Submitted:
15 April 2025
Posted:
16 April 2025
You are already at the latest version
Abstract
Keywords:
1. Introduction
2. Thyroid Ultrasound: Fundamental Concepts
2.1. Ultrasound Probes
2.2. Color Doppler Ultrasound
2.3. Elastography and Shear Wave Elastography
2.4. Thyroid Ultrasound Examination Technique
3. Thyroid Ultrasound in Thyroid Dysfunctions
3.1. Hyperthyroidism
3.2. Ultrasound Findings in Thyrotoxicosis
3.2.1. Graves’ Disease
- Diffuse Enlargement: the thyroid is typically symmetrically enlarged.
- Increased Vascularity: Doppler ultrasound often reveals increased blood flow within the thyroid, corresponding to heightened metabolic activity.
- Hypoechoic Parenchyma: the thyroid tissue may appear hypoechoic relative to normal tissue, reflecting inflammatory changes.
- Heterogeneous echogenicity: a mild to marked heterogeneity in echotexture may be seen, indicative of autoimmune processes and inflammatory changes within the thyroid gland.
3.2.2. Unifocal Thyroid Autonomy (Solitary Toxic Adenoma)
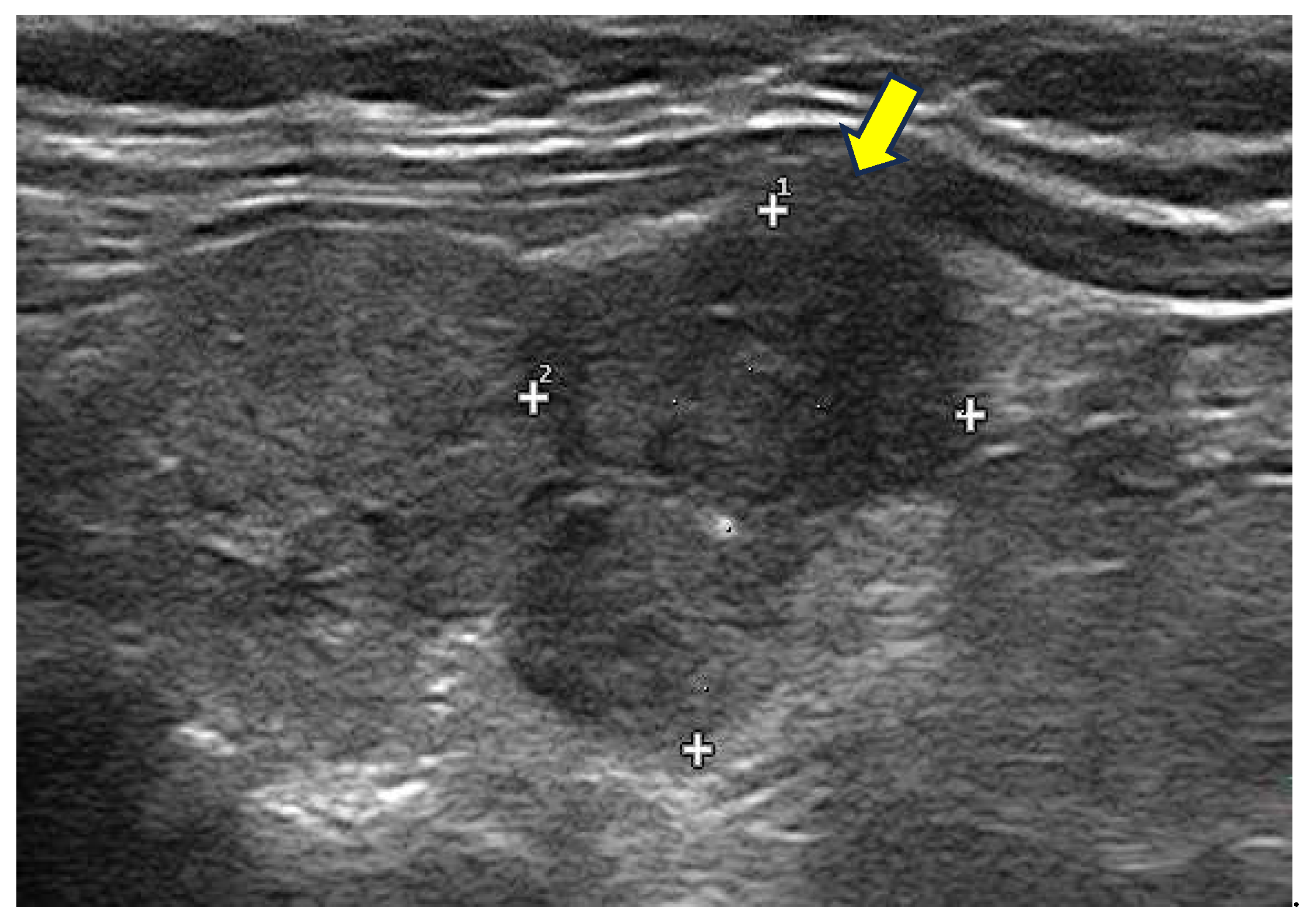
- Hypoechoic Nodule: a solitary toxic adenoma typically appears as a well-defined, hypoechoic nodule.
