Preprint
Interesting Images

This version is not peer-reviewed.

SpyGlass Cholangioscopy for Indeterminate Biliary Stricture in a Patient with Primary Sclerosing Cholangitis

Submitted:

08 October 2023

Posted:

09 October 2023

You are already at the latest version

Abstract
SpyGlass peroral cholangioscopy (POCS) has greatly improved the diagnosis of biliary strictures by allowing direct visualization and tissue sampling in the bile ducts. Supported by strong registry data and careful analysis, POCS is highly accurate in diagnosis and carries minimal risks. It plays a pivotal role in diagnosis of indeterminate biliary stricture like primary sclerosing cholangitis (PSC), which increases the risk of cancer. POCS facilitates early disease detection through distinctive endoscopic observations and provides essential information with directed biopsies that assess inflammation and potential malignancy. This case study showcased POCS's diagnostic ability when it accurately identified benign findings in a 59-year-old patient with jaundice. Treatment with ursodeoxycholic acid resulted in significant improvements, highlighting the diagnostic performance of POCS. In summary, POCS simplifies complex biliary stricture cases, expedites diagnosis and intervention, and significantly contributes to improving patient outcomes in challenging hepatobiliary conditions.
Keywords: 
;  ;  ;  

1. Text and Figures

To differentiate between benign and malignant biliary strictures can be challenging when relying solely on cross-sectional imaging. SpyGlass peroral cholangioscopy (POCS) provides a valuable solution by enabling direct visualization and the acquisition of mucosal tissue samples from the biliary and pancreatic ducts. Data from a multinational registry indicate impressive success rates for POCS, with an 87.2% rate for visual diagnostic impressions and a 92.9% rate for obtaining adequate biopsies, all while maintaining a low procedure-related adverse event rate of 1.7% [1]. A meta-analysis of 283 POCS procedures further revealed that the overall pooled sensitivity and specificity of visual interpretation for detecting biliary malignancies was 94% (95% CI 89~97%) and 95% (95% CI 90~98%), respectively [2]. Primary sclerosing cholangitis (PSC), characterized by long-term chronic inflammation and scarring of the bile ducts, carries an elevated risk of biliary strictures and cholangiocarcinoma. POCS has emerged as a valuable tool for the diagnosis of PSC. Notably, Itoi et al. identified nine distinct POCS features, with scarring and pseudodiverticula indicating PSC, while partially enlarged vessels suggesting cholangiocarcinoma [3]. Subsequently, Fujisawa et al. examined various endoscopic findings in the context of PSC. During the active phase, they noted features like mucosal erythema, ulceration, fibrinous white exudate and an irregular surface. In contrast, during the chronic phase, features such as scarring, pseudodiverticula and bile duct stenosis were observed. Moreover, there is a subgroup of PSC patients who present with nodular or mass formation regardless of the phase. Common endoscopic findings include friability, dilated vessels, tortuous vessels and mass formation. These findings should be carefully distinguished from indicators of cholangiocarcinoma [4]. Furthermore, POCS-directed biopsy is instrumental in assessing inflammatory activity and malignant potential in PSC patients [5, 6]. Although research on the diagnostic utility of POCS for PSC is limited, it remains a critical tool for early diagnosis as well as detecting malignant transformations in PSC cases and may aid in predicting the timing of liver transplantation [4]. Herein, we presented the SpyGlass POCS findings in a PSC patient with benign hilar biliary stricture.
This 59-year-old man suffered from epigastralgia and progressive jaundice for 2 weeks. Tri-phase computer tomography showed diffuse dilatation of intrahepatic ducts (IHDs) with tapering at the hilum (Figure 1). Magnetic Resonance Cholangiopancreatography (MRCP) disclosed diffuse irregular sausage-like IHDs with minimal peri-ductal enhancement and endoscopic retrograde cholangiopancreaticography confirmed a hilar biliary stricture (Figure 2). The SpyGlass™ Direct Visualization System-II (Boston Scientific, Marlborough, MA, USA) demonstrated fibrinous exudates within an ulcerated and erythematous stenotic bile duct. No irregular dilated vessels nor papillary projections were noted, favoring a benign mucosa (Figure 3). POCS-directed biopsy reported chronic inflammation with negative CK AE1/3 staining. Following a 2-month course of ursodeoxycholic acid (15mg/kg/day) for PSC, the patient’s cholestatic-type jaundice normalized. During a three-year follow-up, the patient has been free from recurrent jaundice, cholangitis, and abdominal pain. Notably, both total bilirubin and alkaline phosphatase levels have consistently remained within the normal range, and serial MRCP scans have shown stable results (Figure 4).

