Preprint
Case Report

This version is not peer-reviewed.

Rhodotorula mucilaginosa Fungaemia in an Infected Biloma Patient Following a Traumatic Liver Injury

A peer-reviewed article of this preprint also exists.

Submitted:

26 March 2024

Posted:

26 March 2024

You are already at the latest version

Abstract
Rhodotorula mucilaginosa fungaemia is rare and highly resistance to antifungal therapy. We herein report a case involving a 31-year-old male admitted after a high-velocity road traffic accident. He sustained a grade IV liver injury with right hepatic vein thrombosis, necessitated an urgent laparotomy. Post-operatively, repeated imaging of the abdomen revealed presence of biloma. Percutaneous subdiaphragmatic drainage was done but appeared ineffective, prompting second surgery for a urgent hemi-hepatectomy. Patient then was nursed in the intensive care unit (ICU) however during his stay in the ICU he became more sepsis evident by worsening ventilatory support and rise in septic parameters from the biochemistry parameters. Despite on intravenous piperacillin-tazobactam and fluconazole, his septic parameters did not improve and a full septic workup was done and was found to be positive for Rhodotorula mucilaginosa from the blood cultures. After discussion with the infectious disease physicians and clinical microbiologist, it was decided to initiate a course of intravenous meropenem and amphotericin B based on minimum inhibitory concentration (MIC) values, considering the patient's extended ICU stay and catheter use. Eventually, successful weaning off mechanical ventilation was discharge from ICU care. This case underscores the necessity of individualized approaches, combining timely imaging, appropriate drainage techniques, and tailored treatments to optimize outcomes for such intricate post-traumatic complications.
Keywords: 
;  ;  ;  ;  

1. Introduction

Rhodotorula species are commensal fungi belonging to the family of Sporidiobolaceae with R. mucilaginosa, R. glutinis, and R. minuta are the most clinical encountered species typically especially in the Asia Pacific region, leading to invasive fungal infections especially in immunocompromise patients [1]. Rhodotorula mucilaginosa is an emerging pathogen with a high resistance profile and the mortality rate has been reported around 10% with the complications of sepsis, shock and organ dysfunction [2,3,4]. It forms salmon-pink colonies when cultured on standard artificial media – a vital and early clue to its presence in a fungal culture [5]. In order to prevent the risk of treatment failure, it is crucial for a timely clinical assessment in detecting Rhodotorula mucilaginosa infection so that appropriate antifungal therapy can be initiated early [4]. We report a case of a traumatic patient who developed Rhodotorula mucilaginosa fungaemua in an immunocompetent host who received early antifungal selection to prevent potential morbidity and mortality associated with it.

2. Detailed Case Description

We present a case involving a 31-year-old male who was admitted following a high-velocity road traffic accident. Upon assessment in the emergency department, he was intubated due to respiratory compromise identified during the primary survey. His injuries included multiple segmental rib fractures with a right-sided hemopneumothorax, a right-sided Schatzker’s type IV tibial plateau fracture, a grade IV liver injury with right hepatic vein thrombosis, and hemoperitoneum.
Subsequently, he developed abdominal compartment syndrome, manifesting signs of hemodynamic compromise. An urgent contrast-enhanced computed tomography (CECT) of the abdomen revealed gross hemoperitoneum, leading to an urgent laparotomy. During the surgery, bleeding from segment VI of the liver was identified and successfully managed by the hepatobiliary surgeon, with an estimated blood loss of 2.2 liters and was nursed in the intensive care unit (ICU) post-operatively.
In the ICU, the patient developed intra-abdominal sepsis and ventilator associated pneumonia. He was treated empirically with fluconazole for the intra-abdominal sepsis and piperacillin-tazobactam for the ventilator associated pneumonia, however his condition did not improve. Repeated imaging of the abdomen showed presence of biloma (Figure 1). A percutaneous subdiaphragmatic drain was inserted under computed tomography (CT) guidance by the interventional radiology team. Unfortunately, only a small amount of biloma was drained (less than 5 ml) and the percutaneous drain system got dislodged from its original placement. In view of ineffective percutaneous drain to drain the biloma, the hepatobiliary team decided to perform a hemi-hepatectomy for the removal of the biloma.
Despite removal of biloma, patients’ condition did not improve in the ICU. Inotropes were unable to wean-off and septic parameters including procalcitonin were still high. Blood cultures for bacterial and fungal taken prior to operation were traced, revealing the growth of Rhodotorula muciloginosa (Figure 2 and Figure 3).
After a multidisciplinary discussion involving infectious diseases physicians and clinical microbiologists, it was decided to initiate a course of intravenous meropenem and amphotericin B, given the prolonged ICU admission, multiple indwelling catheters and its minimum inhibitory concentration (MIC) values as shown in Table 1. Following the new antimicrobial regimen, the patient’s clinical condition significantly improved, as evident by improvement of ventilator settings and parameters, reduction in white cell count, c-reactive protein and procalcitonin.
After a 1-week course of intravenous meropenem and amphotericin B, the patient was successfully weaned off mechanical ventilation and was discharged from ICU care. Intravenous meropenem and amphotericin B were continued in the general surgical ward and were completed for a total duration of 6-weeks from the diagnosis of Rhodotorula mucilaginosa fungaemia as suggested by the infectious disease physician.

