Preprint
Article

This version is not peer-reviewed.

Investigation on Molecular Mechanisms of Cistanche tubulosa in Treating Acute Alcoholic Liver Injury Based on Network Pharmacology and Molecular Docking

Submitted:

24 May 2024

Posted:

27 May 2024

You are already at the latest version

Abstract
Background: Citicola tubulosa (CT) is a traditional Chinese medicine that has been found to have hepatoprotective effect,but the underlying mechanisms against acute alcoholic liver injury (ALI) remain unclear. Objective:This work aims to predict the molecular mechanisms of CT in treating ALI using network pharmacology and molecular docking. Methods: Targets of CT and ALI were screened and collected from TCMSP, Genecard, OMIM and other databases. The effective ingredient target network was constructed using Cytoscape platform. The core targets were obtained by constructing protein interaction network. The biological processes and pathways of CT were analyzed using the DAVID platform. The effective components of CT were docked with core targets using AutoDock software, and visualized by PyMOL software. Results: There were seven main active components, 89 drug targets, 6291 disease targets and 32 pathways. The top three docking results were hydrogen bonding between stigmasterol and EGFR, β⁃ sitosterol and ALB, stigmasterol and BCL2. Conclusion: The effective components of CT (e.g., quercetin, stigmasterol, crocetin) may regulate core targets via multiple pathways to alleviate ALI. The use of network pharmacology and molecular docking technology can aid in revealing effective components and underlying molecular mechanisms of CT.
Keywords: 
;  ;  

1. Introduction

Alcoholic liver injury (ALI) is a liver disease associated with long-term alcoholism. The initial manifestation of ALI is alcoholic fatty liver, which can gradually progress into liver failure and liver cancer. With increasing incidence, ALI is becoming a public health concern globally [1,2]. It is estimated that about 20% of drinkers worldwide suffer from varying degrees of alcoholic liver diseases, and three million die each year from excessive alcohol consumption [3]. Considering the increasing socioeconomic costs, there is a high clinical need to prevent the occurrence and development of ALI of all stages [4].
Currently, there is a lack of standard guidance on the prevention and treatment of chronic ALI. It is still an unmet challenge to effectively alleviate the symptoms. Existing therapeutic approaches include the abstinence from alcohol, nutritional support, medication, and liver transplantation [5]. Besides modern medication and surgery, traditional Chinese medicine (TCM) provides a low-cost, non-invasive option. TCM offers diverse strategies targeting multiple components, pathways, and molecular targets, with the potential of avoiding drug-induced liver injury. Some clinical trials have initially demonstrated the treatment efficacy of TCM for ALI [6,7]. With its unique advantages, TCM has become a research hotspot in the treatment of ALI.
Cistanche tubulosa (Schenk) Wight is a parasitic plant, which is mainly distributed in the deserts of Northwest China. The dried succulent stems of Cistanche tubulosa (CT) and Cistanche deserticola (CD) are used as a famous tonic medicine known as Cistanches Herba, or Rou Cong Rong in the Chinese Pharmacopoeia. It has been known as “desert ginseng” with potentials for the treatment of ALI. [8,9]. It was various pharmacological activities, such as the functions of enhancing immune function, anti-aging, anti-radiation, anti-oxidation, anti-lipid peroxidation, which commonly play a protective role against ALI [10,11]. Evidence showed that a polysaccharide component isolated from the CD could reduce the levels malondialdehyde (MDA) and triglycerides in blood by regulating the activity of related enzymes to relieve ALI [12]. Wang et al. reported that CD significantly restored the intestinal microbiota composition in mice with ALI, which highlights the potential of CD and CT in preventing and treating ALI by modulating the gut-liver axis [13]. Yan et al. performed in vivo experiment in mice and found that the extracts of CD might regulate lipid metabolism by activating PPAR α, promoting β-oxidative metabolism, and reducing fatty acids accumulation [14]. Despite the potentials of CT for treating ALI, the active components and molecular mechanisms underlying the hepatoprotective effects are not clear.
Network pharmacology provides a powerful tool for analyzing the mechanisms of TCM [15]. By integrating bioinformatics, biochemistry, pharmacology and computational science, network pharmacology uses computational methods to simulate complex drug metabolisms, analyze mechanisms of action, and predict treatment efficacy. It provides important support for the development of new drugs and the medicines optimization. The core of network pharmacology is to establish a network model between the drugs and the molecules in organisms, in order to reveal the interrelationship between drugs and target proteins, metabolic pathways, and cell signaling pathways. With recent advances in computational sciences, network pharmacology is playing an increasingly important role in the field of medicine, contributing the improvement of treatment efficacy and in-depth pathophysiological research [16].
In this study, network pharmacology was applied to construct the "composition-disease-target-pathway" network diagram, and then protein interaction and target enrichment analysis were conducted to predict the relevant targets and pathways of CT in the treatment of ALI-induced liver fibrosis. Through molecular docking technology and animal experiments, the pharmacological effects of CT's active components in the treatment of liver fibrosis were investigated.

