Submitted:
27 August 2025
Posted:
03 September 2025
You are already at the latest version
Abstract

Keywords:
1. Introduction
2. Materials and Methods
2.1. Animals
2.2. Generation of Atopic Dermatitis Mouse Model:
2.3. Preparation and Treatment with Tap Water and Hot Spring Water:
2.4. Measurement of Transepithelial Water Loss (TEWL)
2.5. Preparation of Skin Samples for Staining
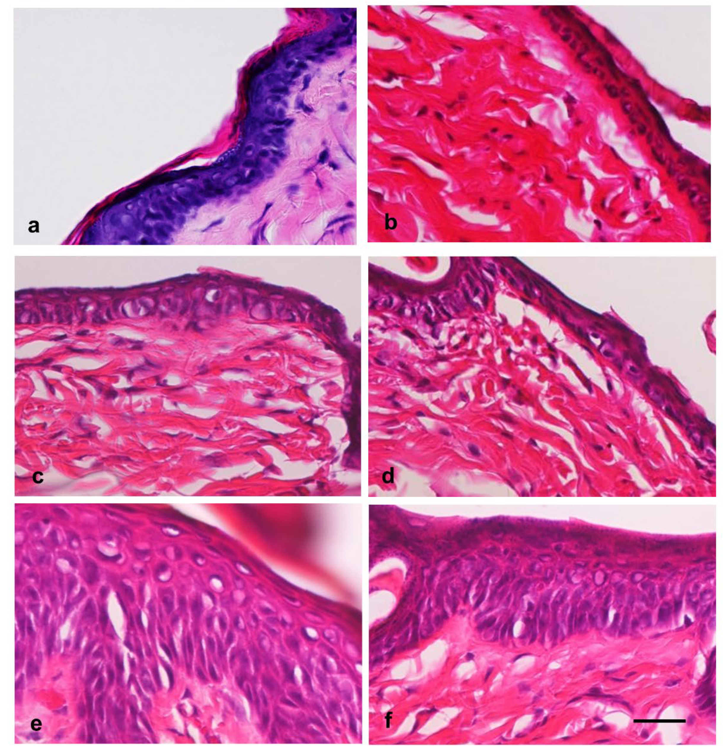
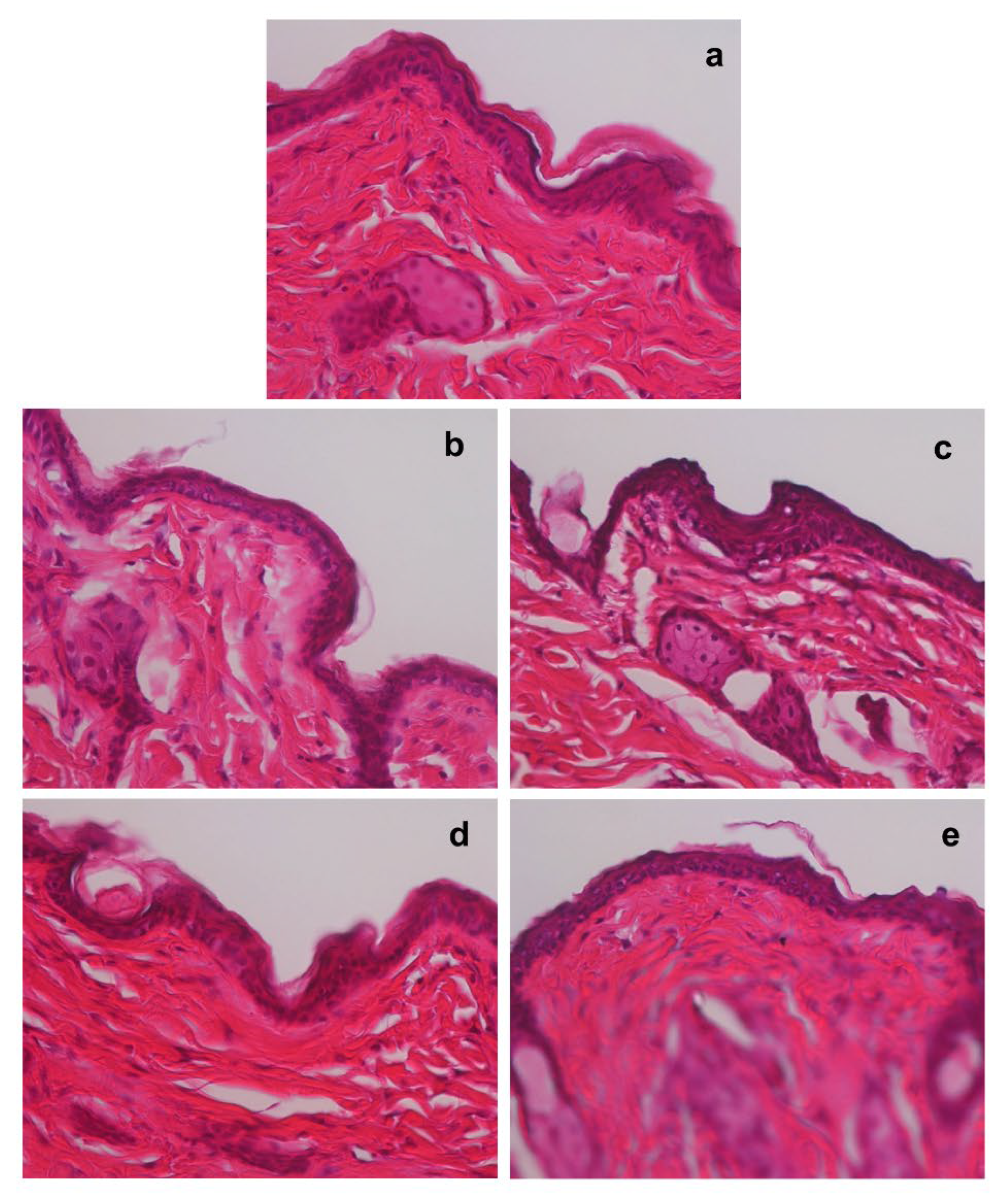
2.6. Histological Examination
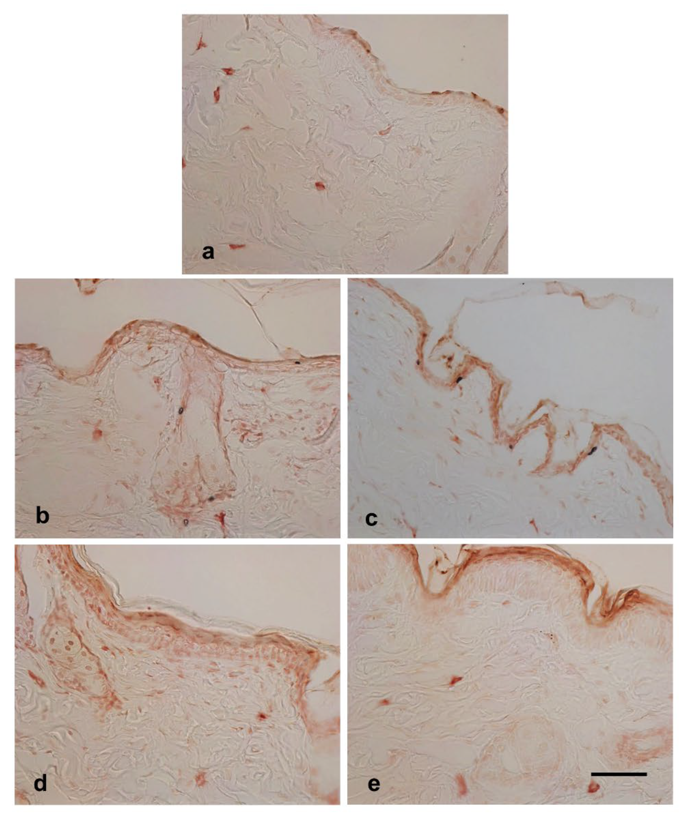
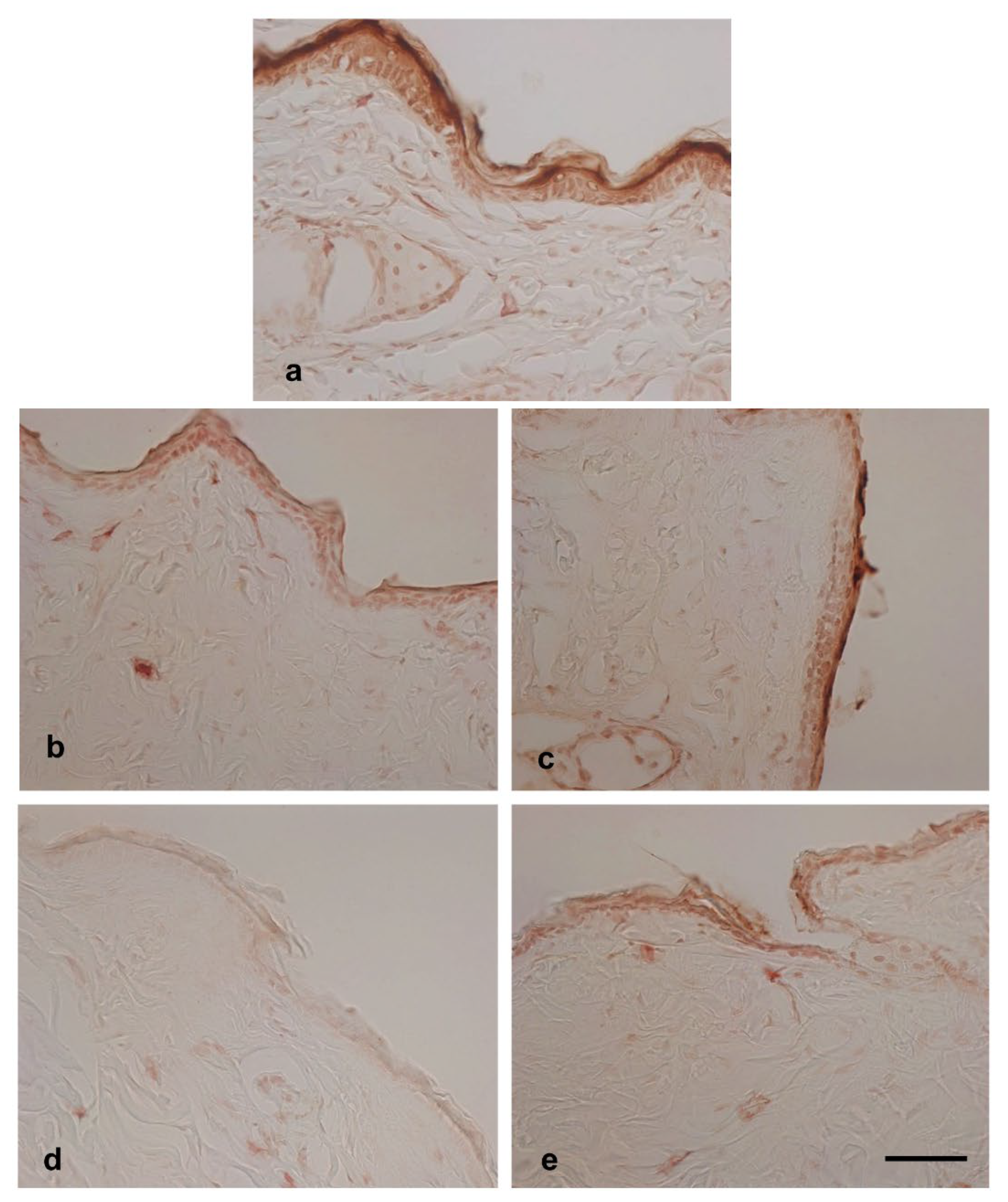
2.7. Immunostaining
2.8. Statistical Analysis
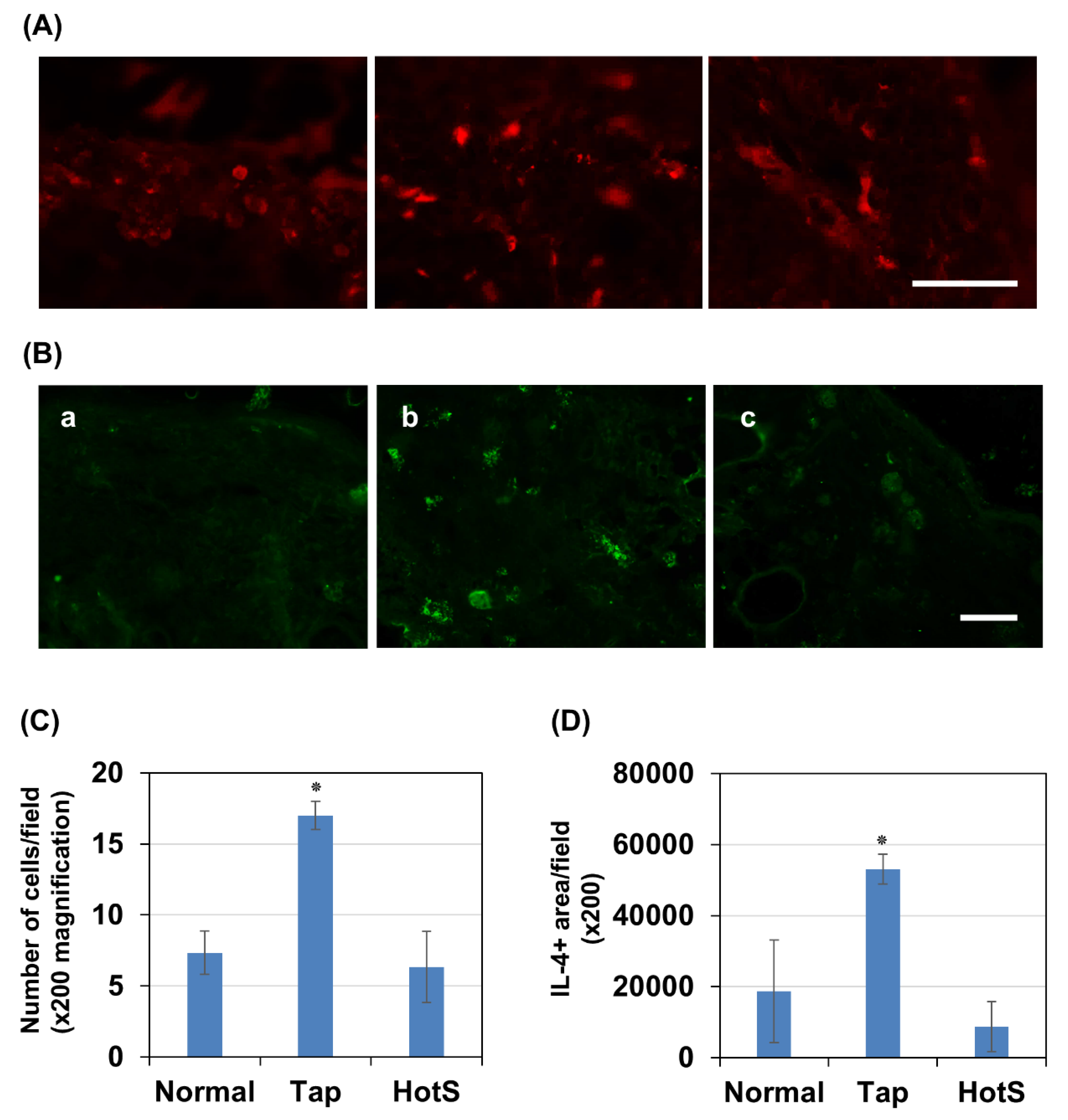
3. Results


4. Discussion
5. Conclusions
Author Contributions
Funding
Data Availability Statement
Acknowledgments
Conflicts of Interest
References
- Torres, T. , et al., Update on atopic dermatitis. Acta medica portuguesa 2019, 32, 606–613. [Google Scholar] [CrossRef]
- Frazier, W. and N. Bhardwaj, Atopic dermatitis: diagnosis and treatment. American family physician 2020, 101, 590–598. [Google Scholar]
- Lugović-Mihić, L. , et al., Atopic dermatitis: Disease features, therapeutic options, and a multidisciplinary approach. Life 2023, 13, 1419. [Google Scholar] [CrossRef]
- Morar, N. , et al., The genetics of atopic dermatitis. Journal of Allergy and Clinical Immunology 2006, 118, 24–34. [Google Scholar] [CrossRef]
