Submitted:
20 June 2024
Posted:
21 June 2024
You are already at the latest version
Abstract
Keywords:
1. Introduction
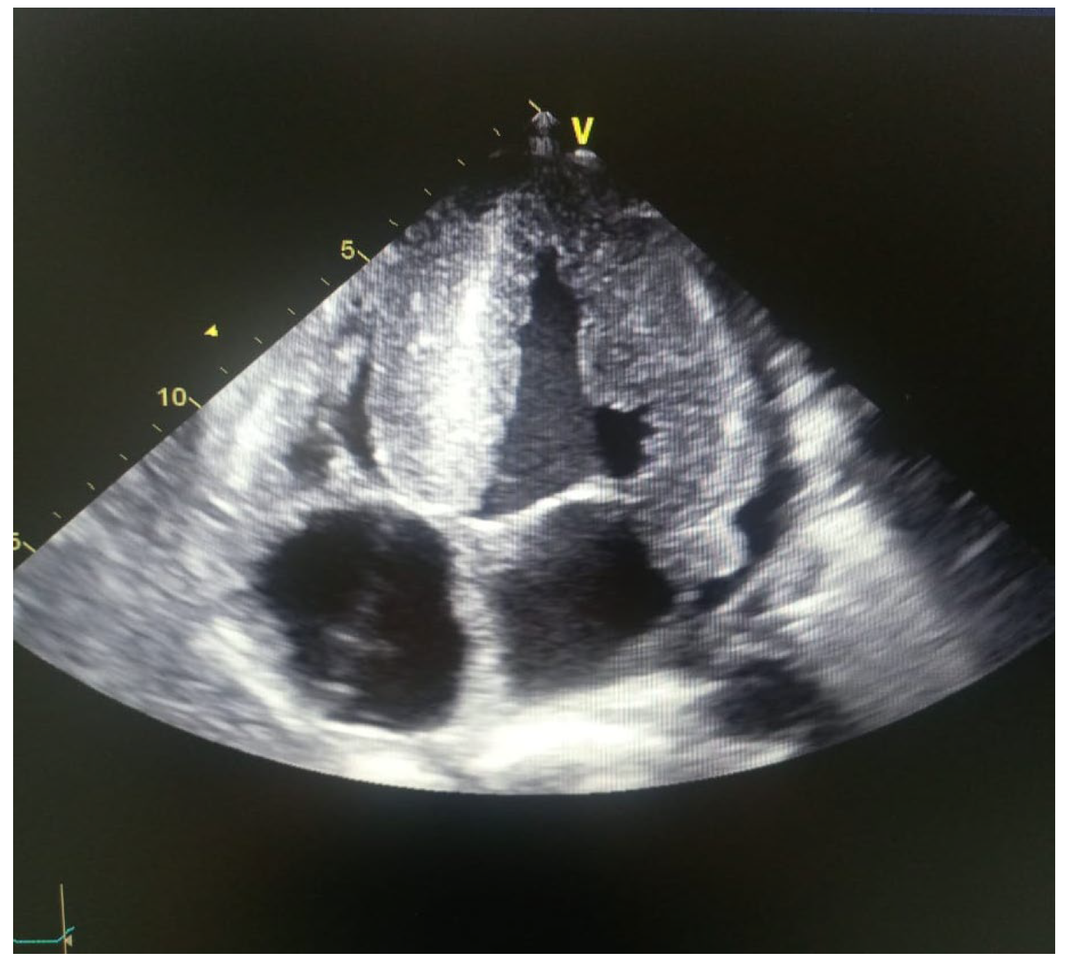
2. Case Report
2.1. Case Report Number One
Family Tree Analysis
2.2. Case Report Number Two
2.3. Case Report Number Three

3. Discussion
Data Availability Statement
Ethics Statement
Author Contributions
Funding
Conflict Of Interest
Note And Acknowledgments
References
- Obici, L.; Kuks, J.B.; Buades, J.; Adams, D.; Suhr, O.B.; Coelho, T. , et al. Recommendations for presymptomatic genetic testing and management of individuals at risk for hereditary transthyretin amyloidosis. Curr Opin Neurol. 2016, 29, S27–35. [Google Scholar] [CrossRef] [PubMed]
- Guamán Charco, E.D.; Rodrigo Henríquez, A. Carga de enfermedad por insuficiencia cardiaca en Ecuador durante el periodo 2014-2018. Metro Ciencia. 2021, 29, 83–85. [Google Scholar] [CrossRef]
- González-López, E.; López-Sainz, Á.; Garcia-Pavia, P. Diagnóstico y tratamiento de la amiloidosis cardiaca por transtiretina. Progreso y esperanza. Vol. 70, Revista Espanola de Cardiologia. Ediciones Doyma, S.L.; 2017. p. 991–1004.
