Submitted:
20 April 2024
Posted:
22 April 2024
Read the latest preprint version here
Abstract
Keywords:
Introduction
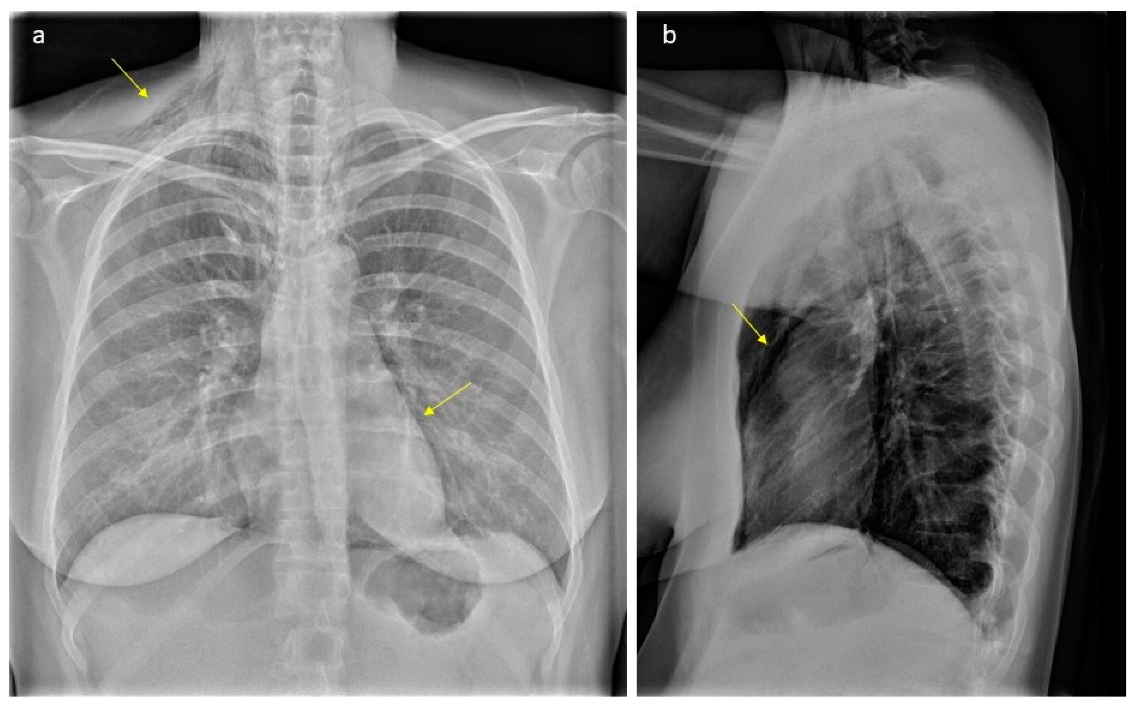
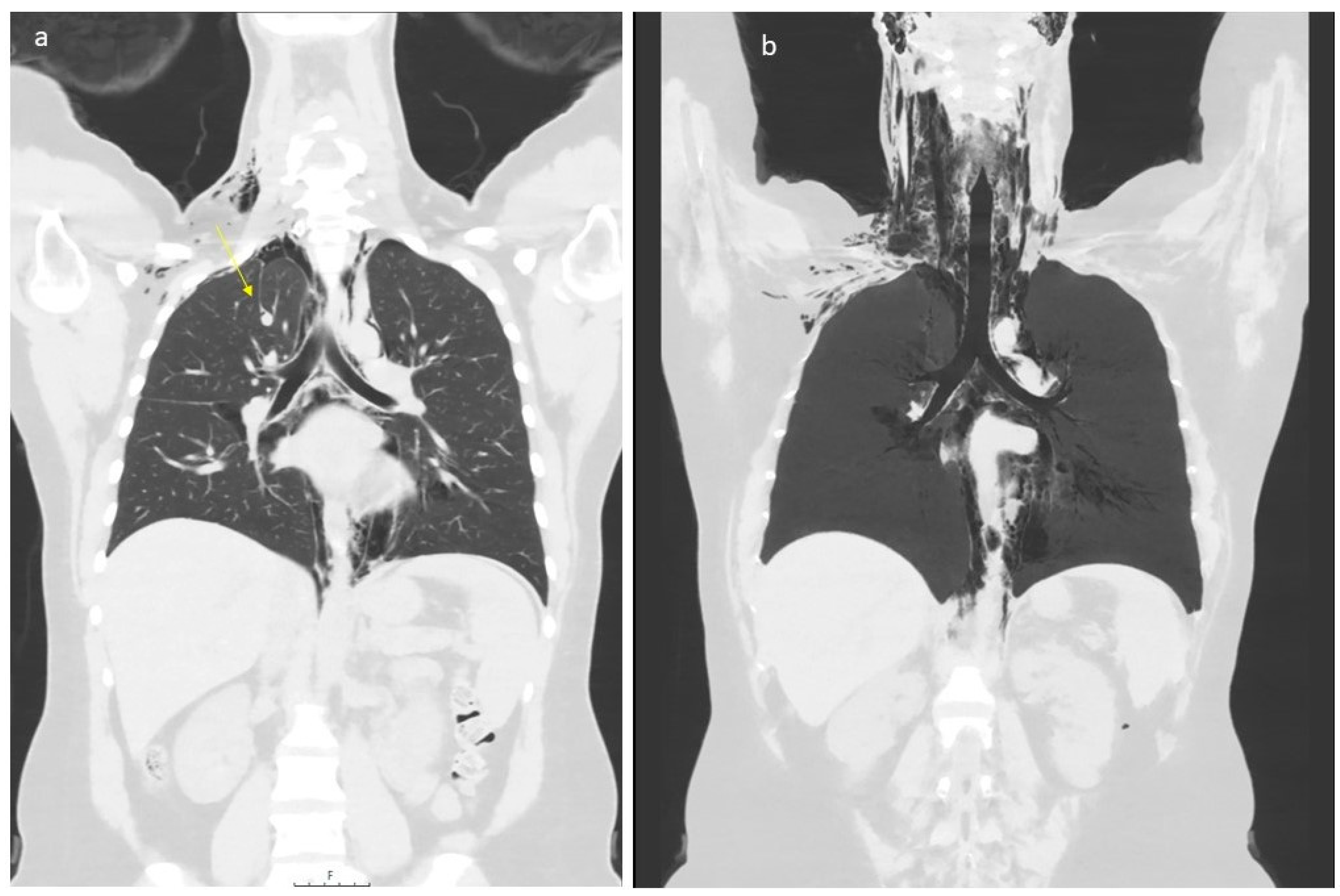
Case Presentation
Discussion
Conclusion
Author Contributions
Funding
Conflict of interest statement
Acknowledgements
Informed consent statement
Institutional review board statement
Data availability statement
References
- Kuruba, N.; Hla, T.T. Postpartum spontaneous pneumomediastinum and subcutaneous emphysema: Hamman's syndrome. Obstet Med. 2011, 4, 127–128. [Google Scholar] [CrossRef] [PubMed]
- Hamman, L. Spontaneous mediastinal emphysema. Bull of Johns Hopkins Hospital 1939, 64, 1–21. [Google Scholar]
- Hamman, L. Mediastinal emphysema. J. Am. Med. Assoc. 1945, 128, 1–6. [Google Scholar] [CrossRef]
- Khurram, D.; Patel, B.; Farra, M.W. Hamman's Syndrome: A Rare Cause of Chest Pain in a Postpartum Patient. Case Rep Pulmonol. 2015, 2015, 201051. [Google Scholar] [CrossRef] [PubMed]
- Cohen, A.G. Hamman's Crunch: An historical note. Bull N Y Acad Med. 1971, 47, 1111–1112. [Google Scholar] [PubMed]
- Gomes, S.; Mogne, T.; Carvalho, A.; Pereira, B.; Ramos, A. Post-partum Hamman's Syndrome. Cureus. 2022, 14, e33144. [Google Scholar] [CrossRef] [PubMed]
- Cho, C.; Parratt, J.R.; Smith, S.; Patel, R. Spontaneous pneumomediastinum (Hamman's syndrome): a rare cause of postpartum chest pain. BMJ Case Rep. 2015, 2015, bcr1220103603. [Google Scholar] [CrossRef] [PubMed]
- Kouritas, V.K.; Papagiannopoulos, K.; Lazaridis, G.; Baka, S.; Mpoukovinas, I.; Karavasilis, V.; Lampaki, S.; Kioumis, I.; Pitsiou, G.; Papaiwannou, A.; Karavergou, A.; Kipourou, M.; Lada, M.; Organtzis, J.; Katsikogiannis, N.; Tsakiridis, K.; Zarogoulidis, K.; Zarogoulidis, P. Pneumomediastinum. J Thorac Dis. 2015, 7 (Suppl 1), S44–S49. [Google Scholar] [PubMed]
- Yamashita, K.; Hongo, T.; Nojima, T.; Yumoto, T.; Nakao, A.; Naito, H. Hamman`s Syndrome Accompanied by Diabetic Ketoacidosis; a Case Report. Arch Acad Emerg Med. 2022, 10, e68. [Google Scholar]
- Kamei, S.; Kaneto, H.; Tanabe, A.; Shigemoto, R.; Irie, S.; Hirata, Y.; Takai, M.; Kohara, K.; Shimoda, M.; Mune, T.; Kaku, K. Hamman`s syndrome triggered by the onset of type 1 diabetes mellitus accompanied by diabetic ketoacidosis. Acta Diabetol. 2016, 53, 1067–1068. [Google Scholar] [CrossRef]
