Submitted:
23 August 2024
Posted:
24 August 2024
You are already at the latest version
Abstract
Keywords:
1. Introduction
2. Materials and Methods
2.1. Clinical Data
2.2. Surgical Methods
2.3. Postoperative Evaluation
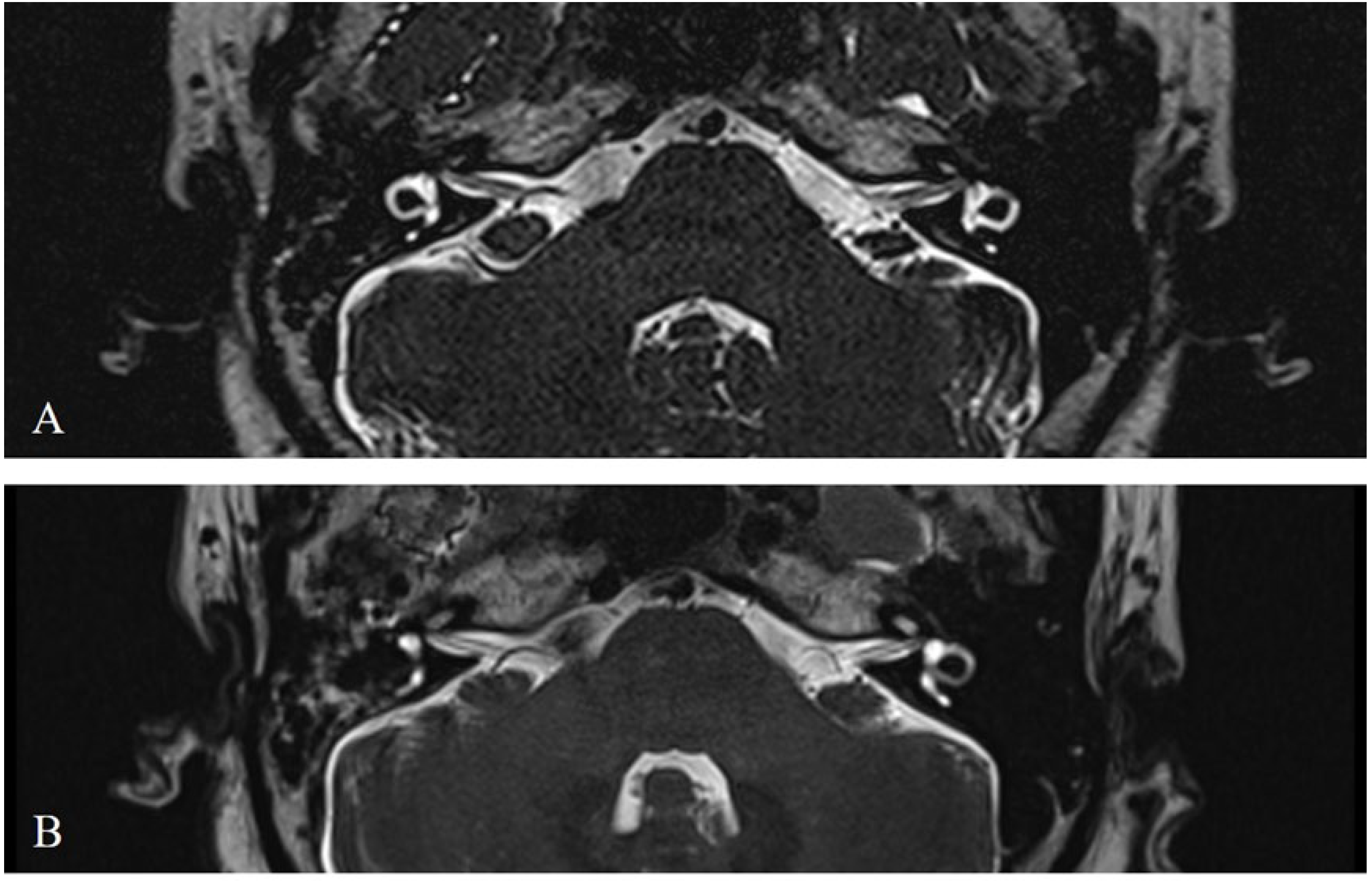
3. Results
4. Discussion
5. Conclusions
Author Contributions
Funding
Institutional Review Board Statement
Informed Consent Statement
Data Availability Statement
Conflicts of Interest
References
- Paparella, M. M.; Kimberley, B. P. , Pathogenesis of Menière’s disease. J. Vestib. Res. 1990, 1, 3–7. [Google Scholar] [CrossRef] [PubMed]
- Cai, Q.; Leng, Y.; Sun, Y. , Semicircular canal occlusion. J. Clin. Otorhinolaryngol. 2024, 38, 122–126 (in Chinese with English abstract), (in Chinese with English abstract). [Google Scholar]
- Parnes, L. S.; McClure, J. A. , Posterior semicircular canal occlusion for intractable benign paroxysmal positional vertigo. Ann. Otol. Rhinol. Laryngol. 1990, 99 (5 Pt 1), 330–334. [Google Scholar] [CrossRef]
- Li, X.; Lyu, Y.; Li, Y.; Jian, H.; Wang, J.; Song, Y.; Kong, L.; Fan, Z.; Wang, H.; Zhang, D. , Triple Semicircular Canal Plugging versus Labyrinthectomy for Meniere Disease: A Retrospective Study. Laryngoscope 2023, 133, 3178–3184. [Google Scholar] [CrossRef] [PubMed]
- Kong, W. J. , Endoscopic ear surgery: flash in the pan or transformative innovation? J. Clin. Otorhinolaryngol. 2018, 32, 427–434 (in Chinese with English abstract), (in Chinese with English abstract). [Google Scholar]
- Kong, W. J.; Ding, X. Y.; Wang, Y. F.; Wang, W. Q.; Wang, X.; Wang, W.; Sun, Y.; Tang, W. L.; Li, X. P.; Zhang, W.; Chen, Y.; Wang, Z. Y.; Yang, H. D.; Yang, Q.; Zhao, Y.; Hou, Z. H.; Cui, Y.; Yu, Y. J. , Endoscopic ear surgery: flash in the pan or transformative innovation? (Ⅱ). J. Clin. Otorhinolaryngol 2018, 32, 1531–1541 (in Chinese with English abstract), (in Chinese with English abstract). [Google Scholar]
- Guideline of diagnosis and treatment of Meniere disease (2017). Chin. J. Otorhinolaryngol. Head Neck Surg. 2017, 52, 167–172 (in Chinese with English abstract), (in Chinese with English abstract).
- Wang, E.; Liu, B.; Wang, Y.; Yao, W.; Sun, Y. , Occlusion of the Lateral Semicircular Canal Through the External Ear Canal: A Case Report. Ear Nose Throat J 2022, 101, NP447–NP450. [Google Scholar] [CrossRef]
- Wolfovitz, A.; Grobman, A. B.; Babcock, T. A.; Angeli, S. I. , The pattern of hearing outcome following surgery of the semicircular canals. Laryngoscope Investig. Otolaryngol. 2019, 4, 132–137. [Google Scholar] [CrossRef]
