Submitted:
18 March 2025
Posted:
19 March 2025
Read the latest preprint version here
Abstract
Keywords:Â
1. Introduction and Clinical Significance
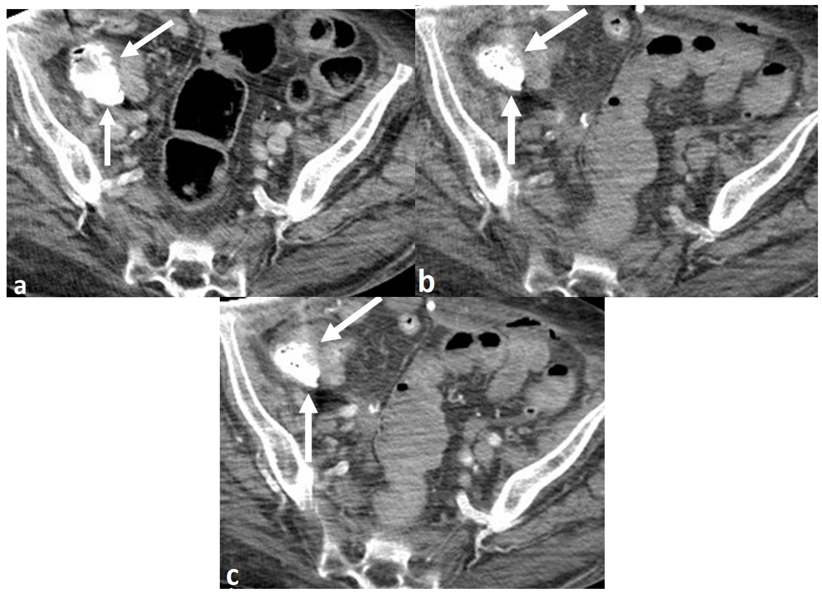
2. Case Presentation
Case
3. Discussion
4. Conclusion
Author Contributions
Funding
Institutional Review Board Statement
Data Availability Statement
Conflicts of Interest
Abbreviations
| CT | Computed Tomography. |
| SZC | Sodium Zirconium Cyclosilicate. |
| GI | Gastrointestinal. |
| DXA | Dual-energy X-ray absorptiometry. |
| HU | Hounsfield Unit. |
References
- Savitt DL, Hawkins HH, Roberts JR. The radiopacity of ingested medications. Annals of emergency medicine. 1987, 16, 331â339. [Google Scholar] [CrossRef] [PubMed]
- Chan YC, Lau FL, Chan JC, Hon TY. A study of drug radiopacity by plain radiography. Hong Kong Journal of Emergency Medicine. 2004, 11, 205â210. [Google Scholar] [CrossRef]
- Commandeur JP, Metwaly A, BĂŒchler L, Speiser J, Brander L, Reintam Blaser A. A degrading potassium tablet mimicking active gastric bleeding in a computer tomographic investigation. Case Reports in Radiology. 2020, 2020, 9791519. [Google Scholar]
- Florez MV, Evans JM, Daly TR. The radiodensity of medications seen on x-ray films. InMayo Clinic Proceedings 1998 Jun 1 (Vol. 73, No. 6, pp. 516â519). Elsevier.
- Onal B, Citgez S, Tansu N, Talat Z, Oner A. Tablets of the potassium citrate may cause a stone-like image: a case report. Urological research. 2009, 37, 165â168. [Google Scholar] [CrossRef] [PubMed]
- Schreuder MF, Kortmann BB, Cornelissen EA. A boy with radiopacities on his abdominal X-ray. Journal of Paediatrics and Child Health. 2013, 49, 420. [Google Scholar] [CrossRef] [PubMed]
- Khara HS, Diehl DL, Metwally MJ, Schwender BJ. Bismuth subsalicylate tablet masquerading as vanishing button battery in the stomach. Gastrointestinal Endoscopy. 2014, 79, 539â540. [Google Scholar] [CrossRef] [PubMed]
- Kolesnik M, Berezovsky D, Sayegh M, Samarneh M. Radiopacity of sodium zirconium cyclosilicate on CT imaging. CEN Case Reports. 2021, 10, 559â562. [Google Scholar] [CrossRef] [PubMed]
- Kotake H, Matsuda T, Yazawa M. Opaque Densities in the GI Tract of a Patient Treated for Hyperkalemia. Kidney360 2023, 4, e861âe862. [Google Scholar] [CrossRef] [PubMed]
- Angioi A, Floris M, Lepori N, Cabiddu G, Pani A. Radiopacity of Sodium Zirconium Cyclosilicate in Computed Tomography: a case of a patient with Hyperkalemia and kidney disease. Renal Failure. 2023, 45, 2284839. [Google Scholar] [CrossRef] [PubMed]
- Boss R, Nguyen M, Wahi-Gururaj S. Lokelma's Interaction With Computed Tomography Angiography. Annals of Internal Medicine: Clinical Cases. 2023, 2, e230888. [Google Scholar]
- McCarney B, Binkley N, Krueger D. A newly recognized DXA confounder: the potassium-binding medication sodium zirconium cyclosilicate. Journal of Clinical Densitometry. 2021, 24, 281â286. [Google Scholar] [CrossRef] [PubMed]
- Stavros, F, Yang, A, Leon, A, Nuttall, M, Rasmussen, HS. Characterization of structure and function of ZS-9, a K+ selective ion trap. PLoS ONE. 2014, 9, e114686. [Google Scholar]
- Hoy, S.M. Sodium zirconium cyclosilicate: a review in hyperkalaemia. Drugs 2018, 78, 1605â1613. [Google Scholar] [CrossRef] [PubMed]
- Chen YW, Moussi J, Drury JL, Wataha JC. Zirconia in biomedical applications. Expert review of medical devices. 2016, 13, 945â963. [Google Scholar] [CrossRef] [PubMed]
- Smeets R, Schöllchen M, Gauer T, Aarabi G, Assaf AT, Rendenbach C, Beck-Broichsitter B, Semmusch J, Sedlacik J, Heiland M, Fiehler J. Artefacts in multimodal imaging of titanium, zirconium and binary titaniumâzirconium alloy dental implants: an in vitro study. Dentomaxillofacial Radiology. 2017, 46, 20160267. [Google Scholar] [CrossRef] [PubMed]
- Fontenele RC, Nascimento EH, Vasconcelos TV, Noujeim M, Freitas DQ. Magnitude of cone beam CT image artifacts related to zirconium and titanium implants: impact on image quality. Dentomaxillofacial Radiology. 2018, 47, 20180021. [Google Scholar] [CrossRef] [PubMed]
- Guglielmo FF, Wells ML, Bruining DH, Strate LL, Huete Ă, Gupta A, Soto JA, Allen BC, Anderson MA, Brook OR, Gee MS. Gastrointestinal bleeding at CT angiography and CT enterography: imaging atlas and glossary of terms. Radiographics. 2021, 41, 1632â1656. [Google Scholar] [CrossRef] [PubMed]

Disclaimer/Publisherâs Note: The statements, opinions and data contained in all publications are solely those of the individual author(s) and contributor(s) and not of MDPI and/or the editor(s). MDPI and/or the editor(s) disclaim responsibility for any injury to people or property resulting from any ideas, methods, instructions or products referred to in the content. |
© 2025 by the authors. Licensee MDPI, Basel, Switzerland. This article is an open access article distributed under the terms and conditions of the Creative Commons Attribution (CC BY) license (http://creativecommons.org/licenses/by/4.0/).