Submitted:
21 January 2024
Posted:
22 January 2024
You are already at the latest version
Abstract
Keywords:
1. Introduction
2. Materials and Methods
2.1. Study Setting and Patients selection
2.2. TB diagnosis and Imaging
2.3. Statistical analysis
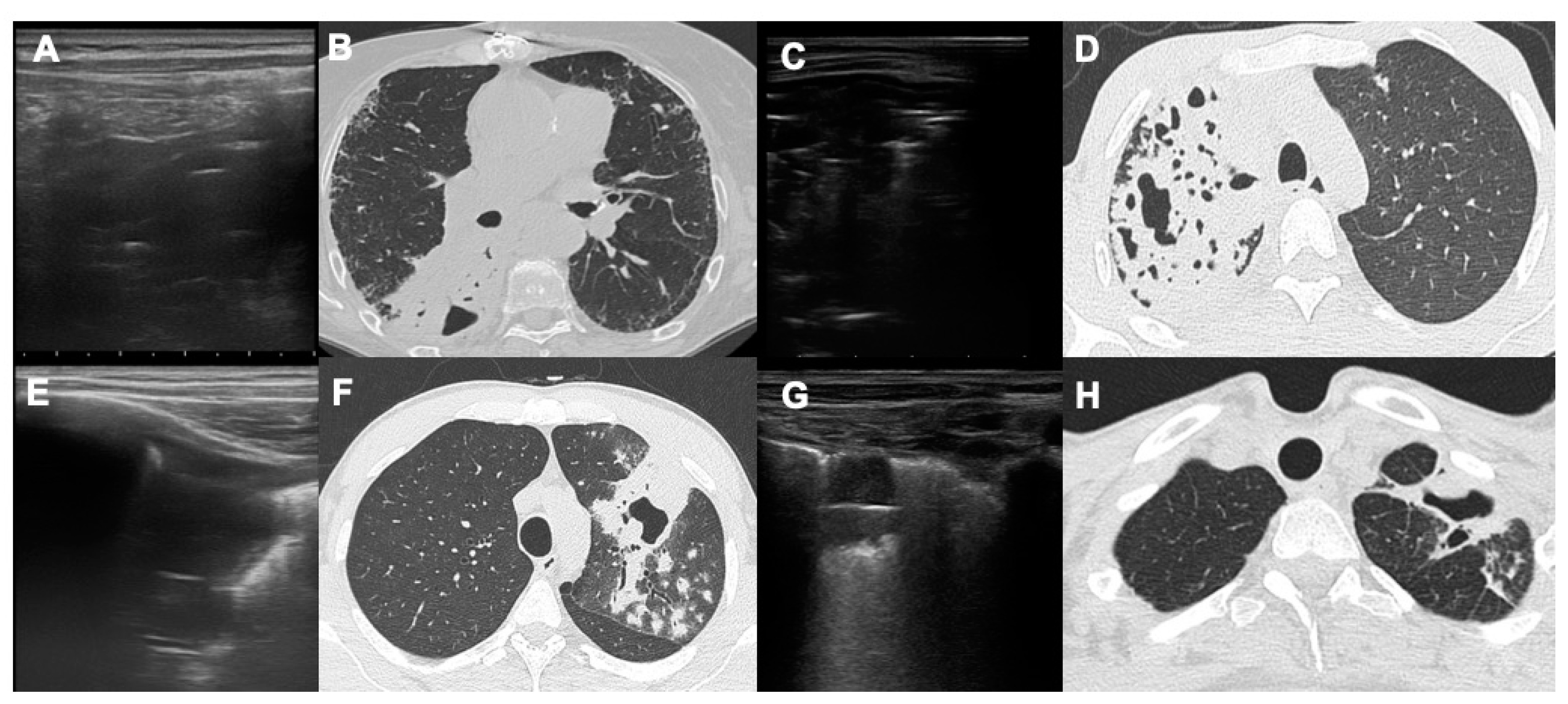
3. Results
4. Discussion
5. Conclusions
Author Contributions
Funding
Institutional Review Board Statement
Informed Consent Statement
Conflicts of Interest
References
- https://www.who.int/publications/i/item/9789240083851 ISBN 978-92-4-008385-1.