- Fei, S.; Guangfei, L.; Jie, M.; Yiling, G.; Mingjing, C.; Qingxiang, Z.; Wei, M.; Shuangba, H. , Development of semicircular canal occlusion. Front. Neurosci. 2022, 16, 977323. [Google Scholar] [CrossRef]
- Parnes, L. S.; Agrawal, S. K.; Atlas, J. , Diagnosis and management of benign paroxysmal positional vertigo (BPPV). CMAJ. 2003, 169, 681–693. [Google Scholar] [PubMed]
- Ramakrishna, J.; Goebel, J. A.; Parnes, L. S. , Efficacy and safety of bilateral posterior canal occlusion in patients with refractory benign paroxysmal positional vertigo: case report series. Otol. Neurotol. 2012, 33, 640–642. [Google Scholar] [CrossRef]
- Anthony, P. F. , Utricular macular ablation for benign paroxysmal positional vertigo. Ear Nose Throat J. 1996, 75, 416–421. [Google Scholar] [CrossRef]
- Kartush, J. M.; Sargent, E. W. , Posterior semicircular canal occlusion for benign paroxysmal positional vertigo--CO2 laser-assisted technique: preliminary results. Laryngoscope 1995, 105 (3 Pt 1), 268–274. [Google Scholar] [CrossRef]
- Li, S.; Pyykkö, I.; Zhang, Q.; Yang, J.; Duan, M. , Consensus on intratympanic drug delivery for Menière’s disease. Eur Arch Otorhinolaryngol. 2022, 279, 3795–3799. [Google Scholar] [CrossRef] [PubMed]
- Nevoux, J.; Barbara, M.; Dornhoffer, J.; Gibson, W.; Kitahara, T.; Darrouzet, V. , International consensus (ICON) on treatment of Ménière’s disease. Eur. Ann. Otorhinolaryngol. Eur. Ann. Otorhinolaryngol. Head Neck Dis. 2018, 135 (1S), S29–S32. [Google Scholar] [CrossRef]
- Kong, W. J.; Liu, B.; Leng, Y. M.; Zhang, S. L. , Intensive reading of the guidelines of diagnosis and treatment of Meniere disease and benign paroxysmal positional vertigo. Chin. J. Otorhinolaryngol. Head Neck Surg. 2017, 52, 178–189 (in Chinese with English abstract), (in Chinese with English abstract). [Google Scholar]
- Moleon, M. D. C.; Torres-Garcia, L.; Batuecas-Caletrio, A.; Castillo-Ledesma, N.; Gonzalez-Aguado, R.; Magnoni, L.; Rossi, M.; Di Berardino, F.; Perez-Guillen, V.; Trinidad-Ruiz, G.; Lopez-Escamez, J. A. , A Predictive Model of Bilateral Sensorineural Hearing Loss in Meniere Disease Using Clinical Data. Ear Hear. 2022, 43, 1079–1085. [Google Scholar] [CrossRef]
- Bächinger, D.; Schuknecht, B.; Dlugaiczyk, J.; Eckhard, A. H. , Radiological Configuration of the Vestibular Aqueduct Predicts Bilateral Progression in Meniere’s Disease. Front. Neurol. 2021, 12, 674170. [Google Scholar] [CrossRef]
- Charpiot, A.; Rohmer, D.; Gentine, A. , Lateral semicircular canal plugging in severe Ménière’s disease: a clinical prospective study about 28 patients. Otol. Neurotol. 2010, 31, 237–240. [Google Scholar] [CrossRef]