- Increased Vascularity: Doppler ultrasound may reveal heightened blood flow, peripherally and within the nodule.
- Compression of Surrounding Tissue: larger adenomas may exert pressure on adjacent thyroid tissue.
3.2.3. Multifocal Thyroid Autonomy (Toxic Multinodular Goiter)
- Multiple Nodules: Multiple nodules are characteristic of toxic multinodular goiter.
- Heterogeneous Echogenicity: The thyroid often exhibits an irregular echotexture due to multiple nodules of varying sizes, which may compress the surrounding tissue.
- Vascularity: Doppler ultrasound typically demonstrates increased vascularity within the thyroid gland and individual nodules, particularly in areas of active thyroid tissue.
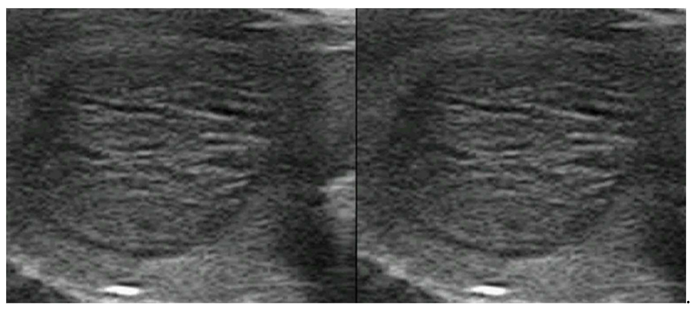
3.2.4. Destructive Thyroiditis
- Enlarged gland: the thyroid may appear enlarged but with a texture distinct from that seen in Graves’ disease or toxic multinodular goiter. Pseudonodules may be present.
- Hypoechoic and heterogeneous texture: the thyroid tissue may display a hypoechoic and heterogeneous pattern due to inflammation and necrosis, particularly in subacute thyroiditis (Figure 2).
- Reduced vascularity: unlike Graves’ disease, thyroiditis often shows diminished or absent vascularity on Doppler ultrasound due to reduced blood flow in the inflamed tissue.

3.3. Clinical guidelines
3.4. Hypothyroidism
4. Thyroid nodules
4.1. How to Assess a Clinically Relevant Thyroid Nodule: The Role of Ultrasound
4.2. How to Manage a Thyroid Incidentaloma: an Open Debate
4.2.1. PET/CT Incidentalomas: A Particular Case
5. Cost-effectiveness and suggested recommendations
6. Conclusions
Author Contributions
Funding
Institutional Review Board Statement
Informed Consent Statement
Data Availability Statement
Conflicts of Interest
References
- Haymart, M.R.; Banerjee, M.; Reyes-Gastelum, D.; Caoili, E.; Norton, E.C. Thyroid Ultrasound and the Increase in Diagnosis of Low-Risk Thyroid Cancer. J Clin Endocrinol Metab 2019, 104, 785–792. [Google Scholar] [CrossRef] [PubMed]
- Zevallos, J.P.; Hartman, C.M.; Kramer, J.R.; Sturgis, E.M.; Chiao, E.Y. Increased Thyroid Cancer Incidence Corresponds to Increased Use of Thyroid Ultrasound and Fine-Needle Aspiration: A Study of the Veterans Affairs Health Care System. Cancer 2015, 121, 741–746. [Google Scholar] [CrossRef] [PubMed]
- Udelsman, R.; Zhang, Y. The Epidemic of Thyroid Cancer in the United States: The Role of Endocrinologists and Ultrasounds. Thyroid 2014, 24, 472–479. [Google Scholar] [CrossRef]
- Ahn, H.S.; Kim, H.J.; Welch, H.G. Korea’s Thyroid-Cancer “Epidemic”--Screening and Overdiagnosis. N Engl J Med 2014, 371, 1765–1767. [Google Scholar] [CrossRef]
- Van Den Bruel, A.; Francart, J.; Dubois, C.; Adam, M.; Vlayen, J.; De Schutter, H.; Stordeur, S.; Decallonne, B. Regional Variation in Thyroid Cancer Incidence in Belgium Is Associated with Variation in Thyroid Imaging and Thyroid Disease Management. J Clin Endocrinol Metab 2013, 98, 4063–4071. [Google Scholar] [CrossRef]
