Submitted:
07 July 2023
Posted:
10 July 2023
You are already at the latest version
Abstract
Keywords:
1. Hair Types
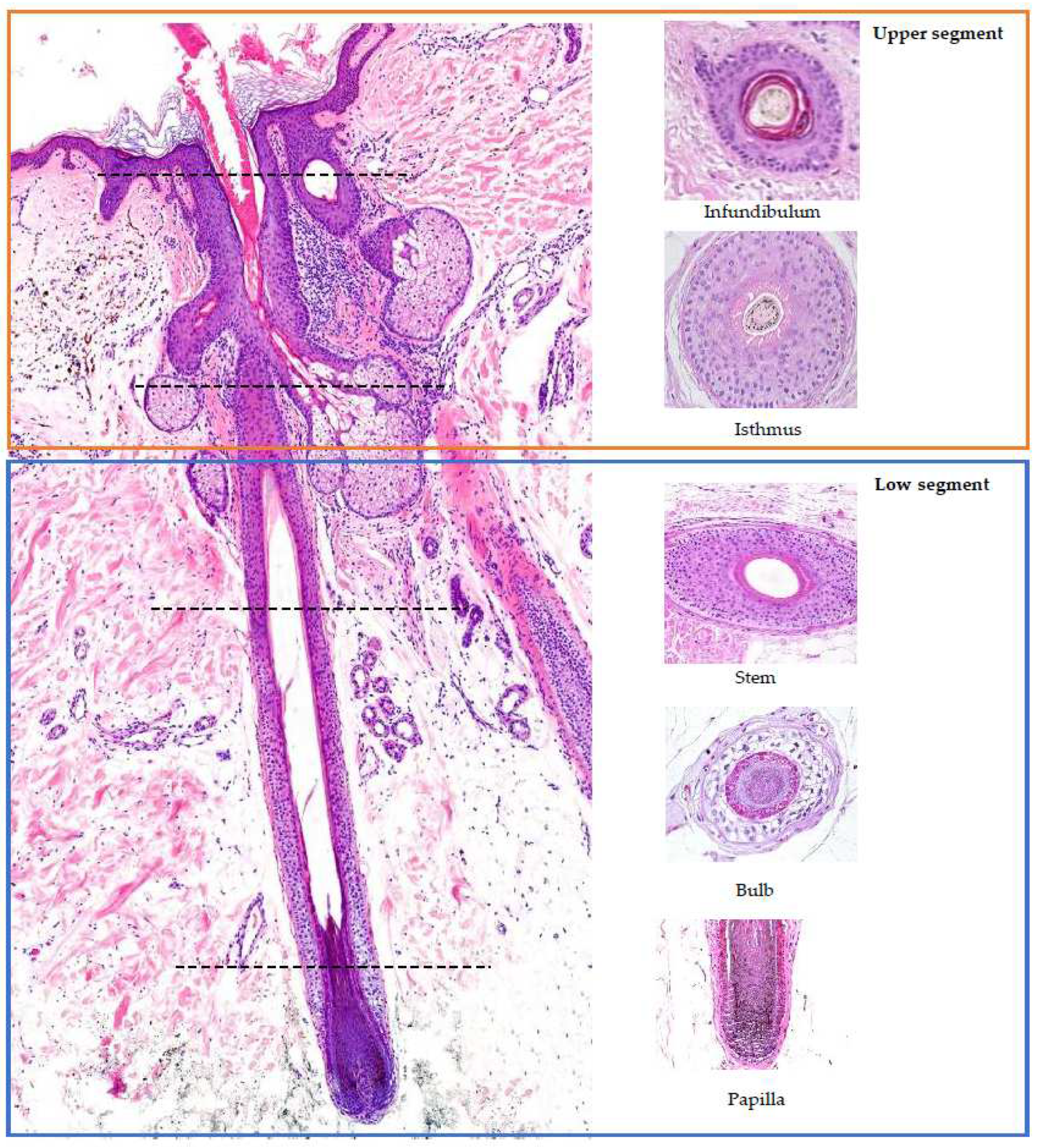
2. Hair Follicle Histology (Figure 1) [5,7,8,9,10]

3. Hair Cycle (Figure 2) [5,8,9,11]

4. Adequate Hair Biopsy
5. Alopecia Classification
5.1. Nonscarring Alopecia [29]
- A
-
It occurs due to a combination of hormonal and genetical factors. In genetically predisposed individuals, an increased activity of the 5-alpha-reductase enzyme in the hair follicles causes them to miniaturize and shrink over time. This occurs especially on the temples, crown, and frontal regions, eventually resulting in bald patches or a receding hairline. Hair follicles in the occipital area are less affected, making it a suitable donor site for hair transplants.
- 1.
-
Clinical Presentation:
- -
- Male pattern hair loss: characterized by bitemporal hairline recession, followed by the loss of hair in the frontotemporal and vertex regions.
- -
- Female pattern hair loss: typically manifests as diffuse hair loss, primarily affecting the central part of the scalp.
- 2.
-
Histological Features (Figure 4):
- -
- Increase in the vellus index: miniaturization of terminal hair.
- -
- Increase in the telogen index.
- -
- Sebaceous gland pseudohyperplasia.
- -
- Perifollicular lymphocytic infiltrate (70%).
- -
- Absence of concentric fibrosis.
- -
- Polarized light: negative birrefringence of follicular streamers/stelae.
- B
-
Telogen effluvium is a form of diffuse alopecia characterized by a sudden transition of a significant number of hair follicles from the anagen (growth) phase to the telogen (resting) phase. This condition can be triggered by various factors, including psychological stress, medications, infections, and other systemic diseases. Telogen effluvium is the most common type of hair loss associated with systemic conditions. It is advisable to perform the biopsy in the initial phases, since the hair follicles undergo a restart of the follicular cycle, and biopsies may not reveal any abnormalities.
- 1.
-
Clinical Presentation:
- -
- Diffuse alopecia.
- -
- Acute or chronic (if the diffuse hair loss has been going on for more than 6 months).
- -
- Can be associated to androgenetic alopecia, especially in males, for this reason it is advisable to perform a biopsy from the occipital area.
- 2.
-
Histological Findings (Figure 5):
- -
- Increase in the telogen index (>25% in initial phases).
- -
- Absence of inflammatory infiltrate.
- -
- Normal terminal and vellus hairs with an increase in follicular streamers in horizontal sections.
- -
- Differential diagnosis between chronic telogen effluvium and female pattern hair loss: in te first one, the telogen/anagen ratio is 8:1; in the latter it does not exceed 4:1.
- C
-
Alopecia areata is an organ-specific autoimmune disease that affects approximately 1% of the general population, with a higher prevalence among children and young adults. This condition is genetically influenced and is characterized by an immune-mediated response, primarily involving T lymphocytes (CD4+), targeting the keratinocytes of the hair follicles.