- Kelly, S.; Hughes, S.; Nixon, S.; Paterson-Brown, S. Spontaneous pneumomediastinum (Hamman`s syndrome). Surgeon. 2010, 8, 63–66. [Google Scholar] [CrossRef] [PubMed]
- Früh, J.; Abbas, J.; Cheufou, D.; Baron, S.; Held, M. Spontaneous pneumomediastinum (Hamman's syndrome) with pneumorrhachis as a rare cause of acute chest pain in a young patient with acute asthma exacerbation. Pneumologie. 2023, 77, 430–434. [Google Scholar] [PubMed]
- Rosinhas, J.F.A.M.; Soares, S.M.C.B.; Pereira, A.B.M. Hamman`s syndrome. J Bras Pneumol. 2018, 44, 433. [Google Scholar] [CrossRef] [PubMed]
- Buchanan, G.M.; Franklin, V. Hamman and Boerhaave syndromes - diagnostic dilemmas in a patient presenting with hyperemesis gravidarum: a case report. Scott Med J. 2014, 59, e12–e16. [Google Scholar] [CrossRef] [PubMed]
- Jayran-Nejad, Y. Subcutaneous emphysema in labour. Anaesthesia. 1993, 48, 139–140. [Google Scholar] [CrossRef] [PubMed]
- Barbosa, P.N.V.P.; Stefanini, F.S.; Bitencourt, A.G.V.; Gross, J.L.; Chojniak, R. Computed tomography-guided percutaneous drainage of tension pneumomediastinum. Radiol Bras. 2022, 55, 62–63. [Google Scholar] [CrossRef] [PubMed]
- La Verde, M.; Palmisano, A.; Iavarone, I.; Ronsini, C.; Labriola, D.; Cianci, S.; Schettino, F.; Reginelli, A.; Riemma, G.; De Franciscis, P. A Rare Complication during Vaginal Delivery, Hamman's Syndrome: A Case Report and Systematic Review of Case Reports. Int J Environ Res Public Health. 2022, 19, 4618. [Google Scholar] [CrossRef]
- Tixier, H.; Rattin, C.; Dunand, A.; Peaupardin, Y.; Douvier, S.; Sagot, P.; Mourtialon, P. Hamman's syndrome associated with pharyngeal rupture occurring during childbirth. Acta Obstet Gynecol Scand. 2010, 89, 407–408. [Google Scholar] [CrossRef] [PubMed]
- Kaneki, T.; Kubo, K.; Kawashima, A.; Koizumi, T.; Sekiguchi, M.; Sone, S. Spontaneous pneumomediastinum in 33 patients: yield of chest computed tomography for the diagnosis of the mild type. Respiration. 2000, 67, 408–411. [Google Scholar] [CrossRef]
- Jougon, J.B.; Ballester, M.; Delcambre, F.; Mac Bride, T.; Dromer, C.E.; Velly, J.F. Assessment of spontaneous pneumomediastinum: experience with 12 patients. Ann Thorac Surg. 2003, 75, 1711–1714. [Google Scholar] [CrossRef]
