Submitted:
08 April 2025
Posted:
08 April 2025
You are already at the latest version
Abstract
Keywords:
Introduction
Materials and Methods
Setting
Study Population and Protocol
Prophylactic Antibiotic Regimen and Driveline Protocol
Standard Driveline Dressing Protocol
Case Definitions
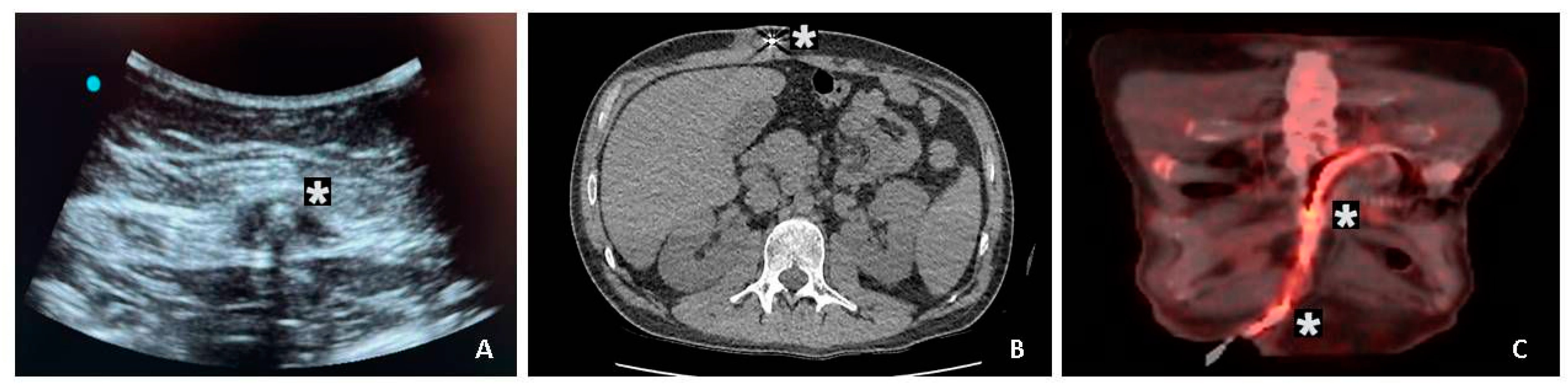
Imaging and Surgical Management
Statistical Analysis
Results
Culture Results
Outcomes and Infection Management
Discussion
Limitations
Conclusions
Conflict of Interest
Acknowledgements
Financial Disclosure Statement
Author Contributions
Abbreviations
| AdvHF | Advanced heart failure |
| BiVAD | Biventricular assist device |
| BMI | Body mass index |
| CoNS | Coagulase-negative staphylococci |
| DL | Driveline |
| DLES | Driveline exit site |
| DLIs | Driveline infections |
| DMCS | Durable mechanical circulatory support |
| HM2 | HeartMate 2 |
| HM3 | HeartMate 3 |
| HVAD | HeartWare |
| ISHLT | International Society for Heart and Lung Transplantation |
| LV | Left ventricle |
| LVAD | Left ventricular assist device |
| MRSA | Methicillin-Resistant Staphylococcus Aureus |
| MSSA | Methicillin-Sensitive Staphylococcus Aureus |
| PAP | Pulmonary artery pressure |
| VAC | Vacuum assisted closure |
| VAD | Ventricular assist device |
References
- Peled, Y.; Ducharme, A.; Kittleson, M.; et al. International Society for Heart and Lung Transplantation Guidelines for the Evaluation and Care of Cardiac Transplant Candidates-2024. J Heart Lung Transplant 2024, 43, 1529–628 e54. [Google Scholar] [PubMed]
- Aslam, S.; Cowger, J.; Shah, P.; et al. The International Society for Heart and Lung Transplantation (ISHLT): 2024 infection definitions for durable and acute mechanical circulatory support devices. J Heart Lung Transplant 2024, 43, 1039–50. [Google Scholar] [CrossRef] [PubMed]
- Potapov, E.V.; Antonides, C.; Crespo-Leiro, M.G.; et al. 2019 EACTS Expert Consensus on long-term mechanical circulatory support. Eur J Cardiothorac Surg 2019, 56, 230–70. [Google Scholar] [CrossRef] [PubMed]
- Bernhardt, A.M.; Schloglhofer, T.; Lauenroth, V.; et al. Prevention and early treatment of driveline infections in ventricular assist device patients - The DESTINE staging proposal and the first standard of care protocol. J Crit Care 2020, 56, 106–12. [Google Scholar] [CrossRef]
- Leuck, A.M. Left ventricular assist device driveline infections: recent advances and future goals. J Thorac Dis 2015, 7, 2151–7. [Google Scholar]
- Patel, C.B.; Blue, L.; Cagliostro, B.; et al. Left ventricular assist systems and infection-related outcomes: A comprehensive analysis of the MOMENTUM 3 trial. J Heart Lung Transplant 2020, 39, 774–81. [Google Scholar] [CrossRef]
- Krzelj, K.; Petricevic, M.; Gasparovic, H.; Biocina, B.; McGiffin, D. Ventricular Assist Device Driveline Infections: A Systematic Review. Thorac Cardiovasc Surg 2022, 70, 493–504. [Google Scholar] [CrossRef]