- 1.
-
Clinical Presentation:
- -
- Alopecia areata typically presents as patchy hair loss, characterized by one or more circumscribed plaques on the scalp or other hair-bearing areas. The affected areas of the scalp usually exhibit underlying normal skin, without any signs of inflammation or scarring.
- -
- One notable feature in alopecia areata is the presence of "exclamation mark" hairs. These are short, broken hairs that taper at the base and are commonly found at the borders of the bald patches.
- -
- Can involve the whole scalp (total alopecia areata) or entire body (universal alopecia areata).
- 2.
-
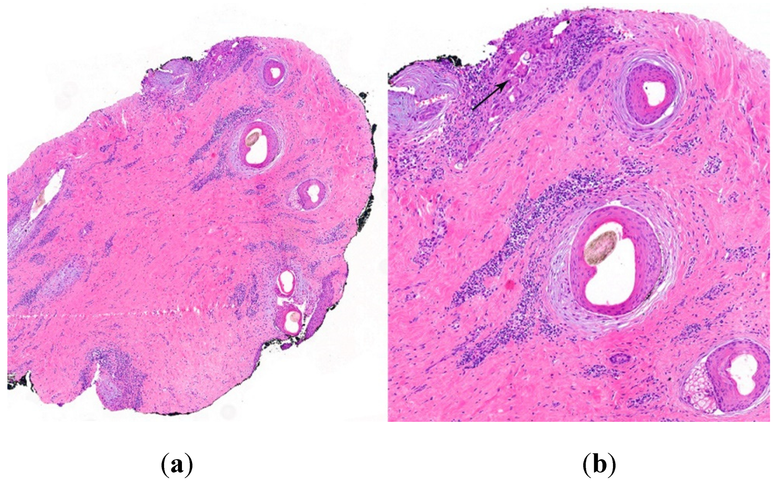
Histological Features (Figure 6):
- -
- Peribulbar inflammatory infiltrate: during the active phase of alopecia areata, a characteristic peribulbar inflammatory infiltrate is seen around the anagen (growth) hair follicles ("swarm of bees").
- -
- Apoptosis of matrix cells within the hair follicle can be observed.
- -
- Presence of lymphocytes, eosinophils, and melanin in follicular streamers (inactive phase). Utility of CD3 staining.
- -
- Increase in vellus index.
- -
- Increase in telogen index.
- D
-
- 1.
-
Clinical Presentation:
- -
- Trichotillomania is characterized by a compulsive tendency, whether conscious or unconscious, to pull and twist one's own hair.
- -
- Atypical patches of alopecia, these patches are typically irregular in shape and may appear as areas of partial or complete hair loss.
- -
- Presence of different hair lengths within the affected areas, the remaining hairs may appear frayed or have a jagged, uneven appearance.
- 2.
-
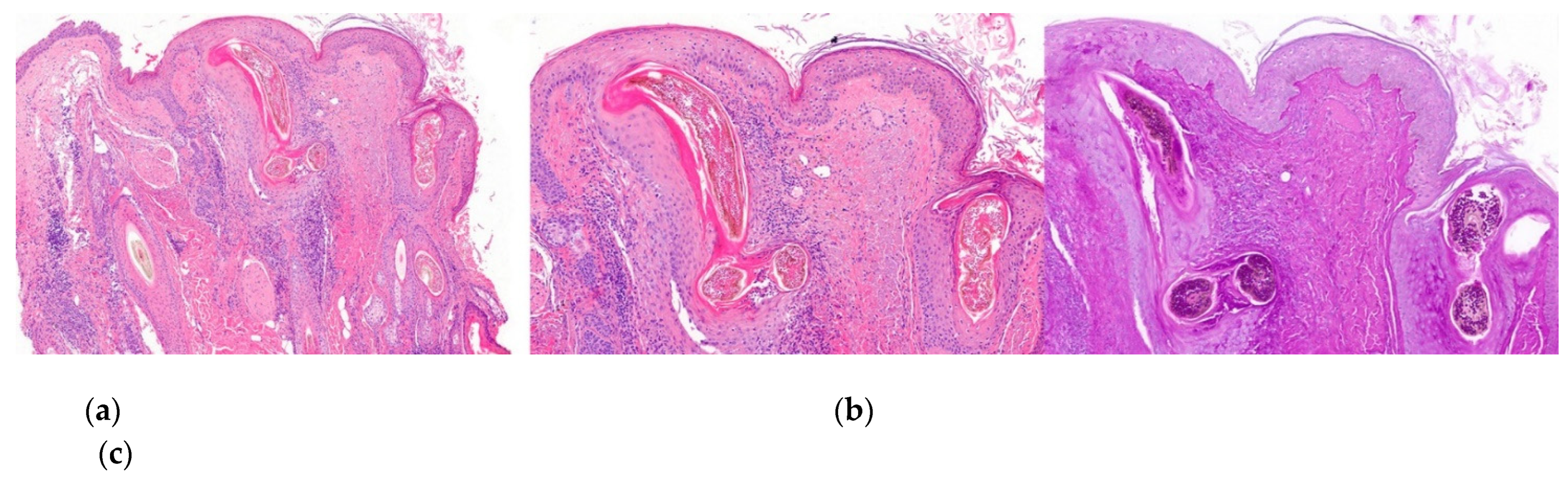
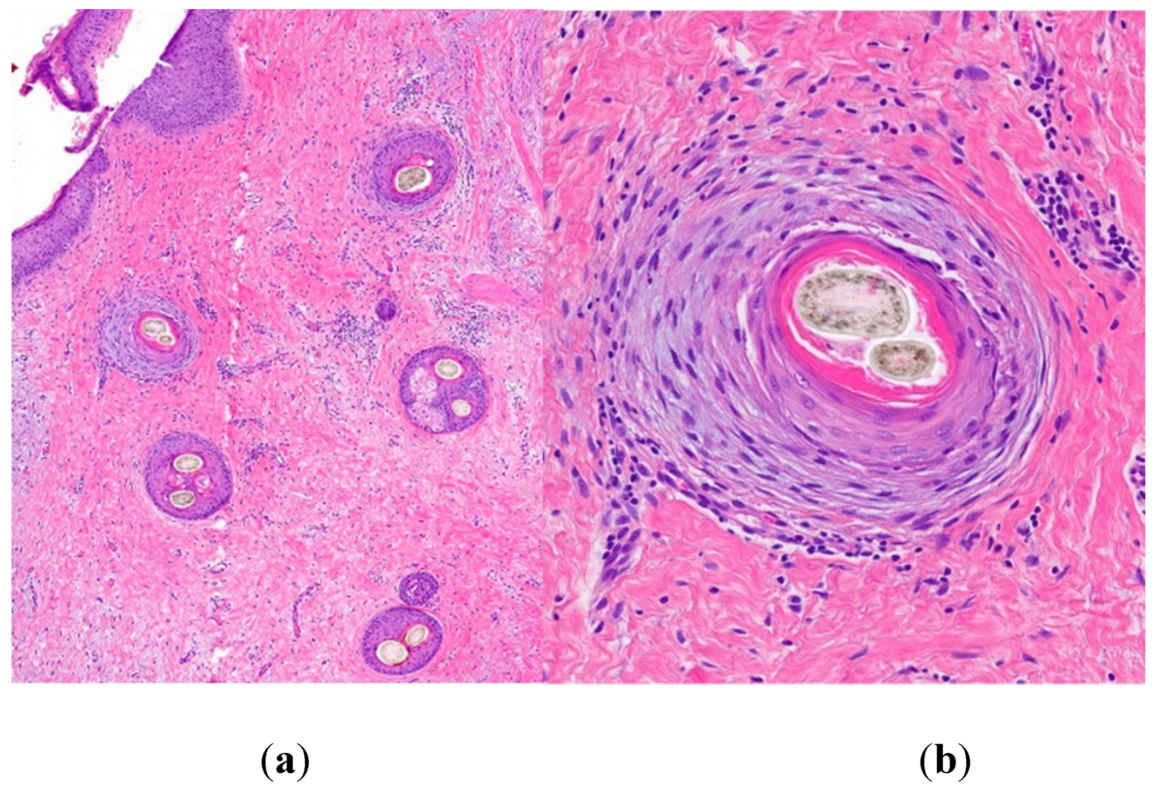
Histological Findings (FIGURE 7):
- -
- Alternation of damaged and intact hair follicles.
