Submitted:
02 January 2024
Posted:
03 January 2024
You are already at the latest version
Abstract
Keywords:
1. Introduction
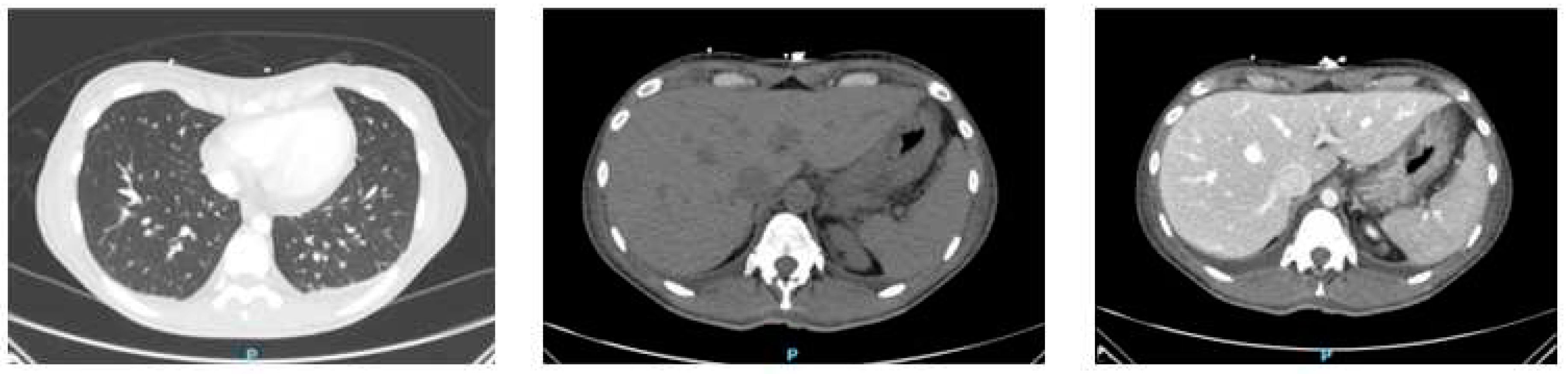
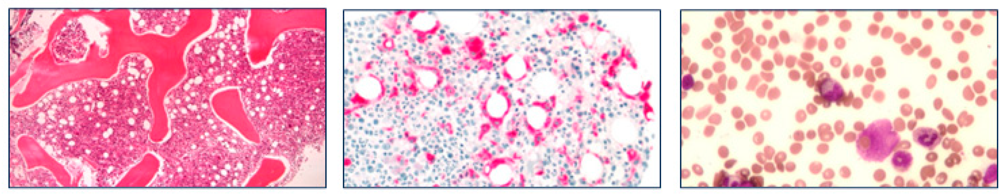
2. Case presentation
3. Discussion
4. Conclusions
Author Contributions
Funding
Institutional Review Board Statement
Informed Consent Statement
Data Availability Statement
Acknowledgments
Conflicts of Interest
References
- Efthimiou, P.; Kontzias, A.; Hur, P.; Rodha, K.; Ramakrishna, G.S.; Nakasato, P. Adult-Onset Still’s Disease in Focus: Clinical Manifestations, Diagnosis, Treatment, and Unmet Needs in the Era of Targeted Therapies. Semin Arthritis Rheum 2021, 51, 858–874. [Google Scholar] [CrossRef] [PubMed]
- Magadur-Joly, G.; Billaud, E.; Barrier, J.H.; Pennec, Y.L.; Masson, C.; Renou, P.; Prost, A. Epidemiology of Adult Still’s Disease: Estimate of the Incidence by a Retrospective Study in West France. Ann Rheum Dis 1995, 54, 587–590. [Google Scholar] [CrossRef]
- Yamaguchi, M.; Ohta, A.; Tsunematsu, T.; Kasukawa, R.; Mizushima, Y.; Kashiwagi, H.; Kashiwazaki, S.; Tanimoto, K.; Matsumoto, Y.; Ota, T.; et al. Preliminary Criteria for Classification of Adult Still’s Disease. Journal of Rheumatology 1992, 19, 424–430. [Google Scholar] [PubMed]
- Arlet, J.B.; Huong, D.L.T.; Marinho, A.; Amoura, Z.; Wechsler, B.; Papo, T.; Piette, J.C. Reactive Haemophagocytic Syndrome in Adult-Onset Still’s Disease: A Report of Six Patients and a Review of the Literature. Ann Rheum Dis 2006, 65, 1596–1601. [Google Scholar] [CrossRef] [PubMed]
- Bae, C.B.; Jung, J.Y.; Kim, H.A.; Suh, C.H. Reactive Hemophagocytic Syndrome in Adult-Onset Still Disease: Clinical Features, Predictive Factors, and Prognosis in 21 Patients. Medicine (United States) 2015, 94, e451. [Google Scholar] [CrossRef]
- Bergsten, E.; Horne, A.C.; Aricó, M.; Astigarraga, I.; Egeler, R.M.; Filipovich, A.H.; Ishii, E.; Janka, G.; Ladisch, S.; Lehmberg, K.; et al. Confirmed Efficacy of Etoposide and Dexamethasone in HLH Treatment: Long-Term Results of the Cooperative HLH-2004 Study. Blood 2017, 130, 2728–2738. [Google Scholar] [CrossRef]
- Ramos-Casals, M.; Brito-Zerón, P.; López-Guillermo, A.; Khamashta, M.A.; Bosch, X. Adult Haemophagocytic Syndrome. In Proceedings of the The Lancet; Elsevier B.V., 2014, 383: 1503–1516. [CrossRef]
- Jordan, M.B.; Allen, C.E.; Weitzman, S.; Filipovich, A.H.; McClain, K.L. How I Treat Hemophagocytic Lymphohistiocytosis. Blood 2011, 118, 4041–4052. [Google Scholar] [CrossRef]
- Filipovich, A.H. Hemophagocytic Lymphohistiocytosis (HLH) and Related Disorders. Hematology / the Education Program of the American Society of Hematology. American Society of Hematology. Education Program 2009, 1, 127–131. [Google Scholar] [CrossRef]
