Submitted:
16 August 2024
Posted:
19 August 2024
You are already at the latest version
Abstract
Keywords:
1. Introduction:
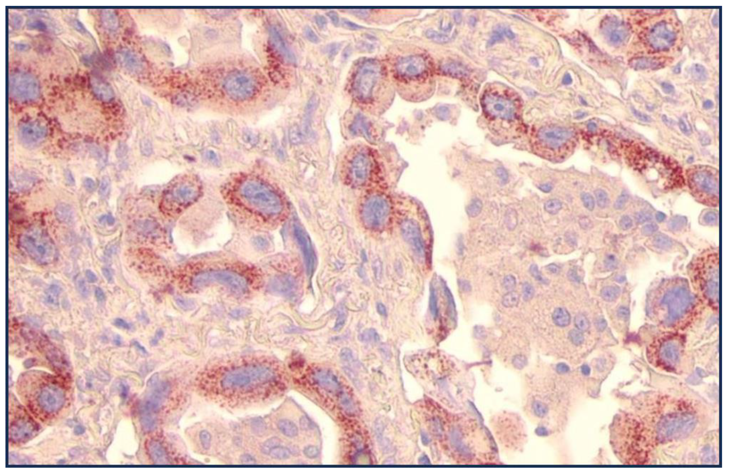
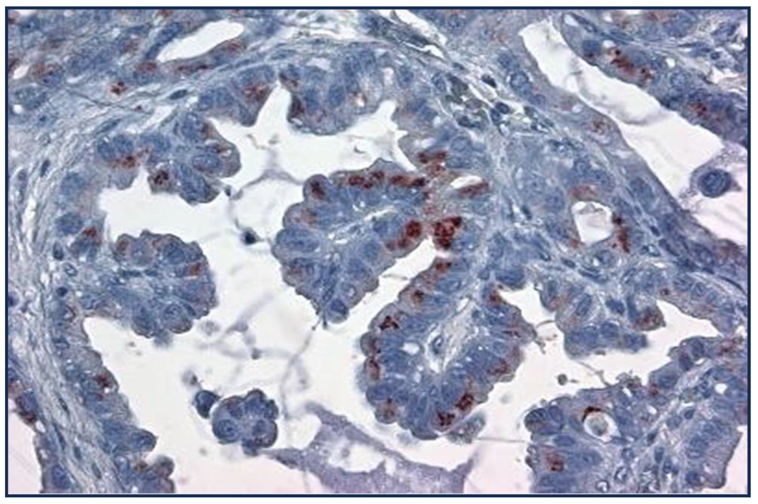
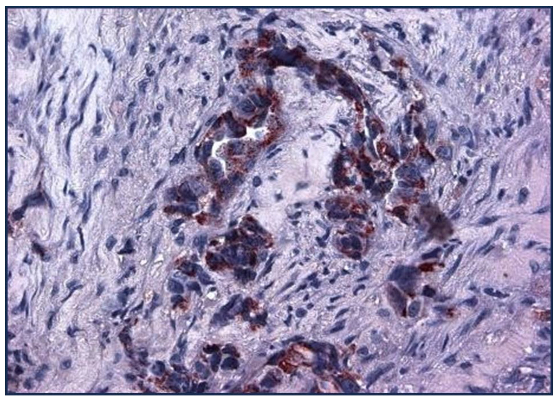
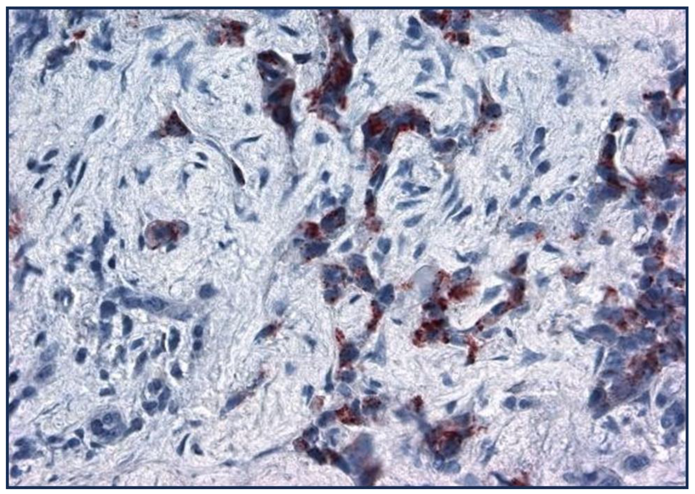
2. Methods:

; solid rectangle for NSCLC,
; a solid circle for squamous cell,
; ;a solid triangle for a large cell,
; a solid pentagram for small cell,
.3. Discussion:
4. Conclusion:
Acknowledgments
References
- Chakraborty RK, Sharma S. Bronchoalveolar Cancer. [Updated 2020 Mar 24]. In: StatPearls [Internet]. Treasure Island (FL): StatPearls Publishing; 2020 Jan-. Available from: https://www.ncbi.nlm.nih.gov/books/NBK513281/.
