Submitted:
16 June 2025
Posted:
17 June 2025
You are already at the latest version
Abstract
Keywords:
1. Introduction
2. Materials and Methods
2.1. Description of MARPE Installation Procedure
2.2. Description of the Novel Piezocorticotomy Guide for Midpalatal Skeletal Expansion
2.3. Technique of the 3D Printed Guide-Assisted Midpalatal Piezocortictomy
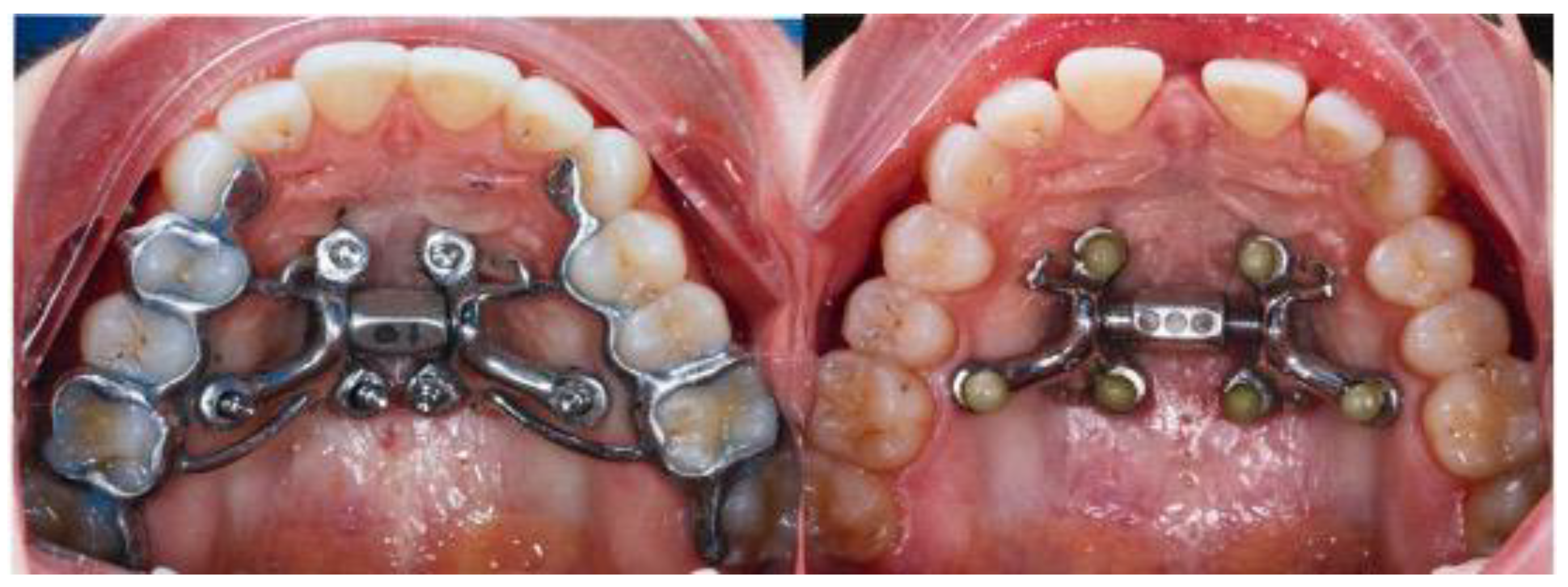
2.4. Case A: Blind Midpalatal Piezocorticotomy with MARPE Expansion
2.5. Case B: Guide-Assisted Midpalatal Piezocorticotomy
2.6. Case C: Bilateral Posterior Crossbite with Guide-Assisted Expansion
2.7. Case D: Midfacial Asymmetry Correction with Guided Expansion
3. Discussion
Rationale for the Use of the Midpalatal Piezocorticotomy Guide
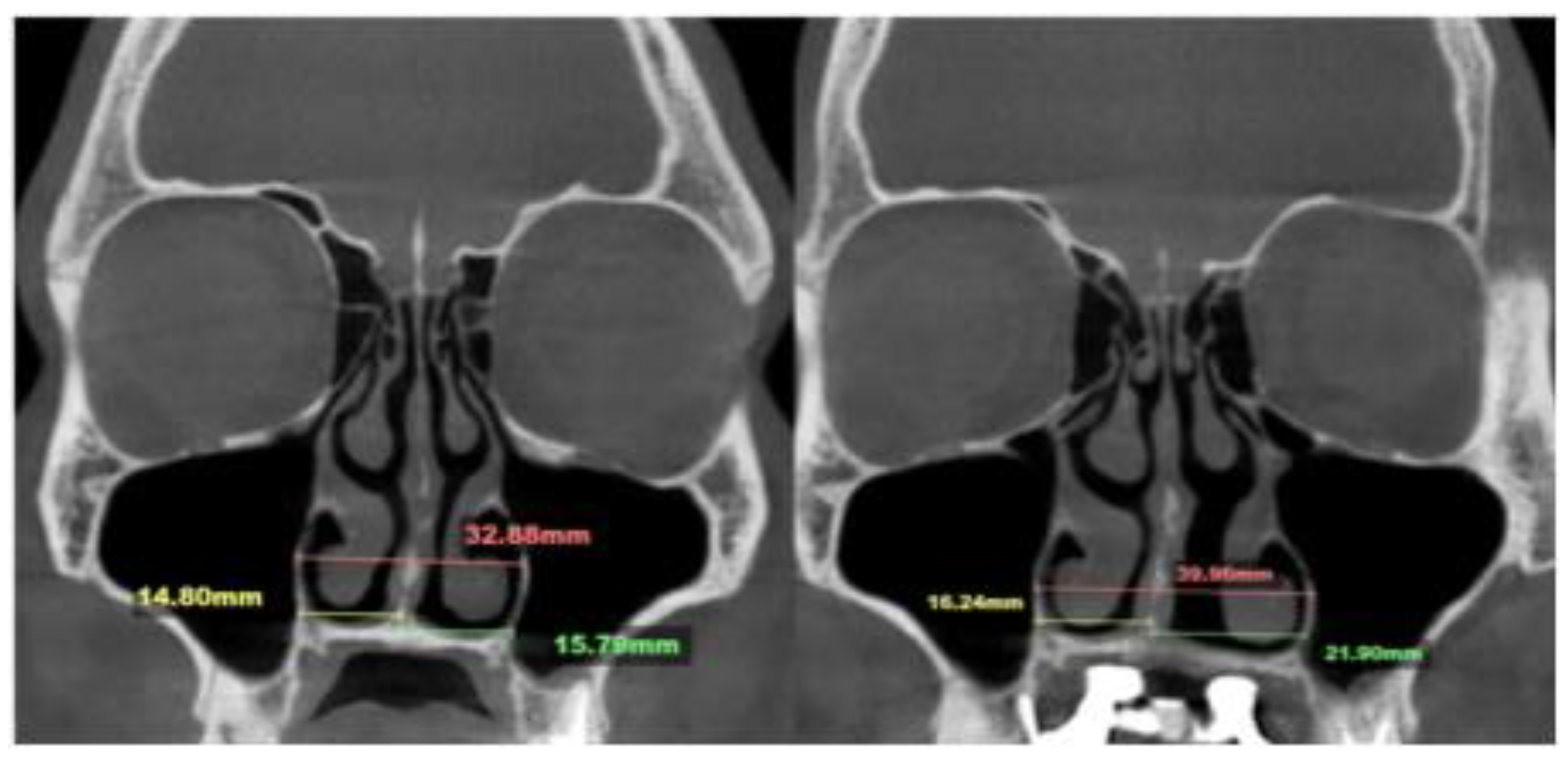
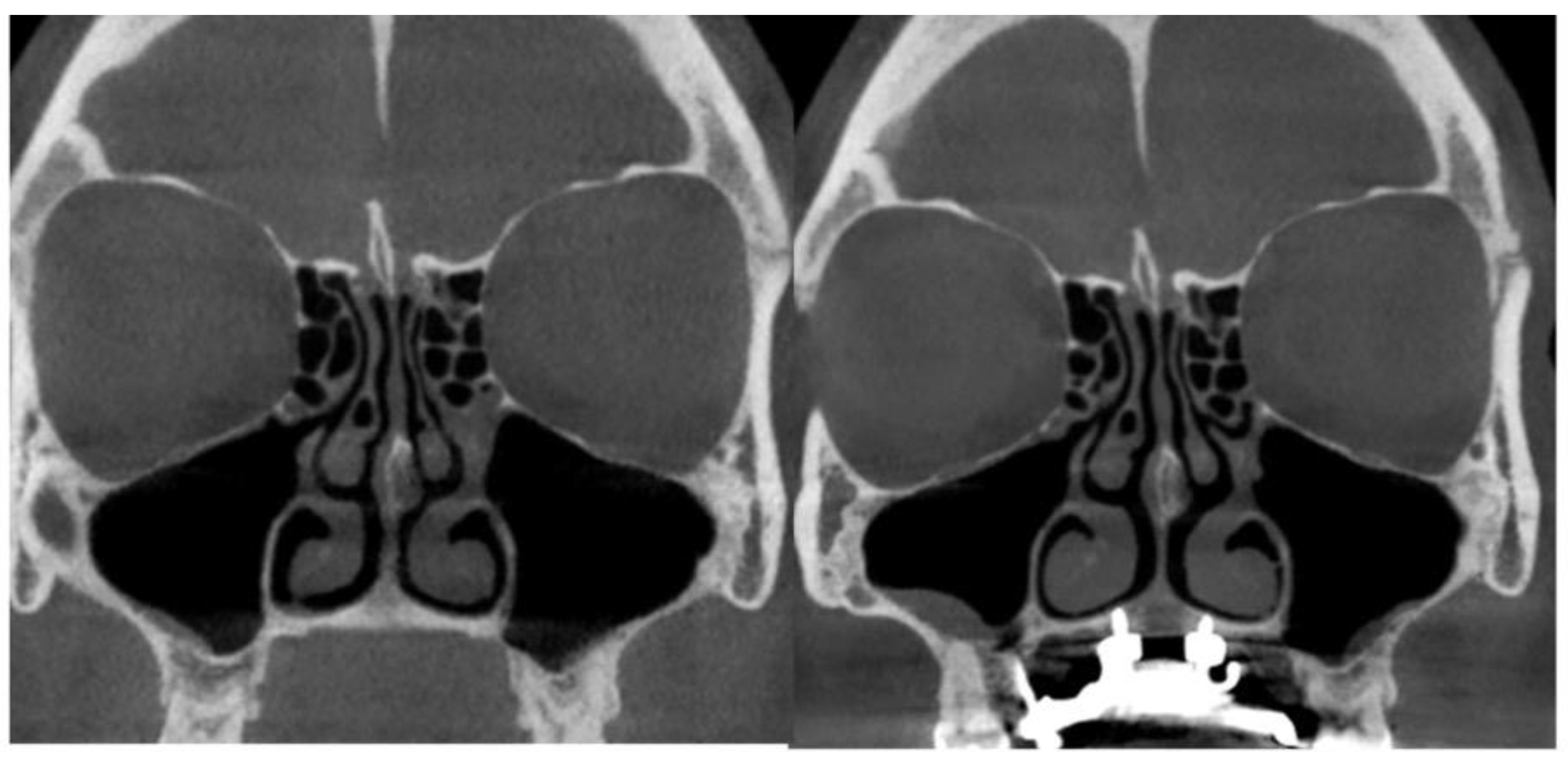
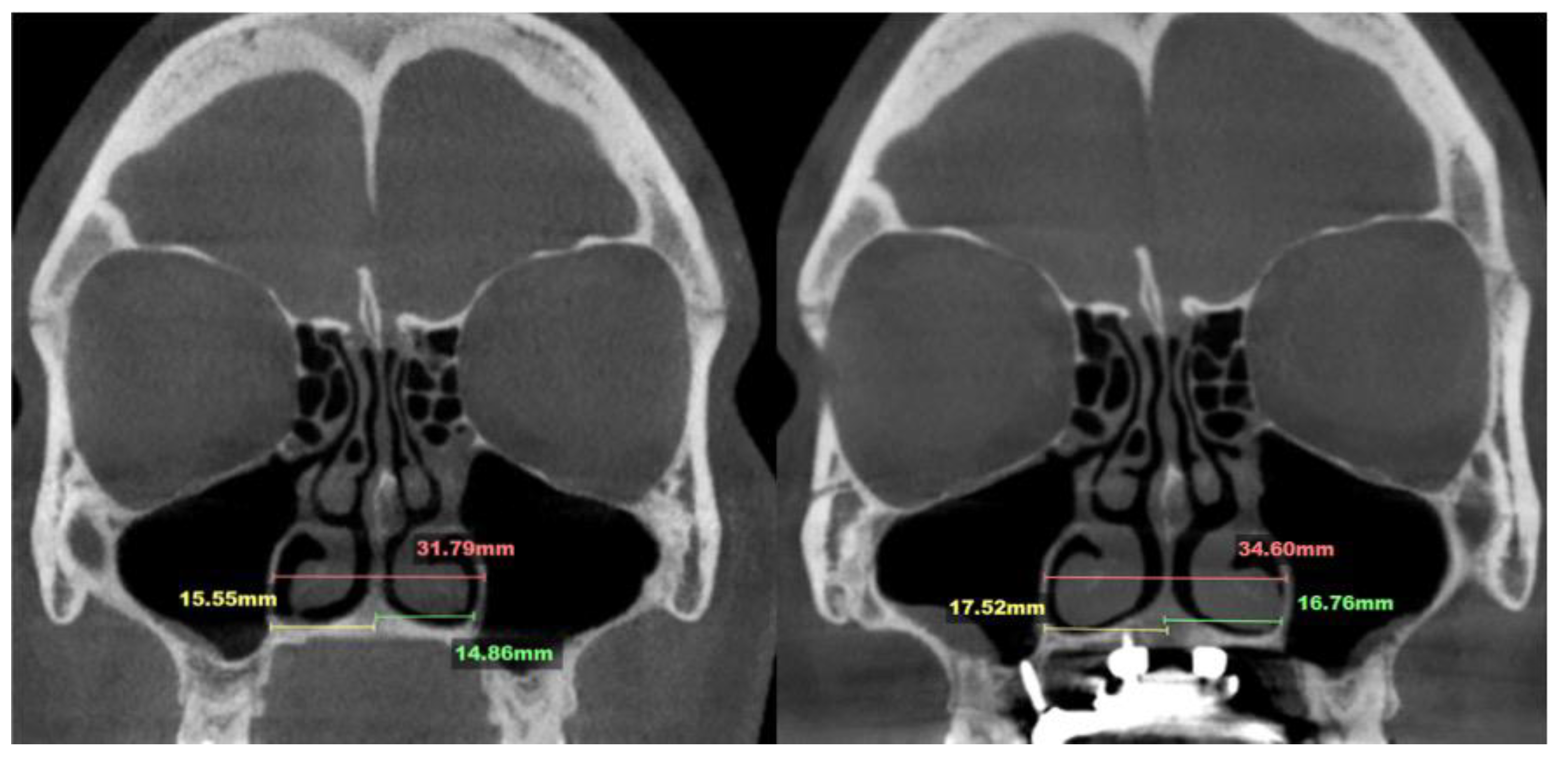
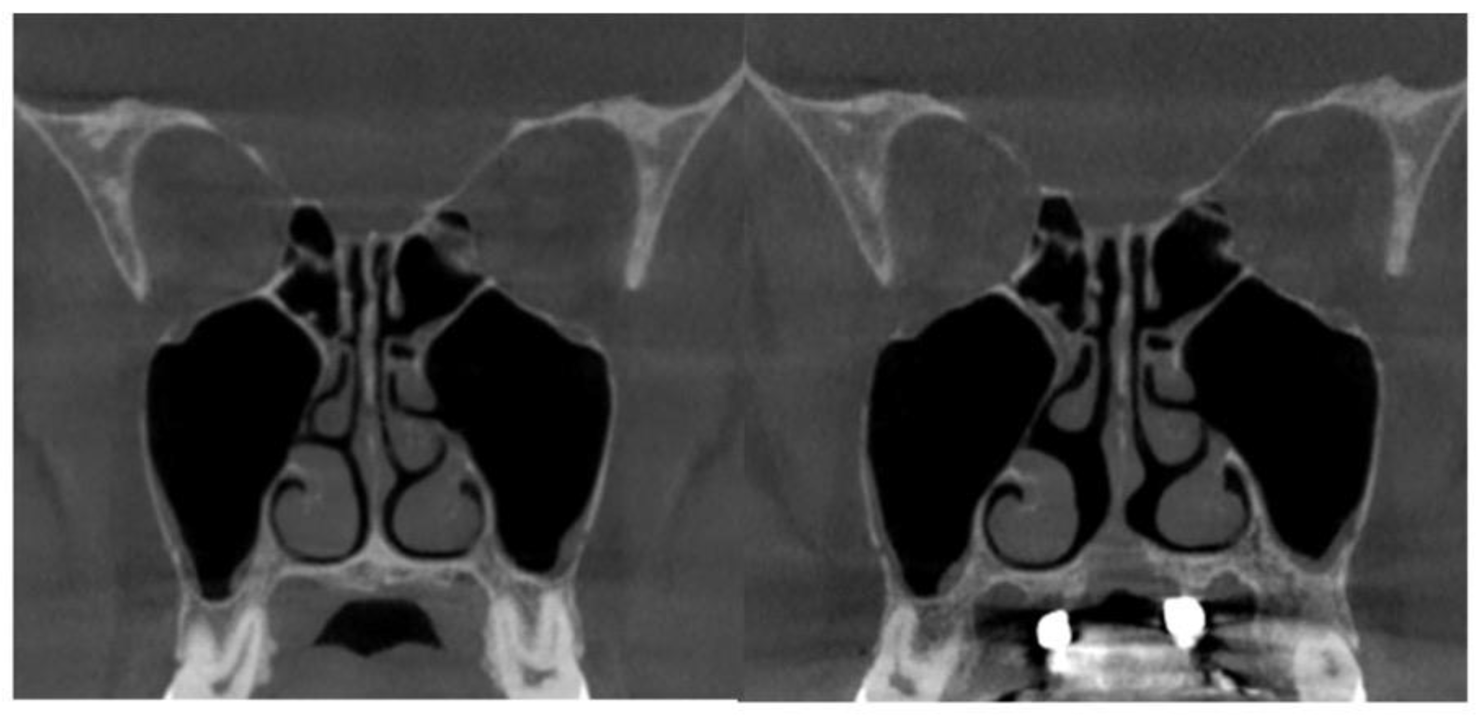
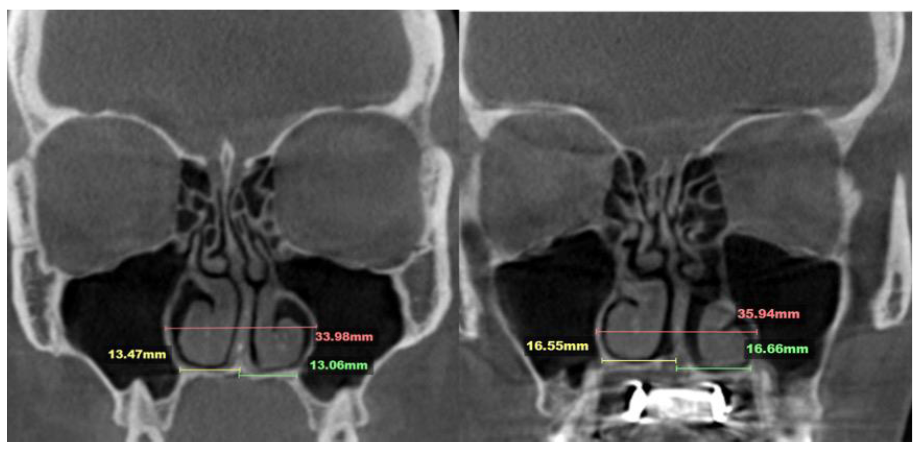
