Submitted:
16 July 2024
Posted:
17 July 2024
You are already at the latest version
Abstract
Keywords:
1. Introduction
2. Materials and Methods
3. Tubal Cancer: From Precancerous Lesion to Invasive Carcinoma
4. Imaging Diagnosis
5. Anatomopathological Diagnosis
6. Staging and Management
7. Exceptional Scenarios
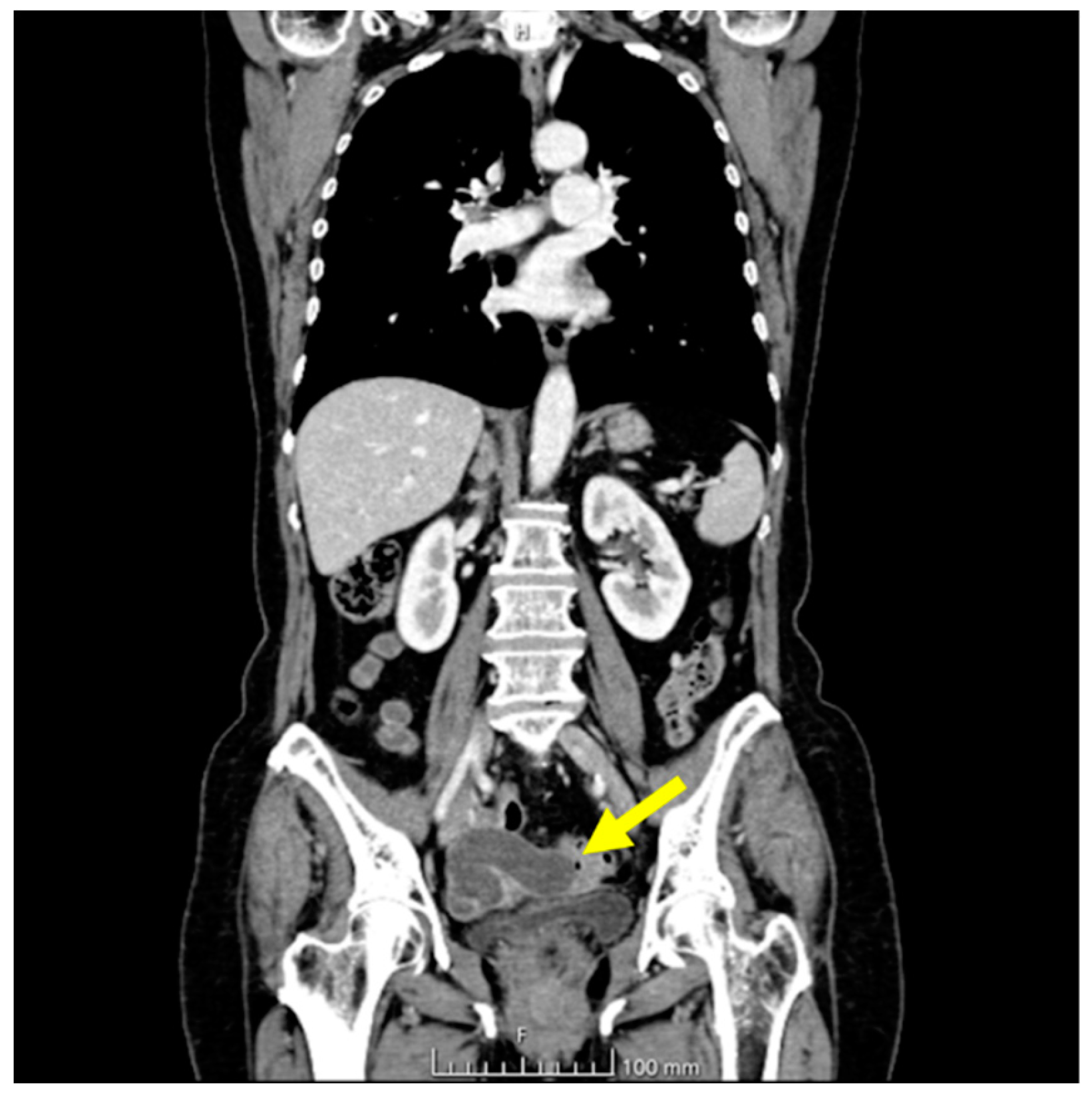
7.1. Case 1
7.2. Case 2
8. Discussion
9. Conclusions
Author Contributions
Funding
Institutional Review Board Statement
Informed Consent Statement
Data Availability Statement
Acknowledgments
Conflicts of Interest
References
- Gottschau, M.; Mellemkjaer, L.; Hannibal, C.G.; Kjaer, S.K. Ovarian and tubal cancer in Denmark: an update on incidence and survival. Acta Obstet Gynecol Scand. 2016, 95, 1181–1189. [Google Scholar] [CrossRef] [PubMed]
- Ludovisi, M.; De Blasis, I.; Virgilio, B.; Fischerova, D.; Franchi, D.; Pascual, M.A.; Savelli, L.; Epstein, E.; Van Holsbeke, C.; Guerriero, S.; Czekierdowski, A.; Zannoni, G.; Scambia, G.; Jurkovic, D.; Rossi, A.; Timmerman, D.; Valentin, L.; Testa, A.C. Imaging in gynecological disease (9): clinical and ultrasound characteristics of tubal cancer. Ultrasound Obstet Gynecol. 2014, 43, 328–335. [Google Scholar] [CrossRef]
- Kurman, R.J.; Shih, I.e.M. The Dualistic Model of Ovarian Carcinogenesis: Revisited, Revised, and Expanded. Am J Pathol. 2016, 186, 733–747. [Google Scholar] [CrossRef] [PubMed]
- Siegel, R.L.; Miller, K.D.; Fuchs, H.E.; Jemal, A. Cancer statistics, 2022. CA Cancer J Clin. 2022, 72, 7–33. [Google Scholar] [CrossRef] [PubMed]
- Bogaerts, J.M.A.; Steenbeek, M.P.; van Bommel, M.H.D.; Bulten, J.; van der Laak, J.A.W.M.; de Hullu, J.A.; Simons, M. Recommendations for diagnosing STIC: a systematic review and meta-analysis. Virchows Arch. 2022, 480, 725–737. [Google Scholar] [CrossRef] [PubMed]
- Stanciu, P.I.; Ind, T.E.J.; Barton, D.P.J.; Butler, J.B.; Vroobel, K.M.; Attygalle, A.D.; Nobbenhuis, M.A.E. Development of Peritoneal Carcinoma in women diagnosed with Serous Tubal Intraepithelial Carcinoma (STIC) following Risk-Reducing Salpingo-Oophorectomy (RRSO). J Ovarian Res. 2019, 12, 50. [Google Scholar] [CrossRef] [PubMed]
- Colombo, N.; Sessa, C.; du Bois, A.; Ledermann, J.; McCluggage, W.G.; McNeish, I.; Morice, P.; Pignata, S.; Ray-Coquard, I.; Vergote, I.; Baert, T.; Belaroussi, I.; Dashora, A.; Olbrecht, S.; Planchamp, F.; Querleu, D.; ESMO-ESGO Ovarian Cancer Consensus Conference Working Group. ESMO-ESGO consensus conference recommendations on ovarian cancer: pathology and molecular biology, early and advanced stages, borderline tumours and recurrent disease†. Ann Oncol. 2019, 30, 672–705. [Google Scholar] [CrossRef] [PubMed]
