Preprint
Article

This version is not peer-reviewed.

Initial Response of Switching to Aflibercept 8 mg for Neovascular Age-Related Macular Degeneration

A peer-reviewed article of this preprint also exists.

Submitted:

17 May 2025

Posted:

19 May 2025

You are already at the latest version

Abstract
Objectives: To assess the initial anatomical and functional outcomes of switching to aflibercept 8 mg in patients with neovascular age-related macular degeneration (nAMD) previously treated with anti-vascular endothelial growth factor (VEGF) therapy. Methods: Patients with nAMD previously treated with anti-VEGF drugs were switched to aflibercept 8 mg. Patients with any exudative changes (subretinal fluid [SRF], intraretinal fluid [IRF], or serous pigment epithelial detachment [sPED]) at the time of the first aflibercept 8 mg injection, and whose dosing interval before and after switching did not differ by more than ±7 days, were included. Best-corrected visual acuity (BCVA), central foveal thickness (CFT), and presence of SRF, IRF, and sPED were evaluated before and after switching to aflibercept 8 mg. Results: A total of 102 eyes from 98 patients were included in the analysis. The drugs used prior to switching were faricimab in five eyes, brolucizumab in six eyes, and aflibercept 2 mg in 91 eyes, with a mean interval of 63.7 ± 20.0 days from the last pre-switch injection and 64.9 ± 20.1 days to the first post-switch visit. The CFT was significantly reduced from 272 ± 85 to 246 ± 79 (p<0.0001). The BCVA remained unchanged at 0.27 ± 0.35. During switching, SRF, IRF, and sPED were observed in 70, 24, and 38 eyes, respectively. At post-switch visit, complete resolution of exudative changes was observed in 44% of eyes with SRF, 55% with IRF, and 29% with sPED. No ocular or systemic adverse effects were observed. Conclusions: As an initial response to switching to aflibercept 8 mg in a real-world setting, SRF and IRF completely resolved in approximately half of the patients, and sPED resolved in about 30% of cases.
Keywords: 
;  ;  ;  ;  ;  

1. Introduction

Worldwide, neovascular age-related macular degeneration (nAMD) is a leading cause of central blindness in older adults[1,2,3]. Intravitreal vascular endothelial growth factor (VEGF) therapy is currently the first-line treatment for nAMD[4].
Drugs such as ranibizumab[5], aflibercept 2 mg[2], brolucizumab[6], and faricimab[7] are currently available on the market. Among these, aflibercept 2 mg has been used extensively and remains the most widely used drug. Aflibercept is a recombinant fusion protein consisting of portions of the VEGF receptor A and B extracellular domains fused to the Fc portion of human immunoglobulin G, which blocks placental growth factor (PLGF) [8].
In 2023, aflibercept (8 mg) was approved as a new anti-VEGF drug following a phase 3 clinical trial, the PULSAR trial[9]. The PULSAR trial demonstrated that injections of aflibercept 8 mg every 12 or 16 weeks were non-inferior to injections of aflibercept 2 mg every 8 weeks in terms of improvements in best-corrected visual acuity (BCVA) and central foveal thickness (CFT) [9]. Additionally, during the evaluation up to week 16 of the loading phase, the fluid control effect of aflibercept 8 mg was significantly superior to aflibercept 2 mg. Many reports have shown that switching agents can improve exudative changes in patients previously treated with anti-VEGF agents[10,11,12,13,14]. It is of particular interest to determine how effectively the newly approved aflibercept 8 mg performs in this context. However, given the increasing number of drug options, it has become difficult in practice to evaluate which agent is more effective when switching treatments. If the therapeutic effect is inadequate, switching back to a prior agent remains an option.
In this study, we retrospectively evaluated the initial response to exudative changes and the functional outcomes of intravitreal aflibercept 8 mg for nAMD in real-world settings.

