PCR and the 2-∆∆CT Method. Methods 2001, 25, 402–408. [Google Scholar] [CrossRef]
- Lunn, D.; Davis-Poynter, N.; Flaminio, M.; Horohov, D.; Osterrieder, K.; Pusterla, N.; Townsend, H. Equine herpesvirus-1 consensus statement. Journal of Veterinary Internal Medicine 2009, 23, 450–461. [Google Scholar] [CrossRef]
- Lyman, M.G.; Kemp, C.D.; Taylor, M.P.; Enquist, L.W. Comparison of the pseudorabies virus Us9 protein with homologs from other veterinary and human alphaherpesviruses. Journal of Virology 2009, 83, 6978–6986. [Google Scholar] [CrossRef] [PubMed]
- Matsumura, T.; Kondo, T.; Sugita, S.; Damiani, A.M.; O’Callaghan, D.J.; Imagawa, H. An equine herpesvirus type 1 recombinant with a deletion in the gE and gI genes is avirulent in young horses. Virology 1998, 242, 68–79. [Google Scholar] [CrossRef] [PubMed]
- McGeoch, D.J.; Dolan, A.; Donald, S.; Rixon, F.J. Sequence determination and genetic content of the short unique region in the genome of herpes simplex virus type 1. Journal of Molecular Biology 1985, 181, 1–13. [Google Scholar] [CrossRef] [PubMed]
- McGraw, H.M.; Awasthi, S.; Wojcechowskyj, J.A.; Friedman, H.M. Anterograde spread of herpes simplex virus type 1 requires glycoprotein E and glycoprotein I but not Us9. Journal of Virology 2009, 83, 8315–8326. [Google Scholar] [CrossRef] [PubMed]
- Narita, M.; Uchimura, A.; Kawanabe, M.; Fukushi, H.; Hirai, K. Invasion and spread of equine herpesvirus 9 in the olfactory pathway of pigs after intranasal inoculation. Journal of Comparative Pathology 2001, 124, 265–272. [Google Scholar] [CrossRef]
- Nugent, J.; Birch-Machin, I.; Smith, K.; Mumford, J.; Swann, Z.; Newton, J.; Bowden, R.; Allen, G.; Davis-Poynter, N. Analysis of equid herpesvirus 1 strain variation reveals a point mutation of the DNA polymerase strongly associated with neuropathogenic versus nonneuropathogenic disease outbreaks. Journal of Virology 2006, 80, 4047–4060. [Google Scholar] [CrossRef]
- Okada, A.; Izume, S.; Ohya, K.; Fukushi, H. Equine herpesvirus type 1 tegument protein VP22 is not essential for pathogenicity in a hamster model, but is required for efficient viral growth in cultured cells. Journal of Veterinary Medical Science 2015, 77, 1293–1297. [Google Scholar] [CrossRef] [PubMed]
- Patel, J.; Heldens, J.; 2005. Equine herpesviruses 1 (EHV-1) and 4 (EHV-4)--epidemiology, disease and immunoprophylaxis: a brief review. Veterinary Journal 2005, 170, 14–23. [Google Scholar] [CrossRef]
- Peck, S.C. Analysis of protein phosphorylation: methods and strategies for studying kinases and substrates. Plant Journal 2006, 45, 512–522. [Google Scholar] [CrossRef]
- Robertson, D.; Savage, K.; Reis-Filho, J.S.; Isacke, C.M. Multiple immunofluorescence labelling of formalin-fixed paraffin-embedded (FFPE) tissue. BMC Cell Biology 2008, 9, 13. [Google Scholar] [CrossRef]
- Saxegaard, F. Isolation and identification of equine rhinopneumonitis virus (equine abortion virus) from cases of abortion and paralysis. Nordic Veterinary Medicine 1966, 18, 504–512. [Google Scholar]
- Smith, K.L.; Allen, G.P.; Branscum, A.J.; Cook, R.F.; Vickers, M.L.; Timoney, P.J.; Balasuriya, U.B. The increased prevalence of neuropathogenic strains of EHV-1 in equine abortions. Veterinary Microbiology 2010, 141, 5–11. [Google Scholar] [CrossRef]
- Telford, E.A.; Watson, M.S.; McBride, K.; Davison, A.J. The DNA sequence of equine herpesvirus-1. Virology 1992, 189, 304–316. [Google Scholar] [CrossRef] [PubMed]
- Tomishima, M.; Enquist, L. A conserved α-herpesvirus protein necessary for axonal localization of viral membrane proteins. Journal of Cell Biology 2001, 154, 741–752. [Google Scholar] [CrossRef] [PubMed]
- Tomishima, M.; Smith, G.; Enquist, L. Sorting and transport of alpha herpesviruses in axons. Traffic 2001, 2, 429–436. [Google Scholar] [CrossRef] [PubMed]
- van Zijl, M.; van der Gulden, H.; de Wind, N.; Gielkens, A.; Berns, A. Identification of two genes in the unique short region of pseudorabies virus; comparison with herpes simplex virus and varicella-zoster virus. Journal of General Virology 2001, 71, 1747–1755. [Google Scholar] [CrossRef]
- Vissani, M.; Becerra, M.; Perglione, C.O.; Tordoya, M.; Miño, S.; Barrandeguy, M. Neuropathogenic and non-neuropathogenic genotypes of Equid Herpesvirus type 1 in Argentina. Veterinary Microbiology 2009, 139, 361–364. [Google Scholar] [CrossRef]
