Submitted:
30 May 2025
Posted:
02 June 2025
Read the latest preprint version here
Abstract
Keywords:
Introduction
Basic Physics
- Tissue Property Filters (TP-filters) and the Inversion Recovery (IR) Sequence
- Subtracted IR (SIR) and divided Subtracted IR (dSIR) Bipolar Filters
- Contrast at Tissue Boundaries
- T1 maps and Qualitative - Quantitative MRI
- Log Then Subtracted Inversion Recovery (lSIR) Sequences
- Composite (c) bipolar filters (T1 as well as T2, T2*, D*, c and/or MT)
- Synthetic dSIR and lSIR T1-bipolar Filter Images
- Window Levels and Widths of Displayed Images
Methods
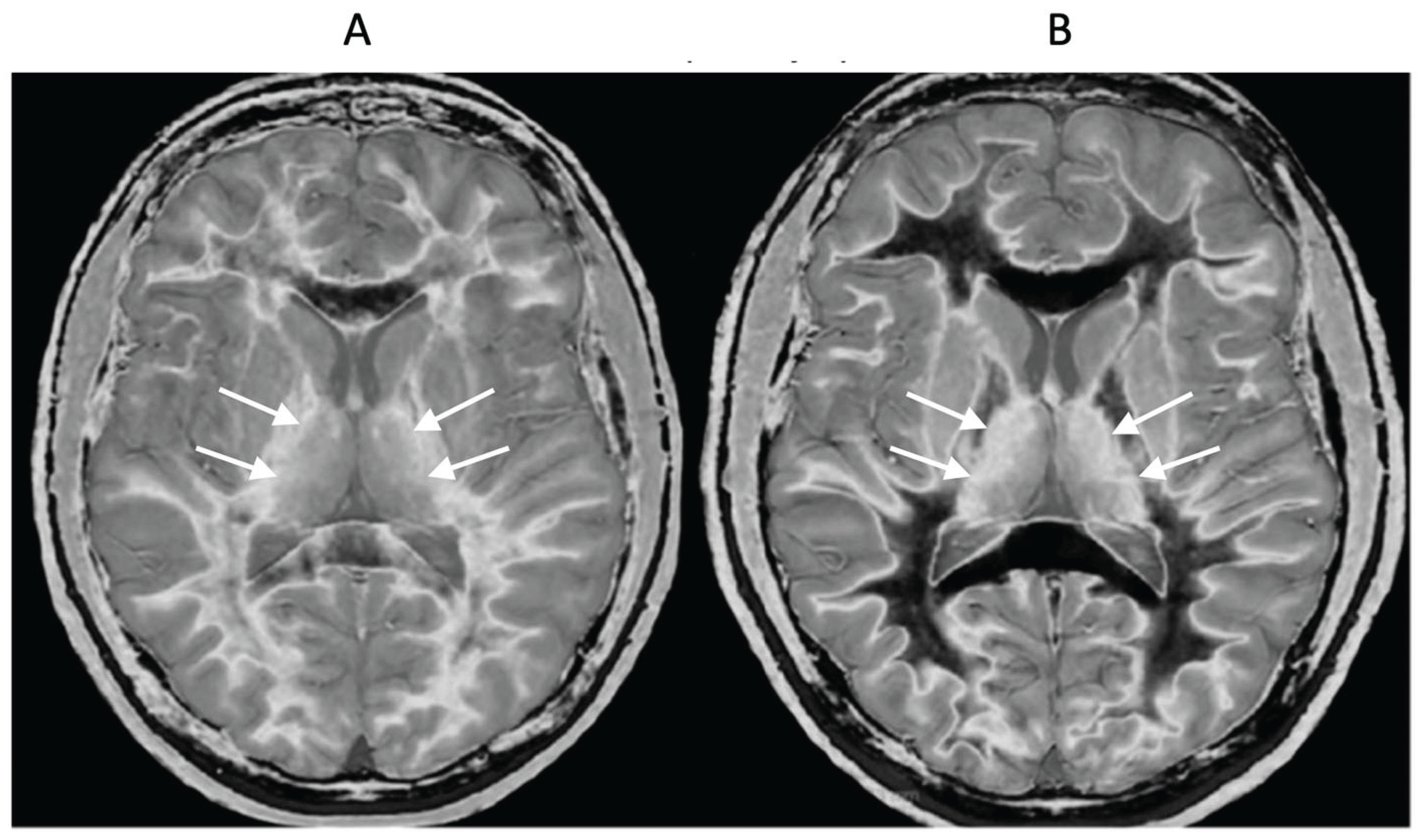
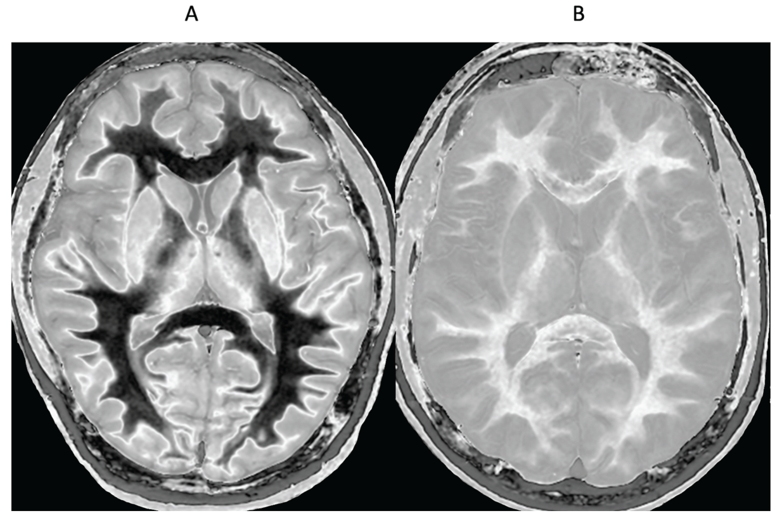
Illustrative Cases
- Mild Traumatic Brain Injury (mTBI)
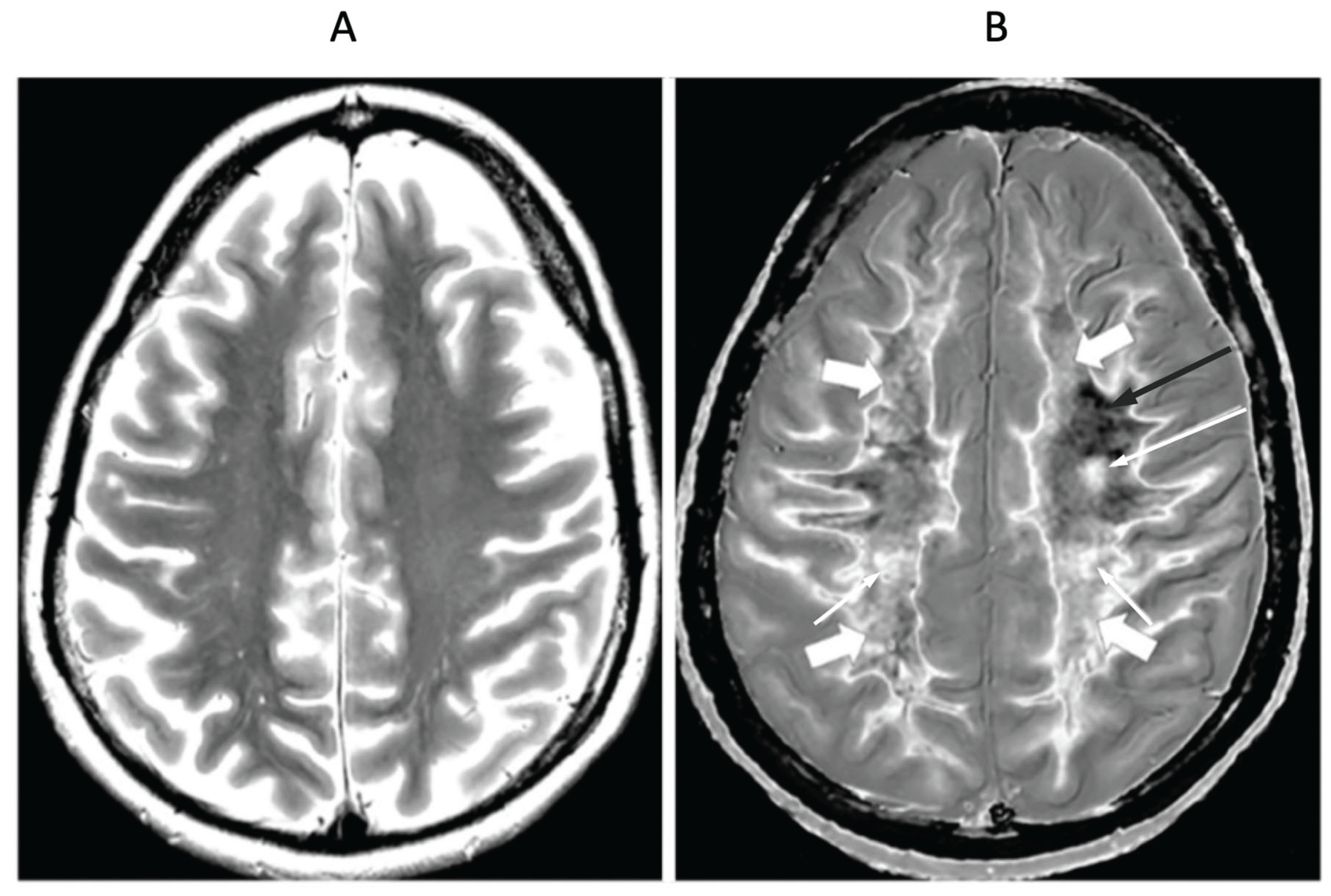
- Multiple Sclerosis (MS)
- Methamphetamine Substance Use Disorder
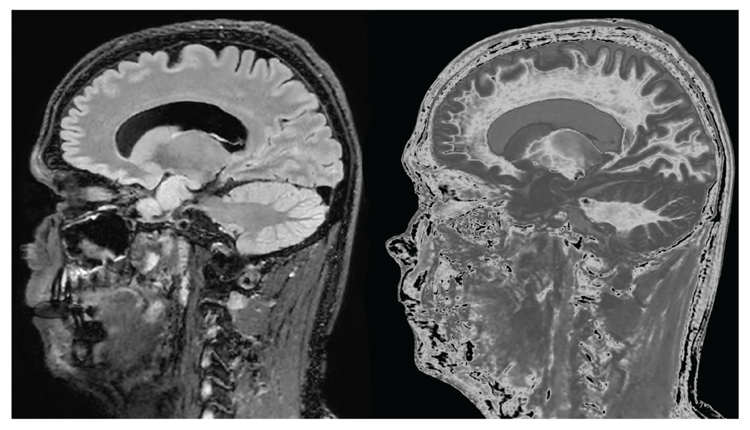
- Delayed Post-Hypoxic Leukoencephalopathy (Grinker’s Myelinopathy)
