Preprint
Case Report

This version is not peer-reviewed.

The Successful Management of a 9-Year-Old Golden Retriever Treated for a Nasal Carcinoma with a Prednisolone/Chlorambucil Metronomic Combination after Radiation Therapy: A Case Report

A peer-reviewed article of this preprint also exists.

Submitted:

05 September 2024

Posted:

09 September 2024

You are already at the latest version

Abstract
Nasal tumors are one of the most common tumors in aged golden retrievers. Adenocarcinomas or carcinomas are diagnosed in the majority of nasal tumors. Radiation therapy is the first option to decrease the size of tumor, and oral or intravenous chemotherapy is administered depending on the prognosis. Therefore, it is important to select the most appropriate drug for chemotherapy considering the price and the presence of concurrent disease. Anticancer drugs include first-generation chemotherapies, second-generation targeted anticancer drugs, and third-generation immunotherapy drugs. Considering their price and effectiveness, first- or second-generation anticancer drugs are mainly used.We report a first case in which a retriever with a nasal tumor was successfully treated and managed using a metronomic combination of chlorambucil (4mg/day, SID) and prednisolone (10mg/day) orally for 9 months at a general practice. A 35 kg spayed female golden retriever aged 8 years and 8 months visited the Bundang New York Animal Hospital in July 2023. A protocol of 4 weeks of chemotherapy followed by 1 week of rest was repeated, and the nasal exudate was significantly reduced. The size of the nasal tumor was monitored using Computed Tomography (CT) imaging at a referral hospital, and the images were taken in the following order: 1. before radiation therapy at the referral hospital and before chemotherapy; 2. after radiation therapy and before chemotherapy; and 3. after radiation therapy and after chemotherapy. Since the first occurrence of epistaxis, 12 months have passed (as of July 24). The nasal exudate is barely visible, and the retriever’s vital signs and weight remain stable. The size of the nasal tumor significantly decreased after 9 months of chemotherapy without moderate side effects. This study demonstrates that a prednisolone/chlorambucil metronomic combination can be an alternative to kinase inhibitor drugs as it is the cheapest and most effective way to manage tumors along with conventional radiation therapy.
Keywords: 
;  ;  ;  

1. Introduction

Nasal tumors are often seen in retrievers. Radiation therapy is used to debulk the tumor, and then oral or intravenous chemotherapy is administered, depending on the prognosis. Anticancer drugs include first-generation chemotherapy, second-generation targeted anticancer drugs, and third-generation immunotherapy drugs. Considering their price and effectiveness, first- or second-generation anticancer drugs are mainly used. In this paper, we report a case in which a retriever with a nasal tumor was successfully treated and managed using a metronomic combination of chlorambucil (commercial name: Leukeran) and prednisolone, which are commonly used in combination for cat nasal tumors. A 35kg neutered female retriever aged 8 years and 8 months visited the hospital with nosebleeds as the main complaint. At the referral hospital, she was first misdiagnosed with immune-mediated thrombocytopenia (IMT) and concurrent hypothyroidism. The concurrent disease was treated for 4 weeks, and bloodwork results normalized except for epistaxis, which decreased but persisted. A CT scan was performed to rule out other disease, and a diagnosis of a tumor with first occurrence was given. The nasal carcinoma diagnosis was confirmed via consecutive fine-needle aspiration (FNA). A histopathology examination was not performed because of a technical issue related to the clients’ consent. The nasal carcinoma was treated with radiation therapy three times (10gy). Then, while management with the second-generation anticancer drug sorafenib continued, nasal exudation persisted, and the size of tumor was not significantly decreased at the referral hospital CT scan. So, the client consented to switching from sorafenib to the first-generation chemotherapy drug combination chlorambucil/prednisolone at transferred general practice (Bundang New York Animal Hospital). These were given as a combination consisting of 10mg/day of prednisolone and 4mg/day of chlorambucil PO. The protocol of 4 weeks of chemotherapy followed by 1 week of rest was repeated, and the nasal exudate decreased significantly.