2. Materials and Methods

2.1. Collection of CT Ingredients and Target Genes

Using “Citicola tubulosa” as a keyword, we searched the Traditional Chinese Medicine Systems Pharmacology database and BATMAN TCM Analysis Platform database to identify the bioactive components and target proteins under the condition of Scorecutoff higher than 0.9 (LR=124) and P value less than 0.05. The obtained targets were calibrated by Uniprot (https://www.uniprot.org/) data, with non-human genes and invalid duplicates deleted to obtain standardized gene names.

2.2. Acquisition of ALI-Associated Target Genes and Disease-Drug Intersection

Using ‘alcohol liver injury’ as a keyword, we searched the Online Mendelian Inheritance in Man (OMIM, https://omim.org/) and GeneCards (https://www.genecards.org/) databases to determine ALI-associated target genes. All targets of the two databases were integrated into an excel table with duplicate genes removed, and corrected by Uniprot database to obtain the gene information of disease targets. R language was used to create a script that compared the CT- and ALI-associated target genes, generating a Venn diagram to obtain the common targets, i.e., the disease-drug intersection.

2.3. Construction of Target Protein Interaction Network for Drug-Disease Target Prediction

To predict the protein-protein interactions (PPI) during the treatment, the target genes of disease-drug intersection were input into string database (https://string-db.org/) for PPI analysis. The visualization and topology analysis of the PPI network were carried out on Cytoscape software (version: 3.8.2, www.cytoscape.org) which is an open-source bioinformatics software platform for visualizing molecular interaction networks.

2.4. Gene Ontology Enrichment Analysis and KEGG Pathway Analysis

The obtained key target proteins in PPI were input into the DAVID database (version: 6.8, https://david.ncifcrf.gov/summary.jsp) to retrieve relevant data on biological processes (BPs), cellular components (CCs), and molecular functions (MFs), which commonly reflected the role of target protein and gene function during the treatment of ALI by CT. To elucidate the target genes of CT, gene ontology (GO) enrichment analysis of KEGG pathway was performed. The top 10 BPs, CCs, and MFs in GO function, and 20 related pathways identified from the Kyoto Encyclopedia of Genes and Genomes (KEGG) database ranked by P values were selected to predict the mechanism of CT in treating ALI. KEGG is a collection of pathway maps including metabolic pathways, signaling pathways, pathways involved in various cellular processes and organismal systems, and perturbed pathways associated with human diseases.

2.5. Molecular Docking

In general, proteins with high degrees of connection in the PPT network play an important role in the treatment [19]. The first 5 important targets were selected for semi-flexible docking with compounds with high degree values, and the binding energy (affinity) was used to indicate the quality of the binding of small molecules and target proteins. The negative binding energy indicates that small molecules and target proteins can be freely bound, and the smaller the value, the higher the possibility of binding.
The AutoDock Vina 1.1.2 software was used for molecular docking of active ingredients and key targets to investigate their interactions. The steps are as follows: (1) Download the compounds (i.e., active ingredients) in SDF format from PubChem database (https://pubchem.ncbi.nlm.nih.gov) and import them into Chembio3D (version 12 for Windows, CambridgeSoft, Cambridge, MA, USA) for energy minimization. The processed compounds were import into AutodockTools software (version: 1.5.6) for hydrogenation, charge calculation, and charge distribution, with the rotable key set. The results were saved in "pdbqt" format. (2) Download key target proteins from PDB database (http://www.rcsb.org/). The human proteins with high structural similarity between the original ligand and the active ingredient to be docked were preferred. The one with the highest resolution was selected. (3) The selected protein was imported into PyMoL (The PyMOL Molecular Graphics System, version: 2.3.0, Schrödinger, LLC) to remove the original ligand and water molecules. Then the protein was imported into AutoDocktools for hydrogenation, charge calculation, charge allocation, and atom type designation, with results saved as "pdbqt" format. (4) POCASA (version: 1.1, http://g6altair.sci.hokudai.ac.jp/g6/service/pocasa/) was used to predict protein binding sites. The size of the lattice box was set to 60×60×60 (spacing of each lattice was 0.375A), with remaining parameters set as default. (5) Interaction simulation.

2.6. Animal Experiment

A mouse model of ALI was established, and 30 Kunming mice with average body mass of (25±2) g were randomly divided into normal control (NC) group, model group and CT extract (300 mg/kg) group. CT extract was administrated intragastrically for 15 days. The NC group and the model group were injected with equal volume normal saline by gavage. 1 h after the last administration, the model and CT extract groups were given 10 mL/kg ethanol with a volume fraction of 56%. After 12 hours, orbital blood was taken and cervical vertebrae was dislocated, and the liver was immediately dissected and stored at -80 ℃.

2.7. Pathological Observation Based On Liver Histopathology

Liver histopathology is the gold standard to judge the degree of liver injury and has been widely used in various liver injury models. HE stained pathological section of liver tissue can directly reveal liver tissue damage for clinical evaluation.
Liver tissue was taken, fixed with 4% formaldehyde solution, rinsed with water, dehydrated, transparentized, impregnated with wax, embedded, sliced, and stained by haematoxylin and eosin (HE). The pathological changes of liver tissues were observed with a 40-fold objective microscope.

