Submitted:
30 August 2024
Posted:
02 September 2024
You are already at the latest version
Abstract
Keywords:
1. Introduction
2. Material and Methods
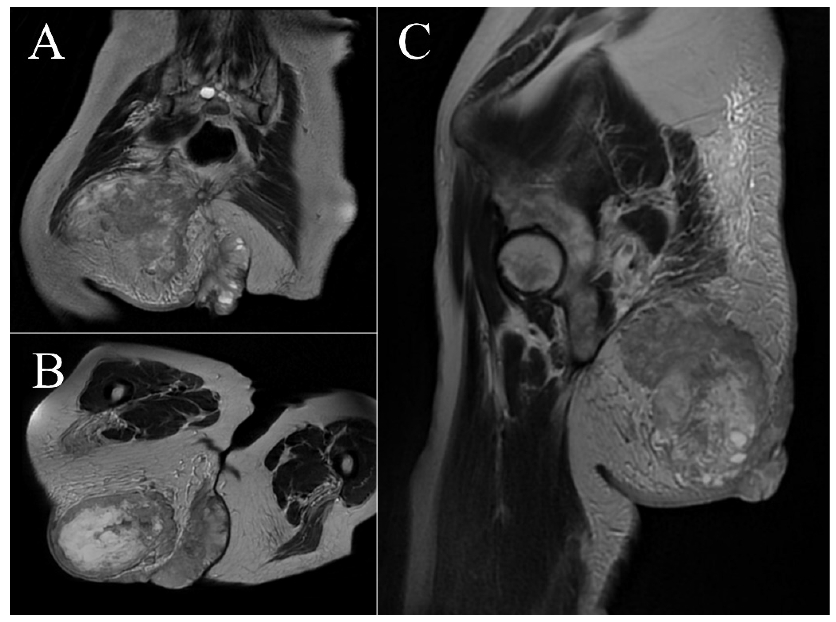
Case 1
Case 2
3. Results
Case 1
Case 2
4. Discussion
5. Conclusions
Author Contributions
Funding
Institutional Review Board Statement
Informed Consent Statement
Data Availability Statement
Conflicts of Interest
Abbreviations
References
- Enneking, W.F.; Dunham, W.K. Resection and reconstruction for primary neoplasms involving the innominate bone. J. Bone Joint Surg. Am. 1978, 60, 731–746. [Google Scholar] [CrossRef]
- Benady, A.; Gortzak, Y.; Sofer, S.; Ran, Y.; Rumack, N.; Elias, A.; Efrima, B.; Golden, E.; Segal, O.; Merose, O.; et al. Internal Hemipelvectomy for primary bone sarcomas using intraoperative patient specific instruments- the next step in limb salvage concept. BMC Musculoskelet. Disord. 2022, 23, 1012. [Google Scholar] [CrossRef]
- Crimì, A.; Binitie, O.T.; Crimì, F.; Letson, G.D.; Joyce, D.M. Outcomes and complications of pelvic chondrosarcomas treated using navigation guidance and multidisciplinary approach: Is the tumor volume a prognostic factor? J. Clin. Med. 2022, 11, 7111. [Google Scholar] [CrossRef]
- Karaka, M.O.; Özbek, E.A.; Özyildiran, M.; Merter, A.; Basarir, K.; Yildez, H.Y.; Sağlık, Y. External and internal hemipelvectomy: a retrospective análisis of 68 cases. Jt. Dis. Relat. Surg. 2022, 33, 132–141. [Google Scholar] [CrossRef] [PubMed]
- Laitinen, M.K.; Parry, M.C.; Albergo, J.I.; Grimer, R.J.; Jeys, L.M. Is computer navigation when used in the surgery of iliosacral pelvic bone tumours safer for the patient? Bone Joint J. 2017, 99-B, 261–266. [Google Scholar] [CrossRef]
- Wang, J.; Min, L.; Lu, M.; Zhang, Y.; Wang, Y.; Luo, Y.; Zhou, Y.; Duan, H.; Tu, C. What are the complications of three-dimensionally printed, custom-made, integrative hemipelvic endoprostheses in patients with primary malignancies involving the acetabulum, and whats is the function of these patients? Clin. Orthop. Relat. Res. 2020, 478, 2487–2501. [Google Scholar] [CrossRef] [PubMed]
- Lewis, V.O.; Kemp, A.; Roubaud, M.J.; Ajay, D.; Westney, O.L.; Smith, T. 3rd.; Dang, A.Q.; Hagan, K.; Roland, C.L.; Penny. A.; et al. Multidisciplinary approach to hemipelvectomy for pelvic sarcomas. JBJS Rev. 2022, 10. [Google Scholar] [CrossRef] [PubMed]
- Malawer, M.M.; Buch, R.G.; Thompson, W.E.; Sugarbaker, P.H. Major amputations done with palliative intent in the treatment of local bony complications associated with advanced cancer. J. Surg. Oncol. 1991, 47, 121–130. [Google Scholar] [CrossRef]
- Chretien, P.A.; Sugarbaker, P.H. Surgical technique of hemipelvectomy in the lateral position. Surgery 1981, 90, 900–909. [Google Scholar]
- Karakousis, C.P.; Emrich, L.J.; Driscoll, D.L. Variants of hemipelvectomy and their complications. Am. J. Surg. 1989, 158, 404–408. [Google Scholar] [CrossRef]
