Submitted:
04 April 2024
Posted:
05 April 2024
You are already at the latest version
Abstract
Keywords:
Introduction:
Case Presentation:
Past History:
Physical Examination:
Lab Investigations:
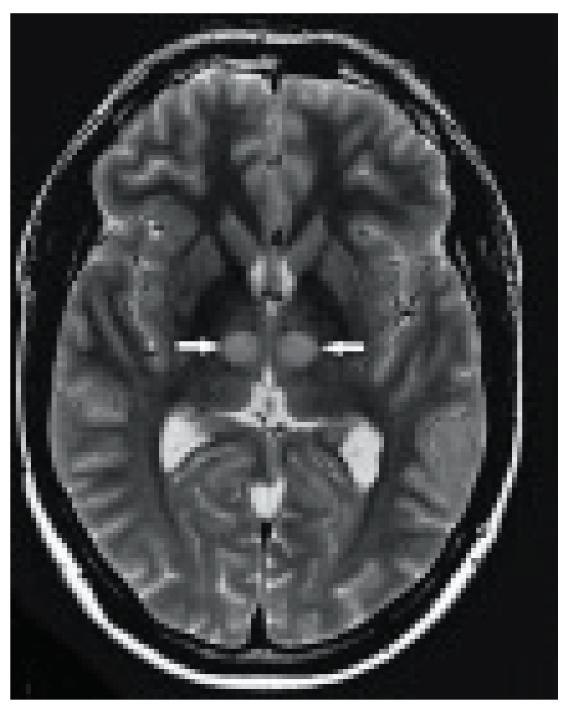
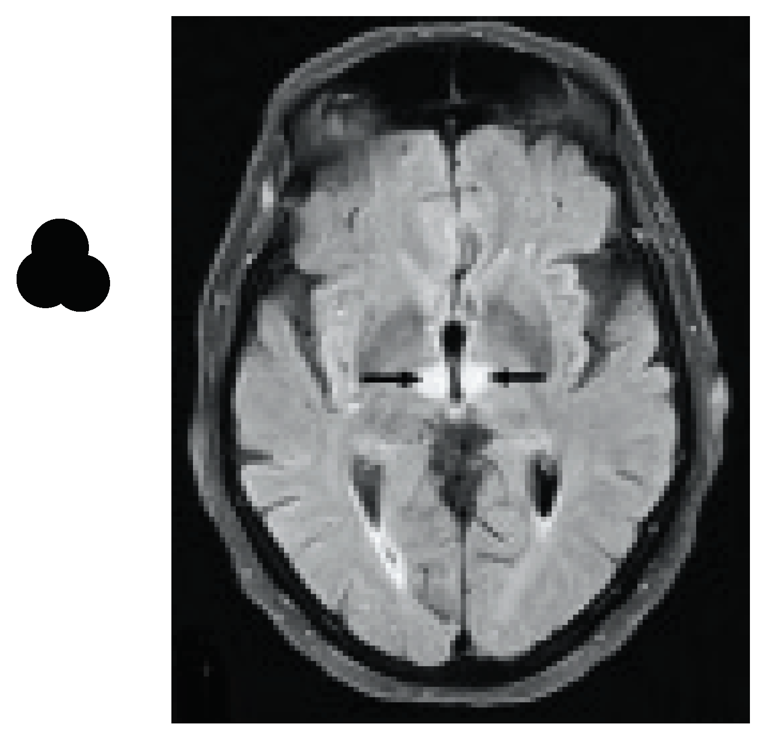
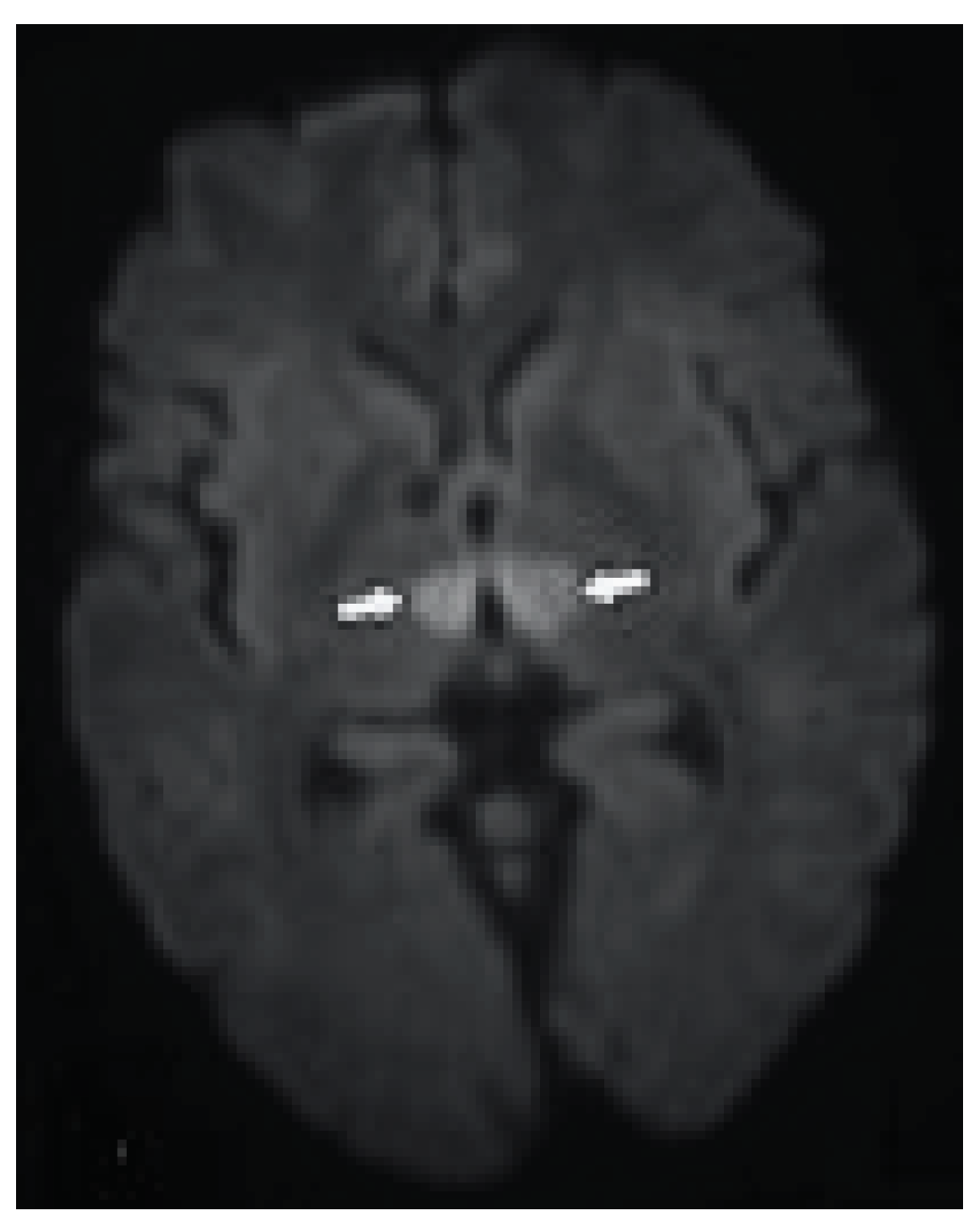
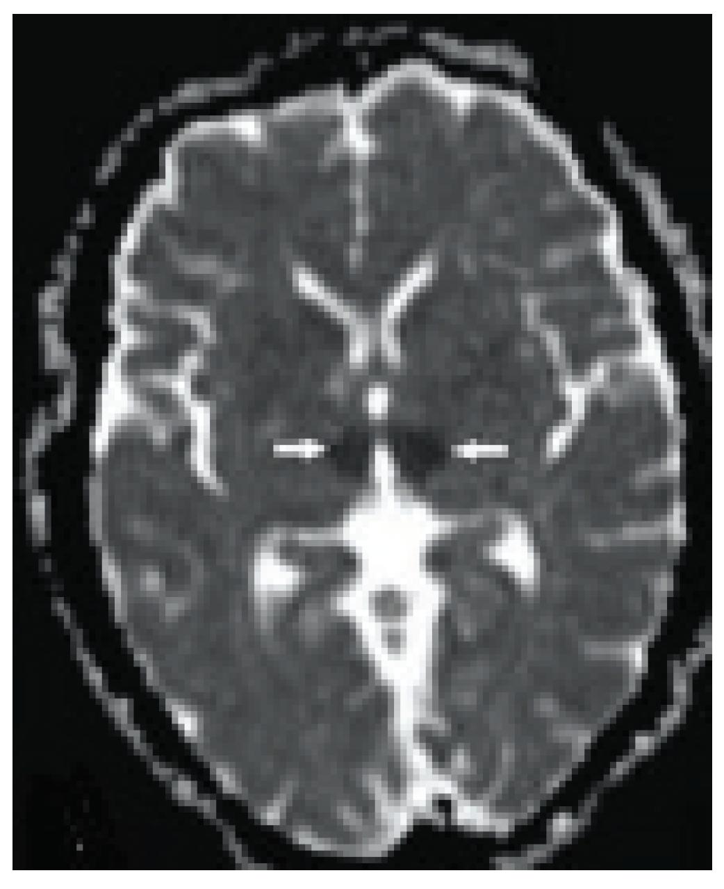
Radiological Investigations:




Management:
Follow Up:
Diagnosis:
Discussion:
Conclusions:
Funding
Institutional Review Board Statement
Conflicts of Interest
References
- Schmahmann, J.D. Vascular Syndromes of the Thalamus. Stroke 2003, 34, 2264–2278. [Google Scholar] [CrossRef] [PubMed]
- Lazzaro, N.; Wright, B.; Castillo, M.; Fischbein, N.; Glastonbury, C.; Hildenbrand, P.; Wiggins, R.; Quigley, E.; Osborn, A. Artery of Percheron Infarction: Imaging Patterns and Clinical Spectrum. Am. J. Neuroradiol. 2010, 31, 1283–1289. [Google Scholar] [CrossRef] [PubMed]
- Musa, J.; Rahman, M.; Guy, A.; Kola, E.; Guy, A.; Hyseni, F.; Cobo, A.; Saliaj, K.; Bushati, F.; Ahmetgjekaj, I. Artery of Percheron infarction: A case report and literature review. Radiol. Case Rep. 2021, 16, 1271–1275. [Google Scholar] [CrossRef] [PubMed]
- Lott, R.; Zonna, X.; Jose, A.N.; Shin, J.; Roemer, M.; Nasir, A.; Iii, R.L. Artery of Percheron Infarct: A Rare Case Presentation and Recovery. Cureus 2023, 15, e44033. [Google Scholar] [CrossRef]
- Hashtjin, S.R.; Ikramuddin, S.; Streib, C. Artery of Percheron Infarction: Clinical Presentation and Outcomes (P6-5.032). Neurology 2023, 100. [Google Scholar] [CrossRef]
