Preprint
Review

This version is not peer-reviewed.

The Unmet Diagnostic and Treatment Needs in Large Cell Neuroendocrine Carcinoma of the Lung

A peer-reviewed article of this preprint also exists.

Submitted:

03 July 2023

Posted:

04 July 2023

You are already at the latest version

Abstract
Currently, large cell neuroendocrine carcinoma of the lung (LCNEC) is classified as a rare lung cancer subtype, but given the high incidence of lung cancer, the overall number of cases is considerable. The pathologic diagnosis is based on the microscopic appearance of the tumor cells, the amount of intra-tumoral necrosis, the mitotic rate, and the presence of positive neuroendocrine markers identified by immunohistochemistry. Recently, a subdivision into two main categories was proposed based on mutation signatures involving the RB1, TP53, KRAS, and STK11/LKB1 genes, into SCLC-like (small cell lung cancer-like) and NSCLC-like (non-small cell lung cancer-like) LCNEC. In terms of treatment, surgery remains the best option for resectable, stage I–IIIA cases. Chemotherapy and radiotherapy have conflicting evidence. Etoposide/platinum remains the standard chemotherapy regimen. However, based on the newly proposed LCNEC subtypes, some retrospective series report better outcomes using a pathology-driven chemotherapy approach. Encouraging outcomes have also been reported for immunotherapy and targeted therapy, but the real impact of these strategies is still being determined in the absence of adequate prospective clinical trials. The current paper scrutinizes the epidemiology, reviews the reliability of pathologic diagnosis, discusses the need for molecular subtyping, and reviews the heterogeneity of treatment algorithms in LCNEC.
Keywords: 
;  ;  ;  ;  ;  ;  

1. Introduction

LCNEC usually presents clinically and radiologically in a similar was to non-small cell lung cancer (NSCLC), as a peripheral lesion in the lung, with infrequent symptoms including cough, hemoptysis, pneumonia, though it is sometimes asymptomatic. Paraneoplastic syndromes are less common. LCNEC does not produce peptides as frequently as small cell lung carcinoma (SCLC). Sixty to 80% of cases initially present with lymph node metastases and approximately 40% present with distant metastases, the most frequent site being the liver. About 50% of the patients diagnosed with LCNEC present with operable disease. The prognosis is poor, as the 5-year survival is about 35% for all stages, almost overlapping the survival curves of SCLC. Even for early-stage disease, the recurrence rate is high, and the overall survival is shorter than in the NSCLC subtypes [1,2,3].

2. Is LCNEC a Rare Type of Cancer?

LCNEC is a rare type of lung cancer, but given the high incidence of lung cancer, the overall number of cases of LCNEC is considerable.
LCNEC accounts for approximately 3% of resected lung carcinomas and is found primarily in older males aged >65 years (M:F=17:1), with more than 90% being heavy smokers. Therefore, smoking is the leading documented risk factor for LCNEC, and its mutation signature is strongly associated with smoking, characterized by G>T and C>A transversions. The high exonic mutation signature of LCNEC (8.6 non-synonymous mutations per one million bp) and high tumor mutation burden (TMB) further supports its strong relationship with smoking. Recent epidemiological studies have shown an increase in the incidence of LCNEC which is likely related to better pathologic diagnosis. There are approximately 1000–1500 new cases annually in the UK (out of the 46,000 new lung cancer cases) and approximately 4500–7000 in the USA (out of the 229,000 new lung cancer cases in 2018). The American Cancer Society estimated there were about 236,740 new lung cancer cases in 2022, which allowed the recruitment of LCNEC patients into specific clinical trials [2,3,4].

