Submitted:
24 July 2025
Posted:
24 July 2025
You are already at the latest version
Abstract
Keywords:
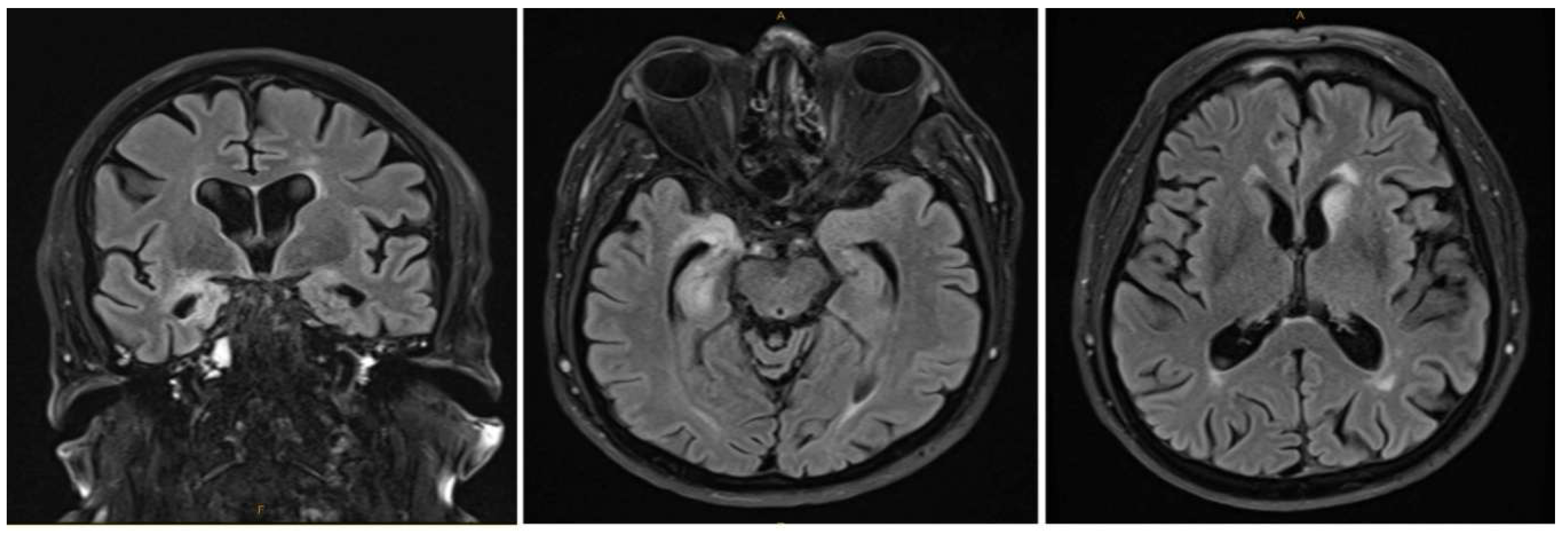
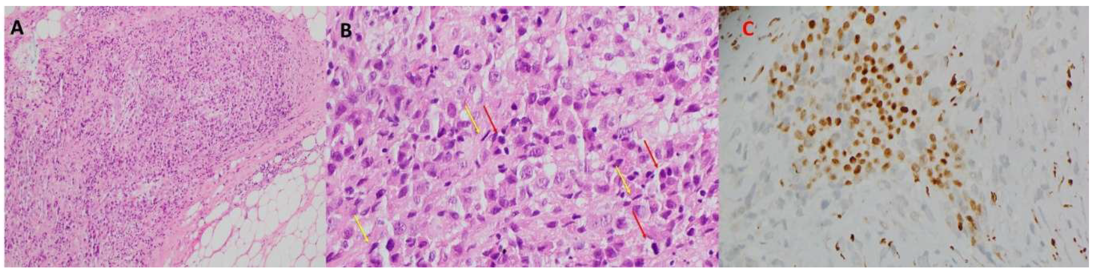
Case Study
Background
Discussion
Conclusion
Ethical Approval and Patient Consent
Funding
Acknowledgement
Conflicts of Interest
References
- Archer, H. A., Panopoulou, A., Bhatt, N., Edey, A. J., & Giffin, N. J. (2014). Mesothelioma and anti-Ma paraneoplastic syndrome; heterogeneity in immunogenic tumours increases. Pract Neurol, 14(1), 33-35. [CrossRef]
- Dalmau, J., Graus, F., Villarejo, A., Posner, J. B., Blumenthal, D., Thiessen, B.,... Rosenfeld, M. R. (2004). Clinical analysis of anti-Ma2-associated encephalitis. Brain, 127(Pt 8), 1831-1844. [CrossRef]
- Dalmau, J., & Rosenfeld, M. R. (2008). Paraneoplastic syndromes of the CNS. Lancet Neurol, 7(4), 327-340. [CrossRef]
- Dalmau, J., Tüzün, E., Wu, H. Y., Masjuan, J., Rossi, J. E., Voloschin, A.,... Lynch, D. R. (2007). Paraneoplastic anti-N-methyl-D-aspartate receptor encephalitis associated with ovarian teratoma. Ann Neurol, 61(1), 25-36. [CrossRef]
- Darnell, R. B., & Posner, J. B. (2003). Paraneoplastic syndromes involving the nervous system. N Engl J Med, 349(16), 1543-1554. [CrossRef]
- Graus, F., & Dalmau, J. (2007). Paraneoplastic neurological syndromes: diagnosis and treatment. Curr Opin Neurol, 20(6), 732-737. [CrossRef]
- Graus, F., Delattre, J. Y., Antoine, J. C., Dalmau, J., Giometto, B., Grisold, W.,... Voltz, R. (2004). Recommended diagnostic criteria for paraneoplastic neurological syndromes. J Neurol Neurosurg Psychiatry, 75(8), 1135-1140. [CrossRef]
- Graus, F., Vogrig, A., Muñiz-Castrillo, S., Antoine, J. G., Desestret, V., Dubey, D.,... Honnorat, J. (2021). Updated Diagnostic Criteria for Paraneoplastic Neurologic Syndromes. Neurol Neuroimmunol Neuroinflamm, 8(4). [CrossRef]
- Gultekin, S. H., Rosenfeld, M. R., Voltz, R., Eichen, J., Posner, J. B., & Dalmau, J. (2000). Paraneoplastic limbic encephalitis: neurological symptoms, immunological findings and tumour association in 50 patients. Brain, 123 ( Pt 7), 1481-1494. [CrossRef]
- Höftberger, R., Rosenfeld, M. R., & Dalmau, J. (2015). Update on neurological paraneoplastic syndromes. Curr Opin Oncol, 27(6), 489-495. [CrossRef]
- Kunchok, A. C., Ontaneda, D., Lee, J., Rae-Grant, A., Foldvary-Schaefer, N., Cohen, J. A., & Jones, S. E. (2022). MRI Features of Anti-Ma1/Ma2 Paraneoplastic Neurologic Syndrome. Neurology, 99(20), 900-902. [CrossRef]