- Brandfass, R.T.; Martinez, D.M. Mediastinal and subcutaneous emphysema in labor. South Med J. 1976, 69, 1554–1555. [Google Scholar] [CrossRef] [PubMed]
- Balkan, M.E.; Alver, G. Spontaneous pneumomediastinum in 3rd trimester of pregnancy. Ann Thorac Cardiovasc Surg. 2006, 12, 362–364. [Google Scholar]
- Sutherland, F.W.; Ho, S.Y.; Campanella, C. Pneumomediastinum during spontaneous vaginal delivery. Ann Thorac Surg. 2002, 73, 314–315. [Google Scholar] [CrossRef]
- Miguil, M.; Chekairi, A. Pneumomediastinum and pneumothorax associated with labour. Int J Obstet Anesth. 2004, 13, 117–119. [Google Scholar] [CrossRef] [PubMed]
- Duffy, B.L. Post partum pneumomediastinum. Anaesth Intensive Care. 2004, 32, 117–119. [Google Scholar] [CrossRef]
- Bonin, M.M. Hamman's syndrome (spontaneous pneumomediastinum) in a parturient: a case report. J Obstet Gynaecol Can. 2006, 28, 128–131. [Google Scholar] [CrossRef]
- Norzilawati, M.N.; Shuhaila, A.; Zainul Rashid, M.R. Postpartum pneumomediastinum. Singapore Med J. 2007, 48, e174–e176. [Google Scholar] [PubMed]
- Yadav, Y.; Ramesh, L.; Davies, J.A.; Nawaz, H.; Wheeler, R. Gross spontaneous pneumomediastinum (Hamman's syndrome) in a labouring patient. J Obstet Gynaecol. 2008, 28, 651–652. [Google Scholar] [CrossRef]
- Mahboob, A.; Eckford, S.D. Hamman's syndrome: an atypical cause of postpartum chest pain. J Obstet Gynaecol. 2008, 28, 652–653. [Google Scholar] [CrossRef] [PubMed]
- Zapardiel, I.; Delafuente-Valero, J.; Diaz-Miguel, V.; Godoy-Tundidor, V.; Bajo-Arenas, J.M. Pneumomediastinum during the fourth stage of labor. Gynecol Obstet Invest. 2009, 67, 70–72. [Google Scholar] [CrossRef]
- Revicky, V.; Simpson, P.; Fraser, D. Postpartum pneumomediastinum: an uncommon cause for chest pain. Obstet Gynecol Int. 2010, 2010, 956142. [Google Scholar] [CrossRef] [PubMed]
- Beynon, F.; Mearns, S. Spontaneous pneumomediastinum following normal labour. BMJ Case Rep. 2011, 2011, bcr0720114556. [Google Scholar] [CrossRef] [PubMed]
- Wozniak, D.R.; Blackburn, A. Postpartum pneumomediastinum manifested by surgical emphysema. Should we always worry about underlying oesophageal rupture? BMJ Case Rep. 2011, 2011, bcr0420114137. [Google Scholar] [CrossRef] [PubMed]