- Tobi, M.; Bluth, M.H.; Rossi, et al. In the SARS-CoV-2 Pandora Pandemic: Can the Stance of Premorbid Intestinal Innate Immune System as Measured by Fecal Adnab-9 Binding of p87:Blood Ferritin, Yielding the FERAD Ratio, Predict COVID-19 Susceptibility and Survival in a Prospective Population Database? Int. J. Mol. Sci. 2023, 24, 7536. [CrossRef]
- Qi C, Sun SW, Xiong XZ. From COPD to Lung Cancer: Mechanisms Linking, Diagnosis, Treatment, and Prognosis. Int J Chron Obstruct Pulmon Dis. 2022 Oct 17;17:2603-2621. PMID: 36274992; PMCID: PMC9586171. [CrossRef]
- Trivedi NN, Arjomandi M, Brown JK, et al. Risk assessment for indeterminate pulmonary nodules using a novel, plasma-protein based biomarker assay. Biomed Res Clin Pract 2018. [CrossRef]
- Weiss G, Schlegel A, Kottwitz D, et al. Validation of the SHOX2/PTGER4 DNA methylation marker panel for plasma-based discrimination between patients with malignant and nonmalignant lung disease. J Thorac Oncol 2017;12:77–84. [CrossRef]
- Ooki A, Maleki Z, Tsay JJ, et al. A panel of novel detection and prognostic methylated DNA markers in primary non- small cell lung cancer and serum DNA. Clin Cancer Res 2017;23:7141–52. [CrossRef]
- Tobi, M.; Elitsur, Y.; Moyer, M.P.; Halline, A.; Deutsch, M.; Nochomovitz, L.; Luk, G.D. Mucosal origin and shedding of an early colonic tumor marker defined by Adnab-9 monoclonal antibody. Scand. J. Gastroenterol. 1993; 28: 1025–1034. [CrossRef]
- Tobi M, Hatfield J, Adsay V, et al. Prognostic Significance of the Labeling of Adnab- 9, in Pancreatic Intraductal Papillary Mucinous Neoplasms. International Journal of Pancreatology 2001;29:139-48. [CrossRef]
- Tobi M, Darmon E, Rozen P, et al. Urinary organ specific neoantigen-A potentially diagnostic test for colorectal cancer. Dig Dis and Sci 1995;40:1531-7. [CrossRef]
- Martin Tobi, Yosef Y. Tobi, Fadi Antaki, MaryAnn Rambus, Michael Lawson. Preliminary data of a stool test for lung cancer from a prospective study [abstract]. In: Proceedings of the American Association for Cancer Research Annual Meeting 2018; 2018 Apr 14-18; Chicago, IL. Philadelphia (PA): AACR; Cancer Res 2018;78(13 Suppl):Abstract nr 4519. [CrossRef]
- Seijo LM, Peled N, Ajona D et al. Biomarkers in lung cancer screening: Achievements, promises and challenges. J Thoracic Oncol 2018;14:343-357. [CrossRef]
- Shestakova T, Zhuravel E, Bolgova L, et al. Expression of human beta-defensins-1,2, and 4 mRNA in human lung tumor tissue: A pilot study Exp Oncol 2008;2:153-156.
- Arimura Y, Ashitani J-I, Yanagi et al. Elevated serum β-defensins concentrations in patients with lung cancer. Anticancer Research 2004;24:4051-8.
- Gosh SK, McCormick TS and Weinberg A. Human β-defensins and cancer: Contradictions and common ground. Front. Oncol. 2019;9:341. [CrossRef]
- Yuan M, Xhang X-P, Leu Y-L, Xu Y, Ullah N, Lawson M, Tobi M: Fecal Adnab-9 Binding as a Risk Marker for Colorectal Neoplasia. Cancer Letters 235;48-52, 2006. [CrossRef]
- Yuan M, Zhang XP, Tobi M.: ”GP87 as the tumor marker for gastric precancerous conditions.” Chinese Journal of Oncology (suppl) 17:136-8,1995.
- Qiao S, Yuan M, Liu Y-L, Lin X-S, Zhang X-P and Tobi M.: Detection of Gastric Cancer and Pre- malignant Lesions by a Novel Marker GP87 using Monoclonal Antibody Adnab-9. Cancer Epidemiology, Biomarkers and Prevention.2003; 12: 1095- 1099.