- Powers, W.J.; Rabinstein, A.A.; Ackerson, T.; Adeoye, O.M.; Bambakidis, N.C.; Becker, K.; Biller, J.; Brown, M.; Demaerschalk, B.M.; Hoh, B.; et al. 2018 Guidelines for the Early Management of Patients With Acute Ischemic Stroke: A Guideline for Healthcare Professionals From the American Heart Association/American Stroke Association. Stroke 2018, 49, e46–e99. [Google Scholar] [CrossRef] [PubMed]
- Shimizu, Y.; Tsuchiya, K.; Fujisawa, H. Deep Venous Thrombosis with Decreased Cerebral Blood Flow to the Thalamus was Completely Restored by Factor Xa Inhibitor. J. Stroke Cerebrovasc. Dis. 2019, 28, e39–e43. [Google Scholar] [CrossRef] [PubMed]
- Khanni, J.L.; A Casale, J.; Koek, A.Y.; del Pozo, P.H.E.; Espinosa, P.S. Artery of Percheron Infarct: An Acute Diagnostic Challenge with a Spectrum of Clinical Presentations. Cureus 2018, 10, e3276. [Google Scholar] [CrossRef]
- Cassourret, G.; Prunet, B.; Sbardella, F.; Bordes, J.; Maurin, O.; Boret, H. Ischemic Stroke of the Artery of Percheron with Normal Initial MRI: A Case Report. Case Rep. Med. 2010, 2010, 1–4. [Google Scholar] [CrossRef] [PubMed]
- Lamot, U.; Ribaric, I.; Popovic, K.S. Artery of Percheron infarction: A review of the literature with a case report. Radiol. Oncol. 2015, 49, 141–146. [Google Scholar] [CrossRef] [PubMed]
- Nolte, C.; Endres, M.; Jungehulsing, G. Vaskuläre Syndrome des Thalamus. Der Nervenarzt 2011, 82, 231–241. [Google Scholar] [CrossRef] [PubMed]