2. Materials and Methods

This study was approved by the Ethics Committee of the Osaka University Graduate School of Medicine (approval number 10039) and followed the tenets of the Declaration of Helsinki. The need for informed consent was waived due to the retrospective design of the study.
The study included a consecutive series of patients with nAMD who had been previously treated with other anti-VEGF drugs and switched to an intravitreal injection of aflibercept (8 mg) at Osaka University Hospital between May and October 2024. Among them, patients with exudative changes (subretinal fluid [SRF], intraretinal fluid [IRF], or serous pigment epithelial detachment [sPED]) within a 6 mm x 6 mm macular cube at the time of switching to aflibercept 8 mg, and who experienced no change in dosing intervals before and after the switch (within ±7 days), were included in the analysis.
All patients underwent a comprehensive ocular examination, including the measurement of BCVA using Landolt C charts, color fundus photography, and spectral-domain and swept-source optical coherence tomography (SD-OCT; Cirrus HD-OCT, Carl Zeiss Meditec Inc., Dublin, CA, and SS-OCT; DRI-SS-OCT, Topcon Inc., Tokyo, Japan) before and after switching to aflibercept 8 mg.
The outcomes included changes in BCVA, CFT (from the internal limiting membrane and the presumed Bruch membrane at the fovea) using SD-OCT and SS-OCT, and exudative changes (SRF, IRF, and sPED within the macular cube) at the time of switching and at the first follow-up visit. Improvement, partial improvement, or no change was judged by three retinal specialists (CH, KS, and YF) based on the OCT findings.

Statistical Analysis

For statistical analyses, BCVA was converted to the logarithm of the minimum angle of resolution (logMAR). One-way analysis of variance was used to assess changes in BCVA and CRT. All statistical analyses were performed using the JMP Pro version 17 software (SAS Institute Inc., Cary, NC, USA). Statistical significance was set at p < 0.05.

3. Results

A total of 201 eyes from 196 patients with nAMD were switched to aflibercept 8 mg from other anti-VEGF drugs during the study period. One hundred and two eyes from 98 patients (61 male and 37 female) met the inclusion criteria (patients with exudative changes [SRF, IRF or sPED] within a 6 mm x 6 mm macular cube at the time of switching and no difference in dosing intervals before and after the change [within ±7 days]).
The mean age was 79.6±8.0 years. Forty-five eyes with polypoidal choroidal vasculopathy, 48 eyes with type 1 macular neovascularization (MNV), three eyes with type 2 MNV, and six eyes with type 3 MNV were included. The mean time from the first treatment to the switch to aflibercept 8 mg was 2172 ± 1467 days, and the mean number of anti-VEGF treatments during this period was 30.8±22.1 (aflibercept 2 mg: 27.8 ± 19.5, ranibizumab: 1.4 ± 4.5, faricimab: 0.9 ± 2.5, brolucizumab: 0.6 ± 2.9) treatments. Eighteen patients had a history of photodynamic therapy. Before switching to aflibercept 8 mg, 91, 5, and 6 eyes received injections of aflibercept (2 mg), faricimab, and brolucizumab, respectively. The mean interval from the intravitreal injection immediately prior to switching to the date of switching was 62.6 ± 19.8 days, and the mean interval from the date of the switching to the first visit after switching was 63.7 ± 20.0 days.
The logMAR BCVA at the time of the first aflibercept 8 mg injection was 0.27 ± 0.35,and remained unchanged at 0.27 ± 0.35 at the first visit after switching. The CFT significantly decreased from 289±115 µm to 265±114 µm. (p<0.0001)

Anatomical Outcomes

At the time of the initial aflibercept 8 mg injection, SRF was observed in 70 of the 102 eyes (68.6%), IRF was observed in 24 eyes (23.5%), and sPED was observed in 38 (37.3%) within a 6mm x 6mm macular cube. All eyes exhibited exudative changes during switching. At the first visit after switching, SRF completely resolved in 31 of 70 eyes (44%), partially resolved in 17 eyes (24%), remained unchanged in 18 eyes (25%), and worsened in 5 eyes (7%). IRF completely resolved in 13 of 24 eyes (54%), partially resolved in one eye (4%), remained unchanged in eight eyes (33%), and worsened in two eyes (8%). sPED completely resolved in 11 of 38 eyes (29%), partially resolved in five eyes (13%), remained unchanged in 21 eyes (55%), and worsened in one eye (3%). In 53 eyes (52%), all SRF- and IRF-only exudative changes completely resolved, and in 37 eyes (36%), all exudative changes, including sPED, resolved. There was a significant reduction in all types of exudative changes (SRF, IRF, and sPED) with p-values < 0.001 (chi-square test) (Figure 1).
Eighty-five eyes had either SRF, IRF, or both at the time of switching, which completely resolved in 38 eyes (44%) after the switch. Complete resolution of all types of exudative changes was observed in 37 eyes (36%) (Figure 2 and Figure 3). In the comparison of the characteristics of cases with and without complete resolution of exudative change, the cases with complete resolution of exudative change were significantly older than those without complete resolution, both comparison of cases with either SRF or IRF or both (82.3±7.3 vs 78.1±8.2; p=0.012) and comparison of cases with all exudations including PED (81.7±7.3 vs 78.3±8.2; p=0.033). Other factors (sex, year, treatment period, number of anti-VEGF treatments, MNV type, logMAR BCVA at switching, interval between injections, drug type before switching, and history of PDT) were not significantly different between patients with and without complete resolution of the exudative change (Table 1 and Table 2).
Adverse Effect
Ocular and systemic adverse effects, including intraocular inflammatory findings, were not observed during the period of switching to aflibercept 8 mg.

