Submitted:
06 January 2024
Posted:
08 January 2024
You are already at the latest version
Abstract
Keywords:
1. Introduction
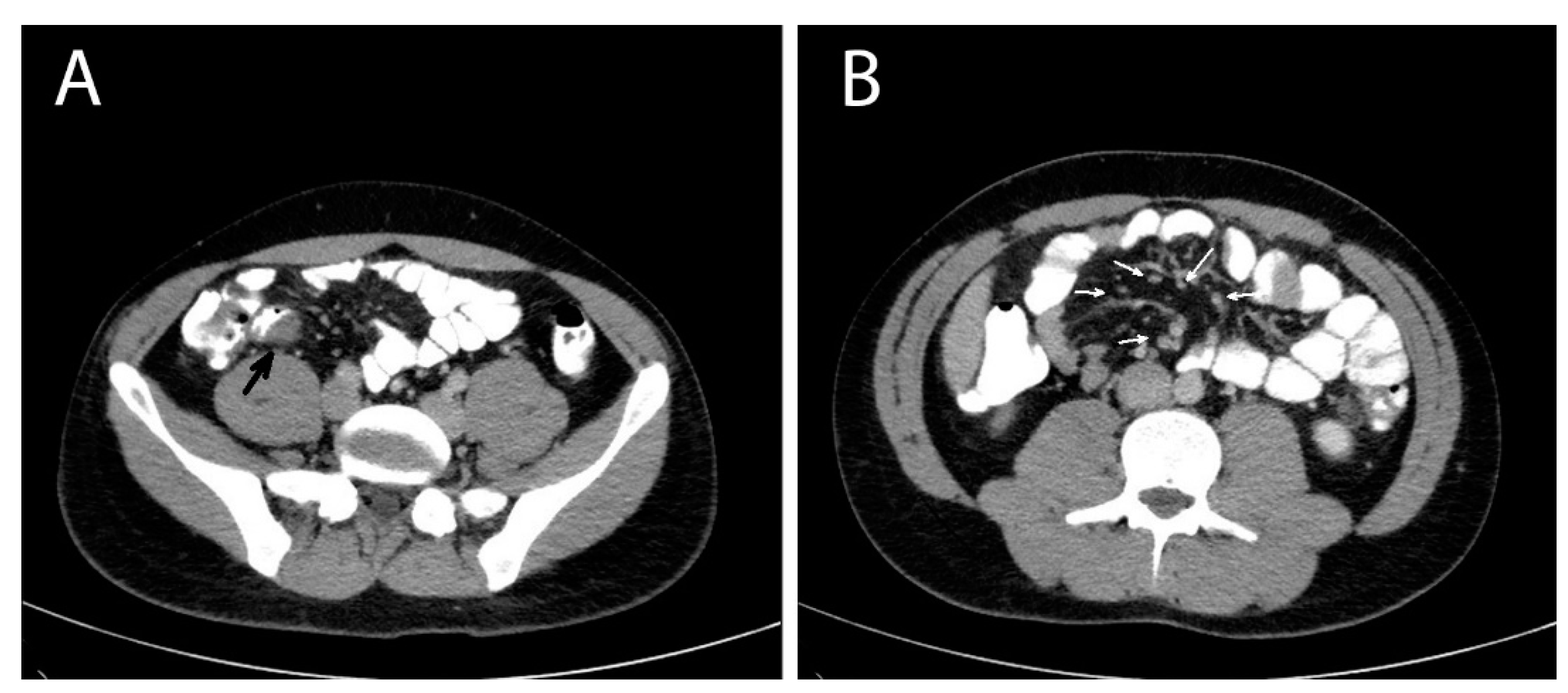
2. Case description
3. Parasitological, molecular, and serological examinations and results
4. Discussion
5. Conclusion
Author Contributions
Funding
Informed Consent Statement
Data Availability Statement
Conflicts of Interest
References
- Morozińska-Gogol, J. Anisakis spp. as etiological agent of zoonotic disease and allergy in European region – an overview. Ann Parasitol. 2019, 65, 303–314. [Google Scholar] [CrossRef]
- Audicana, M.T.; Ansotegui, I.J.; de Corres, L.F.; Kennedy, M.W. Anisakis simplex: dangerous--dead and alive? Trends Parasitol. 2002, 18, 20–25. [Google Scholar] [CrossRef]
- Hochberg, N.S.; Hamer, D.H. Anisakidosis: Perils of the deep. Clin Infect Dis. 2010, 51, 806–812. [Google Scholar] [CrossRef]
- Céspedes, M.; Saez, A.; Rodríguez, I.; Pinto, J.M.; Rodríguez, R. Chronic anisakiasis presenting as a mesenteric mass. Abdom Imaging. 2000, 25, 548–550. [Google Scholar] [CrossRef]
- Takabayashi, T.; Mochizuki, T.; Otani, N.; Nishiyama, K.; Ishimatsu, S. Anisakiasis presenting to the ED: clinical manifestations, time course, hematologic tests, computed tomographic findings, and treatment. Am J Emerg Med. 2014, 32, 1485–1489. [Google Scholar] [CrossRef]
- Lee, J.S.; Kim, B.S.; Kim, S.H.; Park, J.K.; Choi, G.; Hwang, I.K.; Jeong, S.Y.; Hyun, C.L.; Song, H.J.; Chung, Y.B. Acute invasive small-bowel Anisakiasis: clinical and CT findings in 19 patients. Abdom Imaging. 2014, 39, 452–458. [Google Scholar] [CrossRef]
- Audicana, M.T. Anisakis, Something Is Moving inside the Fish. Pathogens. 2022, 11, 326. [Google Scholar] [CrossRef]
- Audicana, M.T.; Kennedy, M.W. Anisakis simplex: from obscure infectious worm to inducer of immune hypersensitivity. Clin Microbiol Rev. 2008, 21, 360–379. [Google Scholar] [CrossRef]