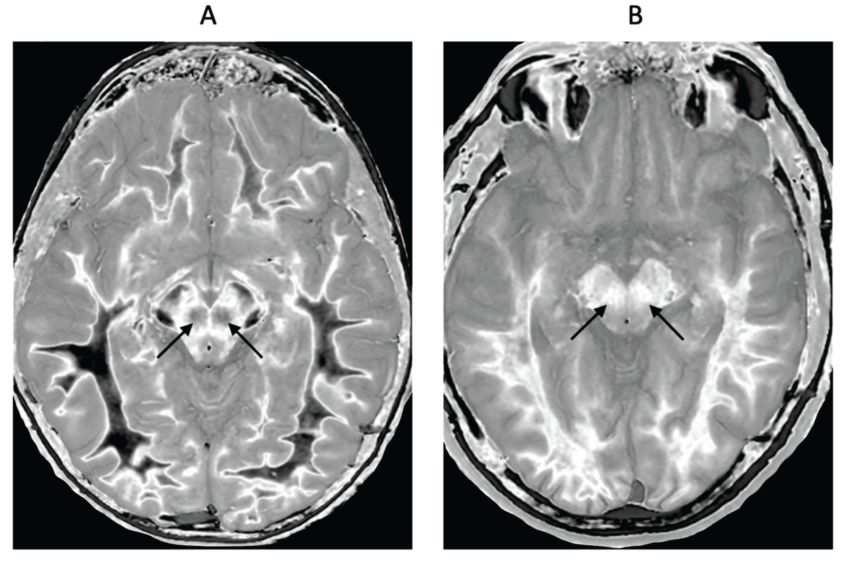
- Parkinson’s Disease
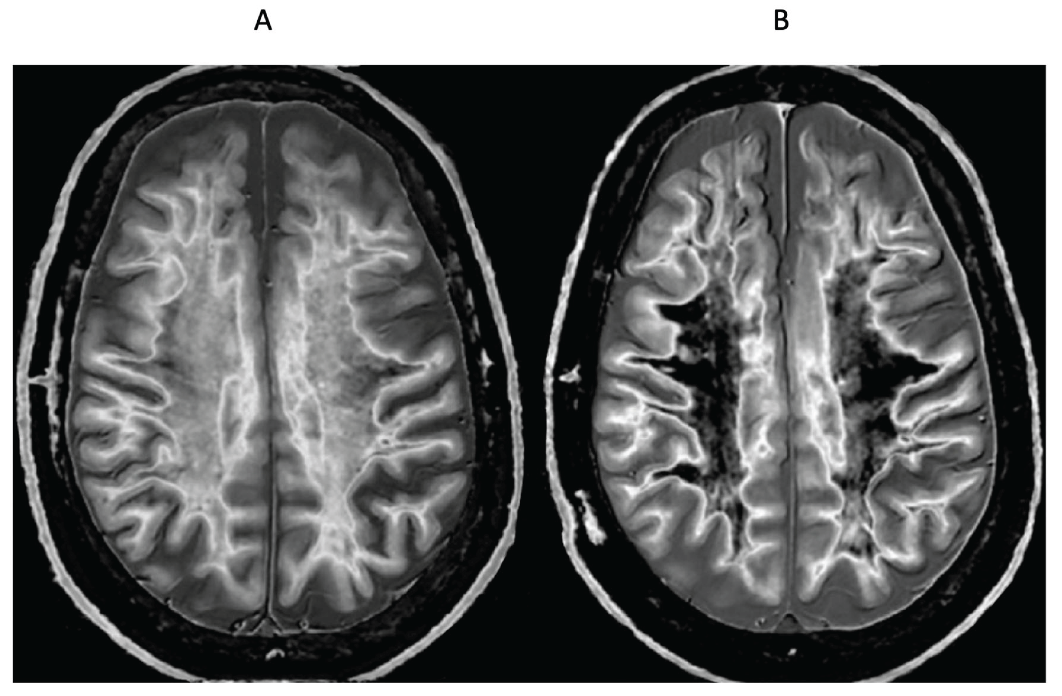
- White Matter Associated with Cerebral Tumours
- Normal Control and MS Patient with dSIR and lSIR Images
Discussion
- UHC MRI using Bipolar Filters
- Tissue and Fluid Boundaries
- Hybrid Quantitative and Qualitative Imaging
- Magnetisation Transfer (MT)
- Synthetic T1-bipolar Filters
- Signs Produced with dSIR Sequences
- Clinical Use of T2-FLAIR and Tissue Property BipoLAr fIlteR (TP-BLAIR) Sequences
- Other Sequences
Ethical Approval
Informed consent
Statement and Declarations
Funding
Abbreviations
References
- Condron, P.; Cornfeld, D.M.; Scadeng, M.; Melzer, T.R.; Newburn, G.; Bydder, M.; Kwon, E.E.; McGeown, J.P.; Handsfield, G.G.; Emsden, T.; et al. Ultra-High Contrast MRI: The Whiteout Sign Shown with Divided Subtracted Inversion Recovery (dSIR) Sequences in Post-Insult Leukoencephalopathy Syndromes (PILS). Tomography 2024, 10, 983–1013. [Google Scholar] [CrossRef] [PubMed]