- Chandrasekhar, B.; Sloan, G.M.; Beatty, J.D. The external oblique myoscutaneous flap for extended hemipelvectomy reconstruction. Cancer 1988, 62, 1022–1025. [Google Scholar] [CrossRef] [PubMed]
- Roulet, S.; Le Nail, L.R.; Vaz, G.; Babinet, A.; Dumaine, V.; Sallot, A.; Rosset, P. Free fillet lower leg flap for coverage after hemipelvectomy or hip disarticulation. Orthop. Traumatol. Surg. Res. 2019, 105, 47–54. [Google Scholar] [CrossRef] [PubMed]
- Apffelstaedt, J.P.; Driscoll, D.L.; Spellman, J.E.; Velez, A.F.; Gibbs, J.F.; Karakousis, C.P. Complications and outcome of external hemipelvectomy in the management of pelvic tumors. Ann. Surg. Oncol. 1996, 3, 304–309. [Google Scholar] [CrossRef]
- Asavamongkolkul, A.; Chotikawanich, E. Late distal ureteral structure in internal hemipelvectomy without bone reconstruction: A case report. Res. Rep. Urol. 2022, 14, 275–280. [Google Scholar]
- Balko, J.; Ozaniak, A.; Krskova, L.; Strizova, Z.; Lischke, R.; Zamecnik, J. Patient with composite haemangioendothelioma containing angiosarcoma-like areas in the setting of congenital lymphoedema mimicking Stewart-Treves syndrome: a case report. Diagn. Pathol. 2023, 18, 76. [Google Scholar] [CrossRef] [PubMed]
- Kayani, B.; Clarkson, P.; Ng, T.; Masri, B.A. A sarcoma masquerading as a pseudotumor after total hip arthroplasty: A case report. JBJS Case Connect. 2023, 13. [Google Scholar] [CrossRef]
- Kumar, R.; Mohanan, S. Periosteal Ewing sarcoma: Imaging features and clinical outcomes in 7 patients. J. Comput. Assist. Tomogr. 2023, 47, 78–85. [Google Scholar] [CrossRef]
- Mahran, M.A.; Khalifa, A.A.; El-Sayed, A. Pelvis reconstruction by proximal femur upshifting and total hip arthroplasty after radical resection of an adolescent patient pelvic Ewing's sarcoma, a case report, and literature review. Int. J. Surg. Case Rep. 2023, 106, 108146. [Google Scholar] [CrossRef]
- Papalia, G.F.; Ariyaratne, S.; Sison, J.; Morris, G.; Vaiyapuri, S.; Kurisunkal, V.; Botchu, R. An unusual cystic presentation of pelvic skeletal Ewing sarcoma: a case series. Skeletal Radiol. 2024, 16. [Google Scholar] [CrossRef]
- Sag, A.A.; Riedel, R.F.; Eward, W.C.; Visgauss, J.D.; Brigman, B.E. Hydropneumodissection-assisted cryoablation of recurrent sarcoma adjacent to the sciatic nerve as a limb-sparing alternative to hindquarter amputation. J. Vasc. Interv. Radiol. 2023, 34, 923–926. [Google Scholar] [CrossRef]
- Baines, A.J.; Babazadeh-Naseri, A.; Dunbar, N.J.; Lewis, V.O.; Fregly, B.J. Bilatera asymmetry of bone density adjacent to pelvic sarcomas: A retrospective study using computed tomography. J. Orthop. Res. 2022, 40, 644–653. [Google Scholar] [CrossRef] [PubMed]
- Dunbar, N.J.; Zhu, Y.M.; Madewell, J.E.; Penny, A.N.; Fregly, B.J.; Lewis, V.O. Changes in psoas muscle size and ambulatory function after internal hemipelvectomy without reconstruction. Bone Joint J. 2023, 105-B, 323–330. [Google Scholar] [CrossRef]