- Daly, M.B.; Pal, T.; Maxwell, K.N.; Churpek, J.; Kohlmann, W.; AlHilli, Z.; Arun, B.; Buys, S.S.; Cheng, H.; Domchek, S.M.; Friedman, S.; Giri, V.; Goggins, M.; Hagemann, A.; Hendrix, A.; Hutton, M.L.; Karlan, B.Y.; Kassem, N.; Khan, S.; Khoury, K.; Kurian, A.W.; Laronga, C.; Mak, J.S.; Mansour, J.; McDonnell, K.; Menendez, C.S.; Merajver, S.D.; Norquist, B.S.; Offit, K.; Rash, D.; Reiser, G.; Senter-Jamieson, L.; Shannon, K.M.; Visvanathan, K.; Welborn, J.; Wick, M.J.; Wood, M.; Yurgelun, M.B.; Dwyer, M.A.; Darlow, S.D. NCCN Guidelines® Insights: Genetic/Familial High-Risk Assessment: Breast, Ovarian, and Pancreatic, Version 2.2024. J Natl Compr Canc Netw. 2023, 21, 1000–1010. [Google Scholar] [CrossRef] [PubMed]
- Page, M.J.; McKenzie, J.E.; Bossuyt, P.M.; Boutron, I.; Hoffmann, T.C.; Mulrow, C.D.; et al. The PRISMA 2020 statement: an updated guideline for reporting systematic reviews. BMJ 2021, 372, n71. [Google Scholar] [CrossRef]
- Corzo, C.; Iniesta, M.D.; Patrono, M.G.; Lu, K.H.; Ramirez, P.T. Role of Fallopian Tubes in the Development of Ovarian Cancer. J Minim Invasive Gynecol. 2017, 24, 230–234. [Google Scholar] [CrossRef]
- Ludovisi, M.; Bruno, M.; Capanna, G.; Di Florio, C.; Calvisi, G.; Guido, M. Sonographic features of pelvic tuberculosis mimicking ovarian-tubal-peritoneal carcinoma. Ultrasound Obstet Gynecol. 2023, 61, 536–538. [Google Scholar] [CrossRef] [PubMed]
- Shih, I.M.; Wang, Y.; Wang, T.L. The Origin of Ovarian Cancer Species and Precancerous Landscape. Am J Pathol. 2021, 191, 26–39. [Google Scholar] [CrossRef] [PubMed]
- Bogaerts, J.M.A.; van Bommel, M.H.D.; Hermens, R.P.M.G.; Steenbeek, M.P.; de Hullu, J.A.; van der Laak, J.A.W.M.; STIC consortium; Simons, M. Consensus based recommendations for the diagnosis of serous tubal intraepithelial carcinoma: an international Delphi study. Histopathology. 2023, 83, 67–79. [Google Scholar] [CrossRef] [PubMed]
- Rabban, J.T.; Garg, K.; Crawford, B.; Chen, L.M.; Zaloudek, C.J. Early detection of high-grade tubal serous carcinoma in women at low risk for hereditary breast and ovarian cancer syndrome by systematic examination of fallopian tubes incidentally removed during benign surgery. Am J Surg Pathol. 2014, 38, 729–742. [Google Scholar] [CrossRef] [PubMed]
- Li, H.X.; Lu, Z.H.; Shen, K.; Cheng, W.J.; Malpica, A.; Zhang, J.; Wei, J.J.; Zhang, Z.H.; Liu, J. Advances in serous tubal intraepithelial carcinoma: correlation with high grade serous carcinoma and ovarian carcinogenesis. Int J Clin Exp Pathol. 2014, 7, 848–857. [Google Scholar] [PubMed]
- Patrono, M.G.; Iniesta, M.D.; Malpica, A.; Lu, K.H.; Fernandez, R.O.; Salvo, G.; Ramirez, P.T. Clinical outcomes in patients with isolated serous tubal intraepithelial carcinoma (STIC): A comprehensive review. Gynecol Oncol. 2015, 139, 568–572. [Google Scholar] [CrossRef] [PubMed]
- Steenbeek, M.P.; van Bommel, M.H.D.; Bulten, J.; Hulsmann, J.A.; Bogaerts, J.; Garcia, C.; Cun, H.T.; Lu, K.H.; van Beekhuizen, H.J.; Minig, L.; Gaarenstroom, K.N.; Nobbenhuis, M.; Krajc, M.; Rudaitis, V.; Norquist, B.M.; Swisher, E.M.; Mourits, M.J.E.; Massuger, L.F.A.G.; Hoogerbrugge, N.; Hermens, R.P.M.G.; IntHout, J.; de Hullu, J.A. Risk of Peritoneal Carcinomatosis After Risk-Reducing Salpingo-Oophorectomy: A Systematic Review and Individual Patient Data Meta-Analysis. J Clin Oncol. 2022, 40, 1879–1891. [Google Scholar] [CrossRef] [PubMed]