3. Pathologic Diagnosis of LCNEC and Its Limitations

In the latest World Health Organization (WHO) Classification of Thoracic Tumors (2021), there are four major types of neuroendocrine tumors of the lung: carcinoid, atypical carcinoid, SCLC, and LCNEC. Tumorlets and diffuse idiopathic pulmonary neuroendocrine cell hyperplasia (DIPNECH) are listed as pre-neoplastic lesions in this classification. Carcinoid, atypical carcinoid, small cell carcinoma (SCLC), and large cell neuroendocrine carcinoma (LCNEC) do not represent a continuum, and the carcinoids (typical or atypical), while biologically related, are epidemiologically and molecularly distinct from the more aggressive SCLC and LCNEC [5].
The WHO’s proposed defining criteria for LCNEC remain the same today as their introduction in 1991, classifying LCNEC of the lung as a neuroendocrine carcinoma with an SCLC clinical phenotype (aggressive behavior, high recurrence rate following definitive local treatment, and similar metastatic pattern). The histology is challenging and usually requires the examination of a resection specimen for a definitive diagnosis, as the WHO recommends. Therefore, the diagnosis is seldom made in advanced disease. The increasing need for larger samples for molecular studies involving lung cancer patients has allowed for more LCNECs to be diagnosed in smaller samples and at advanced stages. LCNEC cells are typically more than three times the diameter of small lymphocytes, but cell size is just one of the morphologic criteria used in differentiating LCNEC from SCLC, despite their names [1,2,5].
On conventionally stained slides (hematoxylin and eosin), some specific morphologic characteristics are required to diagnose a neuroendocrine neoplasm. The characteristic neuroendocrine architecture with various organoid growth patterns (rosette, palisading, ribbons, festoons, trabeculae) is usually observed at a low power magnification. At a higher power, the nuclear details are also highly suggestive of neuroendocrine differentiation, with finely granular, speckled chromatin (“salt and pepper”), and often with vesicular nuclear chromatin and nucleoli. Cellular pleomorphic and cytological atypia vary among the lung's four NET, but are not distinguishable enough. The significant diagnosis determinants which, by the WHO definition, separate these entities are the presence and amount of necrosis and the number of mitoses. For instance, in LCNEC, extensive necrosis is often present in confluent areas, and a median of >70 mitoses/2 mm2 is typical, although the WHO definition requires a mitotic count of only >10 mitosis/2 mm2. Neuroendocrine markers by immunohistochemistry (synaptophysin, chromogranin A, CD56) are required by definition for the diagnosis of LCNEC. There are several new immunohistochemical stains for neuroendocrine differentiation, such as Insulinoma-associated protein 1 (INSM1) and Achaete-scute homolog-1 (ASCL-1), which have been described as markers with nuclear expression. The sensitivity and specificity of INSM1 for diagnosing lung NETs are excellent, and thus it is often used in clinical practice [6,7].
The primary differential diagnosis for LCNEC is SCLC and atypical carcinoid. The similar neuroendocrine features and biomarker expression makes the differentiation between SCLC and LCNEC challenging, the latter being distinguished mainly by subtle morphologic features. No genetic or immunohistochemical marker can reliably differentiate between LCNEC and SCLC. Abundant cytoplasm and/or the presence of nucleoli favor the LCNEC diagnosis. In addition, a cell size larger than 25 microns (µm) strongly suggests LCNEC. Loss of expression of the Retinoblastoma gene-1 (RB1) is helpful in equivocal cases, as RB1 is lost in more than 95% of SCLCs and only in approximately 50% of LCNECs, but this immunostain is rarely used clinically. Areas of extensive necrosis, prominent mitotic activity, and a higher Ki67 are the main criteria to distinguish LCNEC from atypical carcinoids. However, the diagnosis is often impossible in small samples with borderline Ki67 of >25%, as seen in the newer entity of “supracarcinoids” [1,3,8]. Such tumors, with a mildly elevated mitotic count, are relatively common in metastatic settings and are only rarely encountered in samples from primary lung tumors. Paraneoplastic syndromes are frequently associated with SCLC and uncommonly seen in carcinoids, but they are rare in AC and LCNEC. LCNECs are mixed tumors in up to 20% of cases, and show a small-cell (SCLC) or non-small cell lung cancer (NSCLC) component.
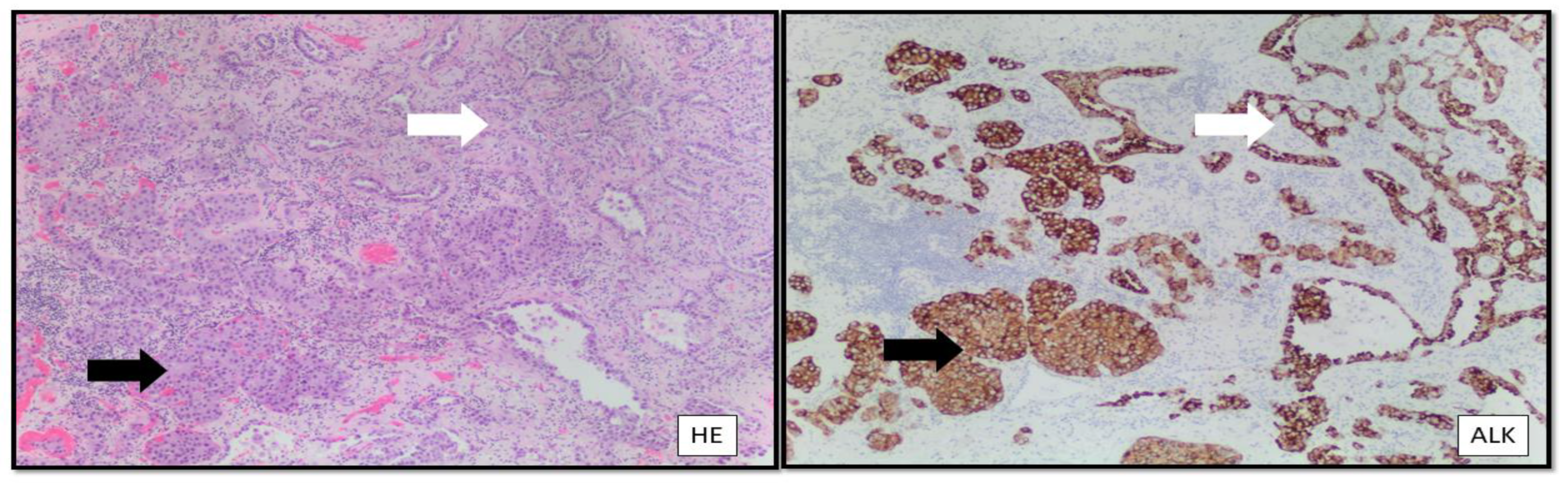
LCNEC needs to be distinguished from solid-type adenocarcinoma (Figure 1), which in 10–20% of cases may express an isolated neuroendocrine marker (no more than one), as compared with at least two IHC neuroendocrine markers in the majority of LCNEC cases. No prognostic or therapeutic relevance is associated with this single neuroendocrine marker identification in adenocarcinoma. The newer entity of thoracic SMARC-A4-deficient undifferentiated tumor can express synaptophysin and mimic LCNEC clinically and pathologically. Still, the proof of SMARC-A4 (BRG1) loss by immunohistochemistry is reliable and sufficient for its diagnosis. Less specific, but helpful in the differential diagnosis, is the lack of claudin 4 expression and low to absent keratin staining in SMARCA4-deficient thoracic tumors [6,7].
We should add for completeness that other entities, primary or metastatic to the lung, enter the differential diagnosis of LCNEC, including basaloid squamous cell carcinoma, Merkel cell carcinoma, and some sarcomas and lymphomas, but the details regarding separating them from LCNEC, given their rarity, is beyond the scope of this paper.
Figure 1. Combined Large Cell Neuroendocrine Carcinoma and Adenocarcinoma of The Lung with ALK rearrangement. White Arrow: Adenocarcinoma. Black Arrow: LCNEC.
Figure 1. Combined Large Cell Neuroendocrine Carcinoma and Adenocarcinoma of The Lung with ALK rearrangement. White Arrow: Adenocarcinoma. Black Arrow: LCNEC.
Preprints 78430 g001