- Dvorak, Z.; Tomas, T.; Kubat, M.; Apostolopoulos, V.; Tawa, N. Free fillet lower leg flap with fenestration of the pelvis as prevention of vascular problem after hemipelvectomy. J. Plast. Reconstr. Aesthet. Surg. 2022, 75, 2845–2846. [Google Scholar] [CrossRef] [PubMed]
- Gosheger, G.; Ahrens, H.; Dreher, P.; Schneider, K.N.; Deventer, N.; Budny, T.; Heitkötter, B.; Schulze, M.; Theil, C. Evaluation of a novel classification system to predict local recurrence in sarcoma patients undergoing hemipelvectomy with iliosacral resection. Bone Joint J. 2022, 104-B, 290–296. [Google Scholar] [CrossRef]
- Hu, X.; Wen, Y.; Lu, M.; Luo, Y.; Zhou, Y.; Yang, X.; Tu, C.; Min, L. Biomechanical and clinical outcomes of 3D-printed versus modular hemipelvic prostheses for limb- salvage reconstruction following periacetabular tumor resection: a mid-term retrospective cohort study. J. Orthop. Surg. Res. 2024, 19, 258. [Google Scholar] [CrossRef]
- Khal, A.; Zucchini, R.; Sambri, A.; Leucuta, D.C.; Mariotti, F.; Donati, D.M.; De Paolis, M. Reconstruction of the pelvic ring in iliac or iliosacral resections: allograft or autograft? Musculoskelet. Surg. 2022, 106, 21–27. [Google Scholar] [CrossRef] [PubMed]
- Lizcano-Suárez, A.R.; Clara-Altamirano, M.A.; Velázquez-Rodríguez, S.; Martínez-Said, H.; Villavicencio-Valencia, S.V.; García-Ortega, D.Y. Surgical margins as prognostic factor in pelvis chondrosarcoma. Cohort study in a sarcoma unit. Acta Ortop. Mex. 2023, 37, 331–337. [Google Scholar] [CrossRef] [PubMed]
- Revuri, V.R.; Moody, K.; Lewis, V.; Mejia, R.; Harrison, D.J.; Ahmad, A.H. Pain and analgesia in children with cancer after hemipelvectomy: A retrospective analysis. Children (Basel) 2022, 9, 237. [Google Scholar] [CrossRef]
- Sambri, A.; Fiore, M.; Rottoli, M.; Bianchi, G.; Pignatti, M.; Bortoli, M.; Ercolino, A.; Ancetti, S.; Perrone, A.M.; De Iaco, P.; et al. A planned multidisciplinary surgical approach to treat primary pelvic malignancies. Curr. Oncol. 2023, 30, 1106–1115. [Google Scholar] [CrossRef]
- Vucicevic, R.S.; Zavras, A.G.; Fice, M.P.; Khan, Z.A.; Gusho, C.; Gasparro, M.; Gitelis, S.; Blank, A.; Colman, M.W. Internal hemipelvectomy: A single institution's learning curve and longitudinal experience. J. Surg. Oncol. 2024, 129, 981–994. [Google Scholar] [CrossRef]
- Zhang, L.; Michihata, N.; Matsui, H.; Fushimi, K.; Yasunaga, H.; Tsuda, Y.; Tanaka, S.; Kobayashi, H. Preoperative arterial embolization and wound complications after resection of malignant bone tumor in the pelvis: a nationwide database study. Jpn. J. Clin. Oncol. 2022, 52, 1176–1182. [Google Scholar] [CrossRef]
- Banskota, N.; Yang, H.; Fang, X.; Yuan, D.; Zhang, W.; Duan, H. Comparative study of pelvic sarcoma patients undergoing internal and external hemipelvectomy: A meta-analysis study. Front Surg. 2022, 9, 988331. [Google Scholar] [CrossRef] [PubMed]
- Laitinen, M.K.; Parry, M.C.; Morris, G.V.; Jeys, L.M. Pelvic bone sarcomas, prognostic factors, and treatment: A narrative review of the literature. Scand. J. Surg. 2023, 112, 206–215. [Google Scholar] [CrossRef]
