Preprint
Case Report

This version is not peer-reviewed.

Predictability of Maximum Root Coverage in Muco-Plastic Surgery of Localized Gingival Recession

Submitted:

17 November 2024

Posted:

20 November 2024

You are already at the latest version

Abstract

Background : Gingival recession poses significant challenges in dental clinics and impacts almost half of the global population, predominantly affecting older adults. It occurs more frequently in the lower teeth than the upper teeth, which have thicker and more robust keratinized tissues. A range of surgical procedures, referred to as mucogingival surgeries, are employed to tackle this condition. These techniques, categorized under plastic surgery, strive to cover the exposed tooth roots, thereby diminishing sensitivity, facilitating hygiene maintenance, and enhancing aesthetics affected by gingival recession. Aim of study: to underscore the efficacy of predicting maximum root coverage in treating gingival recession with coronal advancement flap (CAF) and autogenous subepithelial connective tissue grafts (CTG). This is achieved by comparing the predetermined maximum root coverage (MRC) with the actual outcomes of root coverage surgical procedures. Methods: Patients with Gingival Recessions Type (RT)1 and RT2 were treated with Coronal advancement flap with a connective tissue graft (CTG). The treatment protocol comprised scaling and root planing, along with root surface conditioning. Subsequently, a surgical phase was conducted, involving a sub-epithelium connective tissue graft placed . This included the harvest of the graft from the palatal mucosa and its placement at the recipient site. Post-operative care instructions were provided, accompanied by a comprehensive follow-up schedule for one month. Results: there is no significant difference between the predetermine level of root coverage and the actual outcome postoperatively. In the case 1, full root coverage was attained, demonstrating both long-term stability and aesthetic achievement. Conversely, in the second case, root coverage reached 80% with attachment level gain and a gingival margin that was harmonious with adjacent teeth. It is deemed a successful clinical result. Conclusion: The successful outcomes of combining Coronally Advanced Flap (CAF) with Connective Tissue Graft (CTG) in treating gingival recession of Miller class II and III cases have underscored the efficacy of predetermined assessments. These assessments enhance the clinician's ability to accurately predict the maximum root coverage achievable before surgery, which is vital for the success of regenerative treatments. Further randomized clinical trials with extended follow-ups are required.

Keywords: 
;  ;  ;  ;  ;  ;  

