Preprint
Case Report

This version is not peer-reviewed.

Acute Myocardial Infarction Due to Spontaneous Coronary Artery Dissection at 36 weeks of Pregnancy: A Case Report

A peer-reviewed article of this preprint also exists.

Submitted:

05 July 2024

Posted:

05 July 2024

You are already at the latest version

Abstract
(1) Background: Acute myocardial infarction in pregnancy (pAMI) is a rare event, often caused by non-classical factors rather than atherosclerosis. The management of such a complicationrequires a multidisciplinary team and it is important to bring together the specialities involved to ensure that these teams are coordinated and ready to respond. The management of pAMI poses unique challenges as it requires considering both maternal and fetal well-being. (2) Methods: We present the case of a 36-week pregnant woman who presented with antero-lateral ST elevation myocardial infarction (STEMI) complicated by cardiogenic shock. To ensure comprehensive decision-making, an emergency Pregnancy Heart Team meeting was convened, comprising interventional cardi-ologists, gynecologists, and anesthesiologists. The team prioritized interventional treatment for pAMI, according to ESC guidelines, and opted for primary percutaneous coronary intervention (PCI) due to the unstable maternal condition.; (3) Results: The patient underwent primary PCI as the chosen intervention for pAMI. A rapid response gynecology team closely monitored the procedure and was prepared to intervene in case of irreversible hemodynamic compromise leading to cardiac arrest. An emergency caesarean section was deemed necessary if cardiac ac-tivity was not restored within 4 minutes.; (4) Conclusions: Managing pAMI requires a multidis-ciplinary approach that balances the maternal and fetal well-being. In this particular case, the Pregnancy Heart Team decided to prioritize interventional treatment with primary PCI due to the unstable maternal condition. The presence of a closely monitored gynecology team ensured prompt action in case of complications.
Keywords: 
;  ;  ;  ;  ;  

1. Introduction

Pregnancy related myocardial infarction is a rare event estimated to occur in 2.8 to 8.1 per 100 000 deliveries but represents a consistent percentage of maternal cardiac deaths (over 20%). [1] The frequent occurrence of non-atherosclerotic causes complicates medical and interventional decisions. Classical plaque rupture/erosion with intracoronary thrombus accounts for a little number of events. On the other side spontaneous coronary artery dissection (SCAD) prevalence is unknown but always more recognized and can be considered as the principal cause. [2] SCAD both pregnancy and non pregnancy related poses a real challenge to interventionalists and therefore conservative management and clinical observation, where possible, is generally recommended. We hereby present the case of a 36 weeks pregnant woman who came to our attention with anterolateral STEMI complicated by cardiogenic shock.

