Submitted:
04 May 2023
Posted:
05 May 2023
You are already at the latest version
Abstract
Keywords:
1. Introduction
2. Materials and Methods
2.1. Patients
2.2. CT Imaging
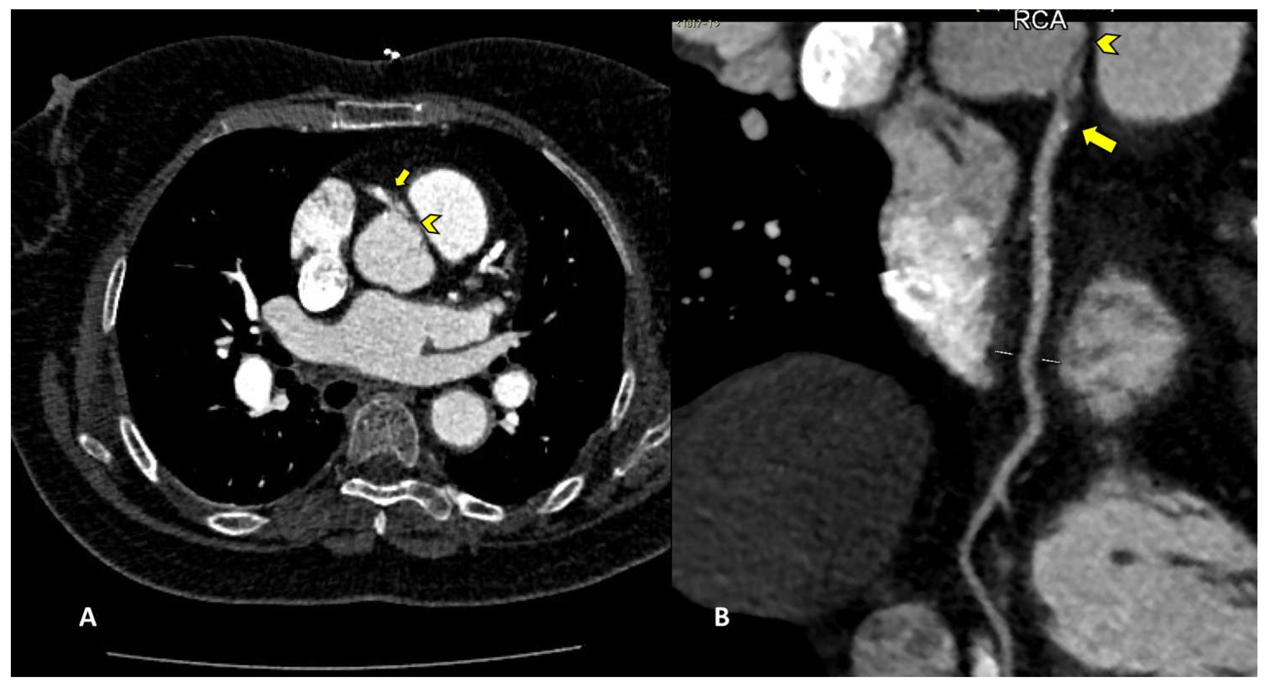
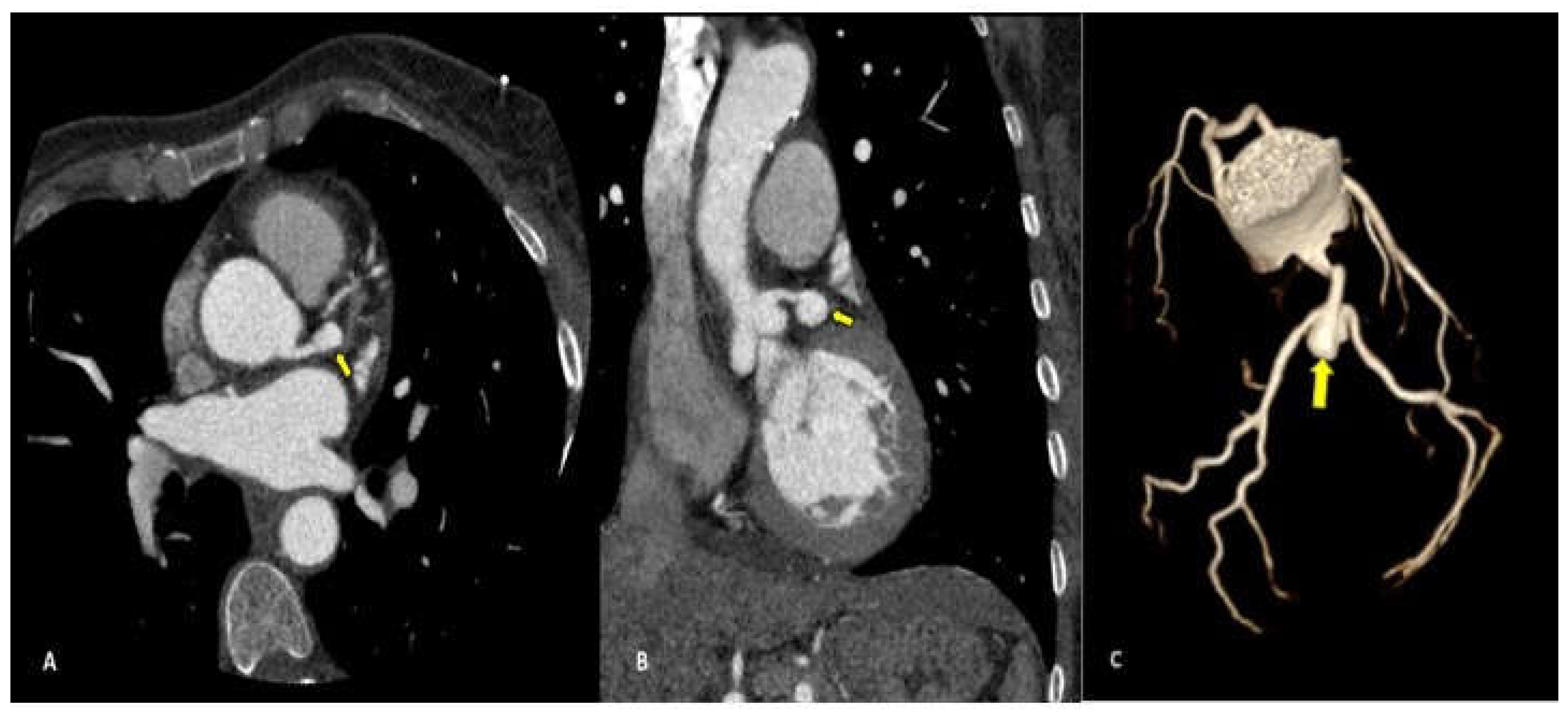
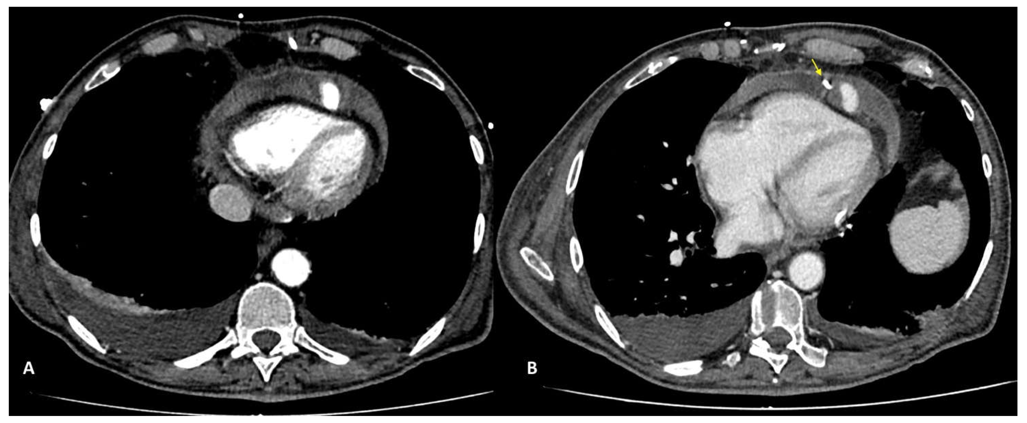
3. Results
4. Discussion
5. Conclusions
Author Contributions
Funding
Institutional Review Board Statement
Informed Consent Statement
Data Availability Statement
Conflicts of Interest
Abbreviations
| CAD | Coronary artery disease |
| CCTA | Coronary Computed Tomography Angiography |
| TAVI | Transcatheter aortic valve implantation |
| i.v. | intra-venous |
| PMK | Pacemaker |
| PCI | Percutaneous coronary intervention |
| RCA | Right coronary artery |
| LMCA | Left main coronary artery |
| LAD | Left anterior descending |
References
- Fyyaz, S.; Rasoul, H.; Miles, C.; Olabintan, O.; David, S.; Plein, S.; Alfakih, K. ESC 2019 guidelines on chronic coronary syndromes: Could calcium scoring improve detection of coronary artery disease in patients with low risk score. Findings from a retrospective cohort of patients in a district general hospital. JRSM Cardiovasc Dis 2021, 10, 20480040211032789. [Google Scholar] [CrossRef] [PubMed]
- Hsiao, E.M.; Rybicki, F.J.; Steigner, M. CT coronary angiography: 256-slice and 320-detector row scanners. Curr Cardiol Rep 2010, 12, 68–75. [Google Scholar] [CrossRef] [PubMed]