- Shrestha, A.; Acharya, S. Subcutaneous emphysema in pregnancy. JNMA J Nepal Med Assoc. 2011, 51, 141–143. [Google Scholar] [CrossRef] [PubMed]
- McGregor, A.; Ogwu, C.; Uppal, T.; Wong, M.G. Spontaneous subcutaneous emphysema and pneumomediastinum during second stage of labour. BMJ Case Rep. 2011, 2011, bcr0420114067. [Google Scholar] [CrossRef] [PubMed]
- Houari, N.; Labib, S.; Berdai, M.A.; Harandou, M. Postpartum pneumomediastinum associated with subcutaneous emphysema: a case report. Ann Fr Anesth Reanim. 2012, 31, 728–730. [Google Scholar] [CrossRef] [PubMed]
- Kandiah, S.; Iswariah, H.; Elgey, S. Postpartum pneumomediastinum and subcutaneous emphysema: two case reports. Case Rep Obstet Gynecol. 2013, 2013, 735154. [Google Scholar] [CrossRef] [PubMed]
- Kouki, S.; Fares, A.A. Postpartum spontaneous pneumomediastinum 'Hamman's syndrome'. BMJ Case Rep. 2013, 2013, bcr2013010354. [Google Scholar] [CrossRef] [PubMed]
- Khoo, J.; Mahanta, V.R. Spontaneous pneumomediastinum with severe subcutaneous emphysema secondary to prolonged labor during normal vaginal delivery. Radiol Case Rep. 2015, 7, 713. [Google Scholar] [CrossRef]
- Wijesuriya, J.; Van Hoogstraten, R. Postpartum Hamman's syndrome presenting with facial asymmetry. BMJ Case Rep. 2015, 2015, bcr2015213397. [Google Scholar] [CrossRef]
- Scala, R.; Madioni, C.; Manta, C.; Maggiorelli, C.; Maccari, U.; Ciarleglio, G. Spontaneous pneumomediastinum in pregnancy: A case report. Rev Port Pneumol (2006). 2016, 22, 129–131. [Google Scholar] [CrossRef] [PubMed]
- Elshirif, A.; Tyagi-Bhatia, J. Postpartum pneumomediastinum and subcutaneous emphysema (Hamman's syndrome). J Obstet Gynaecol. 2016, 36, 281–282. [Google Scholar] [CrossRef] [PubMed]
- Berdai, M.A.; Benlamkadem, S.; Labib, S.; Harandou, M. Spontaneous Pneumomediastinum in Labor. Case Rep Obstet Gynecol. 2017, 2017, 6235076. [Google Scholar] [CrossRef] [PubMed]
- Lou, Y.Y. Hamman's syndrome: spontaneous pneumomediastinum and subcutaneous emphysema during second stage of labour. Int J Reprod Contracept Obstet Gynecol. 2017, 6, 2622–2624. [Google Scholar] [CrossRef]
- Sagar, D.; Rogers, T.K.; Adeni, A. Postpartum pneumomediastinum and subcutaneous emphysema. BMJ Case Rep. 2018, 2018, bcr2018224800. [Google Scholar] [CrossRef] [PubMed]