- Roustemis, A.G.; Liontos, M.; Trikoupis, I.; Karampikas, V.; Goumenos, S.; Gavriil, P.; Kontogeorgakos, V.A.; Savvidou, O.; Papagelopoulos, P.J. Limb salvage and pelvic reconstruction with endoprosthesis after pelvic tumor resection: A narrative review. Cureus. 2024, 16, e56043. [Google Scholar] [CrossRef]
- Endo, Y.; Sakai, T.; Fukui, S.; Hori, A.; Echigo, R.; Matsunaga, S.; Kadosawa, T. Mid-to-caudal partial hemipelvectomy with limb preservation for ischial tumor in a dog. J. Vet. Med. Sci. 2022, 84, 218–222. [Google Scholar] [CrossRef] [PubMed]
- Stokes, R.; Wustefeld-Janssens, B.G.; Hinson, W.; Wiener, D.J.; Hollenbeck, D.; Bertran, J.; Mickelson, M.; Chen, C.L.; Selmic, L.; Aly, A.; et al. Surgical and oncologic outcomes in dogs with malignant peripheral nerve sheath tumours arising from the brachial or lumbosacral plexus. Vet. Comp. Oncol. 2023, 21, 739–747. [Google Scholar] [CrossRef]
- Sullivan, M.H.; Mills, G.L.; Saifuddin, H.; Brinkman, E.J.; Carlsen, B.T.; Moran, S.L.; Houdek, M.T. Targeted muscle reinnervation to reduce postoperative pain in patients undergoing hindquarter resections. Anticancer Res. 2023, 43, 3513–3516. [Google Scholar] [CrossRef]
- Vega, M.M.; Li, G.; Shourijeh, M.S.; Ao, D.; Weinschenk, R.C.; Patten, C.; Font-Llagunes, J.M.; Lewis, V.O.; Fregly, B.J. Computational evaluation of psoas muscle influence on walking function following internal hemipelvectomy with reconstruction. Front Bioeng. Biotechnol. 2022, 10, 855870. [Google Scholar] [CrossRef]
- Kirilova, M.; Klein, A.; Lindner, L.H.; Nachbichler, S.; Knösel, T.; Birkenmaier, C.; Baur-Melnyk, A.; Dürr, H.R. Amputation for extremity sarcoma: indications and outcomes. Cancers (Basel) 2021, 13, 5125. [Google Scholar] [CrossRef]
- Browne, J.L.; Oudijk, M.A.; Holtslag, H.R.; Schereuder, H.W.R. Vaginal delivery after hemipelvectomy and pelvic radiotherapy for condrosarcoma. BMJ Case Rep. 2014, 2014, bcr2014205785. [Google Scholar] [CrossRef] [PubMed]
- Couto, A.G.H.; Araújo, B.; Torres de Vasconcelos, R.A.; Renni, M.J.; Da Fonseca, C.O.; Cavalcanti, L. Survival rate and perioperative data of patients who have undergone hemipelvectomý: a retrospective case series. World J. Surg. Oncol. 2016, 14, 255. [Google Scholar] [CrossRef] [PubMed]
- Beck, L.A.; Einertson, M.J.; Winemiller, M.H.; DePompolo, R.W.; Hoppe, K.M.; Sim, F.F. Functional outcomes and quality of life after tumor-related hemipelvectomy. Phys. Ther. 2008, 88, 916–927. [Google Scholar] [CrossRef]
- Guder, W.K.; Hardes, J.; Gosheger, G.; Henrichs, M.P.; Nottrott, M.; Streitbürger, A. Analysis of surgical and oncological outcome in internal and external hemipelvectomy in 34 patients above the age of 65 years at a mean follow-up of 56 months. BMC Musculoskeletal Disorders 2015, 16, 33. [Google Scholar] [CrossRef] [PubMed]