- Ma, Y.-J.; Shao, H.; Fan, S.; Lu, X.; Du, J.; Young, I.R.; Bydder, G.M. New options for increasing the sensitivity, specificity and scope of synergistic contrast magnetic resonance imaging (scMRI) using Multiplied, Added, Subtracted and/or FiTted (MASTIR) pulse sequences. Quant. Imaging Med. Surg. 2020, 10, 2030–2065. [Google Scholar] [CrossRef]
- Ma, Y.-J.; Moazamian, D.; Port, J.D.; Edjlali, M.; Pruvo, J.-P.; Hacein-Bey, L.; Hoggard, N.; Paley, M.N.J.; Menon, D.K.; Bonekamp, D.; et al. Targeted magnetic resonance imaging (tMRI) of small changes in the T1 and spatial properties of normal or near normal appearing white and gray matter in disease of the brain using divided subtracted inversion recovery (dSIR) and divided reverse subtracted inversion recovery (drSIR) sequences. Quant. Imaging Med. Surg. 2023, 13, 7304–7337. [Google Scholar] [CrossRef]
- Newburn, G.; McGeown, J.P.; Kwon, E.; Tayebi, M.; Condron, P.; Emsden, T.; Holdsworth, S.J.; Cornfeld, D.M.; Bydder, G.M. Targeted MRI (tMRI) of Small Increases in the T1 of Normal Appearing White Matter in Mild Traumatic Brain Injury (mTBI) Using a Divided Subtracted Inversion Recovery (dSIR) Sequence. OBM Neurobiol. 2023, 07, 1–27. [Google Scholar] [CrossRef]
- Ma Y-J, Moazamian D, Cornfeld DM, et al. Improving the understanding and performance of clinical MRI using tissue property filters and the central contrast theorem, MASDIR pulse sequences and synergistic contrast MRI. Quant Imaging Med Surg 2022, 12, 4658–4690. [Google Scholar] [CrossRef]
- Cornfeld D, Condron P, Newburn G, et al Ultra-high contrast MRI: Using divided subtracted inversion recovery (dSIR) and divided echo subtraction (dES) sequences to study the brain and musculoskeletal system. Bioengineering 2024, 11, 441.