- -
- Increased number of catagen hair follicles (>75%).
- -
- Bulbar epithelium distortion, hemorrhage, and pigmentary incontinence.
- -
- Trichomalacia (distortion of the hair shaft).
Figure 7. Trichotillomania. (a) and (b): Vertical sections. Distortion of the bulbar epithelium and trichomalacia (distortion of the hair shaft) (HEx40; HEx100). (c) and (d): Horizontal sections. Trichomalacia, pigmentary incontinence and absence of inflammation (HEx20; HEx100).Figure 7. Trichotillomania. (a) and (b): Vertical sections. Distortion of the bulbar epithelium and trichomalacia (distortion of the hair shaft) (HEx40; HEx100). (c) and (d): Horizontal sections. Trichomalacia, pigmentary incontinence and absence of inflammation (HEx20; HEx100).
- E
-
- 1.
-
Clinical Findings:
- -
- Form of alopecia caused by the excessive use of inappropriate hair styling.
- -
- Hair loss occurs in areas that experience the most traction, especially the temples (frequently seen in African race).
- -
- With time it may transform into a cicatricial alopecia (known as follicular degeneration syndrome).
- 2.
-
Histological Features:
- -
- Similar to trichotillomania.
5.2. Scarring Alopecias [29]
5.3. Primary Scarring Alopecias [45,46]
5.4. Associated to Lymphocytic Infiltrate [49]
- A
-
- 1.
-
Clinical Presentation:
- -
- Affects approximately 50% of patients.
- -
- Middle-aged women, presenting as papules or erythematodesquamative plaques with associated pigmentary disorders, including hypo- and hyperpigmentation.
- -
- Follicular obliteration may occur.
- 2.
-
Histological Features (Figure 8):
- -
- Hyperkeratosis involving predominantly the infundibulum of the hair follicle.
- -
- Vacuolar interface dermatitis, primarily affecting the follicular epithelium and the dermoepidermal junction.
- -
- Presence of isolated Civatte's bodies [51].
- -
- Superficial and deep perivascular and periadnexal lymphocytic infiltrate.
- -
- Pigmentary incontinence.
- -
- Increased dermal mucin.
- -
- Immunofluorescence (IFD) testing reveals positive lupus band, characterized by granular deposits of IgG, IgM, and/or C3 at the dermoepidermal junction and follicular epithelium.
- -
- Orcein staining reveals elastic fiber destruction throughout the entire dermis (advanced stages).
- B
-
Lichen planopilaris (LPP)Term used to describe the manifestation of lichen planus that specifically affects the hair follicles. As mentioned earlier, it encompasses classic LPP, frontal fibrosing alopecia, and Graham Little syndrome, which share similar histological characteristics and are often challenging to differentiate. However, some authors argue that frontal fibrosing alopecia should be regarded as a distinct primary cicatricial alopecia due to its distinct clinical presentation, even though it shares histological features with classical LPP.[52,53]
- 1.
-
Clinical Presentation:
- -
- Atrophic plaques with perifollicular hyperkeratosis and erythema affecting middle-aged women more frequently than in men.
- 2.
-
Histological Features (Figure 9):
- -
- Hypergranulosis and infundibular hyperkeratosis.
- -
- Lichenoid interface dermatitis observed in the follicular epithelium, specifically the infundibulum and isthmus, as well as at the dermoepidermal junction.
- -
- Lymphocytic infiltration of the follicular epithelium.
- -
- Presence of abundant Civatte's bodies (necrotic keratinocytes) within the follicular epithelium, detectable through positive cytokeratin staining [51].
- -
- Concentric perifollicular fibrosis (advanced stages) with retraction clefts.
- -
- Orcein staining reveals a cradle cap scar centered around the follicle.
- -
- Immunofluorescence (IFD) testing is positive for IgM deposits in the follicular epithelium.
- -
- IFD: the abundant Civatte bodies are frequently positive for IgM.
NOTE: a lymphocytic perifollicular infiltrate can also be found in other types of alopecia (for example in androgenetic alopecia in up to 70% of cases).- 1.
-
Clinical Presentation:
- -
- Post-menopausal women but may be also seen in men and premenopausal women.
- -
- Regression of the frontemporal hairline and eyebrow loss.
- -
- Facial papules and in other body areas.
- 2.
-
Histological Features:
- -
- Similar to classic LPP.
- -
- -
- “Follicular triad”: simultaneous involvement of terminal hair follicles, intermediate follicles, and vellus follicles at various stages of the hair follicle cycle, a key finding during the initial phases of the disease. [64].
- -
- Adipose infiltration of the arrector pili muscle and displacement of the eccrine glands [65].
- 1.
-
Clinical Presentation:
- -
- Cicatricial alopecia of the scalp.
- -
- Presence of keratotic follicular papules on the trunk and extremities.
- -
- Reversible loss of pubic and/or axillary hair.
- 2.
-
Histological Features:
- -
- Similar to that of LPP and FFA.
