Submitted:
22 January 2025
Posted:
22 January 2025
Read the latest preprint version here
Abstract
Keywords:
1. Introduction
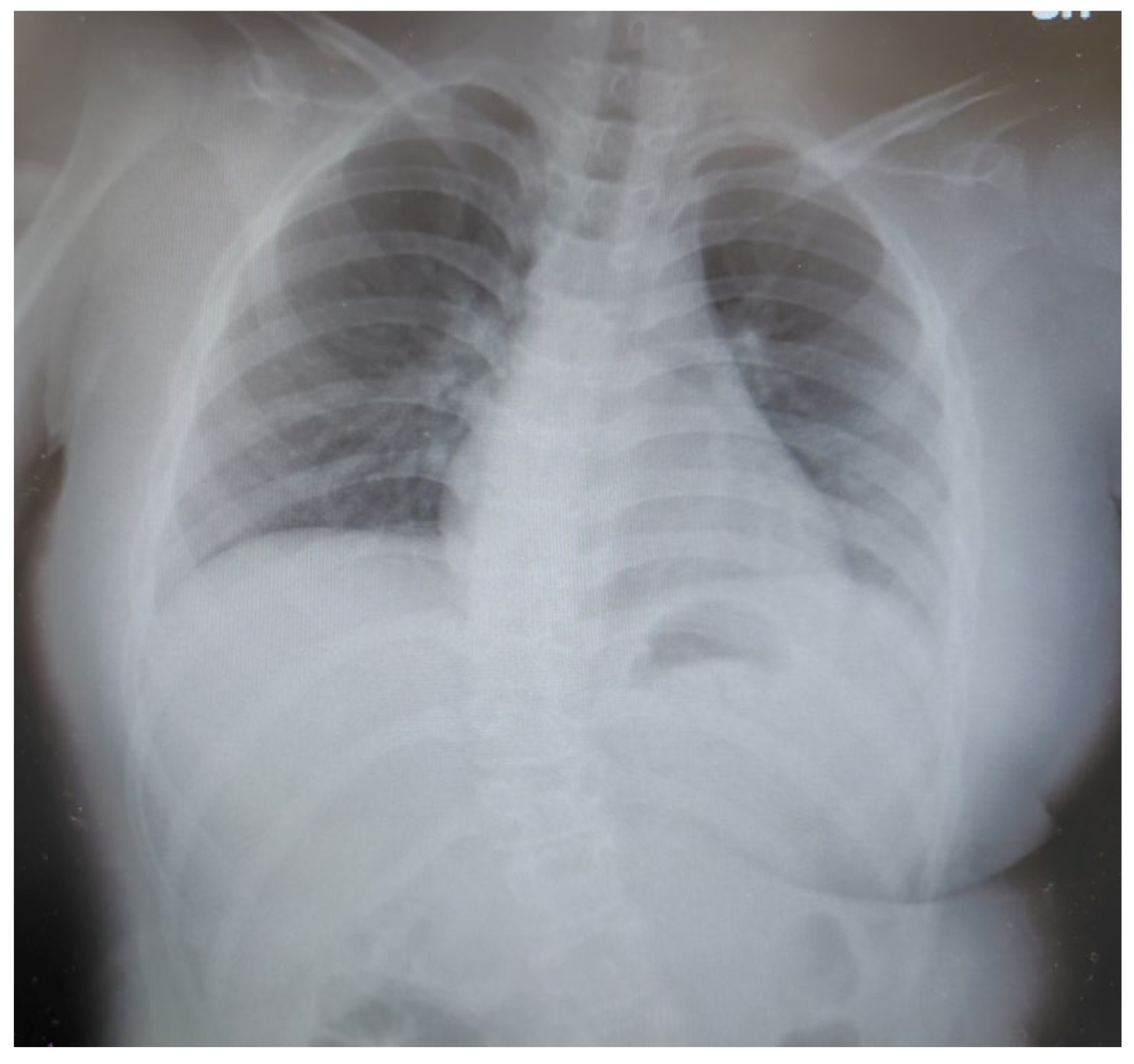
2. Case Presentation
3. Discussion
4. Conclusions
Author Contributions
Funding
Informed Consent Statement
Conflicts of Interest
References
- Neul, J.L.; Kaufmann, W.E.; Glaze, D.G.; Christodoulou, J.; Clarke, A.J.; Bahi-Buisson, N.; Leonard, H.; Bailey, M.E.S.; Schanen, N.C.; Zappella, M.; et al. Revised diagnostic criteria for Rett syndrome. Ann Neurol. 2010, 68, 944–950. [Google Scholar] [CrossRef]
- Amir, R.E.; et al. Rett syndrome is caused by mutations in X-linked MECP2, encoding methyl-CpG-binding protein 2. Nat Genet. 1999, 23, 185–188. [Google Scholar] [CrossRef] [PubMed]
- Hagberg, B.; et al. Rett syndrome: Clinical and biological aspects. Acta Paediatr Scand. 1985, 74, 753–758. [Google Scholar] [CrossRef]
- Chahrour, M.; Zoghbi, H.Y. The story of Rett syndrome: from clinic to neurobiology. Neuron. 2007, 56, 422–437. [Google Scholar] [CrossRef] [PubMed]
- She, R.; Szakacs, J. Hyperostosis frontalis interna: case report and review of literature. Ann Clin Lab Sci. 2004, 34, 206–208. [Google Scholar] [PubMed]
- Valentina Conti, Anna Gandaglia, Francesco Galli, Mario Tirone, Elisa Bellini, Lara Campana, Charlotte Kilstrup-Nielsen, Patrizia Rovere-Querini, Silvia Brunelli, Nicoletta Landsberger. MeCP2 Affects Skeletal Muscle Growth and Morphology through Non Cell-Autonomous Mechanisms. PLoS One 2015, 10, e0130183. [Google Scholar] [CrossRef]
- Carla Caffarelli, Stefano Gonnelli, Maria Dea Tomai Pitinca, Silvia Camarri, Antonella Al Refaie, Joussef Hayek, Ranuccio Nuti. Methyl-CpG-binding protein 2 (MECP2) mutation type is associated with bone disease severity in Rett syndrome. BMC Med Genet 2020, 21, 21. [Google Scholar] [CrossRef]
- Ulrike Bernstein, Stephanie Demuth, Oliver Puk, Birgit Eichhorn, Solveig Schulz. Novel MECP2 Mutation c.1162_1172del; p.Pro388* in Two Patients with Symptoms of Atypical Rett Syndrome. Mol Syndromol. 2019, 10, 223–228. [Google Scholar] [CrossRef]
- Van Esch, H. MECP2 duplication syndrome. Mol Syndromol. 2012, 2, 128–136. [Google Scholar] [CrossRef]
- Tatton-Brown, K.; et al. Sotos syndrome. Eur J Hum Genet. 2007, 15, 264–271. [Google Scholar] [CrossRef]
- Paulina Kyriakopoulos, Vanda McNiven, Melissa T Carter, Peter Humphreys, David Dyment, Tadeu A Fantaneanu. Atypical Rett Syndrome and Intractable Epilepsy with Novel GRIN2B Mutation. Child Neurol Open. 2018, 5, 2329048X18787946. [CrossRef]