- Papathanasiou, M.; Carpinteiro, A.; Kersting, D.; Jakstaite, A.M.; Hagenacker, T.; Schlosser, T.W. , et al. Rare variant (p.Ser43Asn) of familial transthyretin amyloidosis associated with isolated cardiac phenotype: A case series with literature review. Mol Genet Genomic Med. 2021; 9. [Google Scholar]
- Castaño, A.; Bokhari, S.; Brannagan, T.H.; Wynn, J.; Maurer, M.S. Technetium pyrophosphate myocardial uptake and peripheral neuropathy in a rare variant of familial transthyretin (TTR) amyloidosis (Ser23Asn): A case report and literature review. Amyloid 2012, 19, 41–46. [Google Scholar] [CrossRef] [PubMed]
- Park, G.Y.; Jamerlan, A.; Shim, K.H.; An, S.S.A. Diagnostic and treatment approaches involving transthyretin in amyloidogenic diseases. International Journal of Molecular Sciences 2019, 20. [Google Scholar] [CrossRef] [PubMed]
- Dra. Dorota Rowczenio, Dr. Dra. Dorota Rowczenio, Dr. Ashutosh Wechalekar. Mutations in Hereditary Amyloidosis. 2024. [Google Scholar]
- Porres-López, E.; de Frutos, F.; Silva-Hernández, L.; Galán, L.; González-López, E.; García-Pavía, P. Hereditary transthyretin amyloidosis caused by p.Ser43Asn variant. A new endemic variant in Ecuador. Revista Española de Cardiología (English Edition) [Internet]. 2017;70(11):564–6. Available from: https://www.revespcardiol.org/en-hereditary-transthyretin-amyloidosis-caused-by-articulo-S1885585723000452. [CrossRef] [PubMed]
- Daoko, J.; Elnahar, Y.; Kersh KEl Mohammad, N.; Shamoon, F. Cardiac mri detection of a rare case of familial cardiac amyloidosis (Ser23asn): Case report with literature review. Reports in Medical Imaging 2010, 3, 123–127. [Google Scholar]
- Kirov, A.; Sarafov, S.; Pavlova, Z.; Todorov, T.; Chamova, T.; Gospodinova, M. , et al. Founder effect of the Glu89Gln TTR mutation in the Bulgarian population. Amyloid. 2019, 26, 181–185. [Google Scholar] [CrossRef] [PubMed]
- Benson, M.D.; Buxbaum, J.N.; Eisenberg, D.S.; Merlini, G.; Saraiva, M.J.M.; Sekijima, Y. , et al. Amyloid nomenclature 2020: update and recommendations by the International Society of Amyloidosis (ISA) nomenclature committee. Amyloid. 2020, 27, 217–222. [Google Scholar] [CrossRef] [PubMed]
- Templeton, A.R. The reality and importance of founder speciation in evolution. BioEssays 2008, 30, 470–479. [Google Scholar] [CrossRef] [PubMed]
- Hayashi, Y.; Jono, H. Review Recent Advances in Oligonucleotide-Based Therapy for Transthyretin Amyloidosis: Clinical Impact and Future Prospects [Internet]. Vol. 41, Biol. Pharm. Bull. 1737. Available from: http://www.
- Brannagan, T.H.; Berk, J.L.; Gillmore, J.D.; Maurer, M.S.; Waddington-Cruz, M.; Fontana, M. , et al. Liver-directed drugs for transthyretin-mediated amyloidosis. Journal of the Peripheral Nervous System. 2022, 27, 228–237. [Google Scholar] [CrossRef] [PubMed]
- Suhr, O.B.; Coelho, T.; Buades, J.; Pouget, J.; Conceicao, I.; Berk, J. , et al. Efficacy and safety of patisiran for familial amyloidotic polyneuropathy: a phase II multi-dose study. Orphanet J Rare Dis.
