Submitted:
27 March 2025
Posted:
01 April 2025
You are already at the latest version
Abstract
Keywords:
Background
Materials and Methods
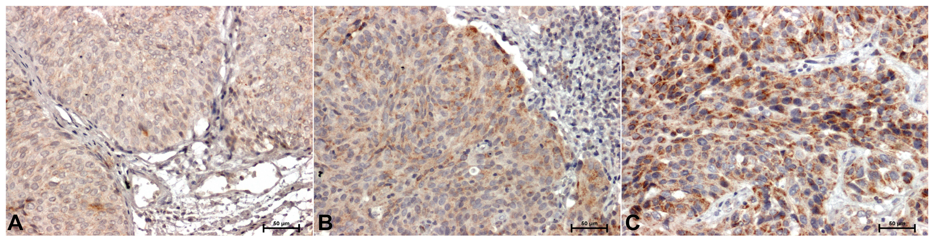
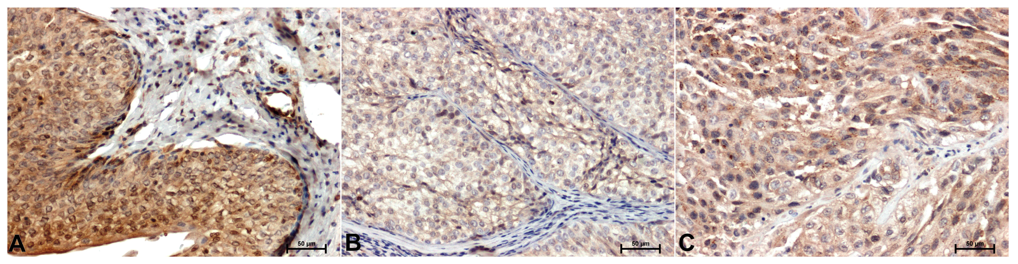
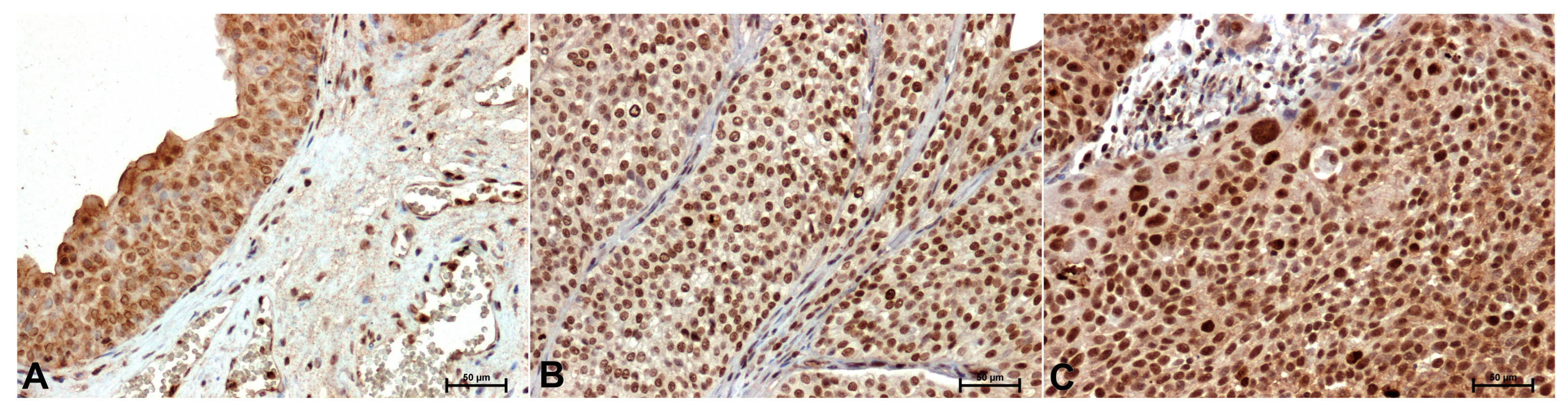
Identification of CacyBP/SIP, ERK1/2 and p38 by Immunohistochemistry
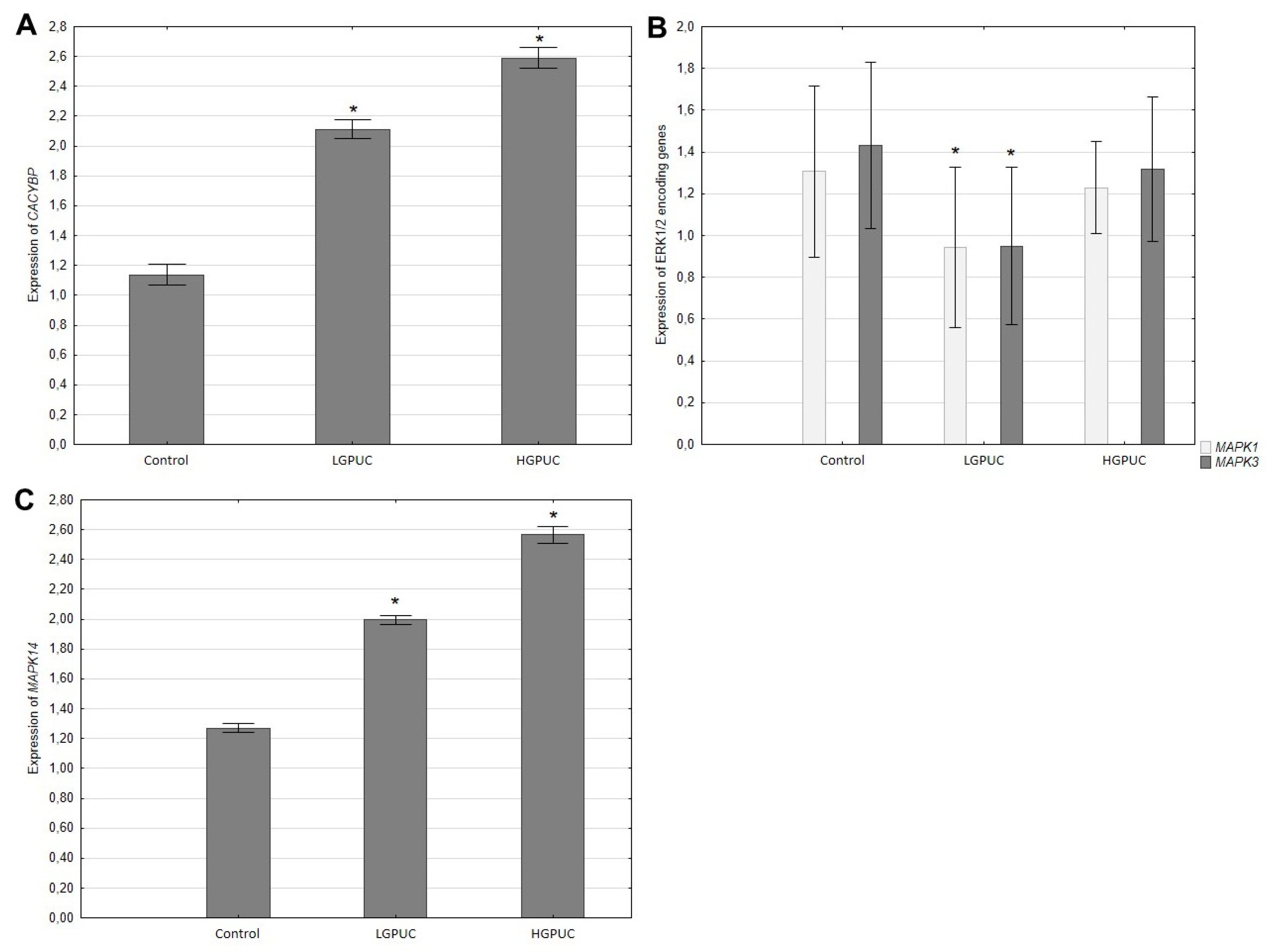
Real-Time PCR
Statistical Analysis
Results
Discussion
Conclusions
Informed Consent Statement
Conflicts of Interest
Author Contributions
Data Availability Statement
Declaration of Figures’ Authenticity
References
- Lenis AT, Lec PM, Chamie K, Mshs MD. Bladder Cancer: A Review. JAMA 2020, 324, 1980–91. [Google Scholar] [CrossRef]
- Pecoraro M, Takeuchi M, Vargas HA, et al. Overview of VI-RADS in Bladder Cancer. AJR Am J Roentgenol. 2020, 214, 1259–68. [Google Scholar] [CrossRef] [PubMed]
- Martinez Rodriguez RH, Buisan Rueda O, Ibarz L. Bladder cancer: Present and future. Med Clin (Barc). 2017, 149, 449–55. [Google Scholar]
- Grayson, M. Bladder cancer. Nature 2017, 551, S33. [Google Scholar] [CrossRef] [PubMed]
- Pignot G, Barthélémy P, Borchiellini, D. Sex Disparities in Bladder Cancer Diagnosis and Treatment. Cancers. 2024, 16, 4100. [Google Scholar] [CrossRef]
- Farling, KB. Bladder cancer: Risk factors, diagnosis, and management. Nurse Pract. 2017, 42, 26–33. [Google Scholar] [CrossRef] [PubMed]
- Tătar AC, Loghin A, Nechifor-Boilă A, Raicea A, Popelea MC, Chibelean C, Gherasim RD, Borda A. Urothelial Bladder Carcinoma in Young and Elderly Patients: Pathological Insights and Age-Related Variations. Cancers. 2025, 17, 845. [Google Scholar] [CrossRef]
- Topolska-Woś AM, Chazin WJ, Filipek A. CacyBP/SIP--Structure and variety of functions. Biochim Biophys Acta 2016, 1860, 79–85. [Google Scholar] [CrossRef]
- Filipek A, Kuźnicki J. Molecular cloning and expression of a mouse brain cDNA encoding a novel protein target of calcyclin. J Neurochem. 1998, 70, 1793–8. [Google Scholar] [CrossRef]