2. Case Presentation

M.G. is a 38 years old woman with two previous physiological pregnancies (G2P2), who was 36 weeks of gestation in her third uneventful pregnancy. All the ultrasound scans (US) performed highlighted a regular fetal growth and normal placental functional markers. No risk-increasing facts for cardiovascular disease were highlighted, except for smoking, which she had temporarily quitted.
Around 11 in the morning she started experiencing crushing chest pain with profuse sweating, as symptoms continued to increase, she decided to call 911. At the emergency team arrival, the patient was cold and clammy with systolic pressure sitting at around 80 mmHg, a 12 lead electrocardiogram was obtained showing normal sinus rhythm with ST elevation in anterior and lateral leads. The ECG was immediately transmitted to the local CCU which promptly activated the STEMI protocol involving the on call interventional cardiologist (Figure 1). Only 250 mg of injectable aspirin were administered en-route.
Due to the unusual setting involving a 36 weeks pregnant woman several other specialists were involved in the care process setting up an emergency pregnancy heart team involving cardiologists, gynecologists, anesthesiologists, pediatricians and the radiology specialist. Emergency bed side echocardiogram showed significant left ventricular compromise with an estimated ejection fraction of 30-35% with anterior, lateral and apical akinesia. Due to the unstable and acute condition of the woman a decision was quickly made to proceed with an emergency coronary angiography and PCI. A rapid response gynecology team followed the procedure ready to intervene promptly in case of maternal deterioration with unresponsive cardiac arrest. Full anticoagulation was achieved with 7000 IU of unfractioned heparin. A 6F left radial access was obtained, aiming to be as coaxial as possible, and the left coronary artery angiogram was obtained with a standard 6F JL 3.5 catheter showing LM dissection involving the ostial LAD which showed complete occlusion with TIMI 0 flow.
Percutaneous coronary intervention was therefore considered appropriate and a purposely undersized EBU 3.0 6F was selected. Regarding mechanical circulatory support only intra-aortic balloon pump was available. After rapid consultation, considering the insertion of the device, a decision was made to not proceed given the potential lengthening of the procedure, the need for femoral access and the issue of scanning the fetus with the XR detector. A safety wire, Terumo Runthrough floppy, was immediately placed on the patent left circumflex artery whilst after failing wiring on the left anterior descending with a Balance Middleweight wire a Sion wire was advanced up to the apical LAD. An IVUS run confirmed distal true lumen wire position showing a short subintimal track without compromise of any major side branch (Figure 2, Figure 3, Figure 4 and Figure 5).
A decision to accept wire position was made and stenting was initiated starting with distal stent placement followed by LM-LAD stenting in order to trap hematoma. Finally stenting of LAD-DG bifurcation (involved in the dissection) with mini-crush technique was done. A decision was made to stent the LCx ostium too, as hematoma migration led to severe ostial stenosis compromising definitive stabilization. Such stenting was achieved with the T and small protrusion technique. All stenting was achieved with II generation drug eluting stents namely Medtronic Resolute Onyx. The final angiographic result was excellent, the ECG showed ST resolution and the patient's hemodynamics rapid improvement (Figure 6 and Figure 7). Loading dose ticagrelor was administered orally at the end of the procedure.
At the end of the PCI an ultrasound scan evaluated a normal fetal heart rate. A decision was made to perform an emergency cesarean section although , in order to prevent fetal distress. A healthy boy (the weight was 3150 g, Apgar 9/10 at the 1st and the 5th minute respectively) was born. Both mother and newborn were in good clinical condition at the hospital discharge.

3. Discussion

Acute myocardial infarction during pregnancy (pAMI) is a rare event, with an estimated incidence of 1 to 30.000 deliveries. [1,2,3,4] It represents a critical emergency with a high rate of fetal and maternal morbidity and mortality. (5,6) Obstetricians must focus on gestational age at the time of pAMI and the timing of delivery must be individualized. In our case, the cardiac emergency team discussed the timing of delivery, also considering the ESC guidance recommending conventional management of STEMI also in pregnant patients [11]. Interventional treatment was considered the most appropriate given the ECG showing extensive myocardial damage in the context of anterior MI and the hemodynamic compromise. The need for an emergency caesarean section protocol if the pregnant woman were to develop cardiac arrest was taken into account and appropriate measures where put in place (14,15). One could discuss the need for an emergency cesarean section despite the high risk of maternal death taking into account both logistics and medications administer to facilitate PCI, namely antithrombotics and potent antiplatelts. The decision to proceed to an emergency caesarean section despite post-procedural maternal stabilisation took into account not only the data in the literature but also the gestational age reached close to term and not least the territorial/hospital logistics in terms of lack of neonatal and maternal intensive care [12,13]. The decision for a caesarean section must consider several maternal and fetal factors in determining the need for an emergency hysterotomy, including gestational age, the extent of cardiac damage suffered, and the occupational environment (25). In our case, the unstable maternal hemodynamics, raised a concern for potential perinatal asphyxia which is characterized by a variable period of global hypoxia-ischemia, followed by reperfusion and reoxygenation, with primary neuronal damage. [14]. Hypoxemia due to placental insufficiency is characterized by an increase in placental vascular resistance and a secondary fall in umbilical blood flow. The proportion of lesions is inversely related to the functionality of the placenta and can determine a reduction in the transport of oxygen and nutrients to the fetus, as well as an increase in the resistance of the placental blood flow at the level of the maternal and fetal districts.[15] However, it has been observed that a reduction in the flow velocity at the end of diastole is evident when at least 30% of the villous vascularization is altered and how the obliteration of more than 50% of the villous vessels is necessary before the detection of alterations in the end-diastolic flow (absent or inverted) of the umbilical artery is evaluated [15,16,17]. These studies highlight fetus’ ability to protect itself from an ischemic insult, through the redistribution of the venous flow towards the vital organs (heart, brain, adrenal glands), also known as brain-sparing effect. Placental blood flow does not change in the initial phase of hypoxia in an uneventful pregnancy, especially after the 34th week of gestation. [14]. According to this evaluation and international guidelines, the emergency pregnancy heart team decided for maternal hemodynamic stabilization followed by delivery. Both gynecologist and pediatrician were present in the operating theater ready to promptly intervene in case of maternal cardiac arrest.
In this case and as a staple for future clinicians, we wish to highligth the following points to guide therapeutic decisions:
1. a short-term interval between maternal acute myocardial infarction treatment and delivery, possibly whit involvement of a multidisciplinary team (interventional cardiologist, gynecologist, pediatrician and anesthesiologist) and an intensive care unit to monitor maternal health is pivotal;
2. an adequate demonstrated placental function can prevent an acute fetal hypoxia/acidosis.