B.4. Fibrosing alopecia in a pattern distribution (FAPD) [68]- 1.
-
Clinical Presentation:
- -
- Described by Zinkernagel an Trüeb in the year 2000 [69], considered as an exaggerated inflammatory response to hair follicles affected by androgenetic alopecia.
- -
- It exhibits characteristics of both androgenetic alopecia and LPP.
- -
- Primarily affects the androgen-dependent areas of the scalp while sparing areas that are androgen-independent, such as the occipital region.
- -
- Perifollicular hyperkeratosis, loss of follicular ostium, and variation in hair shaft diameter are seen. [70]
- 2.
-
Histological Features (Figure 10):
- -
- Increase in vellus index: hair follicle miniaturization.
- -
- Lymphocytic perifollicular infiltrate (isthmus and infundibulum) with lamellar concentric perifollicular fibrosis [70].
- C
-
Pseudopelade of Brocq [50]Pseudopelade of Brocq, described by Brocq in 1885 [71], remains a topic of debate as to whether it represents a distinct entity or signifies the non-inflammatory end stage of other primary cicatricial alopecias. For certain authors the diagnosis of this entity relies on excluding other primary cicatricial alopecias, such as LPP or cutaneous lupus [51].
- 1.
-
Clinical Features:
- -
- Middle aged women with small alopecic plaques with normal underlying skin. These plaques have irregular borders and are devoid of keratotic papules or perifollicular erythema.
- -
- Primarily affects the vertex and parietal areas of the scalp.
- 2.
-
Histological Features (Figure 11):
- -
- No definitive histological criteria have been described. No interface dermatitis is seen.
- -
- Concentric fibroplasia centered around the hair follicles.
- -
- Loss of sebaceous glands with preservation of the arrector pili muscle.
- -
- Granuloma formation around the naked hair follicles.
- -
- -
- IFD is negative.
- D
-
Descriptive term used to characterize scarring alopecias that originate in the vertex area and gradually progress in a centrifugal pattern, as described in the North American Hair Research Society (NAHRS) classification. This category encompasses various conditions, including follicular degeneration syndrome, pseudopelade in African Americans, and central elliptic pseudopelade in Caucasians [51]. Clinically, CCCA is distinct from pseudopelade of Brocq, but histologically, they share similarities.
- 1.
- Clinical Presentation: See definition. More commonly seen in Black race individuals.
- 2.
-
Histological Features (Figure 12):
- -
- -
- Perifollicular lymphocytic infiltrate around the superior portion of the hair follicle.
- -
- Lamellar fibroplasia with sebaceous gland loss.
- -
- Atrophy of the follicular wall.
- -
- Duplication of hair shafts.
- -
- Premature desquamation of the internal root sheath (Giemsa staining).
- -
- Orcein staining: similar to pseudopelade of Brocq.
- E
-
Inflammatory process of the pilosebaceous follicle characterized by mucin deposition in the follicular epithelium. There is an idiopathic primary form, which is considered a premalignant condition or an indolent form of mycosis fungoides. This form is typically observed in children and young adults. Additionally, there are secondary forms associated with cutaneous T-cell lymphoma, which are more common in older patients (approximately 30% of cases). In the primary form, the condition is usually self-limited but may result in permanent hair loss due to complete destruction of the follicle.
- 1.
-
Clinical Presentation:
- -
- Predominant involvement of the head and neck in the form of grouped papules with a follicular distribution, erythematous patches, and/or fluctuating plaques, especially in the primary forms found in children and young adults [51].
- -
- Numerous lesions on the trunk and extremities can be seen in secondary forms and older patients.
- 2.
-
Histological Features (Figure 13):
- -
- Follicular mucinosis: Mucin deposition initially affects the external root sheath and the infundibulum of the hair follicle [51]. In later stages, the entire hair follicle and sebaceous glands may be involved.
- -
- Lymphocytic infiltrate: There is a presence of lymphocytic infiltrate both peri and intrafollicularly.
- -
- Cytological atypia and monoclonal rearrangement in idiopathic and secondary forms.
- F
-
Keratosis follicularis spinulosa decalvans (KFSD) [80]X-linked genodermatosis characterized by widespread cicatricial alopecia, which affects various areas such as the scalp, eyebrows, eyelashes, and axillae. In addition to alopecia, individuals with KFSD may experience other associated symptoms such as photophobia and keratoderma.
- 1.
-
Clinical Presentation:
- -
- Alopecic patches with follicular papules with hyperkeratosis and pustules.
- 2.
-
Histological Features [51] :
- -
- Abnormal keratinization with hypergranulosis and compact hyperkeratosis affecting the infundibulum, followed by spongiosis and neutrophilic infiltrate.
- -
- In later stages a chronic lymphocytic inflammation and fibrosis with a perifollicular distribution is observed
- -
- In the final stages, destruction of the hair follicle with fibrosis and tricogranulomas can be observed.
5.5. Lichenoid Folliculitis
5.6. Associated to Neutrophilic Inflammation
- A
-
Suppurative destructive folliculitis.
- 1.
-
Clinical Features:
- -
- Typically presents as alopecic patches with follicular pustules predominantly seen along the active borders.
- -
- More frequently around the crown, but it can also involve other regions such as the beard, axilla, pubic area, arms, and legs.
- -
- Tufting is frequent, where multiple hairs emerge from a single hair follicle.
- 2.
-
Histological Features (Figure 14):
- -
- Infundibular dilation with peri- and intrafollicular neutrophilic infiltrate in early stages.
- -
- Polymorphous infiltrate in advanced stages (lymphocytes, plasma cells, histiocytes and multinucleated giant cells).
- -
- Follicular loss and scarring.
- -
- Naked hair shafts.
- -
- Negative fungal stains (PAS, Grocott).
- -
- Involvement of the interfollicular dermis.
5.7. Mixed Primary Cicatricial Alopecias
5.8. Secondary Scarring Alopecia [83]
- A
-
Tinea capitis [84]Fungal infection of the scalp that is predominantly seen in children. It is highly contagious and can spread rapidly, leading to epidemics in certain settings. The infection is commonly caused by two types of fungi: Trichophyton tonsurans (endothrix) and Microsporum canis (ectothrix).
- 1.
-
Clinical Features:
- -
- Common features include scaling, erythema (redness), and hair loss in the affected areas of the scalp.
- -
- Hair may appear brittle and broken, and there may be evidence of inflammation and crusting.
- 2.
-
Histological Features (figure 15):
- -
- Endothrix: fungi are found inside the hair shaft.
- -
- Ectothrix: fungi are seen around the hair shaft.
- -
- Polymorphous inflammatory infiltrate.
- -
- Damage of the follicular epithelium.
- -
- Positive fungal stains (PAS, Grocott).