2. Material and Methods

A CT scan and radiation therapy were performed on a 35 kg spayed female Golden Retriever aged 8 years and 8 months at a referral hospital (Anonymous A Animal Hospital). Three rounds of radiation therapy at 10gy were given at the Anonymous B Animal Hospital, along with a CT scan. Fine-needle aspiration (FNA) was used to diagnose the carcinoma. After 9 months of chemotherapy with chlorambucil (3.67mg/m2; SID; PO) and prednisolone (0.28mg/kg; SID; PO) at Bundang New York Animal Hospital (general practice), a CT scan was performed for a recheck of the tumor size at the referral hospital (Anonymous C Animal Hospital) after first occurrence of the nasal tumor.

3. Results

Since completing 4 months of this cycle, chemotherapy has been continued without rest or pause with a combined metronomic dose of chlorambucil (3.67mg/m2; SID; PO) and prednisolone (0.28mg/kg; SID; PO). Oral administration of Methotrexate (2.5mg/day) and Cyclophosphamide (50mg/day) was attempted once but stopped immediately because of a GI tract suppression side effect. The exudate was significantly reduced. The size of the nasal tumor was monitored using CT imaging, and images were taken in the following order: 1. before radiation therapy and before chemotherapy; 2. after radiation therapy and before chemotherapy; and 3. after radiation therapy and after chemotherapy. Since the first symptom of nasal bleeding appeared, 12 months have passed (as of July 24, 2024). The nasal exudate has become barely visible, and the retriever’s vital signs remain stable with mild palpable lymph node enlargement. Hypothyroidism is being managed by continuously administering levothyroxine sodium, and the retriever’s body weight has increased from 35kg to 39kg despite chemotherapy. No other tumor was detected via a recent CT scan except for a liver mass (2.1*2.5cm), which was present before the nasal tumor and was diagnosed benign via an ultrasound scan. There was no sign of Cushing’s disease despite the frequent use of prednisolone, and the retriever’s appetite was great throughout the entire process.

4. Discussion

The combination of prednisolone and chlorambucil to treat nasal tumors is often used in cats 1 2 but not in dogs. This study is the first report of successfully treating nasal carcinoma in a dog using the combination metronomically. It is known that a high corticosteroid dose decreases the toxicity of Interleukin (IL)-2, which is mainly secreted by activated T cells and facilitates the migration of macrophages by inhibiting migration inhibitory factor 3. Also, glucocorticoids are empirically used to treat emesis and directly destroy leukemic lymphoblasts 4. Therefore, steroids are commonly used to treat various types of cancer along with chemotherapy. Chlorambucil induces apoptosis through the alkylation of cross-linked cell DNA strands 5. In contrast, Sorafenib is a multi-kinase inhibitor (Raf serine/threonine kinases, vascular endothelial growth factor receptor, platelet-derived growth factor receptor-β, and tyrosine kinases) 6. Therefore, the side effects of chlorambucil may be more significant than those of sorafenib. Fortunately, the typical side effects of chlorambucil, which include bone marrow suppression (anemia), gastrointestinal signs (vomiting and diarrhea), and alopecia, were not seen in this case. Liver enzymes were mildly elevated during chemotherapy, but other bloodwork results were normal (BUN 33.2 (9.2~29.2), CRE 0.94 (0.4~1.4), ALT 93 (17~78), AST 34 (17~44), and ALP 439 (47~254)).