4. Discussion

In this study, we evaluated the initial effects of switching to aflibercept 8 mg in patients with nAMD treated with other anti-VEGF drugs. Several reports have investigated the therapeutic effect of switching anti-VEGF drugs [11,12,13,14,15]; however, it is difficult to accurately evaluate these effects for a number of reasons. For example, there are differences in terms of the observation and injection of switching drugs, and whether and how often the same drug is used (and if the effect of the switching drug is insufficient). Therefore, in the present study, to minimize bias as much as possible, the same pre- and post-dose intervals as the previous drug were used, and exudative changes after a single dose were examined.
After switching, the mean CRT significantly decreased, and exudative changes significantly improved. SRF and IRF were completely resolved in approximately half of the eyes, and PED in 30% of eyes. In the PULSAR study[9],9 compared to patients treated with aflibercept 2 mg, the percentage of patients treated with aflibercept 8 mg who had no exudative changes at 16 weeks (8 weeks after the loading dose) was 51.6% for 2 mg and 63.3% for 8 mg, significantly higher than for 2 mg. The effectiveness of high-molar anti-VEGF agents has been previously reported. In the MARINA and ANCHOR trials, ranibizumab 0.5 mg showed an advantage over 0.3 mg in functional and anatomical effects[5,16]. The HAWK trial also showed similar results, with brolucizumab 6 mg reporting better anatomical outcomes compared to 3 mg brolucizumab[6,17].
In the treatment of nAMD with a treat-and-extend regimen, the treatment interval cannot be extended for patients with residual exudative changes despite continuous, frequent administration of anti-VEGF drugs[18]. Although simple comparisons cannot be made, it is expected that fewer cases of exudation will remain even after a short time. The patients in this study were predominantly those with an average dosing interval of 62.6 days (approximately 9 weeks), making it difficult to extend the dosing interval. The disappearance of exudative changes in approximately half of the cases suggests that a switch to aflibercept 8 mg may extend the dosing interval. In the ALTIR study, which examined the aflibercept 2 mg dosing interval, approximately 40% of cases were treated with the shortest interval of 8 weeks; in contrast, in the PULSAR trial, which was a phase 3 clinical trial of aflibercept 8mg, the eyes treated with 8-week intervals was about 15% of cases[9]. Although a simple comparison between these two trials cannot be made, the use of aflibercept 8 mg is expected to reduce the number of cases with residual exudative changes after repeated short-term treatment.
In this study, all types of exudative changes significantly disappeared after aflibercept 8 mg, and SRF and IRF improved in approximately half of the cases, whereas sPED improved in approximately 30% of cases. A previous report of a large number of patients who switched from 2 mg to 8 mg reported significant improvement in SRF and IRF after three doses, but no significant difference in PED[15]. This result is similar to the trend observed in this study, and improvement can be expected for IRF and SRF.
Additionally, this study revealed that the patients with complete resolution of exudative changes were significantly older than those without. The difference is small (81.7±7.3 vs 78.3±8.2), and the reason is unclear. However, the older patients may have less exudative changes dependent on hyperpermeability of choroidal vessels, such as pachychoroid diseases, and more VEGF-dependent exudative changes[20,21,22].
In this study, no systemic or ocular adverse effects were observed. Several reports call for caution regarding intraocular inflammation after switching to aflibercept 8mg[11,15,23,24,25]. Considering that the intraocular inflammation in these reports was also mild in all cases and that no intraocular inflammation was observed in this study, the incidence of intraocular inflammation is low, and the risk of vision loss due to switching to aflibercept 8 mg-induced intraocular inflammation is considered to be very low due to the mild nature of the disease. However, some reported cases developed intraocular inflammation after the second or third injection of aflibercept 8 mg[23,24], and further attention should be paid to these cases.
The main limitations of this study are its retrospective, single-center nature and short-term outcomes. Furthermore, the non-comparative nature of this study introduces a selection bias and does not control for regression toward the mean; all participants were Japanese. However, to minimize any bias in this study, such as treatment intervals or discontinuation of therapy due to inadequate efficacy, only cases with equal intervals before and after the first injection at switching to aflibercept 8 mg were included. The anatomical response after the first injection of a new drug has a significant effect on whether treatment can be continued thereafter. In this cohort of patients, switching to aflibercept 8 mg significantly reduced the presence of SRF, IRF, and PED and improved CRT after the first injection. Although further prospective studies with larger sample sizes should involve long-term outcomes, this study is meaningful in evaluating the effects of switching from 2 to 8 mg in the real world over a short period.

