Submitted:
26 June 2025
Posted:
27 June 2025
You are already at the latest version
Abstract
Keywords:
1. Introduction
2. Software Description
3. Illustrative Examples
3.1. Image Clustering Utility
- Histogram Quantization
- K-Means
- Fuzzy C-Means (FCM)
- Expectation Maximization (EM)
- Iterated Conditional Mode (ICM)
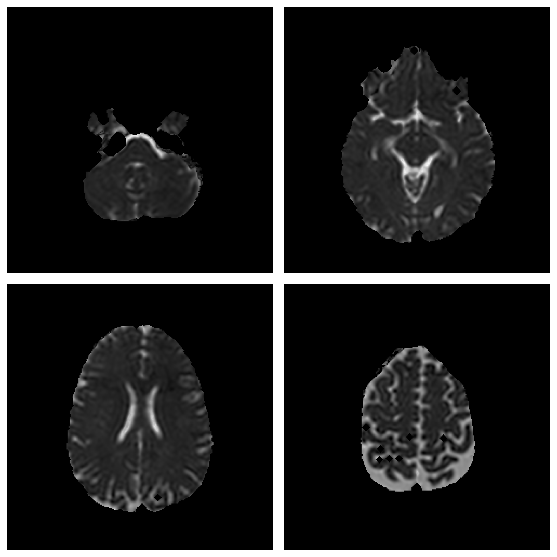
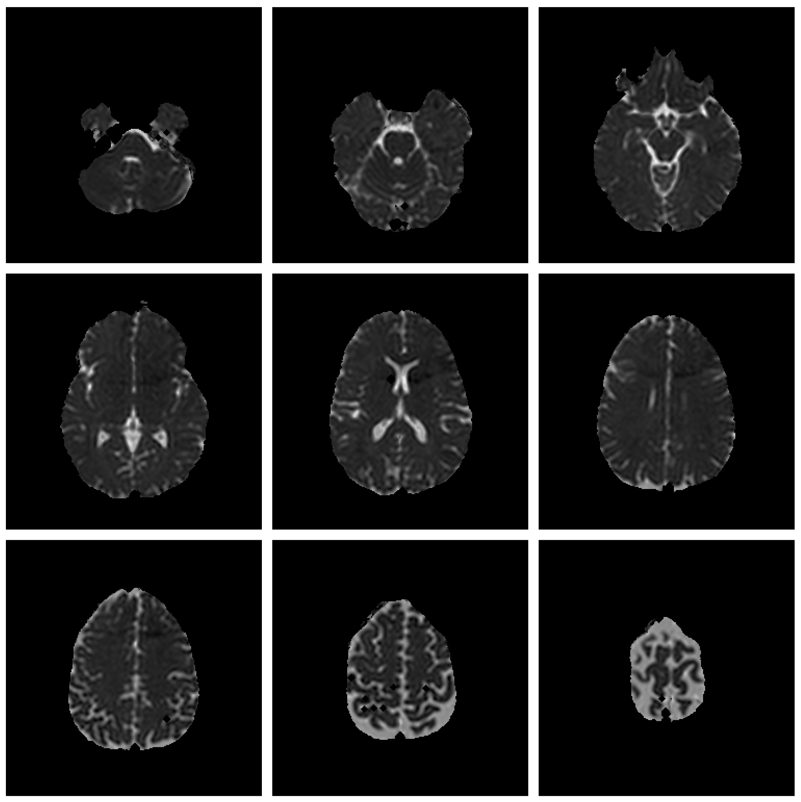
3.2. Image Segmentation Utility
- Generate the WM/non-WM file: Select FA, apply Histogram Quantization with 3 clusters, and save the binary file of the clustered image.
- Generate the CSF/non-CSF file: Select MD, apply Histogram Quantization with 3 clusters, and save the binary file of the clustered image.
- Generate the entire tissues file (GM is non-WM and non-CSF): Select MD, apply Threshold clustering with value 2, and save the binary file of the threshold image.
- Load WM/non-WM file as Layer 1 (Top Layer), CSF/non-CSF file as Layer 2 and the entire tissues file as layer 3.
- Once you unselect one of the clusters check boxes, the cluster will not be included in the layer and its space will be available for the other lower layers.
3.3. File Exporter
- The MIS-U file
- Unistable File(s)
- Unistable 3D File(s)
- The Mask file of the MIS-U file (based on manual removal of undesired tissues)
- Used MRI Studio Software (https://www.mristudio.org/) to export eigenvector and eigenvalue data that derived from diffusion tensor imaging (DTI) as raw binary files.