- Trottestam, H.; Horne, A.; Aricò, M.; Egeler, R.M.; Filipovich, A.H.; Gadner, H.; Imashuku, S.; Ladisch, S.; Webb, D.; Janka, G.; et al. Chemoimmunotherapy for Hemophagocytic Lymphohistiocytosis: Long-Term Results of the HLH-94 Treatment Protocol. Blood 2011, 118, 4577–4584. [Google Scholar] [CrossRef]
- Henter, J.-I.; Horne, A.; Aricó, M.; Egeler, R.M.; Filipovich, A.H.; Imashuku, S.; Ladisch, S.; McClain, K.; Webb, D.; Winiarski, J.; et al. HLH-2004: Diagnostic and Therapeutic Guidelines for Hemophagocytic Lymphohistiocytosis. Pediatr Blood Cancer 2007, 48, 124–131. [Google Scholar] [CrossRef]
- Rosée, P. La; Horne, A.C.; Hines, M.; Greenwood, T.V.B.; Machowicz, R.; Berliner, N.; Birndt, S.; Gil-Herrera, J.; Girschikofsky, M.; Jordan, M.B.; et al. Recommendations for the Management of Hemophagocytic Lymphohistiocytosis in Adults. Blood 2019, 133, 2465–2477. [Google Scholar]
- Oen, K.; Duffy, C.N.M.; Tse, S.M.L.; Ramsey, S.; Ellsworth, J.; Chédeville, G.; Chetaille, A.L.; Saint-Cyr, C.; Cabral, D.A.; Spiegel, L.R.; et al. Early Outcomes and Improvement of Patients with Juvenile Idiopathic Arthritis Enrolled in a Canadian Multicenter Inception Cohort. Arthritis Care Res (Hoboken) 2010, 62, 527–536. [Google Scholar] [CrossRef]
- Gerfaud-Valentin, M.; Maucort-Boulch, D.; Hot, A.; Iwaz, J.; Ninet, J.; Durieu, I.; Broussolle, C.; Sève, P. Adult-Onset Still Disease: Manifestations, Treatment, Outcome, and Prognostic Factors in 57 Patients. Medicine (United States) 2014, 93, 91–99. [Google Scholar]
- Yamamoto, T. Cutaneous Manifestations Associated with Adult-Onset Still’s Disease: Important Diagnostic Values. Rheumatol Int 2012, 32, 2233–2237. [Google Scholar] [CrossRef] [PubMed]
- Ichida, H.; Kawaguchi, Y.; Sugiura, T.; Takagi, K.; Katsumata, Y.; Gono, T.; Ota, Y.; Kataoka, S.; Kawasumi, H.; Yamanaka, H. Clinical Manifestations of Adult-Onset Still’s Disease Presenting with Erosive Arthritis: Association with Low Levels of Ferritin and Interleukin-18. Arthritis Care Res (Hoboken) 2014, 66, 642–646. [Google Scholar] [CrossRef] [PubMed]
- Pouchot, J.; Sampalis, J.S.; Beaudet, F.; Carette, S.; Décary, F.; Salusinsky-Sternbach, M.; Hill, R.O.; Gutkowski, A.; Harth, M.; Myhal, D.; et al. Adult Still’s Disease: Manifestations, Disease Course, and Outcome in 62 Patients. Medicine (United States) 1991, 70, 118–136. [Google Scholar]
- Nguyen, K.H.Y.; Weisman, M.H. Severe Sore Throat as a Presenting Symptom of Adult Onset Still’s Disease: A Case Series and Review of the Literature. Journal of Rheumatology 1997, 24, 592–597. [Google Scholar]
- Gerfaud-Valentin, M.; Jamilloux, Y.; Iwaz, J.; Sève, P. Adult-Onset Still’s Disease. Autoimmun Rev 2014, 13, 708–722. [Google Scholar] [CrossRef]
- Cheema, G.S.; Quismorio, F.P. Pulmonary Involvement in Adult-Onset Still’s Disease. Curr Opin Pulm Med 1999, 5, 305–309. [Google Scholar] [CrossRef] [PubMed]