5. Conclusions

In conclusion, switching from other anti-VEGF drugs to aflibercept 8 mg in patients with nAMD significantly reduced exudative changes, even after a single dose, and was particularly effective against SRF and IRF.

Author Contributions

Conceptualization, C.H. and Y.Y.; methodology, C.H.; investigation, C.H.; data curation, C.H., S.F, Y.F, K.S., K.N., K.M. S.S. and T.M ; writing—original draft preparation, C.H.; writing—review and editing, Y.F, and K.S.; visualization, C.H.; supervision, K.N.; project administration, K.N.; All authors have read and agreed to the published version of the manuscript.

Funding

This research received no external funding.

Institutional Review Board Statement

The study was conducted in accordance with the Declaration of Helsinki, and approved by the Institutional Review Board (or Ethics Committee) of the Osaka University Graduate School of Medicine (approval number 10039).

Informed Consent Statement

Patient consent was waived due to the retrospective design of the study.

Data Availability Statement

All data generated or analyzed during this study are included in this published article.

Acknowledgments

None

Conflicts of Interest

The authors declare no conflicts of interest.

Abbreviations

The following abbreviations are used in this manuscript:
nAMD neovascular age-related macular degeneration
VEGF vascular endothelial growth factor
PLGF placental growth factor
BCVA best-corrected visual acuity
CFT central foveal thickness
SRF subretinal fluid
IRF intraretinal fluid
sPED serous pigment epithelial detachment
OCT optical coherence tomography
logMAR logarithm of the minimum angle of resolution
MNV macular neovascularization

