Submitted:
08 September 2023
Posted:
11 September 2023
Read the latest preprint version here
Abstract
Keywords:
1. Introduction
- An origin from totipotent cells left behind in their migration through Hensen's node, explaining the frequent median and paraxial distribution of teratomas;
- Teratomas explained as a consequence of an incomplete twinning, which could clarify intracranial, mediastinal, abdominal and sacrococcygeal localizations;
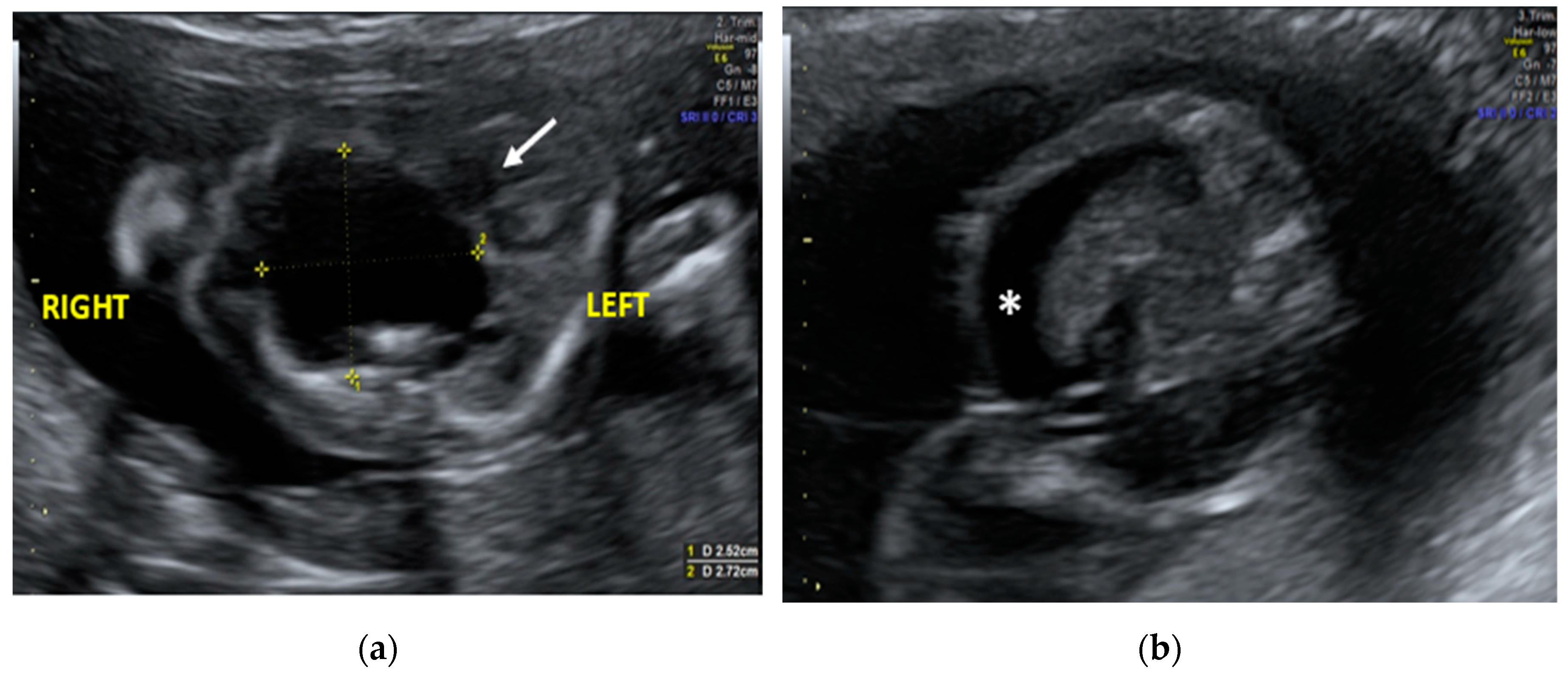
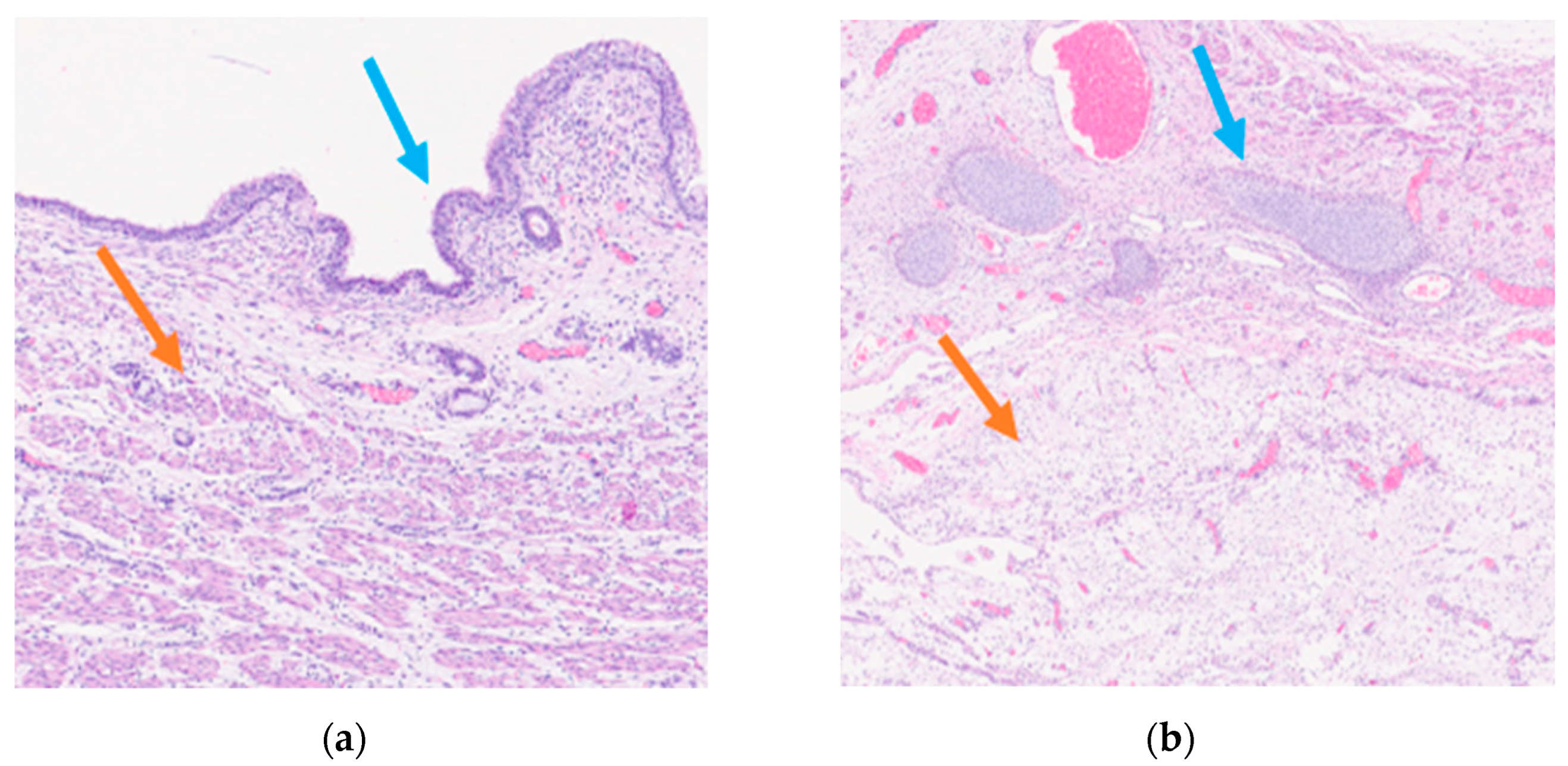
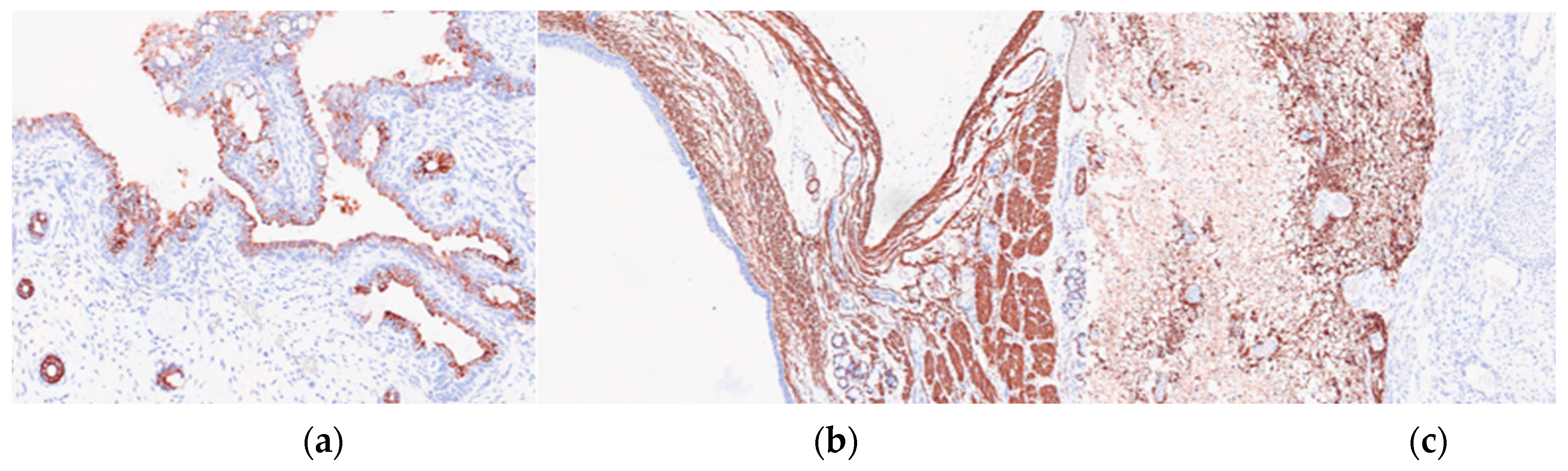
2. Case report
3. Discussion
4. Conclusions
Author Contributions
Funding
Informed Consent Statement
Conflicts of Interest
References
- Pace S, Sacks MA, Goodman LF, Tagge EP, Radulescu A. Antenatal Diagnosis of Retroperitoneal Cystic Mass: Fetiform Teratoma or Fetus in Fetu? A Case Report. Am J Case Rep. 2021 Feb 11;2:e929247. [CrossRef]
- Peiró JL, Sbragia L, Scorletti F, Lim FY, Shaaban A. Management of fetal teratomas. Pediatr Surg Int. 2016 Jul;32(7):635-47. [CrossRef]
