Submitted:
12 April 2025
Posted:
15 April 2025
You are already at the latest version
Abstract

Keywords:
1. Introduction
2. Materials and Methods
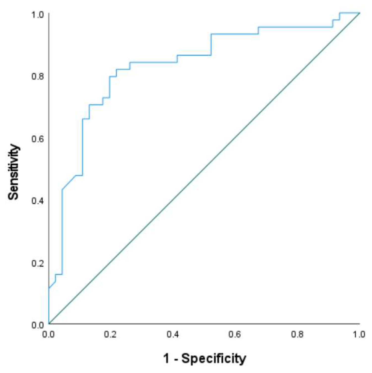
3. Results
Shear Wave Elastography (SWE) Analysis


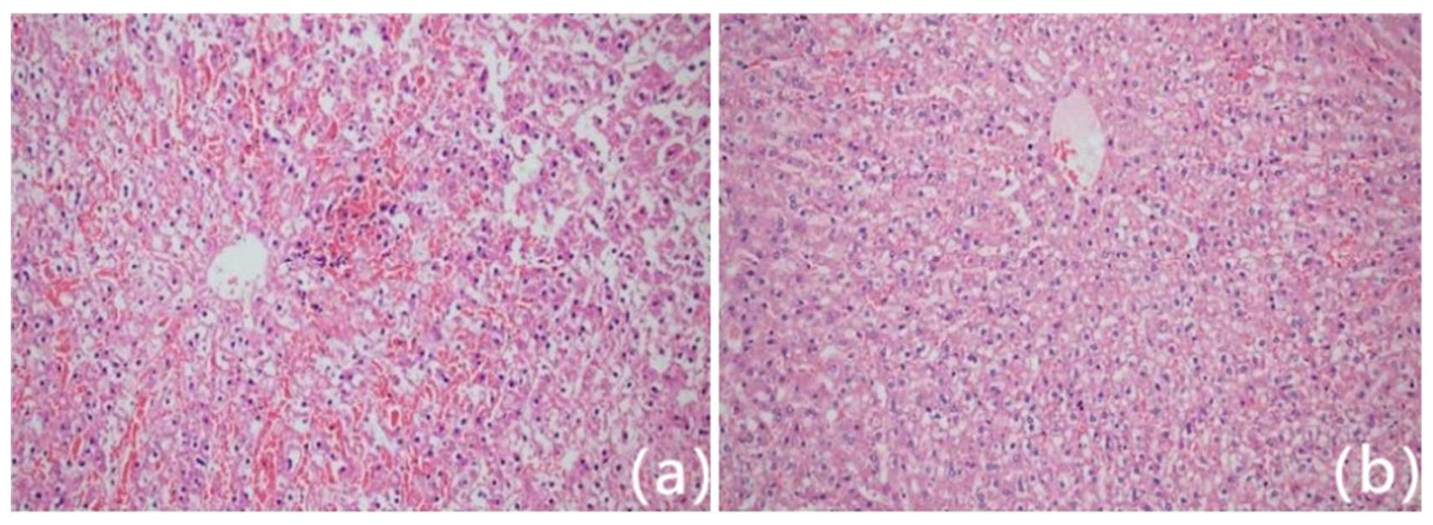
Histopathological and Biochemical Correlation
Comparison of SWE and CEUS Measurements
4. Discussion
Limitations
5. Conclusions
Author Contributions
Funding
Institutional Review Board Statement
Informed Consent Statement
Data Availability Statement
Acknowledgments
Conflicts of Interest
Abbreviations
| AUC | Area Under the Curve |
| CEUS | Contrast-Enhanced Ultrasonography |
| HCC | Hepatocellular Carcinoma |
| HE | Hematoxylin and Eosin |
| IOD | Integrated Optical Density |
| kPa | Kilopascals |
| MI | Mechanical Index |
| MWA | Microwave Ablation |
| NADH | Nicotinamide Adenine Dinucleotide |
| ROC | Receiver Operating Characteristic |
| ROI | Region of Interest |
| SWE | Shear Wave Elastography |
References
- Ganesan, P.; Kulik, L. M. Hepatocellular Carcinoma: New Developments. Clin Liver Dis 2023, 27, 85–102. [Google Scholar] [CrossRef]
- Bray, F.; Laversanne, M.; Sung, H.; Ferlay, J.; Siegel, R. L.; Soerjomataram, I.; Jemal, A. Global cancer statistics 2022: GLOBOCAN estimates of incidence and mortality worldwide for 36 cancers in 185 countries. CA Cancer J Clin 2024, 74, 229–263. [Google Scholar] [CrossRef]
- Takahashi, H.; Berber, E. Role of thermal ablation in the management of colorectal liver metastasis. Hepatobiliary Surg Nutr 2020, 9, 49–58. [Google Scholar] [CrossRef]
- Zhou, J.; Sun, H.; Wang, Z.; Cong, W.; Zeng, M.; Zhou, W.; Bie, P.; Liu, L.; Wen, T.; Kuang, M.; et al. Guidelines for the Diagnosis and Treatment of Primary Liver Cancer (2022 Edition). Liver Cancer 2023, 12, 405–444. [Google Scholar] [CrossRef]
- Yin, H. H.; Wen, R.; Lin, P.; Yang, H.; Hu, M.; Yang, H. Ultrasound-guided microwave ablation of soft tissue venous malformations. J Vasc Surg Venous Lymphat Disord 2023, 11, 605–609. [Google Scholar] [CrossRef]
- Lekht, I.; Gulati, M.; Nayyar, M.; Katz, M. D.; Ter-Oganesyan, R.; Marx, M.; Cen, S. Y.; Grant, E. Role of contrast-enhanced ultrasound (CEUS) in evaluation of thermal ablation zone. Abdom Radiol (NY) 2016, 41, 1511–1521. [Google Scholar] [CrossRef]
- Dietrich, C. F.; Nolsoe, C. P.; Barr, R. G.; Berzigotti, A.; Burns, P. N.; Cantisani, V.; Chammas, M. C.; Chaubal, N.; Choi, B. I.; Clevert, D. A.; et al. Guidelines and Good Clinical Practice Recommendations for Contrast-Enhanced Ultrasound (CEUS) in the Liver-Update 2020 WFUMB in Cooperation with EFSUMB, AFSUMB, AIUM, and FLAUS. Ultrasound Med Biol 2020, 46, 2579–2604. [Google Scholar] [CrossRef]
- Zheng, S. G.; Xu, H. X.; Liu, L. N. Management of hepatocellular carcinoma: The role of contrast-enhanced ultrasound. World J Radiol 2014, 6, 7–14. [Google Scholar] [CrossRef]
- Luo, C.; Li, T.; Li, Z.; Zuo, Y.; He, G.; Lin, J.; Liu, G.; Dai, L. Evaluation of Microwave Ablation Efficacy by Strain Elastography and Shear Wave Elastography in ex Vivo Porcine Liver. Ultrasound Med Biol 2021, 47, 2636–2645. [Google Scholar] [CrossRef]