3. Discussion

Bile is a lipid-rich sterile solution produced in the liver. However, bacterial colonisation of bile can occur due to trauma or biliary diseases leading to biloma. Biloma is a rare abnormal bilious collection either occur intrahepatic or extrahepatic region. Limited epidemiological data exists concerning the occurrence of biloma formation. The majority of bilomas arise as a consequence of iatrogenic disturbances in the biliary tree. Post-traumatic biloma can take 1 to 2 days to appear [6]. The clinical presentation of biloma varies as it may present as diffused or localized abdominal pain, jaundice, fever and peritonitis [7]. They have the propensity to become infected due to microbial ascent, bacteremia, or catheter colonization. Biloma can be infected and may lead to serious and life-threatening complications such as peritonitis, biliopleural fistula and hemobilia [7]. Infected bilomas are characterized by a collection of pus and bile in the biliary tree, leading to symptoms such as fever, abdominal pain, and jaundice. Approximately 16% of cases are associated with bacteremia at the time of biloma diagnosis [8]. Fungal infections associated with bilomas are uncommon, with liver transplantation accounting for the majority, presenting an incidence of up to 26% [9]. However, in this unique case, the patient, an immunocompetent host, developed fungemia associated with a biloma, marking the novelty of this presentation. The deviation from the typical association with liver transplantation underscores the exceptional nature of this particular clinical scenario.
Imaging remains the gold standard for diagnosing bilomas [10]. Ultrasound (US) is often the initial imaging modality used. US serves a modality capable of detecting the content within the biloma. It may show a variety of findings ranging from well-defined collections in the liver parenchyma to extensive fluid collections across the abdomen. Notably, findings shows heavily loculated bilomas are often linked to infection [11]. CT imaging can help identify the overall structure of the biloma, delineating clear margins that can be either encapsulated or non-encapsulated [12]. However, a well-defined capsule is not always present in CT imaging [12]. On CT imaging, bilomas typically appear as well-defined hypoechoic fluid collections within the abdomen. These collections can vary in size and shape, ranging from small localized areas to larger, more extensive masses. While some bilomas may present with irregular borders [13]. While CT imaging offers a more intricate view of bilomas, it lacks the capability to conclusively distinguish among various potential diagnoses, including seroma, abscess, lymphocele, liver cyst, hematoma, and pseudocyst [14]. Consequently, additional imaging modalities such as magnetic resonance (MR) imaging or hepatobiliary cholescintigraphy may be necessary to help validate the diagnosis. Direct sampling of the biloma together with these imaging techniques will also help with the diagnosis [12]. In T1-weighted images, bilomas will display low signal intensity, whereas in T2-weighted images, high signal intensity is observed [15]. MR contrast rarely permeates into the biloma and rim-enhancement is sometimes present due to reactive inflammation. Enhancing septations are often observed in superimposed infection [15]. Hepatobiliary cholescintigraphy serves as a highly efficient non-invasive imaging technique for diagnosing and strategizing treatment for bilomas [16]. Utilizing a radiotracer known as Tc-99m iminodiacetic acid, it is commonly referred to as hepatobiliary iminodiacetic acid (HIDA) imaging [12]. HIDA imaging exhibits a high level of sensitivity in detecting bile leaks [16]. Nonetheless, it lacks the ability to offer detailed imaging of the surrounding anatomical structures. Single positron emission computed tomography (SPECT) can furnish more intricate imaging of potential leak locations, proving particularly valuable in planning percutaneous image-guided drains [12]. Endoscopic retrograde cholangiopancreatography (ERCP) and Percutaneous transhepatic cholangiogram (PTC) can be considered not only for diagnostic tests but also may offer some degree of intervention either percutaneously or endoscopically [16]. Other minimally invasive investigations available are CT-guided sampling technique and US-guided sampling technique. However, these techniques require laboratory assistance to analyse the sample collected [12]. In our case, CT imaging was sufficient to give us the information we need.