- Win TT, Razy N, Hamid S, Ubramanian AB, Ramalinggam G. Congenital mature cystic teratoma of the lateral neck presenting as cystic hygroma: a rare case report with literature review. Turk Patoloji Derg. 2014;30(3):220-4. [CrossRef] [PubMed]
- Grosfeld JL, Billmire DF. Teratomas in infancy and childhood. Curr Probl Cancer. 1985 Sep;9(9):1-53. [CrossRef] [PubMed]
- Bonasoni MP, Comitini G, Barbieri V, Palicelli A, Salfi N, Pilu G. Fetal Presentation of Mediastinal Immature Teratoma: Ultrasound, Autopsy and Cytogenetic Findings. Diagnostics (Basel). 2021 Aug 25;11(9):1543. [CrossRef]
- Srisupundit K, Sukpan K, Tongsong T, Traisrisilp K. Prenatal sonographic features of fetal mediastinal teratoma. J Clin Ultrasound. 2020 Sep;48(7):419-422. [CrossRef]
- Isaacs H, Jr. Fetal intracranial teratoma. A review. Fetal Pediatr Pathol. 2014 Oct-Dec;33(5-6):289-92. [CrossRef]
- Xu L, Ma Q, Tian X, Huang W, Zhong W, Shang N. Prenatal ultrasonic features of a mediastinal teratoma: A case report and literature review. J Clin Ultrasound. 2022 Sep;50(7):1004-1012. [CrossRef]
