Preprint
Case Report

This version is not peer-reviewed.

An Unusual Presentation of a Newly Diagnosed Right Colonic Adenocarcinoma Complicated with Right Lower Quadrant Colonic Abscess in an Elderly Man: A Case Report and Literature Review

A peer-reviewed article of this preprint also exists.

Submitted:

11 May 2024

Posted:

13 May 2024

You are already at the latest version

Abstract
Colorectal cancer is the third most common malignancy and the second most lethal malignancy of the general population. Right sided colon cancer is less common than left sided, occurring more frequently in females, and associated with an older age and poor prognosis. Intraabdominal abscess formation is a rare complication from colorectal cancer. Thus, we present a case of a 66-year-old male who presented to the emergency department with 4 days of sudden onset, intractable right lower quadrant abdominal pain associated with nausea and vomiting. After further evaluation, he was diagnosed with right sided colon adenocarcinoma complicated by peri-colonic abscess formation. He was treated with hemicolectomy without immunotherapy. Considering the scarcity of data concerning colonic abscess formation and colorectal adenocarcinoma, more research is needed on this dual presentation. These authors reinforce that in older patients presenting with acute abdomen, colorectal cancer should be noted as a differential
Keywords: 
;  ;  ;  ;  

Introduction

Colorectal cancer (CRC) is the third most common cancer and the second leading cause of death in the USA. The incidence rate is 140,000 cases/year and the mortality rate is 55,000 cases/year. [1,2].Typical presenting symptoms related to colorectal cancer include a change in bowel habits with increasing constipation or spurious diarrhea, lower abdominal pain, decreased stool caliber, visible blood in the stool, weakness, and weight loss. Carcinoma of the colon has the ability to mimic any abdominal disease with a wide spectrum of presentations. For example, some less usual manifestations include perforation and abscess formation, which are usually intraperitoneal but may also be located in the extraperitoneal spaces [3]. Right sided colon cancer occurs predominantly in females of older age groups [specify age]. Additionally, it is less common than left sided colon cancer, with anemia occurring more frequently, associated with poor outcome at the later stage of the disease [4]. Colon cancer complicated with abscess formation is rare with occurrence of about 0.3–4% of the cases [5]. Hence, we present an unusual case of a 66 year old man who was diagnosed with right sided colon cancer complicated with peri-colonic abscess and was treated with antibiotics and hemicolectomy without immunotherapy. Since there is still little data about the occurrence of abscesses in colon cancer patients, more research is needed. In addition, colon cancer should be considered as a differential in older individuals presenting with acute abdomen.