- Pan, Y.Y.; Zhou, S.C.; Wang, Y.J.; Li, Q.; Zhu, T.T.; Liu, C.X.; Guan, H.X. Application of Low Tube Voltage, Low-concentration Contrast Agent Using a 320-row CT in Coronary CT Angiography: Evaluation of Image Quality, Radiation Dose and Iodine Intake. Curr Med Sci 2020, 40, 178–183. [Google Scholar] [CrossRef]
- Liguori, C.; Tamburrini, S.; Ferrandino, G.; Leboffe, S.; Rosano, N.; Marano, I. Role of CT and MRI in Cardiac Emergencies. Tomography 2022, 8, 1386–1400. [Google Scholar] [CrossRef] [PubMed]
- Lehmkuhl, L.; Foldyna, B.; Haensig, M.; von Aspern, K.; Lucke, C.; Andres, C.; Grothoff, M.; Riese, F.; Nitzsche, S.; Holzhey, D.; et al. Role of preprocedural computed tomography in transcatheter aortic valve implantation. Rofo 2013, 184, 941–949. [Google Scholar] [CrossRef] [PubMed]
- Opolski, M.P. Cardiac Computed Tomography for Planning Revascularization Procedures. J Thorac Imaging 2018, 33, 35–54. [Google Scholar] [CrossRef] [PubMed]
- Roller, F.C.; Harth, S.; Rixe, J.; Krombach, G.A.; Schneider, C. Development and Suggestion of a Cardiac CTA Scoring System for the Prediction of Revascularization Success in Chronic Total Occlusions (CTO) of the Coronary Arteries. Rofo 2016, 188, 172–178. [Google Scholar] [CrossRef]
- Shimahara, Y.; Kobayashi, J.; Kanzaki, S.; Higashi, M. [Role of cardiac computed tomography in cardiac surgery]. Kyobu Geka 2014, 67, 612–617. [Google Scholar]
- Marwan, M.; Achenbach, S. Role of Cardiac CT Before Transcatheter Aortic Valve Implantation (TAVI). Curr Cardiol Rep 2016, 18, 21. [Google Scholar] [CrossRef]
