Submitted:
12 May 2023
Posted:
12 May 2023
You are already at the latest version
Abstract
Keywords:
1. Introduction
2. Materials and Methods
2.1. Study design
2.2. Study population and data collection
2.3. Magnesium quantification in liver tissue using atomic absorption spectrometry
2.4. Determination of Magnesium in hepatocytes by Synchrotron Based X-ray Fluorescence Microscopy
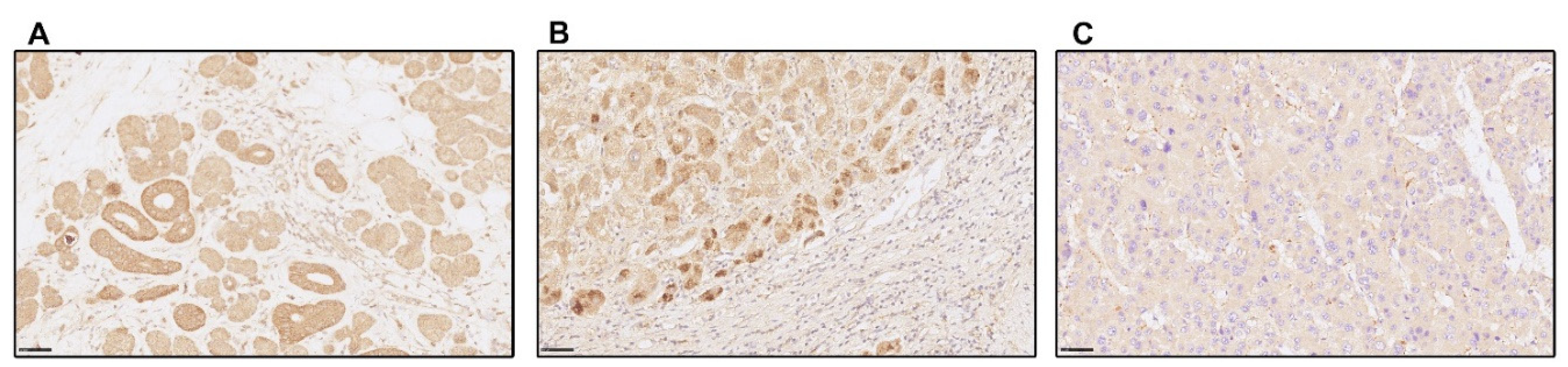
2.5. Immunohistochemistry analysis for TRPM7 in hepatocytes
2.6. Statistical analysis
3. Results
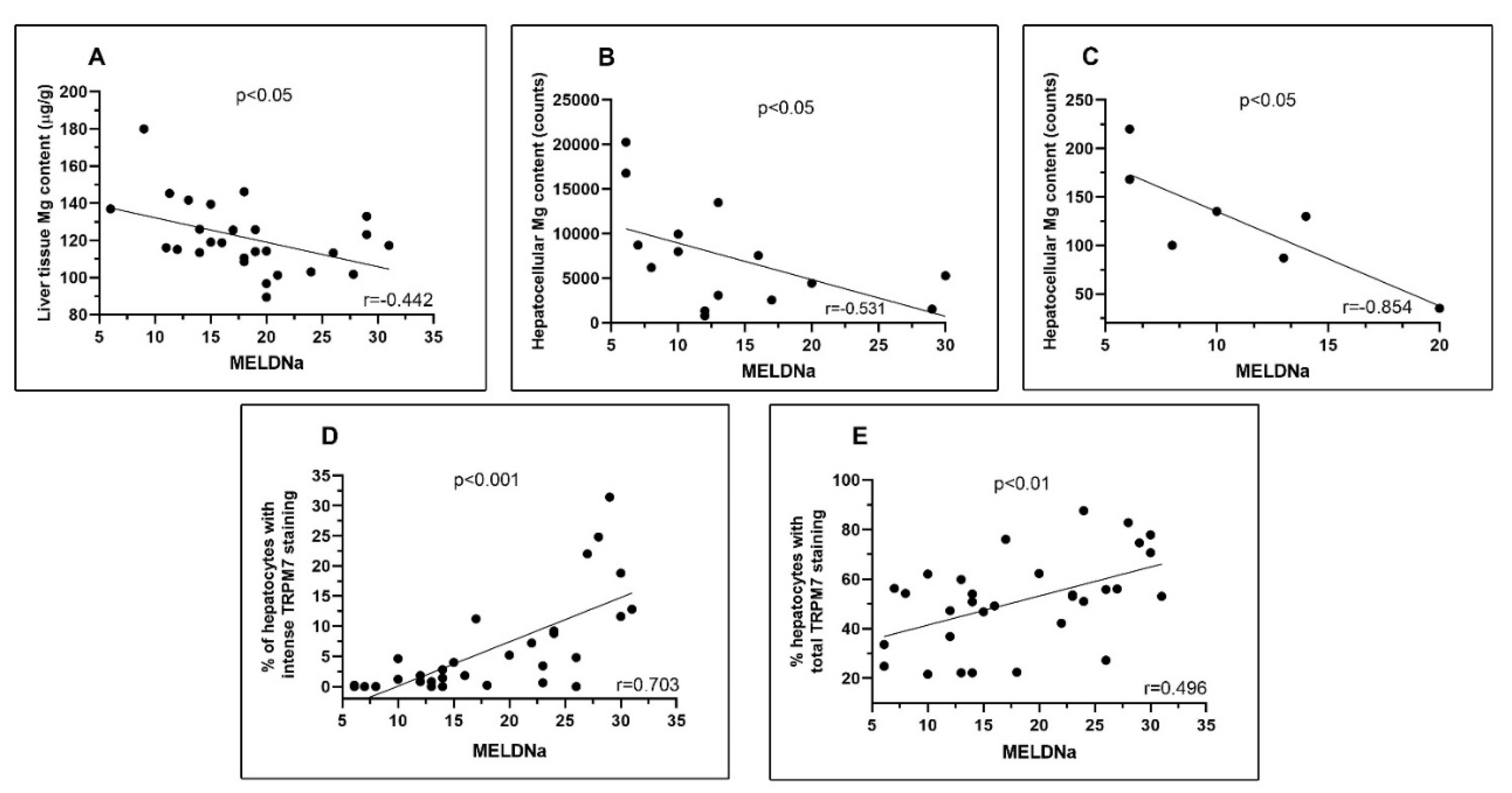
3.1. In liver cirrhosis, hepatic magnesium content is lower and TRPM7 expression in hepatocytes is higher than in healthy liver.
4. Discussion
Supplementary Materials
Author Contributions
Funding
Institutional Review Board Statement
Informed Consent Statement
Data Availability Statement
Conflicts of Interest
References
- Schuchardt JP, Hahn A. Intestinal Absorption and Factors Influencing Bioavailability of Magnesium-An Update. Curr Nutr Food Sci. 2017 Nov;13(4):260–78. [CrossRef]
- Konrad M, Schlingmann KP, Gudermann T. Insights into the molecular nature of magnesium homeostasis. Am J Physiol Renal Physiol. 2004 Apr;286(4):F599-605. [CrossRef]
- Rubin H. Magnesium: The missing element in molecular views of cell proliferation control. BioEssays. 2005 Mar;27(3):311–20.
- Kubota T, Shindo Y, Tokuno K, Komatsu H, Ogawa H, Kudo S, et al. Mitochondria are intracellular magnesium stores: investigation by simultaneous fluorescent imagings in PC12 cells. Biochim Biophys Acta. 2005 May 15;1744(1):19–28. [CrossRef]
- Iotti S, Frassineti C, Sabatini A, Vacca A, Barbiroli B. Quantitative mathematical expressions for accurate in vivo assessment of cytosolic [ADP] and DeltaG of ATP hydrolysis in the human brain and skeletal muscle. Biochim Biophys Acta. 2005 Jun 30;1708(2):164–77.