The management of bilomas involves a combination of drainage of the fluid collection and antibiotics. Drainage methods, such as percutaneous, endoscopic, or surgical procedures, depend on the location and size of the collection [10]. Antibiotic therapy should be initiated empirically based on likely pathogens and the patient’s clinical condition, with the choice guided by culture and sensitivity reports. In our case, Rhodotorula mucilaginosa was isolated from the blood culture, and we posit that its source may have originated either from the biloma, possibly due to environment contamination during the traumatic event, or through opportunistic infection from commensal sites. The initial CT imaging (Figure 1) revealed a rim-enhancing lesion surrounding the biloma, suggesting a potential infective biloma. However, we did not perform a biopsy and or staining hepatic tissue during the hemi-hepatectomy to definitely confirm that Rhodotorula mucilaginosa originated from the biloma itself. This limitation underscores a key aspect of our study, highlighting the need for further investigations to establish a direct link between the presence of Rhodotorula mucilaginosa and the biloma.
Rhodotorula, a yeast often mistaken for Candida species due to its similar morphology, is a low-virulence organism widely distributed in the environment [3]. Distinguishing between Candida and Rhodotorula sp. based on gram stain can pose considerable challenges, as both exhibit oval budding yeast with rudimentary pseudohyphae [17]. Utilising the positive urease test as a quick pointer to differentiate between the Rhodotorula sp. and Candida sp. can be advocated but it’s important to acknowledge the limitations of this approach, including the test’s positive yield with certain Candida sp. [18]. Though previously considered non-pathogenic, Rhodotorula sp has emerged as an opportunistic etiologic agent, particularly in cases of fungemia associated with catheters, endocarditis, peritonitis, meningitis, and endophthalmitis [10]. In a recent review, Rhodotorula fungemia accounted for 48.6% of all Rhodotorula-related infections, with Rhodotorula mucilaginosa identified as the predominant causative species [3]. Rhodotorula fungemia has been associated with a crude mortality rate of up to 20%, especially in patients with indwelling vascular catheters, granulocytopenia, impaired anatomic barriers, cellular immune dysfunction, and parenteral nutrition [19]. Isolation of Rhodotorula sp. from sterile sites such as blood, peritoneal fluid, or cerebrospinal fluid suggests infection, unlike non-sterile sites like skin, sputum, or stool, as demonstrated in our case report [20]. Despite lacking apparent immunosuppression, our patient possessed multiple risk factors predisposing him to invasive fungal infections, including ventilator-associated pneumonia, broad-spectrum antimicrobial therapy, admission to the critical care unit with CVC access, and urinary catheterization, all significant contributors to invasive fungal infection. Persistent sepsis despite biloma removal and administration of potent broad-spectrum antibiotics raised suspicion of fungal infection. Therefore, clinical judgment dictated coverage with Amphotericin B and meropenem to address the fungal infection.
Managing bilomas in combination with Rhodotorula mucilaginosa fungemia poses a challenge. This necessitates a multidisciplinary approach involving infectious disease physicians, interventional radiologists, and surgeons. In the past, surgery was the only option in treating biloma but with the advancement of medical technology more options are currently available [7]. The optimal approach to treating bilomas hinges on several factors, including the patient’s overall health, the size and location of the biloma, the presence of biliary leakage, and the occurrence of sepsis [21]. Several treatment options are available including percutaneous or endoscopic drainage, surgical drainage, or close monitoring [12]. Small biloma does not necessitate any treatment and close observation is suffice [7]. Percutaneous drainage, the most common method, is associated with lower morbidity and mortality compared to surgical drainage [22]. In our case, the patient initially underwent CT-guided drainage of the biloma. Unfortunately, our initial attempt at percutaneous drainage proved unsuccessful, likely due to the presence of multiple septated collections within the biloma. While additional drainage procedures could be considered, introducing more drains poses an increased risk of infection for the patient. Endoscopic drainage was not suitable for our case as it requires large collections and those located in the left lobe of the liver. Eventually, due to persistent sepsis, our patient necessitated a hemi-hepatectomy for source control, underscoring the role of surgical intervention in cases where percutaneous drainage fails or bile leaks persist.