5.9. Multifactorial Alopecias
6. Algorithms
7. Conclusions
References
- Triantafyllidi, H.; Grafakos, A.; Ikonomidis, I.; Pavlidis, G.; Trivilou, P.; Schoinas, A.; Lekakis, J. Severity of Alopecia Predicts Coronary Changes and Arterial Stiffness in Untreated Hypertensive Men. J Clin Hypertens (Greenwich) 2017, 19, 51–57. https://doi.org/10.1111/jch.12871. [CrossRef]
- He, H.; Xie, B.; Xie, L. Male Pattern Baldness and Incidence of Prostate Cancer: A Systematic Review and Meta-Analysis. Medicine (Baltimore) 2018, 97, e11379. https://doi.org/10.1097/MD.0000000000011379. [CrossRef]
- Goren, A.; Vaño-Galván, S.; Wambier, C.G.; McCoy, J.; Gomez-Zubiaur, A.; Moreno-Arrones, O.M.; Shapiro, J.; Sinclair, R.D.; Gold, M.H.; Kovacevic, M.; et al. A Preliminary Observation: Male Pattern Hair Loss among Hospitalized COVID-19 Patients in Spain - A Potential Clue to the Role of Androgens in COVID-19 Severity. J Cosmet Dermatol 2020, 19, 1545–1547. https://doi.org/10.1111/jocd.13443. [CrossRef]
- Nguyen, B.; Tosti, A. Alopecia in Patients with COVID-19: A Systematic Review and Meta-Analysis. JAAD Int 2022, 7, 67–77. https://doi.org/10.1016/j.jdin.2022.02.006. [CrossRef]
- Buffoli, B.; Rinaldi, F.; Labanca, M.; Sorbellini, E.; Trink, A.; Guanziroli, E.; Rezzani, R.; Rodella, L.F. The Human Hair: From Anatomy to Physiology. Int J Dermatol 2014, 53, 331–341. https://doi.org/10.1111/ijd.12362. [CrossRef]
- Bernárdez, C.; Molina-Ruiz, A.M.; Requena, L. Histopatología de las alopecias. Parte I: alopecias no cicatriciales. Actas Dermo-Sifiliográficas 2015, 106, 158–167. https://doi.org/10.1016/j.ad.2014.07.006. [CrossRef]
- Koch, S.L.; Tridico, S.R.; Bernard, B.A.; Shriver, M.D.; Jablonski, N.G. The Biology of Human Hair: A Multidisciplinary Review. Am J Hum Biol 2020, 32, e23316. https://doi.org/10.1002/ajhb.23316. [CrossRef]
- Park, A.M.; Khan, S.; Rawnsley, J. Hair Biology: Growth and Pigmentation. Facial Plast Surg Clin North Am 2018, 26, 415–424. https://doi.org/10.1016/j.fsc.2018.06.003. [CrossRef]
- Moreno, C.; Requena, C.; Requena, L. Embriología, Histología y Fisiología Del Foliculo Piloso. In Neoplasias anexiales cutáneas; Aula Médica Ed.: Madrid, 2004; pp. 185–201.
- Restrepo, R.; Calonje, E. E. Diseases of the Hair. In McKee’s Pathology of the Skin with Clinical Correlations.; Elsevier: London, 2012; Vol. 22, pp. 967–1050.
- Ackerman, AB. An Algorithmic Method Based on Pattern Analysis. In Histologic diagnosis of inflammatory skin diseases; Ardor Scribendi: New York, USA, 2005.
- Hordinsky, M. Scarring Alopecia: Diagnosis and New Treatment Options. Dermatol Clin 2021, 39, 383–388. https://doi.org/10.1016/j.det.2021.05.001. [CrossRef]
- Elston, D.M.; McCollough, M.L.; Angeloni, V.L. Vertical and Transverse Sections of Alopecia Biopsy Specimens: Combining the Two to Maximize Diagnostic Yield. Journal of the American Academy of Dermatology 1995, 32, 454–457. https://doi.org/10.1016/0190-9622(95)90068-3. [CrossRef]
- Elston, D.M.; Ferringer, T.; Dalton, S.; Fillman, E.; Tyler, W. A Comparison of Vertical versus Transverse Sections in the Evaluation of Alopecia Biopsy Specimens. J Am Acad Dermatol 2005, 53, 267–272. https://doi.org/10.1016/j.jaad.2005.03.007. [CrossRef]
- Stefanato, C.M. Histopathology of Alopecia: A Clinicopathological Approach to Diagnosis. Histopathology 2010, 56, 24–38. https://doi.org/10.1111/j.1365-2559.2009.03439.x. [CrossRef]
- Trachsler, S.; Trueb, R.M. Value of Direct Immunofluorescence for Differential Diagnosis of Cicatricial Alopecia. Dermatology 2005, 211, 98–102. https://doi.org/10.1159/000086436. [CrossRef]
- Headington, J.T. Transverse Microscopic Anatomy of the Human Scalp. A Basis for a Morphometric Approach to Disorders of the Hair Follicle. Arch Dermatol 1984, 120, 449–456.