- Yoshida, S.; Amamoto, M.; Takahashi, T.; Tomita, I.; Yuge, K.; Hara, M.; Iwama, K.; Matsumoto, N.; Matsuishi, T. Perampanel markedly improved clinical seizures in a patient with a Rett-like phenotype and 960-kb deletion on chromosome 9q34.11 including the STXBP1. Clin Case Rep. 2022, 10, e05811. [Google Scholar] [CrossRef] [PubMed]
- Hurley, E.N.; Ellaway, C.J.; Johnson, A.M.; Truong, L.; Gordon, R.; Galettis, P.; Martin, J.H.; Lawson, J.A. Efficacy and safety of cannabidivarin treatment of epilepsy in girls with Rett syndrome: A phase 1 clinical trial. Epilepsia 2022, 63, 1736–1747. [Google Scholar] [CrossRef]
- Desnous, B.; Beretti, T.; Muller, N.; Neveu, J.; Villeneuve, N.; Lépine, A.; Daquin, G.; Milh, M. Efficacy and tolerance of cannabidiol in the treatment of epilepsy in patients with Rett syndrome. Epilepsia Open 2024, 9, 397–403. [Google Scholar] [CrossRef]
- Russo, J.F.; Sheth, S.A.; McKhann, G.M. , 2nd. Using Deep Brain Stimulation to Rescue Memory in Rett Syndrome. Neurosurgery. 2016, 78, N16–7. [Google Scholar] [CrossRef] [PubMed]
- Gallego, J. Genetic diseases: congenital central hypoventilation, Rett, and Prader-Willi syndromes. Compr Physiol. 2012, 2, 2255–79. [Google Scholar] [CrossRef]
- Douglas, J.; et al. Partial NSD1 deletions cause 5% of Sotos syndrome and are readily identifiable by multiplex ligation-dependent probe amplification. J Med Genet. 2005, 42, e56. [Google Scholar] [CrossRef] [PubMed]
- Kaymakcalan, H.; Kaya, İ.; Cevher Binici, N.; Nikerel, E.; Özbaran, B.; Görkem Aksoy, M.; Erbilgin, S.; Özyurt, G.; Jahan, N.; Çelik, D.; et al. Ercan-Sencicek AG. Mol Genet Genomic Med. 2021, 9, e1739. [Google Scholar] [CrossRef] [PubMed]



Disclaimer/Publisher’s Note: The statements, opinions and data contained in all publications are solely those of the individual author(s) and contributor(s) and not of MDPI and/or the editor(s). MDPI and/or the editor(s) disclaim responsibility for any injury to people or property resulting from any ideas, methods, instructions or products referred to in the content. |
© 2025 by the authors. Licensee MDPI, Basel, Switzerland. This article is an open access article distributed under the terms and conditions of the Creative Commons Attribution (CC BY) license (http://creativecommons.org/licenses/by/4.0/).