Submitted:
22 May 2024
Posted:
22 May 2024
You are already at the latest version
Abstract
Keywords:
1. Introduction
2. Materials and Methods
PTCD Technique
3. Results
3.1. Studies – See Table 1
3.2. Case Reports from the Review
3.3. Intracavitary CEUS Technique
3.4. Complications
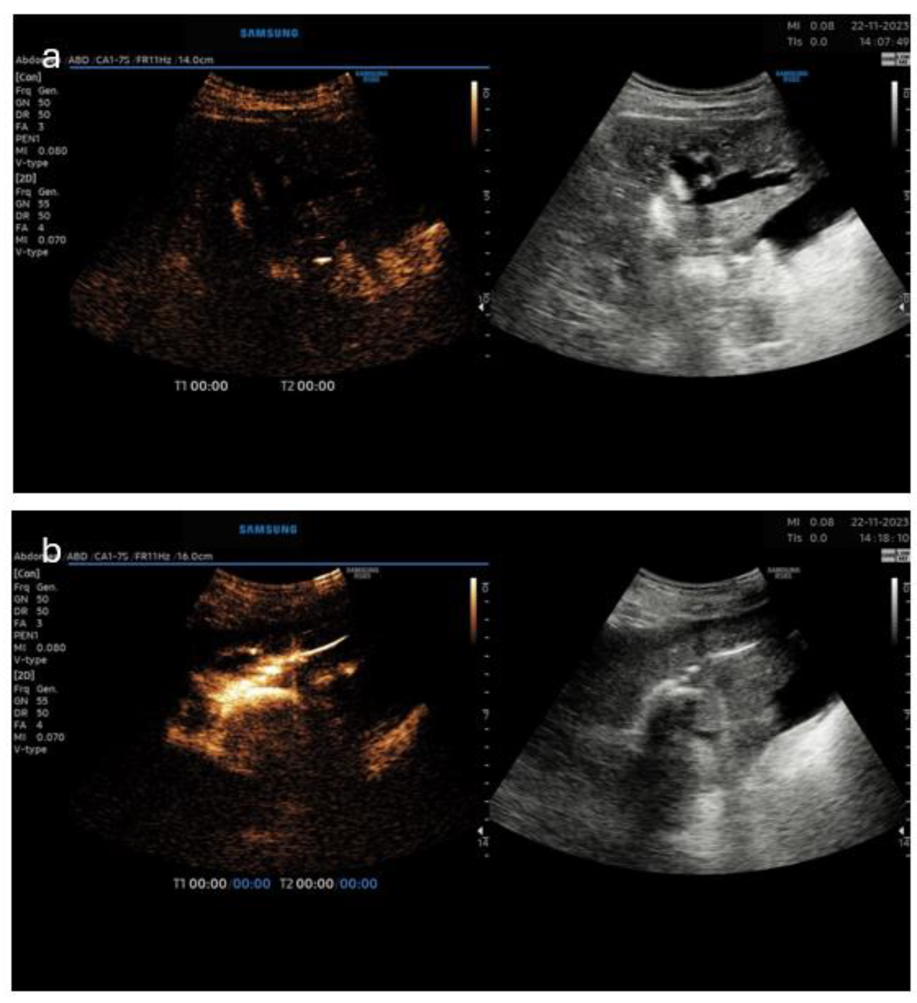
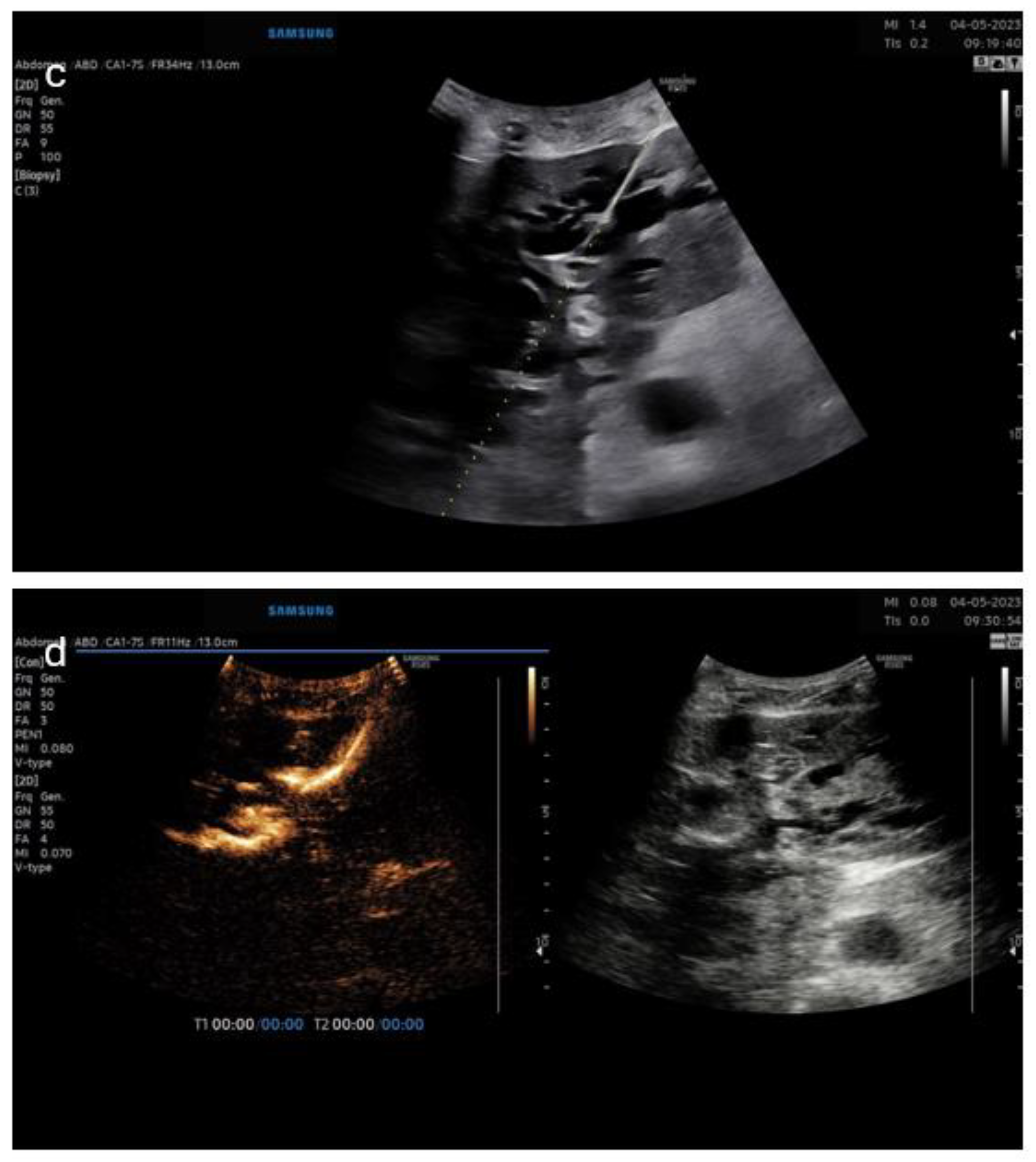
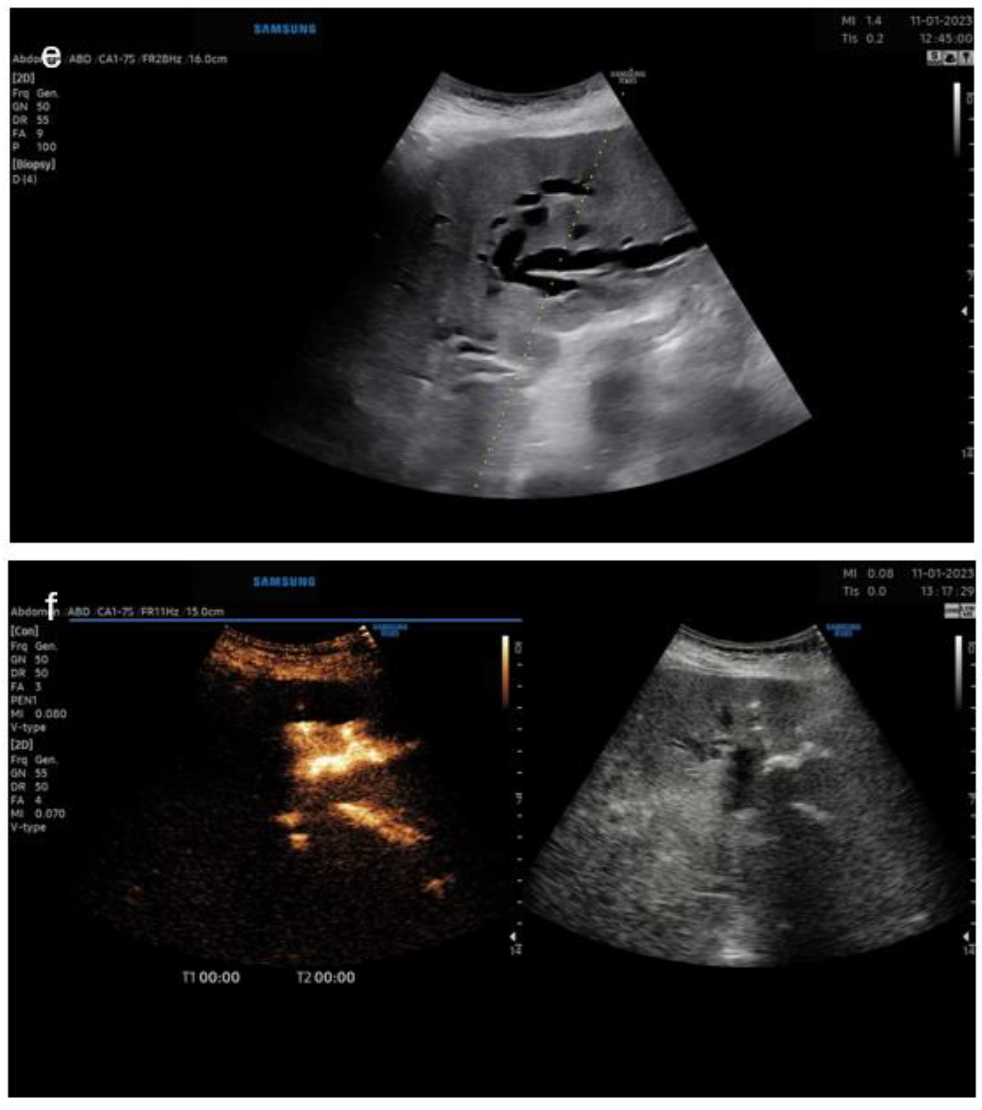
3.5. Pictorial Examples
4. Discussion
5. Conclusions
Author Contributions
Funding
Institutional Review Board Statement
Informed Consent Statement
Data Availability Statement
Acknowledgments
Conflicts of Interest
References
- Y. Chen et al., “Model for End-Stage Liver Disease Score Predicts the Mortality of Patients with Coronary Heart Disease Who Underwent Percutaneous Coronary Intervention,” Cardiol Res Pract, vol. 2021, 2021. [CrossRef]
- D. D. Cokkinos et al., “Contrast-enhanced ultrasound examination of the gallbladder and bile ducts: A pictorial essay,” Journal of Clinical Ultrasound, vol. 46, no. 1, pp. 48–61, Jan. 2018. [CrossRef]
- F. Piscaglia et al., “The EFSUMB guidelines and recommendations on the clinical practice of contrast enhanced ultrasound (CEUS): Update 2011 on non-hepatic applications,” Ultraschall in der Medizin, vol. 33, no. 1, pp. 33–59, 2012. [CrossRef]
- S. H. Morin, A. K. Lim, J. F. Cobbold, S. D. Taylor-Robinson, and R. Steiner, “Use of second generation contrast-enhanced ultrasound in the assessment of focal liver lesions,” World J Gastroenterol, vol. 13, no. 45, pp. 5963–5970, 2007, [Online]. [CrossRef]
- C. Greis, “Technology overview: SonoVue (Bracco, Milan),” Eur Radiol, vol. 14 Suppl 8, pp. P11-5, Nov. 2004. [CrossRef]
- Badea R, Zaro R, Tantau M, and Chiorean L., “ Ultrasonography of the biliary tract–up to date. The importance of correlation between imaging methods and patients’ signs and symptoms,” Med Ultrason., no. 17, pp. 383–391, 2015. [CrossRef]
- Z. Sparchez, R. Pompilia, S. Bota, R. Sirli, and A. Popescu, “Role of contrast enhanced ultrasound in the assessment of biliary duct disease,” Med Ultrason, vol. 16, pp. 41–47, Mar. 2014. [CrossRef]
- H.-X. Xu, “Contrast-enhanced ultrasound in the biliary system: Potential uses and indications,” World J Radiol, vol. 1, no. 1, p. 37, 2009. [CrossRef]