- Feeney KA, Hansen LL, Putker M, Olivares-Yañez C, Day J, Eades LJ, et al. Daily magnesium fluxes regulate cellular timekeeping and energy balance. Nature. 2016 Apr 21;532(7599):375–9. [CrossRef]
- Li FY, Chaigne-Delalande B, Kanellopoulou C, Davis JC, Matthews HF, Douek DC, et al. Second messenger role for Mg2+ revealed by human T-cell immunodeficiency. Nature. 2011 Jul 27;475(7357):471–6. [CrossRef]
- Sargenti A, Castiglioni S, Olivi E, Bianchi F, Cazzaniga A, Farruggia G, et al. Magnesium Deprivation Potentiates Human Mesenchymal Stem Cell Transcriptional Remodeling. Int J Mol Sci. 2018 May 9;19(5). [CrossRef]
- Mammoli F, Castiglioni S, Parenti S, Cappadone C, Farruggia G, Iotti S, et al. Magnesium Is a Key Regulator of the Balance between Osteoclast and Osteoblast Differentiation in the Presence of Vitamin D3. Int J Mol Sci. 2019 Jan 17;20(2):385. [CrossRef]
- Caspi R, Billington R, Keseler IM, Kothari A, Krummenacker M, Midford PE, et al. The MetaCyc database of metabolic pathways and enzymes - a 2019 update. Nucleic Acids Res. 2020 Jan 8;48(D1):D445–53. [CrossRef]
- Whang R, Ryder KW. Frequency of hypomagnesemia and hypermagnesemia. Requested vs routine. JAMA. 1990 Jun 13;263(22):3063–4.
- DiNicolantonio JJ, O’Keefe JH, Wilson W. Subclinical magnesium deficiency: a principal driver of cardiovascular disease and a public health crisis. Open Heart. 2018;5(1):e000668. [CrossRef]
- Martin KJ, González EA, Slatopolsky E. Clinical Consequences and Management of Hypomagnesemia. Journal of the American Society of Nephrology. 2009 Nov;20(11):2291–5. [CrossRef]
- Van Laecke S. Hypomagnesemia and hypermagnesemia. Acta Clin Belg. 2019 Jan 2;74(1):41–7.
- Mathew AA, Panonnummal R. ‘Magnesium’-the master cation-as a drug—possibilities and evidences. BioMetals. 2021 Oct 2;34(5):955–86.
- Liu M, Yang H, Mao Y. Magnesium and liver disease. Ann Transl Med. 2019 Oct;7(20):578–578. [CrossRef]
- Tao MH, Fulda KG. Association of Magnesium Intake with Liver Fibrosis among Adults in the United States. Nutrients. 2021 Jan 2;13(1):142. [CrossRef]
- Wu L, Zhu X, Fan L, Kabagambe EK, Song Y, Tao M, et al. Magnesium intake and mortality due to liver diseases: Results from the Third National Health and Nutrition Examination Survey Cohort. Sci Rep. 2017 Dec 20;7(1):17913.
- Lu L, Chen C, Li Y, Guo W, Zhang S, Brockman J, et al. Magnesium intake is inversely associated with risk of non-alcoholic fatty liver disease among American adults. Eur J Nutr. 2022 Apr 6;61(3):1245–54.
- Rayssiguier Y, Chevalier F, Bonnet M, Kopp J, Durlach J. Influence of Magnesium Deficiency on Liver Collagen after Carbon Tetrachloride or Ethanol Administration to Rats. J Nutr. 1985 Dec;115(12):1656–62. [CrossRef]
- Fengler VH, Macheiner T, Goessler W, Ratzer M, Haybaeck J, Sargsyan K. Hepatic Response of Magnesium-Restricted Wild Type Mice. Metabolites. 2021 Nov 6;11(11):762. [CrossRef]
- Panov A, Scarpa A. Mg 2+ Control of Respiration in Isolated Rat Liver Mitochondria. Biochemistry. 1996 Jan 1;35(39):12849–56. [CrossRef]
- Gullestad L, Dolva LO, Soyland E, Manger AT, Falch D, Kjekshus J. Oral Magnesium Supplementation Improves Metabolic Variables and Muscle Strength in Alcoholics. Alcohol Clin Exp Res. 1992 Oct;16(5):986–90. [CrossRef]
- Poikolainen K, Alho H. Magnesium treatment in alcoholics: A randomized clinical trial. Subst Abuse Treat Prev Policy. 2008 Dec 25;3(1):1.
