Preprint
Case Report

This version is not peer-reviewed.

Characteristic of Uterine Rhabdomyosarcoma by Algorithm of Potential Biomarkers for Uterine Mesenchymal Tumor

A peer-reviewed article of this preprint also exists.

Submitted:

04 March 2022

Posted:

07 March 2022

You are already at the latest version

Abstract
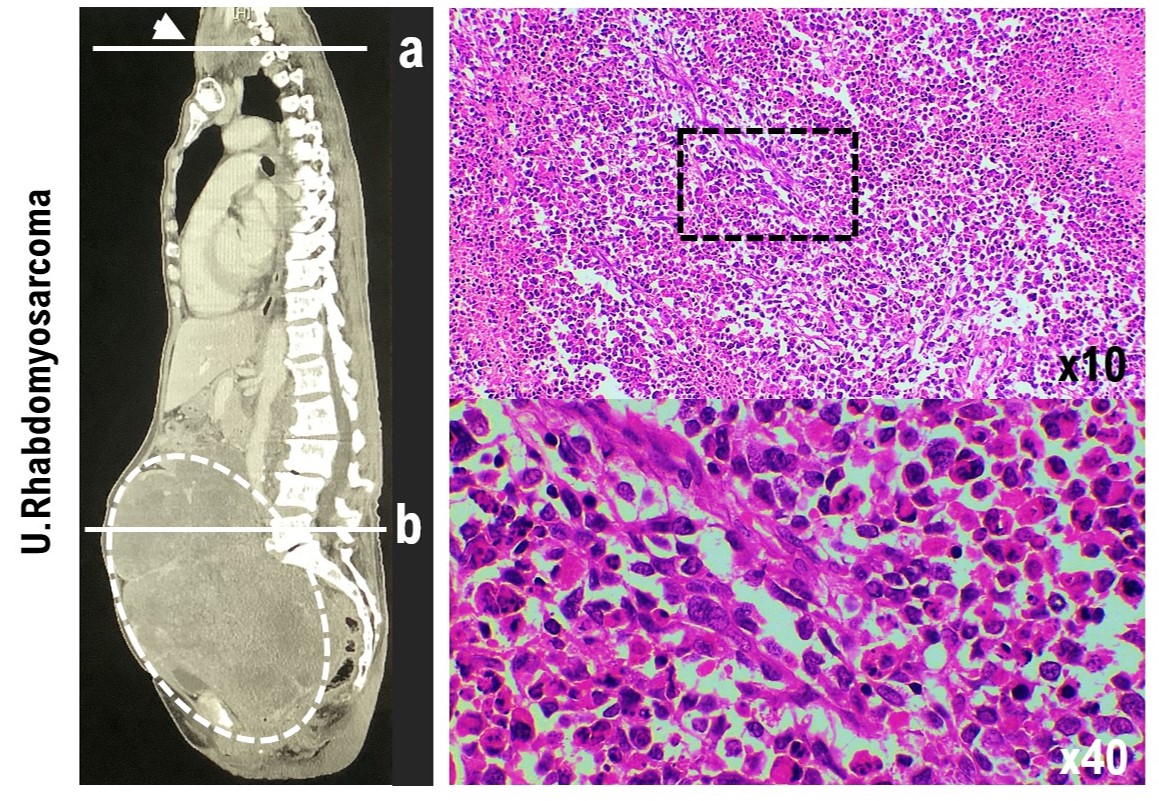
Background/Aim: Patients with uterine sarcoma comprise 2%–5% of all patients with uterine malignancies; however, the morbidity of uterine sarcoma is low compared with that of other gynecological cancers. For many cases, malignant uterine tumors are diagnosed during follow-up of benign uterine leiomyoma. Of the uterine sarcomas, rhabdomyosarcoma is considered a mixed tumor containing components of epithelial cells and mesenchymal cells. Therefore, the onset of primary uterine rhabdomyosarcoma during follow-up of uterine leiomyoma is extremely rare. Rhabdomyosarcoma is a relatively common malignant tumor in children, but rhabdomyosarcoma in adults is extremely rare, accounting for approximately 3% of all patients with soft tissue sarcoma. Rhabdomyosarcoma in children is highly sensitive to chemotherapy and radiation therapy; however, the response to chemotherapy and radiation therapy in adult rhabdomyosarcoma is low and survival in adult rhabdomyosarcoma with metastatic lesions to other organs is approximately 14 months. We experienced a case of polymorphic rhabdomyosarcoma during the follow-up of a uterine leiomyoma. Materials and Methods: We examined the oncological properties of uterine rhabdomyosarcoma in adults using molecular pathological techniques on tissue excised from patients with uterine leiomyoma. Result: A differential diagnosis was made for this case by molecular pathology, which included candidate biomarkers for uterine smooth muscle tumors. The oncological nature of uterine rhabdomyosarcoma was found to be similar to the oncological properties of uterine leiomyosarcoma. However, in uterine rhabdomyosarcoma, LMP2/1i-positive cells were clearly observed. Conclusion: It is expected that establishing a diagnostic and treatment method targeting characteristics of mesenchymal tumor cells will lead to the treatment of malignant tumors with a low risk of recurrence and metastasis.
Keywords: 
;  ;  ;  
Copyright: This open access article is published under a Creative Commons CC BY 4.0 license, which permit the free download, distribution, and reuse, provided that the author and preprint are cited in any reuse.
Prerpints.org logo

Preprints.org is a free preprint server supported by MDPI in Basel, Switzerland.

Subscribe

Disclaimer

Terms of Use

Privacy Policy

Privacy Settings

© 2026 MDPI (Basel, Switzerland) unless otherwise stated