- Asymmetric expansion with residual attachment of the nasal septum unilaterally to the maxillary crestal bone (Figure 5,6);
- Diagonal fractures of the palatine bone extending from the distal margin of the palatal process of the maxillary bone unilaterally, often associated with pain and tension;
- Asymmetric displacement of the nasal base floor with unilateral downward and outward movement (Figure 5,6)
- Downward inclination and displacement of the alveolar process on the ipsilateral side (Figure 5,6);
- Unilateral soft tissue shift, including nasal ala and corner of the mouth displacement toward the side of unattached separation.
4. Conclusions
Funding
Institutional Review Board Statement
Informed Consent Statement
Data Availability Statement
Conflicts of Interest
References
- Kapetanović A, Theodorou CI, Bergé SJ, et al. Efficacy of miniscrew-assisted rapid palatal expansion (MARPE) in late adolescents and adults: a systematic review and meta-analysis. Eur J Orthod. 2021;43:313–323. [CrossRef]
- Tanaka O, Mota-Júnior SL. MARPE as an adjunct to orthodontic treatment. Dent Press J Orthod. 2023;27:e22bbo6. [CrossRef]
- Chun JH, de Castro ACR, Oh S, et al. Skeletal and alveolar changes in conventional rapid palatal expansion (RPE) and miniscrew-assisted RPE (MARPE): a prospective randomized clinical trial using low-dose CBCT. BMC Oral Health. 2022;22:114. [CrossRef]
- Brunetto DP, Sant’Anna EF, Machado AW, et al. Non-surgical treatment of transverse deficiency in adults using microimplant-assisted rapid palatal expansion (MARPE). Dent Press J Orthod. 2017;22:110–125. [CrossRef]
- Brunetto DP, Moschik CE, Dominguez-Mompell R, et al. Mini-implant assisted rapid palatal expansion (MARPE) effects on adult obstructive sleep apnea (OSA) and quality of life: a multi-center prospective controlled trial. Prog Orthod. 2022;23:3. [CrossRef]
- Ventura V, Botelho J, Machado V, et al. Miniscrew-assisted rapid palatal expansion (MARPE): an umbrella review. J Clin Med. 2022;11:1287. [CrossRef]
