Preprint
Interesting Images

This version is not peer-reviewed.

Giant Fungal Ball, Emphysematous Cystitis and Spontaneous Vesico-Vaginal Fistula in a Lady with Diabetes Mellitus

Submitted:

31 December 2024

Posted:

17 January 2025

You are already at the latest version

Abstract
A 52-year-old diabetic lady on hypoglycemic drugs attended emergency services with history of lower abdominal pain, fever and urinary incontinence along with passing of whitish material in urine for one week. She was a thinly built lady with aenemia (Hb, 8.4mg%) and hyperglycemia (random blood sugar, 564 mg%). Urinary bladder was palpable. She had renal failure (serum creatinine, 2.7mg%). She was started on injection Piperacillin /Tazobactum and regular Insulin. She was transfused two units of red blood cells. Urine analysis showed haematuria and pyuria and urine culture grew non-candida albicans. She was started on injection Fluconazole. CT scan (non-contrast) detected moderate bilateral hydronephrosis, intraluminal gas in urinary bladder with thickened walls suggestive of emphysematous cystitis. At cystoscopy, a whitish mass filling up the whole of urinary bladder was found and the mass extruded in toto into the vagina through a vesico-vaginal fistula. The histopathological report demonstrated predominantly necrotic material, fungal organism in the form of spores and hyphae. PAS and GMS stain were positive for fungal organism. Ultrasonography repeated after 14 days of Fluconazole showed resolution of hydronephrosis. Patient was scheduled for repair of the vesico-vaginal fistula after six weeks but she did not return for the operation.
Keywords: 
;  ;  ;  ;  
A 52-year-old diabetic lady on hypoglycemic drugs attended emergency services on the 6th December 2023 with history of lower abdominal pain, fever and urinary incontinence for one week. She also had history of passing of whitish material per urethra. She was admitted elsewhere two weeks before because of urinary tract infection and retention of urine. She was catheterized with Foley urethral catheter and the catheter was removed before discharge. She was a thinly built lady with aenemia (Hb, 8.4 mg%), hyperglycemia (random blood sugar, 564 mg%) and azotemia (serum creatinine, 2.7 mg% and blood urea, 137 mg%). Urinary bladder was palpable and kidneys were not palpable. Rest of systemic examination was nonremarkable. Milky urine was drained on Foley catheterization. She was started on injection Piperacillin /Tazobactum and regular Insulin. Urine analysis showed haematuria (5-9 RBC/HPF) and pyuria (19-29 WBC/HPF) and urine culture grew non-candida albicans. She was then started on injection Fluconazole.
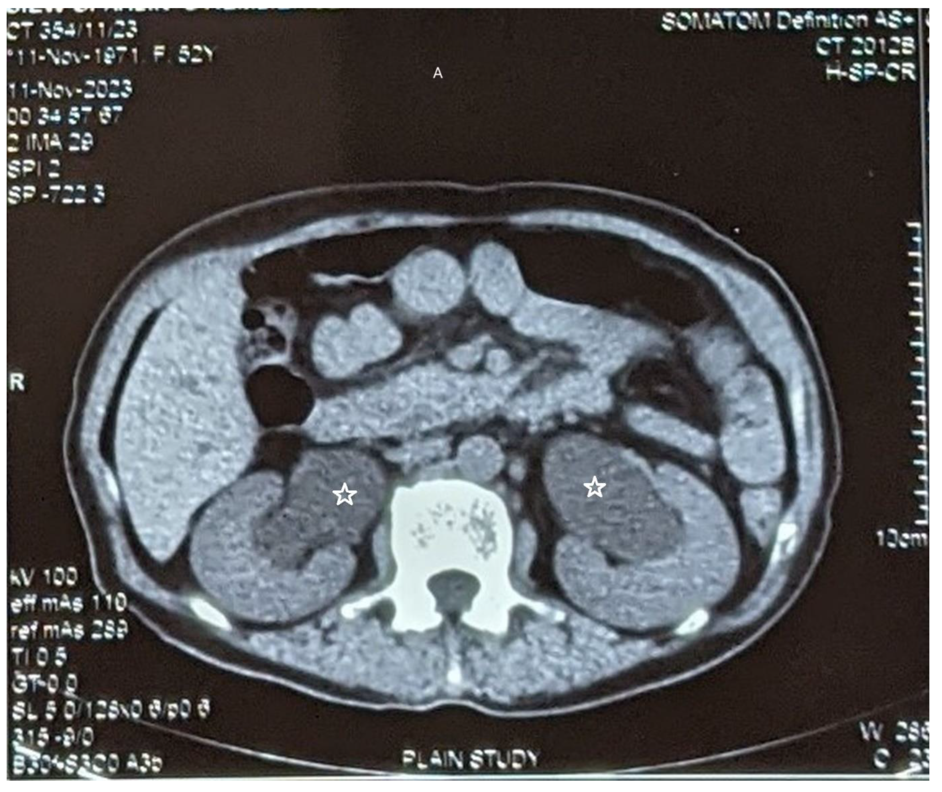
CT scan (non-contrast) detected moderate bilateral hydronephrosis (Figure 1 A), intraluminal gas in urinary bladder with thickened walls indicative of emphysematous cystitis (Figure 1 B). At cystoscopy, a whitish mass filling up the urinary bladder was found. While the mass was being resected with resectoscope (Figure 1C), the mass extruded in toto into the vagina through a vesico-vaginal fistula (Figure 1 D). The histopathological report demonstrated predominantly necrotic material, fungal organism in the form of spores and hyphae. PAS and GMS stain were positive for fungal organism. Ultrasonography repeated after 14 days of Fluconazole showed resolution of hydronephrosis. Patient was scheduled for repair of the fistula but she did not report for the repair.
Fungal ball and emphysematous cystitis are two rare complications of fungal urinary tract infection [1]. Systemic antifungal therapy along with removal of the fungal mass (transurethral resection or open surgery) is the treatment of choice for fungal ball in the urinary bladder [1,2]. A case of spontaneous vesico-vaginal fistula due to fungal infection has been reported [3].

