Preprint
Case Report

This version is not peer-reviewed.

Atypical Manifestations of Rett Syndrome: Macrocephaly and Hyperostosis Frontalis Interna in a Female Patient

Submitted:

19 August 2025

Posted:

19 August 2025

You are already at the latest version

Abstract
Rett syndrome is a rare neurodevelopmental disorder caused by mutations in the MECP2 gene on the X chromosome, primarily affecting females. It is characterized by developmental regression, stereotypic hand movements, seizures, and microcephaly due to decelerated head growth. However, atypical presentations, such as macrocephaly and hyperostosis frontalis interna (HFI), are rarely reported. HFI, defined as abnormal thickening of the frontal bone, is uncommon in pediatric populations and is often linked to metabolic disturbances, hormonal imbalances, or prolonged anti-seizure medication (ASM) use. We report the case of a 16-year-old girl with genetically confirmed Rett syndrome who presented with macrocephaly (+2.5 SD) and HFI. Genetic testing identified a pathogenic MECP2 mutation (c.882C>T, Arg270Stop), confirming the diagnosis. The patient’s early development was normal until 18 months, when developmental regression occurred, including loss of speech, impaired social interactions, and stereotypic hand movements. She was also diagnosed with central precocious puberty at age 9, treated with leuprorelin acetate for three years, during which her growth in height ceased. By age 16, her height was -2.6 SD. Brain MRI revealed thickening of the frontal bone and enlarged frontal sinuses, consistent with HFI. She experienced intractable epilepsy managed with multiple ASMs. Reduction in ASM doses improved dystonia but led to seizure recurrence. Additional evaluations revealed mild osteopenia and altered hormonal profiles, suggesting systemic effects of MECP2 dysfunction. This case highlights the expanded phenotypic spectrum of Rett syndrome, emphasizing the impact of MECP2 mutations on cranial growth and bone metabolism. Hormonal dysregulation and ASM use may contribute to these anomalies. Comprehensive evaluation and genetic testing are critical for differentiating Rett syndrome from overlapping conditions. A multidisciplinary approach is essential to manage rare manifestations and improve personalized care strategies.
Keywords: 
;  ;  ;  ;  

1. Introduction

Rett syndrome is a rare and severe neurodevelopmental disorder primarily caused by mutations in the MECP2 gene, located on the X chromosome [1]. This condition predominantly affects females due to its X-linked inheritance pattern and is characterized by a distinct clinical trajectory. After an initial period of normal development, typically lasting 6 to 18 months, affected individuals experience progressive developmental regression, marked by the loss of acquired motor and cognitive skills, the emergence of stereotypic hand movements, and seizures. Microcephaly, resulting from decelerated head growth during infancy, is considered a hallmark feature of Rett syndrome and is included in its diagnostic criteria [1,2].
Despite its well-defined clinical features, Rett syndrome exhibits considerable phenotypic variability. Some patients display atypical presentations, such as preserved speech, late-onset regression, or mild cognitive impairments, while others demonstrate rare manifestations like macrocephaly and hyperostosis frontalis interna (HFI) [3,4]. HFI, defined as abnormal thickening of the frontal bone, is particularly uncommon in pediatric populations and is more typically associated with metabolic disturbances, hormonal imbalances, or the prolonged use of antiepileptic drugs (AEDs) [5]. These atypical presentations, though rare, can complicate the diagnostic process and blur the distinction between Rett syndrome and other neurodevelopmental disorders with overlapping clinical features.
Differential diagnoses to consider when atypical features such as macrocephaly or HFI are present include MECP2 duplication syndrome, PTEN hamartoma tumor syndrome (PHTS), and Sotos syndrome, all of which share overlapping symptoms, such as developmental delay and cranial anomalies, but have distinct genetic and clinical profiles. This underscores the critical need for detailed phenotypic evaluation and genetic testing to confirm the diagnosis in atypical cases. Additionally, understanding the broader systemic effects of MECP2 dysfunction, including its impact on skeletal and metabolic systems, remains an area of active investigation.
In this report, we present a rare case of Rett syndrome featuring macrocephaly and HFI, highlighting the expanding phenotypic spectrum of this condition. This case demonstrates the importance of a comprehensive diagnostic approach and the need for multidisciplinary management strategies to address the complex interplay of genetic, hormonal, and environmental factors in Rett syndrome. Further research into these rare manifestations may provide new insights into the molecular and systemic effects of MECP2 mutations and pave the way for personalized therapeutic approaches.