- Newburn G, Condron P, Kwon EE, et al Diagnosis of delayed post-hypoxic leukoencephalopathy (Grinker’s myelinopathy) with MRI using divided subtracted inversion recovery (dSIR) sequences: time for reappraisal of the syndrome? Diagnostics 2024, 14, 418. [CrossRef]
- Yokoo T, Bae WC, Hamilton G, et al A quantitative approach to sequence and image weighting. J Comput Assist Tomogr 2010, 34, 317–331. [CrossRef] [PubMed]
- Young IR, Szeverenyi NM, Du J, Bydder GM Pulse sequences as tissue property filters (TP-filters): a way of understanding the signal, contrast and weighting of magnetic resonance images. Quant Imaging Med Surg 2020, 10, 1080–1120. [CrossRef]
- Bydder, M. , Cornfeld, D. M., Melzer, T.R. et al Log subtracted inversion recovery. Magn Reson Imaging 2025, 117, 110328. [Google Scholar]
- Ugurbil K Magnetic resonance imaging at ultrahigh fields. IEE Trans Biomed Eng 2014, 61, 1364–1379. [CrossRef] [PubMed]
- Feinberg DA, Beckett AJS, Vu AT, et al. Next-generation MRI scanner designed for ultra-high-resolution human brain imaging at 7 Tesla. Nat Methods 2023, 20, 2048–2057. [Google Scholar] [CrossRef]
- Bydder M, Condron P, Cornfeld DM, et al Validation of an ultra-high contrast divided subtracted inversion recovery technique using a standard T1 phantom. NMR Biomed 2024, 2024, e5269.
- Losa L, Peruzzo D, Galbiati S, Locatelli F, Agarwal N Enhancing T1 signal of normal-appearing white matter with divided subtracted inversion recovery: a pilot study in mild traumatic brain injury. NMR Biomed 2024, 37, e5175.
- Hajnal JV, Baudouin CJ, Oatridge A, Young IR, Bydder GM Design and implementation of magnetisation transfer pulse sequences for clinical use. J Comput Assist Tomogr 1992, 16, 7–18. [CrossRef]
- Nürnberger L, Gracien R-M, Hok P, et al Longitudinal changes of cortical microstructure in Parkinson’s disease assessed with T1 relaxometry. NeuroImage Clinical 2017, 13, 405–414. [CrossRef]
- Roeben B, Zeltner L, Hagberg GE, Scheffler K, Schols L, Bender B Susceptibility-weighted imaging reveals subcortical iron deposition in PLA2G6- associated neurodegeneration: the “Double Cortex Sign”. Mov Disord 2023, 38, 904–906. [CrossRef]
- Mueller SG 7T MP2RAGE for cortical myelin segmentation: impact of aging. PLoS One 2024, 19, e0299670.