- G. T. Yusuf, C. Fang, D. Y. Huang, M. E. Sellars, A. Deganello, and P. S. Sidhu, “Endocavitary contrast enhanced ultrasound (CEUS): a novel problem solving technique,” Insights Imaging, vol. 9, no. 3, pp. 303–311, 2018. [CrossRef]
- Goddi, R. Novario, F. Tanzi, R. Di Liberto, and P. Nucci, “In vitro analysis of ultrasound second generation contrast agent diluted in saline solution.,” Radiol Med, vol. 107 5–6, pp. 569–79, 2004, [Online]. Available: https://api.semanticscholar.org/CorpusID:33565326.
- Heinzmann, T. Müller, J. Leitlein, B. Braun, S. Kubicka, and W. Blank, “Endocavitary Contrast Enhanced Ultrasound (CEUS) – Work in Progress,” Ultraschall in der Medizin - European Journal of Ultrasound, vol. 33, no. 01, pp. 76–84, Feb. 2012. [CrossRef]
- F. Piscaglia and L. Bolondi, “The safety of Sonovue® in abdominal applications: Retrospective analysis of 23188 investigations,” Ultrasound Med Biol, vol. 32, no. 9, pp. 1369–1375, Sep. 2006. [CrossRef]
- G. T. Yusuf, M. E. Sellars, A. Deganello, D. O. Cosgrove, and P. S. Sidhu, “Retrospective Analysis of the Safety and Cost Implications of Pediatric Contrast-Enhanced Ultrasound at a Single Center,” American Journal of Roentgenology, vol. 208, no. 2, pp. 446–452, Feb. 2017. [CrossRef]
- L. Zhou et al., “Value of three-dimensional hysterosalpingo-contrast sonography with SonoVue in the assessment of tubal patency,” Ultrasound in Obstetrics & Gynecology, vol. 40, no. 1, pp. 93–98, Jul. 2012. [CrossRef]
- Z. Luyao, X. Xiaoyan, X. Huixiong, X. Zuo-feng, L. Guang-jian, and L. Ming-de, “Percutaneous ultrasound-guided cholangiography using microbubbles to evaluate the dilated biliary tract: initial experience,” Eur Radiol, vol. 22, no. 2, pp. 371–378, Feb. 2012. [CrossRef]
- K. Darge, “Voiding urosonography with ultrasound contrast agents for the diagnosis of vesicoureteric reflux in children,” Pediatr Radiol, vol. 38, no. 1, pp. 40–53, Jan. 2008. [CrossRef]
- X.-W. Cui, A. Ignee, T. Maros, B. Straub, J.-G. Wen, and C. F. Dietrich, “Feasibility and Usefulness of Intra-Cavitary Contrast-Enhanced Ultrasound in Percutaneous Nephrostomy,” Ultrasound Med Biol, vol. 42, no. 9, pp. 2180–2188, Sep. 2016. [CrossRef]
- X.-W. Cui, A. Ignee, U. Baum, and C. F. Dietrich, “Feasibility and Usefulness of Using Swallow Contrast-Enhanced Ultrasound to Diagnose Zenker’s Diverticulum: Preliminary Results,” Ultrasound Med Biol, vol. 41, no. 4, pp. 975–981, Apr. 2015. [CrossRef]