4. Conclusions

pAMI is a feared and rare complication. Because of these features, clinicians confronted with it’s treatment are often in doubt about the correct timing of interventions. No one size fits all treatment can be recommended but our case shows that a multidisciplinary team can aid correct decision making. Moreover emergency ceaseran section after PCI is feasible and resulted in good maternal and fetal outcome.

Author Contributions

Conceptualization: Paolo Izzo, Luciano Izzo, Sara Izzo and Claudia De Intinis; Methodology: Manfredi Arioti and Federico Sanchez; Validation: Cristian Cascione and Andrea Montevecchi; Formal analysis: Chiara Boccherini and Fausta Orsi; Resources and Data curation: Paolo Meloni and Terenzia Simari; Writing: Paolo Meloni.

Funding

This research received no external funding.

Institutional Review Board Statement

The Local Institutional Review Board deemed the study exempt from review.

Informed Consent Statement

Informed consent was obtained from all subjects involved in the study.

Data Availability Statement

The data presented in this study are available on request from the corresponding author.

Conflicts of Interest

The authors declare no conflict of interest.

References

  1. Edupuganti, M.M.; Ganga, V. Acute myocardial infarction in pregnancy: Current diagnosis and management approaches. Indian Heart Journal 2019, 71, 367e374. [Google Scholar] [CrossRef] [PubMed]
  2. Tweet, M.S.; Lewey, J.; Smilowitz, N.R.; et al. Pregnancy-Associated Myocardial Infarction: Prevalence, Causes, and Interventional Management. Circ Cardiovasc Interv. 2020, 13, e008687. [Google Scholar] [CrossRef] [PubMed]