- Bydder GM, Young IR MR imaging: clinical use of the inversion recovery sequence. J Comput Assist Tomogr 1985, 9, 659–675. [CrossRef]
- Redpath TW, Smith FW Technical note: use of a double inversion recovery pulse sequence to image selectively grey or white brain matter. Br J Radiol 1994, 67, 1258–1263. [CrossRef]
- Tillema J-M, Weigand SD, Dayan M, et al Dark rims: novel sequence enhances diagnostic specificity in multiple sclerosis. AJNR Am J Neuroradiol 2018, 39, 1052–1058. [CrossRef]
- Marques JP, Kober T, Krueger G, van der Zwaag W, Van de Moortele P-F, Gruetter R MP2RAGE, a self bias-field corrected sequence for improved segmentation and T1-mapping at high field. Neuroimage 2010, 49, 1271–1281. [CrossRef]
- Beaumont J, Saint-Jalmes H, Acosta O, et al Multi T1-weighted contrast MRI with fluid and white matter suppression at 1. 5T. Magn Reson Imaging 2019, 63, 217–225. [Google Scholar]
- Beaumont J, Gambarota G, Saint-Jalmes H, et al. High-resolution multi-T1-weighted contrast and T1 mapping with low B1 sensitivity using the fluid and white matter suppression (FLAWS) sequence at 7T. Magn Reson Med 2021, 85, 1364–1378. [Google Scholar] [CrossRef]
- Müller J, La Rosa F, Beaumont J, et al. Fluid and white matter suppression. New sensitive 3T magnetic resonance imaging contrasts for cortical lesion detection in multiple sclerosis. Invest Radiol 2022, 57, 592–600. [Google Scholar] [CrossRef] [PubMed]
- Durozard P, Maarouf A, Zaaraoui W, et al. Cortical lesions as an early hallmark of Multiple Sclerosis: visualization by 7T MRI. Invest Radiol 2024, 59, 747–753. [Google Scholar] [CrossRef]
- Saranathan M, Tourdias T, Bayram E, Ghanouni P, Rutt BK Optimization of white-matter-nulled magnetization prepared rapid gradient echo (MP-RAGE) imaging. Magn Reson Med 2015, 73, 1786–1794. [CrossRef] [PubMed]