Case Presentation

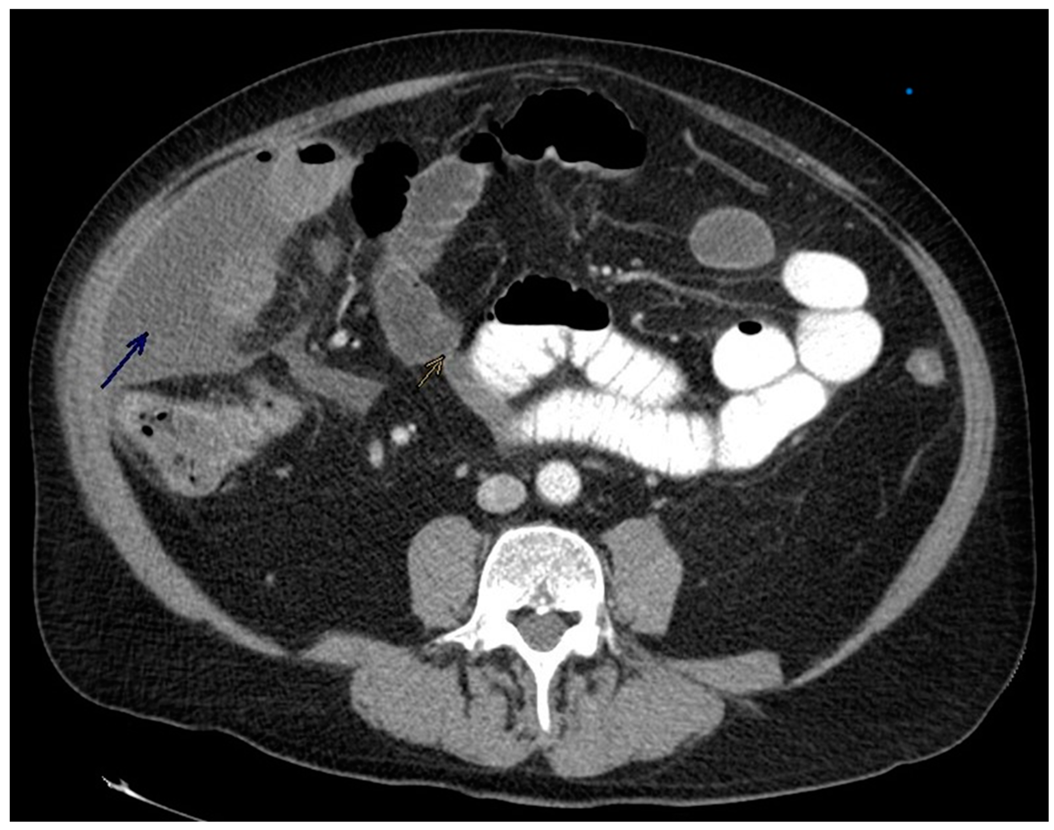
A 66-year-old male presented to the emergency department with 4 days of sudden-onset, intractable right lower quadrant pain associated with nausea and vomiting. Laboratory values were significant for leukocytosis of 12 cells/mm3 (reference 4-11.2), hyponatremia of 129 mmol/L (reference 136-145), and acute kidney injury with blood urea nitrogen (BUN) 38 mg/dL (reference 7-18) and creatinine 1.52mg/dL (reference 0.7-1.3). Vitals were stable on admission. Past medical history was significant for Schizophrenia for which he claimed compliance with oral ziprasidone 100mg twice daily. Initial imaging with CT abdomen/pelvis without contrast demonstrated narrowing of the ascending colon, possibly due to the presence of a mass. Surrounding layering free fluid with a few small foci of air within a collection measuring approximately 5.1 x 10.8 x 16.3 was demonstrated, as seen in Figure 1 below.
A repeat CT abdomen/pelvis with oral and IV contrast was performed the same day to further characterize the mass, and this demonstrated an enlarging fluid and air collection of approximately 11.9 x 4.4 x 16.1 within the lateral right abdomen, suggestive of an abscess. Notably, an irregular appearance of the cecum with possible luminal breaks suggesting perforation was also observed. A fistulogram was later performed which confirmed leaking into the peritoneum. The patient also had increased opacities within the lung bases, suggestive of atelectasis and/or pneumonia.
Of note, the patient had a colonoscopy performed 3 years prior to the current presentation, which pathology defined as a tubular adenoma with high grade dysplasia in the sigmoid colon and a hyperplastic rectal polyp. Both lesions were removed in their entirety via snare polypectomy with electrocautery and excisional biopsy, respectively.
A diagnosis of a peri colonic abscess complicated by cecal perforation (with fecal peritonitis) was made, and CT guided aspiration + insertion of a 12F locking pigtail catheter into the right lower quadrant abscess was performed. The catheter drained purulent fluid and samples yielded cultures positive for Bacteroides fragilis, Escherichia coli and Propionibacterium granulosum. The patient continued the Metronidazole 500mg IV q8h that was started on admission and was switched from empiric piperacillin/tazobactam to Meropenem 1g IV q8h, as well as started on Doxycycline 100mg IV q12h to target the Propionibacterium granulosum. While the patient remained afebrile and the leukocytosis, hyponatremia and renal impairment resolved throughout admission, he did have diarrhea on days 3-5 of admission, prompting testing for Clostridium dificile, which resulted negative. Abdominal XRAY confirmed multiple loops of dilated small bowel, which subsequently resolved, and the diarrhea resolved with the use of Loperamide.
Differential diagnoses for cecal abscess were explored, and a cecal mass or perforated appendicitis were considered. However, in view of the low yield and high risk for colonoscopy in the acute inpatient setting, the colonoscopy was deferred to the outpatient setting. As the fistula became low output, the Jackson-Pratt drain was continued and the patient was started on oral diet, and switched to oral antibiotics (Levofloxacin 750mg daily, Metronidazole 500mg q8h and Doxycycline 100mg q12h for 21 days total). The colonoscopy was performed shortly after discharge. Colonoscopy revealed moderately differentiated adenocarcinoma of the right colon and distal ileum without lymphovascular and/or perineural invasion, placing the tumor at stage IIA (pT3N0). The patient then proceeded to have a right hemicolectomy with subsequent reversal of the ileostomy. He will be followed by the hematology/oncology department for further management.