Several in vitro studies showed Rhodotorula sp. are resistant to fluconazole and echinocandin, however more susceptible to other azoles such as voriconazole and itrconazole [23,24,25]. Given the high resistance of fluconazole, alternative antifungal agents such as voriconazole, caspofungin, or amphotericin B should be considered. In our case, concentration gradient tests were conducted, revealing a low minimum inhibitory concentration (MIC) for amphotericin B, indicating susceptibility. However, the other antifungals, azoles (fluconazole, itraconazole, posaconazole, voriconazole), and echinocandins (anidulafungin, caspofungin) showed high MICs, indicating poor response to treatment (Table 1). Another case of Rhotodorula mucilaginosa fungaemia reported in literature showed that the MIC was comparable with our finding with amphotericin B and fluconazole was 0.25 μg/mL and 128 μg/mL respectively [5]. Clinically, this was evident when the patient’s condition did not improve despite adequate dosing and duration of fluconazole during the initial treatment.
In addition to the patient’s clinical response and infection resolution, several other factors contribute to determining the duration of antifungal therapy. These factors include the severity of the infection, the presence of underlying medical conditions, such as diabetes or immunosuppression, and the risk of recurrence. Close monitoring of the patient’s symptoms, laboratory results, and imaging findings is essential in assessing the effectiveness of the antifungal treatment and guiding the decision regarding treatment duration In our case, the decision to administer a total of six weeks of targeted antifungal therapy from the point of diagnosis was based on a thorough evaluation of these factors. Regular follow-up examinations and imaging studies were conducted to track the progress of the treatment and ensure the resolution of the infection. Regarding the role of prophylactic antifungal therapy in patients with infected biloma, while some studies suggest its potential benefits in reducing fungal infections, especially in immunocompromised individuals, controversy exists regarding its routine use [26,27,28]. Prophylactic antifungal therapy may carry risks, such as the development of antifungal resistance and adverse drug reactions, which need to be weighed against its potential benefits [29]. Therefore, its use should be carefully considered on a case-by-case basis, with preference given to high-risk patients, such as those undergoing extensive surgical procedures or with significant immunosuppression [28]. Close collaboration between infectious disease specialists, hepatobiliary surgeons, and other relevant healthcare providers is crucial in making informed decisions regarding prophylactic antifungal therapy in this patient population.
The prognosis of infected biloma combined with Rhodotorula mucilaginosa fungemia is generally favourable if diagnosed early and managed appropriately. However, delayed diagnosis or inappropriate management can lead to severe morbidity and mortality. The mortality rate in cases of Rhodotorula mucilaginosa fungemia ranges from 30% to 50% [20]. Factors associated with poor outcomes include delays in initiating appropriate antifungal therapy, sepsis, and underlying comorbidities such as liver disease [29]. In addition to the factors mentioned, the presence of Rhodotorula mucilaginosa fungemia may also increase the risk of disseminated infection, potentially affecting multiple organ systems and complicating treatment. Therefore, early recognition of systemic involvement and prompt initiation of systemic antifungal therapy are crucial to prevent disease progression and improve prognosis [12]. Furthermore, the immune status of the patient plays a significant role in determining outcomes, with immunocompromised individuals facing a higher risk of severe complications and mortality. As such, efforts to optimize immune function through supportive measures or targeted interventions may contribute to better treatment responses and enhanced survival rates. Overall, a comprehensive understanding of the multifactorial nature of infected biloma with Rhodotorula mucilaginosa fungemia is essential for devising effective management strategies and improving patient outcomes.