- Ignee, X. Cui, G. Schuessler, and C. Dietrich, “Percutaneous transhepatic cholangiography and drainage using extravascular contrast enhanced ultrasound,” Z Gastroenterol, vol. 53, no. 05, pp. 385–390, May 2015. [CrossRef]
- Ignee, NathanS. S. Atkinson, G. Schuessler, and C. Dietrich, “Ultrasound contrast agents,” Endosc Ultrasound, vol. 5, no. 6, p. 355, 2016. [CrossRef]
- Y. N. Patrunov, I. Apolikhina, E. Peniaeva, A. N. Sencha, and A. Saidova, “CEUS for minimally invasive procedures: Intracavitary CEUS,” in Contrast-Enhanced Ultrasound From Simple to Complex, Sencha A. N. and Patrunov Y. N, Eds., Springer International Publishing, 2022, pp. 327–337. [CrossRef]
- P. Sidhu et al., “The EFSUMB Guidelines and Recommendations for the Clinical Practice of Contrast-Enhanced Ultrasound (CEUS) in Non-Hepatic Applications: Update 2017 (Long Version),” Ultraschall in der Medizin - European Journal of Ultrasound, vol. 39, no. 02, pp. e2–e44, Apr. 2018. [CrossRef]
- P. Nolsøe et al., “Use of Ultrasound Contrast Agents in Relation to Percutaneous Interventional Procedures: A Systematic Review and Pictorial Essay,” Journal of Ultrasound in Medicine, vol. 37, no. 6, pp. 1305–1324, Jun. 2018. [CrossRef]
- Deganello et al., “Intravenous and intracavitary use of contrast-enhanced ultrasound in the evaluation and management of complicated pediatric pneumonia,” Journal of Ultrasound in Medicine, vol. 36, no. 9, pp. 1943–1954, Sep. 2017. [CrossRef]
- Y. Huang et al., “Contrast-enhanced US–guided Interventions: Improving Success Rate and Avoiding Complications Using US Contrast Agents,” RadioGraphics, vol. 37, no. 2, pp. 652–664, Mar. 2017. [CrossRef]
- T. V. Bartolotta, A. Taibbi, M. Midiri, and R. Lagalla, “Focal liver lesions: contrast-enhanced ultrasound,” Abdom Imaging, vol. 34, no. 2, pp. 193–209, Apr. 2009. [CrossRef]
- Ignee, C. Jenssen, X.-W. Cui, G. Schuessler, and C. F. Dietrich, “Intracavitary contrast-enhanced ultrasound in abscess drainage – feasibility and clinical value,” Scand J Gastroenterol, vol. 51, no. 1, pp. 41–47, Jan. 2016. [CrossRef]