- Drouot, M.H.; Hachulla, E.; Houvenagel, E.; Hatron, P.Y.; Flipo, R.M.; Goullard, L.; Ducloux, G.; Devulder, B. Complications cardiaques de la maladie de Still de l’adulte: de la péricardite à la tamponade parfois révélatrice [Cardiac Complications in Adult Onset Still Disease: From Pericarditis to Tamponade as Manifestations]. Rev Med Interne 1994, 15, 740–743. [Google Scholar] [CrossRef]
- Chung, J.W.; Suh, Y.J.; Song, H.J.; Choi, J.H.; Park, H.S.; Cho, S.R.; Suh, C.H. Pure Red Cell Aplasia and Adult-Onset Still’s Disease. Clin Rheumatol 2004, 23, 368–370. [Google Scholar] [CrossRef]
- Fautrel, B. Adult-Onset Still Disease. Best Pract Res Clin Rheumatol 2008, 22, 773–792. [Google Scholar] [CrossRef]
- Kontzias, A.; Efthimiou, P. Adult-Onset Still’s Disease: Pathogenesis, Clinical Manifestations and Therapeutic Advances. Drugs 2008, 68, 319–337. [Google Scholar] [CrossRef]
- Khobragade, A.K.; Chogle, A.R.; Ram, R.P.; Mascarenhas, J.; Kothari, S.; Kawadkar, S.; Deshpande, S.S.; Nair, D.; Makhija, J. Reversible Posterior Leukoencephalopathy Syndrome in a Case of Adult Onset Still’s Disease with Concurrent Thrombotic Thrombocytopenic Purpura: Response to High Dose Immunoglobulin Infusions. Journal of Association of Physicians of India 2012, 60, 59–62. [Google Scholar] [PubMed]
- Saito, K.; Temmoku, J.; Sumichika, Y.; Yoshida, S.; Takano, E.; Watanabe, S.; Matsumoto, H.; Fujita, Y.; Matsuoka, N.; Asano, T.; et al. Adult-Onset Still’s Disease with Acute Kidney Injury Requiring Hemodialysis: A Case Report and Literature Review. Internal Medicine 2023, 62, 2901–2906. [Google Scholar] [CrossRef]
- Bagnari, V.; Colina, M.; Ciancio, G.; Govoni, M.; Trotta, F. Adult-Onset Still’s Disease. Rheumatol Int 2010, 30, 855–862. [Google Scholar] [CrossRef]
- Giacomelli, R.; Ruscitti, P.; Shoenfeld, Y. A Comprehensive Review on Adult Onset Still’s Disease. J Autoimmun 2018, 93, 24–36. [Google Scholar] [CrossRef]
- Zafran, M.; Wassef, N. Complex Presentation of Adult-Onset Still’s Disease. BMJ Case Rep 2019, 12, e228210. [Google Scholar] [CrossRef]
- Tsuboi, H.; Segawa, S.; Yagishita, M.; Toko, H.; Honda, F.; Kitada, A.; Miki, H.; Ohyama, A.; Hagiwara, S.; Kondo, Y.; et al. Activation Mechanisms of Monocytes/Macrophages in Adult-Onset Still Disease. Front Immunol 2022, 13, 953730. [Google Scholar] [CrossRef]
- Li, X.; Qu, B.; Nie, Y.; Zhu, G.; Li, W.; Mu, F. Clinical Features of Macrophage Activation Syndrome in the Adult Northern Chinese Population. Lupus 2014, 23, 785–792. [Google Scholar] [CrossRef] [PubMed]
- Macovei, L.A.; Burlui, A.; Bratoiu, I.; Rezus, C.; Cardoneanu, A.; Richter, P.; Szalontay, A.; Rezus, E. Adult-Onset Still’s Disease—A Complex Disease, a Challenging Treatment. Int J Mol Sci 2022, 23, 12810. [Google Scholar] [CrossRef]
- Mehta, P.; Cron, R.Q.; Hartwell, J.; Manson, J.J.; Tattersall, R.S. Silencing the Cytokine Storm: The Use of Intravenous Anakinra in Haemophagocytic Lymphohistiocytosis or Macrophage Activation Syndrome. Lancet Rheumatol 2020, 2, e358–e367. [Google Scholar] [CrossRef] [PubMed]