2. Case Presentation

A 16-year-old girl with a history of autism and early-onset seizures was referred for neurological evaluation. She was born at 38 weeks of gestation via normal delivery, weighing 3,032 g, and her early development was reportedly normal until 18 months of age, when developmental regression occurred. This regression included the loss of acquired speech, impaired social interactions, and the emergence of stereotypic hand movements (Figure 1/Movie).
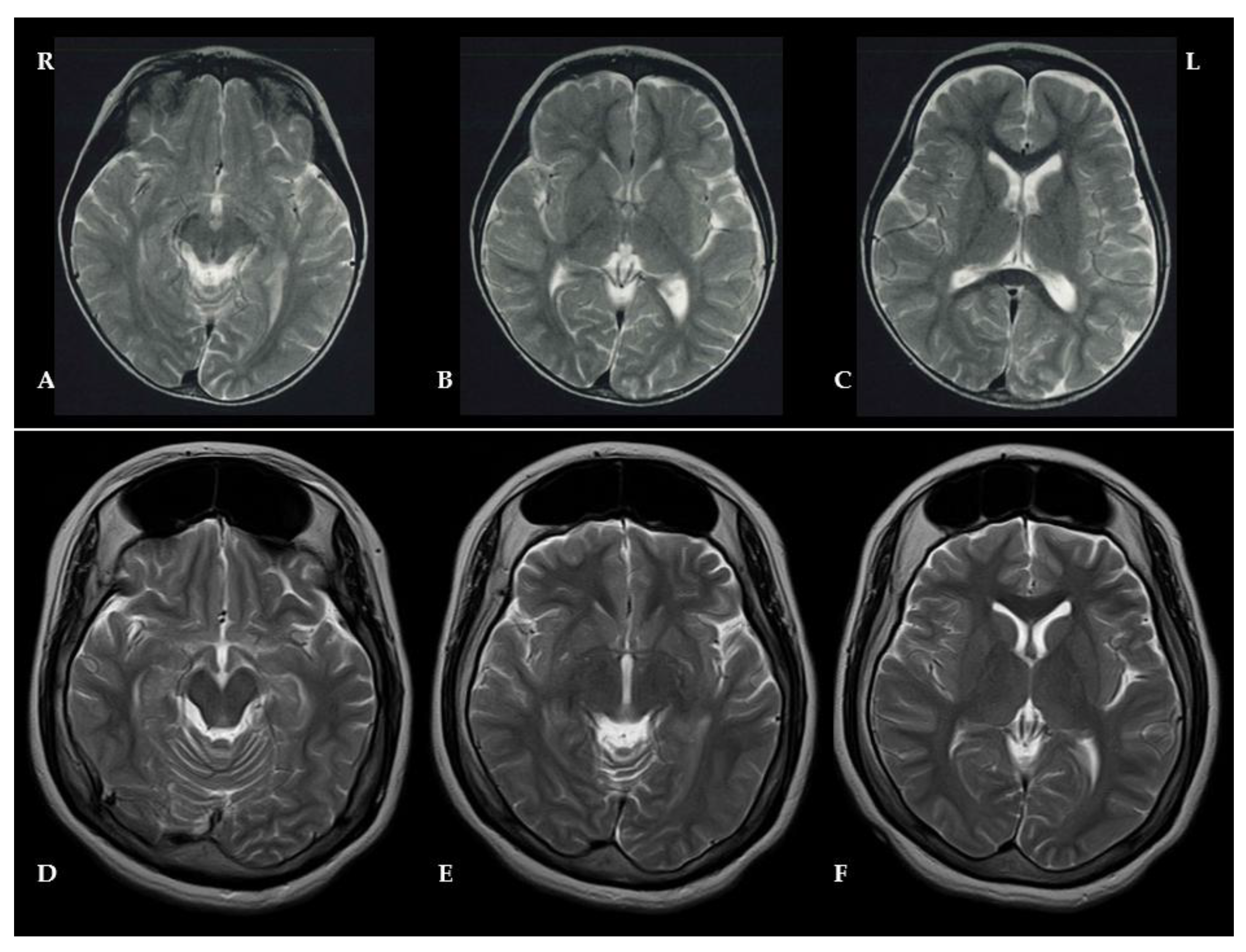
Brain MRI was performed at the age of 2 years with no abnormal findings (Figure 2: A/B/C). Based on these clinical features, Rett syndrome and various other differential diagnoses were suspected, and further genetic analysis was performed.
Comprehensive genetic testing was performed on the patient’s blood DNA, targeting the MECP2 gene. The coding regions of exons 1 to 4 were amplified using PCR, followed by sequence analysis. Exons 1b and 2 were examined using Sanger sequencing, while exons 3 and 4 were analyzed with denaturing high-performance liquid chromatography (DHPLC). A cytosine-to-thymine substitution at nucleotide position 882 (c.882C>T) in exon 4 was identified on one of the X chromosomes. This mutation resulted in a premature stop codon at codon 270 (Arg270Stop), where arginine (CGA) was replaced by a termination codon (TGA). Consequently, translation was prematurely terminated, producing an abnormally truncated MECP2 protein. This genetic finding provided definitive confirmation of Rett syndrome and explained the disruption of normal protein function underlying the patient’s clinical phenotype.
The patient's medical history was notable for other complications: at age 8, she was approximately average height, but had premature breasts and menarche. At 9 years of age, blood tests showed the following: LH 0.76 mIU/mL, FSH 3.04 mIU/mL, estradiol (E2) 25.8 pg/mL, somatomedin C 155 ng/mL, ALP 381 U/L, Ca 9.1 mg/dL, and inorganic phosphate (IP) 3.5 mg/dL, and she was subsequently diagnosed with central precocious puberty. She was managed for 3 years with monthly injections of leuprorelin acetate. During the period of leuprorelin acetate injections, menstruation was absent and growth in height had ceased. After the leuprorelin acetate was completed, the patient grew slightly in height and menstruation was observed (Figure 3).
At age 3 years, they were -0.9 SD below average in height and significantly heavier at +2.0 SD. Thereafter, height increased significantly, reaching +1.0 SD by age 8.5 years. Early secondary sexual characteristics led to a diagnosis of precocious puberty, and the patient was treated with leuprorelin acetate for 3 years to stop growth and menstruation and suppress puberty.
After the age of 10 years, as the patient experienced growth in height, she frequently exhibited trunk inclination to the left. Initially, involuntary movements or epileptic seizures were suspected, and the patient was closely monitored. However, she gradually began to have difficulty walking independently. Following the initiation of physiotherapy for rehabilitation, scoliosis was suspected, prompting the use of radiographs for further evaluation. Radiographs taken at age 11 revealed scoliosis of the lumbar spine. Anterior-posterior X-rays performed at this age confirmed the presence of lumbar scoliosis, with no associated pain observed in the affected area. Additionally, obesity characterized by increased subcutaneous fat due to weight gain was noted. The cardiothoracic ratio (CTR) was within normal limits.