- Pareek, A. , et al., Unraveling Atopic Dermatitis: Insights into Pathophysiology, Therapeutic Advances, and Future Perspectives. Cells 2024, 13, 425. [Google Scholar] [CrossRef]
- Sandilands, A. , et al., Filaggrin in the frontline: role in skin barrier function and disease. Journal of cell science 2009, 122, 1285. [Google Scholar] [CrossRef]
- Furue, M. , T helper type 2 signatures in atopic dermatitis. Journal of Cutaneous Immunology and Allergy 2018, 1, 93–99. [Google Scholar] [CrossRef]
- Gittler, J.K. , et al., Progressive activation of TH2/TH22 cytokines and selective epidermal proteins characterizes acute and chronic atopic dermatitis. Journal of Allergy and Clinical Immunology 2012, 130, 1344–1354. [Google Scholar] [CrossRef]
- Meng, J. , et al., Th2 modulation of transient receptor potential channels: an unmet therapeutic intervention for atopic dermatitis. Frontiers in Immunology 2021, 12, 696784. [Google Scholar] [CrossRef]
- Atsumi, Y. , et al., Anti-inflammatory role of TRPV4 in human macrophages. ImmunoHorizons 2023, 7, 81–96. [Google Scholar] [CrossRef]
- Zhang, Q. , et al., Involvement of Sensory Neurone-TRPV4 in Acute and Chronic Itch Behaviours. Acta Derm Venereol 2022, 102, adv00651. [Google Scholar] [CrossRef]
- Kwatra, S.G. , et al., Molecular and cellular mechanisms of itch and pain in atopic dermatitis and implications for novel therapeutics. Clinical & Translational Immunology 2022, 11, e1390. [Google Scholar]
