Submitted:
11 February 2025
Posted:
11 February 2025
You are already at the latest version
Abstract
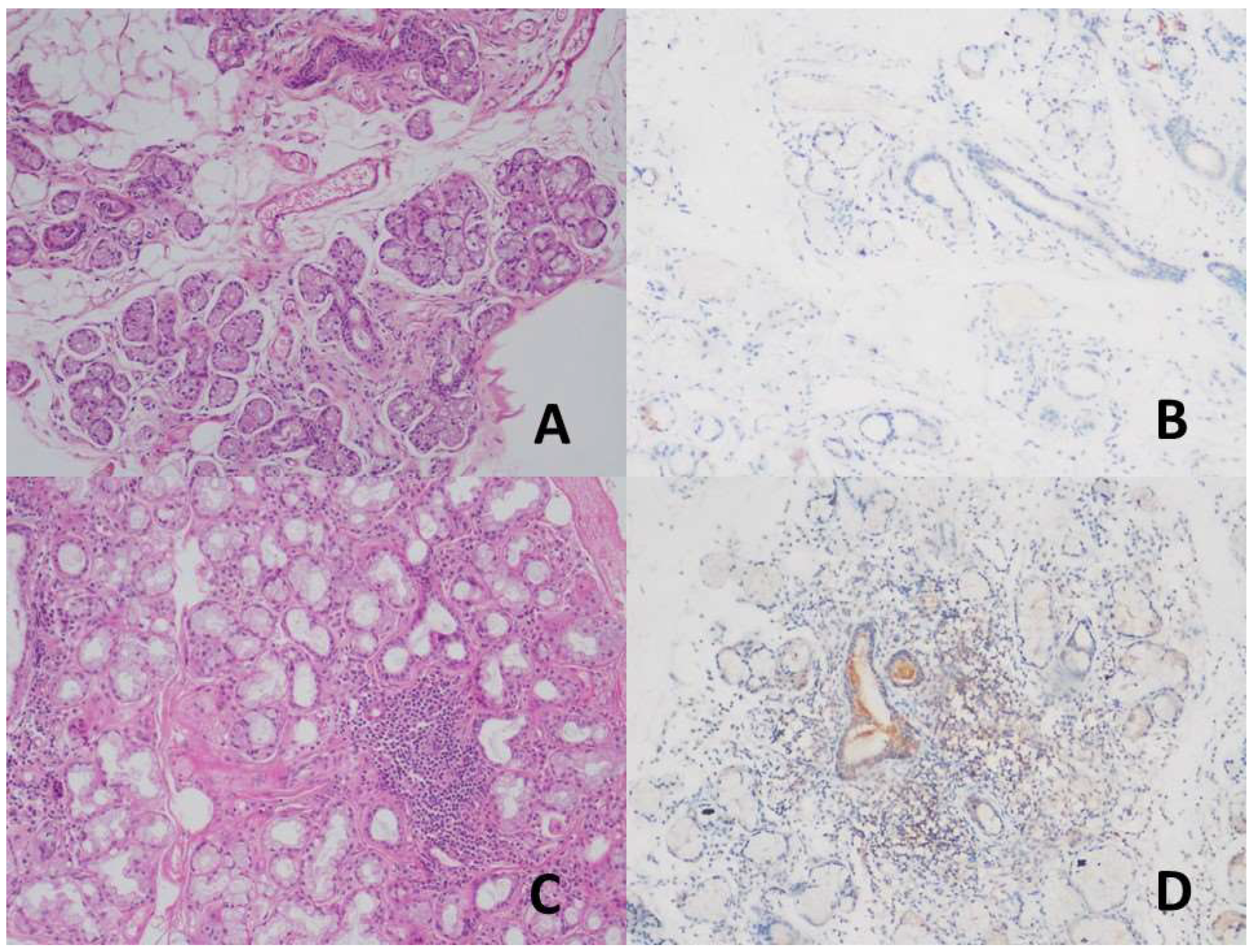
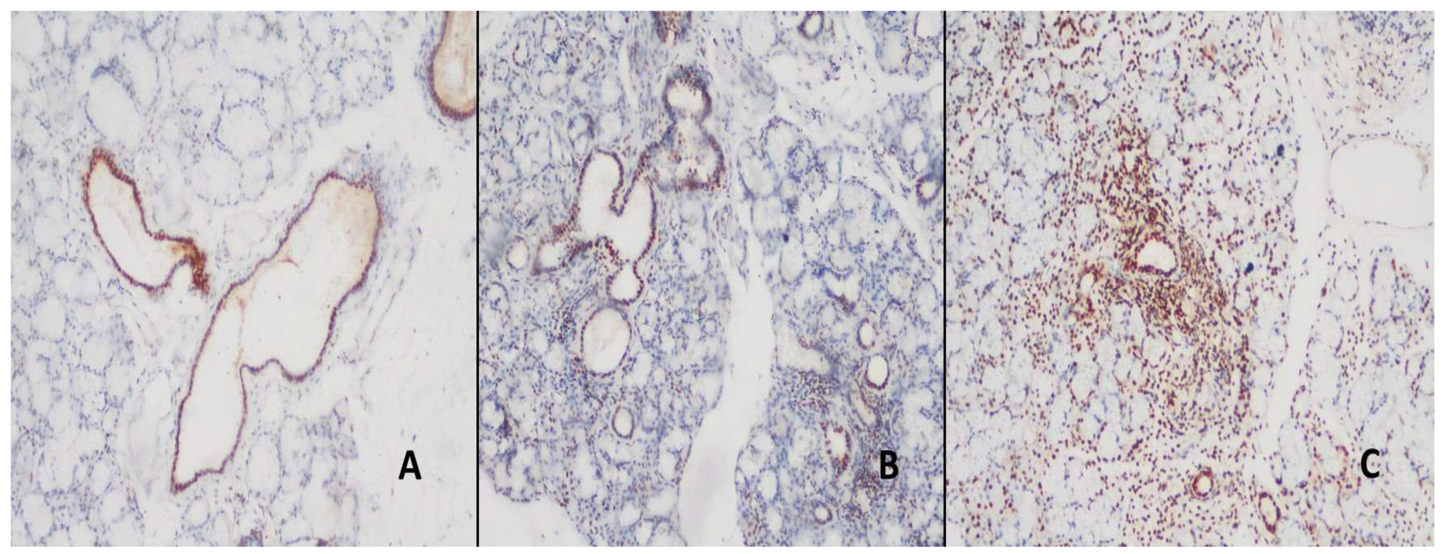
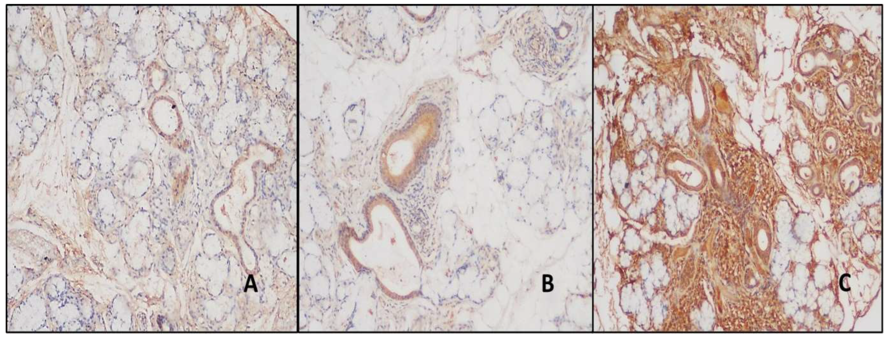
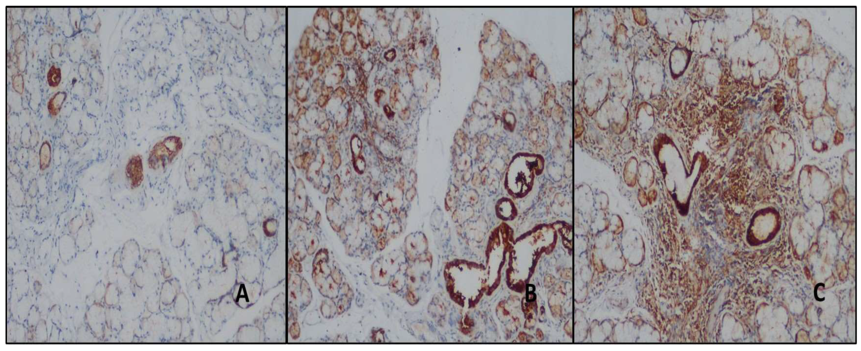
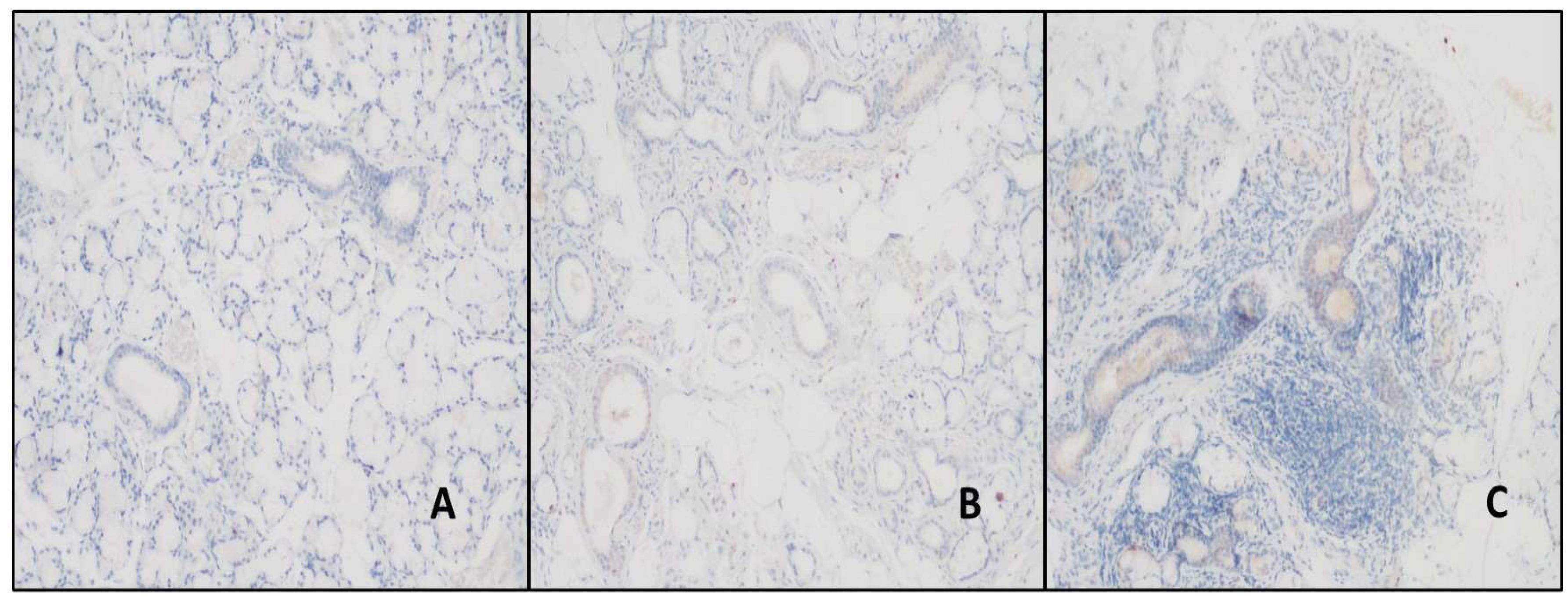
Primary Sjogren's Syndrome (PSS) is an autoimmune disease caused by chronic inflammation of the exocrine glands. We aimed to determine the immunohistochemical parameters that may help the diagnosis of PSS and to determine the histopathological markers for the early diagnosis of the patients. Hematoxylin-Eosin-stained preparations