Submitted:
29 July 2024
Posted:
30 July 2024
You are already at the latest version
Abstract
Keywords:
1. Introduction
2. Materials and Methods
3. Results
3.1. The Classical Clinical and Radiological Phenotype in Children with Larsen Syndrome
3.2. Congenital Tetraplegia in A Child with Larsen Syndrome
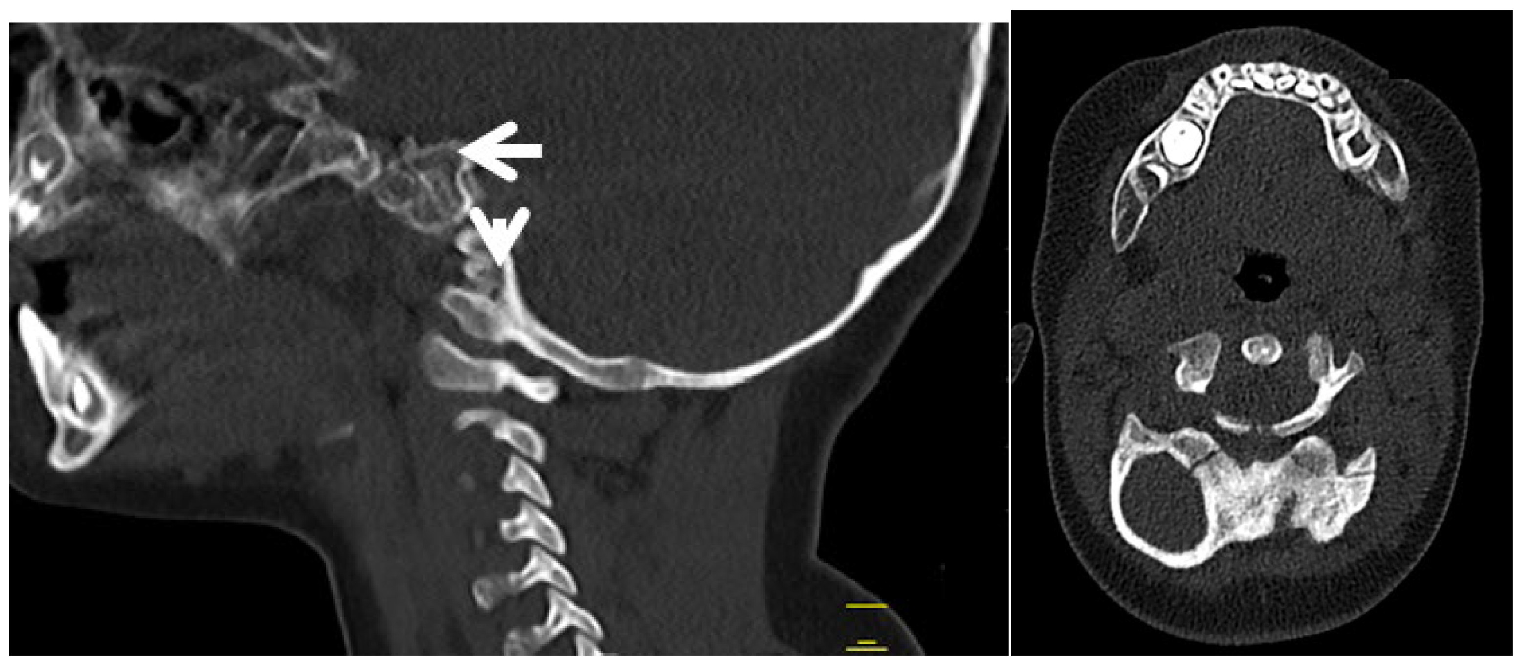
3.3. Acute Angled Kyphosis in A Child with Larsen Syndrome
3.4. Surgical Interventions to Correct Hip/Knee Dislocations and Talipes Equinovarus
3.5. Surgical Intervention to Correct Traumatic Tertaplagia
4. Discussion
5. Conclusions
Author Contributions
Funding
Institutional Review Board Statement
Acknowledgments
Conflicts of Interest
References
- Larsen, L.J.; Schottstaedt, E.R.; Bost, F.C. Multiple congenital dislocations associated with characteristics facial abnormality. J. Pediatr. 1950, 37, 574–581. [Google Scholar] [CrossRef] [PubMed]
- Klenn, P.J.; Iozzo, R.V. Larsen's syndrome with novel congenital anomalies. Hum. Pathol. 1991, 22, 1055–1057. [Google Scholar] [CrossRef] [PubMed]
- Latta, R.J.; Graham, C.B.; Aase, J.; Scham, S.M.; Smith, D.W. Larsen's syndrome: A skeletal dysplasia with multiple joint dislocations and unusual facies. J. Pediatr. 1971, 78, 291–298. [Google Scholar] [CrossRef] [PubMed]
- Kozlowski, K.; Robertson, F.; Middleton, R. Radiographic Findings In Larsen's Syndrome. Australas. Radiol. 1974, 18, 336–344. [Google Scholar] [CrossRef]
- De Smet, L.; Legius, E.; Fabry, G.; Fryns, J.P. The Larsen syndrome. The diagnostic contribution of the analysis of the metacarpophalangeal pattern profile. Genet. Couns. 1993, 4, 157–64. [Google Scholar]
- Maack, R.W.; Muntz, H.R. Ossicular abnormality in Larsen's syndrome: A case report. Am. J. Otolaryngol. 1991, 12, 51–53. [Google Scholar] [CrossRef] [PubMed]
- Kaga, K; et al. Temporal bone pathology of two infants with Larsen´s syndrome. Int J Pediatr Otorhinolaryngol 1991, 22, 257. [Google Scholar] [CrossRef]
- Henriksson, P; et al. Larsen syndrome and glial profileration in the brain. Acta Paediatr Scand. 1977, 66, 653. [Google Scholar] [CrossRef]
- Goldberg MJ. The Dysmorphic child. An Orthopedic Perspective. Raven Press ;1986; New York.