  3. Cohn, H.E.; Sacks, E.J.; Heymann, M.A.; Rudolph, A.M. Cardiovascular responses to hypoxemia and acidemia in fetal lambs. Am J Obstet Gynecol. 1974, 120, 817–824. [Google Scholar] [CrossRef] [PubMed]
  4. Sheldon, R.E.; Peeters, L.L.; Jones, M.D., Jr.; Makowski, E.L.; Meschia, G. Redistribution of cardiac output and oxygen delivery in the hypoxemic fetal lamb. Am J Obstet Gynecol. 1979, 135, 1071–1078. [Google Scholar] [CrossRef] [PubMed]
  5. Katz, V.L.; Dotters, D.J.; Droegemueller, W. Perimortem cesarean delivery. Obstet Gynecol 1986, 68, 571–576. [Google Scholar] [CrossRef] [PubMed]
  6. Lopez-Zeno, J.A.; Carlo, W.A.; O’Grady, J.P.; Fanaroff, A.A. Infant sur- vival following delayed postmortem cesarean delivery. Obstet Gynecol 1990, 76, 991–992. [Google Scholar] [PubMed]
  7. Cardiac Arrest in Pregnancy: A Scientific Statement From the American Heart Association; Jeejeebhoy, F. M.; Zelop, C.M.; Lipman, S.; Carvalho, B.; Joglar, J.; Mhyre, J.M.; Katz, V.L.; Lapinsky, S.E.; Einav, S.; Warnes, C.A.; Page, R.L.; Griffin, R.E.; Jain, A.; Dainty, K.N.; Arafeh, J.; Windrim, R.; Koren, G.; Callaway, C.W.; American Heart Association Emergency Cardiovascular Care Committee, Council on Cardiopulmonary, Critical Care, Perioperative and Resuscitation, Council on Cardiovascular Diseases in the Young, and Council on Clinical Cardiology. Circulation 2015, 132, 1747–1773. [Google Scholar]
  8. RCOG, Late Intrauterine fetal death and Stillbirth. Green-top Guideline n° 55, October 2010.
  9. Boyd, R.; Teece, S. Towards evidence based emergency medicine: Best BETs from the Manchester Royal Infirmary. Perimortem caesarean section. Emerg Med J. 2002, 19, 324–325. [Google Scholar] [CrossRef] [PubMed]