- Rodriguez-Hernandez H, Cervantes-Huerta M, Rodriguez-Moran M, Guerrero-Romero F. Oral magnesium supplementation decreases alanine aminotransferase levels in obese women. Magnes Res. 2010 Jun;23(2):90–6. [CrossRef]
- Wang Y, Wang Z, Gao M, Zhong H, Chen C, Yao Y, et al. Efficacy and safety of magnesium isoglycyrrhizinate injection in patients with acute drug-induced liver injury: A phase II trial. Liver International. 2019 Nov 21;39(11):2102–11. [CrossRef]
- Markiewicz-Górka I, Zawadzki M, Januszewska L, Hombek-Urban K, Pawlas K. Influence of selenium and/or magnesium on alleviation alcohol induced oxidative stress in rats, normalization function of liver and changes in serum lipid parameters. Hum Exp Toxicol. 2011 Nov 7;30(11):1811–27. [CrossRef]
- Cao Y, Shi H, Sun Z, Wu J, Xia Y, Wang Y, et al. Protective Effects of Magnesium Glycyrrhizinate on Methotrexate-Induced Hepatotoxicity and Intestinal Toxicity May Be by Reducing COX-2. Front Pharmacol. 2019 Mar 25;10. [CrossRef]
- Shafeeq S, Mahboob T. Magnesium supplementation ameliorates toxic effects of 2,4-dichlorophenoxyacetic acid in rat model. Hum Exp Toxicol. 2020 Jan 8;39(1):47–58. [CrossRef]
- Zhang Q, Zhou PH, Zhou XL, Zhang DL, Gu Q, Zhang SJ, et al. Effect of magnesium gluconate administration on lipid metabolism, antioxidative status, and related gene expression in rats fed a high-fat diet. Magnes Res. 2018 Nov 1;31(4):117–30. [CrossRef]
- Paik YH, Yoon YJ, Lee HC, Jung MK, Kang SH, Chung SI, et al. Antifibrotic effects of magnesium lithospermate B on hepatic stellate cells and thioacetamide-induced cirrhotic rats. Exp Mol Med. 2011 Jun 30;43(6):341–9. [CrossRef]
- El-Tantawy WH, Sabry D, Abd Al Haleem EN. Comparative study of antifibrotic activity of some magnesium-containing supplements on experimental liver toxicity. Molecular study. Drug Chem Toxicol. 2017 Jan 2;40(1):47–56. [CrossRef]
- Bian M, Chen X, Zhang C, Jin H, Wang F, Shao J, et al. Magnesium isoglycyrrhizinate promotes the activated hepatic stellate cells apoptosis via endoplasmic reticulum stress and ameliorates fibrogenesis in vitro and in vivo. BioFactors. 2017 Nov;43(6):836–46. [CrossRef]
- Pan X, Shao Y, Wang F, Cai Z, Liu S, Xi J, et al. Protective effect of apigenin magnesium complex on H 2 O 2 -induced oxidative stress and inflammatory responses in rat hepatic stellate cells. Pharm Biol. 2020 Jan 1;58(1):553–60. [CrossRef]
- Rocchi E, Borella P, Borghi A, Paolillo F, Pradelli M, Farina F, et al. Zinc and magnesium in liver cirrhosis. Eur J Clin Invest. 1994 Mar;24(3):149–55. [CrossRef]
- Koivisto M, Valta P, Höckerstedt K, Lindgren L. Magnesium depletion in chronic terminal liver cirrhosis. Clin Transplant. 2002 Oct;16(5):325–8. [CrossRef]
- Kar K, Dasgupta A, Vijaya Bhaskar M, Sudhakar K. Alteration of Micronutrient Status in Compensated and Decompensated Liver Cirrhosis. Indian Journal of Clinical Biochemistry. 2014 Apr 14;29(2):232–7. [CrossRef]
- Nangliya V, Sharma A, Yadav D, Sunder S, Nijhawan S, Mishra S. Study of Trace Elements in Liver Cirrhosis Patients and Their Role in Prognosis of Disease. Biol Trace Elem Res. 2015 May 24;165(1):35–40. [CrossRef]
- Cohen-Hagai K, Feldman D, Turani-Feldman T, Hadary R, Lotan S, Kitay-Cohen Y. Magnesium Deficiency and Minimal Hepatic Encephalopathy among Patients with Compensated Liver Cirrhosis. Isr Med Assoc J. 2018 Sep;20(9):533–8.
- Peng X, Xiang R, Li X, Tian H, Li C, Peng Z, et al. Magnesium deficiency in liver cirrhosis: a retrospective study. Scand J Gastroenterol. 2021 Apr 3;56(4):463–8. [CrossRef]
- Chacko RT, Chacko A. Serum & muscle magnesium in Indians with cirrhosis of liver. Indian J Med Res. 1997 Nov;106:469–74.