- Pampiglione, S.; Rivasi, F.; Criscuolo, M.; De Benedittis, A.; Gentile, A.; Russo, S.; Testini, M.; Villan, M. Human anisakiasis in Italy: a report of eleven new cases. Pathol Res Pract. 2002, 198, 429–434. [Google Scholar] [CrossRef]
- Baron, L.; Branca, G.; Trombetta, C.; Punzo, E.; Quarto, F.; Speciale, G.; Barresi, V. Intestinal anisakidosis: histopathological findings and differential diagnosis. Pathol Res Pract. 2014, 210, 746–750. [Google Scholar] [CrossRef]
- Najjari, M.; Sadjjadi, S.M.; Khodadadi, H.; Farzaneh, M.R.; Mattiucci, S. Anisakis spp, DNA detection in paraffin-embedded tissue biopsies recovered from patients with gastritis using real-time PCR in Bushehr, Persian Gulf, Iran. Mol Biochem Parasitol. 2022, 251, 111494. [Google Scholar] [CrossRef]
- Kouam, M.K.; Diakou, A.; Kantzoura, V.; Feidas, H.; Theodoropoulou, H.; Theodoropoulos, G. An analysis of seroprevalence and risk factors for parasitic infections of economic importance in small ruminants in Greece. Vet J. 2014, 202, 146–152. [Google Scholar] [CrossRef]
- Tantanasi, J.; Diakou, A.; Tamvakis, A.; Batjakas, I.E. Anisakis spp. burden in Trachurus trachurus. Helminthologia. 2012, 49, 16–20. [Google Scholar] [CrossRef]
- Chaligiannis, I.; Lalle, M.; Pozio, E.; Sotiraki, S. Anisakidae infection in fish of the Aegean Sea. Vet Parasitol. 2012, 184, 362–366. [Google Scholar] [CrossRef]
- Nawa, Y.; Hatz, C.; Blum, J. Sushi delights and parasites: the risk of fishborne and foodborne parasitic zoonoses in Asia. Clin Infect Dis. 2005, 41, 1297–1303. [Google Scholar] [CrossRef]
- Sugiyama, H.; Shiroyama, M.; Yamamoto, I.; Ishikawa, T.; Morishima, Y. Anisakiasis Annual Incidence and Causative Species, Japan, 2018-2019. Emerg Infect Dis. 2022, 28, 2105–2108. [Google Scholar] [CrossRef]
- Mladineo, I. Anisakiasis in Europe: emerging, neglected, misdiagnosed, or all of the above? VETERINARSKA STANICA. 2019, 50, 397–405. [Google Scholar]
- EFSA Panel on Biological Hazards (BIOHAZ); Scientific Opinion on risk assessment of parasites in fishery products. EFSA Journal. 2010, 8, 1543.