I. Introduction

Gingival recession (GR) is the process where the marginal gingiva moves from its normal position on the tooth crown to a lower position on the root surface, beneath the cementoenamel junction (CEJ). The main causes of GR are inflammatory periodontal disease and mechanical trauma. Additional risk factors include a thin gingival biotype, inadequate attached gingiva, bone defects like dehiscence, tooth misalignment, and high frenum or muscle attachments. GR can occur in any demographic globally, but it is more common in older adults. Although the occurrence of GR increases with age, it is not caused by aging itself, thus it is age-associated, not age-related [1].
Identifying the causative factors is essential before treating gingival recession defects. The causes are often not clear-cut, as gingival recession is typically the result of a combination of factors. The main causes include periodontal inflammation due to plaque and mechanical trauma from incorrect tooth brushing techniques. Clinicians must also take into account susceptibility factors and modifiable conditions associated with gingival recession. Important susceptibility factors are thin gingival biotype, limited or absent keratinized tissue, probing depths that exceed the mucogingival junction, and a history of progressive gingival recession or periodontal disease. Modifiable conditions include plaque accumulation, periodontal disease, misplaced frenum, detrimental oral hygiene practices, subgingival restorations, smoking, and systemic issues like diabetes [2].
Miller's classification, present the most popular classification of gingival recession which focuses on the extension of the recession to a mucogingival junction (MCJ), interdental soft tissue loss and proximal bone loss. It categorizes gingival recession into four distinct levels to forecast root coverage outcomes, is a well-established system. Gingival recessions are categorized into four classes based on the prognosis for root coverage. In Miller Class I and II gingival recessions, there is no loss of interproximal periodontal attachment or bone, allowing for complete root coverage. In Miller Class III, the loss of interdental periodontal support is mild to moderate, making partial root coverage possible. However, in Miller Class IV, the interproximal periodontal attachment loss is so severe that root coverage is not achievable [3].
Cairo et al. recently introduced a new classification system of gingival recessions using the level of interproximal clinical attachment as an identification criterion; they also explored the predictive value of the resulting classification system on final root coverage outcomes following surgery. Three recession types (RT) were identified: class RT1 included gingival recession with no loss of interproximal attachment; class RT2 comprised recession with loss of interproximal attachment less than or equal to the buccal site; and class RT3 showed interproximal attachment loss higher than the buccal site. this recession type class is a strong predictor of the final recession reduction after different surgical procedures [4].
The management of gingival recession defects encompasses both non-surgical and surgical approaches. Non-surgical treatments may include optimal plaque control, the removal of overhanging subgingival restorations, behavioral modifications, and the application of desensitizing agents and fluoride as necessary. The maintenance strategy involves monitoring the patient for key periodontal parameters and documenting only significant negative changes in the periodontal maintenance record, in comparison to the most recent comprehensive data from the periodontal examination record [5].
The surgical treatment of the gingival recession, have two objectives: first, coverage of exposed root surfaces with soft tissue. Second, creation of new keratinised and attached gingiva. Attempting soft tissue coverage of the exposed root surface is more technically and biologically demanding than increasing the amount of keratinised tissue (KT). The free gingival graft technique is most utilized technique to increase KT. This method is also recommended for extending the vestibule and removing the frenulum. It involves harvesting epithelial and connective tissues from a donor site and transplanting them to the recipient site, where achieving effective primary stability is crucial [6].
The coronally advanced flap (CAF) is the preferred surgical technique for treating recession defects when there is adequate keratinized tissue present. The CAF method provides predictable results, such as complete root coverage, seamless color integration, and the reestablishment of the original soft tissue margin contour. To achieve both root coverage and regeneration of the functional attachment apparatus, researchers frequently combine CAF with other regenerative materials, including connective tissue grafts, which are considered the gold standard of treatment. [7].
Care must be taken in choosing the best soft tissue grafting technique. Subepithelial connective tissue autograft is indicated for patients with aesthetic demands, inadequate KT, deep root abrasion, root prominence and root pigmentation. But it is contraindicated when GR is caused by a high muscle pull, a gingival cleft extending in alveolar mucosa and a shallow vestibule. The advantage of sub-epithelium connective tissue graft enhances the survival of the graft above the avascular surface of roots and improves the aesthetic results [8,9].