- Grewal SS, Middlebrooks EH, Kaufmann TJ, et al Fast gray matter acquisition T1 inversion recovery MRI to delineate the mammillothalamic tract for preoperative direct targeting of the anterior nucleus of the thalamus for deep brain stimulation in epilepsy. Neurosurg Focus 2018, 45, E6. [CrossRef]
- Middlebrooks EH, Lin C, Westerhold E, et al. Improved detection of focal cortical dysplasia using a novel 3D imaging sequence: Edge-Enhancing Gradient Echo (3D-EDGE) MRI. NeuroImage 2020, 28, 102449. [Google Scholar] [CrossRef] [PubMed]
- Tao S, Zhou E, Greco V, et al. Edge-Enhancing Gradient-Echo MP2RAGE for clinical epilepsy imaging at 7T. AJNR Am J Neuroradiol 2023, 44, 268–270. [Google Scholar] [CrossRef]
- Middlebrooks EH, Tao S, Zhou X, et al Synthetic inversion image generation using MP2RAGE T1 mapping for surgical targeting in deep brain stimulation and lesioning. Stereotact Funct Neurosurg 2023, 101, 326–331. [CrossRef] [PubMed]


























| # | Sequence | TR (ms) | TI (ms) | TE (ms) | Matrix size Voxel size (mm) |
Number of slices | Slice thickness (mm) |
| 1* | 2D FSE IR (for white nulling matter) | 9,192 | 350 | 7, 80 | 256 x 224 0.9 x 0.1 Z512 0.4 x 0.4 |
26 | 4 |
| 2* | 2D FSE IR (used with #1 for narrow mD dSIR) | 5,796 | 500 | 7, 80 | 256 x 224 0.9 x 0.1 Z512 0.4 x 0.4 |
26 | 4 |
| 3* | 2D FSE IR (for longer T1 nulling) | 5,796 | 600 | 7 | 256 x 224 0.9 x 0.1 Z512 0.4 x 0.4 |
26 | 4 |
| 4* | 2D FSE IR (used with #1 for wide mD dSIR) | 5,796 | 800 | 7 | 256 x 224 0.9 x 0.1 Z512 0.4 x 0.4 |
26 | 4 |
| 5 | 3D BRAVO (for white matter nulling) | 2,000 | 400 | 6 | 256 x 256 0.8 x 0.8 Z512 |
220 | 0.8 |
| 6 | 3D BRA VO (used with #5 for wide mD dSIR) |
2,000 | 800 | 6 | 256 x 256 0.8 x 0.8 Z512 |
220 | 0.8 |
| 7* | 2D T2-FLAIR | 6,300 | 1,851 | 102 | 320 x 240 0.7 x 0.7 Z512 0.4 x 0.4 |
26 | 4 |
