Submitted:
25 December 2023
Posted:
26 December 2023
You are already at the latest version
Abstract
Keywords:
I. Introduction
II. Types of motor function
1. Motor function of the esophagus and esophagogastric junction
2. Motor function of the stomach
3. Duodenal motor function
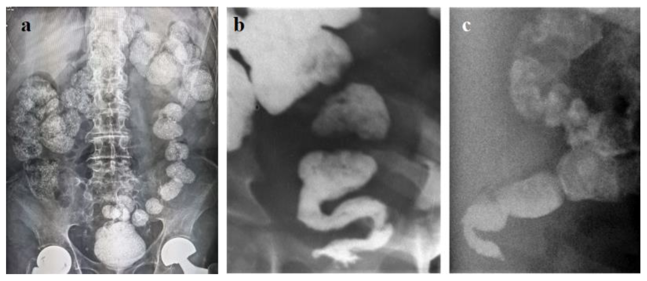
4. Motor function of the small intestine
5. Motor function of the colon
III. Discussion
IV. If practicing doctors knew the physiology of the digestive system.
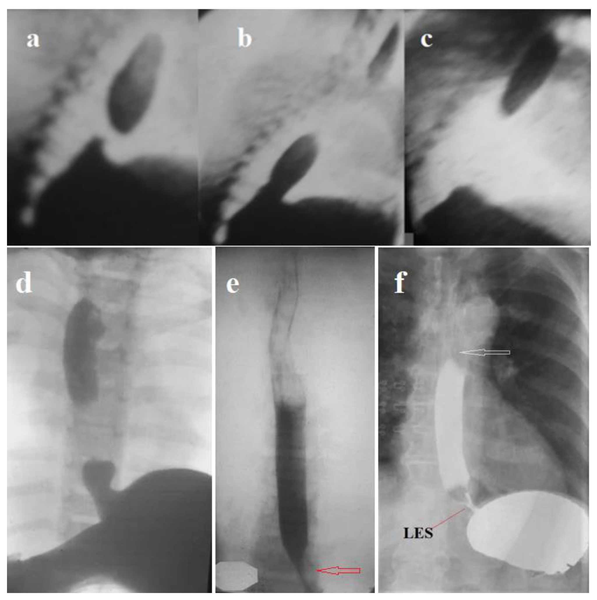
1. pH monitoring and gastroesophageal reflux disease
The angle of His

3. Hiatal hernia: myth or reality?

Conclusion
List of incorrect hypotheses:
- Based on the symptoms that occur in GERD, it is not always possible to make a diagnosis of GERD. GERD cannot be ruled out in the absence of symptoms. Thus, the hypothesis about the high reliability of clinical symptoms in the diagnosis of GERD is erroneous and should be rejected.
- pH monitoring, proposed based on the determining role of clinical symptoms, detects only severe forms of GERD. Its use is pointless as it is no better than clinic-based diagnosis. Secondly, it is dangerous, since about 30% of patients with a milder form are not diagnosed, which means they remain without treatment.
- The hypothesis about the possibility of physiological reflux, based on an erroneous assessment of the reliability of pH monitoring, should also be excluded as erroneous.
- The Montreal definition of GERD was adopted by consensus using repeated iterative voting. Based on this vote, GERD is now defined as a condition that develops when reflux of stomach contents causes unpleasant symptoms and/or complications [34]. Based on the above, this definition is erroneous.
- Transient LES relaxations (TLESRs) are not a cause, but a result from LES weakness in GERD.
- Repeated belching cannot occur in healthy individuals. It is a sign of the LES weakness, i.e., GERD.
- An increase in the angle of His is not a factor suggesting GERD, but the result of shortening of the LES in GERD.
- The cardiac epithelium occurs because of cardiac metaplasia of the squamous epithelium of the esophagus. The proximal point of the cardiac epithelium is in the esophagus, and not in the EGJ.
- The inflammatory process with GERD causes the formation of folds in the LES. The proximal limit of rugal folds determines the upper limit of the LES, not the EGJ.
- The esophagus in normal, with GERD, does not shorten at rest and during swallowing.
- The LES in normal, with GERD, at rest and during swallowing does not move proximally. In GERD the LES shortens due to the opening of its weak abdominal part.
- A hiatal hernia is a phrenic ampulla, regardless of its size. It indicates a more severe form of GERD.
- The only factor that causes peptic diseases, including GERD, it is hypersecretion of hydrochloric acid. All other phenomena and symptoms that are considered the cause of this supposedly multifactorial disease (hiatal hernia, transient LES relaxations, angle of His, etc.) are elements of the pathogenesis of GERD.
Hypotheses proposed by me.
