Submitted:
16 April 2025
Posted:
17 April 2025
You are already at the latest version
Abstract
Keywords:
1. Introduction
2. Methods
2.1. Patients
- Complete response (CR): proteinuria <0.5 g/day and normal renal function (serum creatinine <1.2 mg/dL)
- Partial response (PR): reduction of proteinuria by >50% from the peak recorded value, stable renal function
- Persistent renal dysfunction (PRD): failure to meet the criteria for CR or PR, or worsening renal function without progression to ESRD
- ESRD: eGFR <15 mL/min.
3. Results
3.1. Demographic, Clinical Features and Laboratory Data
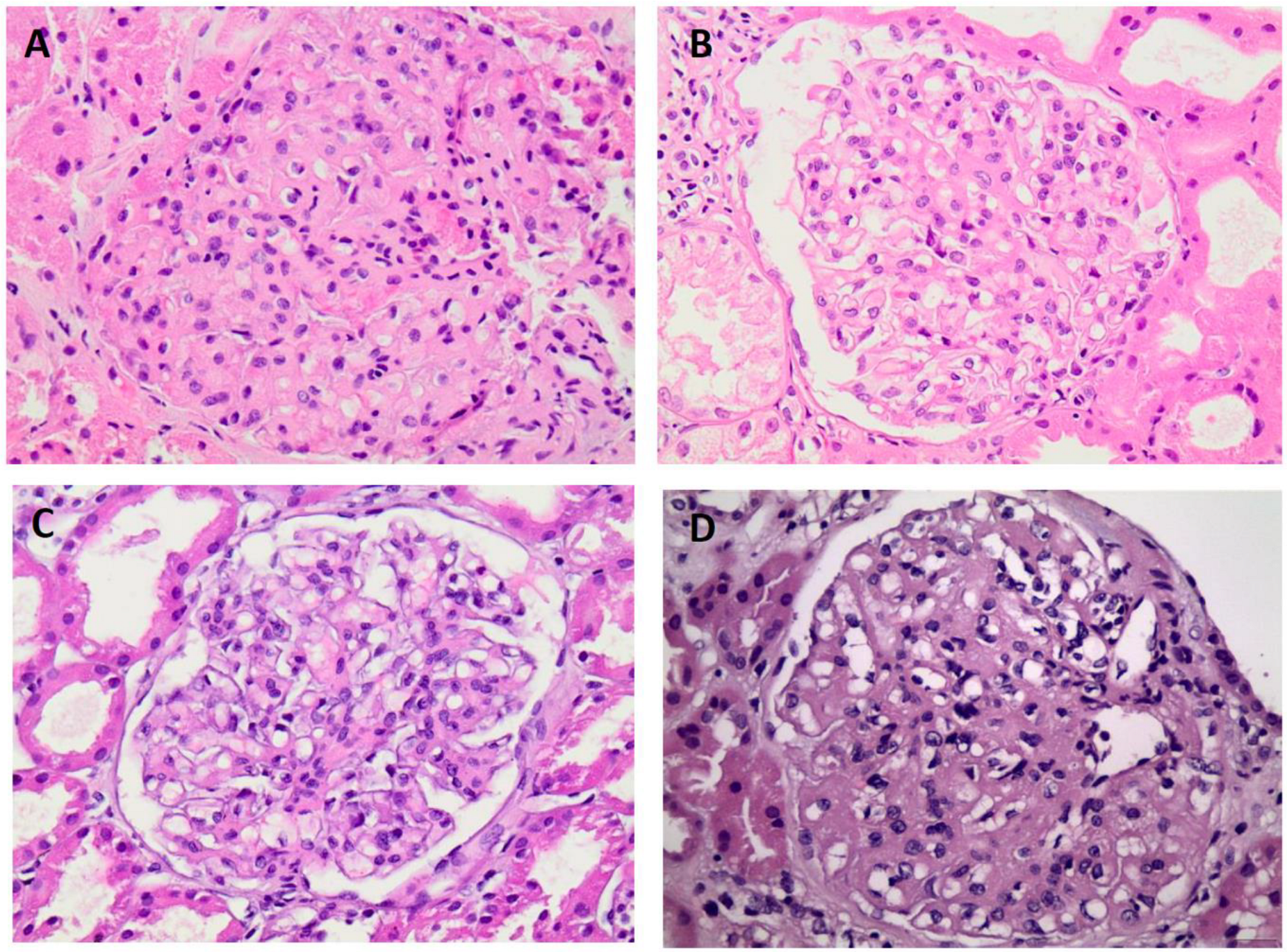
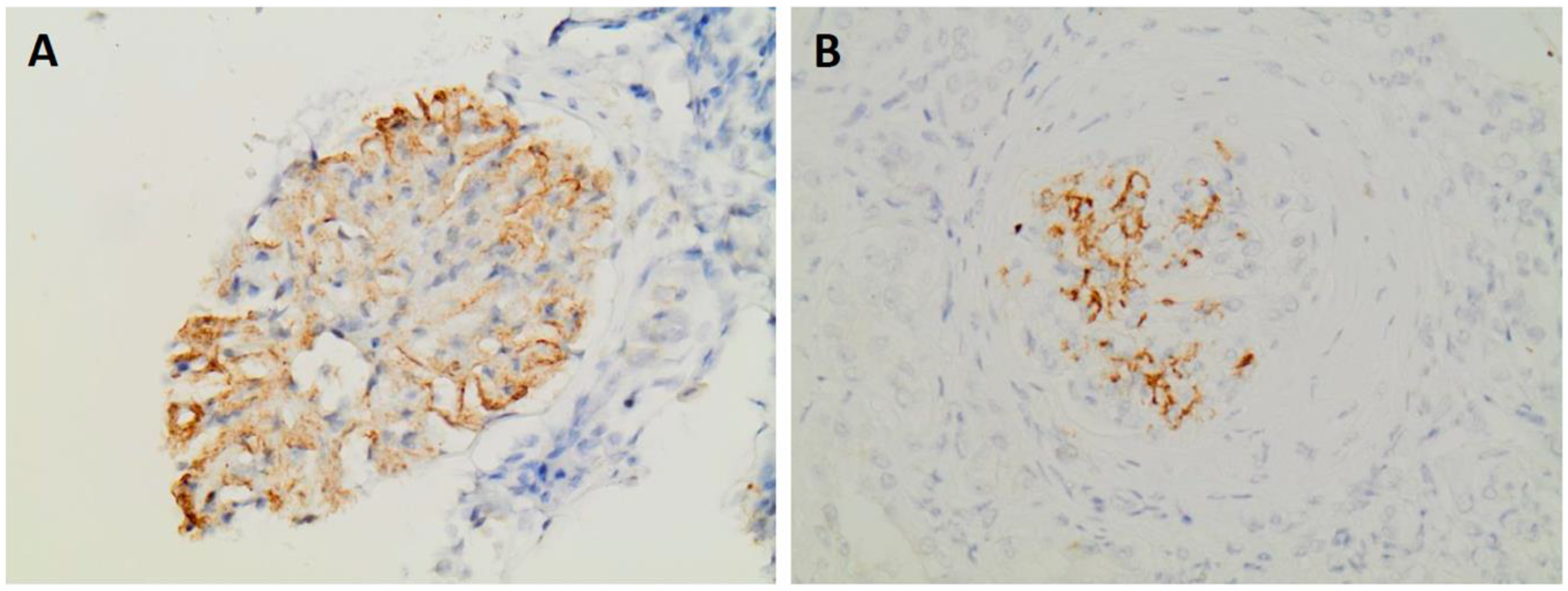
3.2. Pathology Findings
3.3. Treatment and Clinical Outcome
4. Discussion
5. Conclusions
Author Contributions
Funding
Institutional Review Board Statement
Informed Consent Statement
Data Availability Statement
Acknowledgments
Conflicts of Interest
References
- Alpers, C.E.; Rennke, H.G.; Hopper, J.; Biava, CG. Fibrillary glomerulonephritis: an entity with unusual immunofluorescence features. Kidney Int. 1987, 31, 781–789. [Google Scholar] [CrossRef]
- Rosenstock, J.L.; Markowitz, G.S.; Valeri, A.M. Fibrillary and immunotactoid glomerulonephritis: Distinct entities with different clinical and pathologic features. Kidney Int. 2003, 63, 1450–1461. [Google Scholar] [CrossRef] [PubMed]
- Rosenstock, J.L.; Markowitz, G.S. Fibrillary Glomerulonephritis: An Update. Kidney Int Rep. 2019, 4, 917–922. [Google Scholar] [CrossRef] [PubMed]
- O’Shaughnessy, M.M.; Hogan, S.L.; Poulton, C.J.; et al. Temporal and Demographic Trends in Glomerular Disease Epidemiology in the Southeastern United States, 1986-2015. Clin J Am Soc Nephrol. 2017, 12, 614–623. [Google Scholar] [CrossRef]
- Nasr, S.H.; Valeri, A.M.; Cornell, L.D.; et al. Fibrillary glomerulonephritis: a report of 66 cases from a single institution. Clin J Am Soc Nephrol. 2011, 6, 775–784. [Google Scholar] [CrossRef]