- Haugen, B.R.; Alexander, E.K.; Bible, K.C.; Doherty, G.M.; Mandel, S.J.; Nikiforov, Y.E.; Pacini, F.; Randolph, G.W.; Sawka, A.M.; Schlumberger, M.; et al. 2015 American Thyroid Association Management Guidelines for Adult Patients with Thyroid Nodules and Differentiated Thyroid Cancer: The American Thyroid Association Guidelines Task Force on Thyroid Nodules and Differentiated Thyroid Cancer. Thyroid 2016, 26, 1–133. [Google Scholar] [CrossRef]
- Edwards, M.K.; Iñiguez-Ariza, N.M.; Singh Ospina, N.; Lincango-Naranjo, E.; Maraka, S.; Brito, J.P. Inappropriate Use of Thyroid Ultrasound: A Systematic Review and Meta-Analysis. Endocrine 2021, 74, 263–269. [Google Scholar] [CrossRef]
- Soto Jacome, C.; Segura Torres, D.; Fan, J.W.; Garcia-Bautista, A.; Golembiewski, E.; Duran, M.; Loor-Torres, R.; Toro-Tobon, D.; Singh Ospina, N.; Brito, J.P. Drivers of Thyroid Ultrasound Use: A Retrospective Observational Study. Endocr Pract 2023, 29, 948–954. [Google Scholar] [CrossRef]
- Richman, D.M.; Frates, M.C. Ultrasound of the Normal Thyroid with Technical Pearls and Pitfalls. Radiol Clin North Am 2020, 58, 1033–1039. [Google Scholar] [CrossRef]
- Tripura, N.G.; Malik, A.; Khanna, G.; Mohil, R.S. Role of Ultrasonography (USG) and Color Doppler in the Evaluation of Thyroid Nodules and Its Association with USG-Guided FNAC - A Cross-Sectional Study. J Family Med Prim Care 2024, 13, 919–923. [Google Scholar] [CrossRef]
- Shiina, T.; Nightingale, K.R.; Palmeri, M.L.; Hall, T.J.; Bamber, J.C.; Barr, R.G.; Castera, L.; Choi, B.I.; Chou, Y.H.; Cosgrove, D.; et al. WFUMB Guidelines and Recommendations for Clinical Use of Ultrasound Elastography: Part 1: Basic Principles and Terminology. Ultrasound Med Biol 2015, 41, 1126–1147. [Google Scholar] [CrossRef]
- Shin, J.H.; Baek, J.H.; Chung, J.; Ha, E.J.; Kim, J.H.; Lee, Y.H.; Lim, H.K.; Moon, W.J.; Na, D.G.; Park, J.S.; et al. Ultrasonography Diagnosis and Imaging-Based Management of Thyroid Nodules: Revised Korean Society of Thyroid Radiology Consensus Statement and Recommendations. Korean J Radiol 2016, 17, 370–395. [Google Scholar] [CrossRef] [PubMed]
- Kravets, I. Hyperthyroidism: Diagnosis and Treatment. Am Fam Physician 2016, 93, 363–370. [Google Scholar]
- Ross, D.S.; Burch, H.B.; Cooper, D.S.; Greenlee, M.C.; Laurberg, P.; Maia, A.L.; Rivkees, S.A.; Samuels, M.; Sosa, J.A.; Stan, M.N.; et al. 2016 American Thyroid Association Guidelines for Diagnosis and Management of Hyperthyroidism and Other Causes of Thyrotoxicosis. Thyroid 2016, 26, 1343–1421. [Google Scholar] [CrossRef] [PubMed]
- Kahaly, G.J.; Bartalena, L.; Hegedüs, L.; Leenhardt, L.; Poppe, K.; Pearce, S.H. 2018 European Thyroid Association Guideline for the Management of Graves’ Hyperthyroidism. Eur Thyroid J 2018, 7, 167–186. [Google Scholar] [CrossRef]
- Giovanella, L.; Avram, A.M.; Ovčariček, P.P.; Clerc, J. Thyroid Functional and Molecular Imaging. Presse Med 2022, 51. [Google Scholar] [CrossRef]