- ○
- eigenvalue files are (e1, e2, and e3)
- ○
- eigenvector files are (ev1, ev2, and ev3)
- eVec1, Mask Uni D, Uni A, Uni3d D and Uni3D A are optional (but also recommended)
- Dimensions and Scales SHOULD be specified by the user as eigenvalue files (which are exported by DTI Studio) contains raw data
- Once you specify eVal1, eVal2 and eVal3, you can export the Unistable and Unistable 3D files.
- The Mask can be generated by the Scalar-Valued scans option first and then it can be used here.
- The files should be stored as image files (BMP, PNG or JPG)
- The order of the Slices of the scan depends on the order of the image files Name.
- You select the folder that contains the images and everything will be done automatically.
- Dimensions will be detected automatically but the Scales are still required to be entered by the user.
Acknowledgments
- SharpDevelop– IDE used for development (GNU GPL).
- OpenTK– Open Toolkit Library for OpenGL graphics.
- MRI Studio– For dataset samples and diffusion imaging tools.
References
- H. Khotanlou 3D brain tumors and internal brain structures segmentation in MR images Ph.D. thesis, Ecole Nationale Superieure des Telecommunications, France, 2008.
- R.B. Dubey, M. Hanmandlu, S.K. Gupta, and S.K. Gupta "The Brain MR Image Segmentation Techniques and use of Diagnostic Packages" Academic Radiology, Vol 17, No 5, pp. 658 - 671, 2010.
- C. -Y. Wan and L. -S. Lee, "Histogram-Based Quantization for Robust and/or Distributed Speech Recognition," in IEEE Transactions on Audio, Speech, and Language Processing, vol. 16, no. 4, pp. 859-873, May 2008.
- K. Wagsta, C. Cardie, S. Rogers, and S. Schroedl "Constrained K-means Clustering with Background Knowledge" Proceedings of the Eighteenth International Conference on Machine Learning, pp. 577-584, 2001.
- Wen, Ying, et al. "Brain tissue classification based on DTI using an improved Fuzzy C-means algorithm with spatial constraints." Magnetic resonance imaging 2013; 31(9): 1623-1630. [CrossRef]
- P. Dempster , N. M. Laird, and D. B. Rubin Maximum “ Likelihood from Incomplete Data via the EM Algorithm “. Journal of the Royal Statistical Society, B, vol. 39, pp. 1–38, 1977.
- Demirkaya, M.K. Asyali and P.K. Sahoo Image Processing with MATLAB: Application in Medicine and Biology, CRC Press, USA, 2009.
- Elaff, I. EL-KEMANY, A. and KHOLIF, M. "Universal and stable medical image generation for tissue segmentation (The unistable method)" Turkish Journal of Electrical Engineering and Computer Sciences: Vol. 25: No. 2, Article 32, 2017. [CrossRef]
- Elaff, I. “Medical Image Enhancement Based on Volumetric Tissue Segmentation Fusion (Uni-Stable 3D Method)”, Journal of Science, Technology and Engineering Research, vol. 4, no. 2, pp. 78–89, 2023. [CrossRef]
- MIS-U download and help page, https://github.com/Ihab-ELAFF/Medical-Image-Segmentation-Utility-MISU.
- S. Mori, Introduction to Diffusion Tensor Imaging, Elsevier, USA, 2007.
- Sollini, M., Boni, R., Lazzeri, E., Erba, P.A. (2016). PET/CT and PET/MRI in Neurology: Infection/Inflammation. In: Ciarmiello, A., Mansi, L. (eds) PET-CT and PET-MRI in Neurology. Springer, Cham. [CrossRef]
- Elaff I "Brain Tissue Classification Based on Diffusion Tensor Imaging: A Comparative Study Between Some Clustering Algorithms and Their Effect on Different Diffusion Tensor Imaging Scalar Indices". Iran J Radiol. 2016 Feb 28;13(2):e23726. [CrossRef]
- El-Aff I "Human brain tissues segmentation based on DTI data," 2012 11th International Conference on Information Science, Signal Processing and their Applications (ISSPA), Montreal, QC, Canada, 2012, pp. 876-881. [CrossRef]









Disclaimer/Publisher’s Note: The statements, opinions and data contained in all publications are solely those of the individual author(s) and contributor(s) and not of MDPI and/or the editor(s). MDPI and/or the editor(s) disclaim responsibility for any injury to people or property resulting from any ideas, methods, instructions or products referred to in the content. |
© 2025 by the authors. Licensee MDPI, Basel, Switzerland. This article is an open access article distributed under the terms and conditions of the Creative Commons Attribution (CC BY) license (http://creativecommons.org/licenses/by/4.0/).