2.8. Cell Experiment

HepG2 cells were inoculated in a 96-well plate with 1.5×104 cells per well. After 12 h, the control group was added with normal medium, the drug administration group and the alcohol model group were pretreated with medium containing 732 mmol/L ethanol per well for 6 h, then the drug administration group was treated with medium containing CT extract (10 μg/mL) for 18 h, and the model group was treated with medium containing 732 mmol/L ethanol for 18 h.

2.9. Statistical Analysis

The data were expressed as the mean ± standard deviation. All the graphing and statistical analyses were performed using GraphPad Prism software (version: 8.0, Graph Pad Software Inc., San Diego, CA, USA). Multiple groups were compared using one-way ANOVA, followed by the least significant difference post hoc test, and p < 0.05 was considered to indicate statistical significance.

3. Results

3.1. Screening of effective Components of CT

Seven components (i.e., active ingredients) of CT were identified using the BATMAN-TCM data library: 20-hydroxyecdysone, D-mannitol, uridine, dulcitol, guanosine-5'-monophosphate,uridine 5'-monophosphate, and adenosine.

3.2. Targets Associated with ALI and Disease-Drug Intersection

The results obtained from the Gene Cards and OMIM database revealed 6366 target proteins for the active ingredients of CT and 89 target proteins for ALI, with 75 shared between CT and ALI (Figure 1).

3.3. Drug-Ingredient-Target Prediction

Figure 2 illustrates the drug-ingredient-target network, consisting of 83 nodes and 86 edges. The top five components in terms of degrees are as follows: adenosine, D-mannitol, uridine, 20-hydroxyecdysone, and guanosine-5'-monophosphate.

3.4. PPI Network

Figure 3 illustrates the PPT network, including 71 nodes and 756 sides. The results reflect the degree of connection with node size and color response. The larger the node, the greater the degree value. The thickness of the edge is used to reflect the size of the combine score. The thicker the edge is, the larger the combine score is. EGFR, ALB, PTGS2, BCL2, BDNF, TP53, PPARG and ESR1 were the core targets.

3.5. GO Enrichment Analysis

291 items were identified in GO enrichment analysis according the P<0.05 criteria (Figure 4). 193 significantly enriched BPs were identified including the response to exogenous stimuli, inflammatory response, signal transduction, G protein-coupled receptor signaling pathway, positive regulation of apoptosis, negative regulation of apoptosis, negative regulation of inflammation, cell surface receptor signaling pathway, regulation of cell proliferation, and chemical synaptic transmission. There were 44 CCs related to plasma membrane, membrane components, plasma membrane components, membranes, extracellular Spaces, extracellular exosomes, cell surfaces, macromolecular complexes, endoplasmic reticulum, and extracellular regions. 54 items were related to MFs, involving protein binding, identical protein binding, protein dimerization activity, enzyme binding, zinc ion binding, DNA binding, signal receptor activity, calcium channel activity, transmembrane signal receptor activity, and macromolecular complex binding.

3.6. KEGG Pathway Enrichment Analysis

32 pathways related to the treatment of ALI were identified in KEGG enrichment analysis according to the P < 0.05 criteria. The results revealed novel signaling pathways, including calcium signaling pathway, CAMP signaling pathway, neuroactive ligand-receptor interactions, cholinergic synapses, human cytomegalovirus infection, pathways in cancer, micrornas and cancer, pathways of neurodegeneration - multiple diseases, PI3K-Akt signaling pathway, endocrine resistance, inflammatory mediators regulating TRP channels, anti-folate resistance, measles, fluid shear force and atherosclerosis, amyotrophic lateral sclerosis, chemocancer-receptor activation, chemocancer-reactive oxygen species, longevity regulatory pathways, actin cytoskeleton regulation, viral protein interactions with cytokines and their receptors (Figure 5).

3.7. Molecular Docking Result

Docking results showed that the active center of a small molecules can enter the target protein. The hydrogen bonds of 20-hydroxyecdysone and HIS-242, LYS-199, LYS-195 and ARG-257 of ALB were 2.6A, 2.6A, 2.3A and 2.6A, respectively. 20-hydroxyecdysone formed hydrogen bonds with GLY-106 and GLN-79 of BCL2, and the length of hydrogen bonds were 2.7A and 2.3A, respectively. The hydrogen bonds of 20-hydroxyecdysone and TYR-52 and GLN-51 of BNDF were 2.7A, 2.1A and 2.7A respectively. 20-hydroxyecdysone formed hydrogen bonds with CYS-773, ASP-831 and GLU-738 of EGFR, and the length of hydrogen bonds were 2.1A, 2.4A and 2.3A respectively. Adenosine formed hydrogen bonds with TYR-385 and LEU-531 of PTGS2, the lengths of which were 2.6A, 2.4A and 2.2A, respectively. The docking results are shown in Table 1 and Figure 6.