- Steel, H.H.; Kohl, E.J. Multiple congenital dislocations associated with other skeletal anomalies (Larsen's syndrome) in three siblings. J Bone Joint Surg 1972, 54, 75–82. [Google Scholar] [CrossRef]
- Silverman, F.N. Larsen’s syndrome: congenital dislocation of the knees and other joints, distinctive facies, and frequently, cleft palate. Ann Radiol. 1972, 15, 297–328. [Google Scholar]
- Strisciuglio, P.; Sebastio, G.; Andria, G.; Maione, S.; Raia, V. Severe cardiac anomalies in sibs with Larsen syndrome. J. Med Genet. 1983, 20, 422–424. [Google Scholar] [CrossRef]
- Eletta, R.; Pandey, A.; Dharmasaputra, T.; Moreno, M.; Oparaugo, Y.; Kumar, T.S.; Beker, S. Severe Aortic Root Dilatation in a Patient With Larsen Syndrome. World J. Pediatr. Congenit. Hear. Surg. 2023, 14, 532–535. [Google Scholar] [CrossRef] [PubMed]
- Micheli, L.J.; E Hall, J.; Watts, H.G. Spinal instability in Larsen's syndrome: report of three cases. J Bone Joint Surg 1976, 58, 562–5. [Google Scholar] [CrossRef] [PubMed]
- Weisenbach, J.; Melegh, B. Vertebral anomalies in Larsen's syndrome. Pediatr. Radiol. 1996, 26, 682–683. [Google Scholar] [CrossRef]
- Lutter, L.D. Larsen syndrome: clinical features and treatment--a report of two cases. J Pediatr Orthop. 1990, 10, 270–4. [Google Scholar]
- Johnston, C.E.; Birch, J.G.; Daniels, J.L. Cervical Kyphosis in Patients Who Have Larsen Syndrome*. J. Bone Jt. Surg. 1996, 78, 538–45. [Google Scholar] [CrossRef]
- Krakow, D.; Robertson, S.P.; King, L.M.; Morgan, T.; Sebald, E.T.; Bertolotto, C.; Wachsmann-Hogiu, S.; Acuna, D.; Shapiro, S.S.; Takafuta, T.; et al. Mutations in the gene encoding filamin B disrupt vertebral segmentation, joint formation and skeletogenesis. Nat. Genet. 2004, 36, 405–410. [Google Scholar] [CrossRef]
- Zhang, D.; Herring, J.A.; Swaney, S.S.; et al. Mutations responsible for Larsen syndrome cluster in the FLNB protein. J Med Genet 2006, 43, e24. [Google Scholar] [CrossRef] [PubMed]
- Hermanns, P.; Unger, S.; Rossi, A.; Perez-Aytes, A.; Cortina, H.; Bonafé, L.; Boccone, L.; Setzu, V.; Dutoit, M.; Sangiorgi, L.; et al. Congenital Joint Dislocations Caused by Carbohydrate Sulfotransferase 3 Deficiency in Recessive Larsen Syndrome and Humero-Spinal Dysostosis. Am. J. Hum. Genet. 2008, 82, 1368–1374. [Google Scholar] [CrossRef]
- De La Rocha, A.; Birch, J.G.; Schiller, J.R. Precocious appearance of the capital femoral nucleus in Larsen Syndrome. J Bone Joint Surg Am 2012, 94, pe55. [Google Scholar] [CrossRef]
- Curtis, B.H.; Fisher, R.L. Congenital hyperextension with anterior subluxation of the knee. Surgical treatment and long-term observations. J Bone Joint Surg Am. 1969, 51, 255–1969. [Google Scholar] [CrossRef] [PubMed]
- Rodríguez, A.; Asenjo, B.; Dominguez, R.; Lemaire, R. [Larsen syndrome: multicenter study of 12 new cases. Diagnosis, planning and results of treatment]. Acta Orthop Belg 1994, 60, 259–73. [Google Scholar] [PubMed]