4. Conclusions

Managing post-traumatic liver bilomas when complicated with rare infections such as Rhodotorula mucilaginosa fungaemia can be very complex and challenging. Appropriate early imaging for diagnosis, multidisciplinary collaboration with timely drainage procedures either through percutaneous or open surgery and targeted antimicrobial therapy are pivotal in managing such cases effectively

Author Contributions

Conceptualization, M.N.M.; methodology, I.A. and F.H.A.; validation, C.H.D. and R.A.R.; investigation, M.N.M. and I.A.; resources, A.I.; writing—original draft preparation, M.N.M. and F.H.A.; writing—review and editing, I.A. and C.H.D.; visualization, M.N.M.; supervision, F.H.A; project administration, C.H.D. All authors have read and agreed to the published version of the manuscript.

Funding

This research received no external funding.

Institutional Review Board Statement

This study was conducted in accordance with the Declaration of Helsinki and approved by Universiti Kebangsaan Malaysia, Kuala Lumpur, Malaysia (Approval Code: JEP-2023-481; Approval Date: 15 May 2023).

Informed Consent Statement

Written informed consent has been obtained from the patient to publish this paper.

Data Availability Statement

Data are contained within the article.

Conflicts of Interest

The authors declare no conflicts of interest.

References

  1. Guidara, R., et al., Rhodotorula fungemia: Report of two cases in Sfax (Tunisia). Journal de Mycologie Médicale, 2016. 26(2): p. 178-181.
  2. Ioannou, P., R. Vamvoukaki, and G. Samonis, Rhodotorula species infections in humans: A systematic review. Mycoses, 2018. 62.
  3. Ioannou, P., R. Vamvoukaki, and G. Samonis, Rhodotorula species infections in humans: A systematic review. Mycoses, 2019. 62(2): p. 90-100.
  4. Goravey, W., et al., Central line-associated Rhodotorula mucilaginosa fungemia in an immunocompetent host: Case report and review of the literature. Clinical Case Reports, 2021. 9(4): p. 2158-2161.
  5. Hirano, R., T. Mitsuhashi, and K. Osanai, Rhodotorula mucilaginosa Fungemia, a Rare Opportunistic Infection without Central Venous Catheter Implantation, Successfully Treated by Liposomal Amphotericin B. Case Rep Infect Dis, 2022. 2022: p. 7830126.
  6. Ragavan, M., et al., Posttraumatic Intrahepatic Bilioma. Indian J Surg, 2015. 77(Suppl 3): p. 1399-400.
  7. FaisalUddin, M., et al., A Rare Case Report of Biloma After Cholecystectomy. Cureus, 2019. 11(8): p. e5459.
  8. Zangeneh, T.T., R. El Ramahi, and S.A. Klotz, 40 - Bacterial and Miscellaneous Infections of the Liver, in Zakim and Boyer’s Hepatology (Seventh Edition), A.J. Sanyal, et al., Editors. 2018, Elsevier: Philadelphia. p. 579-592.e4.
  9. Said, A., et al., Infected Bilomas in Liver Transplant Recipients, Incidence, Risk Factors and Implications for Prevention. American Journal of Transplantation, 2004. 4(4): p. 574-582.