  10. MacKenzie, I.Z.; Cooke, I. What is a reasonable time from decision-to- delivery by caesarean section? Evidence from 415 deliveries. BJOG 2002, 109, 498–504. [Google Scholar] [PubMed]
  11. ESC Guidelines on the management of cardiovascular diseases during pregnancy.
  12. Strong, T.H.J.; Lowe, R.A. Perimortem cesarean section. Am J Emerg Med. 1989, 7, 489–494. [Google Scholar] [CrossRef] [PubMed]
  13. Boyd, R.; Teece, S. Towards evidence based emergency medicine: Best BETs from the Manchester Royal Infirmary. Perimortem caesarean section. Emerg Med J. 2002, 19, 324–325. [Google Scholar] [CrossRef]
  14. Helmy, W.H.; Jolaoso, A.S.; Ifaturoti, O.O.; Afify, S.A.; Jones, M.H. The decision-to-delivery interval for emergency caesarean section: Is 30 minutes a realistic target? BJOG 2002, 109, 505–508. [Google Scholar]
  15. Hossman, K.A. Neuronal survival and revival during and after cerebral ischemia. Am J Emerg Med 1983, 1, 191–197. [Google Scholar] [CrossRef] [PubMed]
  16. Thompson, R.S.; Trudinger, B.J. Doppler waveform pulsatility index and resistance, pressure and flow in the umbilical placental circulation: An investigation using a mathematical model. Ultrasound Med Biol. 1990, 16, 449–458. [Google Scholar] [CrossRef] [PubMed]
  17. Adamson, S.L. Arterial pressure, vascular input impedance, and resistance as determinants of pulsatile blood flow in the umbilical artery. Eur J Obstet Gynecol Reprod Biol. 1999, 84, 119–125. [Google Scholar] [CrossRef] [PubMed]
Figure 1. Initial presentation ECG showing ST elevation in anterior and lateral leads.
Figure 1. Initial presentation ECG showing ST elevation in anterior and lateral leads.