Legends

Figure 1. A: CT scan (non-contrast) showing bilateral moderate hydronephrosis (star).
Figure 1. A: CT scan (non-contrast) showing bilateral moderate hydronephrosis (star).
Preprints 144747 g001
Figure 1. B: Extensive intraluminal gas in the urinary bladder(triangle) along with thickened wall (star).
Figure 1. B: Extensive intraluminal gas in the urinary bladder(triangle) along with thickened wall (star).
Preprints 144747 g002
Figure 1. C: Resectoscope (left arrow) in the urinary bladder and the mass (down arrow) in the vagina.
Figure 1. C: Resectoscope (left arrow) in the urinary bladder and the mass (down arrow) in the vagina.
Preprints 144747 g003
Figure 1. D: Cystoscopy after removal of fungal mass: vesico-vaginal fistula (down arrow) with a blue 5 F ureteric catheter (star) in the fistula.
Figure 1. D: Cystoscopy after removal of fungal mass: vesico-vaginal fistula (down arrow) with a blue 5 F ureteric catheter (star) in the fistula.
Preprints 144747 g004
Figure 1. E: A fleshy and whitish giant fungal ball, measuring 15 × 10 cm.
Figure 1. E: A fleshy and whitish giant fungal ball, measuring 15 × 10 cm.
Preprints 144747 g005

Acknowledgments

Dr Samuel Lalhriatpuia Sailo for English editing and image preparation.

Conflicts of Interest

Both the authors declare that they have no conflict of interest.

References

  1. Wang L, Ji X, Sun GF, Qin YC, Gong MZ, Zhang JX, Li NC, Na YQ. Fungus ball and emphysematous cystitis secondary to Candida tropicalis: A case report. Can Urol Assoc J. 2015 Sep-Oct;9(9-10):E683-6. [CrossRef]
  2. Sahinler EB, Sinanoglu O, Erdogan E, Karaca Y. A Rare Cause of Urinary Retention Refractory to Conventional Measures: Bladder Fungoma. Cureus. 2022 Nov 29;14(11):e32024. [CrossRef]
  3. Agarwal N, Seth A, Kulshrestha V, Kochar S, Kriplani A. Spontaneous vesicovaginal fistula caused by genitourinary aspergillosis. Int J Gynaecol Obstet. 2009 Apr;105(1):63-4. [CrossRef]
Disclaimer/Publisher’s Note: The statements, opinions and data contained in all publications are solely those of the individual author(s) and contributor(s) and not of MDPI and/or the editor(s). MDPI and/or the editor(s) disclaim responsibility for any injury to people or property resulting from any ideas, methods, instructions or products referred to in the content.
Copyright: This open access article is published under a Creative Commons CC BY 4.0 license, which permit the free download, distribution, and reuse, provided that the author and preprint are cited in any reuse.
Prerpints.org logo

Preprints.org is a free preprint server supported by MDPI in Basel, Switzerland.

Subscribe

Disclaimer

Terms of Use

Privacy Policy

Privacy Settings

© 2026 MDPI (Basel, Switzerland) unless otherwise stated