Submitted:
24 May 2024
Posted:
27 May 2024
You are already at the latest version
Abstract
Keywords:
1. Introduction
2. Materials and Methods
2.1. Entomological Sampling
2.2. Sample Preparation
3. Results
3.1. Redescription of Adults (Figure 1-3).
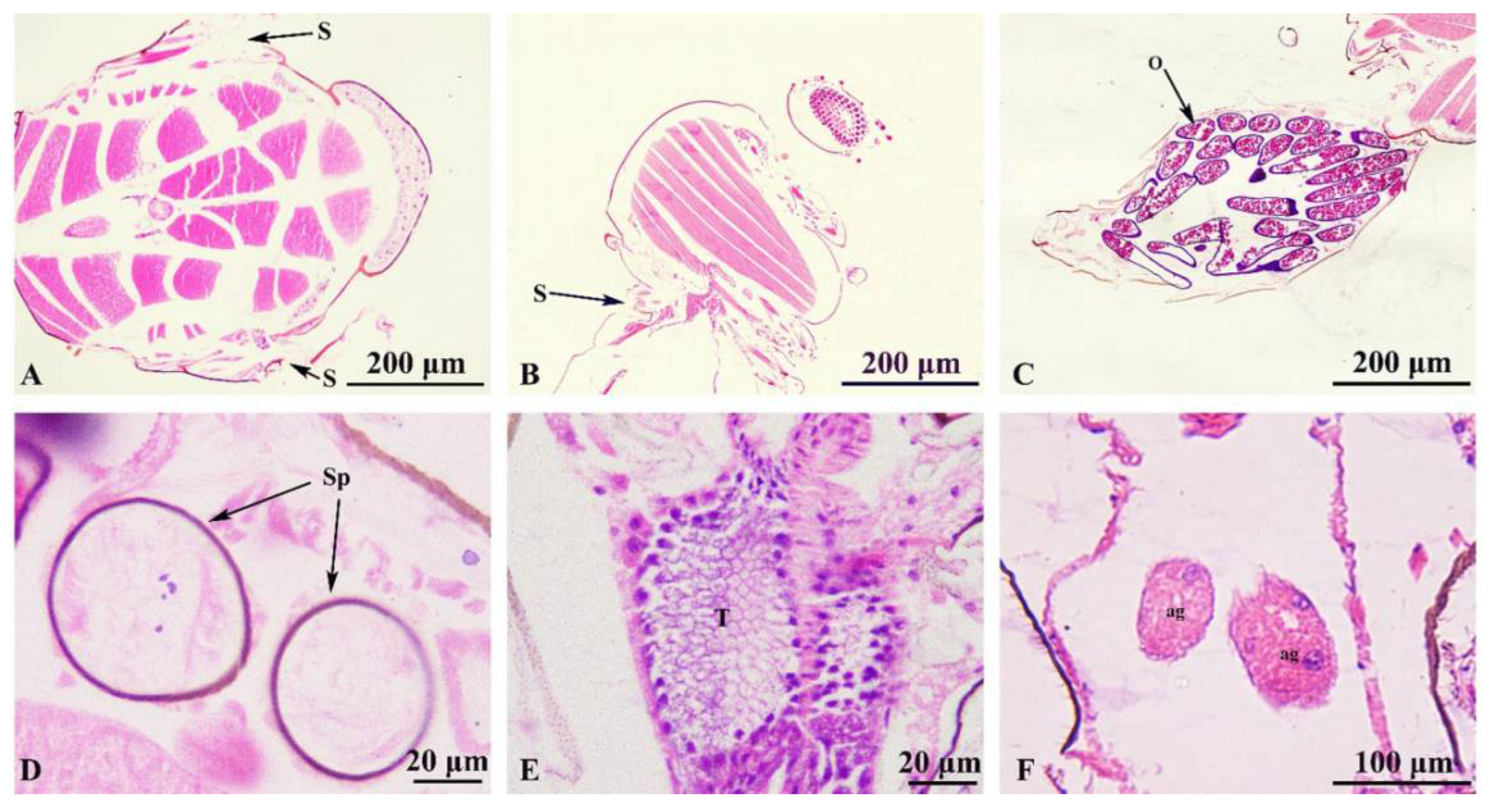
3.2. Description of Internal Structures of Adults (Figure 4-6).
4. Discussion
Author Contributions
Funding
Data Availability Statement
Acknowledgments
Conflicts of Interest
References
- Borkent A, Dominiak P, Díaz F. (2022) An Update and Errata for the Catalog of the Biting Midges of the World (Diptera: Ceratopogonidae). Zootaxa 5120(1): 53-64. [CrossRef]
- Duan YL, Bellis G, Liu BG, Li L. (2022) Diversity and seasonal abundance of Culicoides (Diptera, Ceratopogonidae) in Shizong County, Yunnan Province, China. Parasite. 2022;29:26. [CrossRef]
- van der Rijt R, van den Boom R, Jongema Y, van Oldruitenborgh-Oosterbaan MM. (2008) Culicoides species attracted to horses with and without insect hypersensitivity. The Veterinary Journal 178(1): 91-97. [CrossRef]
- Stewart ME, Roy P. (2015) Structure-based identification of functional residues in the nucleoside-2'-O-methylase domain of Bluetongue virus VP4 capping enzyme. FEBS Open Bio. 5:138-46. [CrossRef]
- Li C, Wang W, Zhang X, Xiao P, Li Z, Wang P, Shi N, Zhou H, Lu H, Gao X, Zhang H, Jin N. (2023) Metavirome Analysis and Identification of Midge-Borne Viruses from Yunnan Province, China, in 2021. Viruses. 15(9):1817. [CrossRef]
- Veiga J, Martínez-de la Puente J, Václav R, Figuerola J, Valera F. (2018) Culicoides paolae and C. circumscriptus as potential vectors of avian haemosporidians in an arid ecosystem. Parasit Vectors 11(1): 524. [CrossRef]
- Paslaru AI, Torgerson PR, Veronesi E. (2020) Summer seasonal prevalence of Culicoides species from pre-alpine areas in Switzerland. Medical and veterinary entomology 12(15): 1-9. [CrossRef]
- Jun Q, Qingling M, Zaichao Z, Kuojun C, Jingsheng Z, Minxing M, Chuangfu C. (2012) A serological survey of Akabane virus infection in cattle and sheep in northwest China. Trop Anim Health Prod. 44(8):1817-20. [CrossRef]
- Wenk CE, Kaufmann C, Schaffner F, Mathis A. (2012) Molecular characterization of Swiss Ceratopogonidae (Diptera) and evaluation of real-time PCR assays for the identification of Culicoides biting midges. Vet Parasitol 184(2-4): 258-266. [CrossRef]
- Liu B, Song YW, Jin L, Wang ZJ, Pu DY, Lin SQ, Zhou C, You HJ, Ma Y, Li JM, Yang L, Sung KL, Zhang YG. (2015) Silk structure and degradation. Colloids Surf B Biointerfaces. 131:122-8. [CrossRef]
- Liu W, Wu L, Wang J, Li X, Jin X, Zhu J. (2020) Activity of Vip3Aa1 against Periplaneta Americana. Open Life Sci. 15:133-144. [CrossRef]