- Luo, C.; Lin, J.; Liu, G.; He, G.; Zuo, Y.; Dai, L.; Li, T. Preliminary Exploration on the Value of Shear Wave Elastography in Evaluating the Effectiveness of Microwave Ablation on Hepatic Malignancies. Ultrasound Q 2022, 38, 160–164. [Google Scholar] [CrossRef]
- Brewer, N. R. Biology of the rabbit. J Am Assoc Lab Anim Sci 2006, 45, 8–24. [Google Scholar]
- Obuchowski, N. A. ROC analysis. AJR Am J Roentgenol 2005, 184, 364–372. [Google Scholar] [CrossRef]
- Bayne, K. Revised Guide for the Care and Use of Laboratory Animals available. American Physiological Society. Physiologist 1996, 39, 199–208. [Google Scholar]
- Bedewi, M. A.; Alhariqi, B. A.; Aldossary, N. M.; Gaballah, A. H.; Sandougah, K. J. Shear wave elastography of the scalene muscles in healthy adults: A preliminary study. Medicine (Baltimore) 2021, 100, e26891. [Google Scholar] [CrossRef]
- Bedewi, M. A.; Elsifey, A. A.; Alfaifi, T.; Kotb, M. A.; Abdelgawad, M. S.; Bediwy, A. M.; Swify, S. M.; Awad, E. M. Shear wave elastography of the tibial nerve in healthy subjects. Medicine (Baltimore) 2021, 100, e23999. [Google Scholar] [CrossRef]
- Bedewi, M. A.; Elsifey, A. A.; Alfaifi, T.; Saleh, A. K.; Swify, S. M.; Sandougah, K. J. Shearwave elastography of the Sartorius muscle. Medicine (Baltimore) 2021, 100, e25196. [Google Scholar] [CrossRef]
- (17) Liu, D. Q.; Lu, M. D.; Tan, J. F.; Wang, Z.; Zhou, Z. X. [Microwave coagulation at different temperatures for hepatocellular carcinoma management: efficacy evaluation by enzyme histochemical staining]. Nan Fang Yi Ke Da Xue Xue Bao 2006, 26, 1149–1151. [Google Scholar]
- European Association for the Study of the, L. EASL Clinical Practice Guidelines: Management of hepatocellular carcinoma. J Hepatol 2018, 69, 182–236. [Google Scholar] [CrossRef]
- Yoo, J.; Seo, B. K.; Park, E. K.; Kwon, M.; Jeong, H.; Cho, K. R.; Woo, O. H.; Song, S. E.; Cha, J. Tumor stiffness measured by shear wave elastography correlates with tumor hypoxia as well as histologic biomarkers in breast cancer. Cancer Imaging 2020, 20, 85. [Google Scholar] [CrossRef] [PubMed]
- Kim, J. Y.; Kim, J. J.; Hwangbo, L.; Suh, H. B.; Lee, J. W.; Lee, N. K.; Choo, K. S.; Kim, S. Tumor stiffness measured by shear-wave elastography: association with disease-free survival in women with early-stage breast cancer. Br J Radiol 2021, 94, 20210584. [Google Scholar] [CrossRef] [PubMed]
- Farrokh, A.; Maass, N.; Treu, L.; Heilmann, T.; Schafer, F. K. Accuracy of tumor size measurement: comparison of B-mode ultrasound, strain elastography, and 2D and 3D shear wave elastography with histopathological lesion size. Acta Radiol 2019, 60, 451–458. [Google Scholar] [CrossRef] [PubMed]
- Alawaji, G.; Alhothali, W.; Albakr, A.; Amer, A.; Al-Habib, A.; Ajlan, A. Shear wave elastography for intracranial epidermoid tumors. Clin Neurol Neurosurg 2021, 207, 106531. [Google Scholar] [CrossRef] [PubMed]
- Fang, C.; Lim, A.; Sidhu, P. S. Ultrasound-based liver elastography in the assessment of fibrosis. Clin Radiol 2020, 75, 822–831. [Google Scholar] [CrossRef] [PubMed]