- Benson, M.D.; Waddington-Cruz, M.; Berk, J.L.; Polydefkis, M.; Dyck, P.J.; Wang, A.K. , et al. Inotersen Treatment for Patients with Hereditary Transthyretin Amyloidosis. New England Journal of Medicine. 2018, 379, 22–31. [Google Scholar] [CrossRef] [PubMed]
- de Campos, C.F.; Conceição, I. Updated Evaluation of the Safety, Efficacy and Tolerability of Tafamidis in the Treatment of Hereditary Transthyretin Amyloid Polyneuropathy. Drug, Healthcare and Patient Safety 2023, 15, 51–62. [Google Scholar] [CrossRef] [PubMed]
- Berk, J.L.; Dyck, P.J.; Obici, L.; Zeldenrust, S.R.; Sekijima, Y.; Yamashita, T. , et al. The diflunisal trial: update on study drug tolerance and disease progression. Amyloid [Internet]. 2011 Jun 18;18(sup1):196–7. Available from: http://www.tandfonline.com/doi/full/10.3109/13506129.2011.574354073. [CrossRef] [PubMed]
- Castaño, A.; Bokhari, S.; Brannagan, T.H.; Wynn, J.; Maurer, M.S. Technetium pyrophosphate myocardial uptake and peripheral neuropathy in a rare variant of familial transthyretin (TTR) amyloidosis (Ser23Asn): A case report and literature review. Amyloid 2012, 19, 41–46. [Google Scholar] [CrossRef]
- Kristen, A.V.; Lehrke, S.; Buss, S.; Mereles, D.; Steen, H.; Ehlermann, P. , et al. Green tea halts progression of cardiac transthyretin amyloidosis: An observational report. Clinical Research in Cardiology 2012, 101, 805–813. [Google Scholar] [CrossRef] [PubMed]
- Fernandes, L.; Cardim-Pires, T.R.; Foguel, D.; Palhano, F.L. Green Tea Polyphenol Epigallocatechin-Gallate in Amyloid Aggregation and Neurodegenerative Diseases. Vol. 15, Frontiers in Neuroscience. Frontiers Media S.A.; 2021.
- Ericzon, B.G.; Wilczek, H.E.; Larsson, M.; Wijayatunga, P.; Stangou, A.; Pena, J.R. , et al. Liver Transplantation for Hereditary Transthyretin Amyloidosis: After 20 Years Still the Best Therapeutic Alternative? Transplantation 2015, 99, 1847–1854. [Google Scholar] [CrossRef] [PubMed]
- Chen, Q.; Moriguchi, J.; Levine, R.; Chan, J.; Dimbil, S.; Patel, J. , et al. Outcomes of Heart Transplantation in Cardiac Amyloidosis Patients: A Single Center Experience. Transplant Proc. 2021, 53, 329–334. [Google Scholar] [CrossRef] [PubMed]
- Azad, P.; Stobdan, T.; Zhou, D.; Hartley, I.; Akbari, A.; Bafna, V. , et al. High-altitude adaptation in humans: from genomics to integrative physiology. Journal of Molecular Medicine 2017, 95, 1269–1282. [Google Scholar] [CrossRef] [PubMed]






| DEMOGRAPHIC CHARACTERISTICS. | |||
|---|---|---|---|
| Case 1 | Case 2 | Case 3 | |
| AGE | 59 | 49 | 62 |
| SEX | Male | male | Male |
| PLACE OF ORIGIN | Quilanga | Loja | Quilanga |
| PLACE OF RESIDENCE | Loja | Loja | Quilanga |
| PARENTS' PLACE OF ORIGIN | Quilanga | Quilanga | Quilanga |
| OCCUPATION | Administrator | Businessman | Farmer |
| CLINICAL AND IMAGING CHARACTERISTICS | |||
| ECG FINDINGS | P Inferior pseudo infarction, ventricular extrasystoles | Bifascicular block: RBBB, BAV first degree. Inferior pseudoinfarction | Complete AV block |
| NYHA FUNCTIONAL CLASS | III | II | III |
| MYOCARDIOPATHY ON ECHOCARDIOGRAM | Yes | yes | Yes |
| NEUROLOGICAL EVALUATION/POLYNEUROPATHY NEUROPATHY | Yes | no | Yes |
| CARPAL TUNNEL SYNDROME | No | no | No |
| GASTROINTESTINAL MANIFESTATIONS | Yes | yes | Yes |
| DEVICE PLACEMENT | Yes (CDI) | no | No |
| OUTCOMES | Syncope-TBI/death | Referred to heart transplant | Cardiogenic shock/death |
Disclaimer/Publisher’s Note: The statements, opinions and data contained in all publications are solely those of the individual author(s) and contributor(s) and not of MDPI and/or the editor(s). MDPI and/or the editor(s) disclaim responsibility for any injury to people or property resulting from any ideas, methods, instructions or products referred to in the content. |
© 2024 by the authors. Licensee MDPI, Basel, Switzerland. This article is an open access article distributed under the terms and conditions of the Creative Commons Attribution (CC BY) license (http://creativecommons.org/licenses/by/4.0/).