- Khan, S.I.; Shah, R.A.; Yasir, S.; Ahmed, M.S. Post partumpneumomediastinum (Hamman syndrome): A case report. J Pak Med Assoc. 2018, 68, 1108–1109. [Google Scholar]
- Jakes, A.D.; Kunde, K.; Banerjee, A. Case report: Postpartum pneumomediastinum and subcutaneous emphysema. Obstet Med. 2019, 12, 143–145. [Google Scholar] [CrossRef] [PubMed]
- Madhok, D.; Smith, V.; Gunderson, E. An Unexpected Case of Intrapartum Pneumomediastinum. Case Rep Obstet Gynecol. 2019, 2019, 4093768. [Google Scholar] [CrossRef] [PubMed]
- Lee, S.Y.; Young, A. Hamman syndrome: spontaneous postpartum pneumomediastinum. Intern Med J. 2019, 49, 130–131. [Google Scholar] [CrossRef]
- Chavan, R. Hamman’s syndrome in a parturient: a case report. BJMP 2019, 12, a007. [Google Scholar]
- Opstelten, J.L.; Zwinkels, J.R.; van Velzen, E. Sudden dyspnoea and facial swelling during labour. Ned Tijdschr Geneeskd. 2019, 163, D3044. [Google Scholar]
- Oshovskyy, V.; Poliakova, Y. A rare case of spontaneous pneumothorax, pneumomediastinum and subcutaneous emphysema in the II stage of labour. Int J Surg Case Rep. 2020, 70, 130–132. [Google Scholar] [CrossRef] [PubMed]
- Badran, D.; Ismail, S.; Ashcroft, J. Pneumomediastinum following spontaneous vaginal delivery: report of a rare phenomenon. J Surg Case Rep. 2020, 2020, rjaa076. [Google Scholar] [CrossRef] [PubMed]
- Zethner-Møller, R.; Wulff, C.B. Spontaneous pneumomediastinum during labour. Ugeskr Laeger. 2021, 183, V05210403. [Google Scholar] [PubMed]
- Mullins, K.V.J.; Mlawa, G. Postpartum chest pain and the Hamman syndrome. J Clin Images Med Case Rep. 2021, 2, 1522. [Google Scholar] [CrossRef]
- Peña-Vega, C.J.; Buitrón-García, R.; Zavala-Barrios, B.; Aguirre-García, R. Postpartum Hamman (pneumomediastinal) syndrome. Synthesis of the literature and case report. Ginecol Obstet Mex. 2023, 91, 197–209. [Google Scholar]
- Chooi, K.Y.L. Hamman’s syndrome: a case of pneumomediastinum, pneumothorax and extensive subcutaneous emphysema in the second stage of labour. The Royal Australian and New Zealand College of Obstetricians and Gynaecologists Congress. Perth, 28.10.-1.11.2023. Aiming higher: More than healthcare. Poster. https://ranzcogasm.com.au/wp-content/uploads/2019/10/80.pdf.