- Refaat, M.M.; Hashash, J.G.; Shalaby, A.A. Late perforation by cardiac implantable electronic device leads: Clinical presentation, diagnostic clues, and management. Clin Cardiol 2010, 33, 466–475. [Google Scholar] [CrossRef]
- Baumann, S.; Behnes, M.; Sartorius, B.; Becher, T.; El-Battrawy, I.; Fastner, C.; Ansari, U.; Lossnitzer, D.; Mashayekhi, K.; Henzler, T. Follow-up of iatrogenic aorto-coronary "Dunning" dissections by cardiac computed tomography imaging. BMC Med Imaging 2017, 17, 64. [Google Scholar] [CrossRef]
- Boxma, R.P.J.; Kolff-Kamphuis, M.G.M.; Gevers, R.M.M.; Boulaksil, M. Subacute right ventricular pacemaker lead perforation: Evaluation by echocardiography and cardiac CT. J Echocardiogr 2017, 15, 188–190. [Google Scholar] [CrossRef] [PubMed]
- Soschynski, M.; Capilli, F.; Ruile, P.; Neumann, F.J.; Langer, M.; Krauss, T. Post-TAVI Follow-Up with MDCT of the Valve Prosthesis: Technical Application, Regular Findings and Typical Local Post-Interventional Complications. Rofo 2018, 190, 521–530. [Google Scholar] [CrossRef] [PubMed]
- Tanasie, C.; Chandonnet, M.; Chin, A.; Kokis, A.; Ly, H.; Perrault, L.P.; Chartrand-Lefebvre, C. Catheter-induced aortic dissection after invasive coronary angiography: Evaluation with MDCT. AJR Am J Roentgenol 2011, 197, 1335–1340. [Google Scholar] [CrossRef] [PubMed]