- In the small intestine (duodenum, jejunum, ileum), interstitial cells of Cajal (ICC) of the deep myenteric plexus (ICC-DMP), correct the law of the intestine, periodically causing contraction of the intestine before the bolus, as well as the pendulum movements to mix the chyme and increasing absorption time.
- Air swallowed with food is utilized in the intestines.
- A small gas bubble in the stomach is caused by shortening and weakness of the LES, which can be used for screening of gastroesophageal reflux disease [49].
- I have proven the appearance of a functional sphincter in GERD. During eating thick foods, its contraction closes the proximal lumen of the ampulla, helping to create high pressure in the ampulla to inject the bolus into the stomach. It also contracts to prevent reflux above the ampulla. This proximal sphincter (PS) is 5–7 cm long [42]. Over time, it turns into a fibrous ring of different diameters. In some patients, PS turns into a narrow fibrous ring that impairs passage along the esophagus. This is the so-called Schatzki ring [42,50].
- I have proven the appearance of another functional sphincter, which is often observed in non-esophageal manifestations of GERD. This sphincter is in the area of the aortic narrowing of the esophagus. That’s why I called it the aortic sphincter of the esophagus (ASE). Its contraction prevents reflux of the chyme into the upper esophagus and pharynx.
References
- Alvarez WC. BAYLISS AND STARLING’S LAW OF THE INTESTINE or THE MYENTERIC REFLEX American Journal of Physiology-Legacy Content. Vol. 69, No. 2. 1924. [CrossRef]
- Cannon WB. PERISTALSIS, SEGMENTATION, AND THE MYENTERIC REFLEX. American Journal of Physiology-Legacy Content. Vol. 30, No.1.1912. [CrossRef]
- Kahrilas PJ, Bredenoord AJ, Fox M, Gyawali CP, Roman S, Smout AJ, Pandolfino JE; International High Resolution Manometry Working Group. The Chicago Classification of esophageal motility disorders, v3.0. Neurogastroenterol Motil. 2015 Feb;27(2):160-74. [CrossRef]
- Levin MD. About the Diagnosis of GERD in the Article by Sharma et al. "Esophageal Pathology in Asymptomatic and Symptomatic Patients with Obesity Undergoing Evaluation for Bariatric Surgery". J Gastrointest Surg. 2022 Sep;26(9):2029-2030. [CrossRef]
- Levin MD. REACTION TO ARTICLES ON HIGH RESOLUTION MANOMETRY, THE LENGTH OF THE LOWER ESOPHAGEAL SPHINCTER AND THE DIAGNOSIS OF GASTROESOPHAGEAL REFLUX DISEASE. Arq Gastroenterol. 2019 Aug 13;56(2):209-210. (Open access). [CrossRef]
- Levin MD, Korshun Z, Mendelson G. [Duodenal motility in norm and in some diseases. Hypothesis]. Ter Arkh. 2016;88(4):68-74. Russian. [CrossRef]
- Shafik A. Esophago-sphincter inhibitory reflex: role in the deglutition mechanism and esophageal achalasia. J Invest Surg. 1996 Jan-Feb;9(1):37- 43. [CrossRef]
- Manthey MW, Massey BT, Arndorfer RC, HoganWJ. Determinants of lower esophageal sphincter relaxation induced by esophageal balloon in humans. Am J Physiol. 1996 Jun;270(6 Pt 1):G1022-7. [CrossRef]
- Shafik A, Shafik AA, El Sibai O, Shafik IA. The effect of gastric overfilling on the pharyngo-esophageal and lower esophageal sphincter: a possible factor in restricting food intake. Med Sci Monit. 2007 Oct;13(10):BR220-4.
- Shafik A, El-Sibai O, Shafik AA, Mostafa R, Shafik I. Effect of straining on the lower esophageal sphincter: identification of the "strainingesophageal reflex" and its role in gastroesophageal competence mechanism. J Invest Surg. 2004 Jul-Aug;17(4):191-6. [CrossRef]
- Kwiatek MA, Nicodème F, Pandolfino JE, Kahrilas PJ. Pressure morphology of the relaxed lower esophageal sphincter: the formation and collapse of the phrenic ampulla. Am J Physiol Gastrointest Liver Physiol. 2012 Feb 1;302(3):G389-96. [CrossRef]
- Törnblom H, Simrén M, Abrahamsson H. Gastrointestinal motility and neurogastroenterology. Scand J Gastroenterol. 2015 Jun;50(6):685-97. [CrossRef]
- Ahluwalia NK, Thompson DG, Barlow J. Effect of distension and feeding on phasic changes in human proximal gastric tone. Gut. 1996 Nov;39(5):757-61. [CrossRef]
- Shafik A. Effect of distension of the pharynx and esophagus on the stomach in dogs: experimental evidence for a pharyngoesophagogastric reflex. Digestion. 1999 Jan-Feb;60(1):17-21. [CrossRef]
- Patrick A, Epstein O. Review article: gastroparesis. Aliment Pharmacol Ther. 2008 May;27(9):724-40. [CrossRef]
- Kito Y. The functional role of intramuscular interstitial cells of Cajal in the stomach. J Smooth Muscle Res. 2011;47(2):47-53. [CrossRef]
- Albot G, Kapandji M. Les troubles fonctionnels des sphincters duodénaux. Leur rôle dans la symptomatologie du carrefour supérieur droit de l’abdomen. Leur retentissement sur la pathologie des voies biliaires, du pancréas et de l’estomac [Functional disorders of the duodenal sphincters. Their role in the symptomatology of the right superior quadrant of the abdomen. Their repercussions in the pathology of the bile ducts, pancreas and stomach]. Union Med Can. 1966 Aug;95(8):916-32. French.