- van der Ven, J.; Linz, V.C.; Anic, K.; Schmidt, M.W.; Loewe, A.; Krajnak, S.; Schmidt, M.; Kommoss, S.; Schmalfeldt, B.; Sehouli, J.; Hasenburg, A.; Battista, M.J. A questionnaire-based survey on the diagnostic and therapeutic approaches for patients with STIC in Germany. Arch Gynecol Obstet. 2023, 308, 527–534. [Google Scholar] [CrossRef]
- Tongsong, T.; Wanapirak, C.; Tantipalakorn, C.; Tinnangwattana, D. Sonographic Diagnosis of Tubal Cancer with IOTA Simple Rules Plus Pattern Recognition. Asian Pac J Cancer Prev. 2017, 18, 3011–3015. [Google Scholar] [PubMed]
- Fedoua, W.; Mouna, H.; Hasana, S.; Boufettal, H.; Mahdaoui, S.; Samouh, N. Tubal adenocarcinoma: Report of 3 cases and review of the literature. Int J Surg Case Rep. 2023, 109, 108494. [Google Scholar] [CrossRef]
- Berek, J.S.; Renz, M.; Kehoe, S.; Kumar, L.; Friedlander, M. Cancer of the ovary, fallopian tube, and peritoneum: 2021 update. Int J Gynaecol Obstet. 2021, 155 (Suppl 1), 61–85. [Google Scholar] [CrossRef] [PubMed]
- Onda, T.; Tanaka, Y.O.; Kitai, S.; Manabe, T.; Ishikawa, M.; Hasumi, Y.; Miyamoto, K.; Ogawa, G.; Satoh, T.; Saito, T.; Kasamatsu, T.; Nakanishi, T.; Japan Clinical Oncology Group. Stage III disease of ovarian, tubal and peritoneal cancers can be accurately diagnosed with pre-operative CT. Japan Clinical Oncology Group Study JCOG0602. Jpn J Clin Oncol. 2021, 51, 205–212. [Google Scholar] [CrossRef]
- Howitt, B. E.; Hanamornroongruang, S.; Lin, D. I.; Conner, J. E.; Schulte, S.; Horowitz, N.; Crum, C.P.; Meserve, E.E. Evidence for a Dualistic Model of High-grade Serous Carcinoma. The American Journal of Surgical Pathology 2015, 39, 287–293. [Google Scholar] [CrossRef]
- Fagotti, A.; Perelli, F.; Pedone, L.; Scambia, G. Current Recommendations for Minimally Invasive Surgical Staging in Ovarian Cancer. Curr Treat Options Oncol. 2016, 17, 3. [Google Scholar] [CrossRef] [PubMed]
- Fagotti, A.; Ferrandina, G.; Fanfani, F.; Garganese, G.; Vizzielli, G.; Carone, V.; Salerno, M.G.; Scambia, G. Prospective validation of a laparoscopic predictive model for optimal cytoreduction in advanced ovarian carcinoma. Am J Obstet Gynecol. 2008, 199, 642.e1–642.e6. [Google Scholar] [CrossRef]
- Han, J.; Sadiq, N.M. Anatomy, Abdomen and Pelvis: Fallopian Tube. In StatPearls [Internet]; StatPearls Publishing: Treasure Island (FL), 2024. [Google Scholar]
- Terada, K.Y.; Ahn, H.J.; Kessel, B. Differences in risk for type 1 and type 2 ovarian cancer in a large cancer screening trial. J Gynecol Oncol. 2016, 27, e25. [Google Scholar] [CrossRef]
- Visvanathan, K.; Shaw, P.; May, B.J.; Bahadirli-Talbott, A.; Kaushiva, A.; Risch, H.; Narod, S.; Wang, T.L.; Parkash, V.; Vang, R.; Levine, D.A.; Soslow, R.; Kurman, R.; Shih, I.M. Fallopian Tube Lesions in Women at High Risk for Ovarian Cancer: A Multicenter Study. Cancer Prev Res (Phila). 2018, 11, 697–706. [Google Scholar] [CrossRef] [PubMed]