- Frishberg, D.P.; Sperling, L.C.; Guthrie, V.M. Transverse Scalp Sections: A Proposed Method for Laboratory Processing. J Am Acad Dermatol 1996, 35, 220–222. https://doi.org/10.1016/s0190-9622(96)90328-x. [CrossRef]
- LaSenna, C.; Miteva, M. Special Stains and Immunohistochemical Stains in Hair Pathology. Am J Dermatopathol 2016, 38, 327–337. https://doi.org/10.1097/DAD.0000000000000418. [CrossRef]
- Fung, M.A.; Sharon, V.R.; Ratnarathorn, M.; Konia, T.H.; Barr, K.L.; Mirmirani, P. Elastin Staining Patterns in Primary Cicatricial Alopecia. J Am Acad Dermatol 2013, 69, 776–782. https://doi.org/10.1016/j.jaad.2013.07.018. [CrossRef]
- Miteva, M.; Tosti, A. Polarized Microscopy as a Helpful Tool to Distinguish Chronic Nonscarring Alopecia from Scarring Alopecia. Arch Dermatol 2012, 148, 91–94. https://doi.org/10.1001/archdermatol.2011.344. [CrossRef]
- Kolivras, A.; Thompson, C. Primary Scalp Alopecia: New Histopathological Tools, New Concepts and a Practical Guide to Diagnosis. J Cutan Pathol 2017, 44, 53–69. https://doi.org/10.1111/cup.12822. [CrossRef]
- Kamyab, K.; Rezvani, M.; Seirafi, H.; Mortazavi, S.; Teymourpour, A.; Abtahi, S.; Nasimi, M. Distinguishing Immunohistochemical Features of Alopecia Areata from Androgenic Alopecia. J Cosmet Dermatol 2019, 18, 422–426. https://doi.org/10.1111/jocd.12677. [CrossRef]
- Fening, K.; Parekh, V.; McKay, K. CD123 Immunohistochemistry for Plasmacytoid Dendritic Cells Is Useful in the Diagnosis of Scarring Alopecia. J Cutan Pathol 2016, 43, 643–648. https://doi.org/10.1111/cup.12725. [CrossRef]
- Krishnamurthy, S.; Tirumalae, R.; Inchara, Y.K. Plasmacytoid Dendritic Cell Marker (CD123) Expression in Scarring and Non-Scarring Alopecia. J Cutan Aesthet Surg 2022, 15, 179–182. https://doi.org/10.4103/JCAS.JCAS_126_19. [CrossRef]
- Nguyen, J.V.; Hudacek, K.; Whitten, J.A.; Rubin, A.I.; Seykora, J.T. The HoVert Technique: A Novel Method for the Sectioning of Alopecia Biopsies. J Cutan Pathol 2011, 38, 401–406. https://doi.org/10.1111/j.1600-0560.2010.01669.x. [CrossRef]
- Wain, E.M.; Stefanato, C.M. Four Millimetres: A Variable Measurement? Br J Dermatol 2007, 156, 404. https://doi.org/10.1111/j.1365-2133.2006.07663.x. [CrossRef]
- Adams, L.; Amphlett, A.; Gardette, E.; Deroide, F.; Jones, J. The Modified HoVert (MHoVert) Method Improves Diagnostic Certainty Compared to the St John’s Protocol for Alopecia Biopsy Specimens: A Retrospective Single Center Study. J Cutan Pathol 2023. https://doi.org/10.1111/cup.14447. [CrossRef]
- Sellheyer, K.; Bergfeld, W.F. Histopathologic Evaluation of Alopecias. Am J Dermatopathol 2006, 28, 236–259. https://doi.org/10.1097/00000372-200606000-00051. [CrossRef]
- Price, V.H. Androgenetic Alopecia in Women. J Investig Dermatol Symp Proc 2003, 8, 24–27. https://doi.org/10.1046/j.1523-1747.2003.12168.x. [CrossRef]
- Sehgal, V.N.; Aggarwal, A.K.; Srivastava, G.; Rajput, P. Male Pattern Androgenetic Alopecia. Skinmed 2006, 5, 128–135. https://doi.org/10.1111/j.1540-9740.2006.05338.x. [CrossRef]
- Piraccini, B.M.; Alessandrini, A. Androgenetic Alopecia. G Ital Dermatol Venereol 2014, 149, 15–24.
- Rebora, A. Telogen Effluvium: A Comprehensive Review. Clin Cosmet Investig Dermatol 2019, 12, 583–590. https://doi.org/10.2147/CCID.S200471. [CrossRef]
- Werner, B.; Mulinari-Brenner, F. Clinical and Histological Challenge in the Differential Diagnosis of Diffuse Alopecia: Female Androgenetic Alopecia, Telogen Effluvium and Alopecia Areata - Part I. An Bras Dermatol 2012, 87, 742–747. https://doi.org/10.1590/s0365-05962012000500012. [CrossRef]
- Zhou, C.; Li, X.; Wang, C.; Zhang, J. Alopecia Areata: An Update on Etiopathogenesis, Diagnosis, and Management. Clin Rev Allergy Immunol 2021, 61, 403–423. https://doi.org/10.1007/s12016-021-08883-0. [CrossRef]
- Pratt, C.H.; King, L.E.; Messenger, A.G.; Christiano, A.M.; Sundberg, J.P. Alopecia Areata. Nat Rev Dis Primers 2017, 3, 17011. https://doi.org/10.1038/nrdp.2017.11. [CrossRef]
- Simakou, T.; Butcher, J.P.; Reid, S.; Henriquez, F.L. Alopecia Areata: A Multifactorial Autoimmune Condition. J Autoimmun 2019, 98, 74–85. https://doi.org/10.1016/j.jaut.2018.12.001. [CrossRef]
- Hautmann, G.; Hercogova, J.; Lotti, T. Trichotillomania. J Am Acad Dermatol 2002, 46, 807–821; quiz 822–826. https://doi.org/10.1067/mjd.2002.122749. [CrossRef]
- Thakur, B.K.; Verma, S.; Raphael, V.; Khonglah, Y. Extensive Tonsure Pattern Trichotillomania-Trichoscopy and Histopathology Aid to the Diagnosis. Int J Trichology 2013, 5, 196–198. https://doi.org/10.4103/0974-7753.130400. [CrossRef]
- Muller, S.A. Trichotillomania: A Histopathologic Study in Sixty-Six Patients. J Am Acad Dermatol 1990, 23, 56–62. https://doi.org/10.1016/0190-9622(90)70186-l. [CrossRef]
- Donovan, J.C.; Mirmirani, P. Transversely Sectioned Biopsies in the Diagnosis of End-Stage Traction Alopecia. Dermatol Online J 2013, 19, 11.