5. Conclusions

The advantage of chlorambucil is that it is easier to obtain and cheaper than sorafenib. Chemotherapy for large dogs requires a greater quantity of drugs than for small dogs, so many owners hesitate to opt for chemotherapy because of the high cost of treatment. Therefore, chlorambucil/prednisolone metronomic chemotherapy could be an excellent choice for clients who are willing to choose chemotherapy at a general practice rather than a referral hospital because of the high price.
The results of this study do not guarantee that chlorambucil/prednisolone chemotherapy can be used alone without radiation therapy, and more background study is needed. However, they do suggest the successfully managing chemotherapy protocol for nasal carcinoma at a relatively low price in general practice and it is significant as first trial report.
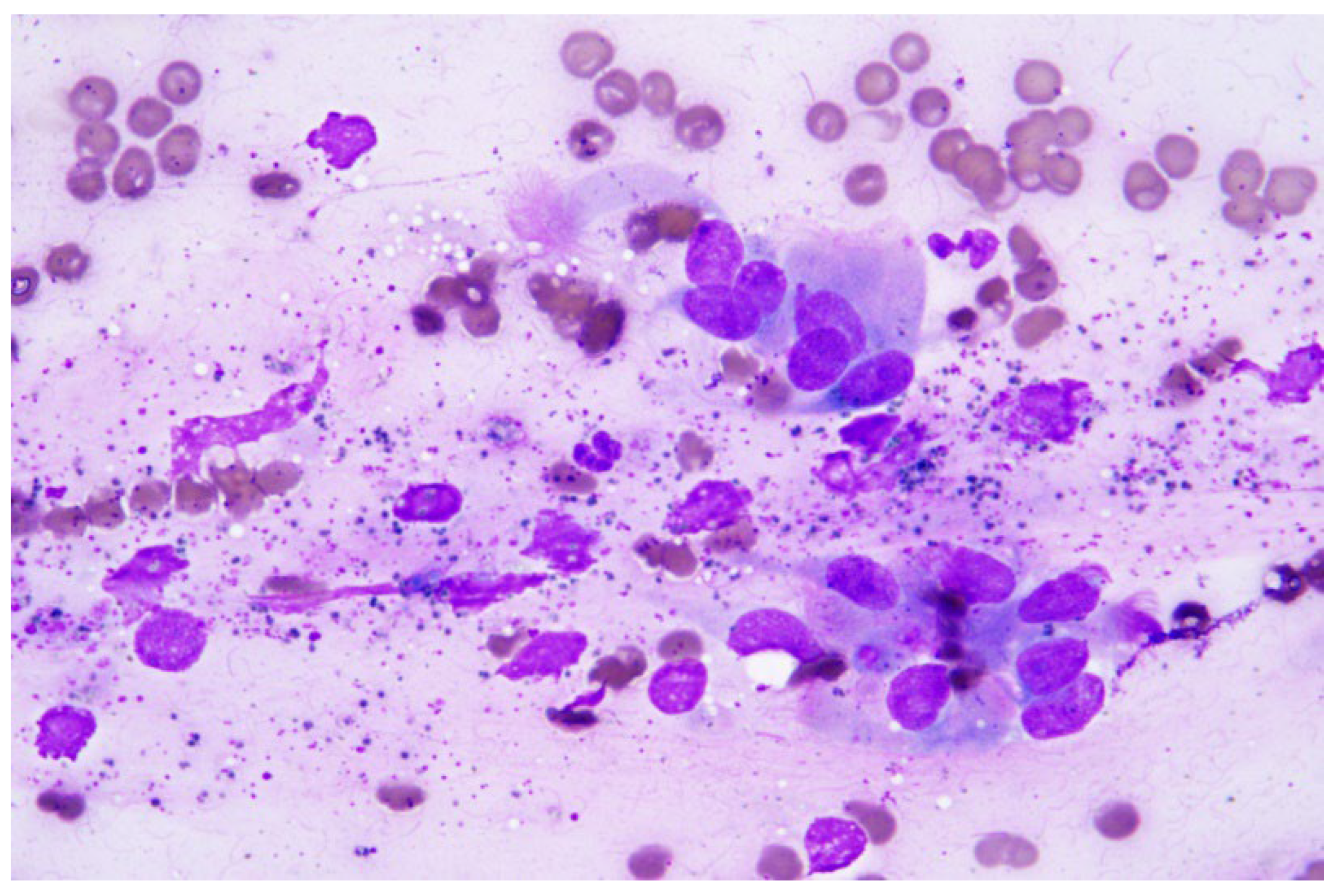