The patient had a history of focal epileptic seizures that first manifested at the age of three. Valproate was initiated at three years of age, and zonisamide was added at four years. Seizures remained well controlled until nine years of age. However, due to an increase in focal seizures, clobazam and lamotrigine were added at ten years, and perampanel was further introduced at fourteen years. By the age of sixteen, her treatment regimen comprised a five-drug combination of valproate (600 mg once daily), zonisamide (300 mg divided into two doses per day), clobazam (20 mg divided into two doses per day), lamotrigine (100 mg divided into two doses per day), and perampanel (10 mg once daily). Due to her intellectual disability and excitability, performing an awake EEG was challenging. Electrocardiographic evaluation did not reveal any arrhythmias or meet the diagnostic criteria for long QT syndrome. Polysomnography was not performed. Despite extensive and carefully monitored pharmacological management, the patient continued to experience persistent motor abnormalities, accompanied by hyperventilation and autonomic dysfunction, in addition to her focal seizures, which significantly impaired her daily activities and overall quality of life. Notably, these motor symptoms—including hyperventilation and autonomic dysfunction—are recognized as characteristic features of Rett syndrome in the 2010 international consensus criteria [1]. Nevertheless, they were initially misinterpreted as being directly related to her underlying epileptic condition, further complicating both the diagnostic process and therapeutic strategy.
During a detailed neurological assessment, dystonia and transient episodes of hypoventilation and hypoventilation and/or hyperventilation were identified. These findings prompted a thorough reassessment of her AED regimen, leading to reductions in the dosages of her prescribed medications. This adjustment resulted in notable improvements in her dystonic motor symptoms, strongly suggesting that overmedication had played a role in exacerbating these abnormalities. However, this reduction in AED dosages was followed by the recurrence of generalized tonic-clonic seizures, occurring several times per week, with each episode lasting less than five minutes. After a comprehensive discussion with the patient and her family, informed consent was obtained to reinstate the original AED dosages in an effort to better control her seizure activity. Electroencephalography (EEG) performed during this period did not detect epileptic discharges, further supporting the hypothesis that her motor abnormalities were not primarily seizure-related but instead linked to other factors.
On physical examination at 16 years of age, her height was 143 cm (-2.6 SDs), her weight was 51.8 kg (+0.1 SDs), and her head circumference measured 57.5 cm (+2.5 SDs), indicative of macrocephaly. This finding was atypical for Rett syndrome, adding another layer of diagnostic complexity. Brain magnetic resonance imaging (MRI) revealed marked thickening of the frontal bone along with bilateral enlargement of the frontal sinuses, findings consistent with hyperostosis frontalis interna (HFI) (Figure 2: D/E/F).
Further systemic evaluation uncovered additional abnormalities, including mild osteopenia and altered hormonal profiles suggestive of underlying metabolic influences. These findings highlighted the multifactorial and systemic nature of her condition, emphasizing the need for a multidisciplinary approach to her management. This case illustrates the importance of recognizing and addressing atypical clinical features, such as macrocephaly and HFI, which can obscure the diagnosis and complicate the overall treatment strategy. The case also underscores the value of a thorough, individualized, and holistic evaluation in patients with complex presentations, especially when standard diagnostic criteria may not fully explain their clinical features.

