Submitted:
30 July 2024
Posted:
31 July 2024
You are already at the latest version
Abstract
Keywords:
1. Introduction
2. Materials and Methods
2.1. Preparation of Cells
2.2. Seeding on Scaffolds and Distribution of Specimens
2.3. Coculture and Induction of Differentiation
2.4. Histological Evaluation
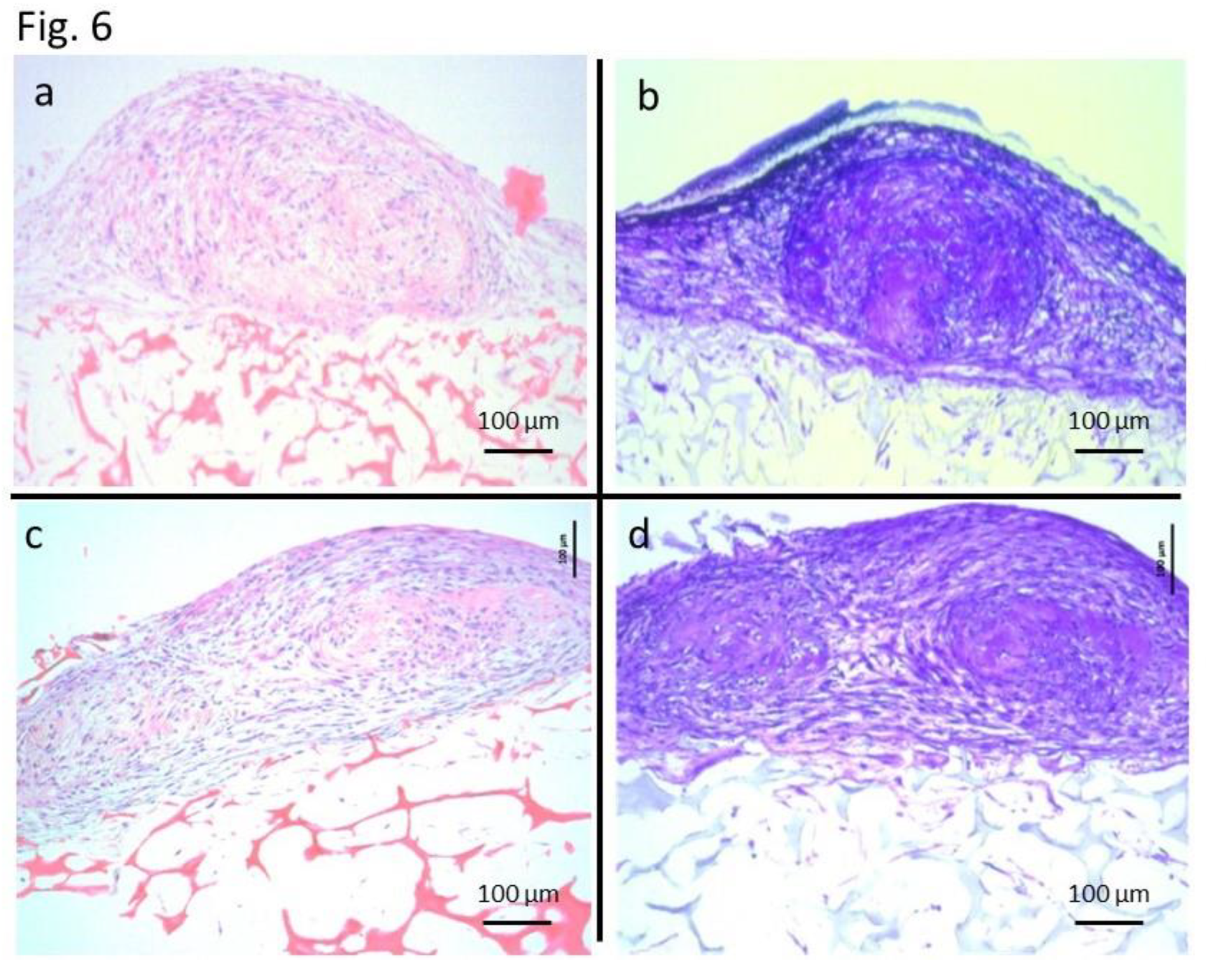
3. Results
4. Discussion
5. Conclusions
Author Contributions
Funding
Institutional Review Board Statement
Informed Consent Statement
Data Availability Statement
Acknowledgments
Conflicts of Interest
References
- Sarugaser, R.; Lickorish, D.; Baksh, D.; Hosseini, M.M.; Davies, J.E. Human umbilical cord perivascular (HUCPV) cells: A source of mesenchymal progenitors. Stem Cells 2005, 23, 220–229. [Google Scholar] [CrossRef] [PubMed]
- Kern, S.; Eichler, H.; Stoeve, J.; Bieback, K. Comparative analysis of mesenchymal stem cells from bone marrow, umbilical cord blood or adipose tissue. Stem Cells 2006, 24, 1294–1301. [Google Scholar] [CrossRef] [PubMed]
- Baba, K.; Yamazaki, Y.; Ikemoto, S.; Aoyagi, K.; Takeda, A.; Uchinuma, E. Osteogenic potential of human umbilical cord-derived mesenchymal stromal cells cultured with umbilical cord blood-derived autoserum. J. Cranio-Maxillofac. Surg. 2012, 40, 768–772. [Google Scholar] [CrossRef] [PubMed]
- Baba, K.; Yamazaki, Y.; Ishiguro, M.; Kumazawa, K.; Aoyagi, K.; Ikemoto, S.; Takeda, A.; Uchinuma, E. Osteogenic potential of human umbilical cord-derived mesenchymal stromal cells cultured with umbilical cord blood-derived fibrin: A preliminary study. J. Cranio-Maxillofac. Surg. 2013, 41, 775–782. [Google Scholar] [CrossRef] [PubMed]
- Li, X.; Bai, J.; Ji, X.; Li, R.; Xuan, Y.; Wang, Y. Comprehensive characterization of four different populations of human mesenchymal stem cells as regards their immune properties. Stem Cells 2020, 38, 1250–1263. [Google Scholar] [CrossRef] [PubMed]
- Shimasaki, T.; Yamamoto, S.; Omura, R.; Ito, K.; Nishide, Y.; Yamada, H.; Ohtomo, K.; Ishisaka, T.; Okano, K.; Ogawa, T.; Tsuji, H.; Matsuo, Y.; Minamoto, T.; Tomosugi, N.; Ferain, E.; Ochiya, T. Novel platform for regulation of extracellular vesicles and metabolites secretion from cells using a multi-linkable horizontal co-culture plate. Micromachines 2021, 12, 1431. [Google Scholar] [CrossRef] [PubMed]
- Ohgushi, H.; Kitamura, S.; Kotobuki, N.; Hirose, M.; Machida, H.; Muraki, K.; et al. Clinical application of marrow mesenchymal stem cells for hard tissue repair. Yonsei Med. J. 2004, 45, 61–67. [Google Scholar] [CrossRef] [PubMed]
- Baba, K.; Yamazaki, Y.; Sons, Y.; Sugimoto, Y.; Moriyama, K. ; Sugimoto, T; Kumazawa, K. , Shimakura Y., Takeda, A. An in vitro long-term study of cryopreserved umbilical cord blood derived platelet-rich plasma containing growth factors-PDGF-BB, TGF-b, and VEGF. J. Cranio-Maxillofac. Surg. 2019, 47, 668–675. [Google Scholar] [CrossRef]