- Hönzke, S. , et al., Influence of Th2 cytokines on the cornified envelope, tight junction proteins, and β-defensins in filaggrin-deficient skin equivalents. Journal of Investigative Dermatology 2016, 136, 631–639. [Google Scholar] [CrossRef]
- Di, Z.-H. , et al., T helper 1 and T helper 2 cytokines differentially modulate expression of filaggrin and its processing proteases in human keratinocytes. Chinese medical journal 2016, 129, 295–303. [Google Scholar] [CrossRef]
- Gröne, A. , Keratinocytes and cytokines. Veterinary immunology and immunopathology 2002, 88, 1–12. [Google Scholar] [CrossRef]
- Chieosilapatham, P. , et al., Keratinocytes: innate immune cells in atopic dermatitis. Clin Exp Immunol 2021, 204, 296–309. [Google Scholar] [CrossRef]
- Niehues, H. , et al., Identification of keratinocyte mitogens: implications for hyperproliferation in psoriasis and atopic dermatitis. JID Innovations 2022, 2, 100066. [Google Scholar] [CrossRef]
- Dainese-Marque, O. , et al., Contribution of Keratinocytes in Skin Cancer Initiation and Progression. International Journal of Molecular Sciences 2024, 25, 8813. [Google Scholar] [CrossRef]
- Harding, C.R. , The stratum corneum: structure and function in health and disease. Dermatologic therapy 2004, 17, 6–15. [Google Scholar] [CrossRef]
- Rerknimitr, P. , et al., The etiopathogenesis of atopic dermatitis: barrier disruption, immunological derangement, and pruritus. Inflammation and regeneration 2017, 37, 1–15. [Google Scholar] [CrossRef]