- Rena de Freitas, R.; Soares Crivellaro, A.L.; Pauka Mello, G.J.; Armani Neto, M.; De Freitas Filho, G.; Viani da Silva, L. Hemipelvectomy: Erasto Gaertner Hospital´s experiences with 32 cases in 10 years. Rev. Bras. Orthop. 2015, 45, 413–419. [Google Scholar] [CrossRef]
- Angelini, A.; Drago, G.; Trovarelli, G.; Calabrò, T.; Ruggieri, P. Infection after surgical resection for pelvic bone tumors: an analysis of 270 patients from one institution. Clin. Orthop. Relat. Res. 2014, 472, 349–359. [Google Scholar] [CrossRef]
- Baliski, C.R.; Schachar, N.S.; McKinnon, J.G.; Stuart, G.C.; Temple, W.J. Hemipelvectomy: a changing perspective for a rare procedure. Can. J. Surg. 2004, 47, 99–103. [Google Scholar]
- Yuen. A.; Ek, E.T.; Choong, P.F. Research: is resection of tumours involving pelvic ring justified? A review of 49 consecutive cases. Int. Semin. Surg. Oncol. 2005, 2, 9. [Google Scholar] [CrossRef]
- Sherman, C.E.; O´Connor, M.I.; Sim, F.H. Survival, local recurrence, and function after pelvic limb salvage at 23 to 38 years of followup. Clin. Orthop. Relat. Res. 2012, 470, 712–727. [Google Scholar] [CrossRef] [PubMed]
- Bruns, J.; Luessenhop, S.; Behrens, P. Cost análisis of three different surgical procedures for treatment of a pelvic tumour. Langenbeck´s Arch. Surg. 1998, 383, 359–363. [Google Scholar] [CrossRef]
- Heetkamp, A.; Feijen, H.W.H.; Papatsonis, D.N.M. Spontaneous delivery after hemipelvectomy because of condrosarcoma: a case report and review of the literature. Am. J. Perinatol. 2008, 25, 255–258. [Google Scholar] [CrossRef]
- Bergh, P.A.; Bonamo, J.; Breen, J.L. Pregnancy after hemipelvectomy: a case report and review of the literature. Int. J. Gynaecol. Obstet. 1988, 27, 277–283. [Google Scholar] [CrossRef]
- Chihara, I.G.; Osada, H.; Litsuka, Y.; Masuda, K.; Sekiya, S. Pregnancy after limb-sparing hemipelvectomy for Ewgin´s sarcoma. A case report and review of the literature. Gynecol. Obstet. Invest. 2003, 56, 218–220. [Google Scholar] [CrossRef]
- Snyder, D.J.; Thomas, R.L. Pregnancy complicated by hemipelvectomy: case presentations and review of the literature. Am. J. Perinatol. 1989, 6, 363–366. [Google Scholar] [CrossRef]
- Kakogawa, J.; Ogawa, M.; Suzuki, N. Tabata, T. Successful pregnancy after limb-sparing hemipelvectomy for Ewing sarcoma: Case report and literature review. Taiwan J. Obstet. Gynecol. 2021, 60, 787–790. [Google Scholar] [CrossRef]










Disclaimer/Publisher’s Note: The statements, opinions and data contained in all publications are solely those of the individual author(s) and contributor(s) and not of MDPI and/or the editor(s). MDPI and/or the editor(s) disclaim responsibility for any injury to people or property resulting from any ideas, methods, instructions or products referred to in the content. |
© 2024 by the authors. Licensee MDPI, Basel, Switzerland. This article is an open access article distributed under the terms and conditions of the Creative Commons Attribution (CC BY) license (http://creativecommons.org/licenses/by/4.0/).