- Hannan, M.M.; Husain, S.; Mattner, F.; et al. Working formulation for the standardization of definitions of infections in patients using ventricular assist devices. J Heart Lung Transplant 2011, 30, 375–84. [Google Scholar] [CrossRef]
- Goldstein, D.J.; Naftel, D.; Holman, W.; et al. Continuous-flow devices and percutaneous site infections: clinical outcomes. J Heart Lung Transplant 2012, 31, 1151–7. [Google Scholar] [CrossRef]
- Simpson, M.T.; Ning, Y.; Kurlansky, P.; et al. Outcomes of treatment for deep left ventricular assist device infection. J Thorac Cardiovasc Surg 2024, 167, 1824–32 e2. [Google Scholar] [CrossRef]
- Gordon, R.J.; Weinberg, A.D.; Pagani, F.D.; et al. Prospective, multicenter study of ventricular assist device infections. Circulation 2013, 127, 691–702. [Google Scholar] [CrossRef] [PubMed]
- John, R.; Aaronson, K.D.; Pae, W.E.; et al. Drive-line infections and sepsis in patients receiving the HVAD system as a left ventricular assist device. J Heart Lung Transplant 2014, 33, 1066–73. [Google Scholar] [CrossRef] [PubMed]
- Contreras, F.J.; Pinsker, B.L.; Katz, J.N.; et al. Value of nutritional indices in predicting survival free from pump replacement and driveline infections in centrifugal left ventricular assist devices. JTCVS Open 2024, 19, 175–82. [Google Scholar] [CrossRef] [PubMed]
- Dettbarn, E.; Prenga, M.; Stein, J.; et al. Driveline infections in left ventricular assist devices-Incidence, epidemiology, and staging proposal. Artif Organs 2024, 48, 83–90. [Google Scholar] [CrossRef]
- Pagani, F.D. Driveline Infections Associated With Durable Left Ventricular Assist Device Support: An Ounce of Prevention is Worth a Pound of Cure. ASAIO J 2022, 68, 1459–60. [Google Scholar] [CrossRef]
- Cagliostro, B.; Levin, A.P.; Fried, J.; et al. Continuous-flow left ventricular assist devices and usefulness of a standardized strategy to reduce drive-line infections. J Heart Lung Transplant 2016, 35, 108–14. [Google Scholar] [CrossRef]
- Yarboro, L.T.; Bergin, J.D.; Kennedy, J.L.; et al. Technique for minimizing and treating driveline infections. Ann Cardiothorac Surg 2014, 3, 557–62. [Google Scholar]
- Kusne, S.; Mooney, M.; Danziger-Isakov, L.; et al. An ISHLT consensus document for prevention and management strategies for mechanical circulatory support infection. J Heart Lung Transplant 2017, 36, 1137–53. [Google Scholar] [CrossRef]
- Bauer, T.M.; Choi, J.H.; Luc, J.G.Y.; et al. Device exchange versus nonexchange modalities in left ventricular assist device-specific infections: A systematic review and meta-analysis. Artif Organs 2019, 43, 448–57. [Google Scholar] [CrossRef]
- Wadiwala, I.; Garg, P.; Alamouti-Fard, E.; et al. Absorbable antibiotic beads for treatment of LVAD driveline infections. Artif Organs 2024, 48, 559–66. [Google Scholar] [CrossRef]