- Kakefuda, Y.; Hayashida, K.; Yamada, Y.; Yashima, F.; Inohara, T.; Yanagisawa, R.; Tanaka, M.; Arai, T.; Kawakami, T.; Maekawa, Y.; et al. Impact of Subclinical Vascular Complications Detected by Systematic Postprocedural Multidetector Computed Tomography After Transcatheter Aortic Valve Implantation Using Balloon-Expandable Edwards SAPIEN XT Heart Valve. Am J Cardiol 2017, 119, 1100–1105. [Google Scholar] [CrossRef] [PubMed]
- Khan, M.N.; Joseph, G.; Khaykin, Y.; Ziada, K.M.; Wilkoff, B.L. Delayed lead perforation: A disturbing trend. Pacing Clin Electrophysiol 2005, 28, 251–253. [Google Scholar] [CrossRef]
- Kim, J.H.; Baek, S.E.; Kim, Y.J.; Suh, Y.J. Coronary CTA for Acute Chest Pain in the Emergency Department: Comparison of 64-Detector Row Single-Source and Third-Generation Dual-Source Scanners. AJR Am J Roentgenol 2023. [CrossRef]
- Dunning, D.W.; Kahn, J.K.; Hawkins, E.T.; O'Neill, W.W. Iatrogenic coronary artery dissections extending into and involving the aortic root. Catheter Cardiovasc Interv 2000, 51, 387–393. [Google Scholar] [CrossRef]
- Biswas, S.; Hristov, B.; Kinthala, S.; Abrol, S. Post Traumatic Pseudoaneurysm of Left Anterior Descending Artery Presenting as Acute Coronary Syndrome. Cardiol Res 2019, 10, 114–119. [Google Scholar] [CrossRef]
- Eggebrecht, H.; Haude, M.; von Birgelen, C.; Oldenburg, O.; Baumgart, D.; Herrmann, J.; Welge, D.; Bartel, T.; Dagres, N.; Erbel, R. Nonsurgical retrieval of embolized coronary stents. Catheter Cardiovasc Interv 2000, 51, 432–440. [Google Scholar] [CrossRef]
- Lak, H.M.; Goyal, A. Pacemaker Types and Selection. In: StatPearls. edn. Treasure Island (FL); 2022.