- Hülsemann, P.; Vollmann, D.; Kulenkampff, D. Spontaneous Pneumomediastinum-Hamman Syndrome. Dtsch Arztebl Int. 2023, 120, 525. [Google Scholar] [CrossRef]
- Inesse, A.A.; Ilaria, R.; Camille, O. Protracted Labor Complicated by Pneumomediastinum and Subcutaneous Emphysema: A Rare Case Report and Management Considerations. Am J Case Rep. 2023, 24, e940989. [Google Scholar] [CrossRef]
- Chen, N.; Daly, T.K.; Nadaraja, R. Pneumomediastinum and Pericardium During Labour: A Report on a Rare.


| Author | Age y/o |
Parity | When symptoms developed | Duration of labour | Week of gestation | Treatment |
|---|---|---|---|---|---|---|
| Sutherland et al. 2002 [23] | 32 | Para 1 | Post partum | 8h | N/A | None |
| Sutherland et al. 2002 [23] | 22 | Para 1 | 13h post partum | N/A | N/A | None |
| Miguil et al. 2004 [24] | 19 | Para 0 | N/A | N/A | 40 | Oxygen & analgetics, C-section |
| Duffy 2004 [25] | 19 | Para 0 | 2h | 90 min 2nd stage | 40 | Oxygen v analgetics |
| Bonin et al. 2006 [26] | 27 | Para 0 | 2nd stage | 6h | 38 | Lorazepam for anxiety & anxiolytics for dyspnea |
| Norzilawati et al. 2007 [27] | 21 | Para 0 | 12h post partum | 4h, 100 min 2nd stage | 40 | None |
| Yadav et al. 2008 [28] | 21 | Para 0 | 2nd stage | 2nd stage 1,5h | N/A | Oxygen & analgesics |
| Mahboob et al. 2008 [29] | 24 | Para 0 | 18h post partum | N/A Normal |
39 | Oral antibiotics, iv fluids & analgetics |
| Zapardiel et al. 2009 [30] | 29 | Para 0 | Post partum | N/A | 39 | Oxygen |
| Revicky et al. 201031 | 32 | Para 0 | 3h | 14h | 40 | None |
| Beynon et al. 2011 [32] | 18 | Para 0 | 8h post partum | 4h | 39 | Antibiotics & analgetics |
| Wozniak et al. 2011 [33] | 20 | Para 0 | 5h post partum | 9h | 41 | Observation |
| Shrestha et al. 2011 [34] | 19 | Para 0 | N/A | N/A | 36 | None |
| Kuruba et al. 2011 [1] | 32 | Para 1 | 2nd stage | 1.5h | 40 | None |
| McGregor et al. 2011 [35] | 27 | Para 0 | 2nd stage | 7,5h | 40 | Oxygen & analgetics |
| Houari et al. 2012 [36] | 21 | Para 0 | Post partum | N/A | 40 | Conservative management |
| Kandiah et al. 2013 [37] | 25 | Para 0 | 2nd day post partum | 2nd stage 3h, 16 min. Ending in a C-section | 40 | Observation |
| Kandiah et al. 2013 [37] | 30 | Para 0 | 2nd stage | 6h | 38 | Observation |
| Kouki et al. 2013 [38] | 23 | Para 0 | 2nd stage | 9h | 40 | Oxygen & analgesics and sedatives |
| Khoo et al. 2015 [39] | 33 | Para 0 | 2nd stage | 12h | 40 | Analgetics & bed rest |
| Cho et al. 2015 [7] | 28 | Para 0 | 2nd stage | 5h | 36 | Oxygen & analgesics |
| Wijesuriya et al. 2015 [40] | 24 | Para 0 | N/A | N/A | N/A | N/A |