3.8. Effects of CT on Pathological Changes of Liver Tissue in Mice

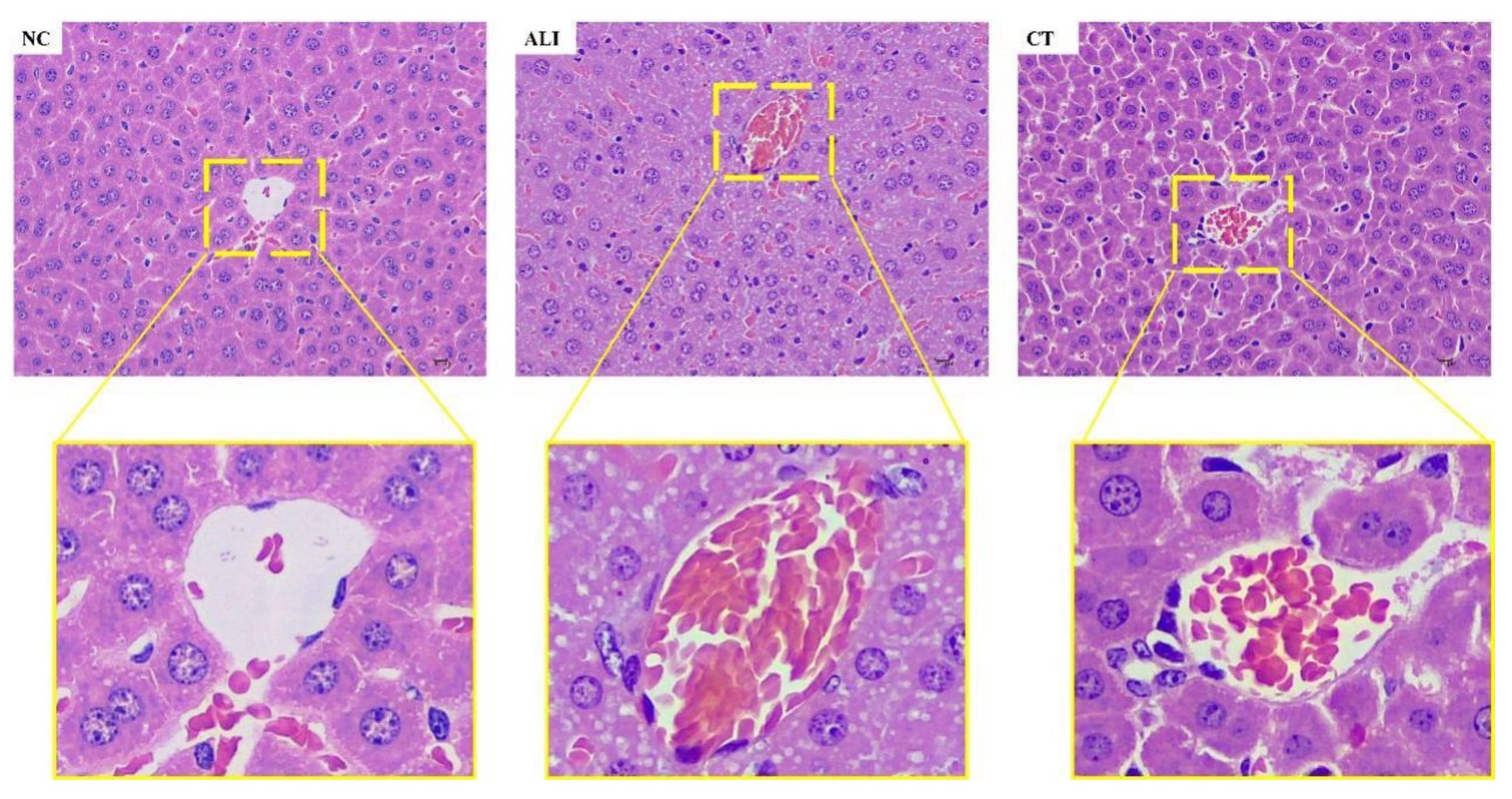
In Figure 7, the liver cells of mice in the NC group are arranged neatly, with round nuclei. The nucleolus is clear and evenly distributed. The cell cords are arranged in an orderly manner without obvious abnormalities, e.g., edema and inflammatory cell infiltration. In the model (ALI) group, hepatocytes are swollen. The intercellular space is enlarged, with nuclear shrinkage occurred, hepatic cord disarrangement, inflammatory cell infiltration, and hepatocyte fibrosis. Fat droplets of different sizes and vacuoles can be observed in liver tissue. In the CT group, compared with the model group, the cell arrangement is more orderly, the swelling, degeneration and necrosis of hepatocytes and inflammatory infiltration of hepatocytes are reduced to varying degrees, and the pathological damage of hepatocytes is improved. These results indicate that PE could alleviate the symptoms of acute ALI.