- R. Mao, E. Xu, K. Li, and R. Zheng, “Usefulness of contrast-enhanced ultrasound in the diagnosis of biliary leakage following T-tube removal,” Journal of Clinical Ultrasound, vol. 38, no. 1, pp. 38–40, Jan. 2010. [CrossRef]
- M. Daneshi, B. Rajayogeswaran, P. Peddu, and P. S. Sidhu, “Demonstration of an occult biliary-arterial fistula using percutaneous contrast-enhanced ultrasound cholangiography in a transplanted liver,” Journal of Clinical Ultrasound, vol. 42, no. 2, pp. 108–111, Feb. 2014. [CrossRef]
- Xu, R. Zheng, Z. Su, K. Li, J. Ren, and H. Guo, “Intra-biliary contrast-enhanced ultrasound for evaluating biliary obstruction during percutaneous transhepatic biliary drainage: A preliminary study,” Eur J Radiol, vol. 81, no. 12, pp. 3846–3850, Dec. 2012. [CrossRef]
- Dietrich et al., “EFSUMB Guidelines on Interventional Ultrasound (INVUS), Part III – Abdominal Treatment Procedures (Long Version),” Ultraschall in der Medizin - European Journal of Ultrasound, vol. 37, no. 01, pp. E1–E32, Dec. 2015. [CrossRef]
- M. Nagino et al., “Preoperative biliary drainage for biliary tract and ampullary carcinomas,” J Hepatobiliary Pancreat Surg, vol. 15, no. 1, pp. 25–30, Jan. 2008. [CrossRef]
- G. Cozzi et al., “Percutaneous Transhepatic Biliary Drainage in the Management of Postsurgical Biliary Leaks in Patients with Nondilated Intrahepatic Bile Ducts,” Cardiovasc Intervent Radiol, vol. 29, no. 3, pp. 380–388, Jun. 2006. [CrossRef]
- F. Dietrich, B. Braden, X. W. Cui, A. Ignee, and P. M. Rodgers, “Percutaneous Transhepatic Cholangiodrainage,” in Interventional Ultrasound – A Practical Guide and Atlas, no. 2, 2015, pp. 198–214. [CrossRef]
- J. Albert, F. Ulrich, S. Zeuzem, and C. Sarrazin, “Endoskopisch-retrograde Cholangiopankreatografie (ERCP) bei Patienten mit operativ veränderter Anatomie des Gastrointestinaltrakts,” Z Gastroenterol, vol. 48, no. 08, pp. 839–849, Aug. 2010. [CrossRef]
- H. P. JANDER, J. GALBRAITH, and J. S. ALDRETE, “Percutaneous Transhepatic Cholangiography Using the Chiba Needle,” South Med J, vol. 73, no. 4, pp. 415–421, Apr. 1980. [CrossRef]
- P. V. Kavanagh, E. van Sonnenberg, G. R. Wittich, B. W. Goodacre, and E. M. Walser, “Interventional Radiology of the Biliary Tract,” Endoscopy, vol. 29, no. 06, pp. 570–576, Aug. 1997. [CrossRef]
- Wenz W., “Percutaneous Transhepatic Cholangiography,” Radiologe, vol. 13, pp. 41–46, 1973.