Figure 1. (A,B,C,D). Specimen: nasal cavity; single; size 5*2*3cm; incisional.
Figure 1. (A,B,C,D). Specimen: nasal cavity; single; size 5*2*3cm; incisional.
Preprints 117346 g001aPreprints 117346 g001b
Cellularity was high and cell shedding was very severe, although cells with a very high degree of malignancy were not observed. The cell integrity of the aspirate was very high, and the blood was severely infiltrated. Various types of nasal epithelial cells, such as columnar ciliated epithelium, columnar epithelium, and goblet cells, were observed in large and small groups. Neutrophils were observed in small numbers. Moderate nuclear anisotropy was observed, and three small nucleoli were clearly observed in a thick chromatin pattern. A basophilic amorphous substance thought to be nasal exudate was observed, and many melanin granules and eosinophilic granules were observed in the background. Perinuclear vacuoles, which are mainly observed in squamous cell carcinoma cells, were observed. Considering this comprehensively, the possibility of nasal carcinoma was considered, and histopathological examination was required for confirmation.
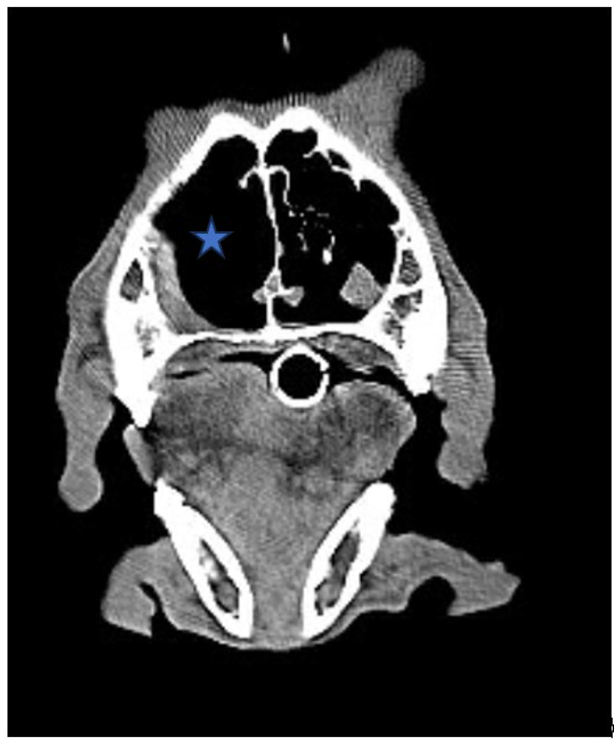
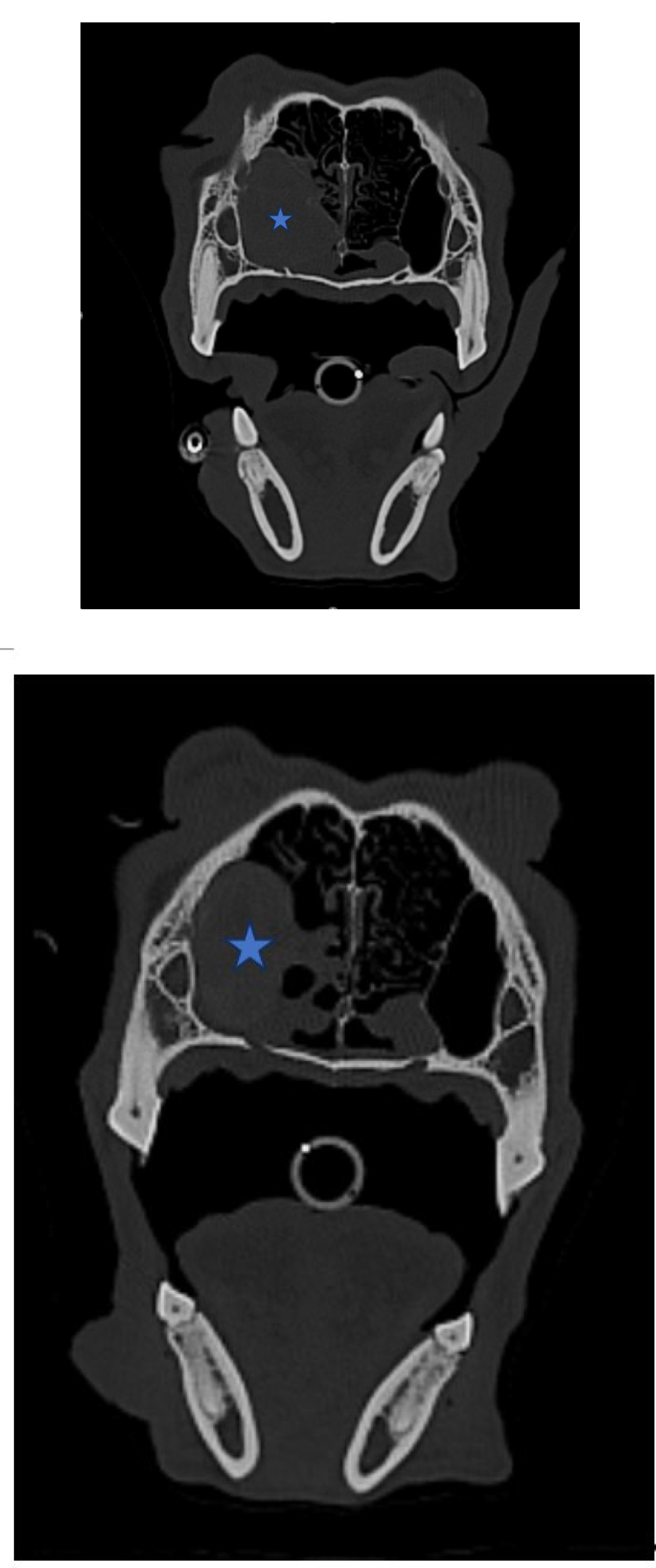
Figure 2. (A,B,C). Axial View of CT Scan of Skull
Figure 2. (A,B,C). Axial View of CT Scan of Skull
Preprints 117346 g002aPreprints 117346 g002b
The size of the tumor decreased significantly after radiation/chemotherapy compared with before radiation/chemotherapy, after radiation, and before chemotherapy (Asteroid).
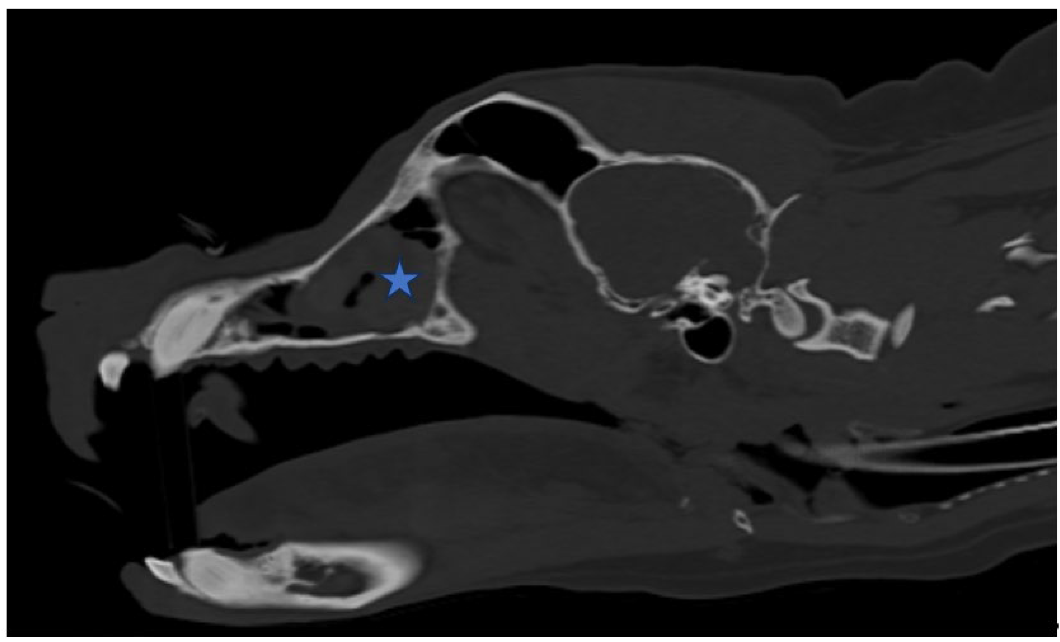
Figure 3. (A,B). Sagittal view of CT scan of skull The size of the nasal tumor decreased significantly (Asteroid).
Figure 3. (A,B). Sagittal view of CT scan of skull The size of the nasal tumor decreased significantly (Asteroid).
Preprints 117346 g003aPreprints 117346 g003b