- Darouich S, Bellamine H. Fetal mediastinal teratoma: Misinterpretation as congenital cystic lesions of the lung on prenatal ultrasound. J Clin Ultrasound. 2020 Jun;48(5):287-290. [CrossRef]
- Simonini C, Strizek B, Berg C, Gembruch U, Mueller A, Heydweiller A, Geipel A. Fetal teratomas - A retrospective observational single-center study. Prenat Diagn. 2021 Feb;41(3):301-307. [CrossRef]
- Haloua M, Bouardi NE, Hbibi M, Alami BE, Lamrani YA, Hammas N, Maaroufi M, Bouabdallah Y, Boubbou M. Posterior mediastinal teratoma presenting as an abdominal mass in a child: A case report. Radiol Case Rep. 2022 Aug 8;17(10):3825-3829. [CrossRef]
- Feng Q, Xiao Y, Han F. Posterior Mediastinal Mature Cystic Teratoma-Known But Rare Entity. Am J Med Sci. 2020 May;359(5):308-309. [CrossRef]
- Ogata S, Okusa Y, Ogawa T, Ogawa T, Inoue K, Ozeki Y. Mature cystic teratoma in the posterior mediastinum. Can J Surg. 2009 Jun;52(3):E73-4. PMID: 19503655; PMCID: PMC2689736.