3.9. Effects of CT Extracts on Proliferation of HepG2 Cells

The effects of CT on the biochemical indexes of alcohol-induced damage of HepG2 cells were examined to further clarify its hepatoprotective activity. The results showed that the induced changes in the cell proliferation PCNA were improved and protect HepG2 cells from alcohol-induced damage by the pretreatment of CT (Figure 8).

4. Discussion

Drinking is prevalent globally and there have been different forms of alcohol comsumption throughout human civilization [18]. According to the 2018 National Survey on Drug Abuse and Health, more than 80 percent of adults in the USA have drunk alcohol at least once in their lives, and 25 percent of those surveyed admitted to binge drinking. Currently, alcoholic liver diseases are also emerging as a new public health problem in China [20]. It is difficult to fully estimate the actual amount of alcohol consumed worldwide with uniform figures, but recent studies have defined about 2.3 billion people worldwide as alcoholics [19]. The evolution of alcoholic liver disease from ALI has become a recognized disease burden and there is a crying need for efficient treatment [21].
The initial damage of chronic ALI generally starts from hepatic fatty lesions. The accumulation of alcohol in the liver induces the increase of peroxidation products and fat production, resulting in the accumulation of fat molecules in the liver tissue. Hepatic steatosis is a reversible stage, and the liver can regenerate and repair itself after alcohol withdrawal. On the other hand, an untreated steatosis of the liver can lead to alcoholic hepatitis, a persistent inflammation of the liver and the appearance of Molly bodies in the liver tissue. Caused by chronic inflammation, long-term hepatitis can lead to liver fibrosis, in which collagen tissue replaces healthy cells in the liver, leading to the formation of scar tissue characterized by tissue dysfunction. Cirrhosis is often the last stage before liver failure. The only viable treatment option for liver failure is a liver transplant supported by alcohol withdrawal and steroid therapy. In addition, long-term alcohol consumption can lead to hepatocellular carcinoma, which often develops at the same time as advanced cirrhosis.
Chinese herbal medicine is effective in clinical practice but mechanisms are difficult to clarify due to the complexity of components, which limits the widespread applications in the context of precise medicine [22]. In recent years, network pharmacology has been developed into an effective way to observe the interactions between drugs and diseases, providing a power tool for TCM investigation. Some researchers have used network pharmacology to identify active ingredients of TCM and predict the mechanisms. For example, Wang et al. found that Shicao could prevent acute liver injury through metabolomics and network pharmacology [23]. Li et al. proposed an integrated strategy of network pharmacology, serum pharmacochemistry and animal experiment to verify the treatment efficacy of polyphenols extracted from Penthorum chinense Pursh against ALI [21].
As shown in PPI network screening, the core targets of CT on acute ALI include EGFR, ALB, PTGS2, BCL2, BDNF, TP53, AKT, ESR1, etc. AKT regulates metabolism, proliferation, cell survival, growth, angiogenesis and other biological processes during cancer progression. BCL-2 inhibits cell death caused by a variety of cytotoxic factors. Overexpression of BCL-2 can enhance the resistance of observed cells to most cytotoxins. This discovery suggests that the various signal transduction pathways of apoptosis share a common pathway or junction that is regulated by BCL-2. BCL-2 could enhance the resistance of cells to most DNA damage factors and inhibit the apoptosis of target cells induced by chemotherapy drugs, but it could not inhibit the consequent damages. Likewise, it does not promote DNA repair. The TP53 gene is a tumor suppressor protein that plays a role in inducing cell cycle arrest, apoptosis, senescence, DNA repair or metabolic changes [24]. A number of studies have confirmed that pro-inflammatory cytokines BCL2 and AKT participate in the whole course of liver injury and development, and play a key role in the deterioration and severity of liver disease. Studies have shown that the concentration of pro-inflammatory cytokines is positively associated with the severity of liver injury. In summary, the TC can treat acute alcoholic liver injury in an all-round way through multi-target treatment.
As the GO enrichment analysis shows, oxidative stress response is an important factor in the course of liver disease and plays a key role in the progression of liver injury. Cell injury, inflammatory response, oxidative stress, regeneration, and bacterial translocation are key drivers of steatosis to cirrhosis throughout the course of alcoholic liver injury. The analysis of KEGG pathway showed that the local tissue injury was caused by the interaction between the end product of glycation (AGE) and its receptor RAGE, which mediated intracellular oxidative stress and inflammatory response, so the anti-oxidative stress and inflammatory response had a positive effect in the early stage of acute ALI. cAMP signaling pathway is widely distributed in mammalian cells, microorganisms and other organisms, and is involved in the regulation of growth, differentiation, metabolism, immunity, nerve and other physiological processes. The composition of cAMP signaling pathway includes membrane receptors, AC, cAMP, PKA, etc.. Membrane receptors include G protein-coupled receptors (GPCRS) and ion channel receptors, which activate AC when specific external stimuli act on the receptor, resulting in the production of cAMP [25]. cAMP molecules are able to bind to two CAMP-binding domains in the subunits of PKA and release two catalytic subunits of PKA that activate and phosphorylate downstream target proteins. In addition, the cAMP signaling pathway is also very important for the regulation of the immune system. On T cells, the activation of cAMP signaling pathway inhibits the activation of the cells, thus exerting the immune tolerance. In our study, the animal and cell experiments suggested that CT relieves the inflammation in ALI. On macrophages, the activation of cAMP signaling pathway inhibits the production of NO, thus playing an anti-inflammatory role. cAMP induces the differentiation of cytokines IL-6 and TNF through the release of proinflammatory cytokines, which promotes inflammatory response and the development of acute ALI [26]. The PI3K/AKT signaling pathway is involved in the process of cell proliferation, differentiation and apoptosis, and is one of the important pathways in the progression from liver injury to liver cancer. Moreover, studies have shown that inflammatory response and oxidative stress are closely related to NF⁃ Sin B/p38MAPK signaling pathway [27].
Based on computer experiments simulating the docking of core targets and small molecules, the protein pathways related to acute ALI were found, including straight chains and mosaics. This approach may be modified for the optimization of TC-enhanced medication for ALI.
There are limitations in this study. Network pharmacology is based on a network database of identified components, and does not include the interaction between components of different herbal medicines during decoctions and other processing methods. In addition, the animal and cell experiments are for initial validation but did not provide the evidences on the modular level. In future research, it is necessary to include the more secondary components, and add both molecular observation and large-scale clinical studies to validate the results and discovery more TCM components in treating ALI.