- Fardet, L.; Galicier, L.; Lambotte, O.; Marzac, C.; Aumont, C.; Chahwan, D.; Coppo, P.; Hejblum, G. Development and Validation of the Hscore, a Score for the Diagnosis of Reactive Hemophagocytic Syndrome. Arthritis and Rheumatology 2014, 66, 2613–2620. [Google Scholar] [CrossRef] [PubMed]
- Henter, J.I.; Samuelsson-Horne, A.C.; Aricò, M.; Maarten Egeler, R.; Elinder, G.; Filipovich, A.H.; Gadner, H.; Imashuku, S.; Komp, D.; Ladisch, S.; et al. Treatment of Hemophagocytic Lymphohistiocytosis with HLH-94 Immunochemotherapy and Bone Marrow Transplantation. Blood 2002, 100, 2367–2373. [Google Scholar] [CrossRef] [PubMed]
- Song, Y.; Wang, Z.; Hao, Z.; Li, L.; Lu, J.; Kang, H.; Lu, Y.; You, Y.; Li, L.; Chen, Q.; et al. Requirement for Etoposide in the Treatment of Pregnancy Related Hemophagocytic Lymphohistiocytosis: A Multicenter Retrospective Study. Orphanet J Rare Dis 2019, 14, 50. [Google Scholar] [CrossRef] [PubMed]
- Wang, S.; Wu, J.; Jing, X.; Zhang, Y.; Tang, H.; Wu, J. Etoposide Combined with Ruxolitinib for Refractory Hemophagocytic Lymphohistiocytosis during Pregnancy: A Case Report and Literature Review. Hematology (United Kingdom) 2019, 24, 751–756. [Google Scholar] [CrossRef]
- Masood, A.; Wahab, A.; Iqbal, Q.; Davis, J.; Ehsan, H.; Hashmi, H. Efficacy and Safety of Allogeneic Hematopoietic Stem Cell Transplant in Adults with Hemophagocytic Lymphohistiocytosis: A Systematic Review of Literature. Bone Marrow Transplant 2022, 57, 866–873. [Google Scholar] [CrossRef]
- Sarwar, M.R.; Iftikhar, S.; Saqib, A. Availability of Anticancer Medicines in Public and Private Sectors, and Their Affordability by Low, Middle and Highincome Class Patients in Pakistan. BMC Cancer 2018, 18, 14. [Google Scholar] [CrossRef]
- Montecucco, A.; Biamonti, G. Cellular Response to Etoposide Treatment. Cancer Lett 2007, 252, 9–18. [Google Scholar] [CrossRef]
- Cowell, I.G.; Sondka, Z.; Smith, K.; Lee, K.C.; Manville, C.M.; Sidorczuk-Lesthuruge, M.; Rance, H.A.; Padget, K.; Jackson, G.H.; Adachi, N.; et al. Model for MLL Translocations in Therapy-Related Leukemia Involving Topoisomerase IIβ-Mediated DNA Strand Breaks and Gene Proximity. Proc Natl Acad Sci U S A 2012, 109, 8989–8994. [Google Scholar] [CrossRef]
- Bailly, C. Etoposide: A Rider on the Cytokine Storm. Cytokine 2023, 168, 156234. [Google Scholar] [CrossRef]
- Cron, R.Q.; Goyal, G.; Chatham, W.W. Cytokine Storm Syndrome. Annu Rev Med 2023, 74, 321–337. [Google Scholar] [CrossRef] [PubMed]
- Sung, L.; King, S.M.; Carcao, M.; Trebo, M.; Weitzman, S.S. Adverse Outcomes in Primary Hemophagocytic Lymphohistiocytosis. J Pediatr Hematol Oncol 2002, 24, 550–554. [Google Scholar] [CrossRef] [PubMed]
- Gupta, A.A.; Tyrrell, P.; Valani, R.; Benseler, S.; Abdelhaleem, M.; Weitzman, S. Experience With Hemophagocytic Lymphohistiocytosis/Macrophage Activation Syndrome at a Single Institution. J Pediatr Hematol Oncol 2009, 31, 81–84. [Google Scholar] [CrossRef] [PubMed]