- Ning X, Chen Y, Wang X, Li Q, Sun S. The potential role of CacyBP/SIP in tumorigenesis. Tumour Biol. 2016, 37, 10785–91. [Google Scholar] [CrossRef]
- Zhao M, Zhang RZ, Qi DW, Chen HY, Zhang GC. CacyBP/SIP promotes tumor progression by regulating apoptosis and arresting the cell cycle in osteosarcoma. Exp Ther Med. 2020, 20, 1397–404. [Google Scholar] [CrossRef]
- Zhai H, Shi Y, Jin H, et al. Expression of calcyclin-binding protein/Siah-1 interacting protein in normal and malignant human tissues: an immunohistochemical survey. J Histochem Cytochem. 2008, 56, 765–72. [Google Scholar] [CrossRef] [PubMed]
- Shi Y, Hu W, Yin F, et al. Regulation of drug sensitivity of gastric cancer cells by human calcyclin-binding protein (CacyBP). Gastric Cancer 2004, 7, 160–6. [Google Scholar]
- Sun S, Ning X, Liu J, et al. Overexpressed CacyBP/SIP leads to the suppression of growth in renal cell carcinoma. Biochem Biophys Res Commun. 2007, 356, 864–71. [Google Scholar] [CrossRef] [PubMed]
- Roskoski R, Jr. ERK1/2 MAP kinases: structure, function, and regulation. Pharmacol Res. 2012, 66, 105–43. [Google Scholar] [CrossRef] [PubMed]
- Tseng YS, Wu PR, Lu JW, Wang YF, Yeh KT, Lin SH. Cytoplasmic phosphorylated ERK1/2 expression in patients with melanoma is associated with tumor stage and metastasis. Biotech Histochem. 2022, 97, 118–25. [Google Scholar] [CrossRef] [PubMed]
- Degirmenci U, Wang M, Hu J. Targeting Aberrant RAS/RAF/MEK/ERK Signaling for Cancer Therapy. Cells 2020, 9, 198. [Google Scholar] [CrossRef]
- Kilanczyk E, Wasik U, Filipek A. CacyBP/SIP phosphatase activity in neuroblastoma NB2a and colon cancer HCT116 cells. Biochem Cell Biol. 2012, 90, 558–64. [Google Scholar] [CrossRef]
- Corre I, Paris F, Huot J. The p38 pathway, a major pleiotropic cascade that transduces stress and metastatic signals in endothelial cells. Oncotarget 2017, 8, 55684. [Google Scholar] [CrossRef]