- Phate, N.; Pawar, T.; Andhale, A.; Singh, R.K.; Talwar, D.; Acharya, S.; Shukla, S.; Kumar, S. Artery of Percheron Stroke: A Case Report With a Diagnostic Challenge. Cureus 2022, 14, e21939. [Google Scholar] [CrossRef] [PubMed]
- Smith, A.B.; Smirniotopoulos, J.G.; Rushing, E.J.; Goldstein, S.J. Bilateral Thalamic Lesions. Am. J. Roentgenol. 2009, 192, W53–W62. [Google Scholar] [CrossRef] [PubMed]
- Lazzaro, N.; Wright, B.; Castillo, M.; Fischbein, N.; Glastonbury, C.; Hildenbrand, P.; Wiggins, R.; Quigley, E.; Osborn, A. Artery of Percheron Infarction: Imaging Patterns and Clinical Spectrum. Am. J. Neuroradiol. 2010, 31, 1283–1289. [Google Scholar] [CrossRef] [PubMed]
- Musa, J.; Rahman, M.; Guy, A.; Kola, E.; Guy, A.; Hyseni, F.; Cobo, A.; Saliaj, K.; Bushati, F.; Ahmetgjekaj, I. Artery of Percheron infarction: A case report and literature review. Radiol. Case Rep. 2021, 16, 1271–1275. [Google Scholar] [CrossRef] [PubMed]

| Test | Observed Value | Reference Range |
|---|---|---|
| Hemoglobin | 12 g/dl | (12-18) |
| WBC | 10.00 kU/L | (5.2-12.4) |
| RBC | 4.5 * 106/ul | (4.5-5.5) |
| Haematocrit | 40.3% | (40-50) |
| Platelet counts | 294 kU/L | (130-400) |
| Neutrophile | 75 % | (49-74) |
| Lymphocyte | 27% | (26-46) |
| Monocyte | 05% | (2-12) |
| Eosinophil | 01% | (0-5) |
| Basophil | 00% | (0-2) |
| Test | Observed Value | Reference Range |
|---|---|---|
| SGPT serum | 30 U/L | (10-49 U/L) |