- Sherman, M.E.; Piedmonte, M.; Mai, P.L.; Ioffe, O.B.; Ronnett, B.M.; Van Le, L.; Ivanov, I.; Bell, M.C.; Blank, S.V.; DiSilvestro, P.; Hamilton, C.A.; Tewari, K.S.; Wakeley, K.; Kauff, N.D.; Yamada, S.D.; Rodriguez, G.; Skates, S.J.; Alberts, D.S.; Walker, J.L.; Minasian, L.; Lu, K.; Greene, M.H. Pathologic findings at risk-reducing salpingo-oophorectomy: primary results from Gynecologic Oncology Group Trial GOG-0199. J Clin Oncol. 2014, 32, 3275–3283. [Google Scholar] [CrossRef]
- van Bommel, M.H.D.; Steenbeek, M.P.; IntHout, J.; Hermens, R.P.M.G.; Hoogerbrugge, N.; Harmsen, M.G.; van Doorn, H.C.; Mourits, M.J.E.; van Beurden, M.; Zweemer, R.P.; Gaarenstroom, K.N.; Slangen, B.F.M.; Brood-van Zanten, M.M.A.; Vos, M.C.; Piek, J.M.; van Lonkhuijzen, L.R.C.W.; Apperloo, M.J.A.; Coppus, S.F.P.J.; Prins, J.B.; Custers, J.A.E.; de Hullu, J.A. Cancer worry among BRCA1/2 pathogenic variant carriers choosing surgery to prevent tubal/ovarian cancer: course over time and associated factors. Support Care Cancer. 2022, 30, 3409–3418. [Google Scholar] [CrossRef]
- Gentry-Maharaj, A.; Glazer, C.; Burnell, M.; Ryan, A.; Berry, H.; Kalsi, J.; Woolas, R.; Skates, S.J.; Campbell, S.; Parmar, M.; Jacobs, I.; Menon, U. Changing trends in reproductive/lifestyle factors in UK women: descriptive study within the UK Collaborative Trial of Ovarian Cancer Screening (UKCTOCS). BMJ Open. 2017, 7, e011822. [Google Scholar] [CrossRef]
- Maurer, T.; Belau, M.H.; von Grundherr, J.; Schlemmer, Z.; Patra, S.; Becher, H.; Schulz, K.H.; Zyriax, B.C.; Schmalfeldt, B.; Chang-Claude, J. Randomised controlled trial testing the feasibility of an exercise and nutrition intervention for patients with ovarian cancer during and after first-line chemotherapy (BENITA-study). BMJ Open. 2022, 12, e054091. [Google Scholar] [CrossRef] [PubMed]
- Taylor, J.A.; Burnell, M.; Ryan, A.; Karpinskyj, C.; Kalsi, J.K.; Taylor, H.; Apostolidou, S.; Sharma, A.; Manchanda, R.; Woolas, R.; Campbell, S.; Parmar, M.; Singh, N.; Jacobs, I.J.; Menon, U.; Gentry-Maharaj, A. Association of hysterectomy and invasive epithelial ovarian and tubal cancer: a cohort study within UKCTOCS. BJOG. 2022, 129, 110–118. [Google Scholar] [CrossRef] [PubMed]
- Onda, T.; Satoh, T.; Saito, T.; Kasamatsu, T.; Nakanishi, T.; Nakamura, K.; Wakabayashi, M.; Takehara, K.; Saito, M.; Ushijima, K.; Kobayashi, H.; Kawana, K.; Yokota, H.; Takano, M.; Takeshima, N.; Watanabe, Y.; Yaegashi, N.; Konishi, I.; Kamura, T.; Yoshikawa, H.; Japan Clinical Oncology Group. Comparison of treatment invasiveness between upfront debulking surgery versus interval debulking surgery following neoadjuvant chemotherapy for stage III/IV ovarian, tubal, and peritoneal cancers in a phase III randomised trial: Japan Clinical Oncology Group Study JCOG0602. Eur J Cancer. 2016, 64, 22–31. [Google Scholar] [PubMed]
