Preprint
Article

This version is not peer-reviewed.

Preoperative Endovascular Embolization in Glioblastoma: Insights from a Three-Case Series and Narrative Review of a Rarely Reported Strategy

Submitted:

22 April 2026

Posted:

23 April 2026

You are already at the latest version

Abstract
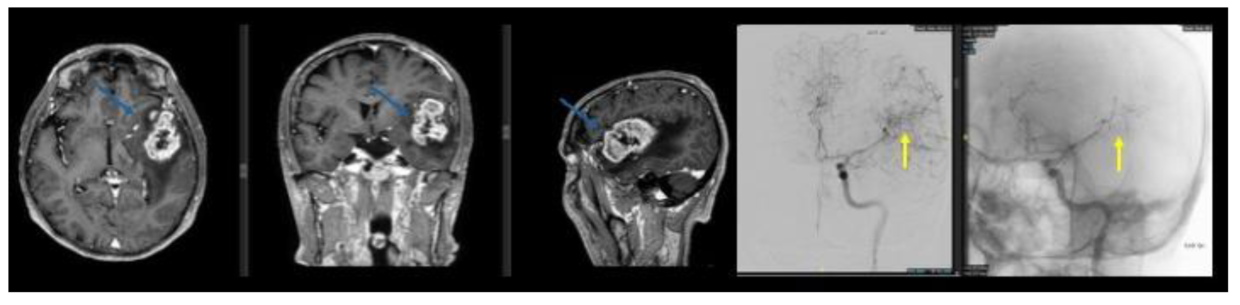
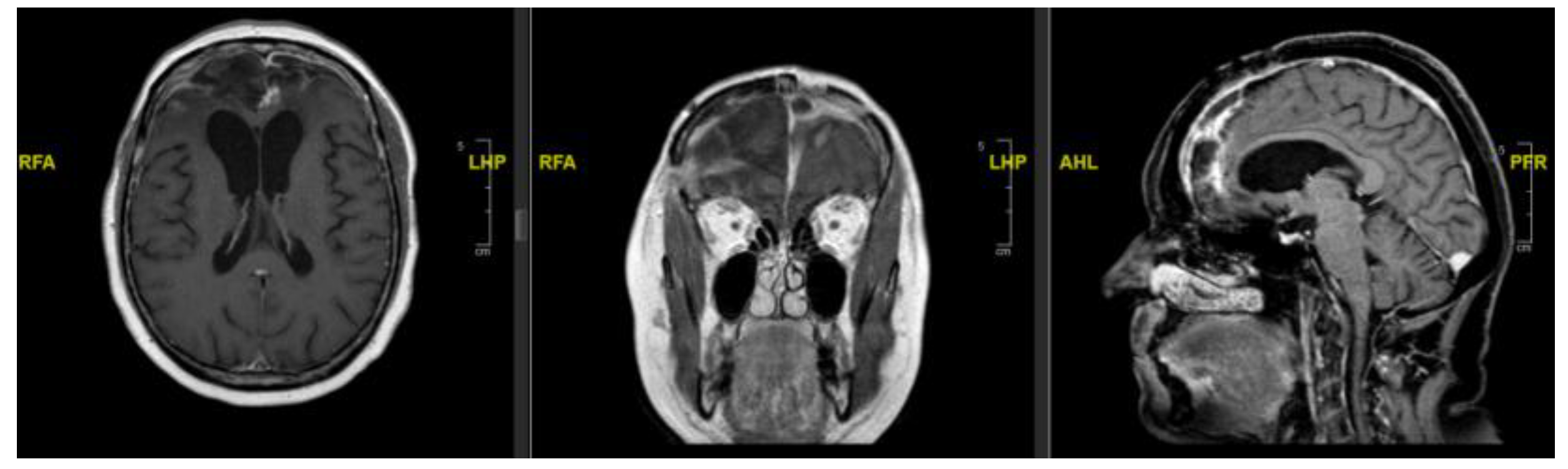
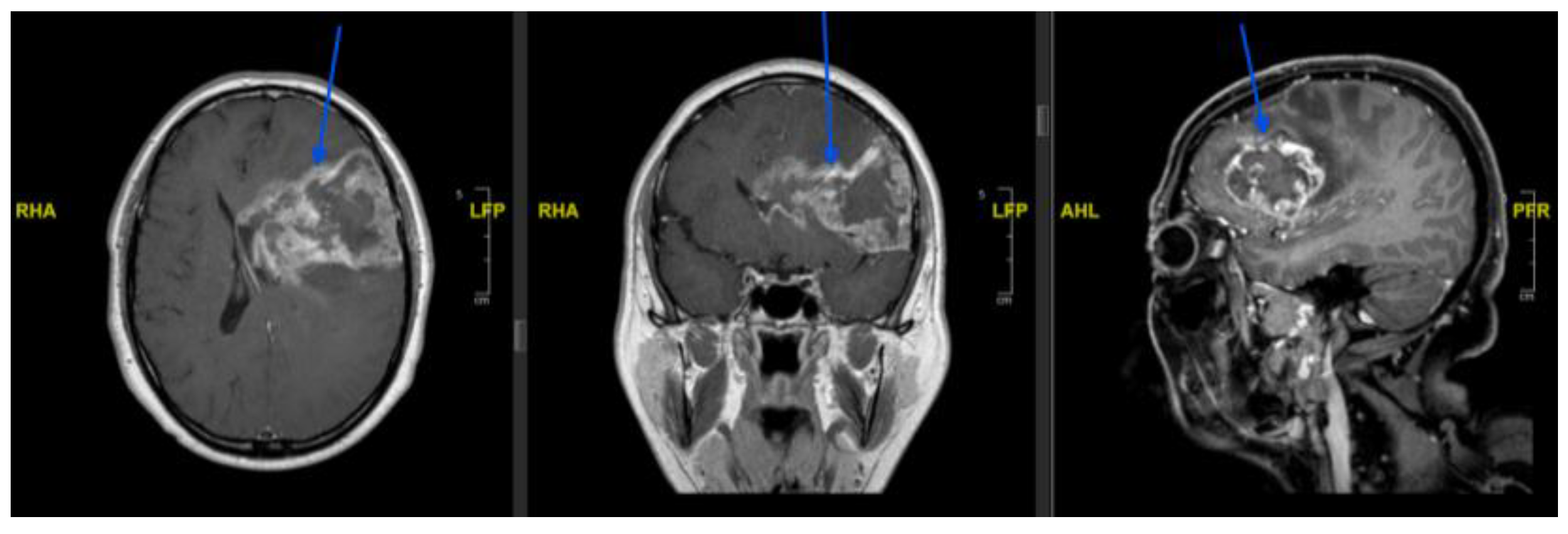
Background and Clinical Significance: Glioblastoma is the most common and aggressive primary malignant brain tumour in adults. Maximal safe surgical resection remains the cornerstone of treatment; however, tumour vascularisation may increase the risk of in-traoperative bleeding and complicate surgical management. Preoperative endovascular embolisation is commonly used for highly vascular intracranial tumours such as men-ingiomas, whereas its role in glioblastoma remains poorly defined. A focused literature review using the search string (((preoperative) AND (endovascular)) AND (embolization)) AND (glioblastoma) identified only two relevant publications, highlighting the scarcity of available evidence. In this context, we report a case series of three patients with intra-cranial lesions suspected to be high-grade gliomas who underwent preoperative angi-ographic evaluation and, when feasible, endovascular embolisation prior to surgical resection. Case Presentation: Three patients presenting with large intracranial lesions suggestive of high-grade glioma underwent preoperative digital subtraction angi-ography to assess tumour vascular supply (histological analysis confirmed the diagnosis of glioblastoma). In a 61-years-old woman with