4. Molecular Subtypes of LCNEC

In 2016–2018, studies on LCNEC described two major groups: SCLC-like and NSCLC-like. The division was based on specific mutation signatures involving the RB1, TP53, KRAS, and STK11/LKB1 genes [1].
Rekhtman and colleagues identified two major molecular subsets of LCNEC by performing next-generation sequencing (NGS) on 45 histologically pure LCNECs. The first group was the SCLC-like subset, which accounted for 40% of the cases and was characterized by the alteration of protein p53 (TP53) and RB1. The second group, the NSCLC-like subset (56) characterized by STK11, KRAS, and KEAP1 mutations, lacked the alterations of RB1 and TP53. Both subsets presented a higher tumor mutation burden than NSCLC and SCLC, suggesting the possible sensitivity of LCNEC to immunotherapy [8].
George and colleagues analyzed 75 cases of LCNEC. Two distinct subgroups have been identified: type I (37%), with TP53 and STK11/KEAP1 alterations, being similar to NSCLC, and type II (42%), similar with SCLC, which presents with the inactivation of TP53 and RB1 and also an upregulation of the immune-related pathways [9].
Miyoshi and colleagues analyzed the genomic profiles of both LCNEC and SCLC, and they showed that the profile was not so different, with a lower alteration of RB1 in LCNEC and alterations in the PI3K/AKT/mTOR pathway (15%), KRAS (6%), FGFR1 (5%), and EGFR (1%), suggesting potential targeted therapies for this challenging type of lung cancer. The study also found a median genetic alteration concordance rate of 71% among the 10 cases of combined LCNEC and NSCLC [10].
These studies identified the subtypes of LCNEC with their genomic profiles and potential targets. They found correlations between the subtypes and the response to chemotherapy, with impacts on prognosis and treatment, suggesting that genomic characterization should be performed, whenever possible, in advanced cases of LCNEC [1].

5. Role of surgery

LCNEC is diagnosed in resectable stages (I–IIIA) in roughly 25% of cases [3].
Surgery is independently associated with a better overall survival (OS), and lobectomy/bilobectomy has better outcomes than pneumonectomy or segmentectomy [11]. A poorer prognosis after surgery is associated with advanced stage and nodal involvement, and with the expression of chromogranin A and/or CD56 [12].
Tumor recurrence after surgery is 64% within one year and 91% within three years. Thus, adjuvant chemotherapy aims to improve the progression-free survival (PFS). There is only one prospective study that evaluated the efficacy of the combination of cisplatin and etoposide after patients who received lobectomy with lymph node dissection, and the control group is derived from retrospective data. The five-year OS was 88.9% vs 47.5%in favor of the adjuvant arm [13]. A multivariate analysis also showed that platinum-based adjuvant chemotherapy may impact the prognosis significantly [14].
Wakeam and colleagues found in a retrospective study that adjuvant chemotherapy received within three to six months after surgery was associated with better OS. The difference was most significant in patients with tumors larger than 3 cm (5-year OS 59.8% vs 42.1%). As for the patients presenting with tumors smaller than 2 cm and the patients for whom the treatment started six months of more after the surgery, there was no benefit [15].
Kunwei et al. studied patients with early-stage LCNEC (T1N0M0) from 2004 to 2016; most of them (59.5%) received lobectomy and they had a better survival than those cases in which sublobar resection was the option (37% vs 51.9% at 3 years). Better survival outcomes were seen in patients with four or more resected lymph nodes. On the other hand, the survival in patients with tumors smaller than 2 cm was not improved by adjuvant chemotherapy (p=0.658). Age and lobectomy were independent prognostic factors (p=0.000), as multivariate analysis showed [16].
63 patients with LCNEC were evaluated in a retrospective study. The study found that perioperative chemotherapy was associated with better OS than surgery alone; a better five-year OS was observed in non-triple-positive patients (with tumors not immunoreactive to synaptophysin, chromogranin A, CD56), but no difference was found in the triple-positive group. Chromogranin A positive tumors did not benefit from adjuvant treatment [17].
The evaluation of the mammalian Notch family ligands delta-like 3 expression (DLL3) may be useful for the differentiation the patients who will benefit from adjuvant chemotherapy, as a recent report suggests. DLL3 was evaluated in 70 patients with LCNEC undergoing resection, of whom 23 patients (32.9%) received platinum-based adjuvant chemotherapy. In DLL3 expression-positive tumors, there was no difference in the five-year overall survival (OS) or recurrence-free survival (RFS) between patients with and without adjuvant chemotherapy (OS: 58.3% vs. 35.7% p=0.36, five-year RFS: 41.7% vs. 35.7% p=0.74). In contrast, significantly greater five-year OS and RFS rates were observed among the DLL3-negative tumors, comparing patients with and without adjuvant chemotherapy (five-year OS: 90.0% vs. 26.9% p<0.01, five-year RFS: 80.0% vs. 21.7% p<0.01) [18].
One can conclude that, for resectable, stage I–IIIA LCNEC, surgery remains the cornerstone of treatment, along with cisplatin-based chemotherapy as a reasonable adjuvant recommendation.