- Onda, T.; Satoh, T.; Ogawa, G.; Saito, T.; Kasamatsu, T.; Nakanishi, T.; Mizutani, T.; Takehara, K.; Okamoto, A.; Ushijima, K.; Kobayashi, H.; Kawana, K.; Yokota, H.; Takano, M.; Kanao, H.; Watanabe, Y.; Yamamoto, K.; Yaegashi, N.; Kamura, T.; Yoshikawa, H.; Japan Clinical Oncology Group. Comparison of survival between primary debulking surgery and neoadjuvant chemotherapy for stage III/IV ovarian, tubal and peritoneal cancers in phase III randomised trial. Eur J Cancer. 2020, 130, 114–125. [Google Scholar] [CrossRef] [PubMed]
- Rouzier, R.; Gouy, S.; Selle, F.; Lambaudie, E.; Floquet, A.; Fourchotte, V.; Pomel, C.; Colombo, P.E.; Kalbacher, E.; Martin-Francoise, S.; Fauvet, R.; Follana, P.; Lesoin, A.; Lecuru, F.; Ghazi, Y.; Dupin, J.; Chereau, E.; Zohar, S.; Cottu, P.; Joly, F. Efficacy and safety of bevacizumab-containing neoadjuvant therapy followed by interval debulking surgery in advanced ovarian cancer: Results from the ANTHALYA trial. Eur J Cancer. 2017, 70, 133–142. [Google Scholar] [CrossRef]
- Menon, U.; Gentry-Maharaj, A.; Burnell, M.; Ryan, A.; Kalsi, J.K.; Singh, N.; Dawnay, A.; Fallowfield, L.; McGuire, A.J.; Campbell, S.; Skates, S.J.; Parmar, M.; Jacobs, I.J. Mortality impact, risks, and benefits of general population screening for ovarian cancer: the UKCTOCS randomised controlled trial. Health Technol Assess. 2023 May 11, 1–81. [CrossRef]
- Vizzielli, G.; Costantini, B.; Tortorella, L.; Pitruzzella, I.; Gallotta, V.; Fanfani, F.; Gueli Alletti, S.; Cosentino, F.; Nero, C.; Scambia, G.; Fagotti, A. A laparoscopic risk-adjusted model to predict major complications after primary debulking surgery in ovarian cancer: A single-institution assessment. Gynecol Oncol. 2016, 142, 19–24. [Google Scholar] [CrossRef]





| First author, year, title [ref] | Country, duration of observation | Type of Study | Aim of the study | Tubal/ovarian/peritoneal cancer patients | Primary tubal cancer patients N (%) |
PDS N (%) |
IDS N (%) |
| Sherman, 2014 [29] Pathologic Findings at Risk-Reducing Salpingo-Oophorectomy: Primary Results From Gynecologic Oncology Group Trial GOG-0199 |
United States and Australia, from June 2003 to November 2006 | Prospective Trial Gynecologic Oncology Group Protocol-0199 (GOG-0199), the National Ovarian Cancer Prevention and Early Detection Study |
The trial looked at detecting tubal/ovarian/peritoneal cancer during risk-reducing salpingo-oophorectomy (RRSO). A total of 2605 high-risk women enrolled in the GOG-0199 trial, with 966 women undergoing RRSO to assess cancer prevalence at the baseline surgery. |
25 | 10(40%) | 25 (100%) | 0 |
| Terada, 2016 [27] Differences in risk for type 1 and type 2 ovarian cancer in a large cancer screening trial |
United States, from November 1993 to July 2001 | Prospective trial Prostate, Lung, Colorectal, and Ovarian (PLCO) cancer screening trial |
The study investigated the impact of previous gynecologic surgery, hormone use, and non-steroidal anti-inflammatory drugs on the risk of type 1 and type 2 ovarian cancer (OC). Data from the Prostate, Lung, Colorectal, and Ovarian (PLCO) cancer screening trial was utilized, dividing OC into three groups. Ibuprofen use was linked to a decreased risk of type 1 OC, while tubal ligation, oral contraceptive use, and a history of ectopic pregnancy were associated with decreased risks of type 2 OC. Findings suggested the fallopian tube playing a significant role in carcinogenesis for both OC types. | 486 | - | - | - |