Acknowledgements

This work was supported by the Natural Science Foundation of Xinjiang (No.2023D01C172 ), and Tianchi Talent Project in Xinjiang Uygur Autonomous Region (No.51052300521).

Conflicts of Interest

The authors claim that they have no conflicts of interest.

References

  1. Torruellas, C.; French, S.W.; Medici, V. Diagnosis of alcoholic liver disease [J]. 2014, 20, 11684–11699. [Google Scholar] [CrossRef]
  2. Wang, F.; Fan, J.; Zhang, Z.; Gao, B.; Wang, H. The global burden of liver disease: The major impact of China[J]. Hepatology (Baltimore, Md.), 2014, 60, 2099–2108. [Google Scholar] [CrossRef]
  3. World Health Organization. Global status report on alcohol and health 2018[M]; World Health Organization, 2019; pp. 1–392. [Google Scholar]
  4. Chen, J.; Xuan, Y.; Luo, M. Kaempferol alleviates acute alcoholic liver injury in mice by regulating intestinal tight junction proteins and butyrate receptors and transporters[J]. Toxicology, 2020, 429, 152338. [Google Scholar] [CrossRef]
  5. Dogra, A.; Li, F. Small-molecule chemical probes for the potential therapeutic targets in alcoholic liver diseases. Liver Research 2023, 188, 177–188. [Google Scholar] [CrossRef]
  6. Jiang, S.; Ma, Y.; Li, Y.; Liu, R.; Zeng, M. Mediation of the microbiome-gut axis by oyster (Crassostrea gigas) polysaccharides: A possible protective role in alcoholic liver injury[J]. International Journal of Biological Macromolecules, 2021, 182, 968–976. [Google Scholar] [CrossRef]
  7. Jiang,W. ; Zhu, H.; Xu, W.; Liu, C.; Hu, B.; Guo, Y.; Qian, H. Echinacea purpurea polysaccharide prepared by fractional precipitation prevents alcoholic liver injury in mice by protecting the intestinal barrier and regulating liver-related pathways[J]. International Journal of Biological Macromolecules, 2021, 187, 143–156. [Google Scholar] [CrossRef]
  8. Fan, L.; Peng, Y.; Wang, J.; Ma, P.; Zhao, L.; Li, X. Total glycosides from stems of Cistanche tubulosa alleviate depression-like behaviors: bidirectional interaction of the phytochemicals and gut microbiota[J]. Phytomedicine, 2021, 83, 153471. [Google Scholar] [CrossRef]
  9. Wang, T.; Zhang, X.; **e, W. Cistanche deserticola YC Ma," Desert ginseng": a review[J]. The American Journal of Chinese Medicine, 2012, 40, 1123–1141. [Google Scholar] [CrossRef]
  10. Cheng, N.; Wang, H.; Hao, H.; Rahman, F.U.; Zhang, Y. Research progress on polysaccharide components of Cistanche deserticola as potential pharmaceutical agents[J]. European Journal of Medicinal Chemistry, 2023, 245, 114892. [Google Scholar] [CrossRef]
  11. Yi, Z.; Jia, Q.; Lin, Y.; Wang, Y.; Cong, J.; Gu, Z.; Cai, G. Mechanism of Elian granules in the treatment of precancerous lesions of gastric cancer in rats through the MAPK signalling pathway based on network pharmacology[J]. Pharmaceutical Biology, 2022, 60, 87–95. [Google Scholar] [CrossRef]
  12. Guo, Y.; Cao, L.; Zhao, Q.; Zhang, L.; Chen, J.; Liu, B.; Zhao, B. Preliminary characterizations, antioxidant and hepatoprotective activity of polysaccharide from Cistanche deserticola[J]. International journal of biological macromolecules, 2016, 93, 678–685. [Google Scholar] [CrossRef] [PubMed]
  13. Wang, H.; Yan, J.; Wang, K.; Liu, Y.; Liu, S.; Wu, K.; Wang, X. The gut-liver axis perspective: Exploring the protective potential of polysaccharides from Cistanche deserticola against alcoholic liver disease[J]. International Journal of Biological Macromolecules, 2024, 256, 128394. [Google Scholar] [CrossRef] [PubMed]
  14. Yan, J.; Wang, H.; Wang, H.; Bian, Y.; Wang, K.; Zhai, X.; Wang, X. Quantitative analysis and hepatoprotective mechanism of Cistanche deserticola YC Ma against alcohol-induced liver injury in mice[J]. Biomedicine & Pharmacotherapy, 2023, 162, 114719. [Google Scholar]