- Wang, R.; Li, T.; Ye, S.; Lv, L.; Chen, S.; Wang, X.; Bao, C.; Fu, Q. Short-Term, Low-Dose Etoposide in Refractory Adult-Onset Still’s Disease-Associated Macrophage Activation Syndrome. Clin Rheumatol 2022, 41, 2817–2823. [Google Scholar] [CrossRef]



| Major criteria |
| Fever ≥ 39°C, lasting ≥ 1 week Arthralgias or arthritis lasting ≥2 weeks Typical salmon-pink nonpruritic skin rash Peripheral blood leukocytosis ≥ 10,000/µL, with granulocytes ≥ 80% |
| Minor criteria |
| Pharyngodynia |
| Lymphadenopathy |
| Hepatomegaly and/or splenomegaly |
| Abnormal liver function tests |
| Negative tests for rheumatoid factor (RF) and antinuclear antibodies (ANA) |
| Suggested exclusion criteria: |
| Infections (especially sepsis and infectious mononucleosis) |
| Malignancies (especially malignant lymphoma) |
| Other rheumatic diseases (especially polyarteritis nodosa and rheumatoid vasculitis with extraarticular features) |
|
|
|
|
|
|
|
|
|
| Admission | VP-16 1st dose |
VP-16 2nd dose |
VP-16 3rd dose |
VP-16 4th dose |
VP-16 5th dose |
VP-16 6th dose |
VP-16 7th dose |
Discharge | f/up 2 mos |
f/up 8 mos |
Local laboratory NR |
|
|---|---|---|---|---|---|---|---|---|---|---|---|---|
| WBC | 10.84 | 12.97 | 3.05 | 2.99 | 2.36 | 6.65 | 3.91 | 9.16 | 4.55 | 6.64 | 7.76 | 4.50-11.00 x109/L |
| Neutrophils | 9.42 | 10.99 | 2.59 | 2.42 | 1.54 | 3.18 | 1.61 | 5.31 | 2.24 | 4.03 | 4.85 | 1.80-7.70 x109/L |
| Lymphocytes | 1.00 | 0.67 | 0.39 | 0.51 | 0.81 | 2.53 | 2.02 | 2.96 | 1.83 | 1.93 | 2.20 | 1.00-4.50 x109/L |
| Hb | 9.2 | 7.9 | 8.9 | 8.7 | 9 | 8.5 | 8.2 | 8.1 | 8.5 | 12.2 | 11.0 | 11.5-15.5 g/dL |
| PLTs | 296 | 30 | 36 | 46 | 56 | 76 | 238 | 176 | 152 | 197 | 191 | 130-400 x109/L |
| INR | 1.38 | 1.75 | 1.64 | 1.50 | 1.47 | 1.19 | 1.09 | 1.05 | 1.02 | 1.01 | 1.01 | 0.8-1.2 Units |
| Fibrinogen | 112 | 96 | 98 | 85 | 83 | 107 | 66 | 137 | 209 | / | / | 200-393 mg/dL |
| Glycemia | 158 | 183 | 162 | 88 | 76 | 70 | 106 | 73 | 79 | 80 | 78 | 74-100 mg/dL |
| Creatinine | 0.72 | 0.55 | 0.37 | 0.22 | 0.40 | 0.49 | 0.47 | 0.42 | 0.44 | 0.65 | 0.65 | 0.5-121 mg/dL |
| Na | 136 | 137 | 137 | 135 | 136 | 137 | 136 | 139 | 141 | 143 | 144 | 134-146 mmol/L |
| K | 3.5 | 4.4 | 4.0 | 4.2 | 4.1 | 4.1 | 4.0 | 4.0 | 4.0 | 3.8 | 4.0 | 3.4-4.5 mmol/L |
| Triglycerides | 309 | / | / | 226 | 64 | / | / | / | / | / | / | < 150 mg/dL |
| CRP | 11.38 | 2.10 | 1.04 | 0.32 | 0.22 | / | / | 0.12 | / | 0.03 | 0.02 | 0-0.50 mg/dL |
| PCT | 0.3 | 0.2 | 0.3 | < 0.05 | / | / | / | / | / | / | < 0.05 | < 0.5 µg/L |
| Ferritin | 1059 | 1608 | 1338 | 553 | 574 | 628 | 531 | 580 | 555 | 19 | 38 | 13-150 µg/L |
| LDH | 970 | 1727 | 735 | 562 | 530 | 461 | 475 | 568 | / | 443 | 27 | 208-450 U/L |
| Total bilirubin | 0.55 | 1.63 | 1.58 | 1.24 | 1.36 | 1.43 | 1.00 | 0.66 | 1.05 | 0.70 | 0.81 | 0.30-1.20 mg/dL |