Figures, Tables and Schemes

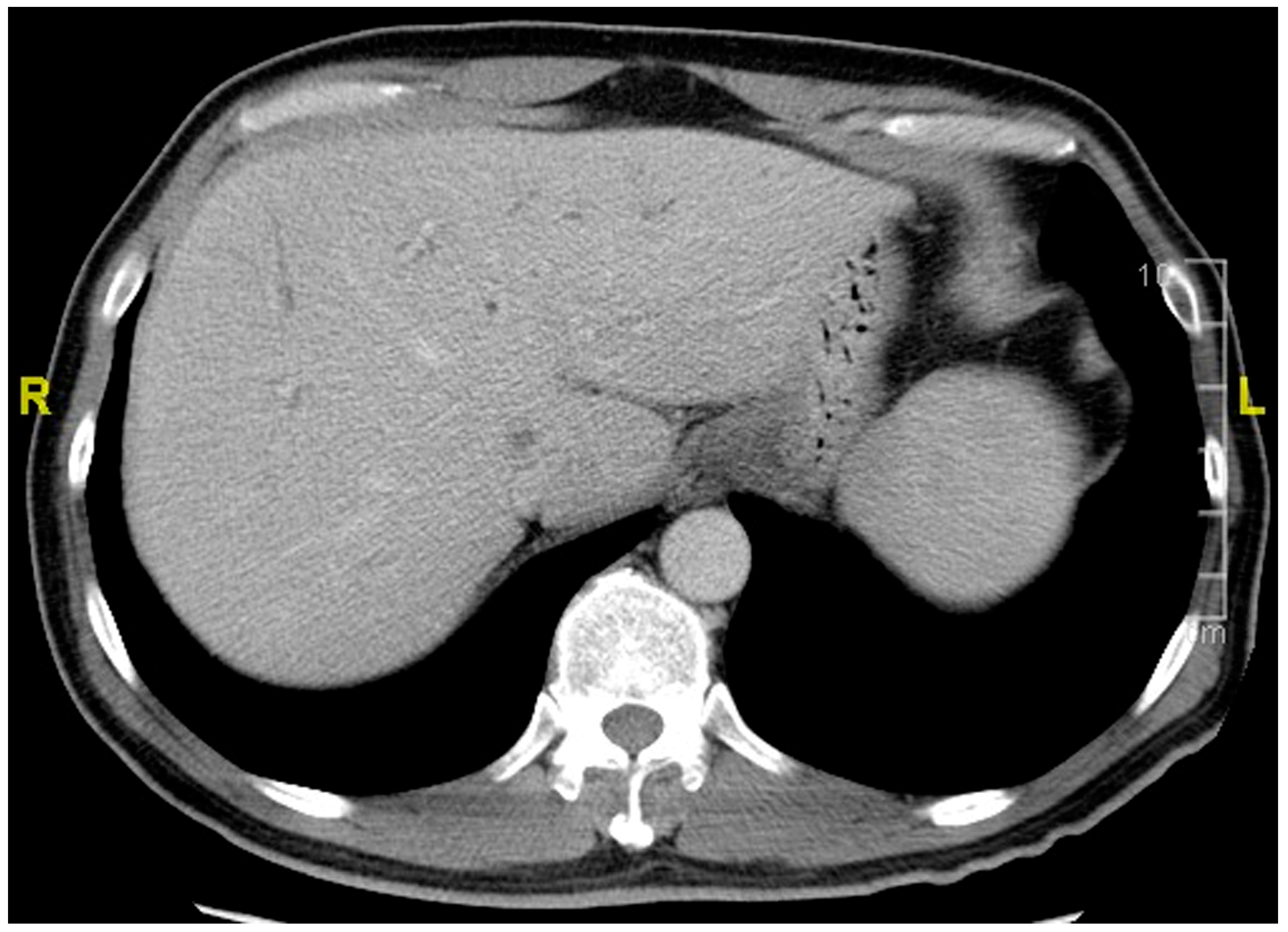
Figure 1. Representative computer tomography imaging shows dilated intrahepatic ducts.
Figure 1. Representative computer tomography imaging shows dilated intrahepatic ducts.
Preprints 87220 g001
Figure 2. On the representative MRCP image (left), there is diffuse sausage-like irregularity, with both narrowing and dilatation of the IHDs. Minimal peri-ductal enhancement is suggestive of cholangitis. The cholangiographic findings (right) reveal multiple skipped strictures affecting bilateral intrahepatic ducts, extending from the proximal common bile duct.
Figure 2. On the representative MRCP image (left), there is diffuse sausage-like irregularity, with both narrowing and dilatation of the IHDs. Minimal peri-ductal enhancement is suggestive of cholangitis. The cholangiographic findings (right) reveal multiple skipped strictures affecting bilateral intrahepatic ducts, extending from the proximal common bile duct.
Preprints 87220 g002
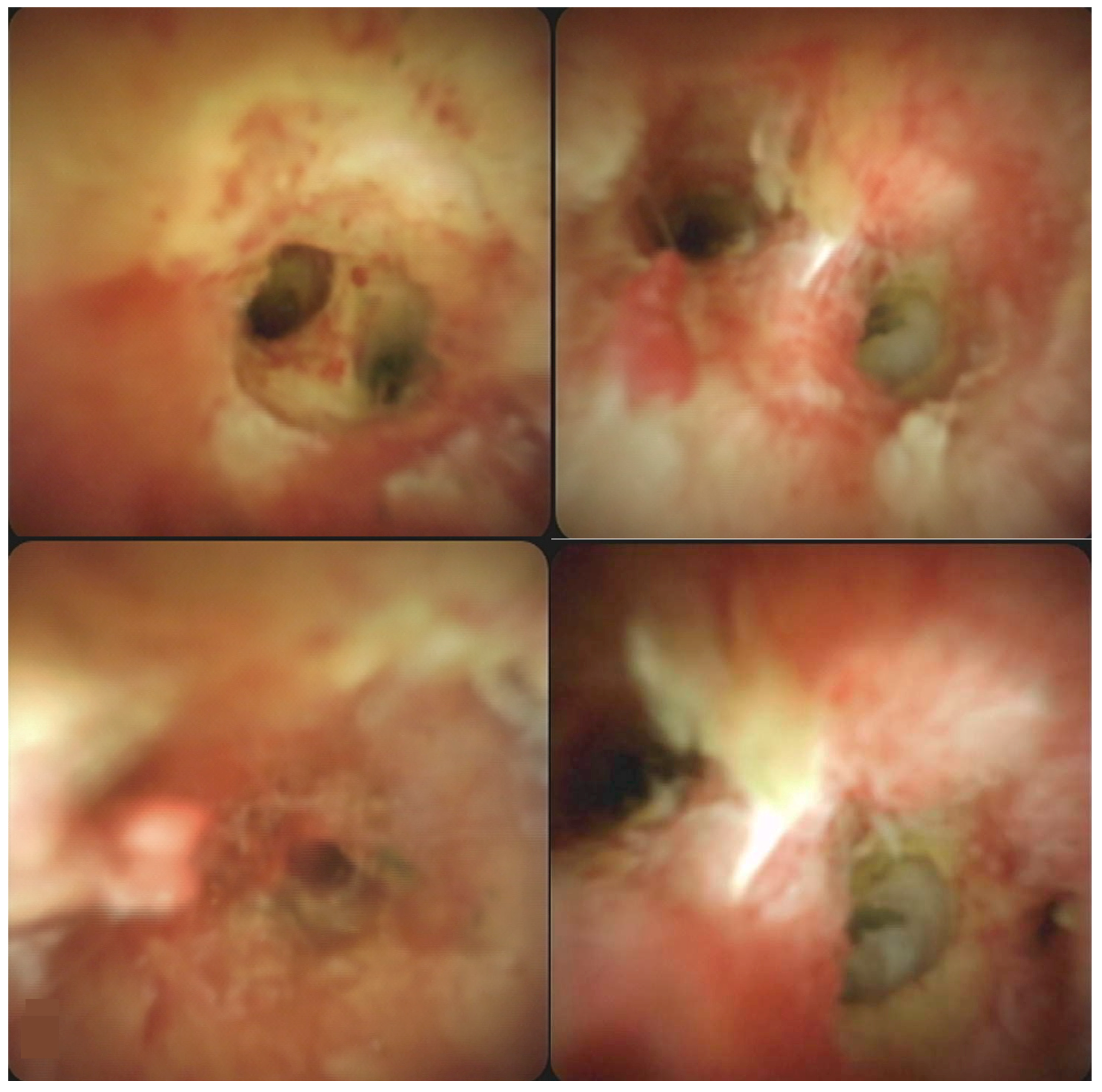
Figure 3. Upon cholangioscopic examination, the findings revealed the presence of fibrinous exudates within the confines of an ulcerative stricture, alongside an erythematous stenotic bile duct. Notably, there were no irregular dilated vessels or papillary projections observed, thus favoring a benign chronic inflammatory etiology.
Figure 3. Upon cholangioscopic examination, the findings revealed the presence of fibrinous exudates within the confines of an ulcerative stricture, alongside an erythematous stenotic bile duct. Notably, there were no irregular dilated vessels or papillary projections observed, thus favoring a benign chronic inflammatory etiology.
Preprints 87220 g003
Figure 4. Magnetic Resonance Cholangiopancreatography (MRCP) Images Demonstrating Disease Stability Over Three Years
Figure 4. Magnetic Resonance Cholangiopancreatography (MRCP) Images Demonstrating Disease Stability Over Three Years
Preprints 87220 g004
(a) MRCP image at Year 1, captured after the initiation of follow-up, illustrating the patient's condition during the first year. (b) MRCP image at Year 1.5. (c) MRCP image at Year 2. (d) MRCP image at Year 3. The patient's PSC remained remarkably stable over the three-year monitoring period, and there was no evidence of malignant progression.