- Fang, C.; Sidhu, P. S. Ultrasound-based liver elastography: current results and future perspectives. Abdom Radiol (NY) 2020, 45, 3463–3472. [Google Scholar] [CrossRef]
25. Disclaimer/Publisher’s Note: The statements, opinions and data contained in all publications are solely those of the individual author(s) and contributor(s) and not of MDPI and/or the editor(s). MDPI and/or the editor(s) disclaim responsibility for any injury to people or property resulting from any ideas, methods, instructions or products referred to in the content. |



| Groups | No. of cases | Variables | Point a | Point b | Point c | p value |
| Group A (30 W, 45 s) |
38 | Before ablation (kPa, ±s) | 8.02±0.26 | 8.09±0.35 | 8.05±0.45 | 0.694 |
| After ablation (kPa, ±s) | 98.70±6.58* | 20.52±3.34* | 8.35±0.83 | <0.001 | ||
| Group B (35 W, 1 min) |
52 | Before ablation (kPa, ±s) | 8.02±0.13 | 8.04±0.17 | 8.07±0.15 | 0.550 |
| After ablation (kPa, ±s) | 103.64±8.21*# | 22.27±2.55* | 8.61±0.23 | <0.001 |
| Groups | No. of cases | Variables | Point a | Point b | Point c | p value |
| Group A (30 W, 45 s) |
38 | Before ablation (kPa, ±s) | 1361.31±315.03 | 1386.5±284.51 | 1384.3±298.39 | 0.921 |
| After ablation (kPa, ±s) | 258.05±24.84* | 750.77±114.73* | 1352.85±286.61 | <0.001 | ||
| Group B (35 W, 1 min) |
52 | Before ablation (kPa, ±s) | 1372.05±329.83 | 1353.43±293.57 | 1383.99±271.68 | 0.871 |
| After ablation (kPa, ±s) | 175.61±22.63*# | 749.94±109.17* | 1349.81±339.27 | <0.001 |
| Groups | No. of cases | Variables | Point a | Point b | Point c | p value |
| Group A (30 W, 45 s) |
38 | Before ablation ±s) |
4292.18 ±763.94 |
4307.39 ±899.07 |
4397.66 ±632.27 |
0.813 |
| After ablation ±s) |
710.87 ±106.98* |
2842.09 ±570.29* |
4303.59 ±717.37 |
<0.001 | ||
| Group B (35 W, 1 min) |
52 | Before ablation ±s) |
4313.64 ±727.87 |
4209.47 ±731.54 |
4363.22 ±770.53 |
0.562 |
| After ablation ±s) |
528.29 ±91.12*# |
2856.29 ±524.36* |
4307.95 ±785.92 |
<0.001 |
| Method | Group A (30 W, 45 s) n=38 |
Group B (35 W, 1 min) n=52 |
||
| Transverse ±s) |
Vertical ±s) |
Transverse ±s) |
Vertical ±s) |
|
| Specimen measurement | 16.86±3.15 | 11.25±1.19 | 20.47±2.85 | 14.04±2.03 |
| SWE | 16.73±2.97 | 11.51±1.43 | 21.29±3.87 | 13.63±2.69 |
| CEUS | 17.09±3.25 | 11.17±1.47 | 20.76±3.10 | 14.05±2.59 |
| t value | 0.508 | 0.892 | 0.825 | 0.368 |
| P value | 0.603 | 0.412 | 0.440 | 0.693 |
Disclaimer/Publisher’s Note: The statements, opinions and data contained in all publications are solely those of the individual author(s) and contributor(s) and not of MDPI and/or the editor(s). MDPI and/or the editor(s) disclaim responsibility for any injury to people or property resulting from any ideas, methods, instructions or products referred to in the content. |
© 2025 by the authors. Licensee MDPI, Basel, Switzerland. This article is an open access article distributed under the terms and conditions of the Creative Commons Attribution (CC BY) license (https://creativecommons.org/licenses/by/4.0/).