- Tobi M, Weinstein D, Kim M, et al. Helicobacter pylori Status May Differentiate Two Distinct Pathways of Gastric Adenocarcinoma Carcinogenesis. Curr Oncol. 2023 Aug 29;30(9):7950- 7963. PMID: 37754493. [CrossRef]
- 19. Tobi M, Kim M, Weinstein DH, et al. Prospective markers for early diagnosis and prognosis of sporadic pancreatic ductal adenocarcinoma. Dig Dis Sci. 2013;58:744-50. Epub 2012 Sep 22. [CrossRef]
- Bhatavdekar JM, Patel DD, Chikhlikar PR, et al. Molecular markers are predictors of recurrence and survival in patients with Dukes B and Dukes C colorectal adenocarcinoma. Dis Colon Rectum. 2001;44:523-33. PMID: 11330579. [CrossRef]
- Chu GCW, Lazare K, and Sullivan F. Serum and blood-based markers for lung cancer screening: a systematic review. BMC Cancer (2018) 18:181. [CrossRef]
- Mehta HJ, Mohammed TL, Jantz MA. The American College of Radiology Lung Imaging Reporting and Data System: Potential Drawbacks and Need for Revision. Chest. 2017 Mar;151(3):539-543. Epub 2016 Aug 10. PMID: 27521737. [CrossRef]
- Rosenblatt MB, Lisa JR, Collier F. Primary and metastatic broncho-alveolar carcinoma. Dis Chest 1967;52:147–152. [PubMed: 6068432].
- Yatabe Y, Dacic S, Borczuk AC, et al. Best Practices Recommendations for Diagnostic Immunohistochemistry in Lung Cancer. J Thorac Oncol. 2019; 14: 377–407. [CrossRef]
- Ritterhouse LL, Vivero M, Mino-Kenudson M, et al. GNAS mutations in primary mucinous and non-mucinous lung adenocarcinomas. Mod Pathol 2017;30:1720–1727. [PubMed: 28776576]. [CrossRef]
- Choi, Y.J., Rho, J.K., Jeon, Bs. et al. Combined inhibition of IGFR enhances the effects of gefitinib in H1650: a lung cancer cell line with EGFR mutation and primary resistance to EGFR-TK inhibitors. Cancer Chemother Pharmacol 66, 381–388 (2010). [CrossRef]
- Bhatt SP, Rabe KF. Hanania NA, et al. Dupilumab for COPD with Type 2 Inflammation Indicated by Eosinophil Counts. N Engl J Med 2023; 389:205-214. [CrossRef]












| Parameter (n) | % Lung Cancer Cases | %Controls | Ψ2: p-VALUE |
|---|---|---|---|
| Age>50 | 77.7 | 61.7 | 2.16(1.37-3.40):<0.001 |
| Male Gender | 92.0 | 88.8 | 1.44(0.72-2.89):0.38 |
| Race black | 66.7 | 52.2 | 1.83(1.22-2.75):<0.005 |
| BMI>28 | 29.3 | 51.3 | 0.39(0.24-0.64):<0.0002 |
| FEV1>1.5L/sec | 89.5 | 83.7 | 1.66(0.37-7.53):0.55 |
| Smoking | 65.3 | 36.1 | 3.34(2.05-5.46): <0.0001 |
| Diabetes | 26.1 | 36.2 | Yates cs 3.25: :0.07 |
| No F/H cancer | 45.3 | 41.2 | Yates cs 0.53:0.47 |
| No other cancer | 18.9 | 28.5 | Yates cs 4.34:0.037 |
| Mortality | 87.5 | 61.1 | 0.23(0.13-0.40):<0.0001 |
| F/H Lung Ca | 1.9 | 0.11 | 16.69(2.33-119.70):<0.02 |
| Parameter | p87- Patients n=26 | p87+ Patients n=25 | p-Value |
|---|---|---|---|
| Age in years±standard deviation | 63.2±9.66 | 67.5±11.2 | p=0.149 |
| Survival (dx to death) | 10.6±4.8 years | 7.3±4.4 years | P=0.35 |
| Ferritin (ng/dL) ±standard deviation | 358±314 | 149±129 | P<0.034 |
| Native p87 cecum elisa (OD-Bg) | 0.132±0.014 | 0.055±0.031 | P<0.035 |
| Native p87 Asc.C. elisa (OD-Bg) | 0.203±0.059 | 0.042±0.023 | P<0.008 |
| FERAD ratio | 179,882±302,992 | 2,987±3492 | P<0.048 |
| Cancer Type | Adnab- 9(p87) |
TTF1(Clones) | NE Marker |
%p63/p40 | CK7 (NRecc) |
|---|---|---|---|---|---|
| Lepidic/BA | 67 | N/A | N/A | ||
| AdenoCa | 32 | 80(muc10-15) | N/A | 20-30 | 94-100 |
| Squamous | 6 | N/A | 5-77mean25% | ||
| Large Cell | 0 | 41 (9-85) | 92 | ||
| Small Cell | 22 | 79-100 | |||
| NSCLC | 15 | 10-20 | 68 | ||
| AdenoSquamous | 27 | N/A | 99 | ||
| Papillary | 74 | N/A | |||
Disclaimer/Publisher’s Note: The statements, opinions and data contained in all publications are solely those of the individual author(s) and contributor(s) and not of MDPI and/or the editor(s). MDPI and/or the editor(s) disclaim responsibility for any injury to people or property resulting from any ideas, methods, instructions or products referred to in the content. |
© 2024 by the authors. Licensee MDPI, Basel, Switzerland. This article is an open access article distributed under the terms and conditions of the Creative Commons Attribution (CC BY) license (http://creativecommons.org/licenses/by/4.0/).