The rationale for the surgical technique begins with determining the maximum root coverage (MRC). This involves calculating the optimal height of the anatomical interdental papilla. For teeth affected by gingival recession, the ideal height is the apical-coronal dimension of the interdental papilla necessary for complete root coverage. For non-rotated and correctly aligned teeth, this height is measured on the tooth itself. For rotated or misaligned teeth, the measurement is taken from the corresponding contralateral tooth. The process of measuring the anatomical papilla height includes assessing the vertical distance between two teeth and the horizontal line from the cementoenamel junction (CEJ) of the tooth to the tip of the papilla. In a healthy periodontium with a non-rotated tooth, the papilla tip is aligned with the contact point, which helps in predicting the potential for root coverage. The optimal height is the distance from the mesial-distal line angle to the contact point of the tooth. This line angle is identified by elevating the interdental soft tissues to expose the interdental CEJ. After determining the ideal papilla height, it is marked apically from the mesial and distal tips of the papillae of the recessed tooth. Horizontal projections from these marks to the edge of the recession define two points, which are then connected by a scalloped line to establish the 'line of root coverage [10].
The present study highlights the utilized method in predicting the position of the soft tissue margin before root coverage surgery to the actual root coverage following surgical procedure.
Case 1:
A 41-year-old male presented at the Department of Periodontics, Faculty of Oral & Dental Medicine, with complaints of gum recession and sensitivity in the left first Premolar in upper teeth. Clinical examination revealed a Miller Class II recession defect on the buccal side of tooth 24. Clinical attachment loss was recorded at 4 mm, and recession width at the cementoenamel junction measured 3 mm. A pocket depth of 1 mm was observed above the mucogingival junction, and the depth of keratinized tissue was 1 mm (as measured from 2 mm apical to gingival margin). The patient generally in good health with good oral hygiene with no systemic diseases, medications, allergies, or smoking history.
Outcome measures:
Primary outcome measures: included aesthetic change related to patient’s opinion, recession depth change clinically and absence of postsurgical complication.
Secondary outcome measures: include KTW change, mean root coverage (MRC) clinically.
Method:
A single-stage treatment approach was planned, all selected patients received a comprehensive periodontal examination and oral hygiene instructions, and they were subjected to full-mouth scaling and root planning. After 30 days, reevaluation was performed, which clinical improvement of clinical parameters (Figure 1). A coronal advancement flap with connective tissue graft was planned and performed to treat the gingival recession to increase the amount of keratinized tissue.
The Presurgical preparation: was thoroughly explained to the patient, and informed consent was obtained. Patient preparation included scaling and root planning, along with oral hygiene instructions. The modified Stillman brushing technique was recommended for the patient.
Evaluated Parameters: The parameters were evaluated using the UNC-15 periodontal probe. Parameter dependent on CEJ. The following metrics were examined clinically at baseline and 1month post-surgery:
Pocket Depth (PD): The measurement from the gingival margin to the bottom of the gingival sulcus.
Clinical Attachment Level (CAL): Measured from the cementoenamel junction to the base of the periodontal pocket [11].
Gingival recession Defect (GRD) was determined from the (CEJ) to the most apical point of the gingival edge on the mid-buccal face of the tooth (GM).
Digital measurements: all recession areas were photographed before surgery (baseline) and 1 month postsurgical. The width of keratinized tissue (KT): was measured as the distance between the gingival margin (GM) and the mucogingival junction (MGJ). KT provides fibrotic collar strength and attachment around the tooth that increase the capacity of the periodontium to withstand the occlusal forces. When it becomes inadequate decreased, it impacts the tooth capacity, aesthetic appearance and plaque control maintenance. Hall identified that keratinized attached gingiva with less than 2 mm should be monitored for active recession [12].
SURGICAL PROCEDURE:
The objective of periodontal plastic surgery is to regenerate and establish uniform, aesthetically appealing gingival margins.
Root planning and conditioning are vital preliminary steps prior to root coverage procedures.
Isolating the surgical area and anesthetizing the operative sites with 2% xylocaine hydrochloride containing adrenaline (1:200,000) is essential. Gracey curettes GR no. 1/2 and 3/4 are utilized to polish the exposed root surface to a glass-like finish, enhancing tissue adhesion.
Subsequently, 24% EDTA is applied to the root for 2 minutes to eliminate the smear layer, detoxify, decontaminate, and demineralize the surface, revealing the collagenous matrix of the dentin and cementum, which is crucial for optimal healing.
De-epithelialization is performed on the peripheral gingival tissues surrounding the recession (anatomical papillae).
A sulcular incision is made around the first premolar, with horizontal incisions which are positioned at a distance from the tip of the anatomical papillae equal to the depth of the recession plus 1 mm. This horizontal incision will extend only 3mm, never extend to adjacent tooth.
Vertical incisions at the ends of the horizontal incision reach into the alveolar mucosa, facilitating deep, superficial partial split dissection needed for graft integration and contraction. A periosteal elevator is employed to elevate a full thickness flap, just apical to recession area, which is then trimmed apically, and root biomodification by EDTA is carried out up to the mucogingival junction to ready an appropriate bed for the graft.