3. Discussion

This case illustrates an atypical presentation of Rett syndrome, characterized by macrocephaly and hyperostosis frontalis interna (HFI), both of which deviate significantly from the classical phenotype of the condition. Microcephaly is a hallmark feature of Rett syndrome, typically resulting from impaired neuronal growth and reduced brain size due to MECP2 dysfunction [1]. The occurrence of macrocephaly, as observed in this patient, challenges the conventional understanding of cranial development in Rett syndrome and suggests that certain MECP2 mutations may exert unanticipated effects on cranial growth and development. This variability underscores the importance of expanding our understanding of the phenotypic spectrum of Rett syndrome, particularly regarding its extracranial manifestations, and the broader implications of MECP2 dysfunction on systemic development.
The presence of HFI in this patient adds a unique and complex dimension to the clinical presentation. HFI, defined as abnormal thickening of the frontal bone, is an uncommon finding in young individuals and is rarely described in pediatric populations. It is more frequently observed in postmenopausal women or associated with conditions such as metabolic or hormonal abnormalities and prolonged use of antiepileptic drugs (AEDs) [4]. In the context of Rett syndrome, the presence of HFI raises intriguing questions about the broader systemic effects of MECP2 mutations, suggesting they may influence not only neuronal growth but also bone metabolism and remodeling. MECP2 has been implicated in the regulation of osteoblast and osteoclast activity, and its dysfunction could plausibly result in abnormal bone remodeling and cranial hyperostosis [6,7]. The thickening of the frontal bone, as observed in this case, may therefore represent a previously underrecognized manifestation of the systemic effects of MECP2 mutations. Further research is warranted to elucidate the molecular mechanisms linking MECP2 dysfunction to bone remodeling, cranial anomalies, and potential systemic sequelae in Rett syndrome.
Macrocephaly and HFI in this patient may also reflect the combined influence of hormonal factors and medication use. While Rett syndrome is occasionally associated with central precocious puberty, this phenomenon has been rarely documented in the literature [8]. The hormonal dysregulation inherent to precocious puberty, as well as its treatment with leuprorelin acetate, may have contributed to the observed anomalies in cranial development and bone remodeling [9]. Furthermore, the long-term administration of valproate, an ASM known to affect bone metabolism and contribute to conditions such as osteopenia, could have exacerbated these findings [10]. This interplay between genetic mutations, hormonal influences, and the effects of chronic medication highlights the multifactorial nature of phenotypic variability in Rett syndrome and underscores the need for a holistic and multidisciplinary approach to patient evaluation. It is known that epileptic seizures associated with Rett syndrome are often poorly controlled and present as intractable epilepsy, even with three or more multiple-drug ASM regimens [11]. Recently, however, there have been promising reports of controlled epileptic seizures in Rett syndrome with the use of newer therapies, including perampanel [12] and cannabinoid-based treatments [13,14]. In addition, there are reports of deep brain stimulation therapy being effective in maintaining epilepsy and intellectual performance in Rett syndrome [15]. Hyperventilation with Tachypnea and Hypoventilation with apnea, which must be differentiated from epileptic seizures, have been reported in Rett syndrome as well as in central apnea such as Prader-Willi syndrome [16].