6. Role of chemotherapy in advanced stages

There was only one prospective study that evaluated the efficacy of cisplatin plus etoposide. It included 42 patients with metastatic disease and showed a median overall survival (mOS) of 7.7 months, which is slightly worse than the mOS reported for patients with SCLC treated with the same combination of chemotherapy [19].
The standard SCLC regimens seem to perform better compared with the chemotherapy used in NSCLC, in an unselected patient population. For instance, in a retrospective study, the overall response rate (ORR) was 73% vs 50%, the median progression-free survival (mPFS) was 6.1 vs 4.9, and the mOS was 16.5 vs 9.2 months for the SCLC-like regimens compared with the NSCLC-like ones. However, the differences were statistically not significant due to the small number of patients [20]. A retrospective study of 294 LCNEC patients found the opposite results. First-line platinum-based combined chemotherapy was clustered as “NSCLC-t”, using gemcitabine, docetaxel, paclitaxel, or vinorelbine; “NSCLC-pt”, using pemetrexed treatment only; and “SCLC-t”, which consisted of etoposide chemotherapy. The mOS for NSCLC-t chemotherapy was 8.5 months. This is significantly better than patients treated with NSCLC-pt, with a mOS of 5.9 months, hazard ratio (HR) of 2.51, and 95% CI 1.39–4.52; p=0.002, and also than patients treated with SCLC-t chemotherapy had a mOS of 6.7 (5.0–8.5) months (HR 1.66, 95% CI 1.08–2.56; p=0.020) [21].
Some attempts have been made to redefine the chemotherapy regimens in accordance with the newly described LCNEC subtypes. Sixty-three patients with LCNEC were classified into small-cell lung cancer (SCLC)-like and non–small cell lung cancer (NSCLC)-like LCNEC in a retrospective study, based on genomic features derived from tumor DNA and/or cfDNA. In SCLC-like LCNEC patients the platinum etoposide (PE) regimen showed a superior mPFS compared with the NSCLC chemotherapy, at 8.3 vs 3.0 months; p= 0.0013), whereas for patients with NSCLC-like LCNEC, SCLC regimens also appeared to be superior, or at least not inferior than NSCLC. However, when a more comprehensive genomic alteration profile was used for LCNEC subtyping (including RB1 mutation or loss, PTEN loss/mutation, FGFR1/FGFR4 mutation/amplification, and TP53 loss), pemetrexed-platinum was the superior regimen, suggesting that the use of larger NGS panels should be considered to identify the subgroups of patients who may benefit from different regimens [22].
Modest activity was reported for amrubicine in a second line setting. The overall response rate (ORR) was 27.7%, mPFS 3.1 months, and mOS 5.1 months [23].
The conflicting results and the results based on a retrospective assessment of small patient samples highlight the need for more prospective trials. Overall, chemotherapy alone offers small OS benefits. Whether or not the case is SCLC-like, cisplatin plus etoposide chemotherapy remaining the preferred regimen is a matter of debate. The use of LCNEC genomic subtype-driven chemotherapy needs more convincing prospective data to be implemented in current clinical practice.

7. Role of Radiotherapy

Radiotherapy also brings conflicting evidence; a large retrospective study (n=3371), included patients with stage I disease and compared surgery (96%) with stereotactic body radiation therapy (SBRT) (4%). The OS at five years was 50% versus 27% (HR=0.7). For stage II–IIIA, surgery has a better OS than definitive chemoradiation, although 40% of the patients received induction/adjuvant chemotherapy [24]. Patients that are unsuitable for surgery benefit more from chemoradiation than chemotherapy alone. Additionally, in the postoperative setting, radiotherapy had a detrimental effect (mOS 27 vs 44 months with surgery alone) [1]. Michael et al. showed that radiotherapy could benefit stage I–II cases with positive margins, and stage III patients treated with both surgery and radiotherapy had the best survival outcome [25].
Approximately 20% of the cases of LCNEC are diagnosed as locally advanced (IIIB–C). Definitive chemo-radiotherapy was compared in a retrospective study (n=5797) with chemotherapy alone, and the study found an mOS of 16.1 vs 11.9 months [26]. The results were confirmed by Gu and colleagues [27]; Shimada et al. found a higher objective response rate for chemo-radiotherapy than chemotherapy alone (86% vs 61%) [28].
There are limited data on the role of prophylactic cranial radiation (PCI) in early-stage LCNEC. PCI is used significantly less in LCNEC as compared to SCLC, a retrospective study showed. A study of the LCNEC population using the SEER database noted a rate of brain metastases of 19.2% as compared to 16.7% in SCLC. LCNEC may be susceptible to brain irradiation, but further clinical trials are needed to clarify the role of PCI in this setting [29].
In the absence of prospective clinical trials, the recommendation for unresectable stage III disease is chemo-radiotherapy with four cycles of cisplatin plus etoposide [30].

8. Role of Immunotherapy

Immune checkpoint inhibitors (ICI) are approved in both SCLC and NSCLC, but their role in LCNEC management is yet to be defined.
Programmed Death Ligand-1 (PD-L1) is expressed in tumor cells (TC+) in around 10–25% of cases. Some studies showed a high positivity of PD-L1 staining in the intra-tumoral immune cells (IC+) rather than in the tumor cells (TC-). In a series of 68 patients, for instance, 11% and 75% of the tumor samples were TC+ and IC+, whereas 66% had a TC–/IC+ profile [31,32]. This profile looked different when compared with the ~60% TC+ observed for NSCLCs [33] and 15% TC+ and 22% IC+ for SCLC, despite using the same 22C3 antibody [34].
The data are highly controversial regarding the prognostic significance of the PD-L1 expression in LCNEC. Some studies showed that PD-L1 expression (TC+ with or without IC+) is associated with a favorable prognosis [35].
On the contrary, other studies showed a poorer outcome in the PD-L1 positive tumor cells but with negative immune cells (TC+ /IC-) as compared with the PD-L1 negative tumor cells and with positive immune cells (TC-/IC+) [31].
These controversial data point to the fact that prospective trials based on a standardized PD-L1 assessment are needed to clarify the prognostic value of PD-L1 expression in LCNEC.
Concerning ICI therapy, encouraging results were initially communicated in some anecdotal case reports. Larger retrospective studies support the individual case data. Using the National Cancer Database, a retrospective analysis was performed in 661 LCNEC cases, of whom 37 were treated with ICI. The use of ICI was associated with improved overall survival (log-rank p=0.0018), and it remained statistically significant even after multivariate analysis (HR=0.64, p=0.0164). The patients in the ICI group had 12 and 18-months survival rates of 34.0% and 29.1%, as compared to 24.1% and 15.0% in the non-ICI group. Moreover, a propensity score matching analysis showed a non-significant trend (p=0.0733) in favor of the ICI group in terms of overall survival [36]. A real-world retrospective study that evaluated 125 LCNEC patients, of whom 41 received ICI (group A) and 84 did not (group B) showed similar trends in the favor of the ICI group. The median OS was 12.4 mo and 6.0 mo in groups A and B, respectively (log-rank test, p=0.02). For ICI administration, the adjusted HR for OS was 0.58, p=0.04. In a propensity score matching analysis, the median OS was 12.5 mo and 8.4 mo in matched groups A and B, respectively (log-rank test, p=0.046) [37].
One can conclude that the role of immunotherapy in LCNEC is promising, but remains poorly defined. The retrospective series provide only hypothesis-generating data. Clarifications are expected from the results of the ongoing specifically designed clinical trials (Table 1).