Technique for obtaining the graft from donor site:
The graft, about 2 mm thick, was taken from the area behind the anterior palatine rugae, in line with teeth numbers 14 to 16.
The same anesthetic used at the recipient site was also applied for a greater palatine nerve block.
connective tissue graft by L shape palatal incision technique was used.
Graft placement:
The graft was placed at the recipient site 1mm coronal to CEJ.
first secured with two interrupted 6-0 vicryl sutures at the mesial and distal ends. It was then fully stabilized using a criss-cross suture technique, supplemented by additional interrupted sutures for further reinforcement.
Gentle pressure was applied with saline-moistened gauze for five minutes to achieve hemostasis and promote fibrin clot formation.
The flap is subsequently repositioned as coronally as feasible. Figure [12]
Post-operative care:
The patient was prescribed Amoxicillin 500 mg to be taken three times a day for 5 days. In addition, they were given Ibuprofen 400 mg three times daily.
The patient was advised to follow standard post-operative oral hygiene practices and to rinse with 0.12% chlorhexidine Di gluconate mouthwash for two weeks.
They were also cautioned against pulling on their lips to prevent disturbing the surgical site. Sutures were removed 14 days after surgery.
A follow-up was conducted over 1 months, with no post-operative complications noted, and healing was considered satisfactory. The patient reported no post-operative morbidity.
Healing after root coverage procedures: A truly new connective tissue attachment is preferable over a long junctional epithelium. The success of sub-epithelial Connective Tissue Grafts (SCTG) hinges on the connective tissue blood supply [13].
The prognosis of surgical root coverage [14]: primarily aims to achieve complete root coverage, which is recognized as the best indicator of success. However, the prognosis is influenced by various factors, including:
Patient-related factors such as poor oral hygiene, compromised health, systemic diseases, and smoking, all of which can negatively impact periodontal surgery.
Gingiva-related factors are critical; these include the cause of the recession, the class of recession defect, periodontal biotype, extent of recession, width of KT, tooth location, vestibular depth, interproximal attachment level, and the aesthetic and functional demands.
Technique related factors: This includes flap design, flap reflection, root surface treatment, type of graft, thickness of the graft and position of gingival margin coronal to CEJ.
Periodontist related factors: Experience and knowledge of surgeons are very important to make a proper treatment plan and determine the proper technique for each case as well as the skills to master the case during surgery.
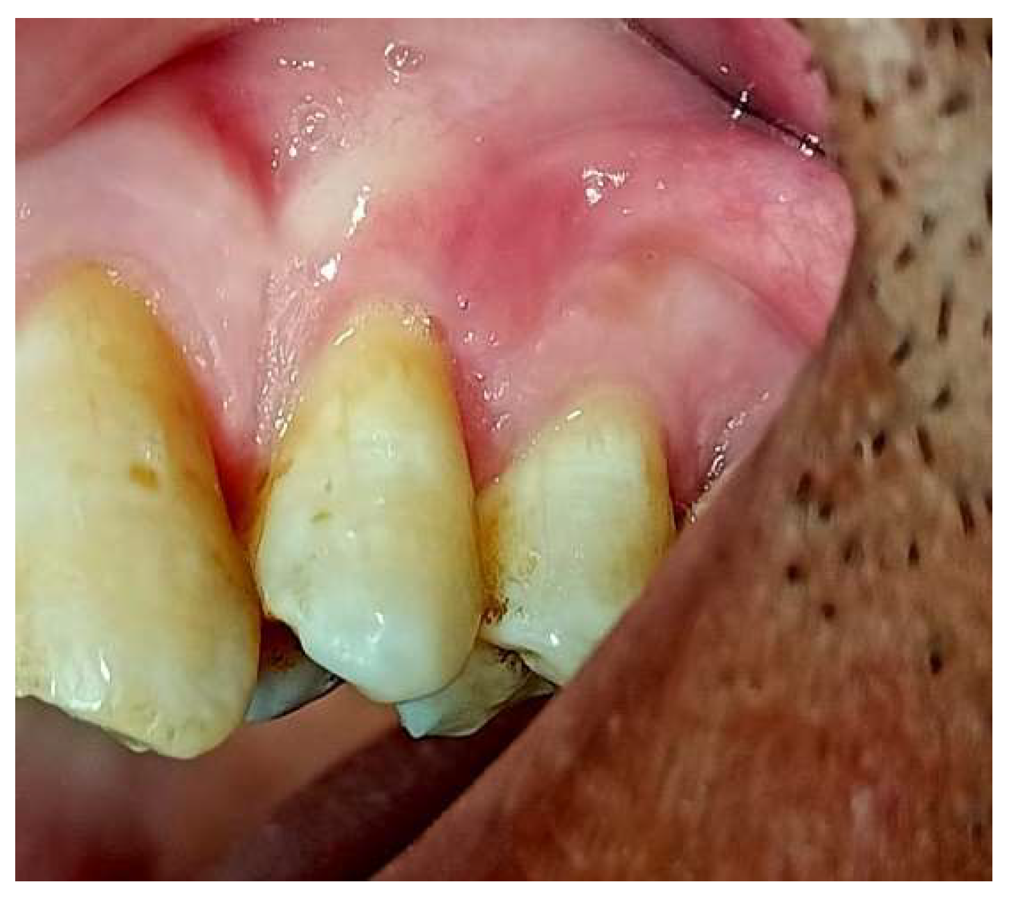
Figure 1. clinical photograph showing 41years old male patient, has GR miller cl(IIa) at upper left first premolar. In a nonrotated tooth with no interproximal attachment loss and with intact papilla height. the ‘deal papilla height (X) coincides with the anatomical papilla height.
Figure 1. clinical photograph showing 41years old male patient, has GR miller cl(IIa) at upper left first premolar. In a nonrotated tooth with no interproximal attachment loss and with intact papilla height. the ‘deal papilla height (X) coincides with the anatomical papilla height.
Preprints 139955 g001
Figure 2. incision of Coronal Advancement Flap (two horizontal and two vertical incisions, -trapezoid).
Figure 2. incision of Coronal Advancement Flap (two horizontal and two vertical incisions, -trapezoid).
Preprints 139955 g002
Figure 3. flap elevation.
Figure 3. flap elevation.
Preprints 139955 g003
Figure 4. advancement of flap coronally displacement.
Figure 4. advancement of flap coronally displacement.
Preprints 139955 g004
Figure 5. root conditioning with EDTA gel for 2 min.
Figure 5. root conditioning with EDTA gel for 2 min.
Preprints 139955 g005
Figure 6. incision of CTG (L shape technique two incisions one vertical and one horizontal)at hard palate(donor side).
Figure 6. incision of CTG (L shape technique two incisions one vertical and one horizontal)at hard palate(donor side).
Preprints 139955 g006
Figure 7. elevation of epithelium.
Figure 7. elevation of epithelium.
Preprints 139955 g007
Figure 7. width of CTG.
Figure 7. width of CTG.
Preprints 139955 g008
Fig8. length of CTG.
Fig8. length of CTG.
Preprints 139955 g009
Figure 9. position of CTG at cementoenamel junction.
Figure 9. position of CTG at cementoenamel junction.
Preprints 139955 g010
Figure 10. stabilization of CTG with interrupted sutures .
Figure 10. stabilization of CTG with interrupted sutures .
Preprints 139955 g011
Figure 11. stabilization of coronally advanced flap with sling sutures at marginal flap, interrupted sutures at vertical incisions and stress breaking sutures (double horizontal mattress).
Figure 11. stabilization of coronally advanced flap with sling sutures at marginal flap, interrupted sutures at vertical incisions and stress breaking sutures (double horizontal mattress).
Preprints 139955 g012
Figure 12. suturing of donor side (L shape incision) with interrupted sutures.
Figure 12. suturing of donor side (L shape incision) with interrupted sutures.
Preprints 139955 g013
Figure 13. follow up after two weeks.
Figure 13. follow up after two weeks.
Preprints 139955 g014
Figure 14. follow up after one months.
Figure 14. follow up after one months.
Preprints 139955 g015
Case 2