- Ngwanya, R.M.; Adeola, H.A.; Beach, R.A.; Gantsho, N.; Walker, C.L.; Pillay, K.; Prokopetz, R.; Gumedze, F.; Khumalo, N.P. Reliability of Histopathology for the Early Recognition of Fibrosis in Traction Alopecia: Correlation with Clinical Severity. Dermatopathology (Basel) 2019, 6, 170–181. https://doi.org/10.1159/000500509. [CrossRef]
- Samrao, A.; Mirmirani, P. Postpartum Telogen Effluvium Unmasking Traction Alopecia. Skin Appendage Disord 2022, 8, 328–332. https://doi.org/10.1159/000521705. [CrossRef]
- Olsen, E.A.; Bergfeld, W.F.; Cotsarelis, G.; Price, V.H.; Shapiro, J.; Sinclair, R.; Solomon, A.; Sperling, L.; Stenn, K.; Whiting, D.A.; et al. Summary of North American Hair Research Society (NAHRS)-Sponsored Workshop on Cicatricial Alopecia, Duke University Medical Center, February 10 and 11, 2001. J Am Acad Dermatol 2003, 48, 103–110. https://doi.org/10.1067/mjd.2003.68. [CrossRef]
- Uchiyama, M. Primary Cicatricial Alopecia: Recent Advances in Evaluation and Diagnosis Based on Trichoscopic and Histopathological Observation, Including Overlapping and Specific Features. J Dermatol 2022, 49, 37–54. https://doi.org/10.1111/1346-8138.16252. [CrossRef]
- Somani, N.; Bergfeld, W.F. Cicatricial Alopecia: Classification and Histopathology. Dermatol Ther 2008, 21, 221–237. https://doi.org/10.1111/j.1529-8019.2008.00203.x. [CrossRef]
- Tan, T.; Guitart, J.; Gerami, P.; Yazdan, P. Eccrine Duct Dilation as a Marker of Cicatricial Alopecia. Am J Dermatopathol 2017, 39, 668–671. https://doi.org/10.1097/DAD.0000000000000747. [CrossRef]
- Tan, T.L.; Doytcheva, K.; Guitart, J.; Gerami, P.; Yazdan, P. Dilation of Multiple Eccrine Ducts as a Highly Specific Marker for Cicatricial Alopecia. Am J Dermatopathol 2019, 41, 871–878. https://doi.org/10.1097/DAD.0000000000001396. [CrossRef]
- Bolduc, C.; Sperling, L.C.; Shapiro, J. Primary Cicatricial Alopecia: Lymphocytic Primary Cicatricial Alopecias, Including Chronic Cutaneous Lupus Erythematosus, Lichen Planopilaris, Frontal Fibrosing Alopecia, and Graham-Little Syndrome. J Am Acad Dermatol 2016, 75, 1081–1099. https://doi.org/10.1016/j.jaad.2014.09.058. [CrossRef]
- Sperling, L.C.; Cowper, S.E. The Histopathology of Primary Cicatricial Alopecia. Semin Cutan Med Surg 2006, 25, 41–50. https://doi.org/10.1016/j.sder.2006.01.006. [CrossRef]
- Bernárdez, C.; Molina-Ruiz, A.M.; Requena, L. Histopatología de las alopecias. Parte II: alopecias cicatriciales. Actas Dermo-Sifiliográficas 2015, 106, 260–270. https://doi.org/10.1016/j.ad.2014.06.016. [CrossRef]
- Vañó-Galván, S.; Saceda-Corralo, D.; Moreno-Arrones, Ó.M.; Camacho-Martinez, F.M. Updated Diagnostic Criteria for Frontal Fibrosing Alopecia. J Am Acad Dermatol 2018, 78, e21–e22. https://doi.org/10.1016/j.jaad.2017.08.062. [CrossRef]
- Poblet, E.; Jiménez, F.; Pascual, A.; Piqué, E. Frontal Fibrosing Alopecia versus Lichen Planopilaris: A Clinicopathological Study. Int J Dermatol 2006, 45, 375–380. https://doi.org/10.1111/j.1365-4632.2006.02507.x. [CrossRef]
- Esteban-Lucía, L.; Molina-Ruiz, A.M.; Requena, L. Update on Frontal Fibrosing Alopecia. Actas Dermosifiliogr 2017, 108, 293–304. https://doi.org/10.1016/j.ad.2016.11.012. [CrossRef]
- Porriño-Bustamante, M.L.; Fernández-Pugnaire, M.A.; Arias-Santiago, S. Frontal Fibrosing Alopecia: A Review. J Clin Med 2021, 10, 1805. https://doi.org/10.3390/jcm10091805. [CrossRef]
- Chew, A.-L.; Bashir, S.J.; Wain, E.M.; Fenton, D.A.; Stefanato, C.M. Expanding the Spectrum of Frontal Fibrosing Alopecia: A Unifying Concept. J Am Acad Dermatol 2010, 63, 653–660. https://doi.org/10.1016/j.jaad.2009.09.020. [CrossRef]
- Porriño-Bustamante, M.L.; Montero-Vílchez, T.; Pinedo-Moraleda, F.J.; Fernández-Flores, Á.; Fernández-Pugnaire, M.A.; Arias-Santiago, S. Frontal Fibrosing Alopecia and Sunscreen Use: A Cross-Sectional Study of Actinic Damage. Acta Derm Venereol 2022, 102, adv00757. https://doi.org/10.2340/actadv.v102.306. [CrossRef]
- Porriño-Bustamante, M.L.; Pinedo-Moraleda, F.J.; Fernández-Flores, Á.; Montero-Vílchez, T.; Fernández-Pugnaire, M.A.; Arias-Santiago, S. Frontal Fibrosing Alopecia: A Histopathological Comparison of the Frontal Hairline with Normal-Appearing Scalp. J Clin Med 2022, 11, 4121. https://doi.org/10.3390/jcm11144121. [CrossRef]
- Donati, A.; Molina, L.; Doche, I.; Valente, N.S.; Romiti, R. Facial Papules in Frontal Fibrosing Alopecia: Evidence of Vellus Follicle Involvement. Arch Dermatol 2011, 147, 1424–1427. https://doi.org/10.1001/archdermatol.2011.321. [CrossRef]
- López-Pestaña, A.; Tuneu, A.; Lobo, C.; Ormaechea, N.; Zubizarreta, J.; Vildosola, S.; Del Alcazar, E. Facial Lesions in Frontal Fibrosing Alopecia (FFA): Clinicopathological Features in a Series of 12 Cases. J Am Acad Dermatol 2015, 73, 987.e1-6. https://doi.org/10.1016/j.jaad.2015.08.020. [CrossRef]
- Rakhshan, A.; Momenpour, N.; Dadkhahfar, S.; Gheisari, M. Histopathological and Immunohistochemical Features of Facial Papules in Frontal Fibrosing Alopecia. Clin Exp Dermatol 2021, 46, 1248–1254. https://doi.org/10.1111/ced.14670. [CrossRef]
- Fernandez-Flores, A.; Manjón, J.A. Histopathology of Keratotic Papules of the Limbs in Frontal Fibrosing Alopecia. J Cutan Pathol 2016, 43, 468–471. https://doi.org/10.1111/cup.12691. [CrossRef]
- Miteva, M. Frontal Fibrosing Alopecia Involving the Limbs Shows Inflammatory Pattern on Histology: A Review of 13 Cases. Am J Dermatopathol 2020, 42, 226–229. https://doi.org/10.1097/DAD.0000000000001500. [CrossRef]
- Miteva, M.; Tosti, A. The Follicular Triad: A Pathological Clue to the Diagnosis of Early Frontal Fibrosing Alopecia. British Journal of Dermatology 2012, 166, 440–442. https://doi.org/10.1111/j.1365-2133.2011.10533.x. [CrossRef]
- Miteva, M.; Castillo, D.; Sabiq, S. Adipose Infiltration of the Dermis, Involving the Arrector Pili Muscle, and Dermal Displacement of Eccrine Sweat Coils: New Histologic Observations in Frontal Fibrosing Alopecia. Am J Dermatopathol 2019, 41, 492–497. https://doi.org/10.1097/DAD.0000000000001349. [CrossRef]
- Srivastava, M.; Mikkilineni, R.; Konstadt, J. Lassueur-Graham-Little-Piccardi Syndrome. Dermatol Online J 2007, 13, 12.