9. Role of targeted therapy

Pure LCNEC rarely presents with targetable driver mutations, but they are more often detected in mixed forms of LCNEC-adenocarcinoma. Besides TP53 and RB1 alterations, which are diagnostically relevant, the prevalence of potentially actionable mutations is less common in LCNEC compared with classical NSCLC. For instance, a series of 467 cases, found EGFR exon 19 deletion, along with EGFR L858R point mutations, in only 1% of cases, whereas ALK fusions were identified in 1.7% of patients, all being classified as NSCLC-like subtype. KRAS G12C was identified in only 2.9%, whereas RET fusion, NTRK fusion, and BRAFV600E were not detected at all [38].
In a Chinese study, 26.3% (15/57) of patients diagnosed with LCNEC presented alterations in classical NSCLC driver genes, including missense mutations in KRAS, EGFR, and BRAF and amplifications in KRAS, EGFR, ERBB2, and MET, highlighting the potential of using targeted therapy. In some cases (7%), the analysis also identified an actionable EGFR p.L858R. Two of these patients received gefitinib. They achieved partial remission (PR), with one of them achieving a PFS of 15 months [39].
A few reported cases of EGFR mutations and ALK translocations were treated with selective TKIs, but the results were controversial. Treatment with crizotinib for LCNEC with EML4-ALK rearrangement proved to be inefficient according to two case reports [40,41], but one case with PLB1-ALK rearrangements responded crizotinib [42]. Another case report presented a partial response to alectinib in a combined adenocarcinoma/LCNEC tumor with metastases to the bone [43].
A case report from 2013 presented an 84-year-old patient diagnosed with metastatic LCNEC with EGFR exon 19 deletion. The patient received orally icotinib at a dose of 125 mg three times per day, up to a total of eight months of treatment. During these eight months the patient reported a significant reduction in back pain and coughing. Also, the computed tomography scans of the chest revealed a partial remission after one month. This case highlights the possibility of targeting EGFR mutations in LCNEC [44].
Despite the lack of supporting data, some other molecular alterations may offer rational approaches to LCNEC. As previously mentioned, DLL3 expression is positive in around 37% of LCNEC cases. Positive expression was associated with lack of sensitivity to chemotherapy in an adjuvant setting [18]. Despite negative outcomes with rovalpituzumab (a specific anti-DLL3 antibody drug conjugate) in later stage SCLC, this molecular abnormality may offer a potential target for further drug development in LCNEC [45]. Homologous recombination pathway mutations have also been identified in LCNEC and are associated with a longer trend in PFS following platinum-based chemotherapy [39]. Emerging evidence also suggests that tumors with mutations in the homologous recombination pathway process are sensitive to treatments that target the DNA repair pathway, such as the PARP inhibitors [46,47]. Therefore, evaluation of PARP inhibitors in the homologous recombination pathway-deficient LCNEC subset may be worthwhile.
In the neuroendocrine lung tumors, overactivation of the PI3K/AKT/mTOR pathway has been documented [48]. This offers the perspective of obtaining a clinical benefit by specifically blocking this aberrant pathway. In a phase II study, the combination of everolimus (an mTOR inhibitor) with paclitaxel and carboplatin was evaluated. The overall response rate (ORR) was 45%, with a median PFS of 4.4 months, and a median OS of 9.9 months. The premature closure of the trial precluded a clear interpretation of these data [49].
Somatostatin targeting agents, which include somatostatin analogues and Peptide Receptor Radionuclide Therapy (PRRT), are effective in well-differentiated neuroendocrine tumors. Their efficacy in LCNEC is yet to be determined. Case reports describe a good response to PRRT in patients diagnosed with pulmonary LCNEC with positive somatostatin receptor scintigraphy [50].
TrkB (tropomyosin-related kinase B) and its ligand BNDF (brain-derived neurotrophic factor) play a key role in tumor progression in many other types of cancer. Odate et al. designed a study to investigate BDNF/TrkB signaling for neuroendocrine tumors of the lung; SCLC and LCNEC. The study found that TrkB and BDNF expression levels were significantly higher in LCNEC than in SCLC. Also, there was a correlation between the two expressions in LCNEC, but not in SCLC. There were only 11 patients diagnosed with LCNEC analyzed in the study. In order to define the correlation between BDNF/TrkB expression and prognosis in LCNEC, further investigations are required, but this may be a diagnostic aid for differentiation between the two entities (LCNEC and SCLC), and also a target for possible specific therapy [51].
One can conclude that, even though some targetable genomic alterations were identified in LCNEC, recent experience with targeted agents has been extremely limited.

10. Conclusions

LCNEC is a challenging disease, which requires further understanding of its biology for a more accurate subclassification and taxonomy. Although patients are treated with modified SCLC-specific regimens, with similar or sometimes worse outcomes, the recent findings regarding LCNEC molecular subtypes suggest that molecular features could guide the treatment approach. Limited data showed the efficacy of immunotherapy, which has shown a radiological and clinical response in some patients pre-treated with platinum-based chemotherapy. Targeted therapies usually showed moderate efficacy, but there is a definite unmet need for a large prospective clinical trial in this subtype of lung cancer.

Author Contributions

M.D., S.N., D.N.I.: conception and design of the work; revising it critically for important intellectual content; Final approval of the version to be published; Agreement to be accountable for all aspects of the work in ensuring that questions related to the accuracy or integrity of any part of the work are appropriately investigated and resolved. C.B.: acquisition, and interpretation of data for the work; drafting and revising the work; Final approval of the version to be published; Agreement to be accountable for all aspects of the work in ensuring that questions related to the accuracy or integrity of any part of the work are appropriately investigated and resolved.