| AST | 49 | 590 | 100 | 39 | 27 | 21 | 27 | 30 | 28 | 24 | 19 | 0-40 U/L |
| ALT | 42 | 620 | 349 | 188 | 127 | 55 | 56 | 62 | 61 | 15 | 17 | 0-40 U/L |
| GGT | 74 | 199 | 288 | 239 | 177 | 93 | 79 | 85 | 85 | 26 | 34 | 0-50 U/L |
| ALP | 187 | 139 | 104 | 87 | 79 | 66 | 61 | 58 | 66 | 31 | 70 | 46-116 U/L |
| Laboratory test | Result | Local laboratory NR |
|---|---|---|
| C3 / C4 | 1.45 / 0.19 | 0.90-1.80 / 0.10-0.40 g/L |
| Rheumatoid factor (RF) | negative | - |
| ANA | negative | - |
| dsDNA Abs | 9.5 | 0-27 IU/ml |
| Anti-ENA antibody screen 1 | < 3.6 | 0-20 CU |
| Autoimmune liver disease panel 2 | 0 | 0-6 CU |
| ANCA | negative | - |
| LA testing, SCT screening ratio | 0.94 | 0.77-1.20 |
| LA testing, dRVTT screening ratio | 1.06 | 0.70-1.20 |
| Anti-cardiolipin IgG | 0.7 | 0-20 CU |
| Anti.cardiolipin IgM | 7.5 | 0-20 CU |
| Anti-beta2glycoprotein IgG | 3.9 | 0-20 CU |
| Anti-beta2glycoprotein IgM | 1.8 | 0-20 CU |
| Beta-2 microglobulin | 2.40 | 1.16-2.52 mg/L |
| Serum IgG | 806 | 751-1560 mg/dL |
| Serum IgM | 222 | 48-220 mg/dL |
| Serum IgA | 182 | 80-400 mg/dL |
| Quantiferon-TB Gold Plus test 3 | negative | < 0.35 UI/mL |
| HIV Ab | negative | - |
| HBsAg | negative | - |
| HCV Ab | negative | - |
| ASLO | 45 | < 200 IU/mL |
| Anti-Parvovirus B19 IgG, index | 2.0 | 0.90-1.20 |
| Anti-Parvovirus B19 IgM, index | <0.10 | 0.90-1.10 |
| Widal-Wright 4 | < 1/80 | < 1/80 |
| Fecal calprotectin | 6.77 | < 50 µg/g |
| SARS-CoV-2 antigen rapid test 5 | negative | - |
| Serum Aspergillus antigen, ratio | 0.10 | 0.00-0.16 |
| CMV DNA | negative | - |
| EBV DNA | negative | - |
| Interleukin-6 | 2.7 | 0.0-4.4 pg/mL |
| Anti tTG IgA | 1.7 | 0.0-20.0 CU |
| TSH | 1.08 | 0.36-3.74 mIU/L |
| FT4 / FT3 | 8.0 / 1.2 | 9.0-17.0 / 2.7-4.4 ng/L |
| TG Ab / TPO Ab | 30 / 12 | 10-115 / 0-35 IU/mL |
| Fever [14] | Fever is almost always daily, with no spontaneous intercritical intervals. Very characteristically it is biphasic (2 peaks within the same day) with a sudden temperature increase (4C° in 4 hours). |
| Rash [15] | The rash is asymptomatic for what concerns itching or pain, occurs together with fever and disappears when the temperature returns to normal (fleeting). It presents as spots or maculopapules, usually on the trunk and extremities, rarely on the palmoplantar areas and on the face. The Koebner phenomenon (more intense in the areas of stress from the clothes) is frequently observed. |
| Arthritis [16] | Arthritis is typically transient and mild (however cases have been described in which severe synovitis led to joint destruction, so acute arthritis does not rule out the diagnosis, although it is not considered typical). It is a migrating oligoarticular manifestation, with preference, in order of probability, of: knees, wrists, metacarpophalangeal/proximal interphalangeal joints, ankles, elbows, shoulders. |