References

  1. Klaver, C.C.; Assink, J.J.; van Leeuwen, R.; et al. Incidence and progression rates of age-related maculopathy: the Rotterdam Study. Invest Ophthal Vis Sci 2001, 42, 2237–2241. [Google Scholar] [PubMed]
  2. Lim, L.S.; Mitchell, P.; Seddon, J.M.; Holz, F.G.; Wong, T.Y. Age-related macular degeneration. Lancet 2012, 379, 1728–1738. [Google Scholar] [CrossRef] [PubMed]
  3. Kawasaki, R.; Yasuda, M.; Song, S.J.; et al. The prevalence of age-related macular degeneration in Asians: a systematic review and meta-analysis. Ophthalmology 2010, 117, 921–927. [Google Scholar] [CrossRef]
  4. Fleckenstein, M.; Schmitz-Valckenberg, S.; Chakravarthy, U. Age-Related Macular Degeneration: A Review. Jama 2024, 331, 147–157. [Google Scholar] [CrossRef] [PubMed]
  5. Rosenfeld, P.J.; Brown, D.M.; Heier, J.S.; et al. Ranibizumab for neovascular age-related macular degeneration. NEJM 2006, 355, 1419–1431. [Google Scholar] [CrossRef]
  6. Dugel, P.U.; Singh, R.P.; Koh, A.; et al. HAWK and HARRIER: Ninety-Six-Week Outcomes from the Phase 3 Trials of Brolucizumab for Neovascular Age-Related Macular Degeneration. Ophthalmology 2021, 128, 89–99. [Google Scholar] [CrossRef]
  7. Heier, J.S.; Khanani, A.M.; Quezada Ruiz, C.; et al. Efficacy, durability, and safety of intravitreal faricimab up to every 16 weeks for neovascular age-related macular degeneration (TENAYA and LUCERNE): two randomised, double-masked, phase 3, non-inferiority trials. Lancet 2022, 399, 729–740. [Google Scholar] [CrossRef] [PubMed]
  8. Papadopoulos, N.; Martin, J.; Ruan, Q.; et al. Binding and neutralization of vascular endothelial growth factor (VEGF) and related ligands by VEGF Trap, ranibizumab and bevacizumab. Angiogenesis 2012, 15, 171–185. [Google Scholar] [CrossRef]
  9. Lanzetta, P.; Korobelnik, J.F.; Heier, J.S.; et al. Intravitreal aflibercept 8 mg in neovascular age-related macular degeneration (PULSAR): 48-week results from a randomised, double-masked, non-inferiority, phase 3 trial. Lancet 2024, 403, 1141–1152. [Google Scholar] [CrossRef]
  10. Sim, S.Y.; Chalkiadaki, E.; Koutsocheras, G.; et al. Real-World 1-Year Outcomes of Treatment-Intensive Neovascular Age-Related Macular Degeneration Switched to Faricimab. Ophthalmology Retina 2025, 9, 22–30. [Google Scholar] [CrossRef]
  11. Momenaei, B.; Yonekawa, Y.; Abril, P.; McCullough, R.; Abbey, A.M. Outcomes of Intravitreal Aflibercept 8 mg in Eyes With Neovascular Age-Related Macular Degeneration Previously Treated With Faricimab. OSLI 2025, 56, 206–211. [Google Scholar] [CrossRef] [PubMed]
  12. Arcinue, C.A.; Ma, F.; Barteselli, G.; Sharpsten, L.; Gomez, M.L.; Freeman, W.R. One-year outcomes of aflibercept in recurrent or persistent neovascular age-related macular degeneration. Am J Ophthalmol 2015, 159, 426–436 e422. [Google Scholar] [CrossRef] [PubMed]
  13. Heussen, F.M.; Shao, Q.; Ouyang, Y.; Joussen, A.M.; Muller, B. Clinical outcomes after switching treatment from intravitreal ranibizumab to aflibercept in neovascular age-related macular degeneration. Graefe Arch Clin Exp Ophthalmol 2014, 252, 909–915. [Google Scholar] [CrossRef] [PubMed]
  14. Kataoka, K.; Itagaki, K.; Hashiya, N.; et al. Six-month outcomes of switching from aflibercept to faricimab in refractory cases of neovascular age-related macular degeneration. Graefe Arch Clin Exp Ophthalmol 2024, 262, 43–51. [Google Scholar] [CrossRef]