| SGOT serum | 27 U/L | (0-34 U/L)) |
| Alkaline Phosphatase Serum | 46 U/L | (45-129 U/L) |
| Total Bilirubin | 0.40 mg/dl | (0.3-1.2 mg/dl) |
| Direct Bilirubin | 0.20 mg/dl | (0-0.3 mg/dl) |
| Indirect Bilirubin | 0.34 mg/dl | - |
| Test | Observed Value | Reference Range |
|---|---|---|
| Blood Urea | 20.0 mg/dl | (15-45 mg/dl) |
| Creatinine serum | 0.80 mg/dl | (0.5-1.1 mg/dl) |
| Sodium serum | 140 mmol/L | (132-146 mmol/L) |
| Potassium serum | 4.24 mmol/L | (3.5-5.5 mmol/L) |
| Chlorine serum | 105 mmol/L | (99-109 mmol/L) |
| Test | Observed Value | Reference Range |
|---|---|---|
| Total cholesterol | 198mg/dL | (<200 mg/dl) |
| Triglycerides | 140mg/dL | (<150 mg/dl) |
| HDL cholesterol | 42mg/dL | (>40 mg/dl) |
| Non-HDL cholesterol | 120mg/dL | (<130 mg/dl) |
| VLDL cholesterol | 27mg/dL | (<30 mg/dl) |
| CHOL/HDL ratio | 4.7 | (0-4.97) |
Disclaimer/Publisher’s Note: The statements, opinions and data contained in all publications are solely those of the individual author(s) and contributor(s) and not of MDPI and/or the editor(s). MDPI and/or the editor(s) disclaim responsibility for any injury to people or property resulting from any ideas, methods, instructions or products referred to in the content. |
© 2024 by the authors. Licensee MDPI, Basel, Switzerland. This article is an open access article distributed under the terms and conditions of the Creative Commons Attribution (CC BY) license (http://creativecommons.org/licenses/by/4.0/).