45 years old male complain of sensitivity at upper lateral incisor presented at the Department of Periodontics, Faculty of Oral & Dental Medicine, with complaints of gum recession and sensitivity in the right central incisor at upper teeth. Clinical examination revealed a Miller Class III recession defect on the buccal side of tooth 11. Clinical attachment loss was recorded at 4.5 mm, and recession width at the cementoenamel junction measured 3 mm. The patient was in good general health, with no systemic diseases, medications, allergies, or smoking history.
Method:
A single-stage treatment approach was planned, all selected patients received a comprehensive periodontal examination and oral hygiene instructions, and they were subjected to full-mouth scaling and root planning. After 30 days, reevaluation was performed, which clinical improvement of clinical parameters (Figure 1).
A coronal advancement flap with sub epithelium connective tissue graft was planned and performed to treat the gingival recession Miller class III.
Isolating the surgical area and anesthetizing the operative sites with 2% xylocaine hydrochloride containing adrenaline (1:200,000) is essential. Gracey curettes GR no. 1/2 and 3/4 are utilized to polish the exposed root surface to a glass-like finish, enhancing tissue adhesion.
Subsequently, 24% EDTA is applied to the root for 2 minutes to eliminate the smear layer, detoxify, decontaminate, and demineralize the surface, revealing the collagenous matrix of the dentin and cementum, which is crucial for optimal healing.
Measuring the anatomical papillae height:
When measuring the anatomical papillae height in a rotated tooth or when papillae height is lost, it is expected that the MRC will be coincide distally with the ideal papillae and so MRC will not be parallel to CEJ.
The distance between them should equal the distance between the papillae tip and the contact point, resulting in the most coronal root area remaining uncovered with mucogingival surgery.
The technique involves the same steps as the first case, with the exception of the type of graft being obtained.
Technique for obtaining the graft from donor site:
(using sub-epithelium connective tissue graft)
de-epithelization to obtain connective tissue graft was harvested using a #15 C scalpel via a partial-thickness dissection of this area, and then placed on a moistened damp compress with physiological saline.
For enhanced postoperative comfort and accelerated healing at the palate, a hemostatic sponge was used at the donor site after surgery.
The graft needs to be thick enough to prevent the superficial flap from desquamating due to poor vascularization, to cover any bone dehiscence, and to allow suturing at or above the cementoenamel junction.
To overcome the limitations of harvesting free gingival graft from the palate, collagen matrices (CM) from porcine sources (Mucograft®, Geistlich, Wolhusen, Switzerland) are utilized. These matrices have two functional layers: a dense external collagen layer that maintains structural integrity, provides infection protection, and aids in suturing, and a porous internal layer that promotes early vascularization and cell attraction. They act as scaffolds for fibroblasts and endothelial cells to create new connective tissue and support epithelial cell migration over the matrix from the surrounding tissue. Although they help increase tissue thickness, their effectiveness in expanding the width of keratinized tissue (KT) is limited [15].
The flap is subsequently repositioned as coronally as feasible. Figure[17,18]
Figure 1. The case represent miller cl (lII).
Figure 1. The case represent miller cl (lII).
Preprints 139955 g016
Figure 2. ideal papilla and anatomical papilla coincide distally.
Figure 2. ideal papilla and anatomical papilla coincide distally.
Preprints 139955 g017
Fig3. Coronal Advancement flap horizontal incision.
Fig3. Coronal Advancement flap horizontal incision.
Preprints 139955 g018
Figure 4. vertical incision.
Figure 4. vertical incision.
Preprints 139955 g019
Figure 5. incisions of CAF (trapezoid flap).
Figure 5. incisions of CAF (trapezoid flap).
Preprints 139955 g020
Figure 6. advancement of flap coronally.
Figure 6. advancement of flap coronally.
Preprints 139955 g021
Figure 7. root planning for pathological dehiscence.
Figure 7. root planning for pathological dehiscence.
Preprints 139955 g022
Figures 8,9. de-epithelization for mesial & distal anatomical papilla.
Figures 8,9. de-epithelization for mesial & distal anatomical papilla.
Preprints 139955 g023
Fig 10. root conditioning with EDTA
Fig 10. root conditioning with EDTA
Preprints 139955 g024
Figure 11. irrigation to remove EDTA.
Figure 11. irrigation to remove EDTA.
Preprints 139955 g025
Figure 12. incision at donor side (hard palate) for free gingival graft.
Figure 12. incision at donor side (hard palate) for free gingival graft.
Preprints 139955 g026
Figure 13. thickness of CTG.
Figure 13. thickness of CTG.
Preprints 139955 g027
Figure 14. length of CTG.
Figure 14. length of CTG.
Preprints 139955 g028
Figure 15. de-epithelization of free gingival graft to obtain connective tissue graft.
Figure 15. de-epithelization of free gingival graft to obtain connective tissue graft.
Preprints 139955 g029
Figure 16. stabilization of CTG with interrupted and periostium sutures.
Figure 16. stabilization of CTG with interrupted and periostium sutures.
Preprints 139955 g030
Fig 17. stabilization of flap coronally covering CTG.
Fig 17. stabilization of flap coronally covering CTG.
Preprints 139955 g031
Figure 18. occlusal view showing complete coverage of graft.
Figure 18. occlusal view showing complete coverage of graft.
Preprints 139955 g032
Figure 19. follow up after 1 month.
Figure 19. follow up after 1 month.
Preprints 139955 g033