- Giovanella, L.; Avram, A.M.; Iakovou, I.; Kwak, J.; Lawson, S.A.; Lulaj, E.; Luster, M.; Piccardo, A.; Schmidt, M.; Tulchinsky, M.; et al. EANM Practice Guideline/SNMMI Procedure Standard for RAIU and Thyroid Scintigraphy. European Journal of Nuclear Medicine and Molecular Imaging 2019 46:12 2019, 46, 2514–2525. [Google Scholar] [CrossRef]
- (UK), N.G.C. Tests for People with Confirmed Thyrotoxicosis. Tests for people with confirmed thyrotoxicosis: Thyroid disease: assessment and management: Evidence review H.
- Giovanella, L.; Campennì, A.; Tuncel, M.; Petranović Ovčariček, P. Integrated Diagnostics of Thyroid Nodules. Cancers (Basel) 2024, 16. [Google Scholar] [CrossRef] [PubMed]
- Giovanella, L.; Avram, A.; Clerc, J. Molecular Imaging for Thyrotoxicosis and Thyroid Nodules. Journal of Nuclear Medicine 2021, 62, 20S–25S. [Google Scholar] [CrossRef]
- Overview | Thyroid Disease: Assessment and Management | Guidance | NICE.
- Giovanella, L.; Ceriani, L.; Ghelfo, A. Second-Generation Thyrotropin Receptor Antibodies Assay and Quantitative Thyroid Scintigraphy in Autoimmune Hyperthyroidism. Horm Metab Res 2008, 40, 484–486. [Google Scholar] [CrossRef]
- Petranović Ovčariček, P.; Görges, R.; Giovanella, L. Autoimmune Thyroid Diseases. Semin Nucl Med 2024, 54, 219–236. [Google Scholar] [CrossRef] [PubMed]
- Tozzoli, R.; Bagnasco, M.; Giavarina, D.; Bizzaro, N. TSH Receptor Autoantibody Immunoassay in Patients with Graves’ Disease: Improvement of Diagnostic Accuracy over Different Generations of Methods. Systematic Review and Meta-Analysis. Autoimmun Rev 2012, 12, 107–113. [Google Scholar] [CrossRef] [PubMed]
- Scappaticcio, L.; Trimboli, P.; Keller, F.; Imperiali, M.; Piccardo, A.; Giovanella, L. Diagnostic Testing for Graves’ or Non-Graves’ Hyperthyroidism: A Comparison of Two Thyrotropin Receptor Antibody Immunoassays with Thyroid Scintigraphy and Ultrasonography. Clin Endocrinol (Oxf) 2020, 92, 169–178. [Google Scholar] [CrossRef]
- Topliss, D.J.; Eastman, C.J. 5: Diagnosis and Management of Hyperthyroidism and Hypothyroidism. Med J Aust 2004, 180, 186–193. [Google Scholar] [CrossRef]
- O’Leary, P.C.; Feddema, P.H.; Michelangeli, V.P.; Leedman, P.J.; Chew, G.T.; Knuiman, M.; Kaye, J.; Walsh, J.P. Investigations of Thyroid Hormones and Antibodies Based on a Community Health Survey: The Busselton Thyroid Study. Clin Endocrinol (Oxf) 2006, 64, 97–104. [Google Scholar] [CrossRef]
- Devdhar, M.; Ousman, Y.H.; Burman, K.D. Hypothyroidism. Endocrinol Metab Clin North Am 2007, 36, 595–615. [Google Scholar] [CrossRef]
- Baskin, H.J.; Cobin, R.H.; Duick, D.S.; Gharib, H.; Guttler, R.B.; Kaplan, M.M.; Segal, R.L.; Garber, J.R.; Hamilton, C.R.; Handelsman, Y.; et al. AMERICAN ASSOCIATION OF CLINICAL ENDOCRINOLOGISTS MEDICAL GUIDELINES FOR CLINICAL PRACTICE FOR THE EVALUATION AND TREATMENT OF HYPERTHYROIDISM AND HYPOTHYROIDISM. Endocr Pract 2002, 8, 457–469. [Google Scholar] [CrossRef]
- Barrett, K. V; Kennedy, A.G.; Repp, A.B.; Tompkins, B.J.; Gilbert, M.P. Predictors and Consequences of Inappropriate Thyroid Ultrasound in Hypothyroidism. Cureus 2021, 13. [Google Scholar] [CrossRef]