- Honda, T. and K. Kabashima, Reconciling innate and acquired immunity in atopic dermatitis. Journal of Allergy and Clinical Immunology 2020, 145, 1136–1137. [Google Scholar] [CrossRef]
- Wallrapp, A. , et al., Type 2 innate lymphoid cells in the induction and resolution of tissue inflammation. Immunological reviews 2018, 286, 53–73. [Google Scholar] [CrossRef]
- Humeau, M., K. Boniface, and C. Bodet, Cytokine-mediated crosstalk between keratinocytes and T cells in atopic dermatitis. Frontiers in immunology 2022, 13, 801579. [Google Scholar] [CrossRef]
- Alvarenga, J.M. Bieber, and T. Torres, Emerging biologic therapies for the treatment of atopic dermatitis. Drugs 2024, 1–6. [Google Scholar]
- Chu, D.K. , et al., How to prevent atopic dermatitis (eczema) in 2024: theory and evidence. The Journal of Allergy and Clinical Immunology: In Practice 2024, 12, 1695–1704. [Google Scholar]
- Silverberg, N.B. , Atopic dermatitis prevention and treatment. Cutis 2017, 100, 173. [Google Scholar]
- Bradshaw, L.E. , et al., Emollients for prevention of atopic dermatitis: 5-year findings from the BEEP randomized trial. Allergy 2023, 78, 995–1006. [Google Scholar] [CrossRef]
- C, N.C. , et al., Early initiation of short-term emollient use for the prevention of atopic dermatitis in high-risk infants-The STOP-AD randomised controlled trial. Allergy 2023, 78, 984–994. [Google Scholar]