Results:

Primary outcomes:

After a 1-week healing period, the sutures were removed without any signs of necrosis or any postoperative complication.
Patient showed improvement in aesthetic of recession site.

Secondary outcomes:

At the first months, the patient presented with stabilization of clinical results, with an increase in the thickness of the keratinized tissue.
This successful outcome highlights the efficacy of the treatment approach, which involves a nonsurgical phase followed by a surgical procedure using coronal advancement flap combined with sub-epithelium connective tissue graft.
In the first case where the interdental papillae hight is intact (Miller classII), Complete root coverage was predicted and achieved. While in the second case the papillae height was lost because of periodontal disease (Miller Class III) or local trauma, or if there was a reduction in the height of papillae because of tooth malposition (rotation and extrusion with or without occlusal abrasion), complete coverage was no longer achievable. There is a strong association between tooth location and determining the amount of maximum root coverage achievable.
No statistically significant differences between the expected and actual root coverage were demonstrated and, this suggested that the clinician’s presurgical judgment was a reliable predictor of the amount of attainable root coverage.

Discussion

Gingival recession presents a significant global challenge, heightening the risk of root caries and impacting patient comfort, function, and aesthetics. It can lead to tooth loss due to clinical attachment loss. Addressing the causes to diminish the frequency and severity of gingival recession is crucial; however, implementing effective management and prevention strategies in clinical settings can be intricate. Identifying patients at risk and evaluating modifiable risk factors are vital first steps in devising action plans for suitable interventions. Often, patients seek treatment primarily to enhance the aesthetic appearance of exposed roots. Thus, the objective of mucogingival plastic surgery is to achieve a periodontium that is not only healthy and functional but also aesthetically pleasing. Today, a variety of mucogingival grafting techniques are available to cover exposed roots, providing highly predictable and successful results for issues related to gingival recession. [16,17].
In the first case, the interproximal support remained intact, and the corono-apical extension reached the mucogingival junction. As a result, the gingival recession at the maxillary left canine was classified as Miller Class II and Cairo Recession Type 1 (RT1). Conversely, the second case showed compromised interproximal support, and the gingival recession at the upper right central incisor was classified as Miller Class III and Cairo Recession Type 2(RT2). The primary goal of different treatment methods is to achieve complete root coverage (CRC), which is the ultimate indicator of success [18].
The methodology of the current study outlines the prediction of mean root coverage (MRC) relies on the biological and clinical principles of interdental papillae. These papillae, being the most coronal vascular beds, secure the soft tissues over the root during surgery. The hypothesis suggests that achieving complete root coverage necessitates an ideal papilla for each tooth affected by gingival recession. In this research, the ideal papilla is measured from the line angle to the contact point. Complete coverage is considered unattainable if the papillae height is compromised by periodontal disease (Miller Class III), local trauma, or a reduction in papillae height due to tooth malposition (such as rotation and extrusion, with or without occlusal abrasion). Aichelmann-Reidy and colleagues highlighted the need to differentiate between actual and 'expected' root coverage. Their study, however, did not use 'objective' measurements to predict root coverage, but rather relied on the surgeon's clinical experience. This subjective clinical evaluation considered factors like tooth position, root prominence, and recession in adjacent teeth. Their results indicated no significant difference between expected and actual root coverage, suggesting that a clinician's preoperative assessment can reliably predict the potential for root coverage. [19,20].
Moreover, in 1985, Langer and Langer introduced a root coverage method that employs a partial-thickness flap with two vertical incisions to place a connective tissue graft (CTG). This technique called bilaminar technique (CAF+ CTG) showed positioning coronal advancement flap and autologous subepithelial tissue graft from the palate between the flap and the root, ensuring a dual blood supply from both the periosteum and the pedicle. The success of this technique is attributed to the dual blood supply, which nourishes both the connective tissue at the base of the recipient site and the overlying flap, thereby maximizing blood flow to the CTG. The effectiveness of grafting and root coverage also heavily relies on the condition of the root surface. Removing the dense smear layer is crucial for enhancing collagen attachment to the root. In the case report presented, an EDTA gel solution was used to condition the root surface for two minutes before surgery, promoting new fibrous attachment and root coverage. Research by Tozum et al. and Jahnke et al. has demonstrated many studies that confirmed that CTG procedures for gingival recession defects are linked with higher root coverage percentages and better outcomes. Sub-epithelial CTGs effectively address muco-gingival defects to varying extents. Palatal donor sites are the preferred source for CTG harvesting due to the superior quality and quantity of tissue, minimal aesthetic impact, and a smooth healing trajectory. The thickness of the harvested soft tissue graft is critical for future root coverage and can affect the healing process. Research indicates that a soft tissue thickness over 0.8 mm results in complete root coverage, while thickness under 0.8 mm often leads to partial coverage. In our instance, utilizing a 2 mm thick graft may have contributed to improved root coverage. Wennström et al. demonstrated a correlation between the height and thickness of periodontal tissue. They discovered a ratio of approximately 1.5:1 between the height and width of the free graft, suggesting that an increase in gingival thickness might result in an increase the gingival height [21].
Cairo et al.[22] concluded that Sub-epithelium Connective Tissue Graft in conjunction with CAF enhances the probability of obtaining complete root coverage in Miller Class I and II single gingival recessions. This technique is celebrated for its predictability, substantial regeneration of keratinized gingiva, improved aesthetics, enduring tissue stability, and swift recovery for both donor and recipient sites. However, root coverage procedures are typically predictable, it had some drawbacks, including discomfort at the donor site, possible morbidity, restriction to single gingival recessions, and the necessity for surgical expertise. Additionally, the complexity of the technique and the substantial technical skill required pose significant challenges [23,24].
The current study, pertaining to case 2, indicates that an improperly positioned central incisor results in partial tissue coverage. This occurs due to a reduction in papilla height, which hinders the progression of the coronally displaced flap and diminishes vascular interactions between the connective tissues above the root and the anatomical papillae , thereby impacting full root coverage. Zucchelli et al [25] have demonstrated that the tooth's position markedly affects both mean root coverage (mRC) and complete root coverage (CRC) following a coronally advanced flap (CAF) procedure for localized gingival recession (GR). Aroca et al. have observed that the anterior maxilla yields better mRC outcomes compared to the maxillary molars. Therefore, the position of the tooth is crucial for attaining maximum root coverage [26].