- László, F.G. Graham-Little-Piccardi-Lasseur Syndrome: Case Report and Review of the Syndrome in Men. Int J Dermatol 2014, 53, 1019–1022. https://doi.org/10.1111/j.1365-4632.2012.05672.x. [CrossRef]
- Jerjen, R.; Pinczewski, J.; Sinclair, R.; Bhoyrul, B. Clinicopathological Characteristics and Treatment Outcomes of Fibrosing Alopecia in a Pattern Distribution: A Retrospective Cohort Study. J Eur Acad Dermatol Venereol 2021, 35, 2440–2447. https://doi.org/10.1111/jdv.17604. [CrossRef]
- Zinkernagel, M.S.; Trüeb, R.M. Fibrosing Alopecia in a Pattern Distribution: Patterned Lichen Planopilaris or Androgenetic Alopecia with a Lichenoid Tissue Reaction Pattern? Arch Dermatol 2000, 136, 205–211. https://doi.org/10.1001/archderm.136.2.205. [CrossRef]
- Griggs, J.; Trüeb, R.M.; Gavazzoni Dias, M.F.R.; Hordinsky, M.; Tosti, A. Fibrosing Alopecia in a Pattern Distribution. J Am Acad Dermatol 2021, 85, 1557–1564. https://doi.org/10.1016/j.jaad.2019.12.056. [CrossRef]
- Brocq, L. Alopecia. J Cutan Vener Dis 1885, 3, 49–50.
- Silvers, D.N.; Katz, B.E.; Young, A.W. Pseudopelade of Brocq Is Lichen Planopilaris: Report of Four Cases That Support This Nosology. Cutis 1993, 51, 99–105.
- Amato, L.; Mei, S.; Massi, D.; Gallerani, I.; Fabbri, P. Cicatricial Alopecia; a Dermatopathologic and Immunopathologic Study of 33 Patients (Pseudopelade of Brocq Is Not a Specific Clinico-Pathologic Entity). Int J Dermatol 2002, 41, 8–15. https://doi.org/10.1046/j.1365-4362.2002.01331.x. [CrossRef]
- Baeza-Hernández, G.; Jaquero-Valero, M.I.; Rubio-Aguilera, R.F.; Araya-Umaña, L.C.; Horcajada-Reales, C.; Moreno-Torres, A. Elastic Stain in Pseudopelade of Brocq: A Helpful Histopathological Diagnostic Clue. Dermatol Pract Concept 2023, 13, e2023088. https://doi.org/10.5826/dpc.1302a88. [CrossRef]
- Roche, F.C.; Fischer, A.S.; Williams, D.; Ogunleye, T.; Seykora, J.T.; Taylor, S.C. Central Centrifugal Cicatricial Alopecia: Histologic Progression Correlates with Advancing Age. J Am Acad Dermatol 2022, 86, 178–179. https://doi.org/10.1016/j.jaad.2021.01.028. [CrossRef]
- Sun, C.W.; Motaparthi, K.; Hsu, S. Central Centrifugal Cicatricial Alopecia and Lichen Planopilaris Can Look Identical on Histopathology. Skinmed 2020, 18, 365–366.
- Hooper, K.K.; Smoller, B.R.; Brown, J.A. Idiopathic Follicular Mucinosis or Mycosis Fungoides? Classification and Diagnostic Challenges. Cutis 2015, 95, E9–E14.
- Khalil, J.; Kurban, M.; Abbas, O. Follicular Mucinosis: A Review. Int J Dermatol 2021, 60, 159–165. https://doi.org/10.1111/ijd.15165. [CrossRef]
- Vignon-Pennamen, M.-D.; Groupe d’histopathologie cutanée de la Société franc¸aise de dermatologie [Follicular mucinosis]. Ann Dermatol Venereol 2011, 138, 707–709. https://doi.org/10.1016/j.annder.2011.02.001. [CrossRef]
- Bellet, J.S.; Kaplan, A.L.; Selim, M.A.; Olsen, E.A. Keratosis Follicularis Spinulosa Decalvans in a Family. J Am Acad Dermatol 2008, 58, 499–502. https://doi.org/10.1016/j.jaad.2007.03.028. [CrossRef]
- Uchiyama, M.; Harada, K.; Tobita, R.; Irisawa, R.; Tsuboi, R. Histopathologic and Dermoscopic Features of 42 Cases of Folliculitis Decalvans: A Case Series. J Am Acad Dermatol 2021, 85, 1185–1193. https://doi.org/10.1016/j.jaad.2020.03.092. [CrossRef]
- Rossi, A.; Garelli, V.; Muscianese, M.; Pranteda, G.; Caro, G.; D’Arino, A.; Fortuna, M.C. Clinical and Trichoscopic Correlation of Primary Neutrophilic Scarring Alopecia: Folliculitis Decalvans and Dissecting Cellulitis. G Ital Dermatol Venereol 2020, 155, 506–508. https://doi.org/10.23736/S0392-0488.18.06027-3. [CrossRef]
- Nanda, S.; De Bedout, V.; Miteva, M. Alopecia as a Systemic Disease. Clin Dermatol 2019, 37, 618–628. https://doi.org/10.1016/j.clindermatol.2019.07.026. [CrossRef]
- Elmas, Ö.F.; Durdu, M. Histopathology in the Diagnosis of Tinea Capitis: When to Do, How to Interpret? Mycopathologia 2023. https://doi.org/10.1007/s11046-023-00711-7. [CrossRef]
- Wohltmann, W.E.; Sperling, L. Histopathologic Diagnosis of Multifactorial Alopecia. J Cutan Pathol 2016, 43, 483–491. https://doi.org/10.1111/cup.12698. [CrossRef]
- Eudy, G.; Solomon, A.R. The Histopathology of Noncicatricial Alopecia. Semin Cutan Med Surg 2006, 25, 35–40. https://doi.org/10.1016/j.sder.2006.01.005. [CrossRef]
- Kanti, V.; Röwert-Huber, J.; Vogt, A.; Blume-Peytavi, U. Cicatricial Alopecia. J Dtsch Dermatol Ges 2018, 16, 435–461. https://doi.org/10.1111/ddg.13498. [CrossRef]











Disclaimer/Publisher’s Note: The statements, opinions and data contained in all publications are solely those of the individual author(s) and contributor(s) and not of MDPI and/or the editor(s). MDPI and/or the editor(s) disclaim responsibility for any injury to people or property resulting from any ideas, methods, instructions or products referred to in the content. |
© 2023 by the authors. Licensee MDPI, Basel, Switzerland. This article is an open access article distributed under the terms and conditions of the Creative Commons Attribution (CC BY) license (http://creativecommons.org/licenses/by/4.0/).