| Onda, 2016 [34] Comparison of treatment invasiveness between upfront debulking surgery versus interval debulking surgery following neoadjuvant chemotherapy for stage III/IV ovarian, tubal, and peritoneal cancers in a phase III randomised trial: Japan Clinical Oncology Group Study JCOG0602 |
Japan, from November 2006 to October 2011 | Phase III prospective randomised trial Japan Clinical Oncology Group Study JCOG0602 |
The trial compared upfront primary debulking surgery (PDS) and interval debulking surgery (IDS) after neoadjuvant chemotherapy (NACT) for stage III/IV ovarian/tubal/peritoneal cancers. The findings indicated that NACT treatment is less invasive than standard treatment. | 301 | 5 (1.6%) |
149 (49.5%) |
152 (50.5%) |
| Gentry-Maharaj, 2017 [31] Changing trends in reproductive/ lifestyle factors in UK women: descriptive study within the UK Collaborative Trial of Ovarian Cancer Screening (UKCTOCS) |
United Kingdom, from April 2001 to October 2006 | Prospective birth cohort analysis UK Collaborative Trial of Ovarian Cancer Screening (UKCTOCS) |
In the trial with 202,638 postmenopausal women recruited, differences in reproductive factors were registered across UK birth cohorts. Younger cohorts reported lower age of menarche, smaller family size, increased use of oral contraceptives, and infertility treatments, along with a decrease in menopause age post-1945. These shifts in hormone exposure may contribute to trends in breast, endometrial, ovarian cancers, osteoporosis, heart disease, and neurodegenerative disorders. Further study could clarify their impact on disease incidence and mortality in detail. | - | - | - | - |
| Rouzier, 2017 [36] Efficacy and safety of bevacizumab-containing neoadjuvant therapy followed by interval debulking surgery in advanced ovarian cancer: Results from the ANTHALYA trial |
France, from January 2013 to June 2014 | Prospective phase II study ANTHALYA trial |
The study compared two neoadjuvant chemotherapeutic regimens, carboplatin-paclitaxel (CP) vs. bevacizumab-carboplatin-paclitaxel (BCP), for patients with initially unresectable stage IIIC/IV ovarian, tubal, or peritoneal cancer. The results showed that the complete response rate (CRR) with BCP was significantly higher than the reference rate. The study suggests that adding bevacizumab to the preoperative program for non-optimally resectable patients may be safe and beneficial, regardless of the final surgical decision. | 205 | - | 71 (34.6%) |
134 (65.4%) |
| Onda, 2020 [35] Comparison of survival between primary debulking surgery and neoadjuvant chemotherapy for stage III/IV ovarian, tubal and peritoneal cancers in phase III randomised trial |
Japan, from November 2006 to October 2011 | Phase III prospective randomised trial Japan Clinical Oncology Group Study JCOG0602 |