Conclusion:

Predetermining the level of root coverage in gingival defects treated by coronally advanced flap (CAF) with a connective tissue graft (CTG) is considered a reliable method.
The percentages of Complete Root Coverage (CRC) and Maximum Root Coverage (MRC) show a significant variability due to various factors. The most important prognostic factor for complete root coverage following surgery is the height of the interdental papillae.
The subepithelial connective tissue graft is the benchmark in mucogingival grafting techniques for root coverage, particularly in the aesthetic zone, owing to its dependable outcomes and long-term stability.

The limitations:

The cemento-enamel junction (CEJ) is commonly utilized as a reference point in soft tissue measurements; however, its reliability remains uncertain. Therefore, future research should focus on the clinical assessment of gingival root coverage using digital evaluation methods, like the digital workflow assessment technique.

Recommendation:

  • Further randomized clinical trials, with extended follow-up periods.
  • Future radiographic assessment (CBCT) needed for follow up.
  • Advanced assessment using High-frequency ultrasound (HFUS) echo intensity markers is necessary to confirm the stability of results, particularly in Miller Class II and III recessions.

Funding

The authors declare that the work is self-funding.

Conflict of Interest

No conflict of interest

Ethical Approval

was obtained through Institutional Ethical committee.

Patients consent statement

Written informed consent was obtained from the individual(s) for any future publication of any potentially identifiable images or data included in this article.