  10. Diarra, D., et al., Post-traumatic biloma intrahepatic a rare complication of closed abdominal trauma: A case report. Radiol Case Rep, 2022. 17(6): p. 2203-2206.
  11. Thomas, S. and K. Jahangir, Noninvasive Imaging of the Biliary System Relevant to Percutaneous Interventions. Semin Intervent Radiol, 2016. 33(4): p. 277-282.
  12. Copelan, A., et al., Etiology, Diagnosis, and Management of Bilomas: A Current Update. Tech Vasc Interv Radiol, 2015. 18(4): p. 236-43.
  13. Akin, K., et al., Localized fluid collections after liver transplantation. Transplant Proc, 2006. 38(2): p. 627-30.
  14. Walker, A.T., et al., Bile duct disruption and biloma after laparoscopic cholecystectomy: imaging evaluation. AJR Am J Roentgenol, 1992. 158(4): p. 785-9.
  15. Chaudhary, A., et al., Comparison of magnetic resonance cholangiography and percutaneous transhepatic cholangiography in the evaluation of bile duct strictures after cholecystectomy. Br J Surg, 2002. 89(4): p. 433-6.
  16. Yousaf, M.N., et al., Biloma: A Rare Manifestation of Spontaneous Bile Leak. Cureus, 2020. 12(5): p. e8116.
  17. Harrington, A., et al., Differentiation of Candida albicans from non-albicans yeast directly from blood cultures by Gram stain morphology. Eur J Clin Microbiol Infect Dis, 2007. 26(5): p. 325-9.
  18. Howell, S. and K. Hazen, Candida, Cryptococcus and other yeasts of medical importance. Manual of clinical microbiology. 2012, Washington, DC: ASM Press.
  19. Kiehn, T.E., et al., Sepsis due to Rhodotorula related to use of indwelling central venous catheters. Clin Infect Dis, 1992. 14(4): p. 841-6.
  20. Wirth, F. and L.Z. Goldani, Epidemiology of Rhodotorula: an emerging pathogen. Interdiscip Perspect Infect Dis, 2012. 2012: p. 465717.
  21. Cortés, J.S., S.A. Polanía-Galindo, and H.A. Polanía-Liscano, Spontaneous Biloma: A Case Report and Literature Review. Revista colombiana de Gastroenterología, 2023. 38: p. 106-110.
  22. Dell, A.J., et al., Incidence and management of postoperative bile leaks: A prospective cohort analysis of 467 liver resections. S Afr J Surg, 2016. 54(3): p. 18-22.
  23. Pfaller, M.A., et al., Results from the ARTEMIS DISK Global Antifungal Surveillance study, 1997 to 2005: an 8.5-year analysis of susceptibilities of Candida species and other yeast species to fluconazole and voriconazole determined by CLSI standardized disk diffusion testing. J Clin Microbiol, 2007. 45(6): p. 1735-45.
  24. Gomez-Lopez, A., et al., Susceptibility profile of 29 clinical isolates of Rhodotorula spp. and literature review. J Antimicrob Chemother, 2005. 55(3): p. 312-6.
  25. Diekema, D.J., et al., Activities of available and investigational antifungal agents against rhodotorula species. J Clin Microbiol, 2005. 43(1): p. 476-8.