- Harding, E. WHO global progress report on tuberculosis elimination. Lancet Respir Med 2020, 8(1):19. [CrossRef]
- https://www.gov.uk/government/publications/tuberculosis-tb-by-country-rates-per-100000-people/who-estimates-of-tuberculosis-incidence-by-country-and-territory-2020-accessible-text-version.
- Yoder MA, Lamichane G, Bishai WR et al. Cavitary pulmonary tuberculosis: the holy grail of disease transmission. Curr Sci 2004, 86:74-81. https://www.jstor.org/stable/24109518.
- Suttels V, Du Toit JD, Fiogbé AA et al. Point-of-care ultrasound for tuberculosis management in Sub-Saharan Africa: a balanced SWOT analysis. Int J Infect Dis 2022, 123:46-51. [CrossRef]
- Urbanowski ME, Ordonez AA, Ruiz-Bedoya CA et al. Cavitary tuberculosis: the gateway of disease transmission. Lancet InfectDis 2020, 20(6):e117-e128. [CrossRef]
- Jamal F, Hammer MM. Nontuberculous Mycobacterial infections. RadiolClin North Am 2022, 60(3):399-408.
- Chen RY, Yu X, Smith B et al. Radiological and functional evidence of the bronchial spread of tuberculosis: an observational analysis. Lancet Microbe 2021, 2(10):e518-e526. [CrossRef]
- Volpicelli, G. Point-of-care lung ultrasound. Praxis 2014, 103(12):711-716.
- Nazerian P, Volpicelli G, Vanni S et al. Accuracy of lung ultrasound for the diagnosis of consolidations when compared to chest computed tomography. Am J Emerg Med 2015, 33(5):620-625. [CrossRef]
- Giannelli F, Cozzi D, Cavigli E et al. Lung ultrasound (LUS) in pulmonary tuberculosis: correlation with chest CT and X-ray findings. J Ultrasound 2022, 25(3):625-634. [CrossRef]
- Giordani MT, Heller T. Role of ultrasound in the diagnosis of tuberculosis. Eur J Intern Med 2019 66:27-28. [CrossRef]
- Montuori M, Casella F, Casazza G et al. Lung ultrasonography in pulmonary tuberculosis: a pilot study on diagnostic accuracy in a high-risk population. Eur J Intern Med 2019 66:29–34. [CrossRef]
- Busi Rizzi E, Schininà V, Palmieri F et al. Cavitary pulmonary tuberculosis HIV-related. Eur J Radiol 2004, 52(2):170-4. [CrossRef]
- Alshoabi SA, Almas KM, Aldofri SA et al. The diagnostic decriver: radiological pictorial review of tuberculosis. Diagnostics 2022, 12(2):306.
- Cardinale L, Parlatano D, Boccuzzi F et al. The imaging spectrum of pulmonary tuberculosis. Acta Radiol 2015, 56(5):557-64. [CrossRef]
- Cozzi D, Cavigli E, Moroni C et al. Ground-glass opacity (GGO): a review of the differential diagnosis in the era of COVID-19. Jpn J Radiol 2021, 39(8):721-732. [CrossRef]
- Cozzi D, Moroni C, Addeo G et al. Radiological patterns of lung involvement in inflammatory bowel disease. Gastroenterol ResPract 2018, 2018:5697846. [CrossRef]
- Holt MR, Chan ED. Chronic cavitary infections other than tuberculosis: clinical aspects. J Thorac Imaging 2018, 33(5):322-333.
- Ketai L, Currie BJ, Holt MR et al. Radiology of chronic cavitary infections. J Thorac Imaging 2018, 33(5):334-343. [CrossRef]
- Cozzi D, Bargagli E, Calabrò AG et al. Atypical HRCT manifestations of pulmonary sarcoidosis. Radiol Med 2018, 123(3):174-184. [CrossRef]
- Soldati G, Demi M, Smargiassi A et al. The role of ultrasound lung artifacts in the diagnosis of respiratory disease. Expert Rev Respir Med 2019, 13(2):163-172. [CrossRef]
- Lichtenstein DA, Lascols N, Meziere G et al. Ultrasound diagnosis of alveolar consolidation in the critically ill. Intensive CareMed 2004, 30: 276-281. [CrossRef]
- Amatya Y, Rupp J, Russel FM et al. Diagnostic use of lung ultrasound compared to chest radiograph for suspected pneumonia in a resource-limited setting. Int J Emerg Med 2018, 11:8. [CrossRef]
- Esayag Y, Nikitin I, Bar-Ziv J et al. Diagnostic value of chest radiographs in bedridden patients suspected of having pneumonia. Am J Med 2010, 123(1): 88e1-5. [CrossRef]
- Hagaman JT, Rouan GW, Shipley RT et al. Admission chest radiograph lacks sensitivity in the diagnosis of community-acquired pneumonia. Am J Med Sci 2009, 337(4):236-240. [CrossRef]
- Hayden GE, Wrenn K. Chest radiograph vs. computed tomography scan in the evaluation of pneumonia. J Emerg Med 2008, 36(3):266-270.