| Myalgia [17] | Myalgia is closely related to fever; the disease does not specifically attack the muscles, in fact electromyography and muscle biopsies in these cases are always normal. However, the dosage of muscle enzymes in the acute phases of the disease can show increases, albeit slight. |
| Pharyngitis [18] | Sore throat is a characteristic of the disease, especially in its onset before the occurrence of fever, and should always be sought in the patient’s anamnesis when there is a suspected diagnosis. It is a non-suppurative cricothyroid perichondritis or aseptic nonexudative pharyngitis of a purely inflammatory nature. |
| Lymphadenopathy [19] | Lymphadenopathy affects more than 2 out of 3 people with AOSD. it is typically a symmetrical lymphadenopathy involving the lymph nodes in the neck, which feel soft or stretchy to the touch. This phenomenon is due to benign B-cell hyperplasia of the pericortical zone. |
| Splenomegaly [19] | Acute splenomegaly is present in at least 33% of patients at diagnosis. It typically occurs in the absence of clinical hyperplenism and is not painful. |
| Liver disease [19] | Elevated liver necrosis rates are more frequent than hepatomegaly. In general, these are transient and non-dangerous conditions, even if cases in which fulminant hepatitis develops (all in patients treated with high doses of NSAIDs) have been reported. |
| Cardiac and pulmonary disease [20,21] | Cardiac (non-ischemic) involvements including arrhythmias and pericarditis have been described, as well as pulmonary infiltrates and pleural effusions, which together do not represent a significant proportion of patients, but which should be considered possible and should not confuse the physician in the differential diagnosis. |
| Hematologic manifestations [22] | Microangiopathic haemolytic anemia, haemolytic uremic syndrome, and thrombotic thrombocytopenic purpura have all occasionally been described, in addition to the fearsome MAS. |
|
Gastrointestinal symptoms [19,23] |
The presence of abdominal pain is highly variable in AOSD, generally in relation to the onset of fever; however, there are reports of pancreatitis and aseptic peritonitis. |
| Others [19,24,25,26] | Rare manifestations include: conjunctivitis, uveitis, aseptic meningitis, interstitial nephritis, glomerulonephritis, and secondary amyloidosis. |
Disclaimer/Publisher’s Note: The statements, opinions and data contained in all publications are solely those of the individual author(s) and contributor(s) and not of MDPI and/or the editor(s). MDPI and/or the editor(s) disclaim responsibility for any injury to people or property resulting from any ideas, methods, instructions or products referred to in the content. |
© 2024 by the authors. Licensee MDPI, Basel, Switzerland. This article is an open access article distributed under the terms and conditions of the Creative Commons Attribution (CC BY) license (http://creativecommons.org/licenses/by/4.0/).