- Normand, G.; Jolivot, A.; Rabeyrin, M.; et al. Paraneoplastic fibrillary glomerulonephritis associated with intrahepatic cholangiocarcinoma: When diagnosis of a rare kidney disease leads to successful hepatic cancer treatment. Clin Res Hepatol Gastroenterol. 2017, 41, e8–11. [Google Scholar] [CrossRef]
- Andeen, N.K.; Troxell, M.L.; Riazy, M.; et al. Fibrillary Glomerulonephritis: Clinicopathologic Features and Atypical Cases from a Multi-Institutional Cohort. Clin J Am Soc Nephrol. 2019, 6, 1741–1750. [Google Scholar] [CrossRef] [PubMed]
- Javaugue, V.; Karras, A.; Glowacki, F.; et al. Long-term kidney disease outcomes in fibrillary glomerulonephritis: a case series of 27 patients. Am J Kidney Dis. 2013, 62, 679–690. [Google Scholar] [CrossRef]
- Marinaki, S.; Tsiakas, S.; Liapis, G.; et al. Clinicopathologic features and treatment outcomes of patients with fibrillary glomerulonephritis: A case series. Medicine 2021, 100, e26022. [Google Scholar] [CrossRef] [PubMed]
- Andeen, N.K.; Yang, H.Y.; Dai, D.F.; et al. Homolog Subfamily B Member 9 Is a Putative Autoantigen in Fibrillary GN. J Am Soc Nephrol. 2018, 29, 231–239. [Google Scholar] [CrossRef]
- Dasari, S.; Alexander, M.P.; Vrana, J.A.; et al. DnaJ Heat Shock Protein Family B Member 9 Is a Novel Biomarker for Fibrillary GN. J Am Soc Nephrol. 2018, 29, 51–56. [Google Scholar] [CrossRef] [PubMed]
- Nasr, S.H.; Vrana, J.A.; Dasari, S.; et al. DNAJB9 Is a Specific Immunohistochemical Marker for Fibrillary Glomerulonephritis. Kidney Int Rep. 2018, 3, 56–64. [Google Scholar] [CrossRef]
- Liang, S.; Chen, D.; Liang, D.; et al. Clinicopathological characteristics and outcome of patients with fibrillary glomerulonephritis: DNAJB9 is a valuable histologic marker. J Nephrol. 2021, 34, 883–892. [Google Scholar] [CrossRef]
- Gambella, A.; Pitino, C.; Barreca, A.; et al. DNAJB9 Is a Reliable Immunohistochemical Marker of Fibrillary Glomerulonephritis: Evaluation of Diagnostic Efficacy in a Large Series of Kidney Biopsies. Biomedicines. 2022, 27, 2102. [Google Scholar] [CrossRef]