| 8 | 3D T2-FLAIR | 6,300 | 1,850 | 102 | 256 x 256 0.8 x 0.8 Z512 0.6 x 0.6 |
252 | 0.8 |
| 9 | 3D susceptibility weighted | 40 |
- | 32 | 300 x 300 0.8 x 0.8 Z512 |
110 | 2 |
| Bipolar filter | Reverse bipolar filter | Tissue properties single (upper) composite (lower) |
|---|---|---|
| SIR | rSIR | T1 |
| dSIR cdSIR |
drSIR cdrSIR |
T1 T1; T2, T2, D*, c and/or MT |
| lSIR clSIR |
lrSIR clrSIR |
T1 T1; T2, T2*, D*, c and/or MT |
| # | Filter, other functions | Signal Equation | Fig. # |
|---|---|---|---|
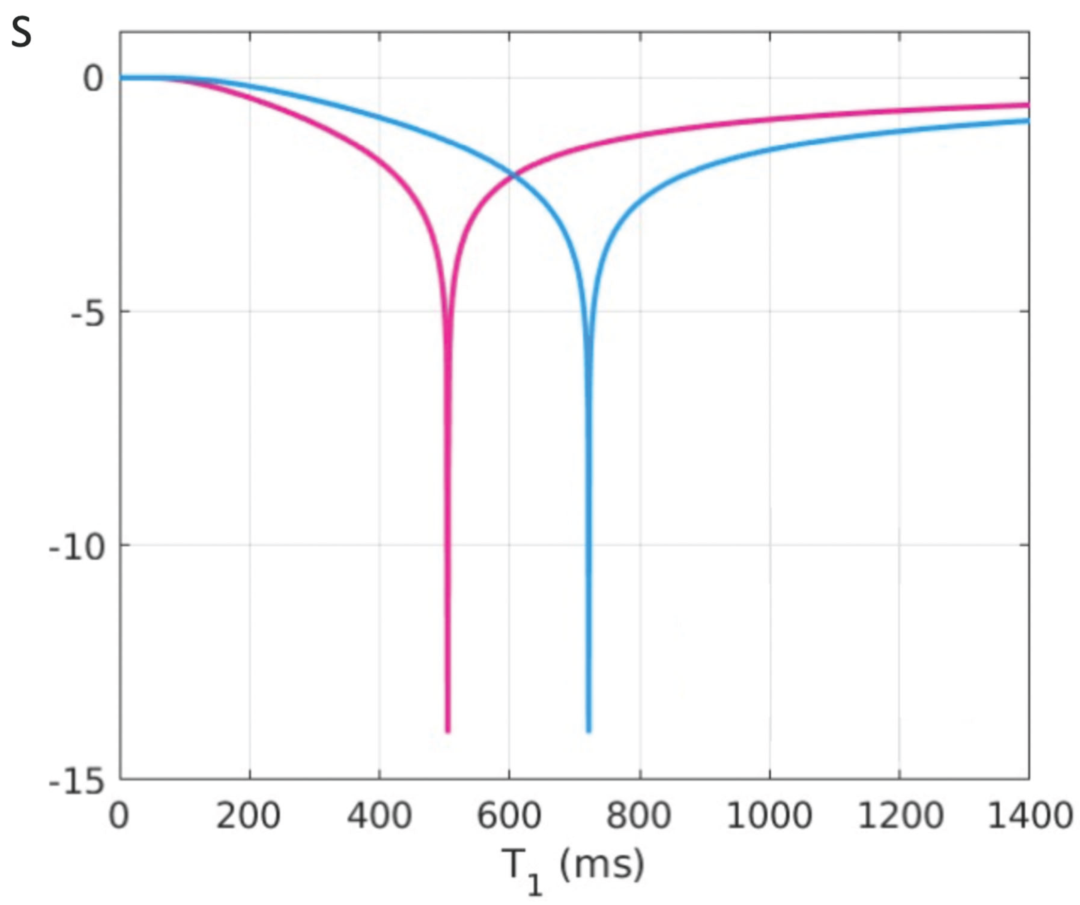
| 1 | IR, TIs | STIs = 1-2e-TIs/T1 | 3,4,5 |
| 2 | IR, TIi | STIi = 1-2e-TIi/T1 | 3,4,5 |
| 3 | SIR | SSIR = STIs - STIi | 5 |
| 4 | dSIR | ![]() |
6,9 |
| 5 | dSIR |
(in lD and hD)ΔTI = TIi – TIs (in mD) |
6,9 |
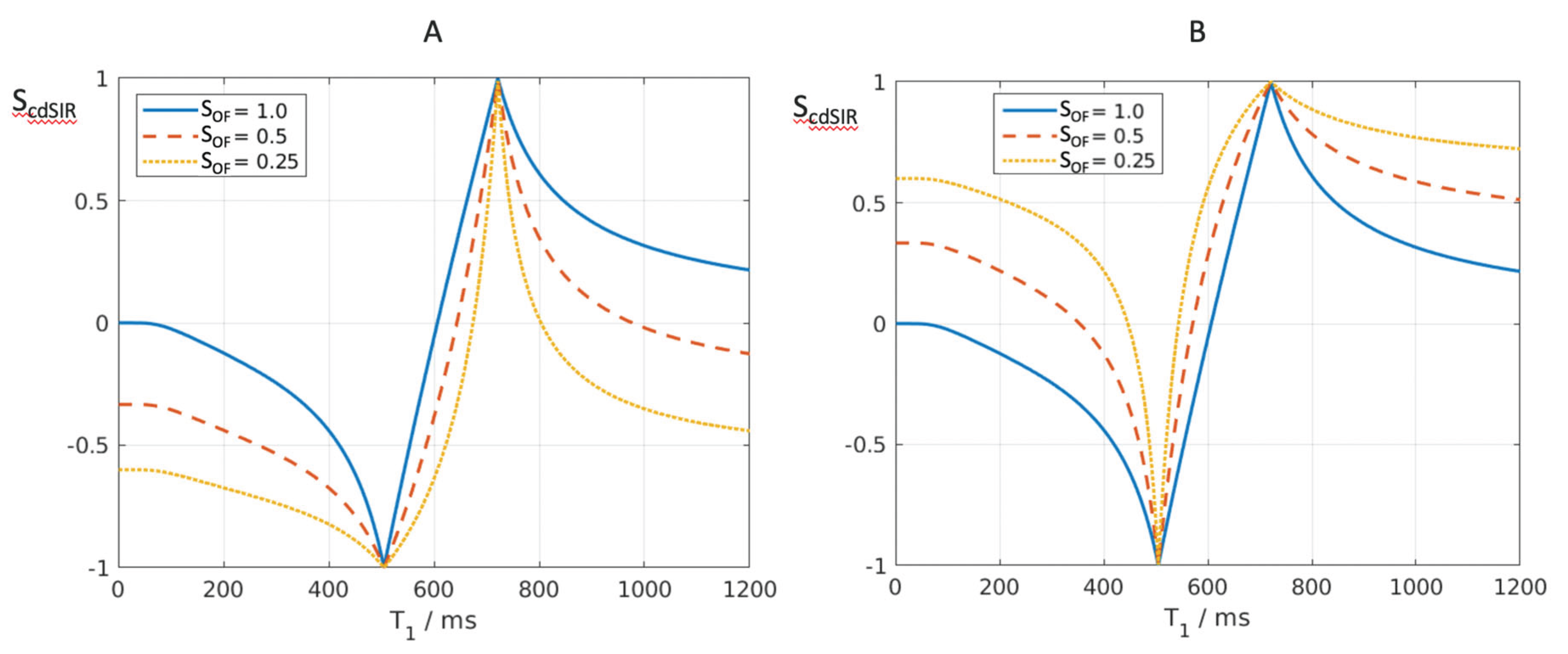
| 6 | cdSIR |
![]()
|
10 |
| 7 | cdSIR, SOF | SOF = ±e-DTE/T2, ± e-DTE/T2*, ±e-DbD*, etc | 10 |
| 8 | dSIR, SdSIR | (in mD) | 6 |
| 9 | dSIR, T1 | (in mD) | 6 |
| 10 | lSIR | SlSIR = ½(ln STIs - ln STIi) | 8,9 |
| 11 | clSIR |
![]()
|
|
| 12 | clSIR, lSIR |
, ± , ±DbD*, etc |
|
| 13 | lSIR, dSIR† | SlSIR = atanh SdSIR (in mD) | 9 |
| 14 | dSIR, T1D†† |
(in mD) |
6,9 |
| 15 | lSIR, T1D ††† |
(in mD) |
9 |
Disclaimer/Publisher’s Note: The statements, opinions and data contained in all publications are solely those of the individual author(s) and contributor(s) and not of MDPI and/or the editor(s). MDPI and/or the editor(s) disclaim responsibility for any injury to people or property resulting from any ideas, methods, instructions or products referred to in the content. |
© 2025 by the authors. Licensee MDPI, Basel, Switzerland. This article is an open access article distributed under the terms and conditions of the Creative Commons Attribution (CC BY) license (http://creativecommons.org/licenses/by/4.0/).