Data availability statement

The datasets used and analyzed during the current study available from the corresponding author on reasonable request.

Cell line validation statement

This study did not use any cell line.

Ethical statement

Informed consent was waived (or exempted) from IRB due to the retrospective case study. Prior to collecting samples, all pet-owners signed an informed consent.

References

  1. Ng, K. W.; Beatty, J. A.; Tse, M. P.; Giuliano, A. Nasal Lymphoma with Low Mitotic Index in Three Cats Treated with Chlorambucil and Prednisolone. Veterinary Sciences 2022, 9 (9), 472. [CrossRef]
  2. Takahashi, K.; Baba, T.; Hirokawa, M.; Miyajima, M.; Kishimoto, M.; Kimura, J.; Kondo, H.; Ohmori, K. Long-term management of a cat with nasopharyngeal lymphoma by chlorambucil. Open Veterinary Journal 2021, 11 (2), 217-221. [CrossRef]
  3. Papa, M. Z.; Vetto, J. T.; Ettinghausen, S. E.; Mule, J. J.; Rosenberg, S. A. Effect of corticosteroid on the antitumor activity of lymphokine-activated killer cells and interleukin 2 in mice. Cancer research 1986, 46 (11), 5618-5623.
  4. Yu, W.-b.; McElwain, M. C.; Modzelewski, R. A.; Russell, D. M.; Smith, D. C.; Trump, D. L.; Johnson, C. S. Enhancement of 1, 25-dihydroxyvitamin D3-mediated antitumor activity with dexamethasone. JNCI: Journal of the National Cancer Institute 1998, 90 (2), 134-141. [CrossRef]
  5. Begleiter, A.; Mowat, M.; Israels, L. G.; Johnston, J. B. Chlorambucil in chronic lymphocytic leukemia: mechanism of action. Leukemia & lymphoma 1996, 23 (3-4), 187-201. [CrossRef]
  6. Takimoto, C. H.; Awada, A. Safety and anti-tumor activity of sorafenib (Nexavar®) in combination with other anti-cancer agents: a review of clinical trials. Cancer chemotherapy and pharmacology 2008, 61, 535-548. [CrossRef]
Disclaimer/Publisher’s Note: The statements, opinions and data contained in all publications are solely those of the individual author(s) and contributor(s) and not of MDPI and/or the editor(s). MDPI and/or the editor(s) disclaim responsibility for any injury to people or property resulting from any ideas, methods, instructions or products referred to in the content.
Copyright: This open access article is published under a Creative Commons CC BY 4.0 license, which permit the free download, distribution, and reuse, provided that the author and preprint are cited in any reuse.
Prerpints.org logo

Preprints.org is a free preprint server supported by MDPI in Basel, Switzerland.

Subscribe

Disclaimer

Terms of Use

Privacy Policy

Privacy Settings

© 2026 MDPI (Basel, Switzerland) unless otherwise stated