Preprint
Review

This version is not peer-reviewed.

Conjunctival Squamous Cell Carcinoma: A Clinical Review of Diagnostic Features, Genetics, Current Management and an Update on Targeted and Immunotherapies

Submitted:

10 February 2026

Posted:

11 February 2026

You are already at the latest version

Abstract
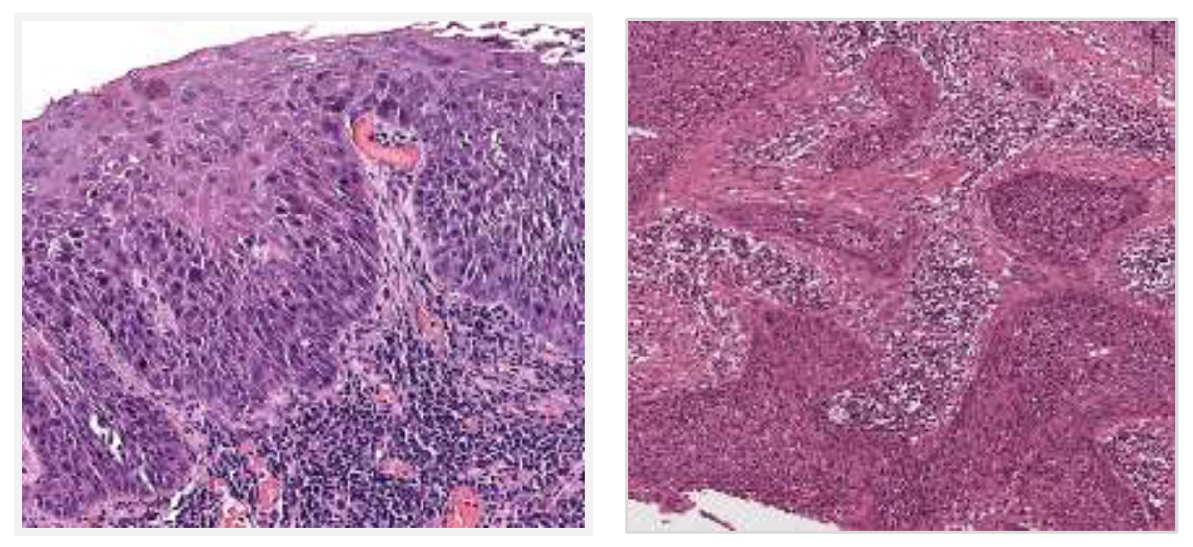
Invasive conjunctival squamous cell carcinoma (CSCC) is an aggressive, ocular surface malignancy. The mean annual age-standardised incidence rate of 0.45 cases per million per year is increasing with an average annual percent rise of 4.5% and occurs mainly in over 65-year-olds in temperate climates but in a younger demographic in the tropics. Invasive CSCC can lead to vision loss either from the destructive effects of the tumour or side effects of therapy, facial disfigurement from radical surgery, and death from metastases. There is no standardised treatment and not all cases are referred to a specialist ocular oncology centre. Recent progress in cancer immunology and genetics has revolutionised the treatment of cutaneous and head and neck SCCs, which share some similarities to invasive CSCC. A better understanding of invasive CSCC and its preinvasive intraepithelial lesions is required to lead to the development of novel targeted and immunotherapies both for local tumour control, globe sparing alternatives and to prevent disseminated disease. This review aims to provide a comprehensive clinical overview of the current knowledge regarding CSSC, its epidemiology, pathogenesis, presentation, diagnosis, management, recent advances in targeted and immunotherapies for personalised treatment of this disease, and early diagnosis strategies to improve patient outcomes.
Keywords: 
;  ;  ;  ;  ;  ;  
Copyright: This open access article is published under a Creative Commons CC BY 4.0 license, which permit the free download, distribution, and reuse, provided that the author and preprint are cited in any reuse.
Prerpints.org logo

Preprints.org is a free preprint server supported by MDPI in Basel, Switzerland.

Subscribe

Disclaimer

Terms of Use

Privacy Policy

Privacy Settings

© 2026 MDPI (Basel, Switzerland) unless otherwise stated