- Bud E, Vlasa A, Pacurar M, et al. A retrospective histological study on palatal and gingival mucosa changes during a rapid palatal expansion procedure. Biomedicines. 2023;11:3246. [CrossRef]
- Zimring JF, Isaacson RJ. Forces produced by rapid maxillary expansion. 3. Forces present during retention. Angle Orthod. 1965;35:178–186. [CrossRef]
- Handelman CS, Wang L, BeGole EA, et al. Nonsurgical rapid maxillary expansion in adults: report on 47 cases using the Haas expander. Angle Orthod. 2000;70:129–144. [CrossRef]
- Weissheimer A, de Menezes LM, Mezomo M, et al. Immediate effects of rapid maxillary expansion with Haas-type and hyrax-type expanders: a randomized clinical trial. Am J Orthod Dentofac Orthop Off Publ Am Assoc Orthod Its Const Soc Am Board Orthod. 2011;140:366–376. [CrossRef]
- Lione R, Ballanti F, Franchi L, et al. Treatment and posttreatment skeletal effects of rapid maxillary expansion studied with low-dose computed tomography in growing subjects. Am J Orthod Dentofac Orthop Off Publ Am Assoc Orthod Its Const Soc Am Board Orthod. 2008;134:389–392. [CrossRef]
- Altieri F, Cassetta M. Comparison of changes in skeletal, dentoalveolar, periodontal, and nasal structures after tooth-borne or bone-borne rapid maxillary expansion: a parallel cohort study. Am J Orthod Dentofac Orthop Off Publ Am Assoc Orthod Its Const Soc Am Board Orthod. 2022;161:e336–e344. [CrossRef]
- Oztürk M, Doruk C, Ozeç I, et al. Pulpal blood flow: effects of corticotomy and midline osteotomy in surgically assisted rapid palatal expansion. J Cranio-Maxillo-fac Surg Off Publ Eur Assoc Cranio-Maxillo-fac Surg. 2003;31:97–100. [CrossRef]
- Li J, Shi L, Zhang X, et al. Evaluating the effect of midpalatal corticotomy-assisted rapid maxillary expansion on the upper airway in young adults using computational fluid dynamics. J Zhejiang Univ Sci B. 2021;22:146–155. [CrossRef]
- Kapetanović A, Theodorou CI, Bergé SJ, et al. Efficacy of miniscrew-assisted rapid palatal expansion (MARPE) in late adolescents and adults: a systematic review and meta-analysis. Eur J Orthod. 2021;43:313–323. [CrossRef]