When confronted with atypical features such as macrocephaly, clinicians must consider differential diagnoses to rule out other conditions that may mimic or overlap with Rett syndrome. MECP2 duplication syndrome, primarily affecting males, can present with macrocephaly, hypotonia, and developmental delay, resembling some aspects of Rett syndrome [17]. The clinical differences between Rett syndrome and MECP2 duplication syndrome are summarized (Table 1). Interestingly, although both disorders are associated with abnormalities in the MECP2 gene, they exhibit distinct clinical features. Rett syndrome predominantly affects females, whereas MECP2 duplication syndrome is observed in males; microcephaly is characteristic of Rett syndrome, while macrocephaly is more common in MECP2 duplication syndrome; and the stereotypical hand movements seen in Rett syndrome are generally absent in MECP2 duplication syndrome.
Similarly, PTEN hamartoma tumor syndrome (PHTS) is characterized by macrocephaly, autism spectrum disorder, and an increased risk of malignancies, distinguishing it from Rett syndrome [18]. Another differential diagnosis is Sotos syndrome, a condition marked by macrocephaly, overgrowth, and developmental delay, which notably lacks the stereotypic hand movements that are pathognomonic of Rett syndrome [10]. These differential considerations emphasize the necessity of detailed phenotypic evaluations, genetic testing, and interdisciplinary collaboration to arrive at an accurate diagnosis and implement optimal care. In recent years, advances in sequencing technologies have revealed that the phenotype of Rett syndrome and MECP2 duplication syndrome can vary depending on the location and pattern of mutations in the MECP2 gene [19,20,21,22]. Here, we summarize these findings, including our case (Table 2).
The co-occurrence of macrocephaly, HFI, and central precocious puberty in this case is exceedingly rare and, to the best of our knowledge, remains sparsely reported in the literature. Such cases contribute valuable insights into the phenotypic heterogeneity of Rett syndrome and its interactions with systemic factors, particularly regarding hormonal and skeletal systems. Further investigation into these atypical presentations is crucial for advancing our understanding of Rett syndrome’s pathophysiology and for optimizing individualized care strategies for patients with rare and complex presentations.

4. Conclusions

This case expands the phenotypic spectrum of Rett syndrome by documenting macrocephaly and HFI, features rarely associated with this condition. These findings emphasize the need for further research into the systemic effects of MECP2 mutations, particularly their roles in cranial growth and bone metabolism. Understanding these atypical manifestations will enhance diagnostic precision and support the development of personalized treatment strategies. Additionally, recognizing differential diagnoses in patients with overlapping features like macrocephaly is essential for ensuring accurate diagnosis and effective management.

Author Contributions

Conceptualization, G.I.; original draft preparation, G.I.; visualization, G.I. and S.K.; supervision, H.S.; All authors have read and agreed to the published version of the manuscript.

Funding

This research received no external funding.

Informed Consent Statement

Informed consent was obtained from parents of the patient in the study.

Conflicts of Interest

The authors declare no conflicts of interest.