  15. Bala, S.; Barbosa, G.C.S.; Mohan, N.; et al. Initial Functional and Anatomical Outcomes of High-dose Aflibercept 8 mg in Exudative Neovascular Age-related Macular Degeneration. Ophthalmol. Retina 2025, 7, s2468–s6530. [Google Scholar] [CrossRef]
  16. Brown, D.M.; Kaiser, P.K.; Michels, M.; et al. Ranibizumab versus verteporfin for neovascular age-related macular degeneration. NEJM 2006, 355, 1432–1444. [Google Scholar] [CrossRef]
  17. Zhang, M.; Liu, X.; Gong, Y.; et al. Double-dose investigation of aflibercept in neovascular age-related macular degeneration (DIANA): a real-world study. BMC ophthalmol 2024, 24, 215. [Google Scholar] [CrossRef]
  18. Freund, K.B.; Korobelnik, J.F.; Devenyi, R.; et al. TREAT-AND-EXTEND REGIMENS WITH ANTI-VEGF AGENTS IN RETINAL DISEASES: A Literature Review and Consensus Recommendations. Retina 2015, 35, 1489–1506. [Google Scholar] [CrossRef] [PubMed]
  19. Ohji, M.; Takahashi, K.; Okada, A.A.; Kobayashi, M.; Matsuda, Y.; Terano, Y. Efficacy and Safety of Intravitreal Aflibercept Treat-and-Extend Regimens in Exudative Age-Related Macular Degeneration: 52- and 96-Week Findings from ALTAIR : A Randomized Controlled Trial. Adv Ther 2020, 37, 1173–1187. [Google Scholar] [CrossRef]
  20. Hata, M.; Yamashiro, K.; Ooto, S.; et al. Intraocular Vascular Endothelial Growth Factor Levels in Pachychoroid Neovasculopathy and Neovascular Age-Related Macular Degeneration. Inves Ophthal Vis Sci 2017, 58, 292–298. [Google Scholar] [CrossRef]
  21. Inoda, S.; Takahashi, H.; Inoue, Y.; et al. Cytokine profiles of macular neovascularization in the elderly based on a classification from a pachychoroid/drusen perspective. Graefe Arch Clin Exp Ophthalmol 2022, 260, 747–758. [Google Scholar] [CrossRef] [PubMed]
  22. Terao, N.; Koizumi, H.; Kojima, K.; et al. Distinct Aqueous Humour Cytokine Profiles of Patients with Pachychoroid Neovasculopathy and Neovascular Age-related Macular Degeneration. Sci Rep 2018, 8, 10520. [Google Scholar] [CrossRef] [PubMed]
  23. Matsumoto, H.; Hoshino, J.; Numaga, S.; Mimura, K.; Asatori, Y.; Akiyama, H. Retinal vasculitis after intravitreal aflibercept 8 mg for neovascular age-related macular degeneration. Jpn J Ophthal 2024, 68, 531–537. [Google Scholar] [CrossRef] [PubMed]
  24. Hoffmann, L.; Michels, S.; Eandi, C.; Karam, M.A.; Figueiredo, E.C.O.; Hatz, K. Aflibercept high-dose (8mg) related intraocular inflammation (IOI) - a case series. BMC ophthalmol 2024, 24, 520. [Google Scholar] [CrossRef]
  25. Sisk, R.A. Occlusive Retinal Vasculitis After Aflibercept 8mg Injection for Wet Macular Degeneration. Retin Cases brief Rep 2025. [Google Scholar] [CrossRef]
Figure 1. The change in the ratio of eyes with each exudative change. SRF, subretinal fluid; IRF, intraretinal fluid; sPED, serous pigment epithelium detachment.
Figure 1. The change in the ratio of eyes with each exudative change. SRF, subretinal fluid; IRF, intraretinal fluid; sPED, serous pigment epithelium detachment.
Preprints 159873 g001
Figure 2. The change in the ratio of eyes with exudative change. SRF, subretinal fluid; IRF, intraretinal fluid; sPED, serous pigment epithelium detachment.
Figure 2. The change in the ratio of eyes with exudative change. SRF, subretinal fluid; IRF, intraretinal fluid; sPED, serous pigment epithelium detachment.