- Morcuende, J.A.; Dolan, L.A.; Dietz, F.R.; Ponseti, I.V. Radical Reduction in the Rate of Extensive Corrective Surgery for Clubfoot Using the Ponseti Method. Pediatrics 2004, 113, 376–380. [Google Scholar] [CrossRef] [PubMed]
- Gerlach, D.J.; A Gurnett, C.; Limpaphayom, N.; Alaee, F.; Zhang, Z.; Porter, K.; Kirchhofer, M.; Smyth, M.D.; Dobbs, M.B. Early Results of the Ponseti Method for the Treatment of Clubfoot Associated with Myelomeningocele. J. Bone Jt. Surg. 2009, 91, 1350–1359. [Google Scholar] [CrossRef] [PubMed]
- Merrill RK, Ishmael TG, Samdani AF, Hwang SW, Pahys JM. Severe Cervical Kyphosis and Spondyloptosis with Myelopathy in Larsen Syndrome: 2021. A Report of 2 Cases. JBJS Case Connect. 4;11(3).
- McKay, S.D.; Al-Omari, A.; Tomlinson, L.A.; Dormans, J.P. Review of Cervical Spine Anomalies in Genetic Syndromes. Spine 2012, 37, E269–E277. [Google Scholar] [CrossRef] [PubMed]
- Armouti, M.; Hirbawi, H.; Jadaan, M.; Hashem, H.; Muhsen, B.A. Surgical management of cervical kyphosis in larsen syndrome. Case report and review of literature. Ann. Med. Surg. 2022, 75, 103372. [Google Scholar] [CrossRef] [PubMed]
- Unger, S.; Lausch, E.; Rossi, A.; Mégarbané, A.; Sillence, D.; Alcausin, M.; Aytes, A.; Mendoza-Londono, R.; Nampoothiri, S.; Afroze, B.; et al. Phenotypic features of carbohydrate sulfotransferase 3 (CHST3) deficiency in 24 patients: Congenital dislocations and vertebral changes as principal diagnostic features. Am. J. Med Genet. Part A 2010, 152A, 2543–2549. [Google Scholar] [CrossRef]
- Chen, H.; Chang, C.-H.; Perrin, E.; et al. A lethal, Larsen-like multiple joint dislocation syndrome. Am J Med Genet 1982, 13, 149–161. [Google Scholar] [CrossRef]
- Clayton-Smith, J.; Donnai, D. A further patient with the lethal type of Larsen syndrome. J. Med Genet. 1988, 25, 499–500. [Google Scholar] [CrossRef]
- Caksen, H.; Kurtoğlu, S. Larsen syndrome associated with severe congenital hydrocephalus. Genet. Couns. 2001, 12, 369–72. [Google Scholar]
- Hall, C.M.; Elcioglu, N.H.; MacDermot, K.D.; Offiah, A.C.; Winter, R.M. Spondyloepimetaphyseal dysplasia with multiple dislocations (Hall type): three further cases and evidence of autosomal dominant inheritance. J. Med Genet. 2002, 39, 666–670. [Google Scholar] [CrossRef]
- Cohen MM Jr. Craniosynostosis: Diagnosis, Evaluation, and Management. 1986. New York, Raven Press.
- Escobar, L.F.; Bixler, D.; Weaver, D.D.; et al. Larsen syndrome and craniosynostosis: Idaho syndrome? Dysmorph Clin Genet 1989, 3, 24–27. [Google Scholar]







Disclaimer/Publisher’s Note: The statements, opinions and data contained in all publications are solely those of the individual author(s) and contributor(s) and not of MDPI and/or the editor(s). MDPI and/or the editor(s) disclaim responsibility for any injury to people or property resulting from any ideas, methods, instructions or products referred to in the content. |
© 2024 by the authors. Licensee MDPI, Basel, Switzerland. This article is an open access article distributed under the terms and conditions of the Creative Commons Attribution (CC BY) license (http://creativecommons.org/licenses/by/4.0/).