- KROMER MU et al., “ Bile duct stenoses and leakage after cholecystectomy: endoscopic diagnosis, therapy and treatment outcome- [Article in German],” Zeitschrift fur Gastroenterologie , vol. 34, no. 3, pp. 167–172, 1996.
- R. Jakobs, U. Weickert, D. Hartmann, and J. F. Riemann, “Interventionelle Endoskopie bei benignen und malignen Gallengangsstenosen,” Z Gastroenterol, vol. 43, no. 3, pp. 295–303, Mar. 2005. [CrossRef]
- S. Misra, G. B. Melton, F. J. Geschwind, A. C. Venbrux, J. L. Cameron, and K. D. Lillemoe, “Percutaneous management of bile duct strictures and injuries associated with laparoscopic cholecystectomy: a decade of experience,” J Am Coll Surg, vol. 198, no. 2, pp. 218–226, Feb. 2004. [CrossRef]
- T. Tsuyuguchi et al., “Techniques of biliary drainage for acute cholangitis: Tokyo Guidelines,” J Hepatobiliary Pancreat Surg, vol. 14, no. 1, pp. 35–45, Jan. 2007. [CrossRef]
- J. Ferrucci, J. Wittenberg, R. Sarno, and Dreyfuss, “Fine needle transhepatic cholangiography: a new approach to obstructive jaundice,” American Journal of Roentgenology, vol. 127, no. 3, pp. 403–407, Sep. 1976. [CrossRef]
- U. Laufer, J. Kirchner, R. Kickuth, S. Adams, M. Jendreck, and D. Liermann, “A Comparative Study of CT Fluoroscopy Combined with Fluoroscopy Versus Fluoroscopy Alone for Percutaneous Transhepatic Biliary Drainage,” Cardiovasc Intervent Radiol, vol. 24, no. 4, pp. 240–244, Jul. 2001. [CrossRef]
- K. Koito, T. Namieno, T. Nagakawa, and K. Morita, “Percutaneous transhepatic biliary drainage using color Doppler ultrasonography.,” Journal of Ultrasound in Medicine, vol. 15, no. 3, pp. 203–206, Mar. 1996. [CrossRef]
- P. J. Shorvon, P. B. Cotton, R. R. Mason, J. H. Siegel, and A. R. Hatfield, “Percutaneous transhepatic assistance for duodenoscopic sphincterotomy.,” Gut, vol. 26, no. 12, pp. 1373–1376, Dec. 1985. [CrossRef]
- Nuernberg, A. Ignee, and C. Dietrich, “Aktueller Stand der Sonografie in der Gastroenterologie - Darm und oberer Gastrointestinaltrakt Teil 2,” Z Gastroenterol, vol. 46, no. 4, pp. 355–366, Apr. 2008. [CrossRef]
- M. E. Alden and M. Mohiuddin, “The impact of radiation dose in combined external beam and intraluminal IR-192 brachytherapy for bile duct cancer,” International Journal of Radiation Oncology*Biology*Physics, vol. 28, no. 4, pp. 945–951, Mar. 1994. [CrossRef]
- L. Stewart, “Bile Duct Injuries During Laparoscopic Cholecystectomy,” Archives of Surgery, vol. 130, no. 10, p. 1123, Oct. 1995. [CrossRef]
- K. D. Lillemoe, “Current management of bile duct injury,” British Journal of Surgery, vol. 95, no. 4, pp. 403–405, Mar. 2008. [CrossRef]
- K. D. Lillemoe, J. A. Petrofski, M. A. Choti, A. C. Venbrux, and J. L. Cameron, “Isolated right segmental hepatic duct injury: a diagnostic and therapeutic challenge,” Journal of Gastrointestinal Surgery, vol. 4, no. 2, pp. 168–177, Mar. 2000. [CrossRef]
- B. Funaki et al., “Percutaneous biliary drainage in patients with nondilated intrahepatic bile ducts.,” American Journal of Roentgenology, vol. 173, no. 6, pp. 1541–1544, Dec. 1999. [CrossRef]
- P. M. Rodgers, “Interventional Ultrasound – A Practical Guide and Atlas,” Ultrasound, vol. 23, no. 2, pp. 198–198, May 2015. [CrossRef]
- S. Turan et al., “Complications of percutaneous transhepatic cholangiography and biliary drainage, a multicenter observational study,” Abdominal Radiology, vol. 47, no. 9, pp. 3338–3344, Aug. 2021. [CrossRef]
- R. Burke et al., “Quality improvement guidelines for percutaneous transhepatic cholangiography and biliary drainage.,” J Vasc Interv Radiol, vol. 14, no. 9 Pt 2, pp. S243-6, Sep. 2003.