- Ellenbogen, K.A.; Wood, M.A.; Shepard, R.K. Delayed complications following pacemaker implantation. Pacing Clin Electrophysiol 2002, 25, 1155–1158. [Google Scholar] [CrossRef] [PubMed]
- Cano, O.; Andres, A.; Alonso, P.; Osca, J.; Sancho-Tello, M.J.; Olague, J.; Martinez-Dolz, L. Incidence and predictors of clinically relevant cardiac perforation associated with systematic implantation of active-fixation pacing and defibrillation leads: A single-centre experience with over 3800 implanted leads. Europace 2017, 19, 96–102. [Google Scholar] [CrossRef] [PubMed]
- Sterlinski, M.; Przybylski, A.; Maciag, A.; Syska, P.; Pytkowski, M.; Lewandowski, M.; Kowalik, I.; Firek, B.; Kolsut, P.; Religa, G.; et al. Subacute cardiac perforations associated with active fixation leads. Europace 2009, 11, 206–212. [Google Scholar] [CrossRef] [PubMed]
- Wendler, O.; Thielmann, M.; Schroefel, H.; Rastan, A.; Treede, H.; Wahlers, T.; Eichinger, W.; Walther, T. Worldwide experience with the 29-mm Edwards SAPIEN XT transcatheter heart valve in patients with large aortic annulus. Eur J Cardiothorac Surg 2013, 43, 371–377. [Google Scholar] [CrossRef] [PubMed]
- Ussia, G.P.; Barbanti, M.; Sarkar, K.; Aruta, P.; Scarabelli, M.; Cammalleri, V.; Imme, S.; Pistritto, A.M.; Gulino, S.; Mule, M.; et al. Transcatheter aortic bioprosthesis dislocation: Technical aspects and midterm follow-up. EuroIntervention 2012, 7, 1285–1292. [Google Scholar] [CrossRef] [PubMed]
- Berdat, P.A.; Chatterjee, T.; Pfammatter, J.P.; Windecker, S.; Meier, B.; Carrel, T. Surgical management of complications after transcatheter closure of an atrial septal defect or patent foramen ovale. J Thorac Cardiovasc Surg 2000, 120, 1034–1039. [Google Scholar] [CrossRef] [PubMed]
- Chessa, M.; Carminati, M.; Butera, G.; Bini, R.M.; Drago, M.; Rosti, L.; Giamberti, A.; Pome, G.; Bossone, E.; Frigiola, A. Early and late complications associated with transcatheter occlusion of secundum atrial septal defect. J Am Coll Cardiol 2002, 39, 1061–1065. [Google Scholar] [CrossRef]
- Latson, L.A. Transcatheter closure of paraprosthetic valve leaks after surgical mitral and aortic valve replacements. Expert Rev Cardiovasc Ther 2009, 7, 507–514. [Google Scholar] [CrossRef]
- Swan, L.; Varma, C.; Yip, J.; Warr, M.; Webb, G.; Benson, L.; McLaughlin, P. Transcatheter device closure of atrial septal defects in the elderly: Technical considerations and short-term outcomes. Int J Cardiol 2006, 107, 207–210. [Google Scholar] [CrossRef]
- Piatkowski, R.; Kochanowski, J.; Scislo, P.; Kochman, J.; Opolski, G. Dislocation of Amplatzer septal occluder device after closure of secundum atrial septal defect. J Am Soc Echocardiogr 2010, 23, 1007 e1001–1002. [Google Scholar] [CrossRef]
- Scott, N.S.; King, M.E.; McQuillan, B.; Shariff, S.; Hung, J.W.; Januzzi, J.L.; Palacios, I.F.; Picard, M.H. Effect of atrial septal mobility on transcatheter closure of interatrial communications. Echocardiography 2003, 20, 711–714. [Google Scholar] [CrossRef] [PubMed]







| Population | Males | Females | Age Range | |||||
| 18 | 9 | 47-86 (68.3) | ||||||
| Dissection | PMK Compl. | Valvular Int. Compl. | PSA | Stent Compl. | Air Embolism | Occluders Compl. | Total Compl | |
| Acute Pres. | 6 | 1 | 2 | - | - | 1 | - | |
| Chronic Pres. | - | 4 | 5 | 3 | 4 | - | 1 | |
| 6 | 5 | 7 | 3 | 4 | 1 | 1 | 27 |
Disclaimer/Publisher’s Note: The statements, opinions and data contained in all publications are solely those of the individual author(s) and contributor(s) and not of MDPI and/or the editor(s). MDPI and/or the editor(s) disclaim responsibility for any injury to people or property resulting from any ideas, methods, instructions or products referred to in the content. |
© 2023 by the authors. Licensee MDPI, Basel, Switzerland. This article is an open access article distributed under the terms and conditions of the Creative Commons Attribution (CC BY) license (http://creativecommons.org/licenses/by/4.0/).