- Ochsner AJ. VIII. Construction of the Duodenum Below the Entrance of the Common Duct and Its Relation to Disease. Ann Surg. 1906 Jan;43(1):80-7. (Open access). [CrossRef]
- Physiology of the Gastrointestinal Tract (Sixth Edition) 2018, Pages 305-335. Peristalsis. By Jackie D. Wood, in Encyclopedia of Gastroenterology, 2004.
- Iino S., Horiguchi K. Interstitial cells of cajal are involved in neurotransmission in the gastrointestinal tract. Acta Histochem. Cytochem. 2006;39:145–153. [CrossRef]
- Physiology of the Gastrointestinal Tract (Sixth Edition) 2018, Pages 305-335. Peristalsis. By Jackie D. Wood, in Encyclopedia of Gastroenterology, 2004.
- Maurer AH. Gastrointestinal Motility, Part 2: Small-Bowel and Colon Transit. J Nucl Med Technol. 2016 Mar;44(1):12-8. [CrossRef]
- Calegaro JU, Tajra JB, Souto JF, Marciano FR, De Landa DC, Bae SB, et al. Scintigraphic evaluation of colonic transit in children with constipation using 67Ga-citrate. World J Nucl Med. 2018;17:249–52. [CrossRef]
- Levin MD. The dolichosigma partially located on the right: How justified is the concept of the right slow transit constipation? World J Nucl Med. 2019 Dec 18;18(4):440-442. [CrossRef]
- Shafik A. Ureterovesical junction inhibitory reflex and vesicoureteral junction excitatory reflex: description of two reflexes and their role in the ureteric antireflux mechanism. Urol Res. 1996;24(6):339-43. [CrossRef]
- Shafik A, Shafik AA, El Sibai O, Mostafa RM. Effect of straining on diaphragmatic crura with identification of the straining-crural reflex. The "reflex theory" in gastroesophageal competence. BMC Gastroenterol. 2004 Sep 30;4:24. [CrossRef]
- Levin MD. Anatomy and physiology of anorectum: the hypothesis of fecal retention, and defecation. Pelviperineology 2021;40(1):50-57. [CrossRef]
- Pattrick FG. Investigation of gastroesophageal reflux in various positions with a two-lumen pH electrode. Gut. 1970 Aug;11(8):659-67. [CrossRef]
- Johnson LF, Demeester TR. Twenty-four-hour pH monitoring of the distal esophagus. A quantitative measure of gastroesophageal reflux. Am J Gastroenterol. 1974 Oct;62(4):325-32.
- Tseng D, Rizvi AZ, Fennerty MB, et al. Forty-eight-hour pH monitoring increases sensitivity in detecting abnormal esophageal acid exposure. J Gastrointest Surg. 2005 Nov;9(8):1043-51; discussion 1051-2. [CrossRef]
- Yoo SS, Lee WH, Ha J, et al. The prevalence of esophageal disorders in the subjects examined for health screening. Korean J Gastroenterol. 2007 Nov;50(5):306-12.