a right frontal tumour, selective catheteri-sation of a frontal branch of the right anterior cerebral artery enabled embolisation with coils, achieving partial tumour devascularisation before surgery. A second patient, a 53-year-old man with a large left temporo-fronto-insular mass extending to the corpus callosum, underwent embolisation of tumour feeders arising from the anterior choroidal artery using N-butyl cyanoacrylate and Lipiodol prior to resection. In a third case, a 77-year-old man with a left temporo-parietal lesion underwent preoperative angiography that demonstrated tumour capillary blush but no catheterisable feeding arteries, and embolisation was therefore not feasible. All patients subsequently underwent surgical resection without perioperative complications or new neurological deficits. Conclusions: Preoperative angiographic evaluation may help characterise tumour vascular supply in selected glioblastoma cases. When identifiable arterial feeders are present, endovascular embolisation may represent a feasible adjunct to facilitate surgical management. Further studies are required to better define the indications, safety profile, and potential benefits of this approach.
Keywords: 
;  ;  ;  ;  
Copyright: This open access article is published under a Creative Commons CC BY 4.0 license, which permit the free download, distribution, and reuse, provided that the author and preprint are cited in any reuse.
Prerpints.org logo

Preprints.org is a free preprint server supported by MDPI in Basel, Switzerland.

Subscribe

Disclaimer

Terms of Use

Privacy Policy

Privacy Settings

© 2026 MDPI (Basel, Switzerland) unless otherwise stated