Funding

This research received no external funding.

Informed Consent Statement

The patient consented to the publication of this case. (Lim CA, Banyi N, Tucker T, Ionescu DN, Melosky B. A Case of ALK-Rearranged Combined Lung Adenocarcinoma and Neuroendocrine Carcinoma with Diffuse Bone Metastasis and Partial Response to Alectinib. Curr Oncol. 2022 Feb 3;29(2):848-852. doi: 10.3390/curroncol29020072. PMID: 35200571; PMCID: PMC8870951).

Conflicts of Interest

M.D., S.N., D.N.I. Consulting, Advisory Role, Honoraria: Aventis, Astellas, Astra Zeneca, Amgen, Ipsen, Janssen, Novartis, Pfizer, Roche, Sandoz, BMS, MSD, Eli Lilly, Servier, Takeda. C.B. has no relevant conflicts of interest to declare.

References

  1. Ferrara MG, Stefani A, Simbolo M, et al. Large Cell Neuro-Endocrine Carcinoma of the Lung: Current Treatment Options and Potential Future Opportunities. Front Oncol. 2021 Apr 15;11:650293. [CrossRef]
  2. Fasano M, Della Corte CM, Papaccio F, et al. Pulmonary Large-Cell Neuroendocrine Carcinoma: From Epidemiology to Therapy. J Thorac Oncol. 2015 Aug;10(8):1133-41. [CrossRef]
  3. Lindsay CR, Shaw EC, Moore DA, et al. Large cell neuroendocrine lung carcinoma: A consensus statement from The British Thoracic Oncology Group and the Association of Pulmonary Pathologists. Br J Cancer. 2021 Oct; [CrossRef]
  4. American Cancer Society. Facts & Figures 2022. American Cancer Society. Atlanta, Ga. 2022.
  5. Thoracic Tumours, WHO Classification of Tumours, 5th Edition, IARC Press 2021, 139-149.
  6. Rekhtman N, Montecalvo J, Chang JC et al. Smarca4-Deficient Thoracic Sarcomatoid Tumors Represent Primarily Smoking-Related Undifferentiated Carcinomas Rather Than Primary Thoracic Sarcomas. J Thoracic Oncol (2020) 15:231–47. [CrossRef]
  7. Fukuoka J, Fujii T, Shih JH et al. Chromatin Remodeling Factors and BRM/BRG1 Expression as Prognostic Indicators in Non-Small Cell Lung Cancer. Clin Cancer Res (2004) 10:4314–24. [CrossRef]
  8. Rekhtman, N. Lung neuroendocrine neoplasms: recent progress and persistent challenges. Mod Pathol. 2022 Jan;35(Suppl 1):36-50. [CrossRef]
  9. George, J., Walter, V., Peifer, M., Alexandrov, L. B., Seidel, D., Leenders, F. et al. Integrative genomic profiling of large cell neuroendocrine carcinomas reveals distinct subtypes of high-grade neuroendocrine lung tumors. Nat. Commun. 9, 1048 (2018).
  10. Miyoshi, T., Umemura, S., Matsumura, Y., Mimaki, S., Tada, S., Makinoshima, H. et al. Genomic profiling of large cell neuroendocrine carcinoma of the lung. Clin. Cancer Res. 23, 757–765 (2017).
  11. Cao L, Li ZW, Wang M, Zhang TT, Bao B, Liu YP. Clinicopathological characteristics, treatment and survival of pulmonary large cell neuroendocrine carcinoma: a SEER population-based study. PeerJ. 2019 Mar 27;7:e6539. [CrossRef]
  12. Eichhorn F, Dienemann H, Muley T, Warth A, Hoffmann H. Predictors of survival after operation among patients with large cell neuroendocrine carcinoma of the lung. Ann Thorac Surg. 2015 Mar;99(3):983-9. [CrossRef]
  13. Iyoda A, Hiroshima K, Moriya Y, Takiguchi Y, Sekine Y, Shibuya K, Iizasa T, Kimura H, Nakatani Y, Fujisawa T. Prospective study of adjuvant chemotherapy for pulmonary large cell neuroendocrine carcinoma. Ann Thorac Surg. 2006 Nov;82(5):1802-7. [CrossRef]
  14. Iyoda A, Hiroshima K, Moriya Y, et al. Postoperative recurrence and the role of adjuvant chemotherapy in patients with pulmonary large-cell neuroendocrine carcinoma. J Thorac Cardiovasc Surg. 2009;138:446–453.
  15. Wakeam E, Adibfar A, Stokes S, Leighl NB, Giuliani ME, Varghese TK Jr, Darling GE. Defining the role of adjuvant therapy for early-stage large cell neuroendocrine carcinoma. J Thorac Cardiovasc Surg. 2020 May;159(5):2043-2054.e9. [CrossRef]
  16. Peng Kunwei, Cao Huijiao, You Yafei et al. Optimal Surgery Type and Adjuvant Therapy for T1N0M0 Lung Large Cell Neuroendocrine Carcinoma, Frontiers in Oncology, 2021, DOI=10.3389/fonc.2021.591823.
  17. Tanaka, Y. , Ogawa H., Uchino K., Ohbayashi C., Maniwa Y., Nishio W., Nakao A., Yoshimura M. Immunohistochemical studies of pulmonary large cell neuroendocrine carcinoma: A possible association between staining patterns with neuroendocrine markers and tumor response to chemotherapy. J. Thorac. Cardiovasc. Surg. 2013;145:839–846. [CrossRef]
  18. Ogawa H, Sakai Y, Nishio W, Fujibayashi Y, Nishikubo M, Nishioka Y, Tane S, Kitamura Y, Sudo T, Sakuma T, Yoshimura M. DLL3 expression is a predictive marker of sensitivity to adjuvant chemotherapy for pulmonary LCNEC. Thorac Cancer. 2020 Sep;11(9):2561-2569. [CrossRef]
  19. Treut, J. , Sault M.C., Lena H., Souquet P.J., Vergnenegre A., Le Caer H., Berard H., Boffa S., Monnet I., Damotte D., et al. Multicentre phase II study of cisplatin–etoposide chemotherapy for advanced large-cell neuroendocrine lung carcinoma: The GFPC 0302 study. Ann. Oncol. 2013;24:1548–1552.