- Schneider, L. , et al., Atopic dermatitis: a practice parameter update 2012. Journal of Allergy and Clinical Immunology 2013, 131, 295–299. [Google Scholar] [CrossRef]
- Davis, D.M. , et al., Guidelines of care for the management of atopic dermatitis in adults with phototherapy and systemic therapies. Journal of the American Academy of Dermatology 2024, 90, e43–e56. [Google Scholar] [CrossRef]
- Rawlings, A., D. A. Canestrari, and B. Dobkowski, Moisturizer technology versus clinical performance. Dermatologic therapy 2004, 17, 49–56. [Google Scholar] [CrossRef]
- Peris, K. , et al., Efficacy evaluation of an oil-in-water emulsion (Dermoflan) in atopic dermatitis. Acta dermato-venereologica 2002, 82. [Google Scholar] [CrossRef]
- Verallo-Rowell, V.M., K. M. Dillague, and B.S. Syah-Tjundawan, Novel antibacterial and emollient effects of coconut and virgin olive oils in adult atopic dermatitis. DERM 2008, 19, 308–315. [Google Scholar]
- Cacciapuoti, S. , et al., The Role of Thermal Water in Chronic Skin Diseases Management: A Review of the Literature. J Clin Med 2020, 9. [Google Scholar]
- Huang, A., S. Seité, and T. Adar, The use of balneotherapy in dermatology. Clin Dermatol 2018, 36, 363–368. [Google Scholar] [CrossRef]
- Fikri-Benbrahim, K. , et al., Main therapeutic uses of some moroccan hot springs’ waters. Evidence-Based Complementary and Alternative Medicine 2021, 2021, 5599269. [Google Scholar] [CrossRef]