The study investigated the comparison between primary debulking surgery (PDS) and neoadjuvant chemotherapy (NACT) for stage III/IV ovarian, tubal, and peritoneal cancers. The EORTC55971, the CHORUS study and the preliminary analysis published by Onda et al. in 2016 showed that NACT was noninferior to PDS. However, a final analysis, including overall survival (OS) as the primary endpoint, did not confirm the noninferiority of NACT. The study suggests that NACT may not always be a substitute for PDS, but due to the smaller sample size, the findings of previous studies supporting NACT’s noninferiority cannot be dismissed. | 301 | 5 (1.6%) |
149 (49.5%) |
152 (50.5%) |
| Onda, 2021 [22] Stage III disease of ovarian, tubal and peritoneal cancers can be accurately diagnosed with pre-operative CT. Japan Clinical Oncology Group Study JCOG0602 |
Japan, from November 2006 to October 2011 | Phase III prospective randomised trial Japan Clinical Oncology Group StudyJCOG0602 |
The study compared computed tomography (CT) staging with surgico-pathological staging in advanced ovarian cancer patients undergoing neoadjuvant chemotherapy (NACT). CT staging showed high accuracy for identifying surgical stage III disease but was less reliable for specific details like small extra-pelvic peritoneal disease. While CT staging can be a reliable surrogate for diagnosing stage III disease without surgical diagnosis, its reliability for diagnosing stage IIIB disease (lesions smaller than 2 cm) is inadequate. | 301 | 5 (1.6%) |
149 (49.5%) |
152 (50.5%) |
| Taylor 2021 [33] Association of hysterectomy and invasive epithelial ovarian and tubal cancer: a cohort study within UKCTOCS |
United Kingdom, from 2001 to 2005, follow up until December 2014 | Prospective study UK Collaborative Trial of Ovarian Cancer Screening (UKCTOCS) |
The study investigated through questionnaires 202,506 postmenopausal women from the UK Collaborative Trial of Ovarian Cancer Screening (UKCTOCS). It explored if hysterectomy with conservation of adnexa affected ovarian/tubal cancer risk. Results showed 0.55% of women with hysterectomy and 0.59% with intact uteri were diagnosed with ovarian/tubal cancer, indicating no significant association. The study reinforces that hysterectomy does not alter invasive ovarian and tubal cancer risk. These findings are crucial for clinical counseling and improving risk prediction models. | 1176 (178 type I, 890 type II, 108 type uncertain) |
- | - | - |
| Maurer, 2022 [32] Randomised controlled trial testing the feasibility of an exercise and nutrition intervention for patients with ovarian cancer during and after first-line chemotherapy (BENITA-study) |
Germany, from April 2018 to Sept 2019 | Randomised controlled Trial The BENITA (Bewegungs- und Ernährungsintervention bei Ovarialkrebs) study |