- Mattson, M. P. , Excitotoxic and excitoprotective mechanisms: abundant targets for the prevention and treatment of neurodegenerative disorders. Neuromolecular Med. 2003, 3, 65–94. [Google Scholar] [CrossRef]
- Ma, F. R.; Liu, J. X.; Li, X. P.; Mao, J. J.; Zhang, Q. D.; Jia, H. B.; Mao, L. Q.; Zhao, R. , Effects of caloric vestibular stimulation on serotoninergic system in the media vestibular nuclei of guinea pigs. Chin. Med. J. (Engl.) 2007, 120, 120–124. [Google Scholar] [CrossRef]



| Patient |
Age (years) |
Gender | Duration(years) | Pre-operation | Post-operation (follow-up more than 6 months) | |||||
| Vertigo | Hearing (diseased ear) | Tinnitus and/or ear fullness | Vertigo | Hearing (diseased ear) | Tinnitus and/or ear fullness | Adverse reaction | ||||
| 1 | 64 | male | 4 | Recurrent vertigo with no relief after 1 year of tympanic injection of dexamethasone. | 70dB HL | Persistent tinnitus with ear fullness | No attack | No progress | No paroxysmal exacerbation | No special discomfort |
| 2 | 63 | female | 3 | Frequent episodes, each lasting more than half an hour. The patient had been suffering from paroxysmal vertigo for more than 20 days before the surgery. | 73dB HL | Persistent tinnitus, patient denies ear fullness | No attack | No progress | No paroxysmal exacerbation | No special discomfort |
| 3 | 72 | female | 2 | Attacks occur 1-2 times a week, each lasting more than an hour. | deaf | Persistent, progressive tinnitus with ear fullness | No attack | No progress | Almost controlled, each tinnitus < 1 min | The patient has an unsteady gait and needs to walk with the help of a cane. |
| 4 | 48 | female | 3 | Recurrent paroxysmal vertigo, lasting more than half an hour each time, with no effect of medication. | The ABR response threshold was 20dBnHL | Fluctuating tinnitus, occasional ear fullness | No attack | No progress | No paroxysmal exacerbation | The patient is mildly dizzy, but does not affect life or work. |
Disclaimer/Publisher’s Note: The statements, opinions and data contained in all publications are solely those of the individual author(s) and contributor(s) and not of MDPI and/or the editor(s). MDPI and/or the editor(s) disclaim responsibility for any injury to people or property resulting from any ideas, methods, instructions or products referred to in the content. |
© 2024 by the authors. Licensee MDPI, Basel, Switzerland. This article is an open access article distributed under the terms and conditions of the Creative Commons Attribution (CC BY) license (https://creativecommons.org/licenses/by/4.0/).