- Rahelić D, Kujundzić M, Romić Z, Brkić K, Petrovecki M. Serum concentration of zinc, copper, manganese and magnesium in patients with liver cirrhosis. Coll Antropol. 2006 Sep;30(3):523–8.
- Chaudhry A, Toori KU, Shaikh JI. To determine correlation between biochemical parameters of nutritional status with disease severity in HCV related liver cirrhosis. Pak J Med Sci. 2018 Jan 16;34(1). [CrossRef]
- Llibre-Nieto G, Lira A, Vergara M, Solé C, Casas M, Puig-Diví V, et al. Micronutrient Deficiencies in Patients with Decompensated Liver Cirrhosis. Nutrients. 2021 Apr 10;13(4):1249. [CrossRef]
- AAGAARD NK, ANDERSEN H, VILSTRUP H, CLAUSEN T, JAKOBSEN J, DORUP I. Muscle strength, Na,K-pumps, magnesium and potassium in patients with alcoholic liver cirrhosis - relation to spironolactone. J Intern Med. 2002 Jul;252(1):56–63. [CrossRef]
- Göksu N, Özsoylu Ş. Hepatic and Serum Levels of Zinc, Copper, and Magnesium in Childhood Cirrhosis. J Pediatr Gastroenterol Nutr. 1986 May;5(3):459–62. [CrossRef]
- Zou ZG, Rios FJ, Montezano AC, Touyz RM. TRPM7, Magnesium, and Signaling. Int J Mol Sci. 2019 Apr 16;20(8):1877.
- Cai N, Lou L, Al-Saadi N, Tetteh S, Runnels LW. The kinase activity of the channel-kinase protein TRPM7 regulates stability and localization of the TRPM7 channel in polarized epithelial cells. Journal of Biological Chemistry. 2018 Jul;293(29):11491–504. [CrossRef]
- Shi R, Fu Y, Zhao D, Boczek T, Wang W, Guo F. Cell death modulation by transient receptor potential melastatin channels TRPM2 and TRPM7 and their underlying molecular mechanisms. Biochem Pharmacol. 2021 Aug;190:114664. [CrossRef]
- Fang L, Zhan S, Huang C, Cheng X, Lv X, Si H, et al. TRPM7 channel regulates PDGF-BB-induced proliferation of hepatic stellate cells via PI3K and ERK pathways. Toxicol Appl Pharmacol. 2013 Nov;272(3):713–25. [CrossRef]
- Cai S, Wu L, Yuan S, Liu G, Wang Y, Fang L, et al. Carvacrol alleviates liver fibrosis by inhibiting TRPM7 and modulating the MAPK signaling pathway. Eur J Pharmacol. 2021 May;898:173982. [CrossRef]
- Ogunrinde A, Pereira RD, Beaton N, Lam DH, Whetstone C, Hill CE. Hepatocellular differentiation status is characterized by distinct subnuclear localization and form of the chanzyme TRPM7. Differentiation. 2017 Jul;96:15–25. [CrossRef]
- Badr H, Kozai D, Sakaguchi R, Numata T, Mori Y. Different Contribution of Redox-Sensitive Transient Receptor Potential Channels to Acetaminophen-Induced Death of Human Hepatoma Cell Line. Front Pharmacol. 2016 Feb 9;7. [CrossRef]
- Kim WR, Biggins SW, Kremers WK, Wiesner RH, Kamath PS, Benson JT, et al. Hyponatremia and Mortality among Patients on the Liver-Transplant Waiting List. New England Journal of Medicine. 2008 Sep 4;359(10):1018–26. [CrossRef]
- Gianoncelli A, Kourousias G, Merolle L, Altissimo M, Bianco A. Current status of the TwinMic beamline at Elettra: a soft X-ray transmission and emission microscopy station. J Synchrotron Radiat. 2016 Nov 1;23(6):1526–37. [CrossRef]
- Jark W, Grenci G. Focusing x-rays in two dimensions upon refraction in an inclined prism. In: Morawe C, Khounsary AM, Goto S, editors. Proceedings of SPIE. 2014. p. 92070A.