- Shimasaki, T.; Yamamoto, S.; Arisawa, T. Exosome research and co-culture study. Biol. Pharm. Bull. 2018, 41, 1311–1321. [Google Scholar] [CrossRef] [PubMed]
- Pivorinūas, A.; Bernotiene, E.; Unguryte, A.; Valiuniene, S.; Drasutiene, G.; Venalis, A. Isolation and differentiation of mesenchymal stem-like cells from human umbilical cord vein endothelium and subendothelium. Biologija 2006, 2, 99–103. [Google Scholar] [CrossRef]
- Bieback, K.; Brinkmann, I. Mesenchymal stromal cells from human perinatal tissues: From biology to cell therapy. World J. Stem Cells 2010, 2, 81–92. [Google Scholar] [CrossRef] [PubMed]
- Sumi, S.; Kawagoe, M.; Abe, R.; Yanai, G.; Yang, K.C.; Shirouzu, Y. A multiple-funnels cell culture insert for the scale-up production of uniform cell spheroids. Regen. Ther. 2017, 7, 52–60. [Google Scholar] [CrossRef] [PubMed]
- Iliescu, F.S.; Vrtacnik, D.; Neuzil, P.; Iliescu, C. Microfluidic technology for clinical applications of exosomes. Micromachines 2019, 10, 392. [Google Scholar] [CrossRef] [PubMed]
- Pasquier, J.; Magal, P.; Boulange-Lecomte, C.; Webb, G.; Le Foll, F. Consequences of cell-to-cell P-glycoprotein transfer on acquired multidrug resistance in breast cancer: A cell population dynamics model. Biol. Direct 2011, 6, 5. [Google Scholar] [CrossRef] [PubMed]
- Royo, F.; Thery, C.; Falcon-Perez, J.M.; Nieuwland, R.; Witwer, K.W. Methods for separation and characterization of extracellular vesicles: Results of a worldwide survey performed by the ISEV rigor and standardization subcommittee. Cells 2020, 9, 1955. [Google Scholar] [CrossRef] [PubMed]
- Subbarao, R.B.; Ullah, I.; Kim, E.J.; Jang, S.J.; Lee, W.J.; Jeon, R.H.; Kang, D.; Lee, S.L.; Park, B.W.; Rho, G.J. Characterization and evaluation of neuronal trans-differentiation with electrophysiological properties of mesenchymal stem cells isolated from porcine endometrium. Int. J. Mol. Sci. 2015, 16, 10934–10951. [Google Scholar] [CrossRef] [PubMed]







Disclaimer/Publisher’s Note: The statements, opinions and data contained in all publications are solely those of the individual author(s) and contributor(s) and not of MDPI and/or the editor(s). MDPI and/or the editor(s) disclaim responsibility for any injury to people or property resulting from any ideas, methods, instructions or products referred to in the content. |
© 2024 by the authors. Licensee MDPI, Basel, Switzerland. This article is an open access article distributed under the terms and conditions of the Creative Commons Attribution (CC BY) license (http://creativecommons.org/licenses/by/4.0/).