- W. P. Harbin, P. R. Mueller, and J. T. Ferrucci, “Transhepatic cholangiography: complicatons and use patterns of the fine-needle technique: a multi-institutional survey.,” Radiology, vol. 135, no. 1, pp. 15–22, Apr. 1980. [CrossRef]
- J. P. Roberts, A. Neill, and R. Goldstein, “The use of a micro-bubble contrast agent to allow visualization of the biliary tree,” Clin Transplant, vol. 20, no. 6, pp. 740–742, Nov. 2006. [CrossRef]
- Ignee, U. Baum, G. Schuessler, and C. Dietrich, “Contrast-enhanced ultrasound-guided percutaneous cholangiography and cholangiodrainage (CEUS-PTCD),” Endoscopy, vol. 41, no. 08, pp. 725–726, Aug. 2009. [CrossRef]
- Ignee, G. Schuessler, X.-W. Cui, and C. Dietrich, “Der endokavitäre Kontrastmittelultraschall – verschiedene Anwendungen, eine Übersicht über die Literatur und zukünftige Perspektiven,” Ultraschall in der Medizin - European Journal of Ultrasound, vol. 34, no. 06, pp. 504–528, Jun. 2013. [CrossRef]
- M. Chen, X. Zhang, W. Zhou, N. Zhang, G. Wang, and L. Zhou, “Percutaneous Ultrasound Cholangiography With Microbubbles in Children With Biliary Diseases,” Ultrasound Q, vol. 39, no. 4, pp. 228–234, Dec. 2023. [CrossRef]
- S. H. Chandrashekhara and S. Gulati, “Contrast-enhanced ultrasound-based cholangiography using percutaneous transhepatic biliary drainage tube,” Indian Journal of Gastroenterology, vol. 42, no. 5, pp. 744–745, Oct. 2023. [CrossRef]
- R. Zheng et al., “Evaluating Biliary Anatomy and Variations in Living Liver Donors by a New Technique: Three-Dimensional Contrast-Enhanced Ultrasonic Cholangiography,” Ultrasound Med Biol, vol. 36, no. 8, pp. 1282–1287, Aug. 2010. [CrossRef]
- Z. Luyao, X. Xiaoyan, X. Huixiong, X. Zuo-feng, L. Guang-jian, and L. Ming-de, “Percutaneous ultrasound-guided cholangiography using microbubbles to evaluate the dilated biliary tract: initial experience,” Eur Radiol, vol. 22, no. 2, pp. 371–378, Feb. 2012. [CrossRef]
- S. S. Chopra1abcdef et al., “Contrast enhanced ultrasound cholangiography via T-tube following liver transplantation.” [Online]. Available: http://www.annalsoftransplantation.com/fulltxt.php?ICID=883700.
- M. R. Acord et al., “Contrast-enhanced ultrasound in pediatric interventional radiology,” Pediatr Radiol, vol. 51, no. 12, pp. 2396–2407, Nov. 2021. [CrossRef]
- R. Mao, E. J. Xu, K. Li, and R. Q. Zheng, “Usefulness of contrast-enhanced ultrasound in the diagnosis of biliary leakage following T-tube removal,” Journal of Clinical Ultrasound, vol. 38, no. 1, pp. 38–40, Jan. 2010. [CrossRef]
- R. G. Barr, “The Urgent Need for <scp>FDA</scp> to Approve a <scp>Whole-Body</scp> Application of Ultrasound Contrast Agents,” Journal of Ultrasound in Medicine, vol. 42, no. 4, pp. 761–764, Apr. 2023. [CrossRef]
- S. Moudgil et al., “Comparison of Contrast Enhanced Ultrasound With Contrast Enhanced Computed Tomography for the Diagnosis of Hepatocellular Carcinoma,” J Clin Exp Hepatol, vol. 7, no. 3, pp. 222–229, Sep. 2017. [CrossRef]
- H. Trillaud et al., “Characterization of focal liver lesions with SonoVue ® -enhanced sonography: International multicenter-study in comparison to CT and MRI,” World J Gastroenterol, vol. 15, no. 30, p. 3748, 2009. [CrossRef]
- M. Friedrich-Rust et al., “Contrast-Enhanced Ultrasound for the differentiation of benign and malignant focal liver lesions: a meta-analysis,” Liver International, vol. 33, no. 5, pp. 739–755, May 2013. [CrossRef]
- M. D’Onofrio et al., “Malignant focal liver lesions at contrast-enhanced ultrasonography and magnetic resonance with hepatospecific contrast agent,” Ultrasound, vol. 22, no. 2, pp. 91–98, May 2014. [CrossRef]
- R. G. Barr, “Contrast enhanced ultrasound for focal liver lesions: how accurate is it?,” Abdominal Radiology, vol. 43, no. 5, pp. 1128–1133, May 2018. [CrossRef]
- K. Seitz et al., “Contrast-Enhanced Ultrasound (CEUS) for the Characterization of Focal Liver Lesions in Clinical Practice (DEGUM Multicenter Trial): CEUS vs. MRI – a Prospective Comparison in 269 Patients,” Ultraschall in der Medizin - European Journal of Ultrasound, vol. 31, no. 05, pp. 492–499, Jul. 2010. [CrossRef]
- P. N. Burns and S. R. Wilson, “Focal Liver Masses: Enhancement Patterns on Contrast-enhanced Images—Concordance of US Scans with CT Scans and MR Images,” Radiology, vol. 242, no. 1, pp. 162–174, Jan. 2007. [CrossRef]
- P. C. Jo, H.-J. Jang, P. N. Burns, K. W. Burak, T. K. Kim, and S. R. Wilson, “Integration of Contrast-enhanced US into a Multimodality Approach to Imaging of Nodules in a Cirrhotic Liver: How I Do It,” Radiology, vol. 282, no. 2, pp. 317–331, Feb. 2017. [CrossRef]
- C.-M. Lo, S.-T. Fan, C.-L. Liu, E. C. S. Lai, and J. Wong, “Biliary Complications After Hepatic Resection,” Archives of Surgery, vol. 133, no. 2, Feb. 1998. [CrossRef]
- T. Buanes, A. Waage, O. Mjåland, and K. Solheim, “Bile leak after cholecystectomy significance and treatment: results from the National Norwegian Cholecystectomy Registry.,” Int Surg, vol. 81, no. 3, pp. 276–9, 1996.