of salivary gland tissue samples of the control group consisting of 9 healthy patients without autoimmune disease and 12 patients diagnosed with non-specific chronic sialadenitis (NCS) and the diseased group consisting of 39 patients diagnosed with PSS were evaluated. SSA/Ro (TRIM21), SSB/la, BAFF, enolase (ENO1), and MMP-9 antibodies were applied to the samples to assess the presence of staining in the ductal, acini, and inflammation regions. Mild staining was detected in the ductal areas with the SSA/Ro (TRIM21) antibody in all cases with PSS, and no staining was found in patients with healthy salivary gland biopsy and NCS (p<0.01). ENO1 and MMP-9 antibodies also had (statistically significant) higher and more intense staining in the ductal areas in NCS and PSS compared to the patients with normal salivary glands (p<0.01). Our study suggests that SSA/Ro (TRIM21), ENO1, MMP9, and BAFF can be used to confirm the diagnosis in cases of suspicion.
Keywords:
Introduction
Materials and Methods
Results
Discussion
Conclusion
Author Contributions
Ethics Committee
Acknowledgement
Conflicts of Interest
References
- Baldini, C., Ferro, F., Elefante, E., Bombardieri, S., Biomarkers for Sjogren's syndrome. Biomarkers in Medicine, 2018, 12(3), 275-286.