Discussion

As a result of various risk factors and associated comorbidities, colorectal cancer is one of the most frequently diagnosed malignancies in the western world. It continues to be the third most common malignancy and the second most lethal malignancy of the general population [6]. Its lethality can be attributed to its various presentations observed in patients. The frequently associated presentation of colon cancer is early satiety, change in bowel habits, stool caliber, occult blood in stool, accompanied by common malignancy presentation: weight loss, lymphadenopathy, anemia, and fatigue. However, there are several reports of colorectal cancer that have deviated from this presentation and have made the action of early diagnosis difficult. One such presentation is the formation of an abscess with adjuvant growing CRC. The incidence of abscess formation in relation to CRC is 0.3-4% of CRC cases making it an unusual presentation [4,7]. Abscess formation can be within the colonic tract, as in our patient, or extra-colonic tract. There have been reports of primary presentation of pyogenic liver abscess, peri-rectal abscess, abdominal wall abscess or in severe cases abscess with fistula presentation with a secondary CRC diagnosed later in the hospital or disease course. Due to the variety of locations where abscess can be formed in the abdominal cavity and reports of CRC diagnosis being associated with several abscess locations, it is difficult to pinpoint an exact abscess location. However, due to increasing reports of abscess formation, signs of an abscess in the abdominal tract, can mask a silent CRC. Due to the poor prognosis of CRC with disease progression, early detection of CRC is crucial to the management and treatment of these patients and for their future lifestyles. There have been limited studies on the treatment of CRC with associated abscess formation due to the rarity of the presentation, and therefore, treatment regimens have not been completely investigated on the efficacy of treating the CRC and the abscess. However, patients who present with signs of infection or findings of abscess formation, investigation of underlying CRC should be a priority, as early detection can be used to gain time to treat the cancer and achieve a good prognosis for the patient.
In past literature CRC have been associated with several different bacteria. Strong association of C.septicum and S. Bovis infective endocarditis exist with colon cancer. However, this does not mean that all abscess are associated with the former bacteria. As in our case to which cultures tested negative, other bacteria could be causative for abscess formation. Other bacteria that have been isolated include anerobic bacteria. CRC growth in the colon results in disruption of the mucosal barrier stripping the defense protection of the colon and disrupting the flora leading to the entrance of several bacteria into the gastrointestinal and systemic circulation [8], with subsequent bacterial colonization in the abdominal cavity organs exposed. Okita et al. demonstrated that tumor cells can spread transcoelomic and disseminate, which led to future disseminated recurrences and poorer prognosis after primary treatment [6]. A common presentation of CRC is to spread into the surrounding structure and organs leading to its obstructive symptoms. However, obstruction can lead into perforation into the adjacent structures leading to the abscess formation. Right sided colon cancers is more common among females and presents with signs of anemia which is contrary to our patient who was a male and came with symptoms of obstruction [4]. Michowitz et al. clinically classified three proposed mechanisms to subsequent complications after perforation by CRC: 1) Perforation into the peritoneal cavity 2) covered perforation with local abscess formation; 3) perforation into one of the neighboring organs [7]. Abscess formation can happen simultaneously with CRC growth as evidenced by a 73-year-old man who presented with malignancy symptoms and in imaging circumferential ulcerated type tumor in the lower to upper right rectal wall was shown with a 23 × 22 mm perirectal abscess on the ventral side of the rectum that had invasion into the bladder [7]. In this case, the patient presented with malignancy symptoms rather than infectious symptoms. However, the opposite can occur as demonstrated by Okita et al, who reports a 77-year-old man who presented appendicitis, laparotomy, excision of the appendicular abscess located between the ascending colon and the retroperitoneum was done. Cultures of the abscess fluid yielded Proteus vulgaris, Prevotella bivia, and Flavobacterium species seen in the abdominal cavity. Pathological specimen from that surgery revealed differentiated cecal adenocarcinoma staged 3B. 6 months later the patient came again for liver metastases. This presentation is seen in 25-30% of elderly patients who present with appendicitis [8]. Another case is of a 50-year-old woman diagnosed primarily with abscess in the Douglas pouch and ovarian cancer, however, subsequent workup revealed 5.5-cm-diameter round mass was located adjacent to the sigmoid colon in the pelvic cavity and was diagnosed with an abscess and sigmoid colon cancer [8]. In a case analysis by Zhou et al, 61 patients with 98% having a diagnosis of CRC were studied [9]. The study identified 87.2% of patients had an iliopsoas muscle abscess, and CT imaging did not detect simultaneous tumors. The study demonstrated right colon adenocarcinoma as a strong association for retroperitoneal abscess [8]. Lastly, another case is of a 32-year-old woman with an initial diagnosis of gastroenteritis with a presentation of LLQ pain [10]. Lack of improvement led to imaging identifying an abscess which was promptly treated, however, continued to recur. This led to a colonoscopy which displayed a stricture. Pathology confirmed invasive adenocarcinoma. Culture of the abscess identified B. Fragilis- anerobic bacteria that normally colonizes the colon [10]. Lam et al, identified B.Fragilis in purulent pericarditis that eventually led to a diagnosis of CRC [11]. The conclusion of these cases reveal that CRC associated abscess formation does not have limitations in the causative bacterial agents, location, age or type of CRC. Therefore, diagnosing CRC with a primary presentation of infectious etiology becomes difficult. However, due to increasing incidence of this rare presentation, CRC should become a differential diagnosis when presented with a patient who does not improve with treatment of abscess or continues to have recurrent abscesses as there could be an underlying sinister CRC causing obstruction and perforation.
The treatment of abscess associated with CRC is not a fixed regimen, due to the rarity of the presentation. Treatment in these cases often occurs due to the later stages of CRC growth and invasion. As described above, abscess is often formed after perforation of the tumor into colon and adjacent structures. In addition, patients present with symptoms and laboratory markers for infectious etiology from the abscess. Therefore, treatment is primarily for the abscess. The misdiagnosis allowing the tumor to continue to grow, invade, and perforate. Most cases in literature have described it difficult to differentiate between the tumor mass and the abscess and subsequently identifying a resection line as complicated. There has been a discussion on whether the abscess should be treated first, with incision and drainage, so that the primary disease can be clear and then be treated or that both the abscess and the tumor mass be resected concurrently. However, the latter raises argument for seeding of tumor or the abscess during operation and further spreading of the cancer and patient tolerance for a large surgery. Successful treatment entails early surgical treatment as described by okita et. al. Supportively, Michowitz et al. reported surgical mortality and 5-year survival rates of 50 % and 20 %, respectively, in patients with colon cancer complicated by local abscess [8]. In most of the cases included in this article, due to the high risk of micro metastases and poor condition and prognosis of the patient it was noted that abscess treatment was primarily executed. In addition, there is no correlation between the extent of abscess and survival and prognosis of the cancer. Prognosis of the cancer is dependent on the staging and tumor invasion. Therefore, it can be concluded that no illustrated benefit of resection of cancer and abscess together. Abscess treatment included antibiotics, incision and drainage, or excision, in particular with intra-colonic location and subsequent colostomy. However, comment to the former, if the colonic location is more proximal and in the ascending colon, resection is advised. After treatment of abscess, early surgical treatment with neoadjuvant chemotherapy is advised for resection of the tumor to prevent perforation or metastases [7].