| Khurram et al. 2015 [4] | 24 | Para 1 | 2h post partum | 2nd stage prolonged | 40 | None |
| Scala et al. 2016 [41] | 30 | N/A | 2nd stage | N/A | 40 | None |
| Elshirif et al. 2016 [42] | 27 | Para 0 | 4h post partum | 19h 2nd stage 3h |
41 | Analgetics, oxygen & antibiotics |
| Berdai et al. 2017 [43] | 22 | Para 0 | 2nd stage | 2h | 40 | Oxygen |
| Lou et al. 2017 [44] | 29 | Para 0 | 2nd stage | Prolonged | At term | Supportive |
| Sagar et. al 2018 [45] | 22 | Para 0 | 3h post partum | 4,5h | 37 | None |
| Khan et al. 2018 [46] | 30 | Para 0 | N/A | N/A | N/A | Antibiotics, oxygen & bronchodilators |
| Jakes et al. 201947 | 23 | Para 0 | 40 min post partum | 2nd stage 2h | 38 | Oxygen |
| Madhok et al. 2019 [48] | 21 | Para 0 | 2h post partum | 3h | 39 | None |
| Lee et al. 2019 [49] | 31 | Para 0 | 2nd stage | 8,4h | 41 | IV antibiotics, hydrokortison & Loratadine |
| Chavan et al. 2019 [50] | 33 | Para 0 | 10h post partum | 90 min 2nd stage | 38 | Oxygen & analgetics |
| Opstelten et al. 2019 [51] | 25 | Para 0 | 2nd stage | N/A | N/A | N/A |
| Oshovskyy et al. 2020 [52] | 34 | Para 4 | 2nd stage | 4,5h | 39 | Pigtail catheter |
| Badran et al. 2020 [53] | N/A | Para 0 | 4h post partum | N/A | Full term | Nil by mouth |
| Zethner-Møller et al. 2021 [54] | 35 | Para 1 | 2nd stage | N/A | 36 | Oxygen |
| Mullins et al. 2021 [55] | 17 | Para 0 | post partum, prolonged second stage | N/A | 39 | Oxygen & opioids |
| La Verde et al. 2022 [17] | 23 | Para 0 | 2nd stage | 5h | 41 | None |
| Gomes et al. 202 [26] | 21 | Para 0 | 2nd stage | N/A | 40 | C-section & observation |
| Peña-Vega 2023 [56] | 18 | Para 0 | 30h post partum | 12h | 39 | Oxygen |
| Chooi et al. 2023 [57] | 22 | Para 0 | 2nd stage | 3h 2nd stage | 39 | None |
| Hülsemann et al. 2023 [58] | 21 | Para 0 | 2nd stage | Prolonged | N/A | N/A |
| Inesse et al. 2023 [59] | 29 | Para 0 | 1h post partum | 2nd stage lasted 2h, 40 min active pushing | 40 | None |
| Chen et al. 2023 [60] | 20 | Para 0 | immediately after delivery | Prolonged | 43 | Analgetics & antibiotics iv |
Disclaimer/Publisher’s Note: The statements, opinions and data contained in all publications are solely those of the individual author(s) and contributor(s) and not of MDPI and/or the editor(s). MDPI and/or the editor(s) disclaim responsibility for any injury to people or property resulting from any ideas, methods, instructions or products referred to in the content. |
© 2024 by the authors. Licensee MDPI, Basel, Switzerland. This article is an open access article distributed under the terms and conditions of the Creative Commons Attribution (CC BY) license (http://creativecommons.org/licenses/by/4.0/).