- Lancaster, E. (2017). Paraneoplastic Disorders. Continuum (Minneap Minn), 23(6, Neuro-oncology), 1653-1679. [CrossRef]
- Linke, R., Schroeder, M., Helmberger, T., & Voltz, R. (2004). Antibody-positive paraneoplastic neurologic syndromes: value of CT and PET for tumor diagnosis. Neurology, 63(2), 282-286. [CrossRef]
- Ortega Suero, G., Sola-Valls, N., Escudero, D., Saiz, A., & Graus, F. (2018). Anti-Ma and anti-Ma2-associated paraneoplastic neurological syndromes. Neurologia (Engl Ed), 33(1), 18-27. [CrossRef]
- Pittock, S. J., Kryzer, T. J., & Lennon, V. A. (2004). Paraneoplastic antibodies coexist and predict cancer, not neurological syndrome. Ann Neurol, 56(5), 715-719. [CrossRef]
- Rees, J. H. (2004). Paraneoplastic syndromes: when to suspect, how to confirm, and how to manage. J Neurol Neurosurg Psychiatry, 75 Suppl 2(Suppl 2), ii43-50. [CrossRef]
- Tada, A., Kuribayashi, K., Kitajima, K., Nakamura, A., Yuki, M., Kanemura, S.,... Kijima, T. (2023). Sarcomatoid malignant pleural mesothelioma associated with anti-Ma2-related paraneoplastic neurological syndrome: A case report. Current Problems in Cancer: Case Reports, 11, 100244. [CrossRef]
- Titulaer, M. J., Soffietti, R., Dalmau, J., Gilhus, N. E., Giometto, B., Graus, F.,... Verschuuren, J. J. (2011). Screening for tumours in paraneoplastic syndromes: report of an EFNS task force. Eur J Neurol, 18(1), 19-e13. [CrossRef]
- Vogrig, A., Ferrari, S., Tinazzi, M., Manganotti, P., Vattemi, G., & Monaco, S. (2015). Anti-Ma-associated encephalomyeloradiculopathy in a patient with pleural mesothelioma. J Neurol Sci, 350(1-2), 105-106. [CrossRef]
- Voltz, R. (2002). Paraneoplastic neurological syndromes: an update on diagnosis, pathogenesis, and therapy. Lancet Neurol, 1(5), 294-305. [CrossRef]



Disclaimer/Publisher’s Note: The statements, opinions and data contained in all publications are solely those of the individual author(s) and contributor(s) and not of MDPI and/or the editor(s). MDPI and/or the editor(s) disclaim responsibility for any injury to people or property resulting from any ideas, methods, instructions or products referred to in the content. |
© 2025 by the authors. Licensee MDPI, Basel, Switzerland. This article is an open access article distributed under the terms and conditions of the Creative Commons Attribution (CC BY) license (http://creativecommons.org/licenses/by/4.0/).