References

  1. Neul JL, Kaufmann WE, Glaze DG, Christodoulou J, Clarke AJ, Bahi-Buisson N, Leonard H, Bailey MES, Schanen NC, Zappella M, Renieri A, Huppke P, ercy AK; RettSearch Consortium. Revised diagnostic criteria for Rett syndrome. Ann Neurol. 2010; 68(6):944-950. [CrossRef]
  2. Amir RE, et al. Rett syndrome is caused by mutations in X-linked MECP2, encoding methyl-CpG-binding protein 2. Nat Genet. 1999; 23(2):185-188. [CrossRef]
  3. Hagberg B, et al. Rett syndrome: Clinical and biological aspects. Acta Paediatr Scand. 1985; 74(5):753-758. [CrossRef]
  4. Chahrour M, Zoghbi HY. The story of Rett syndrome: from clinic to neurobiology. Neuron. 2007; 56(3):422-437. [CrossRef]
  5. She R, Szakacs J. Hyperostosis frontalis interna: case report and review of literature. Ann Clin Lab Sci. 2004; 34(2):206-208.
  6. Valentina Conti, Anna Gandaglia, Francesco Galli, Mario Tirone, Elisa Bellini, Lara Campana, Charlotte Kilstrup-Nielsen, Patrizia Rovere-Querini, Silvia Brunelli, Nicoletta Landsberger. MeCP2 Affects Skeletal Muscle Growth and Morphology through Non Cell-Autonomous Mechanisms. PLoS One. 2015; 10(6): e0130183. [CrossRef]
  7. Carla Caffarelli, Stefano Gonnelli, Maria Dea Tomai Pitinca, Silvia Camarri, Antonella Al Refaie, Joussef Hayek, Ranuccio Nuti. Methyl-CpG-binding protein 2 (MECP2) mutation type is associated with bone disease severity in Rett syndrome. BMC Med Genet 2020; 21(1):21. [CrossRef]
  8. Ulrike Bernstein, Stephanie Demuth, Oliver Puk, Birgit Eichhorn, Solveig Schulz. Novel MECP2 Mutation c.1162_1172del; p.Pro388* in Two Patients with Symptoms of Atypical Rett Syndrome. Mol Syndromol. 2019; 10(4):223-228.
  9. Van Esch H. MECP2 duplication syndrome. Mol Syndromol. 2012; 2(3-5):128-136. [CrossRef]
  10. Tatton-Brown K, et al. Sotos syndrome. Eur J Hum Genet. 2007; 15(3):264-271.
  11. Paulina Kyriakopoulos, Vanda McNiven, Melissa T Carter, Peter Humphreys, David Dyment, Tadeu A Fantaneanu. Atypical Rett Syndrome and Intractable Epilepsy with Novel GRIN2B Mutation. Child Neurol Open. 2018 Aug 23:5:2329048X18787946. [CrossRef]
  12. Yoshida S, Amamoto M, Takahashi T, Tomita I, Yuge K, Hara M, Iwama K, Matsumoto N, Matsuishi T. Perampanel markedly improved clinical seizures in a patient with a Rett-like phenotype and 960-kb deletion on chromosome 9q34.11 including the STXBP1. Clin Case Rep. 2022; 10(5): e05811. [CrossRef]
  13. Hurley EN, Ellaway CJ, Johnson AM, Truong L, Gordon R, Galettis P, Martin JH, Lawson JA. Efficacy and safety of cannabidivarin treatment of epilepsy in girls with Rett syndrome: A phase 1 clinical trial. Epilepsia. 2022; 63(7): 1736-1747. [CrossRef]
  14. Desnous B, Beretti T, Muller N, Neveu J, Villeneuve N, Lépine A, Daquin G, Milh M. Efficacy and tolerance of cannabidiol in the treatment of epilepsy in patients with Rett syndrome. Epilepsia Open. 2024; 9(1): 397-403. [CrossRef]
  15. Russo JF, Sheth SA, McKhann GM 2nd. Using Deep Brain Stimulation to Rescue Memory in Rett Syndrome. Neurosurgery. 2016 Feb;78(2): N16-7. [CrossRef]
  16. Gallego, J. Genetic diseases: congenital central hypoventilation, Rett, and Prader-Willi syndromes. Compr Physiol. 2012 Jul;2(3):2255-79. [CrossRef]
  17. Douglas J, et al. Partial NSD1 deletions cause 5% of Sotos syndrome and are readily identifiable by multiplex ligation-dependent probe amplification. J Med Genet. 2005; 42(10): e56. [CrossRef]
  18. Kaymakcalan H, Kaya İ, Cevher Binici N, Nikerel E, Özbaran B, Görkem Aksoy M, Erbilgin S, Özyurt G, Jahan N, Çelik D, Yararbaş K, Yalçınkaya L, Köse S, Durak S, Ercan-Sencicek AG Mol Genet Genomic Med. 2021; 9(8): e1739. [CrossRef]
  19. Yan H, Shi Z, Wu Y, Xiao J, Gu Q, Yang Y, Li M, Gao K, Chen Y, Yang X, Ji H, Cao B, Duan R, Jiang Y, Wang J. Targeted next generation sequencing in 112 Chinese patients with intellectual disability/developmental delay: novel mutations and candidate gene. BMC Med Genet. 2019 May 14;20(1):80. [CrossRef]