- Arisoy R, Erdogdu E, Kumru P, Demirci O, Ergin N, Pekin O, Sahinoglu Z, Tugrul AS, Sancak S, Çetiner H, Celayir A. Prenatal diagnosis and outcomes of fetal teratomas. J Clin Ultrasound. 2016 Feb;44(2):118-25. [CrossRef]
- Heerema-McKenney A, Harrison MR, Bratton B, Farrell J, Zaloudek C. Congenital teratoma: a clinicopathologic study of 22 fetal and neonatal tumors. Am J Surg Pathol. 2005 Jan;29(1):29-38. [CrossRef] [PubMed]
- Nogales FF, Dulcey I, Preda O. Germ cell tumors of the ovary: an update. Arch Pathol Lab Med. 2014 Mar;138(3):351-62. [CrossRef] [PubMed]
- Moraru L, Mitranovici MI, Chiorean DM, Coroș M, Moraru R, Oală IE, Turdean SG. Immature Teratoma: Diagnosis and Management-A Review of the Literature. Diagnostics (Basel). 2023 Apr 23;13(9):1516. [CrossRef]
- Charoenkwan P, Senger C, Weitzman S, Sexsmith E, Sherman CG, Malkin D, Thorner PS. Significance of p53 expression in immature teratomas. Pediatr Dev Pathol. 2002 Sep-Oct;5(5):499-507. [CrossRef]
- Floridia M, Mastroiacovo P, Tamburrini E, Tibaldi C, Todros T, Crepaldi A, Sansone M, Fiscon M, Liuzzi G, Guerra B, Vimercati A, Vichi F, Vicini I, Pinnetti C, Marconi AM, Ravizza M. “Birth Defects In A National Cohort Of Pregnant Women With HIV Infection In Italy, 2001-2011. BJOG. 2013;120(12):1466-75.
- Peiró JL, Sbragia L, Scorletti F, Lim FY, Shaaban A. Management of fetal teratomas. Pediatr Surg Int. 2016 Jul;32(7):635-47. [CrossRef]
- Xu L, Ma Q, Tian X, Huang W, Zhong W, Shang N. Prenatal ultrasonic features of a mediastinal teratoma: A case report and literature review. J Clin Ultrasound. 2022 Sep;50(7):1004-1012. [CrossRef]
- Mon RA, Johnson KN, Ladino-Torres M, Heider A, Mychaliska GB, Treadwell MC, Kunisaki SM. Diagnostic accuracy of imaging studies in congenital lung malformations. Arch Dis Child Fetal Neonatal Ed. 2019 Jul;104(4):F372-F377. [CrossRef]
- Kunisaki SM, Saito JM, Fallat ME, Peter SDS, Lal DR, Karmakar M, Deans KJ, Gadepalli SK, Hirschl RB, Minneci PC, Helmrath MA; Midwest Pediatric Surgery Consortium. Fetal Risk Stratification and Outcomes in Children with Prenatally Diagnosed Lung Malformations: Results from a Multi-Institutional Research Collaborative. Ann Surg. 2022 Nov 1;276(5): e622-e630. [CrossRef]
- M. Ruchonnet-Metrailler I, Leroy-Terquem E, Stirnemann J, Cros P, Ducoin H, Hadchouel A, Khen-Dunlop N, Labbé A, Labouret G, Lebras MN, Lezmi G, Madhi F, Salomon LJ, Thouvenin G, Thumerelle C, Delacourt C. Neonatal outcomes of prenatally diagnosed congenital pulmonary malformations. Pediatrics. 2014 May;133(5): e1285-91. [CrossRef] [PubMed]
- Girsen AI, Hintz SR, Sammour R, Naqvi A, El-Sayed YY, Sherwin K, Davis AS, Chock VY, Barth RA, Rubesova E, Sylvester KG, Chitkara R, Blumenfeld YJ. Prediction of neonatal respiratory distress in pregnancies complicated by fetal lung masses. Prenat Diagn. 2017 Mar;37(3):266-272. Erratum in: Prenat Diagn. 2019 Sep;39(10):941. [CrossRef]




Disclaimer/Publisher’s Note: The statements, opinions and data contained in all publications are solely those of the individual author(s) and contributor(s) and not of MDPI and/or the editor(s). MDPI and/or the editor(s) disclaim responsibility for any injury to people or property resulting from any ideas, methods, instructions or products referred to in the content. |
© 2023 by the authors. Licensee MDPI, Basel, Switzerland. This article is an open access article distributed under the terms and conditions of the Creative Commons Attribution (CC BY) license (http://creativecommons.org/licenses/by/4.0/).