Preprints 159873 g002
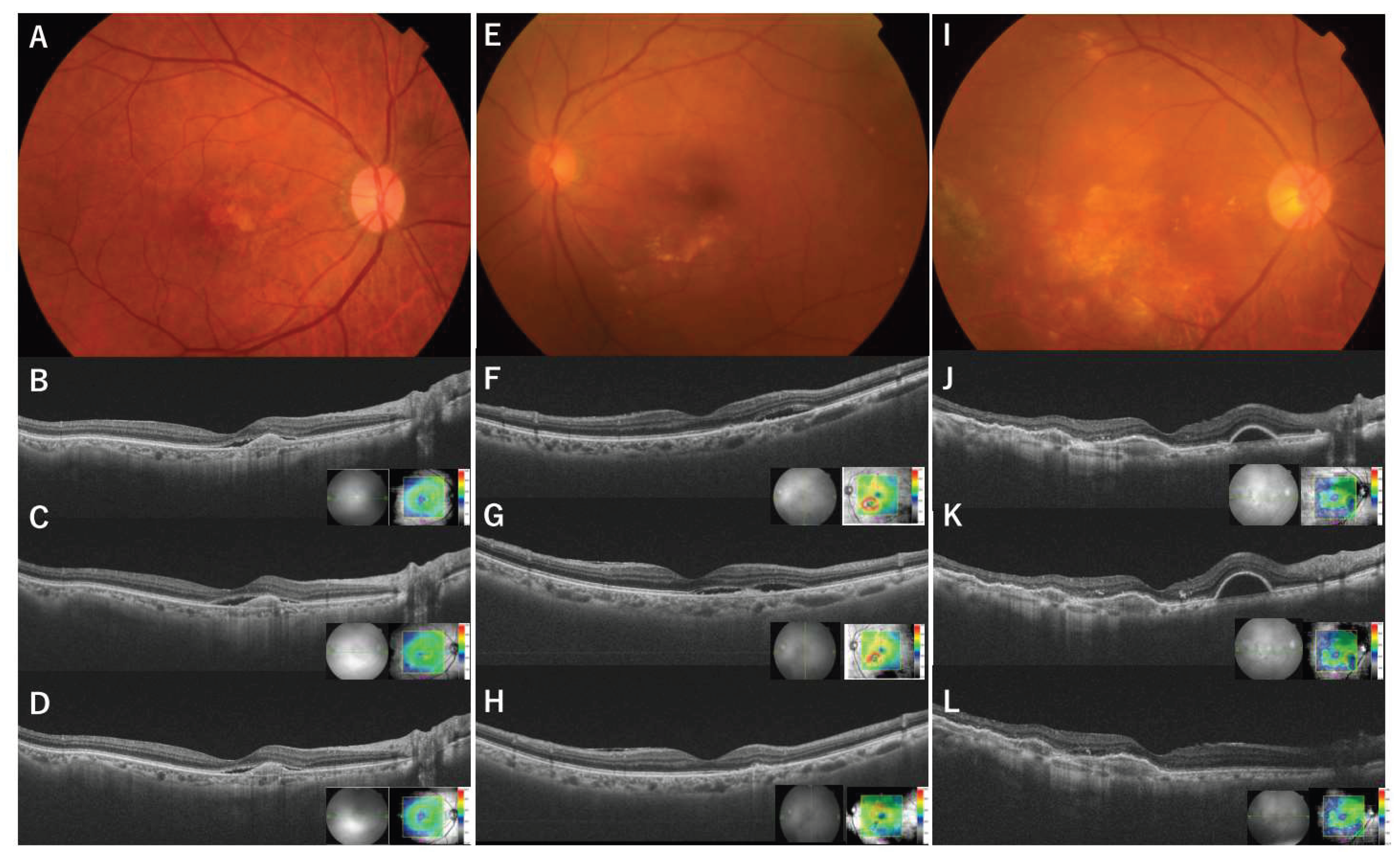
Figure 3. A 75-year-old man with type 2 MNV, who has been treated for 7 years and has had 28 previous intravitreal aflibercept 2 mg injections. Fundus photograph (A) shows a color change in the macula, and OCT on the day of the aflibercept 2 mg dose before the 8 mg switch (B) shows an elevation of the retinal pigment epithelium (RPE) and subretinal fluid (SRF). OCT at 63 days after aflibercept 2 mg dose shows an increase of SRF (C), and aflibercept 8 mg is administered. OCT on day 63 after the 8 mg switch (D) shows that the SRF remains but is improved. A 72-year-old woman with polypoidal choroidal vasculopathy (PCV), who has been treated for approximately 6 years and has previously received 11 intravitreal aflibercept injections (2 mg). Fundus photography (E) shows a color change inferior to the macula, and OCT on the day of aflibercept 2 mg before switching to 8 mg (F) shows SRF in the nasal inferior area. OCT 56 days after aflibercept 2 mg shows SRF (G), and aflibercept 8 mg is administered. OCT on day 56 after the 8 mg switch shows that the SRF completely resolves (H).A 74-year-old man with PCV, who has been treated for 9 years and has received previous 33 intravitreal aflibercept injections (2 mg) and 3 intravitreal brolucizumab injections. Fundus photography (I) shows a color change in the macula and RPE atrophy. OCT on the day of brolucizumab before switching to 8 mg (J) shows an elevation in the RPE and a serous RPE detachment (sPED) at nasal area of the macula. OCT 70 days after the brolucizumab dose (K) shows an increase of sPED, and aflibercept 8 mg is administered. OCT on day 70 after the 8 mg switch (L) shows that the sPED completely resolve.
Figure 3. A 75-year-old man with type 2 MNV, who has been treated for 7 years and has had 28 previous intravitreal aflibercept 2 mg injections. Fundus photograph (A) shows a color change in the macula, and OCT on the day of the aflibercept 2 mg dose before the 8 mg switch (B) shows an elevation of the retinal pigment epithelium (RPE) and subretinal fluid (SRF). OCT at 63 days after aflibercept 2 mg dose shows an increase of SRF (C), and aflibercept 8 mg is administered. OCT on day 63 after the 8 mg switch (D) shows that the SRF remains but is improved. A 72-year-old woman with polypoidal choroidal vasculopathy (PCV), who has been treated for approximately 6 years and has previously received 11 intravitreal aflibercept injections (2 mg). Fundus photography (E) shows a color change inferior to the macula, and OCT on the day of aflibercept 2 mg before switching to 8 mg (F) shows SRF in the nasal inferior area. OCT 56 days after aflibercept 2 mg shows SRF (G), and aflibercept 8 mg is administered. OCT on day 56 after the 8 mg switch shows that the SRF completely resolves (H).A 74-year-old man with PCV, who has been treated for 9 years and has received previous 33 intravitreal aflibercept injections (2 mg) and 3 intravitreal brolucizumab injections. Fundus photography (I) shows a color change in the macula and RPE atrophy. OCT on the day of brolucizumab before switching to 8 mg (J) shows an elevation in the RPE and a serous RPE detachment (sPED) at nasal area of the macula. OCT 70 days after the brolucizumab dose (K) shows an increase of sPED, and aflibercept 8 mg is administered. OCT on day 70 after the 8 mg switch (L) shows that the sPED completely resolve.