- Kubota, K. , et al., Treatment of refractory cases of atopic dermatitis with acidic hot-spring bathing. Acta dermato-venereologica 1997, 77, 452–454. [Google Scholar] [CrossRef]
- Inaka, K. and T. Kimura, Comfortable and dermatological effects of hot spring bathing provide demonstrative insight into improvement in the rough skin of Capybaras. Sci Rep 2021, 11, 23675. [Google Scholar] [CrossRef]
- Liang, J. , et al., Carbonate ion-enriched hot spring water promotes skin wound healing in nude rats. PLoS One 2015, 10, e0117106. [Google Scholar]
- Choi, Y.J. , et al., Therapeutic effects and immunomodulation of suanbo mineral water therapy in a murine model of atopic dermatitis. Annals of dermatology 2013, 25, 462–470. [Google Scholar] [CrossRef]
- Jobeili, L. , et al., Selenium preserves keratinocyte stemness and delays senescence by maintaining epidermal adhesion. Aging (Albany NY) 2017, 9, 2302. [Google Scholar] [CrossRef]
- Yosipovitch, G. , et al., Skin Barrier Damage and Itch: Review of Mechanisms, Topical Management and Future Directions. Acta dermato-venereologica 2019, 99. [Google Scholar] [CrossRef]
- van den Bogaard, E.H. , et al., Targeting Skin Barrier Function in Atopic Dermatitis. J Allergy Clin Immunol Pract 2023, 11, 1335–1346. [Google Scholar] [CrossRef]
- Cork, M.J. , et al., Epidermal barrier dysfunction in atopic dermatitis. Textbook of Atopic Dermatitis, 2008: 47-70.