- Daverkausen-Fischer, L.; Pröls, F. The function of the co-chaperone ERdj4 in diverse (patho-)physiological conditions. Cell Mol Life Sci. 2021, 79, 9. [Google Scholar] [CrossRef]
- 16 Attieh, R.M.; Yang, Y.; Rosenstock, J.L. Updates on the Diagnosis and Management of Fibrillary Glomerulonephritis. Adv Kidney Dis Health. 2024, 31, 374–383. [Google Scholar] [CrossRef] [PubMed]
- Erickson, S.B.; Zand, L.; Nasr, S.H.; et al. Treatment of fibrillary glomerulonephritis with rituximab: a 12-month pilot study. Nephrol Dial Transplant. 2021, 36, 104–110. [Google Scholar] [CrossRef]
- Sabanis, N.; Liaveri, P.; Geladari, V.; et al. DNAJB9 Fibrillary Glomerulonephritis With Membranous-Like Pattern: A Case-Based Literature Review. Cureus. 2023, 28, e47862. [Google Scholar] [CrossRef] [PubMed]
- Behnke, J.; Mann, M.J.; Scruggs, F.L. Members of the Hsp70 Family Recognize distinct types of sequences to execute ER quality control. Mol cell. 2016, 1, 739–752. [Google Scholar] [CrossRef]
- Andeen, N.K.; Yang, H.Y.; Dai, D.F.; et al. DnaJ Homolog Subfamily B Member 9 Is a Putative Autoantigen in Fibrillary GN. J Am Soc Nephrol. 2018, 29, 231–239. [Google Scholar] [CrossRef]
- Nasr, S.H.; Dasari, S.; Lieske, J.C.; et al. Serum levels of DNAJB9 are elevated in fibrillary glomerulonephritis patients. Kidney Int. 2019, 95, 1269–1272. [Google Scholar] [CrossRef] [PubMed]
- Hvala, A.; Kobenter, T.; Ferluga, D. Fingerprint and other organised deposits in lupus nephritis. Wien Klin Wochenschr. 2000, 112, 711–715. [Google Scholar] [PubMed]
- Menon, S.; Zeng, X.; Valentini, R. Fibrillary glomerulonephritis and renal failure in a child with systemic lupus erythematosus. Pediatr Nephrol. 2009, 24, 1577–1581. [Google Scholar] [CrossRef]
- Bhat, Z.Y.; Zeng, X.; Hingorani, J. Fibrillary glomerulonephritis in a patient with systemic lupus erythematosus: a rare association. Int Urol Nephrol. 2013, 45, 281–284. [Google Scholar] [CrossRef] [PubMed]
- Whelband, M.C.; Willingham, T.; Thirunavukkarasu, S. Fibrillar glomerulonephritis in a patient with systemic lupus erythematosus with no evidence of lupus nephritis. BMJ Case Rep. 2023, 16, e253388. [Google Scholar] [CrossRef]
