Submitted:
30 December 2025
Posted:
01 January 2026
You are already at the latest version
Abstract
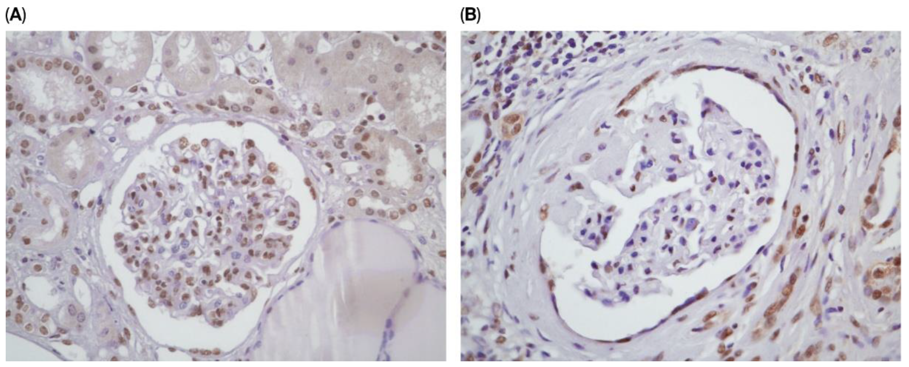
Background/Objectives: IgA nephropathy (IgAN) is the most common primary glomerulopathy worldwide; it is characterized by a complex pathophysiology involving several inflammatory pathways. The Janus kinase/signal transducer and activator of transcription (JAK/STAT) pathway may be critical in this process. This study aimed to investigate the role of this pathway in IgAN and examine related tissue inflammatory markers. Methods: We analyzed 63 biopsy-confirmed patients with IgAN and performed immunohistochemical analysis on renal samples. A panel of antibodies targeting the JAK/STAT pathway, including JAK2, JAK3, p-STAT, STAT3, and MAPK/ERK, was used for this analysis. Six kidney tumor border samples were used as controls. Additionally, CD68 staining was used to evaluate tissue inflammation in the kidney biopsies. Results: Patients with IgAN showed a significantly higher cellular density of JAK3 staining at the glomerular level compared to controls, indicating JAK3 activation (p < 0.0002). Nevertheless, the correlation between JAK3 positivity in glomeruli and clinical parameters such as the initial and final estimated glomerular filtration rate (eGFR) and proteinuria was not statistically significant. Identical results were obtained with CD68+ macrophage counts in the glomerular compartment, which did not show any correlation with clinical parameters, while CD68+ tubulointerstitial staining demonstrated a significant correlation with both initial (p = 0.002) and final eGFRs (p = 0.0014), proteinuria (p = 0.010), and interstitial fibrosis (p < 0.001), as well as with renal disease progression (p = 0.005). Conclusions: Patients with IgAN exhibited activation of the JAK/STAT pathway, in contrast to controls. Macrophage CD68 staining in the tubulointerstitial area increased and was associated with clinical and laboratory parameters such as eGFR and proteinuria. Additionally, MEST-C histological parameters, such as segmental glomerulosclerosis (S0/S1), tubular atrophy/interstitial fibrosis (T0/T1/T2), and crescents (C0/C1/C2), were associated with a higher number of CD68+ cells.