This pilot study evaluated a combined exercise and nutrition intervention’s safety and acceptance during and after first-line chemotherapy for advanced ovarian cancer following primary or interval debulking surgery. The study, conducted as a randomized controlled trial (RCT), demonstrated the intervention’s safety and acceptance. The larger BENITA study aims to investigate the intervention’s impact on quality of life, fatigue, and survival, with plans to integrate it into oncology guidelines and clinical practice. | 15 | - | 12 | 3 |
| vanBommel, 2022 [30] Cancer worry among BRCA1/2 pathogenic variant carriers choosing surgery to prevent tubal/ovarian cancer: course over time and associated factors |
Netherlands, from 2015 ongoing | Prospective study Prospective TUBA-study (NCT02321228): Early Salpingectomy (Tubectomy) With Delayed Oophorectomy in BRCA1/2 Gene Mutation Carriers (TUBA) |
This study evaluated 577 BRCA1/2-PV carriers: 57% had high cancer worry pre-surgery, decreasing to 54% post-surgery. Factors influencing high worry were age, unemployment, prior breast cancer, lower education, and recent diagnosis. While most saw decreased worry after surgery, a subset (6%) maintained major concerns even a year later, suggesting the need for extra support for this group. | - | - | - | - |
| Menon, 2023 [37] Mortality impact, risks, and benefits of general population screening for ovarian cancer: the UKCTOCS randomised controlled trial |
United Kingdom: 27 primary care trusts adjacent to 13 trial centres based at NHS Trusts in England, Wales and Northern Ireland, from April 2001 to September 2005, screening until December 2011, follow up until 2020. | Randomised controlled trial. UK Collaborative Trial of Ovarian Cancer Screening (UKCTOCS) |
The study compared two screening methods: multimodal screening (MMS) and ultrasound screening (USS) with a control group receiving no screening. Postmenopausal women aged 50–74 with intact ovaries and no history of ovarian or non-ovarian cancer were divided into three groups. Over a 16.3-year follow-up, both MMS and USS did not show a significant reduction in deaths due to ovarian or tubal cancer compared to the control group. The MMS group had higher rates of detecting early-stage cancer, while the USS group did not show a difference in cancer stage detection compared to the control group. | 2055 (1% of all enrolled women) 522 of 50,625 in the blood group 517 of 50,623 in the scan group 1016 of 101,314 in the no-screening group |
- | - | - |
Disclaimer/Publisher’s Note: The statements, opinions and data contained in all publications are solely those of the individual author(s) and contributor(s) and not of MDPI and/or the editor(s). MDPI and/or the editor(s) disclaim responsibility for any injury to people or property resulting from any ideas, methods, instructions or products referred to in the content. |
© 2024 by the authors. Licensee MDPI, Basel, Switzerland. This article is an open access article distributed under the terms and conditions of the Creative Commons Attribution (CC BY) license (http://creativecommons.org/licenses/by/4.0/).