- Acosta, G.J.; Singh Ospina, N.; Brito, J.P. Overuse of Thyroid Ultrasound. Curr Opin Endocrinol Diabetes Obes 2023, 30, 225–230. [Google Scholar] [CrossRef]
- Don’t Routinely Order a Thyroid Ultrasound in Patients with Abnormal Thyroid Function Tests If There Is No Palpable Abnormality of the Thyroid Gland. Available online: https://www.choosingwisely.org.au/recommendations/esa1 (accessed on 12 April 2025).
- Endocrinology and Metabolism Recommendations. Available online: https://choosingwiselycanada.org/recommendation/endocrinology-and-metabolism/ (accessed on 12 April 2025).
- Dean, D.S.; Gharib, H. Epidemiology of Thyroid Nodules. Best Pract Res Clin Endocrinol Metab 2008, 22, 901–911. [Google Scholar] [CrossRef]
- Mu, C.; Ming, X.; Tian, Y.; Liu, Y.; Yao, M.; Ni, Y.; Liu, Y.; Li, Z. Mapping Global Epidemiology of Thyroid Nodules among General Population: A Systematic Review and Meta-Analysis. Front Oncol 2022, 12, 1029926. [Google Scholar] [CrossRef] [PubMed]
- Völzke, H.; Lüdemann, J.; Robinson, D.M.; Spieker, K.W.; Schwahn, C.; Kramer, A.; John, U.; Meng, W. The Prevalence of Undiagnosed Thyroid Disorders in a Previously Iodine-Deficient Area. Thyroid 2003, 13, 803–810. [Google Scholar] [CrossRef]
- Durante, C.; Grani, G.; Lamartina, L.; Filetti, S.; Mandel, S.J.; Cooper, D.S. The Diagnosis and Management of Thyroid Nodules: A Review. JAMA 2018, 319, 919–924. [Google Scholar] [CrossRef] [PubMed]
- Dal Maso, L.; Vaccarella, S.; Franceschi, S. Trends in Thyroid Cancer Incidence and Overdiagnosis in the USA. Lancet Diabetes Endocrinol 2025, 13, 167–169. [Google Scholar] [CrossRef]
- Chen, M.M.; Luu, M.; Sacks, W.L.; Orloff, L.; Wallner, L.P.; Clair, J.M.S.; Pitt, S.C.; Ho, A.S.; Zumsteg, Z.S. Trends in Incidence, Metastasis, and Mortality from Thyroid Cancer in the USA from 1975 to 2019: A Population-Based Study of Age, Period, and Cohort Effects. Lancet Diabetes Endocrinol 2025, 13, 188–195. [Google Scholar] [CrossRef]
- Kant, R.; Davis, A.; Verma, V. Thyroid Nodules: Advances in Evaluation and Management. Am Fam Physician 2020, 102, 298–304. [Google Scholar] [PubMed]
- Smith-Bindman, R.; Lebda, P.; Feldstein, V.A.; Sellami, D.; Goldstein, R.B.; Brasic, N.; Jin, C.; Kornak, J. Risk of Thyroid Cancer Based on Thyroid Ultrasound Imaging Characteristics: Results of a Population-Based Study. JAMA Intern Med 2013, 173, 1788–1796. [Google Scholar] [CrossRef] [PubMed]
- Brito, J.P.; Gionfriddo, M.R.; Nofal, A. Al; Boehmer, K.R.; Leppin, A.L.; Reading, C.; Callstrom, M.; Elraiyah, T.A.; Prokop, L.J.; Stan, M.N.; et al. The Accuracy of Thyroid Nodule Ultrasound to Predict Thyroid Cancer: Systematic Review and Meta-Analysis. J Clin Endocrinol Metab 2014, 99, 1253–1263. [Google Scholar] [CrossRef]
- Horvath, E.; Majlis, S.; Rossi, R.; Franco, C.; Niedmann, J.P.; Castro, A.; Dominguez, M. An Ultrasonogram Reporting System for Thyroid Nodules Stratifying Cancer Risk for Clinical Management. J Clin Endocrinol Metab 2009, 94, 1748–1751. [Google Scholar] [CrossRef]