- Stål P, Lindberg G, Ost A, Iwarzon M, Seensalu R. Gastroesophageal reflux in healthy subjects. Significance of endoscopic findings, histology, age, and sex. Scand J Gastroenterol. 1999 Feb;34(2):121-8. [CrossRef]
- Chen JW, Vela MF, Peterson KA, Carlson DA. AGA Clinical Practice Update on the Diagnosis and Management of Extraesophageal Gastroesophageal Reflux Disease: Expert Review. Clin Gastroenterol Hepatol. 2023 Jun;21(6):1414-1421.e3. [CrossRef]
- Vakil N, van Zanten SV, Kahrilas P, Dent J, Jones R; Global Consensus Group. The Montreal definition and classification of gastroesophageal reflux disease: a global evidence-based consensus. Am J Gastroenterol. 2006 Aug;101(8):1900-20; quiz 1943. [CrossRef]
- Popa SL, Surdea-Blaga T, David L, Stanculete MF, Picos A, Dumitrascu DL, Chiarioni G, Ismaiel A, Dumitrascu DI. Supragastric belching: Pathogenesis, diagnostic issues and treatment. Saudi J Gastroenterol. 2022 May-Jun;28(3):168-174. [CrossRef]
- Caballero N, Marin I, Serra J. Gastric gas dynamics in healthy humans. Neurogastroenterol Motil. 2018 Nov;30(11):e13408. Epub 2018 Jul 24. PMID: 30043526. [CrossRef]
- Caballero N, Marin I, Serra J. Responses to gastric gas in patients with functional gastrointestinal disorders. Neurogastroenterol Motil. 2021 Jan;33(1):e13963. [CrossRef]
- Rådmark T, Pettersson GB. Lower esophageal sphincter pressure in normal individuals and patients with gastroesophageal reflux. A comparison between end-hole and side-hole recording techniques. Scand J Gastroenterol. 1989 Sep;24(7):842-50. [CrossRef]
- Chandrasoma P, DeMeester T. A New Pathologic Assessment of Gastroesophageal Reflux Disease: The Squamo-Oxyntic Gap. Adv Exp Med Biol. 2016;908:41-78. [CrossRef]
- Menezes MA, Herbella FAM. Pathophysiology of Gastroesophageal Reflux Disease. World J Surg. 2017 Jul;41(7):1666-1671. [CrossRef]
- Kahrilas PJ, Kim HC, Pandolfino JE. Approaches to the diagnosis and grading of hiatal hernia. Best Pract Res Clin Gastroenterol. 2008;22(4):601-16. [CrossRef]
- Levin MD, Korshun Z, Mendelson G. [Pathological physiology of gastroesophageal reflux disease. Hypothesis (Literature review)]. Eksp Klin Gastroenterol. 2013;(5):72-88. Russian. PMID: 24501951.
- Dent J, Dodds WJ, Friedman RH, Sekiguchi T, Hogan WJ, Arndorfer RC, Petrie DJ. Mechanism of gastroesophageal reflux in recumbent asymptomatic human subjects. J Clin Invest. 1980 Feb;65(2):256-67. [CrossRef]
- Mittal RK, Kumar D, Jiang Y. Sliding Hiatus Hernia: A Two-Step Pressure Pump of Gastroesophageal Reflux. Gastroenterology. 2021 Jul;161(1):339-341.e1. Epub 2021 Mar 10. PMID: 33713672; PMCID: PMC8961450. [CrossRef]
- Yassi R, Cheng LK, Rajagopal V, Nash MP, Windsor JA, Pullan AJ. Modeling of the mechanical function of the human gastroesophageal junction using an anatomically realistic three-dimensional model. J Biomech. 2009 Aug 7;42(11):1604-9. Epub 2009 May 28. PMID: 19481212; PMCID: PMC2778051. [CrossRef]
- Pope CE 2nd. Acid-reflux disorders. N Engl J Med. 1994 Sep 8;331(10):656-60. [CrossRef]
- Korn O, Csendes A, Burdiles P, Braghetto I, Stein HJ. Anatomic dilatation of the cardia and competence of the lower esophageal sphincter: a clinical and experimental study. J Gastrointest Surg. 2000 Jul-Aug;4(4):398-406. [CrossRef]
- Shafik A, Shafik I, El Sibai O, Mostafa RM. The effect of esophageal and gastric distension on the crural diaphragm. World J Surg. 2006 Feb;30(2):199-204. [CrossRef]
- Levin MD, Jin IG. Screening of gastroesophageal reflux disease based on the size of the gastric gas bubble. Eksp Klin Gastroenterol. 2018; 152(4):23-9.
- Levin MD, Mendel’son G. [Schatzki ring as a symptom of gastroesophageal reflux disease]. Vestn Rentgenol Radiol. 2015 Jan-Feb;(1):5-15.








Disclaimer/Publisher’s Note: The statements, opinions and data contained in all publications are solely those of the individual author(s) and contributor(s) and not of MDPI and/or the editor(s). MDPI and/or the editor(s) disclaim responsibility for any injury to people or property resulting from any ideas, methods, instructions or products referred to in the content. |
© 2023 by the authors. Licensee MDPI, Basel, Switzerland. This article is an open access article distributed under the terms and conditions of the Creative Commons Attribution (CC BY) license (http://creativecommons.org/licenses/by/4.0/).