- Stehlé, T.; Joly, D.; Vanhille, P.; et al. Clinicopathological study of glomerular diseases associated with sarcoidosis: a multicenter study. Orphanet J Rare Dis. 2013, 30, 65. [Google Scholar] [CrossRef]



| Patients | Gender | Age | Serum Creatinine [mg/dl] | Proteinuria [gr/ 24h] | Hematuria | Hypertension | Comorbidities |
|---|---|---|---|---|---|---|---|
| 1 | Male | 45 | 1.7 | 3.70 | - | + | - |
| 2 | Female | 58 | 1.4 | 3.50 | - | + | DM2, rheumatologic disease |
| 3 | Female | 31 | 0.9 | 3.00 | + | + | Hypothyroidism, tonsillectomy |
| 4 | Female | 69 | 1.7 | 4.50 | + | + | DM2, hypothyroidism, AF, CKD, smoking |
| 5 | Male | 34 | 0.8 | 1.33 | + | - | smoking |
| 6 | Female | 60 | 2.4 | 3.78 | + | - | Thyroid nodules, dyslipidemia, SLE |
| 7 | Male | 63 | 1.2 | 11.68 | + | + | Obesity, smoking |
| 8 | Male | 61 | 1.6 | 8.00 | + | + | Colon polyps |
| 9 | Female | 56 | 0.8 | 1.80 | - | - | Hypothyroidism, dyslipidemia, sarcoidosis |
| 10 | Male | 74 | 4.5 | 5.60 | + | + | Hypothyroidism, CKD |
| 11 | Female | 57 | 3.6 | 4.00 | + | - | Lung cancer, dyslipidemia |
| Patients | Histological pattern | Glomerulosclerosis | Tubular atrophy/ interstitial fibrosis | Crescents | DNAJB9* | Immunofluorescence |
|---|---|---|---|---|---|---|
| 1 | Diffuse sclerosing | 75% | 35% | - | NA | IgG 1+, IgM 1+, IgA 1+, C3 3+, C1q trace, κ negative, λ 1-2 + |
| 2 | Membranoproliferative | 66% | 25-30% | - | NA | IgG 1 -2+, IgM 1-2+, IgA trace, C3 1-2+, C1q trace, κ λ negative |
| 3 | Mesangial proliferative | 30% | 25% | - | + | IgG 2+, IgM 2-3+, IgA trace, C3 3-4+, C1q, κ, λ trace |
| 4 | Mesangial proliferative | 63% | 35% | - | + | IgG 1-2 +, IgM trace, ΙgA negative, C3 1-2+, C1q negative, λ 1-2+, κ negative |
| 5 | Mesangial proliferative | 18% | 20% | 1 cellular | NA | IgG 2-3 +, IgM trace, ΙgA 2-3+, C3 2+, C1q 2+, λ 3+, κ 2+ |
| 6 | Mesangial proliferative + membranoproliferative | 18% | 25% | - | NA | IgG 1-2+, IgM 1-2+ IgA negative, C3 3+, C1q, κ, λ trace |