- Hyun, J.T.; Dong, J.L.; Ki, H.B.; Woo, C.P.; Youn, S.L.; Jung, E.C.; Jong, M.L.; Moo, I.K.; Bong, Y.C.; Ho, Y.S.; et al. Diagnostic Value of Ultrasonography to Distinguish between Benign and Malignant Lesions in the Management of Thyroid Nodules. Thyroid 2007, 17, 461–466. [Google Scholar] [CrossRef]
- Shimura, H.; Haraguchi, K.; Hiejima, Y.; Fukunari, N.; Fujimoto, Y.; Katagiri, M.; Koyanagi, N.; Kurita, T.; Miyakawa, M.; Miyamoto, Y.; et al. Distinct Diagnostic Criteria for Ultrasonographic Examination of Papillary Thyroid Carcinoma: A Multicenter Study. Thyroid 2005, 15, 251–258. [Google Scholar] [CrossRef]
- Moon, W.J.; So, L.J.; Jeong, H.L.; Dong, G.N.; Baek, J.H.; Young, H.L.; Kim, J.; Hyun, S.K.; Jun, S.B.; Dong, H.L. Benign and Malignant Thyroid Nodules: US Differentiation--Multicenter Retrospective Study. Radiology 2008, 247, 762–770. [Google Scholar] [CrossRef]
- Russ, G.; Royer, B.; Bigorgne, C.; Rouxel, A.; Bienvenu-Perrard, M.; Leenhardt, L. Prospective Evaluation of Thyroid Imaging Reporting and Data System on 4550 Nodules with and without Elastography. Eur J Endocrinol 2013, 168, 649–655. [Google Scholar] [CrossRef]
- Cheng, S.P.; Lee, J.J.; Lin, J.L.; Chuang, S.M.; Chien, M.N.; Liu, C.L. Characterization of Thyroid Nodules Using the Proposed Thyroid Imaging Reporting and Data System (TI-RADS). Head Neck 2013, 35, 541–547. [Google Scholar] [CrossRef] [PubMed]
- AlSaedi, A.H.; Almalki, D.S.; ElKady, R.M. Approach to Thyroid Nodules: Diagnosis and Treatment. Cureus 2024, 16, e52232. [Google Scholar] [CrossRef]
- Rucz, K.; Hegedűs, L.; Bonnema, S.J.; Frasoldati, A.; Jambor, L.; Kovacs, G.L.; Papini, E.; Russ, G.; Karanyi, Z.; Nagy, E. V.; et al. Echogenicity as a Standalone Nodule Characteristic Is Not Inferior to the TIRADS Systems in the 10-20 Mm Nodule Diameter Range in Patient Selection for Fine Needle Aspiration: A Pilot Study. Eur Thyroid J 2024, 13. [Google Scholar] [CrossRef] [PubMed]
- Middleton, W.D.; Teefey, S.A.; Reading, C.C.; Langer, J.E.; Beland, M.D.; Szabunio, M.M.; Desser, T.S. Comparison of Performance Characteristics of American College of Radiology TI-RADS, Korean Society of Thyroid Radiology TIRADS, and American Thyroid Association Guidelines. American Journal of Roentgenology 2018, 210, 1148–1154. [Google Scholar] [CrossRef] [PubMed]
- Borges, A.P.; Antunes, C.; Caseiro-Alves, F.; Donato, P. Analysis of 665 Thyroid Nodules Using Both EU-TIRADS and ACR TI-RADS Classification Systems. Thyroid Res 2023, 16, 1–10. [Google Scholar] [CrossRef]
- Hoang, J.K.; Nguyen, X. V. Understanding the Risks and Harms of Management of Incidental Thyroid Nodules: A Review. JAMA Otolaryngol Head Neck Surg 2017, 143, 718–724. [Google Scholar] [CrossRef]
- Grogan, R.H.; Aschebrook-Kilfoy, B.; White, M.G.; Kaplan, E.L.; Angelos, P. Thyroid Incidentalomas and the Overdiagnosis Conundrum. Int J Endocr Oncol 2016, 3, 193–196. [Google Scholar] [CrossRef]
- Drake, T.; Gravely, A.; Westanmo, A.; Billington, C. Prevalence of Thyroid Incidentalomas from 1995 to 2016: A Single-Center, Retrospective Cohort Study. J Endocr Soc 2019, 4. [Google Scholar] [CrossRef] [PubMed]