- Morello R, De Rose C, Ferrari V et al. Utility and limits of lung ultrasound in childhood pulmonary tuberculosis: lessons from a case series and literature review. J Clin Med 2022, 11(19):5714. [CrossRef]
- Giacomelli IL, Barros M, Pacini GS et al. Multiple cavitary lung lesions on CT: imaging findings to differentiate between malignant and benign etiologies. J Bras Pneumol 2019, 46(2):e20190024. [CrossRef]
- Heller T, Mtemang’ombe EA, Huson MA et al.Ultrasound for patients in a high HIV/tuberculosis prevalence setting: a needs assessment and review of focused applications for Sub-Saharan Africa. Int J Infect Dis 2017, 56:229-236. [CrossRef]
- WHO. Chest radiography in tuberculosis detection. World Health Organization, Geneva 2016.
- Di Gennaro F, Pisani L, Veronese N et al. Potential Diagnostic properties of chest ultrasound in thoracic tuberculosis: a systematic review. Int J Environ Res Public Health 2018, 15(10):2235. [CrossRef]
- Cocco G, Boccatonda A, Rossi I et al. Early detection of pleuro-pulmonary tuberculosis by bedside lung ultrasound: a case report and review of literature. Clin Case Rep 2022, 10(7): e05739. [CrossRef]



| Pulmonary TB | Non – pulmonary TB | Total | |
|---|---|---|---|
| Total (%) | 58 (70.7) | 24 (29.3) | 82 (100) |
| Males (%) | 40 (68.9) | 9 (37.5) | 51 (62.2) |
| Origin (%) Italy Other countries |
18 (31) 40 (69) |
10 (41.6) 14 (58.4) |
28 (34.1) 54 (65.9) |
| Risk Factors (%) Smoke HIV COPD Active cancer Immunosuppression TB contact Previous TB Homeless |
20 (34.5) 1 (1.7) 9 (15.5) 2 (3.4) 8 (13.7) 3 (5.2) 8 (13.7) 2 (3.4) |
10 (41.6) 0 (0) 3 (12.5) 2 (8.3) 3 (12.5) 0 (0) 4 (16.6) 1 (4.1) |
30 (36.6) 1 (1.2) 12 (14.6) 4 (4.9) 11 (13.4) 3 (3.6) 12 (14.6) 3 (3.6) |
| Other diagnosis | Patients (%) |
|---|---|
|
Pneumonia (bacterial) COPD Previous TB Pneumonia (viral) Lung cancer Organizing Pneumonia Total |
11 (45.8) 4 (16.6) 3 (12.5) 2 (8.3) 2 (8.3) 2 (8.3) 24 (100%) |
| Pulmonary TB | Non – pulmonary TB | |
|---|---|---|
| Computed Tomography | 32/58 (55.2%) | 6/24 (25%) |
| Chest X-Ray | 23/58 (40%) | 4/24 (16.7%) |
| Lung Ultrasound | 11/58 (19%) | 4/24 (16.7%) |
Disclaimer/Publisher’s Note: The statements, opinions and data contained in all publications are solely those of the individual author(s) and contributor(s) and not of MDPI and/or the editor(s). MDPI and/or the editor(s) disclaim responsibility for any injury to people or property resulting from any ideas, methods, instructions or products referred to in the content. |
© 2024 by the authors. Licensee MDPI, Basel, Switzerland. This article is an open access article distributed under the terms and conditions of the Creative Commons Attribution (CC BY) license (http://creativecommons.org/licenses/by/4.0/).