- Tang H, Liu P, Liu X, et al. Skeletal width changes after mini-implant-assisted rapid maxillary expansion (MARME) in young adults. Angle Orthod. 2021;91:301–306. [CrossRef]
- Naveda R, Dos Santos AM, Seminario MP, et al. Midpalatal suture bone repair after miniscrew-assisted rapid palatal expansion in adults. Prog Orthod. 2022;23:35. [CrossRef]
- Ceschi M, Riatti R, Di Leonardo B, et al. Skeletal expansion using a miniscrew-assisted rapid palatal expansion in a 50-year-old patient. Am J Orthod Dentofac Orthop Off Publ Am Assoc Orthod Its Const Soc Am Board Orthod. 2022;162:568–579. [CrossRef]
- Laudemann K, Santo G, Revilla C, et al. Assessment of surgically assisted rapid maxillary expansion regarding pterygomaxillary disjunction using thin volume-rendering technique: in variance analysis and in reliability, accuracy, and validity. J Oral Maxillofac Surg Off J Am Assoc Oral Maxillofac Surg. 2011;69:2631–2643. [CrossRef]
- Quo SD, Hyunh N, Guilleminault C. Bimaxillary expansion therapy for pediatric sleep-disordered breathing. Sleep Med. 2017;30:45–51. [CrossRef]
- Yoon A, Gozal D, Kushida C, et al. A roadmap of craniofacial growth modification for children with sleep-disordered breathing: a multidisciplinary proposal. Sleep. 2023 14;46:zsad095.














Disclaimer/Publisher’s Note: The statements, opinions and data contained in all publications are solely those of the individual author(s) and contributor(s) and not of MDPI and/or the editor(s). MDPI and/or the editor(s) disclaim responsibility for any injury to people or property resulting from any ideas, methods, instructions or products referred to in the content. |
© 2025 by the authors. Licensee MDPI, Basel, Switzerland. This article is an open access article distributed under the terms and conditions of the Creative Commons Attribution (CC BY) license (http://creativecommons.org/licenses/by/4.0/).