- Song, Z.; Wu, C.; Kasmirski, J.; Gillis, A.; Fazendin, J.; Lindeman, B.; Chen, H. Incidental Thyroid Nodules on Computed Tomography: A Systematic Review and Meta-Analysis Examining Prevalence, Follow-Up, and Risk of Malignancy. Thyroid 2024, 34. [Google Scholar] [CrossRef] [PubMed]
- Wadsley, J.; Balasubramanian, S.P.; Madani, G.; Munday, J.; Roques, T.; Rowe, C.W.; Touska, P.; Boelaert, K. Consensus Statement on the Management of Incidentally Discovered FDG Avid Thyroid Nodules in Patients Being Investigated for Other Cancers. Clin Endocrinol (Oxf) 2024, 101. [Google Scholar] [CrossRef]
- Berwick, D.M.; Hackbarth, A.D. Eliminating Waste in US Health Care. JAMA 2012, 307, 1513–1516. [Google Scholar] [CrossRef]
- Hall, S.F.; Griffiths, R. Use and Overuse of Diagnostic Neck Ultrasound in Ontario: Retrospective Population-Based Cohort Study. Canadian Family Physician 2020, 66, e62. [Google Scholar]
- Hall, S.F.; Irish, J.; Groome, P.; Griffiths, R. Access, Excess, and Overdiagnosis: The Case for Thyroid Cancer. Cancer Med 2014, 3, 154–161. [Google Scholar] [CrossRef]





| Scintigraphy | TRAb | Ultrasound | |
|---|---|---|---|
| ETA 2018 [15] | II line* | I line | I line |
| ATA 2016 [14] | II line** | II line** | II line** |
| NICE 2023 [21] | II line*** | I line | II line* |
| Clinical Scenario | Indication | Recommendation |
| Thyrotoxicosis/Hyperthyroidism | ||
| Unremarkable clinical examination | Diagnostic evaluation | Not recommended |
| Palpable goiter/nodule(s) | Anatomical evaluation | Recommended |
| TRAb positive | Differential diagnosis | Not recommended (TRAb confirms Graves' disease) |
| TRAb negative | Differential diagnosis | Consider thyroid scintigraphy instead |
| Hypothyroidism | ||
| Unremarkable clinical examination | Diagnostic evaluation | Not recommended |
| Palpable goiter/nodule(s) | Anatomical evaluation | Recommended |
| TPOAb positive | Etiological diagnosis | Not recommended (TPOAb confirms autoimmune thyroiditis) |
| Euthyroid state | ||
| Unremarkable clinical examination | Screening | Not recommended |
| Palpable goiter/nodule(s) | Anatomical evaluation | Recommended |
| Incidental nodule <1cm on other imaging | Follow-up | Not recommended |
| Incidental nodule ≥1cm on other imaging | Risk stratification | Consider based on TI-RADS |
| [18F]FDG-avid thyroid nodule on PET/CT | Risk assessment | Consider with clinical context (higher malignancy risk) |
Disclaimer/Publisher’s Note: The statements, opinions and data contained in all publications are solely those of the individual author(s) and contributor(s) and not of MDPI and/or the editor(s). MDPI and/or the editor(s) disclaim responsibility for any injury to people or property resulting from any ideas, methods, instructions or products referred to in the content. |
© 2025 by the authors. Licensee MDPI, Basel, Switzerland. This article is an open access article distributed under the terms and conditions of the Creative Commons Attribution (CC BY) license (http://creativecommons.org/licenses/by/4.0/).