Preprints 159873 g003
Table 1. The characteristics of the cases with or without complete resolution of exudative changes (SRF or IRF, or both).SRF; subretinal fluid, IRF; intraretinal fluid, PCV; polypoidal choroidal vasculopathy, VEGF; vascular endothelial growth factor, PDT; photodynamic therapy.
Table 1. The characteristics of the cases with or without complete resolution of exudative changes (SRF or IRF, or both).SRF; subretinal fluid, IRF; intraretinal fluid, PCV; polypoidal choroidal vasculopathy, VEGF; vascular endothelial growth factor, PDT; photodynamic therapy.
Complete resolution
(n=38)
Not complete resolution (n=43) p-Value
Age (mean ± SD) 82.3 ± 7.3 78.1 ± 8.2 0.012*
Gender (male %) 24 (63%) 29 (59%) 0.706
MNV Type
(PCV / Type1 / Type2 / Type 3)
15 / 18 / 1 / 4 20 / 25 / 2 / 2 0.685
Treatment period (Days) 2217 ± 1400 2078 ± 1537 0.664
Number of previous all anti-VEGF treatments 31.6 ± 22.4 29.0 ± 22.5 0.599
Number of previous aflibercept 2mg treatment 29.6 ± 20.6 26.0 ± 19.4 0.405
History of PDT (Yes: n (%)) 5 (13%) 9 (18%) 0.512
Treatment interval at switching 64.7 ± 22.8 62.2 ± 14.4 0.542
Anti-VEGF drug at switching
(aflibercept/faricimab/brolucizumab)
37 / 0 / 1 43 / 4 / 2 0.178
Table 2. The characteristics of the cases with or without complete resolution of exudative changes (all types of exudative changes) SRF; subretinal fluid, IRF; intraretinal fluid, PCV; polypoidal choroidal vasculopathy, VEGF; vascular endothelial growth factor, PDT; photodynamic therapy.
Table 2. The characteristics of the cases with or without complete resolution of exudative changes (all types of exudative changes) SRF; subretinal fluid, IRF; intraretinal fluid, PCV; polypoidal choroidal vasculopathy, VEGF; vascular endothelial growth factor, PDT; photodynamic therapy.
Complete resolution
(n=37)
Not complete resolution (n=65) p-Value
Age (mean ± SD) 81.7 ± 6.8 78.3 ± 8.2 0.033
Gender (male %) 26 (70%) 37 (57%) 0.180
MNV Type
(PCV / Type1 / Type2 / Type 3)
14 / 19 / 1 / 3 31 / 29 / 2 / 3 0.742
Treatment period (Days) 2412 ± 1317 2036 ± 1540 0.215
Number of previous all anti-VEGF treatments 35.2 ± 22.4 28.2 ± 21.7 0.123
Number of previous aflibercept 2mg treatment 32.8 ± 20.7 25.0 ± 18.4 0.054
History of PDT (Yes: n (%)) 6 (16%) 7 (17%) 0.926
Treatment interval at switching 63.4 ± 21.6 62.1 ± 18.8 0.757
Anti-VEGF drug at switching
(aflibercept/faricimab/brolucizumab)
34 / 1 / 2 57 / 4 / 4 0.725
Disclaimer/Publisher’s Note: The statements, opinions and data contained in all publications are solely those of the individual author(s) and contributor(s) and not of MDPI and/or the editor(s). MDPI and/or the editor(s) disclaim responsibility for any injury to people or property resulting from any ideas, methods, instructions or products referred to in the content.
Copyright: This open access article is published under a Creative Commons CC BY 4.0 license, which permit the free download, distribution, and reuse, provided that the author and preprint are cited in any reuse.
Prerpints.org logo

Preprints.org is a free preprint server supported by MDPI in Basel, Switzerland.

Subscribe

Disclaimer

Terms of Use

Privacy Policy

Privacy Settings

© 2026 MDPI (Basel, Switzerland) unless otherwise stated