| 7 | Membranous | 60% | 25% | - | + | IgG 1-2+, IgM 1+, IgA trace, C3 2-3+, C1q trace, κ trace, λ 2+ |
| 8 | Mesangial proliferative | 40% | 20% | - | NA | IgG 1+, IgM trace - 1+, IgA negative, C3 2-3+, C1q 1+, κ 1+, λ 2-3+ |
| 9 | Mesangial proliferative | 6% | 20% | - | NA | IgG 2-3+, IgM trace, IgA 1+, C3 2+, C1q trace, κ 1-2+, λ 3+ |
| 10 | Crescentic | 27% | 35% | 4 [2 cellular, 2 fibrocellular] |
+ | IgG 1+, IgM trace, IgA negative, C3 trace, C1q negative, κ, λ trace |
| 11 | Crescentic | 8% | 25% | 8 [5 cellular, 3 fibrocellular] | + | IgG, IgA negative, IgM trace, C3 1-2+, C1q trace, κ, λ negative |
| Patients | Follow up period [months] | Immunosuppression | sCr [mg/dl] diagnosis | sCr [mg/dl] last measurement | Upr [gr/ 24h] diagnosis | Upr [gr/ 24h] last measurement | Therapeutic response |
|---|---|---|---|---|---|---|---|
| 1 | 24 | GC + RTX | 1.7 | 1.7 | 3.7 | 0.8 | PR |
| 2 | 24 | CYC + RTX | 1.4 | 1.5 | 3.5 | 0.5 | PR |
| 3 | 6 | GC + RTX | 0.9 | 0.9 | 3 | 1.2 | PR |
| 4 | 12 | GC + RTX | 1.7 | 1.4 | 4.5 | 2.7 | PR |
| 5 | 48 | GC + RTX | 0.8 | 1 | 1.3 | 0.1 | CR |
| 6 | 36 | GC + CYC + MMF | 2.4 | 1.7 | 3.7 | 0.05 | PR |
| 7 | 12 | GC + RTX | 1.2 | 1.2 | 11.6 | 1.9 | PR |
| 8 | 60 | GC + RTX | 1.6 | 2.2 | 8 | 7.8 | PRD |
| 9 | 72 | GC + RTX + MMF | 0.8 | 0.7 | 1.8 | 2.5 | PRD |
| 10 | 6 | GC + CYC + RTX | 4.5 | 3.3 | 5.6 | 1.6 | PR |
| 11 | 2 | GC + CYC + RTX | 3.8 | 1.6 | 4 | 1.5 | PR |
Disclaimer/Publisher’s Note: The statements, opinions and data contained in all publications are solely those of the individual author(s) and contributor(s) and not of MDPI and/or the editor(s). MDPI and/or the editor(s) disclaim responsibility for any injury to people or property resulting from any ideas, methods, instructions or products referred to in the content. |
© 2025 by the authors. Licensee MDPI, Basel, Switzerland. This article is an open access article distributed under the terms and conditions of the Creative Commons Attribution (CC BY) license (http://creativecommons.org/licenses/by/4.0/).