  20. Maortua H, Martínez-Bouzas C, García-Ribes A, Martínez MJ, Guillen E, Domingo MR, Calvo MT, Guitart M, Gabau E, Botella MP, Gener B, Rubio I, López-Aríztegui MA, Tejada MI. MECP2 gene study in a large cohort: testing of 240 female patients and 861 healthy controls (519 females and 342 males). J Mol Diagn. 2013 Sep;15(5):723-9. [CrossRef]
  21. Das DK, Raha S, Sanghavi D, Maitra A, Udani V. Spectrum of MECP2 gene mutations in a cohort of Indian patients with Rett syndrome: report of two novel mutations. Gene. 2013 Feb 15;515(1):78-83. [CrossRef]
  22. Ortega-Alarcon D, Claveria-Gimeno R, Vega S, Jorge-Torres OC, Esteller M, Abian O, Velazquez-Campoy A. Influence of the disordered domain structure of MeCP2 on its structural stability and dsDNA interaction. Int J Biol Macromol. 2021 Apr 1;175:58-66. [CrossRef]
Figure 1. The motion of repeatedly gripping both palms together is characteristic of rett syndrome.
Figure 1. The motion of repeatedly gripping both palms together is characteristic of rett syndrome.
Preprints 173083 g001
Figure 2. Brain MRI T2-weighted images were obtained at ages 2 (A/B/C) and 16 (D/E/F). At age 2, no significant abnormalities were detected; however, at age 16, there was prominent thickening of the frontal bone, indicative of hyperostosis frontalis interna (HFI). Additionally, bilateral enlargement of the frontal sinuses was observed, suggesting extensive involvement of the anterior cranial vault. The high-resolution T2-weighted imaging facilitated precise visualization of cranial abnormalities, thereby supporting the diagnosis of HFI and underscoring the atypical manifestation of macrocephaly in this case of Rett syndrome.
Figure 2. Brain MRI T2-weighted images were obtained at ages 2 (A/B/C) and 16 (D/E/F). At age 2, no significant abnormalities were detected; however, at age 16, there was prominent thickening of the frontal bone, indicative of hyperostosis frontalis interna (HFI). Additionally, bilateral enlargement of the frontal sinuses was observed, suggesting extensive involvement of the anterior cranial vault. The high-resolution T2-weighted imaging facilitated precise visualization of cranial abnormalities, thereby supporting the diagnosis of HFI and underscoring the atypical manifestation of macrocephaly in this case of Rett syndrome.
Preprints 173083 g002
Figure 3. The curve connecting the red dots shows her height and weight progression. The reference chart represents the 2000 edition of height and weight curves for Japanese girls aged 0–18 years.
Figure 3. The curve connecting the red dots shows her height and weight progression. The reference chart represents the 2000 edition of height and weight curves for Japanese girls aged 0–18 years.
Preprints 173083 g003
Table 1. Rett Syndrome vs MECP2 duplication Syndrome.
Table 1. Rett Syndrome vs MECP2 duplication Syndrome.
Feature Rett Syndrome MECP2 duplication Syndrome
Genetic Cause MECP2 gene mutation (X chromosome, point mutation) MECP2 gene duplication (X chromosome, increased copy number)
Gender Predominantly female with severe symptoms in males Predominantly male, females may be asymptomatic or have mild symptoms
Age of Onset Symptoms typically begin between 6 to 18 months of age, after initial normal development Developmental delays are present from early childhood, no regression
Head Circumference Microcephaly (head circumference decreases after onset of regression) Macrocephaly (increased head circumference)
Height Growth often stalls after initial normal development Growth may be delayed, but is typically less affected thanin Rett syndrome
Hormonal Abnormalities Growth hormone deficiencies, thyroid hormone abnormalities commonly seen Hormonal abnormalities (e.g., growth hormone, sex hormones) may be observed, though not as common or specific as in Rett syndrome