- Stefanski, AL, Tomiak C., Pleyer, U., Dietrich, T., Burmester, GR, Dörner, T., The diagnosis and treatment of Sjogren's syndrome. Deutsches Ärzteblatt International, 2017, 114(20), 354-361.
- Gobeljic, MS, Milic, V., Pejnović, N., Damjanov, N., Oral Disorders in Sjögren's Syndrome. Serbian Journal of Experimental and Clinical Research,2018,23,1-12.
- Pereira, DL, Vilela, SV, Dos Santos, TCRB, Pires FR, Clinical and laboratorial profile and histological features on minor salivary glands from patients under investigation for Sjögren's syndrome. Medicina Oral, Pathologia Oral y Cirugia Bucal, 2014, 19(3), 237-241.
- Vincent, F.B.; Saulep-Easton, D.; Figgett, W.A.; Fairfax, K.A.; Mackay, F. The BAFF/APRIL system: Emerging functions beyond B cell biology and autoimmunity. Cytokine Growth Factor Rev. 2013, 24, 203–215. [CrossRef]
- Díaz-Ramos, À.; Roig-Borrellas, A.; García-Melero, A.; López-Alemany, R. α-Enolase, a Multifunctional Protein: Its Role on Pathophysiological Situations. J. Biomed. Biotechnol. 2012, 2012, 156795. [CrossRef]
- Wei P., Xing Y., Li B., Chen F., Hua H., Proteomics-based analysis indicating α-enolase as a potential biomarker in primary Sjögren's syndrome. Gland Surgery, 2020, 9(6), 2054–2063.
- Perez P., Goicovich E., Alliende C., Aguilera S., Leyton C., Molina C., Pinto R., Romo R., Martinez B., Gonzalez MJ, Differential expression of matrix metalloproteinases in labial salivary glands of patients with primary Sjogren's syndrome. Arthritis Rheumatology, 2000, 43, 2807–2817.
- Konttinen YT, Halinen S., Hanemaaijer R., Sorsa T., Hietanen J., Ceponis A., Xu JW, Manthorpe R., Whittington J., Larsson A., Salo T., Kjeldsen L., Stenman UH , Eisen AZ, Matrix metalloproteinase (MMP)-9 type IV collagenase/gelatinase implicated in the pathogenesis of Sjogren's syndrome . Matrix Biology, 1998, 17, 335–347.
- Bautista-Vargas M., Vivas AJ, Tobón GJ, Minor salivary gland biopsy: Its role in the classification and prognosis of Sjogren's syndrome . Autoimmuns Reviews, 2020, 19(12), 1-28.
- Monsalve, D.M.; Anaya, J.-M. With Minor Salivary Gland Biopsy in Sjogren Syndrome, Is a Negative Result Possible?. J. Rheumatol. 2020, 47, 310–312. [CrossRef]
- Oke V., Wahren-Herlenius M., The immunobiology of Ro52 (TRIM21) in autoimmunity: a critical review. Journal of Autoimmunity, 2012, 39, 77–82.
- Theander E., Jonsson R., Sjostrom B., Brokstad K., Olsson P., Henriksson G., Prediction of Sjogren's syndrome years before diagnosis and identification of patients with early onset and severe disease course by autoantibody profiling . Arthritis Rheumatology, 2015, 67(9), 2427–2436.
- Aqrawi LA, Kvarnstrom M., Brokstad KA, Jonsson R., Ductal epithelial expression of Ro52 correlates with inflammation in salivary glands of patients with primary Sjogren's syndrome . Clinical and Experimental Immunology , 2014, 177, 244–252.
- Kyriakidis, NC, Kapsogeorgou EK, Gourzi VC, Konsta OD, Baltatzis GE, Tzioufas AG, Toll -like receptor 3 stimulation promotes Ro52/TRIM21 synthesis and nuclear redistribution in salivary gland epithelial cells, partially via type I interferon pathway . 2014, Clinical and Experimental Immunology, 178, 548–560.
- Konsta, OD, Le Dantec C., Charras A., Cornec D., Kapsogeorgou EK, Tzioufas AG, Pers JO, Renaudineau Y. Defective DNA methylation in salivary gland epithelial acini from patients with Sjögren's syndrome is associated with SSB gene expression, anti-SSB/La detection, and lymphocyte infiltration. Journal of Autoimmunity, 2016, 68, 30–38.