- Shamsi, S.; Barton, D.P. A critical review of anisakidosis cases occurring globally. Parasitol Res. 2023, 122, 1733–1745. [Google Scholar] [CrossRef] [PubMed]
- van Thiel, P.; Kuipers, F.C.; Roskam, R.T. A nematode parasitic to herring, causing acute abdominal syndromes in man. Trop Geogr Med. 1960, 12, 97–113. [Google Scholar] [PubMed]
- Bao, M.; Pierce, G.J.; Pascual, S.; González-Muñoz, M.; Mattiucci, S.; Mladineo, I.; Cipriani, P.; Bušelić, I.; Strachan, N.J. Assessing the risk of an emerging zoonosis of worldwide concern: anisakiasis. Sci Rep. 2017, 7, 43699. [Google Scholar] [CrossRef]
- Shibata, K.; Yoshida, Y.; Miyaoka, Y.; Emoto, S.; Kawai, T.; Kobayashi, S.; Ogasawara, K.; Taketomi, A. Intestinal anisakiasis with severe intestinal ischemia caused by extraluminal live larvae: a case report. Surg Case Rep. 2020, 6, 253. [Google Scholar] [CrossRef] [PubMed]
- Yasunaga, H.; Horiguchi, H.; Kuwabara, K.; Hashimoto, H.; Matsuda, S. Clinical features of bowel anisakiasis in Japan. Am J Trop Med Hyg. 2010, 83, 104–105. [Google Scholar] [CrossRef] [PubMed]
- Kojima, G.; Usuki, S.; Mizokami, K.; Tanabe, M.; Machi, J. Intestinal anisakiasis as a rare cause of small bowel obstruction. Am J Emerg Med. 2013, 31, 1422–e1. [Google Scholar] [CrossRef] [PubMed]
- Namikawa, T.; Marui, A.; Yokota, K.; Yamaguchi, S.; Fukudome, I.; Uemura, S.; Munekage, M.; Maeda, H.; Kitagawa, H.; Kobayashi, M.; Hanazaki, K. Gastric Eosinophilic Granuloma Related to Anisakiasis Resected by Laparoscopic and Endoscopic Cooperative Surgery. Cancer Diagn Progn. 2021, 1, 507–512. [Google Scholar] [CrossRef] [PubMed]
- Park, E.Y.; Baek, D.H.; Kim, G.H.; Lee, B.E.; Lee, S.J.; Park, D.Y. Endosonographic Findings and the Natural Course of Chronic Gastric Anisakiasis: A Single-Center Experience. Gastroenterol Res Pract. 2018, 2018, 8562792. [Google Scholar] [CrossRef] [PubMed]
- Matsui, T.; Iida, M.; Murakami, M.; Kimura, Y.; Fujishima, M.; Yao, Y.; Tsuji, M. Intestinal anisakiasis: clinical and radiologic features. Radiology. 1985, 157, 299–302. [Google Scholar] [CrossRef] [PubMed]
- Shibata, E.; Ueda, T.; Akaike, G.; Saida, Y. CT findings of gastric and intestinal anisakiasis. Abdom Imaging. 2014, 39, 257–261. [Google Scholar] [CrossRef]
- Ripollés, T.; López-Calderón, L.E.; Martínez-Pérez, M.J.; Salvador, J.; Vizuete, J.; Vila, R. Usefulness of Ultrasound in the Diagnosis of Intestinal Anisakiasis. J Ultrasound Med. 2020, 39, 1703–1708. [Google Scholar] [CrossRef]
- Ogata, M.; Tamura, S.; Matsunoya, M. Sonographic Diagnosis of Intestinal Anisakiasis Presenting as Small Bowel Obstruction. J Clin Ultrasound. 2015, 43, 283–287. [Google Scholar] [CrossRef]
- Kawashima, K.; Fujiwara, T.; Katakura, K.; Gunji, N.; Yokokawa, A.; Sakamoto, A.; Hikichi, T.; Kono, K.; Ohira, H. Anisakiasis in the Small Intestine with Excessive Bleeding That Was Difficult to Diagnose Endoscopically. Intern Med. 2019, 58, 63–66. [Google Scholar] [CrossRef] [PubMed]
- Pacios, E.; Arias-Diaz, J.; Zuloaga, J.; Gonzalez-Armengol, J.; Villarroel, P.; Balibrea, J.L. Albendazole for the treatment of anisakiasis ileus. Clin Infect Dis. 2005, 41, 1825–1826. [Google Scholar] [CrossRef] [PubMed]
- Moore, D.A.; Girdwood, R.W.; Chiodini, P.L. Treatment of anisakiasis with albendazole. Lancet. 2002, 360, 54. [Google Scholar] [CrossRef] [PubMed]
- Ventura, M.T.; Tummolo, R.A.; Di Leo, E.; D'Ersasmo, M.; Arsieni, A. Immediate and cell-mediated reactions in parasitic infections by Anisakis simplex. J Investig Allergol Clin Immunol. 2008, 18, 253–259. [Google Scholar]



Disclaimer/Publisher’s Note: The statements, opinions and data contained in all publications are solely those of the individual author(s) and contributor(s) and not of MDPI and/or the editor(s). MDPI and/or the editor(s) disclaim responsibility for any injury to people or property resulting from any ideas, methods, instructions or products referred to in the content. |
© 2024 by the authors. Licensee MDPI, Basel, Switzerland. This article is an open access article distributed under the terms and conditions of the Creative Commons Attribution (CC BY) license (http://creativecommons.org/licenses/by/4.0/).