- Canovas B, Nebreda AR. Diversity and versatility of p38 kinase signalling in health and disease. Nat Rev Mol Cell Biol. 2021, 22, 346–66. [Google Scholar] [CrossRef]
- Yong HY, Koh MS, Moon A. The p38 MAPK inhibitors for the treatment of inflammatory diseases and cancer. Expert Opin Investig Drugs. 2009, 18, 1893–905. [Google Scholar] [CrossRef] [PubMed]
- Cuadrado A, Nebreda AR. Mechanisms and functions of p38 MAPK signalling. Biochem J. 2010, 429, 403–17. [Google Scholar] [CrossRef] [PubMed]
- Kasacka I, Piotrowska Ż, Niezgoda M, Lewandowska A, Łebkowski W. Ageing-related changes in the levels of β-catenin, CacyBP/SIP, galectin-3 and immunoproteasome subunit LMP7 in the heart of men. PLoS One 2020, 15, e0229462. [Google Scholar]
- Hasan A, Mohammed Y, Basiony M, Hanbazazh M, Samman A, Abdelaleem MF, Nasr M, Abozeid H, Mohamed H. I, Faisal M et al. Clinico-Pathological Features and Immunohistochemical Comparison of p16, p53, and Ki-67 Expression in Muscle-Invasive and Non-Muscle-Invasive Conventional Urothelial Bladder Carcinoma. Clin Pract 2023, 13, 806–819. [Google Scholar] [CrossRef] [PubMed]
- Enneli D, Baglan T. The Many Faces of Urothelial Carcinomas: An Update From Pathology to Clinical Approach and Challenges in Practice. Urol Res Pract. 2023, 49, 147–161. [Google Scholar] [CrossRef]
- Ghosh D, Yu H, Tan XF, Lim TK. Identification of Key Players for Colorectal Cancer Metastasis by iTRAQ Quantitative Proteomics Profiling of Isogenic SW480 and SW620 Cell Lines. J Proteome Res. 2011, 10, 4373–87. [Google Scholar] [CrossRef]
- Kilanczyk E, Wasik U, Filipek A. CacyBP/SIP Phosphatase Activity in Neuroblastoma NB2a and colon Cancer HCT116 Cells. Biochem Cell Biol. 2012, 90, 558–64. [Google Scholar] [CrossRef]
- Evans C, Corfe B. Promotion of Cancer Metastasis: Candidate Validation Using an iTRAQ-Based Approach. Expert Rev Proteomics 2013, 10, 321–3. [Google Scholar] [CrossRef]