Intelligence Severe intellectual disability, with language loss and social withdraw Intellectual disability, but not as severe or as rapid in onset as in Rett syndrome
Seizures Seizures are common in Rett syndrome, especially with progression Seizures may occur, but not as frequent or as severe as in Rett syndrome
Hand Abnormalities Characteristic repetitive hand movements such as wringing, clapping, or tapping No characteristic hand movements like those seen in Rett syndrome
Autism Spectrum Symptoms High frequency of autistic features and social withdrawal May show features of autism spectrum disorder, but less common
Motor and Developmental Delay Severe motor regression, leading to inability to walk Motor delay is present but typically less severe than in Rett syndrome
Respiratory Abnormalities Hyperventilation, hypoventilation, and apneas are seen Respiratory abnormalities are rare
Prognosis Progressive disorder, with severe symptoms developing into adulthood Progressive, but intellectual and motor impairments may be less severe
Treatment Supportive therapies such as physical therapy, occupational therapy, and speech therapy Supportive therapies as well as interventions for overexpression of MECP2 protein
Carrier Status Males generally do not survive or have severe symptoms if they carry the mutation Females may be carriers orhave mild symptoms, while males show full manifestation
Table 2. MECP2 Gene Mutation Sites and Their Effects.
Table 2. MECP2 Gene Mutation Sites and Their Effects.
Associated Syndrome Mutation Site Location/Region Mutation Type Effect Representative Mutation
Rett Syndrome CDS (Coding Region) Full length of MECP2gene (codes for theprotein) Missense Mutation Changes in the amino acid sequence of MECP2 protein, disrupting its structure and function. R133C (Arg133Cys):Loss of DNA binding function
N-terminal Region First few amino acids of MECP2 (DNA methylation binding) Missense Mutation Disrupts DNA methylation recognition and gene expression regulation. T158M (Thr158Met): Involved in DNA binding region
C-terminal Region C-terminal portion of MECP2 (interaction with transcriptional regulators) Missense Mutation orFrameshift Mutation Disrupts protein synthesis, or an incomplete protein is generated, leading to loss of function. Arg270Stop (c.882C>T, Arg270Stop): Early stop codon generates an incomplete protein
Frameshift Region Coding region of the MECP2 gene Insertion or Deletion (Indel) Causes an abnormal amino acid sequence, changing the protein structure significantly and losing function. c.806_807delTG(2 base deletion)
MECP2duplication Syndrome Entire X Chromosome (Genetic Mutation) Located on the X chromosome, MECP2 gene Duplication Increased copy number of the MECP2 gene leads to overproduction of MECP2 protein, affecting neural function. c.882C>T, Arg270Stop (associated with the duplication region)
Our case (Rett Syndrome) C-terminal Region C-terminal portion of MECP2 (interaction with transcriptional regulators) Missense Mutation Early stop codon interrupts the synthesis of MECP2 protein, generating an incomplete protein. c.882C>T, Arg270Stop
Disclaimer/Publisher’s Note: The statements, opinions and data contained in all publications are solely those of the individual author(s) and contributor(s) and not of MDPI and/or the editor(s). MDPI and/or the editor(s) disclaim responsibility for any injury to people or property resulting from any ideas, methods, instructions or products referred to in the content.
Copyright: This open access article is published under a Creative Commons CC BY 4.0 license, which permit the free download, distribution, and reuse, provided that the author and preprint are cited in any reuse.
Prerpints.org logo

Preprints.org is a free preprint server supported by MDPI in Basel, Switzerland.

Subscribe

Disclaimer

Terms of Use

Privacy Policy

Privacy Settings

© 2026 MDPI (Basel, Switzerland) unless otherwise stated