- Juraszek, A.; Smolski, M.; Kolsut, P.; et al. Prevalence and management of driveline infections in mechanical circulatory support - a single center analysis. J Cardiothorac Surg 2021, 16, 216. [Google Scholar] [CrossRef] [PubMed]
- Spano, G.; Buffle, E.; Walti, L.N.; et al. Ten-year retrospective cohort analysis of ventricular assist device infections. Artif Organs 2023, 47, 898–905. [Google Scholar] [CrossRef] [PubMed]
- Puschel, A.; Skusa, R.; Bollensdorf, A.; Gross, J. Local Treatment of Driveline Infection with Bacteriophages. Antibiotics (Basel) 2022, 11. [Google Scholar] [CrossRef]
- Topkara, V.K.; Kondareddy, S.; Malik, F.; et al. Infectious complications in patients with left ventricular assist device: etiology and outcomes in the continuous-flow era. Ann Thorac Surg 2010, 90, 1270–7. [Google Scholar] [CrossRef]
- Raymond, A.L.; Kfoury, A.G.; Bishop, C.J.; et al. Obesity and left ventricular assist device driveline exit site infection. ASAIO J 2010, 56, 57–60. [Google Scholar] [CrossRef]
- Koval, C.E.; Stosor, V.; Practice, AICo. Ventricular assist device-related infections and solid organ transplantation-Guidelines from the American Society of Transplantation Infectious Diseases Community of Practice. Clin Transplant 2019, 33, e13552. [Google Scholar] [CrossRef]
- Toba, F.A.; Akashi, H.; Arrecubieta, C.; Lowy, F.D. Role of biofilm in Staphylococcus aureus and Staphylococcus epidermidis ventricular assist device driveline infections. J Thorac Cardiovasc Surg 2011, 141, 1259–64. [Google Scholar] [CrossRef]
- Bernhardt, A.M.; Pamirsad, M.A.; Brand, C.; et al. The value of fluorine-18 deoxyglucose positron emission tomography scans in patients with ventricular assist device specific infections dagger. Eur J Cardiothorac Surg 2017, 51, 1072–77. [Google Scholar] [CrossRef]





| All patients (n = 90) |
DLI’s Group (n = 20) |
Non-DLI’s Group (n=70) |
p values | |
|---|---|---|---|---|
| Sex — no. (%) Male Female |
74 (82.2%) 16 (17.8%) |
17 (85%) 3 (15%) |
17 (85%) 3 (15%) |
0.502 |
| Age — yr Mean Range |
43.6 ± 17.7 10 - 70 |
31.5 ± 15.9 12 - 67 |
47.1 ± 16.7 10 - 70 |
0,01 |
| Age, group — no. (%) Pediatric Adult |
17 (18.9%) 73 (81.1%) |
8 (40.0%) 12 (60%) |
9 (12.9%) 61 (87.1%) |
0.21 |
| BMI Mean Range |
25.5 ± 5.6 13.0 – 40.2 |
24.9 ± 5.7 14.4 – 32.5 |
25.6 ± 5.6 13.0 – 40.2 |
0.77 |
| Hypertension — no. (%) | 21 (23.3%) | 5 (25%) | 16 (22.9%) | 0.47 |
| Diabetes — no. (%) | 18 (20%) | 4 (20%) | 14 (20%) | 0.58 |
| Chronic Kidney Failure — no. (%) | 6 (6.7%) | 0 (0%) | 6 (8.6%) | 0.21 |
| Hyperlipidaemia — no. (%) | 42 (46.7 %) | 2 (10%) | 40 (57.1%) | 0.04 |
| COPD — no. (%) | 5 (6.7%) | 1 (5%) | 4 (5.7%) | 0.37 |
| Previous Stroke — no. (%) | 3 (3.3%) | 0 (0%) | 3 (4.3 %) | 0.99 |
| History of peripheral vascular disease — no. (%) | 4 (4.4%) | 1 (5%) | 3 (4.3%) | 0.97 |