References

  1. Heasman, P.A.; Holliday, R.; Bryant, A.; Preshaw, P.M. Evidence for the occurrence of gingival recession and non-carious cervical lesions as a consequence of traumatic toothbrushing. J. Clin. Periodontol. 2015, 42, S237–S55. [CrossRef]
  2. . [CrossRef]
  3. Miller PD. A classification of marginal tissue recession. Int J Periodontics Restorative Dent 1985;5 :8-13.
  4. Cairo F, Nieri M, Cincinelli S, Mervelt J, Pagliaro U. The interproximal clinical attachment level to classify gingival recessions and predict root coverage outcomes: an explorative and reliability study. J Clin Periodontol 2011: 38: 661– 6. [CrossRef]
  5. P. Cortellini and N. Bissada, “Mucogingival conditions in the natural dentition: narrative review, case definitions, and diagnostic considerations,” Journal of Periodontology, vol. 89, Supplement 2018:1;204–13.
  6. Alghamdi, H. S., Babay, N., & Anil, S. Surgical management of gingival recession: a clinical update. The Saudi Dental Journal, 2009;21, 83-94. [CrossRef]
  7. César Neto JB, Cavalcanti MC, Sekiguchi RT, Pannuti CM, Romito GA, Tatakis DN. Root coverage for single deep gingival recessions: Outcomes based on a decision-making algorithm. Int J Dent 2019; 2019:1830765. [CrossRef]
  8. Emilov D, Deliverska E. Surgical treatment of gingival recession with soft tissue graft procedure. Journal of IMAB–Annual Proceeding Scientific Papers. 2018; 4;24: 2149-59. [CrossRef]
  9. Zucchelli, G. and Mounssif, I. Periodontal plastic surgery. Periodontology 2000, 2015; 68, 333-68. [CrossRef]
  10. Zucchelli G, Testori T, De Sanctis M. Clinical and anatomical factors limiting treatment outcomes of gingival recession: A new method to predetermine the line of root coverage. J Periodontol 2006 ;77: 714-21. [CrossRef]
  11. Hall WB, editor. Critical Decisions in Periodontology. 4th ed. Hamilton, Ontario:B.C. Decker Inc; 2003. Establishing the adequacy of attached gingiva; p. 106.
  12. Mariotti A. Efficacy of chemical root surface modifiers in the treatment of periodontal disease. A systematic review. Ann Periodontol. 2003;8 :205-26. [CrossRef]
  13. L Tavelli, MK McGuire, G Zucchelli, et al. Extracellular matrix-based scaffolding technologies for periodontal and peri-implant soft tissue regeneration.J Periodontol, 91 ;2020, 17-25. [CrossRef]
  14. Mostafa D, Al Shateb S, Thobaiti B, Alotaibi B, Al Rabeea S, et al. The Pinhole Technique in the Treatment of Gingival Recession Defects. A Long-Term Study of CaseSeries for 5.1- 19.3 Years. Adv Dent & Oral Health. 2020;13: 555855.
  15. Aroca S, Barbieri A, Clementini M, Renouard F, de Sanctis M. Treatment of classIII multiple gingival recessions: prognostic factors for achieving a complete rootcoverage. J Clin Periodontol 2018; 45:861–8.
  16. Chapple IL, Van der Weijden F, Doerfer C, et al. Primary prevention of periodontitis: managing gingivitis. J Clin Periodontol. 2015; 42: S71-76. [CrossRef]
  17. El Serafy, Mohamed El Hussein; Razzak, Mona Y. A. El; Shoukheba, Malak Y. M.; Ghouraba, Rehab F. Growth factor-enhanced matrix combined either with free connective tissue graft or with collagen membrane in the treatment of Miller class II gingival recession. Tanta Dental Journal 2024: 21;3: 302-11. [CrossRef]
  18. Wan W, Zhong H, Wang J. Creeping attachment: a literature review. J Esthet Restor Dent. 2020; 32:776-82. [CrossRef]
  19. Aichelmann-Reidy ME, Yukna RA, Evans GH, Nasr HF, Mayer ET. Clinical evaluation of acellular allograft dermis for the treatment of human gingival recession. J Periodontol 2001;72: 998-1005. [CrossRef]
  20. Tözüm, T. F., Keçeli, H. G., Güncü, G. N., Hatipoğlu, H., & Şengün, D. Treatment of gingival recession: comparison of two techniques of subepithelial connective tissue graft. Journal of Periodontology,2005; 76,1842-8. [CrossRef]
  21. Wennstrom JL, Zucchelli G. Increased gingival dimensions. Asignificant factor for successful outcome of root coverage procedures? A 2-year prospective clinical study. J Clin Periodontol.1996;23[8]:770-7.
  22. Cairo F, Pagliaro U, Nieri M. Treatment of gingival recession with coronally advanced flap procedures: a systematic review. Journal of Clinical Periodontology. 2008; 35:136-62. [CrossRef]
  23. Tatakis DN, Chambrone L, Allen EP, Langer B, McGuire MK, et al. Periodontal soft tissue root coverage procedures: a consensus report from the AAP Regeneration Workshop. Journal of periodontology. 2015;86 :52-5. [CrossRef]
  24. Vincent-Bugnas S, Laurent J, Naman E et al. Treatment of multiple gingival recessions with xenogeneic acellular dermal matrix compared to connective tissue graft: a randomized split mouth clinical trial. J Periodontal Implant Sci.2021:51:77–87. [CrossRef]
  25. Zucchelli G, Tavelli L, Ravida A, Stefanini M, Suarez-Lopez Del Amo F, Wang HL. Influence of tooth location on coronally advanced flap procedures for root coverage. J Periodontol. 2018; 89:1428-41.
  26. Aroca S, Keglevich T, Barbieri B, Gera I, Etienne D. Clinical evaluation of a modified coronally advanced flap alone or in combination with a platelet-rich fibrin membrane for the treatment of adjacent multiple gingival recessions: a 6-month study. J Periodontol. 2009; 80:244-52. [CrossRef]
Disclaimer/Publisher’s Note: The statements, opinions and data contained in all publications are solely those of the individual author(s) and contributor(s) and not of MDPI and/or the editor(s). MDPI and/or the editor(s) disclaim responsibility for any injury to people or property resulting from any ideas, methods, instructions or products referred to in the content.
Copyright: This open access article is published under a Creative Commons CC BY 4.0 license, which permit the free download, distribution, and reuse, provided that the author and preprint are cited in any reuse.
Prerpints.org logo

Preprints.org is a free preprint server supported by MDPI in Basel, Switzerland.

Subscribe

Disclaimer

Terms of Use

Privacy Policy

Privacy Settings

© 2026 MDPI (Basel, Switzerland) unless otherwise stated