- Hahn, G.S. , Strontium is a potent and selective inhibitor of sensory irritation. Dermatologic surgery 1999, 25, 689–694. [Google Scholar] [CrossRef]
- Li, L. , et al., Strontium induces murine keratinocyte differentiation in vitro in the presence of serum and calcium. Journal of cellular physiology 1993, 154, 643–653. [Google Scholar] [CrossRef] [PubMed]
- Fatemi, S. , et al., A comparison of the effect of certain inorganic salts on suppression acute skin irritation by human biometric assay: A randomized, double-blind clinical trial. J Res Med Sci 2016, 21, 102. [Google Scholar]
- Zhai, H. , et al., Strontium nitrate suppresses chemically-induced sensory irritation in humans. Contact dermatitis 2000, 42, 98–100. [Google Scholar] [CrossRef]
- Fernandez, C. , et al., A randomized double-blind study to assess the effects of silicic acid compared to placebo in patients with mild to moderate acne. Journal of dermatological treatment 2005, 16, 287–294. [Google Scholar] [CrossRef]
- Douladiris, N. Vakirlis, and E. Vassilopoulou, Atopic Dermatitis and Water: Is There an Optimum Water Intake Level for Improving Atopic Skin? Children (Basel) 2023, 10. [Google Scholar]
- Purnamawati, S. , et al., The Role of Moisturizers in Addressing Various Kinds of Dermatitis: A Review. Clin Med Res 2017, 15, 75–87. [Google Scholar] [CrossRef] [PubMed]
- Werner, Y. , The water content of the stratum corneum in patients with atopic dermatitis. Measurement with the Corneometer CM 420. Acta dermato-venereologica 1986, 66, 281–284. [Google Scholar] [CrossRef]
- Lin, T.K. Zhong, and J.L. Santiago, Anti-Inflammatory and Skin Barrier Repair Effects of Topical Application of Some Plant Oils. Int J Mol Sci 2017, 19. [Google Scholar] [CrossRef] [PubMed]
- Kono, T., Y. Miyachi, and M. Kawashima, Clinical significance of the water retention and barrier function-improving capabilities of ceramide-containing formulations: A qualitative review. J Dermatol 2021, 48, 1807–1816. [Google Scholar] [CrossRef] [PubMed]
- Alexander, H. , et al., Research techniques made simple: transepidermal water loss measurement as a research tool. Journal of Investigative Dermatology 2018, 138, 2295–2300. [Google Scholar] [CrossRef]
- Shimada, K. , et al., Transepidermal water loss (TEWL) reflects skin barrier function of dog. Journal of veterinary medical science 2008, 70, 841–843. [Google Scholar] [CrossRef]
- Jin, H. , et al., Animal models of atopic dermatitis. J Invest Dermatol 2009, 129, 31–40. [Google Scholar] [CrossRef]
- Bakhshian Nik, A., S. Alvarez-Argote, and C.C. O'Meara, Interleukin 4/13 signaling in cardiac regeneration and repair. Am J Physiol Heart Circ Physiol 2022, 323, H833–h844. [Google Scholar] [CrossRef]
- Zheng, T. , et al., Transgenic expression of interleukin-13 in the skin induces a pruritic dermatitis and skin remodeling. Journal of Investigative Dermatology 2009, 129, 742–751. [Google Scholar] [CrossRef] [PubMed]
- Kim, K., H. Kim, and G.Y. Sung, An Interleukin-4 and Interleukin-13 Induced Atopic Dermatitis Human Skin Equivalent Model by a Skin-On-A-Chip. Int J Mol Sci 2022, 23. [Google Scholar]
- Humeau, M., K. Boniface, and C. Bodet, Cytokine-Mediated Crosstalk Between Keratinocytes and T Cells in Atopic Dermatitis. Front Immunol 2022, 13, 801579. [Google Scholar] [CrossRef]
- Tu, C.L. and D.D. Bikle, Role of the calcium-sensing receptor in calcium regulation of epidermal differentiation and function. Best Pract Res Clin Endocrinol Metab 2013, 27, 415–27. [Google Scholar] [CrossRef]