  15. Zhang, N.; Zhu, Y.; Zhang, X.; Yang, K.; Yang, X.; An, M.; Li, J. Based on network pharmacology and experiments to explore the underlying mechanism of Mahonia bealei (Fortune) Carrière for treating alcoholic hepatocellular carcinoma[J]. Journal of Ethnopharmacology, 2024, 318, 116919. [Google Scholar] [CrossRef] [PubMed]
  16. Wang, C.; Fu, R.J.; Xu, D.Q.; Zuo, Q.; Liu, J.P.; Tang, Y.P.A. Study integrated metabolomics and network pharmacology to investigate the effects of Shicao in alleviating acute liver injury[J]. Journal of Ethnopharmacology, 2024, 319, 117369. [Google Scholar] [CrossRef] [PubMed]
  17. Shi, H.; Duan, X.; Dong, J.; Tao, Y.; Lei, Y. RNA-seq combined network pharmacology reveals that Fu-Gan-Wan (FGW) inhibits liver fibrosis via NF-κB/CCL2/CCR2 and lipid peroxidation via Nrf2/HMOX1 signaling pathway[J]. Journal of Ethnopharmacology 2024, 117963. [Google Scholar] [CrossRef] [PubMed]
  18. Zhang, K.; Zhang, B.; Song, Y. Molecular mechanism of Bai-Bo Formula for treatment of vitiligo based on network pharmacology and molecular docking[J]. Cellular and Molecular Biology, 2023, 69, 19–25. [Google Scholar] [CrossRef] [PubMed]
  19. Nowak, A.J.; Relja, B. The impact of acute or chronic alcohol intake on the NF-κB signaling pathway in alcohol-related liver disease[J]. International Journal of Molecular Sciences, 2020, 21, 9407. [Google Scholar] [CrossRef]
  20. Jiang, Y.; Zhong, M.; Zhan, H.; Tao, X.; Zhang, Y.; Mao, J.; Gao, B. Integrated strategy of network pharmacology, molecular docking, HPLC-DAD and mice model for exploring active ingredients and pharmacological mechanisms of Penthorum chinense Pursh against alcoholic liver injury[J]. Journal of Ethnopharmacology, 2022, 298, 115589. [Google Scholar] [CrossRef]
  21. Li, R.; Wu, D.; Hu, J.; Ma, Y.; Ba, Y.; Zou, L.; Hu, Y. Polyphenol-enriched Penthorum chinense Pursh ameliorates alcohol-related liver injury through Ras/Raf/MEK/ERK pathway: Integrating network pharmacology and experiment validation[J]. Journal of Ethnopharmacology, 2024, 321, 117513. [Google Scholar] [CrossRef]
  22. Velki, M.; Hackenberger, B.K. Species-specific differences in biomarker responses in two ecologically different earthworms exposed to the insecticide dimethoate[J]. Comparative Biochemistry and Physiology Part C. Toxicology & Pharmacology, 2012, 156, 104–112. [Google Scholar]
  23. Wang, C.; Fu, R.J.; Xu, D.Q.; Zuo, Q.; Liu, J.P.; Tang, Y.P. A study integrated metabolomics and network pharmacology to investigate the effects of Shicao in alleviating acute liver injury[J]. Journal of Ethnopharmacology, 2024, 319, 117369. [Google Scholar] [CrossRef] [PubMed]
  24. Li, C.; Ren, G.; Zhang, L.; Duan, X.; Wang, Z.; Ren, X.; He, T. Effects of different drying methods on the drying characteristics and drying quality of Cistanche deserticola[J]. Lwt, 2023, 184, 115000. [Google Scholar] [CrossRef]
  25. Zhao, W.; Song, D.; Wang, P.; Tian, Y.; Chang, S.; Li, W. Mechanism and Experimental Verification of the Use of Rhodiola crenulata to Cytokine Storm Based on Network Pharmacology and Molecular Docking[J]. Natural Product Communications, 2022, 17, 1934578X221142790. [Google Scholar] [CrossRef]
  26. Mullen, K.D.; Dasarathy, S. Potential new therapies for alcoholic liver disease[J]. Clinics in Liver Disease, 1998, 2, 851–881. [Google Scholar] [CrossRef]
  27. Li, Y.; Tong, L.; Zhang, J.; Zhang, Y.; Zhang, F. Galangin alleviates liver ischemia-reperfusion injury in a rat model by mediating the PI3K/AKT pathway[J]. Cellular Physiology and Biochemistry, 2018, 51, 1354–1363. [Google Scholar] [CrossRef]
Figure 1. Venn diagram of target proteins for Cistanche tubulosa (CT) and alcoholic liver injury (ALI).
Figure 1. Venn diagram of target proteins for Cistanche tubulosa (CT) and alcoholic liver injury (ALI).
Preprints 107402 g001
Figure 2. The drug-ingredient-target network of CT and ALI.
Figure 2. The drug-ingredient-target network of CT and ALI.
Preprints 107402 g002
Figure 3. PPI network of intersection target.