- Greif et al., “The Incidence, Timing, and Management of Biliary Tract Complications After Orthotopic Liver Transplantation,” Ann Surg, vol. 219, no. 1, pp. 40–45, Jan. 1994. [CrossRef]
- M. C. Parviainen, J. A. Sand, and I. H. Nordback, “Coincidence of pancreatic and biliary leakages after pancreaticoduodenal resections.,” Hepatogastroenterology, vol. 43, no. 11, pp. 1246–9, 1996.
- J. Belghiti, K. Hiramatsu, S. Benoist, P. P. Massault, A. Sauvanet, and O. Farges, “Seven hundred forty-seven hepatectomies in the 1990s: an update to evaluate the actual risk of liver resection1,” J Am Coll Surg, vol. 191, no. 1, pp. 38–46, Jul. 2000. [CrossRef]
- S. IWATSUKI and T. E. STARZL, “Personal Experience With 411 Hepatic Resections,” Ann Surg, vol. 208, no. 4, pp. 421–434, Oct. 1988. [CrossRef]
- S. Kaufman et al., “Percutaneous transhepatic biliary drainage for bile leaks and fistulas,” American Journal of Roentgenology, vol. 144, no. 5, pp. 1055–1058, May 1985. [CrossRef]
- J. P. Vaccaro, G. S. Dorfman, and R. E. Lambiase, “Treatment of biliary leaks and fistulae by simultaneous percutaneous drainage and diversion,” Cardiovasc Intervent Radiol, vol. 14, no. 2, pp. 109–112, Mar. 1991. [CrossRef]
- Ernst, G. Sergent, D. Mizrahi, O. Delemazure, and C. L’Herminé, “Biliary Leaks: Treatment by Means of Percutaneous Transhepatic Biliary Drainage,” Radiology, vol. 211, no. 2, pp. 345–348, May 1999. [CrossRef]
- V. J. Harris, K. K. Kopecky, J. T. Harman, and D. W. Crist, “Percutaneous Transhepatic Drainage of the Nondilated Biliary System,” Journal of Vascular and Interventional Radiology, vol. 4, no. 5, pp. 591–595, Sep. 1993. [CrossRef]
- L’Hermine, O. Ernst, O. Delemazure, and G. Sergent, “Arterial complications of percutaneous transhepatic biliary drainage,” Cardiovasc Intervent Radiol, vol. 19, no. 3, pp. 160–164, May 1996. [CrossRef]
- R. A. Audisio et al., “The occurrence of cholangitis after percutaneous biliary drainage: evaluation of some risk factors.,” Surgery, vol. 103, no. 5, pp. 507–12, May 1988.