- Ghosh D, Li Z, Tan X, Lim TK. iTRAQ Based Quantitative Proteomics Approach Validated the Role of Calcyclin Binding Protein (CacyBP) in Promoting Colorectal Cancer Metastasis. Mol Cell Proteomics 2013, 12, 1865–80. [Google Scholar] [CrossRef]
- Zhu L, Miake S, Ijichi A, Kawahara S. Upregulated Expression of Calcyclin-Binding Protein/siah-1 Interacting Protein in Malignant Melanoma. Ann Dermatol. 2014, 26, 670–3. [Google Scholar] [CrossRef]
- Chen X, Han G, Zhai H, Zhang F. Expression and Clinical Significance of CacyBP/SIP in Pancreatic Cancer. Pancreatology 2008, 8, 470–7. [Google Scholar] [CrossRef] [PubMed]
- Smereczańska M, Domian N, Młynarczyk G, Kasacka I. The Effect of CacyBP /SIP on the Phosphorylation of ERK1/2 and p38 Kinases in Clear Cell Renal Cell Carcinoma. Int J Mol Sci. 2023, 24, 10362. [Google Scholar] [CrossRef] [PubMed]
- Zheng H, Chen C. Downregulation of CacyBP by CRISPR/dCas9-KRAB Prevents Bladder Cancer Progression. Front Mol Biosci. 2021, 8, 692941. [Google Scholar]
- Ścibior-Bentkowska D, Czeczot H. Cancer cells and oxidative stress. Postępy Hig Med Dośw. 2009, 63, 58–72. [Google Scholar]
- Wang K, Ji W, Yu Y, et al. FGFR1-ERK1/2-SOX2 axis promotes cell proliferation, epithelial-mesenchymal transition, and metastasis in FGFR1-amplified lung cancer. Oncogene 2018, 37, 5340–54. [Google Scholar] [CrossRef]
- Pang X, Zhang J, He X, et al. SPP1 Promotes Enzalutamide Resistance and Epithelial-Mesenchymal-Transition Activation in Castration-Resistant Prostate Cancer via PI3K/AKT and ERK1/2 Pathways. Oxid Med Cell Longev. 2021, 2021, 5806602. [Google Scholar] [CrossRef]
- Fu L, Chen S, He G, Chen Y, Liu B. Targeting Extracellular Signal-Regulated Protein Kinase 1/2 (ERK1/2) in Cancer: An Update on Pharmacological Small-Molecule Inhibitors. J Med Chem. 2022, 65, 13561–73. [Google Scholar] [CrossRef]
- Lin N, Moroi Y, Uchi H, et al. Significance of the expression of phosphorylated-STAT3, -Akt, and -ERK1/2 in several tumors of the epidermis. J Dermatol Sci. 2007, 48, 71–3. [Google Scholar] [CrossRef]