Conclusion

Colorectal cancer continues to be a malignancy that is very much prevalent in the general population. It was commonly thought to be a cancer that was seen in the geriatric population, however, due to new screening guidelines CRC is seen in younger populations. Although there are commonly associated symptoms and signs that are attributed to CRC, there have been reports of rare comorbidities and associations. One such presentation is an abscess formation with an underlying CRC. Although, there have been very limited studies to study this association due to its rarity, it should be considered a differential in patients who are poorly responsive to infectious treatments or who continue to have recurrent abscesses. Definitive diagnosis is most frequently obtained by surgical resection and specimen confirmation by pathology. In our patient, hemicolectomy was done with no further treatment. Therefore, due to the scanty data on colonic abscess and colorectal cancer, more research is needed. These authors advocate early management and highlight that in older persons with acute abdomen, underlying colorectal cancer should be considered as a differential.

Author’s contribution

Divine Besong AA, Palmer Victoria , Annmarie Theresa participated in the conception of the work, writing and supervision. Derek Ugwendum, Sefakor Akosua Atadja, Nancelle Ndema contributed to literature search. Sabastain Forsah, Zafar Wahib,Foma Kenne Munoh , Jay Nfonoyim was involved in data acquisition writing and supervision. All authors read and approved the final manuscript.

Funding

Not applicable.

Availability of Data

Our data and materials will be available for research and learning purposes. The Data used to support the findings of this study are included within the manuscript.