- Carrasco, M.A. , et al., Signal transduction and gene expression regulated by calcium release from internal stores in excitable cells. Biological research 2004, 37, 701–712. [Google Scholar] [CrossRef]
- Tsuji, G. , et al., PDE4 inhibition by difamilast regulates filaggrin and loricrin expression via keratinocyte proline-rich protein in human keratinocytes. Journal of Dermatological Science 2023, 110, 61–68. [Google Scholar] [CrossRef] [PubMed]
- Huang, I.H. , et al., JAK-STAT signaling pathway in the pathogenesis of atopic dermatitis: An updated review. Front Immunol 2022, 13, 1068260. [Google Scholar] [CrossRef] [PubMed]
- Howell, M.D. , et al., Cytokine modulation of atopic dermatitis filaggrin skin expression. Journal of Allergy and Clinical Immunology 2009, 124, R7–R12. [Google Scholar] [CrossRef]
- Furue, M. , Regulation of filaggrin, loricrin, and involucrin by IL-4, IL-13, IL-17A, IL-22, AHR, and NRF2: pathogenic implications in atopic dermatitis. International journal of molecular sciences 2020, 21, 5382. [Google Scholar] [CrossRef] [PubMed]
- Yamazaki, T. , et al., The effects of bathing in neutral bicarbonate ion water. Scientific Reports 2021, 11, 21789. [Google Scholar] [CrossRef]
- Peng, S. , et al., The transient receptor potential vanilloid 4 (TRPV4) ion channel mediates protease activated receptor 1 (PAR1)-induced vascular hyperpermeability. Lab Invest 2020, 100, 1057–1067. [Google Scholar] [CrossRef]
- Nguyen, T.N. , et al., Diverse Roles of TRPV4 in Macrophages: A Need for Unbiased Profiling. Front Immunol 2021, 12, 828115. [Google Scholar] [CrossRef]
- Zhang, J.T., et. al., A novel nonsense mutation and polymorphisms in the mouse hairless gene. J Invest Dermatol 2005, 124, 1200–1205. [Google Scholar] [CrossRef]
- Matsunaga, Y., et. al., Establishment of a mouse skin model of the lichenification in human chronic eczematous dermatitis. Br J Dermatol. 2007, 156, 884–891. [Google Scholar] [CrossRef] [PubMed]





| Components | mg | mval | mval% |
| Li+ | 1.8 | 0.26 | 0.25 |
| Na+ | 1710 | 74.38 | 70.51 |
| K+ | 72.5 | 1.85 | 1.75 |
| Mg2+ | 84.4 | 6.94 | 6.58 |
| Ca2+ | 433 | 21.61 | 20.49 |
| Sr2+ | 12.3 | 0.28 | 0.27 |
| Mn2+ | 0.4 | 0.01 | 0.01 |
| Fe2++Fe3+ | 4.1 | 0.15 | 0.14 |
| Total Cations | 2318.5 | 105.48 | 100.00 |
| Components | mg | mval | mval% |
| F- | 1.0 | 0.05 | 0.05 |
| Cl- | 2660 | 75.03 | 67.77 |
| Br- | 8.6 | 0.11 | 0.10 |
| I- | 0.7 | 0.01 | 0.01 |
| SO42- | 965 | 20.09 | 18.14 |
| HCO3- | 941 | 15.42 | 13.93 |
| Total Anions | 4576.3 | 110.71 | 100.00 |
| Components | mg | mmol |
| HAsO2 | 2.3 | 0.02 |
| H2SiO3 | 118 | 1.51 |
| HBO2 | 35.3 | 0.81 |
| Total non-dissociated components | 155.6 | 2.34 |
| Components | mg | mmol |
| CO2 | 484 | 11.00 |
| H2S | 0.0 | 0.00 |
| Total dissolved gas components | 484.0 | 11.00 |
| Ba2+ | 0.05mg |
| Al3+ | 0.03mg |
| Cu2+ | Not detected<0.005mg |
| Zn2+ | 0.088mg |
| Cd2+ | 0.002mg |
| Pb2+ | 0.073mg |
| Hg | Not detected<0.0005mg |
| As | 1.59mg |
| S2O32- | Not detected<0.01mg |
| CO32- | Not detected<0.1mg |
Disclaimer/Publisher’s Note: The statements, opinions and data contained in all publications are solely those of the individual author(s) and contributor(s) and not of MDPI and/or the editor(s). MDPI and/or the editor(s) disclaim responsibility for any injury to people or property resulting from any ideas, methods, instructions or products referred to in the content. |
© 2025 by the authors. Licensee MDPI, Basel, Switzerland. This article is an open access article distributed under the terms and conditions of the Creative Commons Attribution (CC BY) license (http://creativecommons.org/licenses/by/4.0/).