  20. Sun, J.-M. , Ahn M.-J., Ahn J.S., Um S.-W., Kim H., Kim H.K., Choi Y.S., Han J., Kim J., Kwon O.J., et al. Chemotherapy for pulmonary large cell neuroendocrine carcinoma: Similar to that for small cell lung cancer or non-small cell lung cancer? Lung Cancer. 2012;77:365–370.
  21. Derks, J.L. , van Suylen R.J., Thunnissen E., Den Bakker M.A., Groen H.J., Smit E.F., Damhuis R.A., van den Broek E.C., Speel E.-J.J.M., Dingemans A.-M.C.M.C. Chemotherapy for pulmonary large cell neuroendocrine carcinomas: Does the regimen matter? Eur. Respir. J. 2017;49:1601838. [CrossRef]
  22. Zhuo M, Guan Y, Yang X, Hong L, Wang Y, Li Z, et al. The prognostic and therapeutic role of genomic subtyping by sequencing tumor or cell-free DNA in pulmonary large-cell neuroendocrine carcinoma. Clin Cancer Res (2020) 26(4):892–901.
  23. Yoshida H, Sekine I, Tsuta K, Horinouchi H, Nokihara H, Yamamoto N, et al. Amrubicin monotherapy for patients with previously treated advanced large-cell neuroendocrine carcinoma of the lung. Japanese J Clin Oncol (2011) 41(7):897–901. [CrossRef]
  24. Raman V, Jawitz OK, Yang CFJ, Voigt SL, Tong BC, D’Amico TA, et al. Outcomes for Surgery in Large Cell Lung Neuroendocrine Cancer. J Thorac Oncol (2019) 14(12):2143–51.
  25. Michael, S. May, Connor J. Kinslow, Christopher Adams et al. Outcomes for localized treatment of large cell neuroendocrine carcinoma of the lung in the United States, Translational Lung Cancer Research, 2021. [CrossRef]
  26. Limonnik V, Abel S, Finley GG et al. Factors associated with treatment receipt and overall survival for patients with locally advanced large cell neuroendocrine carcinoma of the lung: A National Cancer Database analysis. Lung Cancer (2020) Dec 1 150:107–13. 10.1016/j.lungcan.2020.10.001.
  27. Gu J, Gong D, Wang Y, et al. The demographic and treatment options for patients with large cell neuroendocrine carcinoma of the lung. Cancer Med (2019) 8(6):2979–93. 10.1002/cam4.2188.
  28. Shimada Y, Niho S, Ishii G, et al. Clinical features of unresectable high-grade lung neuroendocrine carcinoma diagnosed using biopsy specimens. Lung Cancer (2012) 75(3):368–73.
  29. Kinslow CJ, May MS, Saqi A, Shu CA, Chaudhary KR, Wang TJC, Cheng SK. Large-Cell Neuroendocrine Carcinoma of the Lung: A Population-Based Study. Clin Lung Cancer. 2020 Mar;21(2):e99-e113. [CrossRef]
  30. 30. Miriam G, Alessio S, Michele S, et al. Large Cell Neuro-Endocrine Carcinoma of the Lung: Current Treatment Options and Potential Future Opportunities, Front. Oncol., 15 April 2021, Sec. Thoracic Oncology. [CrossRef]
  31. Eichhorn F, Marms A, Warth A, et al. PD-L1 expression in large cell neuroendocrine carcinoma of the lung. Lung Cancer 2018; 118: 76–82. Tsuruoka K, Horinouchi H, Goto Y, et al. PD-L1 expression in neuroendocrine tumors of the lung. Lung Cancer 2017; 108: 115–120.
  32. Arpin D, Charpentier MC, Bernardi M et al PD-L1-expression patterns in large-cell neuroendocrine carcinoma of the lung: potential implications for use of immunotherapy in these patients: the GFPC 03-2017 "EPNEC" study. Ther Adv Med Oncol. 2020 Jul 7;12:1758835920937972. [CrossRef]
  33. Mok TSK, Wu YL, Kudaba I, et al. Pembrolizumab versus chemotherapy for previously untreated, PD-L1-expressing, locally advanced or metastatic non-small-cell lung cancer (KEYNOTE-042): a randomised, open-label, controlled, phase 3 trial. Lancet 2019; 393: 1819–1830.
  34. Kim HS, Lee JH, Nam SJ, et al. Association of PD-L1 expression with tumor-infiltrating immune cells and mutation burden in high grade neuroendocrine carcinoma of the lung. J Thorac Oncol 2018; 13: 636–648.
  35. Hermans BCM, Derks JL, Thunnissen E, et al. Prevalence and prognostic value of PD-L1 expression in molecular subtypes of metastatic large cell neuroendocrine carcinoma (LCNEC). Lung Cancer. 2019 Apr;130:179-186. [CrossRef]
  36. Komiya, T. , Powell E. Role of immunotherapy in stage IV large cell neuroendocrine carcinoma of the lung. J. Clin. Oncol. 2020;38:9060. [CrossRef]
  37. Dudnik, E. , Kareff S., Moskovitz M., Kim C., Liu S.V., Lobachov A., Gottfried T., Urban D., Zer A., Rotem O., et al. Real-world survival outcomes with immune checkpoint inhibitors in large-cell neuroendocrine tumors of lung. J. Immunother. Cancer. 2021;9:e001999. [CrossRef]
  38. 38. Chul Kim, Julie Elaine McGrath, Joanne Xiu, Misako Nagasaka, Patrick C. Ma, Jorge J et al. Genomic and immunologic characterization of large-cell neuroendocrine carcinoma of the lung. Journal of Clinical Oncology 39, no. 15_suppl (May 20, 2021) 8535-8535.