Preprints 111338 g001
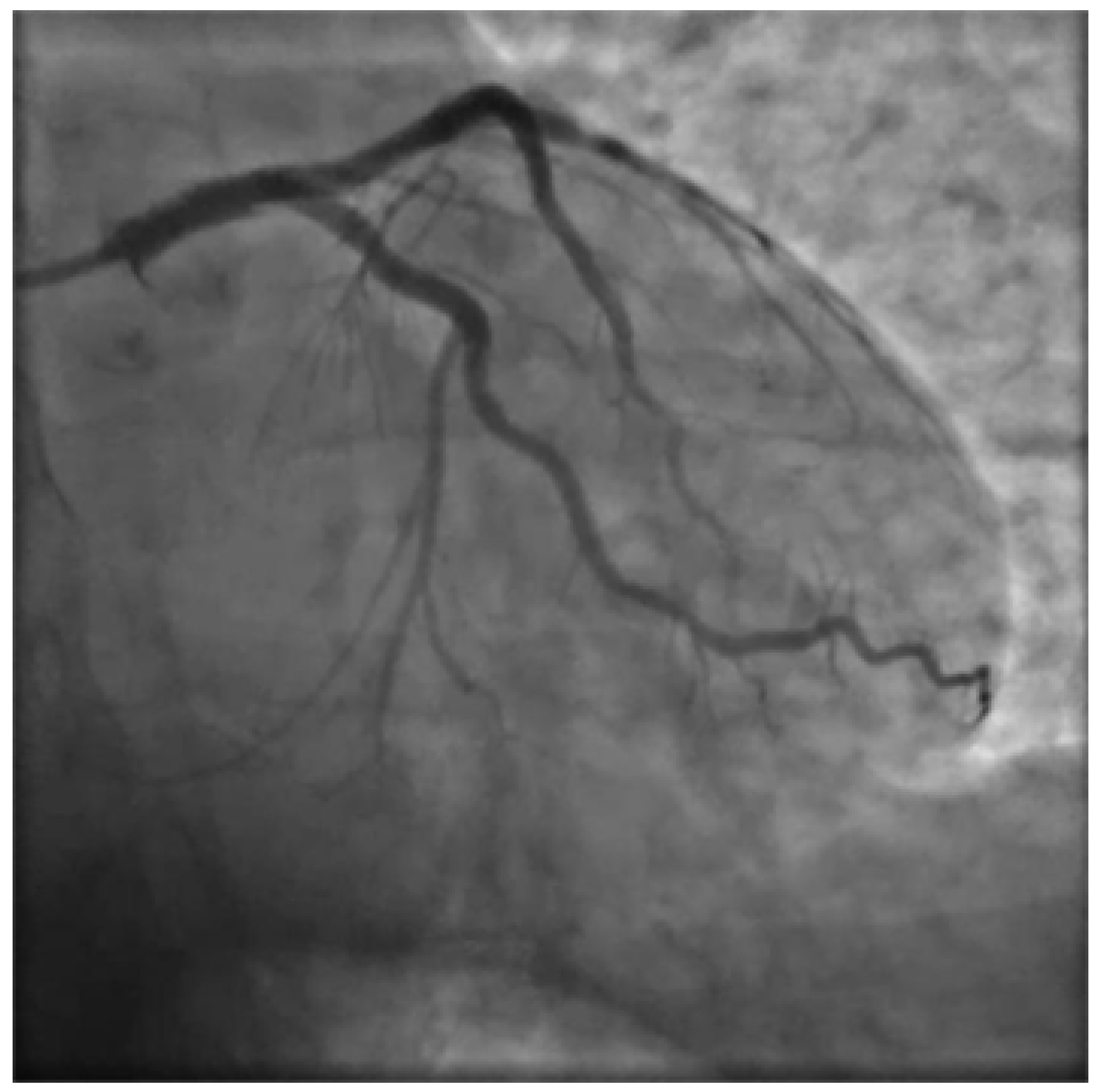
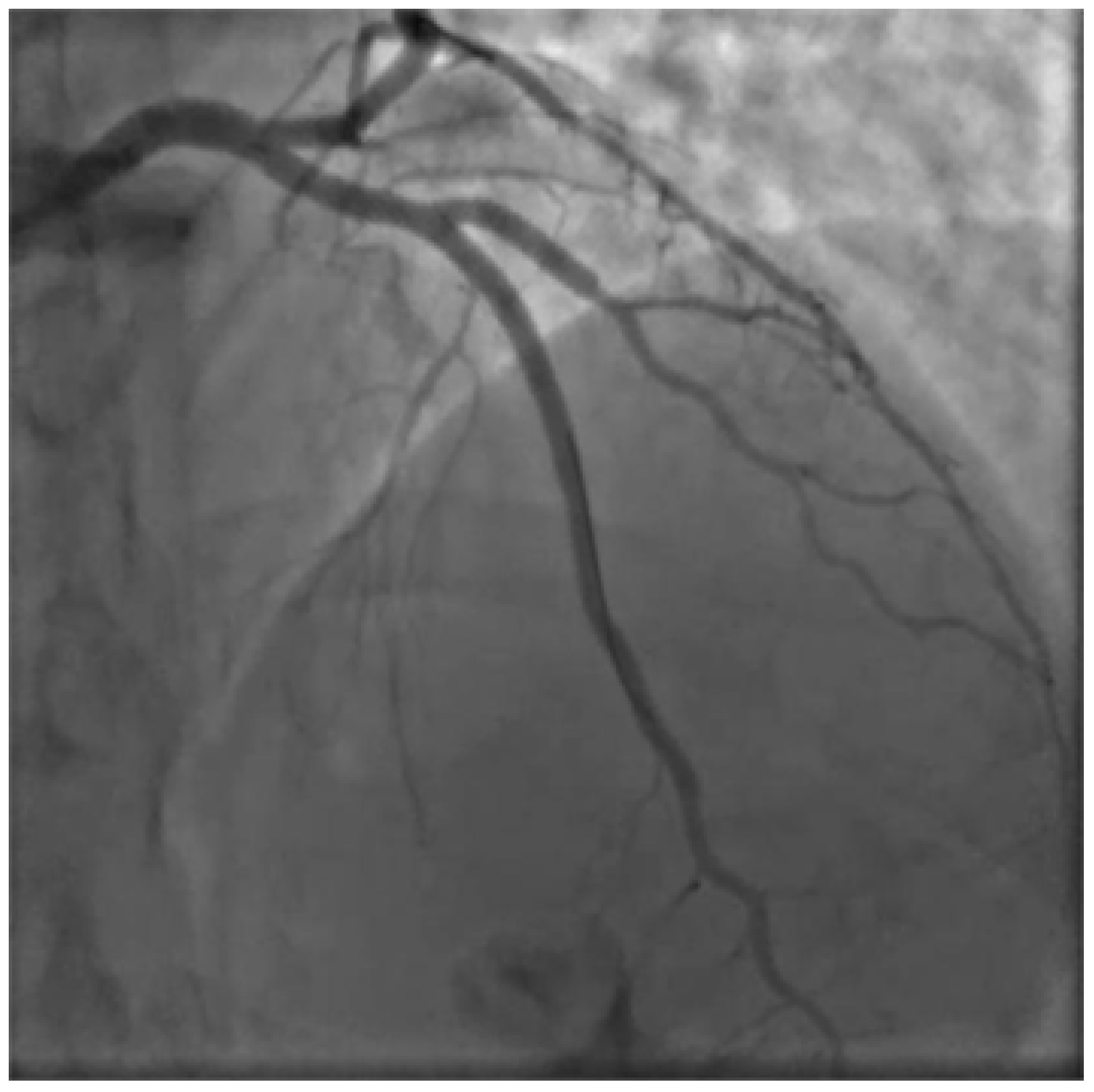
Figure 2. Basal PA caudal projection.
Figure 2. Basal PA caudal projection.
Preprints 111338 g002
Figure 3. Intimal tear in the left main with hematoma.
Figure 3. Intimal tear in the left main with hematoma.
Preprints 111338 g003
Figure 4. IVUS showing distal true lumen.
Figure 4. IVUS showing distal true lumen.
Preprints 111338 g004
Figure 5. Short subintimal track with compressed true.
Figure 5. Short subintimal track with compressed true.
Preprints 111338 g005
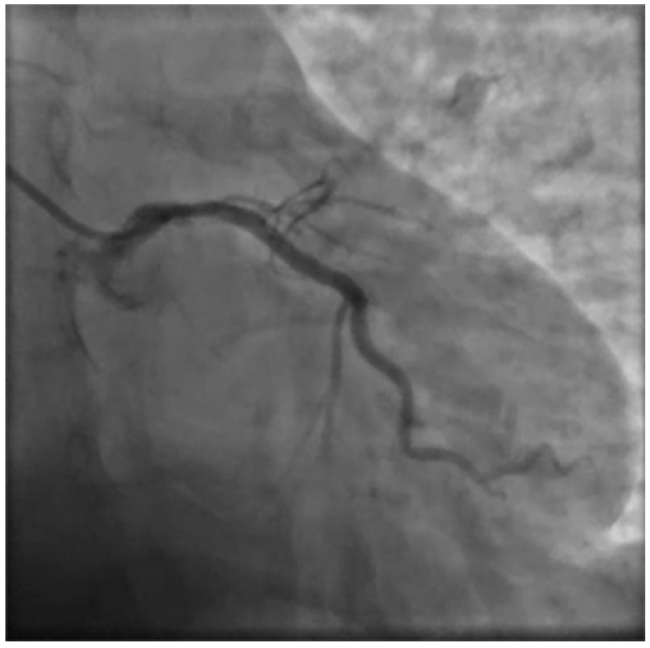
Figure 6. Final result after I procedure PA caudal.
Figure 6. Final result after I procedure PA caudal.
Preprints 111338 g006
Figure 7. Final result after I procedure PA cranial.
Figure 7. Final result after I procedure PA cranial.
Preprints 111338 g007
Disclaimer/Publisher’s Note: The statements, opinions and data contained in all publications are solely those of the individual author(s) and contributor(s) and not of MDPI and/or the editor(s). MDPI and/or the editor(s) disclaim responsibility for any injury to people or property resulting from any ideas, methods, instructions or products referred to in the content.
Copyright: This open access article is published under a Creative Commons CC BY 4.0 license, which permit the free download, distribution, and reuse, provided that the author and preprint are cited in any reuse.
Prerpints.org logo

Preprints.org is a free preprint server supported by MDPI in Basel, Switzerland.

Subscribe

Disclaimer

Terms of Use

Privacy Policy

Privacy Settings

© 2026 MDPI (Basel, Switzerland) unless otherwise stated