Funding

This research received no external funding.

Institutional Review Board Statement

Not applicable.

Informed Consent Statement

Informed consent was obtained from all subjects involved in the study.

Conflicts of Interest

The authors declare no conflict of interest.

References

  1. Almadi MA, Itoi T, Moon JH et al. Using single-operator cholangioscopy for endoscopic evaluation of indeterminate biliary strictures: results from a large multinational registry. Endoscopy 2020, 52, 574–582. [Google Scholar] [CrossRef] [PubMed]
  2. de Oliveira PVAG, de Moura DTH, Ribeiro IB et al. Efficacy of digital single-operator cholangioscopy in the visual interpretation of indeterminate biliary strictures: a systematic review and meta-analysis. Surg Endosc. 2020, 34, 3321–3329. [Google Scholar] [CrossRef] [PubMed]
  3. Itoi T, Kamisawa T, Igarashi Y, et al. The role of peroral video cholangioscopy in patients with IgG4-related sclerosing cholangitis. J. Gastroenterol. 2013, 48, 504–514. [Google Scholar] [CrossRef] [PubMed]
  4. Fujisawa T, Ushio M, Takahashi S et al. Role of Peroral Cholangioscopy in the Diagnosis of Primary Sclerosing Cholangitis. Diagnostics (Basel). 2020, 10, 268. [Google Scholar] [CrossRef] [PubMed]
  5. Siiki A, Rinta-Kiikka I, Koivisto Tet al. Spyglass single-operator peroral cholangioscopy seems promising in the evaluation of primary sclerosing cholangitis-related biliary strictures. Scand J Gastroenterol. 2014, 49, 1385–1390. [Google Scholar] [CrossRef] [PubMed]
  6. Rey JW, Hansen T, Dümcke S et al. Efficacy of SpyGlass(TM)-directed biopsy compared to brush cytology in obtaining adequate tissue for diagnosis in patients with biliary strictures. World J Gastrointest Endosc. 2014, 6, 137–143. [Google Scholar] [CrossRef] [PubMed]
Disclaimer/Publisher’s Note: The statements, opinions and data contained in all publications are solely those of the individual author(s) and contributor(s) and not of MDPI and/or the editor(s). MDPI and/or the editor(s) disclaim responsibility for any injury to people or property resulting from any ideas, methods, instructions or products referred to in the content.
Copyright: This open access article is published under a Creative Commons CC BY 4.0 license, which permit the free download, distribution, and reuse, provided that the author and preprint are cited in any reuse.
Prerpints.org logo

Preprints.org is a free preprint server supported by MDPI in Basel, Switzerland.

Subscribe

Disclaimer

Terms of Use

Privacy Policy

Privacy Settings

© 2026 MDPI (Basel, Switzerland) unless otherwise stated