- Gianoncelli A, Kaulich B, Alberti R, Klatka T, Longoni A, de Marco A, et al. Simultaneous soft X-ray transmission and emission microscopy. Nucl Instrum Methods Phys Res A. 2009 Sep;608(1):195–8. [CrossRef]
- Gianoncelli A, Kourousias G, Stolfa A, Kaulich B. Recent developments at the TwinMic beamline at ELETTRA: an 8 SDD detector setup for low energy X-ray Fluorescence. J Phys Conf Ser. 2013 Mar 22;425(18):182001. [CrossRef]
- Gianoncelli A, Morrison GR, Kaulich B, Bacescu D, Kovac J. Scanning transmission x-ray microscopy with a configurable detector. Appl Phys Lett. 2006 Dec 18;89(25):251117. [CrossRef]
- Karydas AG, Czyzycki M, Leani JJ, Migliori A, Osan J, Bogovac M, et al. An IAEA multi-technique X-ray spectrometry endstation at Elettra Sincrotrone Trieste: benchmarking results and interdisciplinary applications. J Synchrotron Radiat. 2018 Jan 1;25(1):189–203. [CrossRef]
- Solé VA, Papillon E, Cotte M, Walter Ph, Susini J. A multiplatform code for the analysis of energy-dispersive X-ray fluorescence spectra. Spectrochim Acta Part B At Spectrosc. 2007 Jan;62(1):63–8. [CrossRef]
- Simon Petersson, Klas Sehlstedt. Variable selection techniques for the Cox proportional hazards model: A comparative study. [Gothenburg]: University of Gothenburg; 2018.
- Barbagallo M, Veronese N, Dominguez LJ. Magnesium in Aging, Health and Diseases. Nutrients. 2021 Jan 30;13(2):463.
- Alexander RT, Dimke H. Effect of diuretics on renal tubular transport of calcium and magnesium. American Journal of Physiology-Renal Physiology. 2017 Jun 1;312(6):F998–1015. [CrossRef]
- Parisse S, Ferri F, Persichetti M, Mischitelli M, Abbatecola A, Di Martino M, et al. Low serum magnesium concentration is associated with the presence of viable hepatocellular carcinoma tissue in cirrhotic patients. Sci Rep. 2021 Jul 26;11(1):15184. [CrossRef]
- Pickering G, Mazur A, Trousselard M, Bienkowski P, Yaltsewa N, Amessou M, et al. Magnesium Status and Stress: The Vicious Circle Concept Revisited. Nutrients. 2020 Nov 28;12(12):3672. [CrossRef]
- Stankovic MS, Janjetovic K, Velimirovic M, Milenkovic M, Stojkovic T, Puskas N, et al. Effects of IL-33/ST2 pathway in acute inflammation on tissue damage, antioxidative parameters, magnesium concentration and cytokines profile. Exp Mol Pathol. 2016 Aug;101(1):31–7.
- Castiglioni S, Cazzaniga A, Locatelli L, Maier JA. Burning magnesium, a sparkle in acute inflammation: gleams from experimental models. Magnes Res. 2017 Jan;30(1):8–15. [CrossRef]
- González-Recio I, Simón J, Goikoetxea-Usandizaga N, Serrano-Maciá M, Mercado-Gómez M, Rodríguez-Agudo R, et al. Restoring cellular magnesium balance through Cyclin M4 protects against acetaminophen-induced liver damage. Nat Commun. 2022 Nov 25;13(1):6816. [CrossRef]
- Shi R, Fu Y, Zhao D, Boczek T, Wang W, Guo F. Cell death modulation by transient receptor potential melastatin channels TRPM2 and TRPM7 and their underlying molecular mechanisms. Biochem Pharmacol. 2021 Aug;190:114664. [CrossRef]






![]() |
![]()
|
![]() |
![]() |
Disclaimer/Publisher’s Note: The statements, opinions and data contained in all publications are solely those of the individual author(s) and contributor(s) and not of MDPI and/or the editor(s). MDPI and/or the editor(s) disclaim responsibility for any injury to people or property resulting from any ideas, methods, instructions or products referred to in the content. |
© 2023 by the authors. Licensee MDPI, Basel, Switzerland. This article is an open access article distributed under the terms and conditions of the Creative Commons Attribution (CC BY) license (http://creativecommons.org/licenses/by/4.0/).