Figure 3. PPI network of intersection target.
Preprints 107402 g003
Figure 4. GO enrichment analysis on the shared targets between CT and ALI. The size of the circle represents the data of the genes enriched in the corresponding pathway, and the P value decreases gradually from purple to red.
Figure 4. GO enrichment analysis on the shared targets between CT and ALI. The size of the circle represents the data of the genes enriched in the corresponding pathway, and the P value decreases gradually from purple to red.
Preprints 107402 g004
Figure 5. KEGG pathway enrichment analysis of the shared targets. The top 20 KEGG metabolic pathways were screened according to the P-value. The horizontal axis presents the number of genes enriched in the pathway, the size of the bubble represented the number of genes enriched in the corresponding pathway, and the depth of the color represented the significance.
Figure 5. KEGG pathway enrichment analysis of the shared targets. The top 20 KEGG metabolic pathways were screened according to the P-value. The horizontal axis presents the number of genes enriched in the pathway, the size of the bubble represented the number of genes enriched in the corresponding pathway, and the depth of the color represented the significance.
Preprints 107402 g005
Figure 6. Molecular docking result showing interaction patterns between CT components and target proteins. A: 20- hydroxyecdysone and ALB protein, B: 20-hydroxyecdysone and BCL2 protein, C: 20-hydroxyecdysone and BNDF protein. D: 20-hydroxyecdysone and EGFR protein, E: adenosine and PTGS2 protein.
Figure 6. Molecular docking result showing interaction patterns between CT components and target proteins. A: 20- hydroxyecdysone and ALB protein, B: 20-hydroxyecdysone and BCL2 protein, C: 20-hydroxyecdysone and BNDF protein. D: 20-hydroxyecdysone and EGFR protein, E: adenosine and PTGS2 protein.
Preprints 107402 g006
Figure 7. Histopathological changes in liver tissues analyzed by hematoxylin and eosin (HE) staining (scale bar = 200 µm).
Figure 7. Histopathological changes in liver tissues analyzed by hematoxylin and eosin (HE) staining (scale bar = 200 µm).
Preprints 107402 g007
Figure 8. Immunofluorescence staining of HepG2 cells.
Figure 8. Immunofluorescence staining of HepG2 cells.
Preprints 107402 g008
Table 1. Docking results of core small molecules and core target proteins.
Table 1. Docking results of core small molecules and core target proteins.
Target PDB ID Compound binding energy(kcal/mol)
ALB 1N5U guanosine-5'-monophosphate -7.8
adenosine -7
D-mannitol -4.9
uridine -6.7
20-hydroxyecdysone -8.5
BNDF 1BND guanosine-5'-monophosphate -6.2
adenosine -5.3
D-mannitol -4.2
uridine -5.6
20-hydroxyecdysone -6.6
PTGS2 5F19 guanosine-5'-monophosphate -7.4
adenosine -8.1
D-mannitol -5.5
uridine -8.1
20-hydroxyecdysone -7.5
BCL2 5FCG guanosine-5'-monophosphate -6.1
adenosine -5.9
D-mannitol -4.3
uridine -5.2
20-hydroxyecdysone -6.8
EGFR 2GS2 guanosine-5'-monophosphate -6.9
adenosine -6.1
D-mannitol -4.5
uridine -5.9
20-hydroxyecdysone -7.8
Disclaimer/Publisher’s Note: The statements, opinions and data contained in all publications are solely those of the individual author(s) and contributor(s) and not of MDPI and/or the editor(s). MDPI and/or the editor(s) disclaim responsibility for any injury to people or property resulting from any ideas, methods, instructions or products referred to in the content.
Copyright: This open access article is published under a Creative Commons CC BY 4.0 license, which permit the free download, distribution, and reuse, provided that the author and preprint are cited in any reuse.
Prerpints.org logo

Preprints.org is a free preprint server supported by MDPI in Basel, Switzerland.

Subscribe

Disclaimer

Terms of Use

Privacy Policy

Privacy Settings

© 2025 MDPI (Basel, Switzerland) unless otherwise stated