| Smoking history | 35 (38.9%) | 6 (30%) | 29 (41.4%) | 0.39 |
| Previous Implantable Defibrillator — no. (%) | 17 (18.9%) | 4 (20%) | 13 (18.6%) | 0.36 |
| Hemoglobin (g/dl), mean ± SD | 10.2 ± 0.7 | 10.4 ± 0.2 | 9.9 ± 0.8 | 0.78 |
| Platelet Count (x109/l) — mean ± SD) | 112.7 ± 17,8 | 115.8 ± 21.2 | 121.0 ± 19.4 | 0.99 |
| Albumin Level (g/L) — mean ± SD | 32.2 ± 4.7 | 28.8 ± 2.4 | 33.6 ± 5.3 | 0.03 |
| Multi-Organ Failure — no. (%) | 12 (13.33%) | 2 (10%) | 10 (14.3%) | 0.46 |
| VAD Duration Times Mean Range |
561.7 ± 833.2 1-4112 |
1277.85 ± 621.6 149-2779 |
356.3 ± 773.0 1- 4112 |
0.001 |
| Heart Failure Etiology — no. (%) DCMP ICMP Others |
42 (46.7%) 44 (48.9%) 4 (4.4%) |
15 (75%) 4 (20%) 1 (5%) |
27 (38.6%) 40 (57.1%) 3 (4.3%) |
0.02 |
| LVEF % Mean Range |
18,62±6,30 10-35 |
22,11 ± 8,2 10-35 |
17,6±5,21 10-31 |
0.22 |
| Type of Device — no (%) HeartWare HVAD HeartMate 2 HeartMate 3 BiVAD |
39 (43.3%) 10 (11.1%) 38 (42.2%) 3 (3.3%) |
11 (55%) 1 (5%) 8 (40%) 0 (0%) |
28 (40%) 9 (12,9%) 30 (42,9%) 3 (4.3%) |
0.34 |
| CPB Times- minutes Mean Range |
202.4 ± 71.9 111-433 |
175 ± 50.8 144-283 |
209.5 101-433 |
0.10 |
| Intention of VAD — no (%) Bridge to transplant Bridge to destination |
77 (85.6%) 13 (14.4%) |
19 (95%) 1 (5%) |
58 (85.9%) 12 (11.1%) |
0.16 |
| Number of Days from VAD Implantation to First DLI | All patients (n = 20) |
|---|---|
| Median Interquartile Range |
513 404 |
| DL Infection Symptoms – no. (%) Drainage from the DLES Fever Erythema Pain through the DL |
20 (100%) 5 (25%) 7 (35%) 4 (20%) |
| Increased Acute Phase Reactants – no. (%) | 20 (100%) |
| Signs of infection by ultrasonography – no. (%) | 12 (60%) |
| VAD, Ventricular Assist Device; DLI, Driveline Infection; DL, Driveline; DLES, Driveline Exit Site | |
| Univariate Model | Multivariate Model | |||
|---|---|---|---|---|
| HR (95% CI) | P value | HR (95% CI) | P value | |
| Age – years <52 y vs ≥ 52 y |
11,78 (1.6 – 88.6) |
0.02 |
9.77 (1.3 – 74.5) |
0.03 |
| Hyperlipidemia Yes/No |
0,14 (0.03 – 0. 059) |
0.01 |
||
| Albumin Level (g/dL) <30,35 vs ≥30,35 g/dL |
12.79 (1.70 – 95.73) |
0.01 |
10.55 (1.40 – 79.35) |
0.02 |
| Etiology DCMP vs ICMP Others vs ICMP |
3.19 (1.04 – 9.69) 3.47 (0.376 – 32.02) |
0.04 0.27 |
||
Disclaimer/Publisher’s Note: The statements, opinions and data contained in all publications are solely those of the individual author(s) and contributor(s) and not of MDPI and/or the editor(s). MDPI and/or the editor(s) disclaim responsibility for any injury to people or property resulting from any ideas, methods, instructions or products referred to in the content. |
© 2025 by the authors. Licensee MDPI, Basel, Switzerland. This article is an open access article distributed under the terms and conditions of the Creative Commons Attribution (CC BY) license (http://creativecommons.org/licenses/by/4.0/).