Conflicts of Interest/Competing Interests

All participating authors declared no conflict of interest.

Ethics Approval

Not applicable.

Consent to Participate

Not applicable.

Written Consent for Publication

We hereby give the consent for our paper to be published under the traditional submission.

Code Availability

not applicable.

References

  1. Mandava, N.; Kumar, S.; Pizzi, W.F.; Jospeh Aprile, I. Perforated colorectal carcinomas. Am J Surg 1996, 172, 236–238. [Google Scholar] [CrossRef] [PubMed]
  2. Mann, G.N.; Scoggins, C.R.; Adkins, B. Perforated cecal adenocarcinoma presenting as a thigh abscess. South Med J 1997, 90, 949–951. [Google Scholar] [CrossRef] [PubMed]
  3. Mármol, I.; Sánchez-de-Diego, C.; Pradilla Dieste, A.; Cerrada, E.; Rodriguez Yoldi, M.J. Colorectal Carcinoma: A General Overview and Future Perspectives in Colorectal Cancer. Int J Mol Sci. 2017, 18, 197. [Google Scholar] [CrossRef] [PubMed]
  4. Bustamante-Lopez, L.A.; Nahas, S.C.; Nahas, C.S.R.; Pinto, R.A.; Marques, C.F.S.; Cecconello, I. Is there a Difference Between Right -Versus Left -Sided Colon Cancers? Does Side Make Any Difference In Long-Term Follow-up? Arq Bras Cir Dig. 2019, 32, e1479. [Google Scholar] [CrossRef] [PubMed]
  5. ElGendy, K.; Al Duhileb, M.; Salem, A. “Transverse colon cancer presenting as acute abdominal wall abscess,” BMJ Case Reports 2014, 2014, bcr2014204105. [CrossRef]
  6. Recio-Boiles, A.; et al. “Colon Cancer.” Nih.gov, StatPearls Publishing, 3 June 2023, www.ncbi.nlm.nih.gov/books/NBK470380/.
  7. Yano, T.; et al. “Successful Resection of Rectal Cancer and Perirectal Abscess Following Systemic Chemotherapy and Chemoradiotherapy: A Case Report. ” International Journal of Surgery Case Reports 2023, 108, 108403–108403. [Google Scholar] [CrossRef] [PubMed]
  8. Okita, A., et al. Unusual Abscesses Associated with Colon Cancer: Report of Three Cases. Acta Medica Okayama, 2007, 61, 107–113. [CrossRef] [PubMed]
  9. Zhou, J., et al. Retroperitoneal Abscess as a Presentation of Colon Cancer: The Largest Case Set Analysis to Date, Which Extracted from Our Unit and the Literature. Frontiers in Oncology, 2023; 13. [CrossRef]
  10. Suzuki; Hiroyuki, et al. “Incidence of Colorectal Cancer in Patients Diagnosed with Pyogenic Liver Abscess.” JAMA Network Open 2023, 6, e2348218, jamanetwork.com/journals/jamanetworkopen/fullarticle/2812893. [CrossRef] [PubMed]
  11. Alicia, J.H. Colon Cancer Masquerading as Recurrent Abdominal Abscesses. Journal of Case Reports and Images in Oncology 2019, 5, 1–1. [Google Scholar] [CrossRef]
Figure 1. Computed Tomography of Abdomen with contrast. Blue Arrow pointing to layering free fluid foci with apical pockets of air surrounding the ascending colon and yellow arrow pointing to the stricture caused by the cancer.
Figure 1. Computed Tomography of Abdomen with contrast. Blue Arrow pointing to layering free fluid foci with apical pockets of air surrounding the ascending colon and yellow arrow pointing to the stricture caused by the cancer.
Preprints 106272 g001
Disclaimer/Publisher’s Note: The statements, opinions and data contained in all publications are solely those of the individual author(s) and contributor(s) and not of MDPI and/or the editor(s). MDPI and/or the editor(s) disclaim responsibility for any injury to people or property resulting from any ideas, methods, instructions or products referred to in the content.
Copyright: This open access article is published under a Creative Commons CC BY 4.0 license, which permit the free download, distribution, and reuse, provided that the author and preprint are cited in any reuse.
Prerpints.org logo

Preprints.org is a free preprint server supported by MDPI in Basel, Switzerland.

Subscribe

Disclaimer

Terms of Use

Privacy Policy

Privacy Settings

© 2026 MDPI (Basel, Switzerland) unless otherwise stated