- Willemse, M.J.; Strijdveen, I.G.; van Schooneveld, S.H.; van den Berg, M.C.; Sondermeijer, P.J. Transcriptional analysis of the short segment of the feline herpesvirus type 1 genome and insertional mutagenesis of a unique reading frame. Virology 1995, 208, 704–711. [Google Scholar] [CrossRef]
- Yamada, S.; Matsumura, T.; Tsujimura, K.; Yamaguchi, T.; Ohya, K.; Fukushi, H. Comparison of the growth kinetics of neuropathogenic and nonneuropathogenic equid herpesvirus type 1 (EHV-1) strains in cultured murine neuronal cells and the relevance of the D/N752 coding change in DNA polymerase gene (ORF30). Journal of Veterinary Medical Science 2008, 70, 505–511. [Google Scholar] [CrossRef]
- Yanai, T.; Sakai, T.; Fukushi, H.; Hirai, K.; Narita, M.; Sakai, H.; Masegi, T. Neuropathological study of gazelle herpesvirus 1 (equine herpesvirus 9) infection in Thomson’s gazelles (Gazella thomsoni). Journal of Comparative Pathology 1998, 119, 159–168. [Google Scholar] [CrossRef]
- Yu, M.H.; Kasem, S.G.; Tsujimura, K.; Matsumura, T.; Yanai, T.; Yamaguchi, T.; Ohya, K.; Fukushi, H. Diverse pathogenicity of equine herpesvirus 1 (EHV-1) isolates in CBA mouse model. The Journal of veterinary medical science 2010, 72, 301–306. [Google Scholar] [CrossRef] [PubMed]







| Target | Primer | Sequence |
|
rpsL-neo cassette |
1 | 5’-TTT CCC TCT CAG CGA TCA CTT TTC ACC ACC GAA GAA CAG GCC CTC ATC GGG GCC TGG TGA TGA TGG CGG GAT CG -3’ |
| 2 | 5’-GGG CTG TTG TGG GGT AAA AGG TGG TGT TAC GGA AAC ACG CGT GCC AAG AAT CAG AAG AAC TCG TCA AGA AGG CG-3’ | |
|
rpsL-ORF76 |
3 | 5’-TTT CCC TCT CAG CGA TCA CTT TTC ACC ACC GAA GAA CAG GCC CTC ATC GG -3’ |
| 4 | 5’-GGG CTG TTG TGG GGT AAA AGG TGG TGT TAC GGA AAC ACG CGT GCC AAG AA -3’ | |
| ORF76 with EcoRI and NotI | 5 | 5’-ccg gaa ttc ATG GAG AAG GCG GAG GCT GCC GCA-3’ |
| 6 | 5’-aag gaa aaa agc ggc cgc TTA CGG AAA CAC GCG TGC CAA GAA-3’ | |
|
ORF76 |
7 | 5’-CTA CCG TGG AAG CGG TAT GT-3’ |
| 8 | 5’-ATT CTC AGA AGC AGC GGT GT-3’ | |
|
ORF75 |
9 | 5’-CAA CCC TGT CAG AAA CAG CA -3’ |
| 10 | 5’-GGG GGA GGT AGA GTT TCC AG-3’ | |
|
ORF67 |
11 | 5’-TCG GCC CTT ATG TAA TAG CG -3’ |
| 12 | 5’-CTC CTA CTT CAG GCG GTG TC-3’ | |
|
ORF30 |
13 | 5’-gtc agg ccc aca aac ttg at-3’ |
| 14 | 5’-act cgg ttt acg gat tca cg-3’ |
| Virus | Organ1 | Virus titration2 on Day post inoculation |
||||||||||
| 0 | 1 | 2 | 3 | 4 | 5 | 6 | 7 | 8 | 9 | 10 | ||
| Ab4p attB |
O | - | - | - | 200 | 2000 | 300 | 100 | 100 | - | - | - |
| B | - | - | - | 100 | 1000 | 100 | 100 | 100 | - | - | - | |
| L | - | 100 | 200 | 100 | 1000 | 100 | - | - | - | - | - | |
| Ab4p ΔORF76 |
O | - | - | - | - | - | - | - | - | - | - | - |
| B | - | - | - | - | - | - | - | - | - | - | - | |
| L | - | - | 100 | 100 | 100 | - | - | - | - | - | - | |
| Ab4p ΔORF76R |
O | - | - | - | 200 | 300 | 500 | 1000 | 300 | - | - | - |
| B | - | - | - | 100 | 200 | 500 | 2000 | 1000 | - | - | - | |
| L | - | 100 | 300 | 100 | 100 | - | - | - | - | - | - | |
| Virus | Organ1 | Virus titration2 on Day post inoculation |
||||||||||
| 0 | 1 | 2 | 3 | 4 | 5 | 6 | 7 | 8 | 9 | 10 | ||
| Ab4p attB |
O | - | + | + | + | + | + | + | + | + | + | + |
| B | - | + | + | + | + | + | + | + | + | + | + | |
| L | - | + | + | + | + | + | + | + | + | + | + | |
| Ab4p ΔORF76 |
O | - | - | - | - | - | - | - | - | - | - | - |
| B | - | - | - | - | - | - | - | - | - | - | - | |
| L | - | - | + | + | + | + | + | + | + | - | - | |
| Ab4p ΔORF76R |
O | - | + | + | + | + | + | + | + | + | + | + |
| B | - | + | + | + | + | + | + | + | + | + | + | |
| L | - | + | + | + | + | + | + | + | + | + | + | |
Disclaimer/Publisher’s Note: The statements, opinions and data contained in all publications are solely those of the individual author(s) and contributor(s) and not of MDPI and/or the editor(s). MDPI and/or the editor(s) disclaim responsibility for any injury to people or property resulting from any ideas, methods, instructions or products referred to in the content. |
© 2024 by the authors. Licensee MDPI, Basel, Switzerland. This article is an open access article distributed under the terms and conditions of the Creative Commons Attribution (CC BY) license (http://creativecommons.org/licenses/by/4.0/).