- H.-J. Cho et al., “Activatable iRGD-based peptide monolith: Targeting, internalization, and fluorescence activation for precise tumor imaging,” Journal of Controlled Release, vol. 237, pp. 177–184, Sep. 2016. [CrossRef]
- Yan et al., “Tumor-penetrating Peptide-integrated Thermally Sensitive Liposomal Doxorubicin Enhances Efficacy of Radiofrequency Ablation in Liver Tumors,” Radiology, vol. 285, no. 2, pp. 462–471, Nov. 2017. [CrossRef]
- Ruoslahti, “RGD AND OTHER RECOGNITION SEQUENCES FOR INTEGRINS,” Annu Rev Cell Dev Biol, vol. 12, no. 1, pp. 697–715, Nov. 1996. [CrossRef]
- S. Wu and X. Lin, “Trials in developing a nanoscale material for extravascular contrast-enhanced ultrasound targeting hepatocellular carcinoma,” PeerJ, vol. 8, p. e10403, Dec. 2020. [CrossRef]
- S. Ajmal, “Contrast-Enhanced Ultrasonography: Review and Applications,” Cureus, Sep. 2021. [CrossRef]
- Young, G. T. Yusuf, C. Fang, A. Metafa, S. Gupta, and P. S. Sidhu, “Cholecystoduodenal fistula identified on oral contrast-enhanced ultrasound,” J Ultrasound, vol. 25, no. 2, pp. 339–342, Jun. 2022. [CrossRef]




| Study | N | M/F | Indication | Groups | Success rate | Complications | Approach side | Repeated injections | Fluoroscopy comparison | Bilateral approach | Determining level of obstruction | Accuracy |
|---|---|---|---|---|---|---|---|---|---|---|---|---|
| Ignee et al. 2009 | 8 | NA | Klatskin n=5 (50%); Distal bile duct Ca n=1; Ca pancreas n=1; Chronic obstructive Pancreatitis with pseudocyst n=1; Trauma of common bile duct n=1 |
NA | n=8 (100%) | displacement of the drain n=1 | Rightsided n=6 (75%); Median subcostal n=2 (25%) |
n=2 |
Yes, but for guidance after stenosis is identified | No |
Not indicated | NA |
| Zheng et al. 2010 | 12 | 10/2 | Evaluation of biliary tree in living liver donors | Normal biliary pattern biliary variations | n=12 (100%) for adequate evaluation of biliary tree anatomy |
no |
Canulation of cystic duct and CBD intraoperatively | No | Yes-intraoperative cholangiography | NA |
NA |
Excellent for first order branches |
| Luyao et al. 2011 | 58 | 37/21 | Hilar cholangiocarcinoma n=19; HCC with invasion of common hepatic duct n=2; Hilar cholangitis n=2; Periampullary tumor n=8; Common bile duct stone n=10; postoperative stricture n=2 |
Hilar obstruction Extrahepatic obstruction |
Not indicated | PUSC- pain in the right upper quadrant n=3 PTC- epigastric pain n=25 |
Not indicated | No | Yes – after PUSC | n=8 |
PUSC –hilar 100% accuracy; PUSC – CBD obstr. 93.8% accuracy; PTC – hilar 100% accuracy; PTC- CBD obstr. 100% accuracy |
For level of obstruction: PUSC 96.6%; PTC 100% For cause: PUSC 93.1%; PTC 79.3% |
| Xu et al. 2012 | 80 | 61/19 | Localize the drainage catheter; Localize the distal tip of catheter; Evaluate level and degree of biliary obstruction |
Intrahepatic obstr. n=44; Extrahepatic obstr. n=36; Complete n=56; Incomplete n=24 |
n=80 (100%) | 4 catheters not properly placed, which required reposition | Not indicated | Yes | Yes; FC n=68; CTC n=12 |
NA |
100% accuracy (extrahepatic/intra hepatic) |
96.3 % (77/80) for complete/incomplete; 100% for tip location |
| Chopra et al. 2012 | 12 | 7/5 | Evaluation of the biliary tree via T-tube after liver transplantation | Intrahepatic; Extrahepatic |
Comparable to fluoroscopy pathology found in 4 pts anastomotic stenosis n=1; Delayed duodenal outflow n=2; Anastomotic leakage n=1 |
not indicated | Via postoperative T-tube | No | Yes fluoroscopy superior in identifying anastomotic stricture and leakage |
NA |
CEUS inferior in visualization of extra hepatic bile ducts | NA |
| Ignee et al. 2015 | 38 | 25/13 | Pancreas adenocarcinoma n=11; CBD stone n=6; Klatskin tu n=6; Inflammatory stricture n=5; Pancreatic meta n=2; Lymph node meta n=3; Duodenal Ca n=2 ICC n=1; Neuroendocrine Ca of papilla n=1; IPMN n=1 |
Hilar (above cystic duct); Extrahepatic; Complete; Incomplete |
100% |
subcutaneous hematoma n=1 catheter dislodgement n=2 pleural effusion and peural- peritoneal fistula n=1 |
Rightsided n=33; Median left hepatic n=5 |
Yes (several) plus the day after the intervention | Yes (after CEUS contrast) | NA |
Hilar obst. n=8; Extrahepatic obstr. n=30 |
97.4% for degree Incomplete 9/10 |
| Authors | Mao | Daneshi |
| N | 1 | 1 |
| M/F | M | M |
| Indication | Bile leakage after T-tube removal after cholecystectomy and CBD exploration | Liver transplantation for familial amyloid polyneuropathy type 1 - postoperative biliary-arterial fistula |
| Successful | yes | yes |
| Complications | None | Hemobilia after internal- external drainage catheter placement |
| Approach side | Right sided segment VI | Right sided |
| Repeated injections | No | No |
| Fluoroscopy | Yes (for confirmation) | Yes (prior drainage and after CEUS cholangiogram) |
| Bilateral approach | No | No |
| Determining level | Yes (bile leakage from CBD) | Yes (microbubbles at right hepatic artery branch) |
Disclaimer/Publisher’s Note: The statements, opinions and data contained in all publications are solely those of the individual author(s) and contributor(s) and not of MDPI and/or the editor(s). MDPI and/or the editor(s) disclaim responsibility for any injury to people or property resulting from any ideas, methods, instructions or products referred to in the content. |
© 2024 by the authors. Licensee MDPI, Basel, Switzerland. This article is an open access article distributed under the terms and conditions of the Creative Commons Attribution (CC BY) license (http://creativecommons.org/licenses/by/4.0/).