- Yoshimoto K, Tanaka M, Kojima M, Setoyama Y., Kameda H., Suzuki K., Tsuzaka K., Ogawa Y., Tsubota K., Abe T., Takeuchi T., Regulatory mechanisms for the production of BAFF and IL-6 are impaired in monocytes of patients of primary Sjogren's syndrome. Arthritis Research and Therapy, 2011, 13(5), R170.
- Carrillo-Ballesteros, F.J.; Palafox-Sánchez, C.A.; Franco-Topete, R.A.; Muñoz-Valle, J.F.; Orozco-Barocio, G.; Martínez-Bonilla, G.E.; Gómez-López, C.E.; Marín-Rosales, M.; López-Villalobos, E.F.; Luquin, S.; et al. Expression of BAFF and BAFF receptors in primary Sjögren’s syndrome patients with ectopic germinal center-like structures. Clin. Exp. Med. 2020, 20, 615–626. [CrossRef]
- Hjelmervik TO, Jonsson R., Bolstad AL, The minor salivary gland proteome in Sjögren's syndrome. Oral Diseases, 2009,15, 342-353.
- Ram, M.; Sherer, Y.; Shoenfeld, Y. Matrix Metalloproteinase-9 and Autoimmune Diseases. J. Clin. Immunol. 2006, 26, 299–307. [CrossRef]
- Lamas-Gutierrez FJ, Reyes E., Martinez B, Hernandez-Molina G, Histopathological environment besides the focus score in Sjögren's syndrome. International Journal of Rheumatic Diseases, 2014, 17, 898-903.





| Primary antibody | Company | Dilution rate | Positive control |
| Anti-BAFF antibodies [ab217329], RabPAb |
abcam | 1/150 | Tonsil |
| Anti TRIM21 (SS-A/Ro) antibodies [ab191690], RabPAb |
abcam | 1/100 | Tonsil |
| Anti MMP9 antibodies [56-2A4, ab 58803], MauseMAb |
abcam | 1/100 | Tonsil |
| Anti ENO1 antibodies [EPR19758, ab 227978], RabMAb |
abcam | 1/200 | Pancreas |
| Anti SS-B antibodies [EPR6570, ab 124932], RabMAb |
abcam | 1/250 | Colon |
| Antibody | NCS (n=12) | PSS (n=39) | ||||||
| N | P | N | P | |||||
| M | MD | S | M | MD | S | |||
| TRIM21 |
12 100% |
19 48.7% |
20 51.3% |
|||||
| BAFF | 3 25% |
8 66.7% |
one 8.3% |
4 10.3% |
16 41% |
19 48.7% |
||
| ENO1 | 8 66.7% |
4 33.3% |
8 20.5% |
18 46.2% |
13 33.3% |
|||
| NCS: Non-specific Chronic Sialoadenitis, PSS: primary Sjogren's Syndrome, N: Negative, P: Positive, M: Mild, MD: Moderate, S: Strong | ||||||||
| Antibody | Control group (n=21) | Patient group PSS (n=39) |
P value | |||||||||||
| Normal (n=9) | NCS (n=12) | |||||||||||||
| N | P | N | P | N | P | |||||||||
| M | MD | S | H | HE | S | M | MD | S | ||||||
| TRIM21 | 9 42.8% |
12 57.2% |
39 100% |
p <0.01 | ||||||||||
| BAFF | 9 42.8% |
7 33.4% |
5 23.8% |
5 12.8% |
15 38.4% |
19 48.8% |
p <0.01 | |||||||
| ENO1 | 9 42.8% |
12 57.2% |
39 100% |
p <0.01 | ||||||||||
| MMP-9 | 8 38.1% |
one 4.8% |
2 9.5% |
10 47.6% |
6 15.4% |
33 84.6% |
P=0.07 | |||||||
| NCS: Non-specific Chronic Sialoadenitis, PSS: primary Sjogren's Syndrome, N: Negative, P: Positive, M: Mild, MD: Moderate, S: Strong | ||||||||||||||
Disclaimer/Publisher’s Note: The statements, opinions and data contained in all publications are solely those of the individual author(s) and contributor(s) and not of MDPI and/or the editor(s). MDPI and/or the editor(s) disclaim responsibility for any injury to people or property resulting from any ideas, methods, instructions or products referred to in the content. |
© 2025 by the authors. Licensee MDPI, Basel, Switzerland. This article is an open access article distributed under the terms and conditions of the Creative Commons Attribution (CC BY) license (http://creativecommons.org/licenses/by/4.0/).