- Roskoski R, Jr. ERK1/2 MAP kinases: structure, function, and regulation. Pharmacol Res. 2012, 66, 105–43. [Google Scholar] [CrossRef]
- Wagner EF, Nebreda AR. Signal integration by JNK and p38 MAPK pathways in cancer development. Nat Rev Cancer 2009, 9, 537–49. [Google Scholar] [CrossRef]
- Karlou M, Saetta AA, Korkolopoulou P, et al. Acivation of extracellular regulated kinases (ERK1/2) predicts poor prognosis in urothelial bladder carcinoma and is not associated with B-Raf gene mutations. Pathology 2009, 41, 327–34. [Google Scholar]




| Low Grade bladder cancer (non-muscle invasive) |
High Grade bladder cancer (muscle invasive) |
|
|---|---|---|
| Average age | 62,1 | 66,4 |
| ♀ | 12 | 4 |
| ♂ | 8 | 16 |
| Previous treatment > neadjuvant chemotherapy | 0 | 6 |
| Staging | pTaN0M0 – all patients | pT2N0M0 – all patients |
| Average BMI | 28,96 | 29,14 |
| Metastasis | 0 | 0 |
| Arterial hypertension | 6 | 7 |
| Diabetes type 2 | 2 | 1 |
| Atrial fibrilation | 2 | 1 |
| Hyperthyroidism | - | 1 |
| Intensity of immunohistochemical reaction scale from 0 (white pixel) to 255 (black pixel) | |||
| Control | LGPUC | HGPUC | |
| CacyBP/SIP | 71.14 ± 1.37 | 108.87 ± 1.59* | 145.76 ± 1.21* |
| ERK1/2 | 120.04 ± 1.93 | 91.28 ± 1.16* | 121.21 ± 1.08 |
| p38 | 96.81 ± 1.14 | 143.62 ± 1.11* | 159.79 ± 1.22* |
Disclaimer/Publisher’s Note: The statements, opinions and data contained in all publications are solely those of the individual author(s) and contributor(s) and not of MDPI and/or the editor(s). MDPI and/or the editor(s) disclaim responsibility for any injury to people or property resulting from any ideas, methods, instructions or products referred to in the content. |
© 2025 by the authors. Licensee MDPI, Basel, Switzerland. This article is an open access article distributed under the terms and conditions of the Creative Commons Attribution (CC BY) license (http://creativecommons.org/licenses/by/4.0/).