  39. Peng W, Cao L, Chen L, Lin G, Zhu B, Hu X, Lin Y, Zhang S, Jiang M, Wang J, Li J, Li C, Shao L, Du H, Hou T, Chen Z, Xiang J, Pu X, Li J, Xu F, Loong H, Wu L. Comprehensive Characterization of the Genomic Landscape in Chinese Pulmonary Neuroendocrine Tumors Reveals Prognostic and Therapeutic Markers (CSWOG-1901). Oncologist. 2022 Mar 4;27(2):e116-e125. [CrossRef]
  40. Zheng Q, Zheng M, Jin Y, Shen X, Shan L, Shen L, et al. Alk-Rearrangement Neuroendocrine Carcinoma of the Lung: A Comprehensive Study of a Rare Case Series and Review of Literature. OTT (2018) Volume 11:4991–8. [CrossRef]
  41. Omachi N, Shimizu S, Kawaguchi T, Tezuka K, Kanazu M, Tamiya A, et al. Atagi S. A Case of Large-Cell Neuroendocrine Carcinoma Harboring an EML4–ALK Rearrangement with Resistance to the ALK Inhibitor Crizotinib. J Thoracic Oncol (2014) 9:e40–2. [CrossRef]
  42. Wang S, Wu X, Zhao J, Chen H, Zhang Z, Wang M, et al. Next-Generation Sequencing Identified a Novel Crizotinib-Sensitive PLB1-ALK Rearrangement in Lung Large-Cell Neuroendocrine Carcinoma. Clin Lung Cancer [Preprint] (2020).
  43. Lim CA, Banyi N, Tucker T, Ionescu DN, Melosky B. A Case of ALK-Rearranged Combined Lung Adenocarcinoma and Neuroendocrine Carcinoma with Diffuse Bone Metastasis and Partial Response to Alectinib. Curr Oncol. 2022 Feb 3;29(2):848-852. [CrossRef]
  44. Wang Y, Shen YH, Ma S, Zhou J. A marked response to icotinib in a patient with large cell neuroendocrine carcinoma harboring an EGFR mutation: A case report. Oncol Lett. 2015 Sep;10(3):1575-1578. [CrossRef]
  45. Uprety D, Remon J, Adjei AA. All That Glitters Is Not Gold: The Story of Rovalpituzumab Tesirine in SCLC. J Thorac Oncol. 2021 Sep;16(9):1429-1433. [CrossRef]
  46. Helleday, T. Homologous recombination in cancer development, treatment and development of drug resistance. Carcinogenesis. 2010 Jun;31(6):955-60. [CrossRef]
  47. González-Martín A, Pothuri B, Vergote I, et al.; PRIMA/ENGOT-OV26/GOG-3012 Investigators. Niraparib in Patients with Newly Diagnosed Advanced Ovarian Cancer. N Engl J Med. 2019 Dec 19;381(25):2391-2402. [CrossRef]
  48. Righi L, Volante M, Rapa I, Tavaglione V, Inzani F, Pelosi G, Papotti M. Mammalian target of rapamycin signaling activation patterns in neuroendocrine tumors of the lung. Endocr Relat Cancer. 2010 Oct 29;17(4):977-87. [CrossRef]
  49. Christopoulos P, Engel-Riedel W, Grohé C, Kropf-Sanchen C, von Pawel J, Gütz S, Kollmeier J, Eberhardt W, Ukena D, Baum V, Nimmrich I, Sieder C, Schnabel PA, Serke M, Thomas M. Everolimus with paclitaxel and carboplatin as first-line treatment for metastatic large-cell neuroendocrine lung carcinoma: a multicenter phase II trial. Ann Oncol. 2017 Aug 1;28(8):1898-1902. [CrossRef]
  50. Escala Cornejo RA, García-Talavera P, Navarro Martin M, et al. Large cell neuroendocrine carcinoma of the lung with atypical evolution and a remarkable response to lutetium Lu 177 dotatate. Annals of Nuclear Medicine. 2018 Oct;32(8):568-572. [CrossRef]
  51. Odate S, Nakamura K, Onishi H, Kojima M, Uchiyama A, Nakano K, et al. TrkB/BDNF signaling pathway is a potential therapeutic target forpulmonary large cell neuroendocrine carcinoma. Lung Cancer (2013) 79(3):205–14. [CrossRef]
Table 1. Current clinical trials focusing on immunotherapy (according to clinicaltrials.gov, accessed 24th of October, 2022).
Table 1. Current clinical trials focusing on immunotherapy (according to clinicaltrials.gov, accessed 24th of October, 2022).
NCT number Drug and condition Status
03901378 Pembrolizumab in GI-tract and LCNEC of the lung Withdrawn
03976518 Atezolizumab in NSCLC: rare histologies Recruiting
03728361 Nivolumab and temozolomide in refractory SCLC or advanced neuroendocrine cancer Active, not recruiting
03305133 Evaluation of PD-L1 expression in LCNEC Completed
03591731 Nivolumab +/- ipilimumab in advanced/refractory GI-tract and LCNEC of the lung Active, not recruiting
02834013 Nivolumab and ipilimumab in rare tumors (including LCNEC of the lung) Recruiting
Disclaimer/Publisher’s Note: The statements, opinions and data contained in all publications are solely those of the individual author(s) and contributor(s) and not of MDPI and/or the editor(s). MDPI and/or the editor(s) disclaim responsibility for any injury to people or property resulting from any ideas, methods, instructions or products referred to in the content.
Copyright: This open access article is published under a Creative Commons CC BY 4.0 license, which permit the free download, distribution, and reuse, provided that the author and preprint are cited in any reuse.
Prerpints.org logo

Preprints.org is a free preprint server supported by MDPI in Basel, Switzerland.

Subscribe

Disclaimer

Terms of Use

Privacy Policy

Privacy Settings

© 2026 MDPI (Basel, Switzerland) unless otherwise stated