  26. Rhim, H., et al., Major complications after radio-frequency thermal ablation of hepatic tumors: spectrum of imaging findings. Radiographics, 2003. 23(1): p. 123-34; discussion 134-6.
  27. Chang, K.-K., et al., Empiric antibiotic choices for community-acquired biliary tract infections. Advances in Digestive Medicine, 2014. 1(2): p. 54-59.
  28. Su, X.F., et al., Incidence and Risk Factors for Liver Abscess After Thermal Ablation of Liver Neoplasm. Hepat Mon, 2016. 16(7): p. e34588.
  29. Liu, J., et al., Risk factors of intrahepatic biloma and secondary infection after thermal ablation for malignant hepatic tumors. International Journal of Hyperthermia, 2019. 36(1): p. 979-984.
Figure 1. Computed tomography scan of the abdomen: (a) coronal view, (b) sagittal view and (c) axial view showing several non-rim enhancing subhepatic and intraparenchymal collections (blue arrows).
Figure 1. Computed tomography scan of the abdomen: (a) coronal view, (b) sagittal view and (c) axial view showing several non-rim enhancing subhepatic and intraparenchymal collections (blue arrows).
Preprints 102304 g001
Figure 2. Salmon-pink colonies of Rhodotorula mucilaginosa on sheep blood agar (left) and on Sabouraud dextrose agar (right).
Figure 2. Salmon-pink colonies of Rhodotorula mucilaginosa on sheep blood agar (left) and on Sabouraud dextrose agar (right).
Preprints 102304 g002
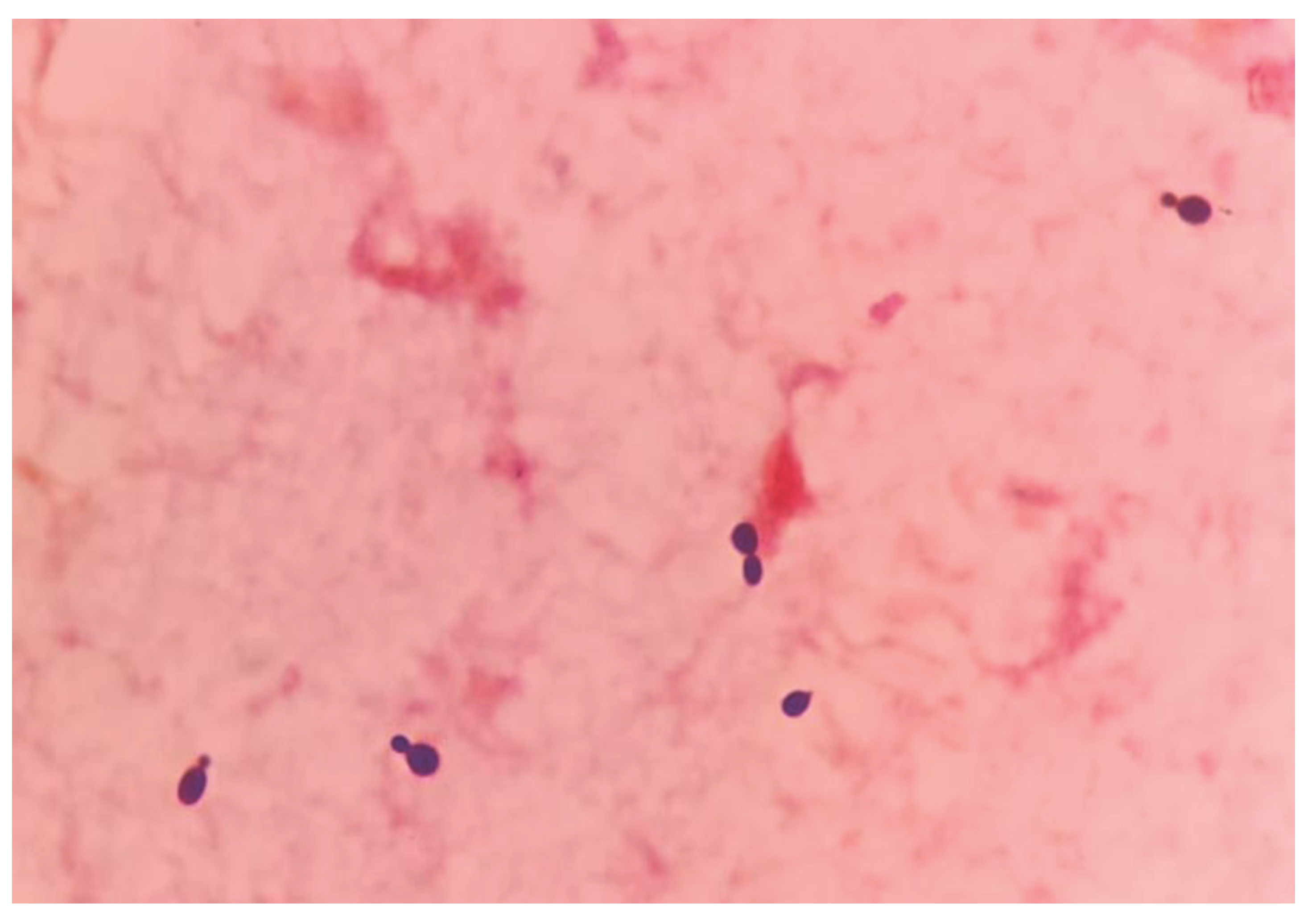
Figure 3. A Gram stain of the positive blood culture showing budding yeast cells (1000x magnification).
Figure 3. A Gram stain of the positive blood culture showing budding yeast cells (1000x magnification).
Preprints 102304 g003
Table 1. Antifungal minimal inhibitory concentration (MIC) values for Rhodotorula mucilaginosa.
Table 1. Antifungal minimal inhibitory concentration (MIC) values for Rhodotorula mucilaginosa.
Antifungal agent Minimal inhibitory concentration (μg/mL)
Amphotericin B 0.25
Fluconazole 128
Itraconazole 1
Voriconazole 2
Posaconazole 1
Anidulafungin ≥ 8
Caspofungin ≥ 8
Micafungin ≥ 8
Flucytosine 0.06
Disclaimer/Publisher’s Note: The statements, opinions and data contained in all publications are solely those of the individual author(s) and contributor(s) and not of MDPI and/or the editor(s). MDPI and/or the editor(s) disclaim responsibility for any injury to people or property resulting from any ideas, methods, instructions or products referred to in the content.
Copyright: This open access article is published under a Creative Commons CC BY 4.0 license, which permit the free download, distribution, and reuse, provided that the author and preprint are cited in any reuse.
Prerpints.org logo

Preprints.org is a free preprint server supported by MDPI in Basel, Switzerland.

Subscribe

Disclaimer

Terms of Use

Privacy Policy

Privacy Settings

© 2026 MDPI (Basel, Switzerland) unless otherwise stated