- Liu X, Li J, Sun Y, Liang X, Zhang R, Zhao X, Zhang M, Zhang J. (2022) A nuclear receptor HR4 is essential for the formation of epidermal cuticle in the migratory locust, Locusta migratoria. Insect Biochem Mol Biol. 143:103740. [CrossRef]
- Eskin A, Bozdoğan H. (2022) Effects of the copper oxide nanoparticles (CuO NPs) on Galleria mellonella hemocytes. Drug Chem Toxicol. 45(4):1870-1880. [CrossRef]
- Xun H, Ding KZ, Yang M, Chen HD. (2013) Histological Observation of the Central Nervous System in Simulium (Wilhelmia) xingyiense (Diptera : Simuliidae). Chinese Journal of Parasitology and Parasitic Diseases 31(006): 443-447.
- Abubekerov LA, Mullens BA. (2018) Egg and Larval Morphology of Culicoides sonorensis (Diptera: Ceratopogonidae). J Med Entomol. 55(3):553-560. [CrossRef]
- Isberg E, Hillbur Y, Ignell R. (2013) Comparative study of antennal and maxillary palp olfactory sensilla of female biting midges (Diptera: Ceratopogonidae: Culicoides) in the context of host preference and phylogeny. J Med Entomol. 50(3):485-92. [CrossRef]
- Ning Y, Li H, Li JH, Zeng WW, Deng JJ, Li YL, Lu X, Jiang XH, Hou XH. (2022) Histological observation of the internal organs and systems of adultCulicoides punctatus (Diptera : Ceratopogonidae). Acta Entomologica Sinica 65 (5):587-594. [CrossRef]
- Grogan WLJ, Díaz F, Spinelli GR, Ronderos MM. (2019) The Biting Midges of the Caribbean island Curaçao (Diptera: Ceratopogonidae). I. Species in the genus Dasyhelea Kieffer. Zootaxa. 4700(3): zootaxa. 4700.3.1. [CrossRef]
- Gopurenko D, Bellis GA, Yanase T, Wardhana AH, Thepparat A, Wang J, Cai D, Mitchell A. (2015) Integrative taxonomy to investigate species boundaries within Culicoides (Diptera: Ceratopogonidae): a case study using subgenus Avaritia from Australasia and Eastern Asia. Vet Ital 51(4):345-378. [CrossRef]
- Martín-Vega D, Clark B, Ferrer LM, López-Tamayo S, Colwell DD, Hall MJR. (2020) Internal morphological changes during metamorphosis in the sheep nasal bot fly, Oestrus ovis. Med Vet Entomol. 34(4):476-487. [CrossRef]
- Nakayama, H. (2012) Complex asymmetric male genitalia of Anevrina Lioy (Diptera: Phoridae). Arthropod Struct Dev. 41(1):35-49. [CrossRef]






Disclaimer/Publisher’s Note: The statements, opinions and data contained in all publications are solely those of the individual author(s) and contributor(s) and not of MDPI and/or the editor(s). MDPI and/or the editor(s) disclaim responsibility for any injury to people or property resulting from any ideas, methods, instructions or products referred to in the content. |
© 2024 by the authors. Licensee MDPI, Basel, Switzerland. This article is an open access article distributed under the terms and conditions of the Creative Commons Attribution (CC BY) license (http://creativecommons.org/licenses/by/4.0/).